Heterologous Production, Purification and Characterization of Two Cold-Active β-d-Galactosidases with Transglycosylation Activity from the Psychrotolerant Arctic Bacterium Arthrobacter sp. S3* Isolated from Spitsbergen Island Soil
Abstract
1. Introduction
2. Results
2.1. Isolation, Identification and General Characterization of a Bacterial Strain S3*
2.2. Construction of an Arthrobacter sp. S3* Genomic Library and Identification of β-d-Galactosidase Genes
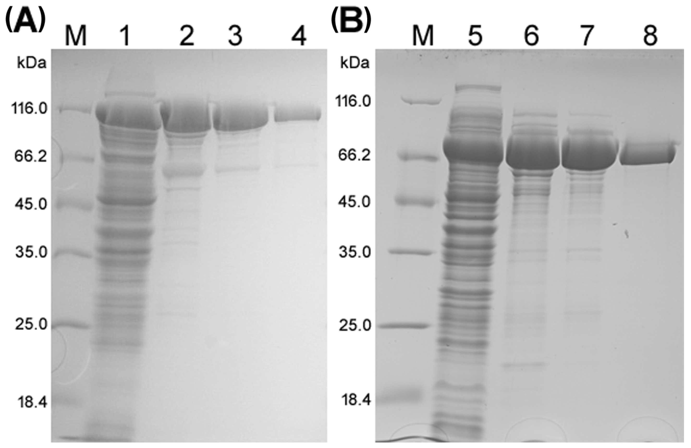
2.3. Production and Purification of Arthrobacter sp. S3* Bgal2 and Bgal42 β-d-Galactosidases
2.4. Structure Prediction of Arthrobacter sp. S3* Bgal2 and Bgal42 β-d-Galactosidases
2.5. Properties of Arthrobacter sp. S3* Bgal2 and Bgal42 β-d-Galactosidases
3. Discussion
| Source | Molecular Mass (kDa) | Oligomeric State | Topt (°C) | pHopt | Thermal Inactivation | Kinetic Parameters of Lactose Hydrolysis | References | ||
|---|---|---|---|---|---|---|---|---|---|
| Km (mM) | kcat (s−1) | kcat/Km (s−1 mM−1) | |||||||
| Arthrobacter sp. S3* | 450 (111.6) a | 4 | 22 | 7.5 | 5 min at 45 °C | 11.70 (10 °C) | 20.50 | 1.75 | This study |
| Arthrobacter psychrolactophilus F2 | 548 (111.7) a | 4 | 10 | 8.0 | 5 min at 50 °C | 50 b, 42.1 c (10 °C) | 18.0 b, 12.7 c | 0.36 b, 0.30 c | [52,53] |
| Arthrobacter sp. ON14 | NR (111.4) a | NR | 15 | 8.0 | 20 min at 50 °C | NR | NR | NR | [40] |
| Arthrobacter sp. SB | 463 (114.0) a | 4 | 18 | 7.0 | 10 min at 37 °C | 11.5 (20 °C) | 5.2 | 0.53 | [38] |
| Arthrobacter sp. 20B | 460 (113.7) a | 4 | 25 | 6.0–8.0 | 1 min at 60 °C | NR | NR | NR | [39] |
| Arthrobacter sp. 32cB | 257 (109.6) a | 2 | 28 | 8.0 | 5 min at 44 °C | 16.56 (10 °C) | 31.84 | 1.92 | [42] |
| Arthrobacter sp. B7 | NR (111.0) a | NR | 40 | 7.2 | 10 min at 50 °C | 16 (30 °C) | NR | NR | [45] |
| Arthrobacter sp. C2-2 | 660 (110.8) a | 6 | 40 | 7.5 | 10 min at 50 °C | 344.2 (10 °C) | 324 | 0.9 | [37,48] |
| Alkalilactibacillus ikkense | NR (119.1) a | NR | 20–30 | 8.0 | 5 min at 50 °C | NR | NR | NR | [55] |
| Alteromonas sp. ML117 | 450 (117.9) a | 4 | 30 | 8.0 | 10 min at 35 °C | 3.8 (10 °C) | 7.8 | 2.1 | [58] |
| Pseudoalteromonas sp. 22b | 490 (117.1) a | 4 | 40 | 6.0–8.0 | 2 min at 50 °C | 3.3 (20 °C) | 157 | 47.5 | [56,57] |
| Source | Molecular Mass (kDa) | Oligomeric State | Topt (°C) | pHopt | Thermal Inactivation | Kinetic Parameters of Lactose Hydrolysis | References | ||
|---|---|---|---|---|---|---|---|---|---|
| Km (mM) | kcat (s−1) | kcat/Km (s−1 mM−1) | |||||||
| Arthrobacter sp. S3* | 233 (74.4) a | 3 | 40 | 7.0 | 10 min at 50 °C | 1.17 (10 °C) | 0.34 | 0.29 | This study |
| Arthrobacter sp. 32c | 195 (75.9) a | 3 | 50 | 6.5 | NR | 77.54 (10 °C) | 1.76 | 0.023 | [41] |
| Arthrobacter sp. B7 | NR (70.9) a | NR | 45–50 | 6.6 | 15 min at 50 °C | 4.81 (30 °C) | NR | NR | [47] |
| Planococcus sp. L4 | 156 (77.3) a | 2 | 20 | 6.8 | 10 min at 45 °C | 11.2 (10 °C) | 62.0 | 5.5 | [66] |
| Planococcus sp. SOS orange | 155 (77.5) a | 2 | 42 | 6.5 | 10 min at 55 °C | NR | NR | NR | [67] |
| Cryobacterium sp. LW097 (Bgal322) | NR (74.8) a | NR | 25 | 6.0 | (10 min at 55 °C) b | 18.1 (5° C) | 54.0 | 3.0 | [71] |
| Cryobacterium sp. LW097 (Bgal435) | NR (77.6) a | NR | 30 | 6.5 | (10 min at 55 °C) b | 28.2 (5 °C) | 68.2 | 2.4 | [71] |
| Cryobacterium sp. LW097 (Bgal2567) | NR (74.3) a | NR | 35 | 6.5 | (10 min at 55 °C) b | 13.5 (5 °C) | 22.2 | 1.7 | [71] |
| Carnobacterium maltaromaticum BA | NR (76.8) a | NR | 30 | NR | 10 min at 40 °C | NR | NR | NR | [72] |
| Rahnella sp. R3 | 225 (77.1) a | 3 | 35 | 6.5 | 5 min at 55 °C | 2.2 (4 °C) | 2.5 | 1.1 | [32,65] |
| Soil metagenome | NR (78.6) a | NR | 38 | 7.0 | 60 min at 50 °C | 27.1 (10 °C) | 33.0 | 1.21 | [70] |
| Marinomonas sp. ef1 | 396 (74.3) a | 6 | 55 | 6.0 | 7 days at 50 °C | NR | NR | NR | [68] |
4. Materials and Methods
4.1. Chemical Reagents and Ingredients of Culture Media
4.2. Isolation, Characterization and Identification of Bacterial Strain with β-d-Galactosidase Activity
4.3. Preparation of the Arthrobacter sp. S3* Genomic Library
4.4. Construction of E. coli Expression Systems for the Production of Arthrobacter sp. S3* β-d-Galactosidases
4.5. Construction of K. phaffii Expression Systems for the Production of Arthrobacter sp. S3* β-d-Galactosidases
4.6. Production of Arthrobacter sp. S3* β-d-Galactosidases in the E. coli and Purification of Recombinant Enzymes
4.7. Production of Arthrobacter sp. S3* β-d-Galactosidases in the K. phaffii
4.8. Characterization of Arthrobacter sp. S3* Bgal2 and Bgal42 Hydrolytic Activity
4.9. Characterization of Arthrobacter sp. S3* Bgal2 and Bgal42 Transglycosylation Activity
5. Conclusions
6. Patents
Supplementary Materials
Author Contributions
Funding
Institutional Review Board Statement
Informed Consent Statement
Data Availability Statement
Acknowledgments
Conflicts of Interest
References
- Fasim, A.; More, V.S.; More, S.S. Large-scale production of enzymes for biotechnology uses. Curr. Opin. Biotechnol. 2021, 69, 68–76. [Google Scholar] [CrossRef] [PubMed]
- Grand View Research Inc., USA. Industrial Enzymes Market Size, Share & Trends Analysis Report By Product (Carbohydrase, Proteases), by Source (Plants, Animals, Microorganisms), by Application (Food & Beverages, Detergents, Animal Feed), by Region, and Segment Forecasts, 2024–2030. Available online: https://www.grandviewresearch.com/industry-analysis/industrial-enzymes-market (accessed on 19 September 2024).
- Mangiagalli, M.; Lotti, M. Cold-Active β-Galactosidases: Insight into Cold Adaptation Mechanisms and Biotechnological Exploitation. Mar. Drugs 2021, 19, 43. [Google Scholar] [CrossRef] [PubMed]
- Hamid, B.; Bashir, Z.; Yatoo, A.M.; Mohiddin, F.; Majeed, N.; Bansal, M.; Poczai, P.; Almalki, W.H.; Sayyed, R.Z.; Shati, A.A.; et al. Cold-Active Enzymes and Their Potential Industrial Applications—A Review. Molecules 2022, 27, 5885. [Google Scholar] [CrossRef] [PubMed]
- Kuddus, M.; Roohi; Bano, N.; Sheik, G.B.; Joseph, B.; Hamid, B.; Sindhu, R.; Madhavan, A. Cold-active microbial enzymes and their biotechnological applications. Microb. Biotechnol. 2024, 17, e14467. [Google Scholar] [CrossRef]
- Espina, G.; Muñoz-Ibacache, S.A.; Cáceres-Moreno, P.; Amenabar, M.J.; Blamey, J.M. From the Discovery of Extremozymes to an Enzymatic Product: Roadmap Based on Their Applications. Front. Bioeng. Biotechnol. 2022, 9, 752281. [Google Scholar] [CrossRef]
- Wanarska, M.; Krajewska-Przybyszewska, E.; Wicka-Grochocka, M.; Cieśliński, H.; Pawlak-Szukalska, A.; Białkowska, A.M.; Turkiewicz, M.; Florczak, T.; Gromek, E.; Krysiak, J.; et al. A New Expression System Based on Psychrotolerant Debaryomyces macquariensis Yeast and Its Application to the Production of Cold-Active β-D-Galactosidase from Paracoccus sp. 32d. Int. J. Mol. Sci. 2022, 23, 11691. [Google Scholar] [CrossRef]
- Movahedpour, A.; Ahmadi, N.; Ghalamfarsa, F.; Ghesmati, Z.; Khalifeh, M.; Maleksabet, A.; Shabaninejad, Z.; Taheri-Anganeh, M.; Savardashtaki, A. β-Galactosidase: From its source and applications to its recombinant form. Biotechnol. Appl. Biochem. 2022, 69, 612–628. [Google Scholar] [CrossRef]
- Sharma, S.K.; Leblanc, R.M. Biosensors based on β-galactosidase enzyme: Recent advances and perspectives. Anal. Biochem. 2017, 535, 1–11. [Google Scholar] [CrossRef]
- Lu, L.; Guo, L.; Wang, K.; Liu, Y.; Xiao, M. β-Galactosidases: A great tool for synthesizing galactose-containing carbohydrates. Biotechnol. Adv. 2020, 39, 107465. [Google Scholar] [CrossRef]
- Lamsal, B.P. Production, health aspects and potential food uses of dairy prebiotic galactooligosaccharides. J. Sci. Food Agric. 2012, 92, 2020–2028. [Google Scholar] [CrossRef]
- Hughes, C.; Davoodi-Semiromi, Y.; Colee, J.C.; Culpepper, T.; Dahl, W.J.; Mai, V.; Christman, M.C.; Langkamp-Henken, B. Galactooligosaccharide supplementation reduces stress-induced gastrointestinal dysfunction and days of cold or flu: A randomized, double-blind, controlled trial in healthy university students. Am. J. Clin. Nutr. 2011, 93, 1305–1311. [Google Scholar] [CrossRef] [PubMed]
- Lee, L.Y.; Bharani, R.; Biswas, A.; Lee, J.; Tran, L.A.; Pecquet, S.; Steenhout, P. Normal growth of infants receiving an infant formula containing Lactobacillus reuteri, galacto-oligosaccharides, and fructo-oligosaccharide: A randomized controlled trial. Matern. Health Neonatol. Perinatol. 2015, 1, 9. [Google Scholar] [CrossRef] [PubMed]
- Wan, J.; An, L.; Ren, Z.; Wang, S.; Yang, H.; Ma, J. Effects of galactooligosaccharides on maternal gut microbiota, glucose metabolism, lipid metabolism and inflammation in pregnancy: A randomized controlled pilot study. Front. Endocrinol. 2023, 14, 1034266. [Google Scholar] [CrossRef] [PubMed]
- Data Bridge Market Research Private Ltd. Global Galacto-Oligosaccharides (GOS) Market—Industry Trends and Forecast to 2029. Available online: https://www.databridgemarketresearch.com/reports/global-galacto-oligosaccharides-gos-market (accessed on 26 September 2024).
- Nooshkam, M.; Babazadeh, A.; Jooyandeh, H. Lactulose: Properties, techno-functional food applications, and food grade delivery system. Trends Food Sci. Technol. 2018, 80, 23–34. [Google Scholar] [CrossRef]
- Wang, M.; Wang, L.; Lyu, X.; Hua, X.; Goddard, J.M.; Yang, R. Lactulose production from lactose isomerization by chemo-catalysts and enzymes: Current status and future perspectives. Biotechnol. Adv. 2022, 60, 108021. [Google Scholar] [CrossRef]
- Li, W.; Xiang, X.; Tang, S.; Hu, B.; Tian, L.; Sun, Y.; Ye, H.; Zeng, X. Effective Enzymatic Synthesis of Lactosucrose and Its Analogues by β-d-Galactosidase from Bacillus circulans. J. Agric. Food Chem. 2009, 57, 3927–3933. [Google Scholar] [CrossRef]
- Duarte, L.S.; Schöffer, J.N.; Lorenzoni, A.S.G.; Rodrigues, R.C.; Rodrigues, E.; Hertz, P.F. A new bioprocess for the production of prebiotic lactosucrose by an immobilized β-galactosidase. Process Biochem. 2017, 55, 96–103. [Google Scholar] [CrossRef]
- Silvério, S.C.; Macedo, E.A.; Teixeira, J.A.; Rodrigues, L.R. Perspectives on the biotechnological production and potential applications of lactosucrose: A review. J. Funct. Foods 2015, 19, 74–90. [Google Scholar] [CrossRef]
- Grand View Research Inc., USA. Lactase Market Size, Share & Trends Analysis Report By Source (Yeast, Bacteria), by Application (Food & Beverages, Pharmaceuticals), by Form (Powder, Liquid), by Region (APAC, Europe), and Segment Forecasts, 2020–2027. Available online: https://www.grandviewresearch.com/industry-analysis/lactase-market (accessed on 24 September 2024).
- Guerrero, C.; Vera, C.; Conejeros, R.; Illanes, A. Transgalactosylation and hydrolytic activities of commercial preparations of β-galactosidase for the synthesis of prebiotic carbohydrates. Enzyme Microb. Technol. 2015, 70, 9–17. [Google Scholar] [CrossRef]
- Zhang, Z.; Schwartz, S.; Wagner, L.; Miller, W. A greedy algorithm for aligning DNA sequences. J. Comput. Biol. 2000, 7, 203–214. [Google Scholar] [CrossRef]
- Gasteiger, E.; Hoogland, C.; Gattiker, A.; Duvaud, S.; Wilkins, M.R.; Appel, R.D.; Bairoch, A. Protein Identification and Analysis Tools on the Expasy Server. In The Proteomics Protocols Handbook; Springer Protocols Handbooks; Walker, J.M., Ed.; Humana Press Inc.: Totowa, NJ, USA, 2005; pp. 571–607. [Google Scholar] [CrossRef]
- Altschul, S.F.; Wootton, J.C.; Gertz, E.M.; Agarwala, R.; Morgulis, A.; Schäffer, A.A.; Yu, Y.K. Protein database searches using compositionally adjusted substitution matrices. FEBS J. 2005, 272, 5101–5109. [Google Scholar] [CrossRef] [PubMed]
- Madeira, F.; Madhusoodanan, N.; Lee, J.; Eusebi, A.; Niewielska, A.; Tivey, A.R.N.; Lopez, R.; Butcher, S. The EMBL-EBI Job Dispatcher sequence analysis tools framework in 2024. Nucleic Acids Res. 2024, 52, W521–W525. [Google Scholar] [CrossRef] [PubMed]
- Paysan-Lafosse, T.; Blum, M.; Chuguransky, S.; Grego, T.; Pinto, B.L.; Salazar, G.A.; Bileschi, M.L.; Bork, P.; Bridge, A.; Colwell, L.; et al. InterPro in 2022. Nucleic Acids Res. 2023, 51, D418–D427. [Google Scholar] [CrossRef] [PubMed]
- Jumper, J.; Evans, R.; Pritzel, A.; Green, T.; Figurnov, M.; Ronneberger, O.; Tunyasuvunakool, K.; Bates, R.; Žídek, A.; Potapenko, A.; et al. Highly accurate protein structure prediction with AlphaFold. Nature 2021, 596, 583–589. [Google Scholar] [CrossRef]
- Zhang, Y.; Skolnick, J. TM-align: A protein structure alignment algorithm based on the TM-score. Nucleic Acids Res. 2005, 33, 2302–2309. [Google Scholar] [CrossRef]
- Rutkiewicz, M.; Bujacz, A.; Wanarska, M.; Wierzbicka-Wos, A.; Cieslinski, H. Active Site Architecture and Reaction Mechanism Determination of Cold Adapted β-d-galactosidase from Arthrobacter sp. 32cB. Int. J. Mol. Sci. 2019, 20, 4301. [Google Scholar] [CrossRef]
- Hidaka, M.; Fushinobu, S.; Ohtsu, N.; Motoshima, H.; Matsuzawa, H.; Shoun, H.; Wakagi, T. Trimeric crystal structure of the glycoside hydrolase family 42 beta-galactosidase from Thermus thermophilus A4 and the structure of its complex with galactose. J. Mol. Biol. 2002, 322, 79–91. [Google Scholar] [CrossRef]
- Fan, Y.; Yi, J.; Hua, X.; Feng, Y.; Yang, R.; Zhang, Y. Structure analysis of a glycosides hydrolase family 42 cold-adapted β-galactosidase from Rahnella sp. R3. RSC Adv. 2016, 6, 37362–37369. [Google Scholar] [CrossRef]
- Sutthiwong, N.; Fouillaud, M.; Valla, A.; Caro, Y.; Dufossé, L. Bacteria belonging to the extremely versatile genus Arthrobacter as novel source of natural pigments with extended hue range. Food Res. Int. 2014, 65, 156–162. [Google Scholar] [CrossRef]
- Sutthiwong, N.; Lekavat, S.; Dufossé, L. Involvement of Versatile Bacteria Belonging to the Genus Arthrobacter in Milk and Dairy Products. Foods 2023, 12, 1270. [Google Scholar] [CrossRef]
- Zhang, D.C.; Schumann, P.; Liu, H.C.; Xin, Y.H.; Zhou, Y.G.; Schinner, F.; Margesin, R. Arthrobacter alpinus sp. nov., a psychrophilic bacterium isolated from alpine soil. Int. J. Syst. Evol. Microbiol. 2010, 60, 2149–2153. [Google Scholar] [CrossRef] [PubMed]
- White, P.L.; Wynn-Williams, D.D.; Russell, N.J. Diversity of thermal responses of lipid composition in the membranes of the dominant culturable members of an Antarctic fellfield soil bacterial community. Antarct. Sci. 2000, 12, 386–393. [Google Scholar] [CrossRef]
- Karasová-Lipovová, P.; Strnad, H.; Spiwok, V.; Malá, Š.; Králová, B.; Russell, N.J. The cloning, purification and characterization of a cold-active β-galactosidase from the psychrotolerant Antarctic bacterium Arthrobacter sp. C2-2. Enzym. Microb. Technol. 2003, 33, 836–844. [Google Scholar] [CrossRef]
- Coker, J.A.; Sheridan, P.P.; Loveland-Curtze, J.; Gutshall, K.R.; Auman, A.J.; Brenchley, J.E. Biochemical characterization of a β-galactosidase with a low temperature optimum obtained from an Antarctic Arthrobacter isolate. J. Bacteriol. 2003, 185, 5473–5482. [Google Scholar] [CrossRef]
- Białkowska, A.M.; Cieśliński, H.; Nowakowska, K.M.; Kur, J.; Turkiewicz, M. A new β-galactosidase with a low temperature optimum isolated from the Antarctic Arthrobacter sp. 20B: Gene cloning, purification and characterization. Arch. Microbiol. 2009, 191, 825–835. [Google Scholar] [CrossRef]
- Ke, X.; Tang, X.; Gai, Y.; Mehmood, M.A.; Xiao, X.; Wang, F. Molecular characterization of cold-inducible β-galactosidase from Arthrobacter sp. ON14 isolated from Antarctica. J. Microbiol. Biotechnol. 2011, 21, 236–242. [Google Scholar]
- Hildebrandt, P.; Wanarska, M.; Kur, J. A new cold-adapted β-d-galactosidase from the Antarctic Arthrobacter sp. 32c-gene cloning, overexpression, purification and properties. BMC Microbiol. 2009, 9, 151. [Google Scholar] [CrossRef]
- Pawlak-Szukalska, A.; Wanarska, M.; Popinigis, A.T.; Kur, J. A novel cold-active β-d-galactosidase with transglycosylation activity from the Antarctic Arthrobacter sp. 32cB-gene cloning, purification and characterization. Process Biochem. 2014, 49, 2122–2133. [Google Scholar] [CrossRef]
- Drula, E.; Garron, M.L.; Dogan, S.; Lombard, V.; Henrissat, B.; Terrapon, N. The carbohydrate-active enzyme database: Functions and literature. Nucleic Acids Res. 2022, 50, D571–D577. [Google Scholar] [CrossRef]
- Loveland, J.; Gutshall, K.; Kasmir, J.; Prema, P.; Brenchley, J.E. Characterization of psychrotrophic microorganisms producing β-galactosidase activities. Appl. Environ. Microbiol. 1994, 60, 12–18. [Google Scholar] [CrossRef]
- Trimbur, D.E.; Gutshall, K.R.; Prema, P.; Brenchley, J.E. Characterization of a psychrotrophic Arthrobacter gene and its cold-active β-galactosidase. Appl. Environ. Microbiol. 1994, 60, 4544–4552. [Google Scholar] [CrossRef] [PubMed]
- Gutshall, K.; Wang, K.; Brenchley, J.E. A novel Arthrobacter β-galactosidase with homology to eucaryotic β-galactosidases. J. Bacteriol. 1997, 179, 3064–3067. [Google Scholar] [CrossRef] [PubMed]
- Gutshall, K.R.; Trimbur, D.E.; Kasmir, J.J.; Brenchley, J.E. Analysis of a novel gene and β-galactosidase isozyme from psychrotrophic Arthrobacter isolate. J. Bacteriol. 1995, 177, 1981–1988. [Google Scholar] [CrossRef]
- Skálová, T.; Dohnálek, J.; Spiwok, V.; Lipovová, P.; Vondráčková, E.; Petroková, H.; Dušková, J.; Strnad, H.; Králová, B.; Hašek, J. Cold-active β-galactosidase from Arthrobacter sp. C2-2 forms compact 660 kDa hexamers: Crystal structure at 1.9 Å resolution. J. Mol. Biol. 2005, 353, 282–294. [Google Scholar] [CrossRef]
- Rutkiewicz, M.; Wanarska, M.; Bujacz, A. Mapping the Transglycosylation Relevant Sites of Cold-Adapted β-d-Galactosidase from Arthrobacter sp. 32cB. Int. J. Mol. Sci. 2020, 21, 5354. [Google Scholar] [CrossRef]
- Juers, D.H.; Matthews, B.W.; Huber, R.E. LacZ β-galactosidase: Structure and function of an enzyme of historical and molecular biological importance. Protein Sci. 2012, 21, 1792–1807. [Google Scholar] [CrossRef]
- de Albuquerque, T.L.; de Sousa, M.; Gomes E Silva, N.C.; Girão Neto, C.A.C.; Gonçalves, L.R.B.; Fernandez-Lafuente, R.; Rocha, M.V.P. β-Galactosidase from Kluyveromyces lactis: Characterization, production, immobilization and applications—A review. Int. J. Biol. Macromol. 2021, 191, 881–898. [Google Scholar] [CrossRef]
- Nakagawa, T.; Fujimoto, Y.; Ikehata, R.; Miyaji, T.; Tomizuka, N. Purification and molecular characterization of cold-active β-galactosidase from Arthrobacter psychrolactophilus strain F2. Appl. Microbiol. Biotechnol. 2006, 72, 720–725. [Google Scholar] [CrossRef]
- Nakagawa, T.; Ikehata, R.; Myoda, T.; Miyaji, T.; Tomizuka, N. Overexpression and functional analysis of cold-active beta-galactosidase from Arthrobacter psychrolactophilus strain F2. Protein Expr. Purif. 2007, 54, 295–299. [Google Scholar] [CrossRef]
- Wierzbicka-Woś, A.; Cieśliński, H.; Wanarska, M.; Kozłowska-Tylingo, K.; Hildebrandt, P.; Kur, J. A novel cold-active β-d-galactosidase from the Paracoccus sp. 32d-gene cloning, purification and characterization. Microb. Cell Fact. 2011, 10, 108. [Google Scholar] [CrossRef]
- Schmidt, M.; Stougaard, P. Identification, cloning and expression of a cold-active β-galactosidase from a novel Arctic bacterium, Alkalilactibacillus ikkense. Environ. Technol. 2010, 31, 1107–1114. [Google Scholar] [CrossRef] [PubMed]
- Turkiewicz, M.; Kur, J.; Białkowska, A.; Cieśliński, H.; Kalinowska, H.; Bielecki, S. Antarctic marine bacterium Pseudoalteromonas sp. 22b as a source of cold-adapted β-galactosidase. Biomol. Eng. 2003, 20, 317–324. [Google Scholar] [CrossRef] [PubMed]
- Cieśliński, H.; Kur, J.; Białkowska, A.; Baran, I.; Makowski, K.; Turkiewicz, M. Cloning, expression, and purification of a recombinant cold-adapted β-galactosidase from antarctic bacterium Pseudoalteromonas sp. 22b. Protein Expr. Purif. 2005, 39, 27–34. [Google Scholar] [CrossRef] [PubMed]
- Yao, C.; Sun, J.; Wang, W.; Zhuang, Z.; Liu, J.; Hao, J. A novel cold-adapted β-galactosidase from Alteromonas sp. ML117 cleaves milk lactose effectively at low temperature. Process Biochem. 2019, 82, 94–101. [Google Scholar] [CrossRef]
- Santos, A.; Ladero, M.; Garcia-Ochoa, F. Kinetic modeling of lactose hydrolysis by a β-galactosidase from Kluyveromices fragilis. Enzyme Microb. Technol. 1998, 22, 558–567. [Google Scholar] [CrossRef]
- Jurado, E.; Camacho, F.; Luzón, G.; Vicaria, J.M. A new kinetic model proposed for enzymatic hydrolysis of lactose by a β-galactosidase from Kluyveromyces fragilis. Enzym. Microb. Technol. 2002, 31, 300–309. [Google Scholar] [CrossRef]
- Makowski, K.; Białkowska, A.; Szczęsna-Antczak, M.; Kalinowska, H.; Kur, J.; Cieśliński, H.; Turkiewicz, M. Immobilized preparation of cold-adapted and halotolerant Antarctic β-galactosidase as a highly stable catalyst in lactose hydrolysis. FEMS Microbiol. Ecol. 2007, 59, 535–542. [Google Scholar] [CrossRef]
- Tsioulpas, A.; Lewis, M.J.; Grandison, A.S. Effect of minerals on casein micelle stability of cows’ milk. J. Dairy Res. 2007, 74, 167–173. [Google Scholar] [CrossRef]
- Gaucheron, F. The minerals of milk. Reprod. Nutr. Dev. 2005, 45, 473–483. [Google Scholar] [CrossRef]
- Maksimainen, M.; Paavilainen, S.; Hakulinen, N.; Rouvinen, J. Structural analysis, enzymatic characterization, and catalytic mechanisms of β-galactosidase from Bacillus circulans sp. alkalophilus. FEBS J. 2012, 279, 1788–1798. [Google Scholar] [CrossRef]
- Fan, Y.; Hua, X.; Zhang, Y.; Feng, Y.; Shen, Q.; Dong, J.; Zhao, W.; Zhang, W.; Jin, Z.; Yang, R. Cloning, expression and structural stability of a cold-adapted β-galactosidase from Rahnella sp. R3. Protein Expr. Purif. 2015, 115, 158–164. [Google Scholar] [CrossRef] [PubMed]
- Hu, J.M.; Li, H.; Cao, L.X.; Wu, P.C.; Zhang, C.T.; Sang, S.L.; Zhang, X.Y.; Chen, M.J.; Lu, J.Q.; Liu, Y.H. Molecular cloning and characterization of the gene encoding cold-active beta-galactosidase from a psychrotrophic and halotolerant Planococcus sp. L4. J. Agric. Food Chem. 2007, 55, 2217–2224. [Google Scholar] [CrossRef] [PubMed]
- Sheridan, P.P.; Brenchley, J.E. Characterization of a salt-tolerant family 42 beta-galactosidase from a psychrophilic antarctic Planococcus isolate. Appl. Environ. Microbiol. 2000, 66, 2438–2444. [Google Scholar] [CrossRef] [PubMed]
- Mangiagalli, M.; Lapi, M.; Maione, S.; Orlando, M.; Brocca, S.; Pesce, A.; Barbiroli, A.; Camilloni, C.; Pucciarelli, S.; Lotti, M.; et al. The co-existence of cold activity and thermal stability in an Antarctic GH42 β-galactosidase relies on its hexameric quaternary arrangement. FEBS J. 2021, 288, 546–565. [Google Scholar] [CrossRef]
- Mahdian, S.M.; Karimi, E.; Tanipour, M.H.; Parizadeh, S.M.; Ghayour-Mobarhan, M.; Bazaz, M.M.; Mashkani, B. Expression of a functional cold active β-galactosidase from Planococcus sp-L4 in Pichia pastoris. Protein Expr. Purif. 2016, 125, 19–25. [Google Scholar] [CrossRef]
- Wang, K.; Li, G.; Yu, S.Q.; Zhang, C.T.; Liu, Y.H. A novel metagenome-derived beta-galactosidase: Gene cloning, overexpression, purification and characterization. Appl. Microbiol. Biotechnol. 2010, 88, 155–165. [Google Scholar] [CrossRef]
- Wang, L.; Mou, Y.; Guan, B.; Hu, Y.; Zhang, Y.; Zeng, J.; Ni, Y. Genome sequence of the psychrophilic Cryobacterium sp. LW097 and characterization of its four novel cold-adapted β-galactosidases. Int. J. Biol. Macromol. 2020, 163, 2068–2083. [Google Scholar] [CrossRef]
- Coombs, J.M.; Brenchley, J.E. Biochemical and phylogenetic analyses of a cold-active β-galactosidase from the lactic acid bacterium Carnobacterium piscicola BA. Appl. Environ. Microbiol. 1999, 65, 5443–5450. [Google Scholar] [CrossRef]
- Makowski, K.; Białkowska, A.; Olczak, J.; Kur, J.; Turkiewicz, M. Antarctic, cold-adapted β-galactosidase of Pseudoalteromonas sp. 22b as an effective tool for alkyl galactopyranosides synthesis. Enzym. Microb. Technol. 2009, 44, 59–60. [Google Scholar] [CrossRef]
- Weisburg, W.G.; Barns, S.M.; Pelletier, D.A.; Lane, D.J. 16S Ribosomal DNA amplification for phylogenetic study. J. Bacteriol. 1991, 173, 697–703. [Google Scholar] [CrossRef]
- Bradford, M.M. A rapid and sensitive method for the quantitation of microgram quantities of protein utilizing the principle of protein-dye binding. Anal. Biochem. 1976, 72, 248–254. [Google Scholar] [CrossRef]










| Organism | GenBank Accession No. | Identity (%) | Similarity (%) |
|---|---|---|---|
| Arthrobacter sp. ON14 | ADJ18283.1 | 99.7 | 99.8 |
| Arthrobacter psychrolactophilus F2 | BAF33372.1 | 97.3 | 98.4 |
| Arthrobacter sp. C2-2 | CAD29775.1 | 84.6 | 93.6 |
| Arthrobacter sp. B7 | AAA69907.1 | 83.0 | 92.7 |
| Arthrobacter sp. 20B | ACI41243.1 | 72.1 | 87.0 |
| Arthrobacter sp. SB | AAQ19029.1 | 71.7 | 87.3 |
| Arthrobacter sp. 32cB | AHY00656.1 | 46.3 | 69.2 |
| Escherichia coli K12 | ABN72582.1 | 34.1 | 59.5 |
| Organism | GenBank Accession No. | Identity (%) | Similarity (%) |
|---|---|---|---|
| Arthrobacter sp. ON14 | ADJ18282.1 | 99.7 | 99.7 |
| Arthrobacter sp. 32c | ACU00913.1 | 71.8 | 88.5 |
| Arthrobacter sp. B7 | AAA75601.1 | 48.2 | 67.9 |
| Carnobacterium maltaromaticum BA | AAF16519.1 | 41.7 | 70.5 |
| Planococcus sp. SOS Orange | AAF75984.1 | 39.8 | 69.3 |
| Planococcus sp. L4 | ABI64125.1 | 39.2 | 69.6 |
| Thermus thermophilus A4 | BAA28362.1 | 35.8 | 59.7 |
| Rahnella sp. R3 | AJC52391.1 | 35.3 | 51.1 |
| Marinomonas sp. ef1 | WP_100635792.1 | 29.3 | 44.0 |
| Purification Step | Protein (mg) | Total Activity (U) | Specific Activity (U mg−1) | Yield (%) | ||||
|---|---|---|---|---|---|---|---|---|
| Bgal2 | Bgal42 | Bgal2 | Bgal42 | Bgal2 | Bgal42 | Bgal2 | Bgal42 | |
| Cell-free extract | 451 | 480 | 1580 | 3360 | 3.5 | 7.0 | 100 | 100 |
| IEX, Fractogel EMD DEAE | 48.0 | 52.0 | 1300 | 2830 | 27.1 | 54.4 | 82.3 | 84.2 |
| IEX, Fractogel EMD TMAE | 20.0 | 35.0 | 1100 | 2500 | 55.0 | 71.4 | 69.6 | 74.4 |
| GF, SuperdexTM 200 10/300 GL | 11.0 | 20.0 | 956 | 2310 | 86.9 | 115 | 60.5 | 68.7 |
| Metal Ion/EDTA (5 mM) | Relative Activity (%) | Reducing Agent (10 mM) | Relative Activity (%) | ||
|---|---|---|---|---|---|
| Bgal2 | Bgal42 | Bgal2 | Bgal42 | ||
| None | 100 | 100 | None | 100 | 100 |
| Mg2+ | 145 ± 4.6 | 199 ± 5.5 | DTT | 81 ± 2.7 | 102 ± 3.1 |
| Ca2+ | 55 ± 1.7 | 176 ± 4.8 | Cysteine | 28 ± 1.1 | 91 ± 2.4 |
| Mn2+ | 76 ± 2.5 | 72 ± 2.3 | Glutathione | 47 ± 1.5 | 51 ± 2.0 |
| Co2+ | 9 ± 1.1 | 63 ± 2.1 | TCEP | 2 ± 0.7 | 1 ± 0.7 |
| Ni2+ | 9 ± 1.0 | 44 ± 1.8 | |||
| Zn2+ | 0 ± 0.2 | 2 ± 0.8 | |||
| EDTA | 15 ± 1.4 | 306 ± 8.9 | |||
| Enzyme | Temperature (°C) | Km (mM) | Vmax (U mg−1) | kcat (s−1) | kcat/Km (s−1 mM−1) | ||||
|---|---|---|---|---|---|---|---|---|---|
| ONPG | Lactose | ONPG | Lactose | ONPG | Lactose | ONPG | Lactose | ||
| Bgal2 | 10 | 0.71 ± 0.11 | 11.70 ± 0.22 | 32.13 ± 1.15 | 11.00 ± 0.35 | 59.94 ± 2.13 | 20.50 ± 1.12 | 83.92 | 1.75 |
| 20 | 0.32 ± 0.07 | 16.70 ± 0.81 | 46.81 ± 1.54 | 21.42 ± 0.91 | 87.30 ± 2.47 | 39.91 ± 1.41 | 274.10 | 2.39 | |
| Bgal42 | 10 | 1.38 ± 0.23 | 1.17 ± 0.25 | 73.90 ± 1.78 | 0.27 ± 0.09 | 91.70 ± 2.88 | 0.34 ± 0.13 | 66.45 | 0.29 |
| 20 | 0.76 ± 0.04 | 0.92 ± 0.18 | 117.70 ± 2.01 | 0.48 ± 0.12 | 146.05 ± 3.15 | 0.60 ± 0.15 | 193.40 | 0.64 | |
| 30 | 1.23 ± 0.18 | 1.91 ± 0.33 | 276.94 ± 3.26 | 0.99 ± 0.18 | 343.75 ± 2.61 | 1.24 ± 0.17 | 278.49 | 0.65 | |
| 40 | 3.92 ± 0.74 | 1.53 ± 0.35 | 512.31 ± 5.13 | 0.99 ± 0.20 | 635.91 ± 5.89 | 1.24 ± 0.18 | 162.20 | 0.81 | |
Disclaimer/Publisher’s Note: The statements, opinions and data contained in all publications are solely those of the individual author(s) and contributor(s) and not of MDPI and/or the editor(s). MDPI and/or the editor(s) disclaim responsibility for any injury to people or property resulting from any ideas, methods, instructions or products referred to in the content. |
© 2024 by the authors. Licensee MDPI, Basel, Switzerland. This article is an open access article distributed under the terms and conditions of the Creative Commons Attribution (CC BY) license (https://creativecommons.org/licenses/by/4.0/).
Share and Cite
Wanarska, M.; Pawlak-Szukalska, A.; Rosińska, A.; Kozłowska-Tylingo, K. Heterologous Production, Purification and Characterization of Two Cold-Active β-d-Galactosidases with Transglycosylation Activity from the Psychrotolerant Arctic Bacterium Arthrobacter sp. S3* Isolated from Spitsbergen Island Soil. Int. J. Mol. Sci. 2024, 25, 13354. https://doi.org/10.3390/ijms252413354
Wanarska M, Pawlak-Szukalska A, Rosińska A, Kozłowska-Tylingo K. Heterologous Production, Purification and Characterization of Two Cold-Active β-d-Galactosidases with Transglycosylation Activity from the Psychrotolerant Arctic Bacterium Arthrobacter sp. S3* Isolated from Spitsbergen Island Soil. International Journal of Molecular Sciences. 2024; 25(24):13354. https://doi.org/10.3390/ijms252413354
Chicago/Turabian StyleWanarska, Marta, Anna Pawlak-Szukalska, Aleksandra Rosińska, and Katarzyna Kozłowska-Tylingo. 2024. "Heterologous Production, Purification and Characterization of Two Cold-Active β-d-Galactosidases with Transglycosylation Activity from the Psychrotolerant Arctic Bacterium Arthrobacter sp. S3* Isolated from Spitsbergen Island Soil" International Journal of Molecular Sciences 25, no. 24: 13354. https://doi.org/10.3390/ijms252413354
APA StyleWanarska, M., Pawlak-Szukalska, A., Rosińska, A., & Kozłowska-Tylingo, K. (2024). Heterologous Production, Purification and Characterization of Two Cold-Active β-d-Galactosidases with Transglycosylation Activity from the Psychrotolerant Arctic Bacterium Arthrobacter sp. S3* Isolated from Spitsbergen Island Soil. International Journal of Molecular Sciences, 25(24), 13354. https://doi.org/10.3390/ijms252413354

