Chondroprotective Effect of Campylaephora hypnaeoides Extract in Primary Chondrocytes and Rat OA Model
Abstract
1. Introduction
2. Results
2.1. TSC, TPC, TFC, and TCC of CH Extracts
2.2. Effect of FeCH on the Cell Viability of RC
2.3. Inhibitory Effect of FeCH on IL-1β-Induced Expression of NO, iNOS, COX-2, COX-1, TNF-α, IL-6, and PGE2 in RC
2.4. Inhibitory Effect of FeCH on the Expression of ADAMTS-5, ADAMTS-4, MMP-1, MMP-3, and MMP-13 Induced by IL-1β in RC
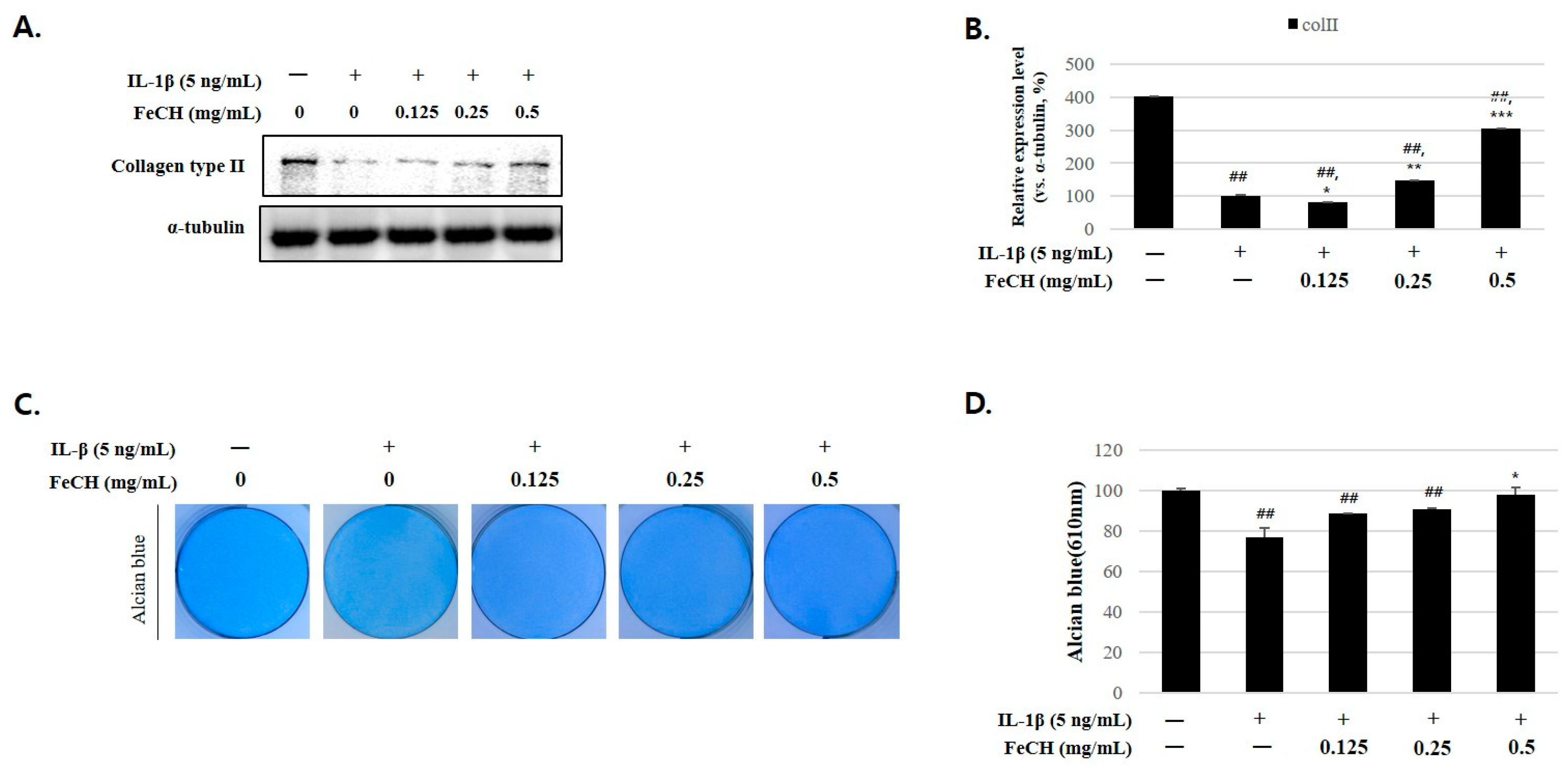
2.5. Protective Effect of FeCH Against IL-1β-Induced Collagen Type II and Proteoglycan Degradation in RC
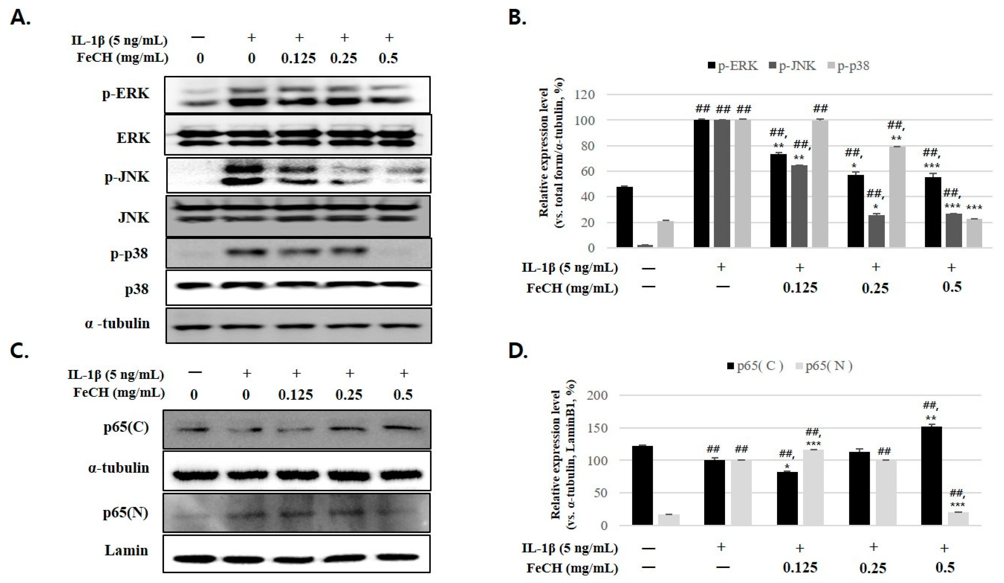
2.6. FeCH Exerts Chondroprotective Effects Through the Inhibition of NF-κB p65 Nuclear Translocation and MAPK Phosphorylation in RC
2.7. The Chondroprotective Effect of FeCH in an Osteoarthritis Disease Animal Model
3. Discussion
4. Materials and Methods
4.1. Total Bioactive Compound Content Analysis
4.2. FeCH
4.3. Preparation of Reagents
4.4. Rat Primary Chondrocyte Isolation and Culturing
4.5. Cell Viability Assay
4.6. Measurement of Nitric Oxide
4.7. Westernblot Analysis
4.8. ELISA
4.9. Alcian Blue Stain
4.10. Immunocytochemistry (ICC)
4.11. DMM-Induced OA Models in Rats
4.12. Histology Evaluation and Score
4.13. Statistical Analyses
Author Contributions
Funding
Institutional Review Board Statement
Informed Consent Statement
Data Availability Statement
Conflicts of Interest
References
- Xia, B.; Chen, D.; Zhang, J.; Hu, S.; Jin, H.; Tong, P. Osteoarthritis pathogenesis: A review of molecular mechanisms. Calcif. Tissue Int. 2014, 95, 495–505. [Google Scholar] [CrossRef] [PubMed]
- Krakowski, P.; Rejniak, A.; Sobczyk, J.; Karpiński, R. Cartilage integrity: A review of mechanical and frictional properties and repair approaches in osteoarthritis. Healthcare 2024, 12, 1648. [Google Scholar] [CrossRef] [PubMed]
- Hunziker, E.B.; Quinn, T.M.; Häuselmann, H.J. Quantitative structural organization of normal adult human articular cartilage. Osteoarthr. Cartil. 2002, 10, 564–572. [Google Scholar] [CrossRef] [PubMed]
- Whittaker, J.L.; Runhaar, J.; Bierma-Zeinstra, S.; Roos, E.M. A lifespan approach to osteoarthritis prevention. Osteoarthr. Cartilage 2021, 29, 1638–1653. [Google Scholar] [CrossRef] [PubMed]
- Yoon, C.H. Osteoarthritis update. Korean J. Med. 2012, 82, 170–174. [Google Scholar] [CrossRef]
- Colletti, A.; Cicero, A.F.G. Nutraceutical approach to chronic osteoarthritis: From molecular research to clinical evidence. Int. J. Mol. Sci. 2021, 22, 12920. [Google Scholar] [CrossRef]
- Glyn-Jones, S.; Palmer, A.J.; Agricola, R.; Price, A.J.; Vincent, T.L.; Weinans, H.; Carr, A.J. Osteoarthritis. Lancet 2015, 386, 376–387. [Google Scholar] [CrossRef] [PubMed]
- Lee, D.G.; Park, S.Y.; Chung, W.S.; Park, J.H.; Hwang, E.; Mavlonov, G.T.; Kim, I.H.; Kim, K.Y.; Yi, T.H. Fucoidan prevents the progression of osteoarthritis in rats. J. Med. Food 2015, 18, 1032–1041. [Google Scholar] [CrossRef] [PubMed]
- Bijlsma, J.W.; Berenbaum, F.; Lafeber, F.P. Osteoarthritis: An update with relevance for clinical practice. Lancet 2011, 377, 2115–2126. [Google Scholar] [CrossRef]
- Kobayashi, M.; Harada, S.; Fujimoto, N.; Nomura, Y. Apple polyphenols exhibits chondroprotective changes of synovium and prevents knee osteoarthritis. Biochem. Biophys. Res. Commun. 2022, 614, 120–124. [Google Scholar] [CrossRef]
- Montero, L.; Del Pilar Sánchez-Camargo, A.; Ibáñez, E.; Gilbert-López, B. Phenolic compounds from edible algae: Bioactivity and health benefits. Curr. Med. Chem. 2018, 25, 4808–4826. [Google Scholar] [CrossRef]
- Murakami, S.; Hirazawa, C.; Yoshikawa, R.; Mizutani, T.; Ohya, T.; Ma, N.; Ikemori, T.; Ito, T.; Matsuzaki, C. Edible red seaweed Campylaephora hypnaeoides J. agar alleviates obesity and related metabolic disorders in mice by suppressing oxidative stress and inflammatory response. Nutr. Metab. 2022, 19, 4. [Google Scholar] [CrossRef] [PubMed]
- Seo, K.S.; Cho, T.O.; Park, J.S.; Yang, E.C.; Yoon, H.S.; Boo, S.M. Morphology, basiphyte range, and plastid DNA phylogeny of Campylaephora borealis. Taxon 2003, 52, 9–19. [Google Scholar] [CrossRef]
- Abramoff, B.; Caldera, F.E. Osteoarthritis: Pathology, diagnosis, and treatment options. Med. Clin. N. Am. 2022, 104, 293–311. [Google Scholar] [CrossRef]
- Jiang, P.; Hu, K.; Jin, L.; Luo, Z. A brief review of current treatment options for osteoarthritis including disease-modifying osteoarthritis drugs (DMOADs) and novel therapeutics. Ann. Med. Surg. 2024, 86, 4042–4048. [Google Scholar] [CrossRef]
- Krzeski, P.; Buckland-Wright, C.; Bálint, G.; Cline, G.A.; Stoner, K.; Lyon, R.; Beary, J.; Aronstein, W.S.; Spector, T.D. Development of musculoskeletal toxicity without clear benefit after administration of PG-116800, a matrix metalloproteinase inhibitor, to patients with knee osteoarthritis: A randomized, 12-month, double-blind, placebo-controlled study. Arthritis Res. Ther. 2007, 9, R109. [Google Scholar] [CrossRef] [PubMed]
- Schnitzer, T.; Pueyo, M.; Deckx, H.; van der Aar, E.; Bernard, K.; Hatch, S.; van der Stoep, M.; Grankov, S.; Phung, D.; Imbert, O.; et al. Evaluation of S201086/GLPG1972, an ADAMTS-5 inhibitor, for the treatment of knee osteoarthritis in ROCCELLA: A phase 2 randomized clinical trial. Osteoarthr. Cartil. 2023, 31, 985–994. [Google Scholar] [CrossRef] [PubMed]
- Mével, E.; Merceron, C.; Vinatier, C.; Krisa, S.; Richard, T.; Masson, M.; Lesoeur, J.; Hivernaud, V.; Gauthier, O.; Abadie, J.; et al. Olive and grape seed extract prevents post-traumatic osteoarthritis damages and exhibits in vitro anti IL-1β activities before and after oral consumption. Sci. Rep. 2016, 6, 33527. [Google Scholar] [CrossRef] [PubMed]
- Khan, N.M.; Haseeb, A.; Ansari, M.Y.; Devarapalli, P.; Haynie, S.; Haqqi, T.M. Wogonin, a plant derived small molecule, exerts potent anti-inflammatory and chondroprotective effects through the activation of ROS/ERK/Nrf2 signaling pathways in human Osteoarthritis chondrocytes. Free Radic. Biol. Med. 2017, 106, 288–301. [Google Scholar] [CrossRef]
- Han, S.J.; Lim, M.J.; Lee, K.M.; Oh, E.; Shin, Y.S.; Kim, S.; Kim, J.S.; Yun, S.P.; Kang, L.J. Safflower seed extract attenuates the development of osteoarthritis by blocking NF-κB signaling. Pharmaceuticals 2021, 14, 258. [Google Scholar] [CrossRef] [PubMed]
- Nam, D.E.; Kim, O.K.; Shim, T.J.; Kim, J.H.; Lee, J.M. Effect of boswellia serrata extracts on degenerative osteoarthritis in vitro and in vivo models. J. Korean Soc. Food Sci. Nutr. 2014, 43, 631–640. [Google Scholar] [CrossRef]
- Lee, J.A.; Kim, D.J.; Hwang, O. KMS99220 Exerts Anti-Inflammatory Effects, Activates the Nrf2 Signaling and Interferes with IKK, JNK and p38 MAPK via HO-1. Mol. Cells 2019, 42, 702–710. [Google Scholar] [CrossRef]
- Mordente, K.; Ryder, L.; Bekker-Jensen, S. Mechanisms underlying sensing of cellular stress signals by mammalian MAP3 kinases. Mol. Cell 2024, 84, 142–155. [Google Scholar] [CrossRef]
- Akhtar, N.; Haqqi, T.M. Epigallocatechin-3-gallate supresses the global interleukin-1beta-induced inflammatory response in human chondrocytes. Arthritis Res. Ther. 2011, 13, R93. [Google Scholar] [CrossRef] [PubMed]
- Feng, Z.; Li, X.; Lin, J.; Zheng, W.; Hu, Z.; Xuan, J.; Ni, W.; Pan, X. Oleuropein inhibits the IL-1β-induced expression of inflammatory mediators by suppressing the activation of NF-κB and MAPKs in human osteoarthritis chondrocytes. Food Funct. 2017, 8, 3737–3744. [Google Scholar] [CrossRef]
- Han, S.J.; Lee, H.; Nam, J.; Pan, C.H.; Jeon, J.; Yang, S. Schisandra extract ameliorates arthritis pathogenesis by suppressing the NF-κB and MAPK signalling pathways. J. Cell. Mol. Med. 2023, 27, 2071–2081. [Google Scholar] [CrossRef] [PubMed]
- Culley, K.L.; Dragomir, C.L.; Chang, J.; Wondimu, E.B.; Coico, J.; Plumb, D.A.; Otero, M.; Goldring, M.B. Mouse models of osteoarthritis: Surgical model of posttraumatic osteoarthritis induced by destabilization of the medial meniscus. Methods Mol. Biol. 2015, 1226, 143–173. [Google Scholar] [CrossRef] [PubMed]
- Yu, H.; Huang, T.; Lu, W.W.; Tong, L.; Chen, D. Osteoarthritis pain. Int. J. Mol. Sci. 2022, 23, 4642. [Google Scholar] [CrossRef] [PubMed]
- Permatasari, D.A.; Karliana, D.; Iskandarsyah, I.; Arsianti, A.; Bahtiar, A. Quercetin prevent proteoglycan destruction by inhibits matrix metalloproteinase-9, matrix metalloproteinase-13, a disintegrin and metalloproteinase with thrombospondin motifs-5 expressions on osteoarthritis model rats. J. Adv. Pharm. Technol. Res. 2019, 10, 2–8. [Google Scholar] [CrossRef] [PubMed]
- Jang, G.; Lee, S.A.; Hong, J.H.; Park, B.R.; Kim, D.K.; Kim, C.S. Chondroprotective effects of 4,5-Dicaffeoylquinic acid in osteoarthritis through NF-κB signaling inhibition. Antioxidants 2022, 11, 487. [Google Scholar] [CrossRef] [PubMed]






| TSC | TPC | TFC | TCC |
|---|---|---|---|
| 166.77 ± 1.3 | 197.2 ± 1.5 | 59.5 ± 0.8 | 1.16 ± 0.06 |
Disclaimer/Publisher’s Note: The statements, opinions and data contained in all publications are solely those of the individual author(s) and contributor(s) and not of MDPI and/or the editor(s). MDPI and/or the editor(s) disclaim responsibility for any injury to people or property resulting from any ideas, methods, instructions or products referred to in the content. |
© 2024 by the authors. Licensee MDPI, Basel, Switzerland. This article is an open access article distributed under the terms and conditions of the Creative Commons Attribution (CC BY) license (https://creativecommons.org/licenses/by/4.0/).
Share and Cite
Jang, J.Y.; Lee, S.A.; Kim, D.K.; Lee, S.-Y.; Kim, C.S. Chondroprotective Effect of Campylaephora hypnaeoides Extract in Primary Chondrocytes and Rat OA Model. Int. J. Mol. Sci. 2024, 25, 13391. https://doi.org/10.3390/ijms252413391
Jang JY, Lee SA, Kim DK, Lee S-Y, Kim CS. Chondroprotective Effect of Campylaephora hypnaeoides Extract in Primary Chondrocytes and Rat OA Model. International Journal of Molecular Sciences. 2024; 25(24):13391. https://doi.org/10.3390/ijms252413391
Chicago/Turabian StyleJang, Ji Yun, Seul Ah Lee, Do Kyung Kim, Sook-Young Lee, and Chun Sung Kim. 2024. "Chondroprotective Effect of Campylaephora hypnaeoides Extract in Primary Chondrocytes and Rat OA Model" International Journal of Molecular Sciences 25, no. 24: 13391. https://doi.org/10.3390/ijms252413391
APA StyleJang, J. Y., Lee, S. A., Kim, D. K., Lee, S.-Y., & Kim, C. S. (2024). Chondroprotective Effect of Campylaephora hypnaeoides Extract in Primary Chondrocytes and Rat OA Model. International Journal of Molecular Sciences, 25(24), 13391. https://doi.org/10.3390/ijms252413391

