Abstract
Nile tilapia (Oreochromis niloticus) and European sea bass (Dicentrarchus labrax) are economically significant species in Mediterranean countries, serving essential roles in the aquaculture industry due to high market demand and nutritional value. They experience substantial losses from bacterial pathogens Vibrio anguillarum and Streptococcus iniae, particularly at the onset of the summer season. The immune mechanisms involved in fish infections by V. anguillarum and S. iniae remain poorly understood. This study investigated their impact through experiments with control and V. anguillarum- and S. iniae-infected groups for each species. Blood samples were collected at 1, 3, and 7 days post bacterial injection to assess biochemical and immunological parameters, including enzyme activities (AST and ALT), oxidative markers (SOD, GPX, CAT, and MDA), and leukocyte counts. Further analyses included phagocyte activity, lysozyme activity, IgM levels, and complement C3 and C4 levels. Muscle tissues were sampled at 1, 3, and 7 days post injection to assess mRNA expression levels of 18 immune-relevant genes. The focus was on cytokines and immune-related genes, including pro-inflammatory cytokines (TNF-α, TNF-β, IL-2, IL-6, IL-8, IL-12, and IFN-γ), major histocompatibility complex components (MHC-IIα and MHC-IIβ), cytokine receptors (CXCL-10 and CD4-L2), antimicrobial peptides (Pleurocidin and β-defensin), immune regulatory peptides (Thymosin β12, Leap 2, and Lysozyme g), and Galectins (Galectin-8 and Galectin-9). β-actin was used as the housekeeping gene for normalization. Significant species-specific responses were observed in N. Tilapia and E. Sea Bass when infected with V. anguillarum and S. iniae, highlighting differences in biochemical, immune, and gene expression profiles. Notably, in N. Tilapia, AST levels significantly increased by day 7 during S. iniae infection, reaching 45.00 ± 3.00 (p < 0.05), indicating late-stage acute stress or tissue damage. Conversely, E. Sea Bass exhibited a significant rise in ALT levels by day 7 in the S. iniae group, peaking at 33.5 ± 3.20 (p < 0.05), suggesting liver distress or a systemic inflammatory response. On the immunological front, N. Tilapia showed significant increases in respiratory burst activity on day 1 for both pathogens, with values of 0.28 ± 0.03 for V. anguillarum and 0.25 ± 0.02 for S. iniae (p < 0.05), indicating robust initial immune activation. Finally, the gene expression analysis revealed a pronounced peak of TNF-α in E. Sea Bass by day 7 post V. anguillarum infection with a fold change of 6.120, suggesting a strong species-specific pro-inflammatory response strategy. Understanding these responses provides critical insights for enhancing disease management and productivity in aquaculture operations.
Keywords:
pathogen; immune; biochemical; gene expression; aquaculture; tilapia; seabass; vibrio; Streptococcus 1. Introduction
Nile Tilapia (Oreochromis niloticus) is a pivotal freshwater species in Mediterranean countries’ aquaculture industry, especially Egypt, and is renowned for its adaptability and rapid growth rates. However, this species is increasingly vulnerable to bacterial infections, notably by Vibrio anguillarum and Streptococcus iniae, particularly during the onset of the summer months when water temperatures rise, creating optimal conditions for these pathogens to thrive. These bacterial pathogens lead to severe outbreaks, resulting in substantial economic losses due to increased mortality rates [1,2,3,4,5]. Globally, N. Tilapia ranks second only to carp in terms of aquaculture production, underscoring its critical role in food security and economic stability in aquaculture-dependent regions. The species is integral not only for local consumption but also as a significant export commodity.
Similarly, the European sea bass (Dicentrarchus labrax) holds substantial commercial significance, particularly in the Mediterranean basin [5,6]. It is a species highly prized for its market value and is central to regional aquaculture endeavors [7,8]. In 2022, Egypt’s aquaculture production reached 1.1 million metric tons, marking a slight decline from 1.6 million metric tons in 2020, with N. Tilapia contributing 61% of the national fish supply and 81% of African Tilapia production. Meanwhile, Egypt produced approximately 30,313 metric tons of E. Sea Bass in 2021, accounting for 11.52% of global production, making it a leading producer alongside Turkey and Greece (GAIN 2022, African Union 2023, FAO 2024). This prominence highlights the country’s strategic importance in the global aquaculture sector [9].
Both O. niloticus and D. labrax are essential to their respective aquaculture industries [5,10,11,12], yet their vulnerability to a spectrum of bacterial pathogens poses a persistent challenge. Addressing these health issues through improved management practices, targeted therapies, and enhanced biosecurity measures is crucial for sustaining their production and mitigating economic impacts [13,14]. This is especially pertinent as the demand for these species continues to grow amidst global efforts to meet rising demands for sustainable seafood [10],
Despite these advantages, the species are heavily impacted by bacterial disease outbreaks, which represent a significant barrier to the economic advancement of aquaculture in the region. These outbreaks can lead to alarming mortality rates [15]. One of the primary culprits is V. anguillarum—a Gram-negative pathogen known for causing vibriosis, which is characterized by skin ulcers and hemorrhagic septicemia in infected fish. Similarly, S. iniae is a Gram-positive bacterium that causes streptococcosis, leading to considerable economic crises in global aquaculture, notably affecting freshwater and marine species. This pathogen is recognized for inducing high mortality rates and manifests through symptoms such as meningoencephalitis and skin lesions, particularly under stress conditions [1,16,17,18].
The pathogenic mechanisms of S. iniae include virulence factors that enable efficient colonization and invasion of host tissues, contributing to its potent impact on aquaculture species [19,20]. Effective responses to V. anguillarum hinge on understanding its pathogenicity, which involves iron acquisition systems and toxin production that are key to its survival and pathogenicity in aquatic environments [1,2,3,4,5]. In fish, immune responses to bacterial invasions heavily involve organs such as the tissues muscles, kidney, and spleen, which are essential for both innate and adaptive immunity [21,22,23]. White blood cells play a crucial role, expressing immune-related genes crucial for both immediate and long-term immune responses [24].
Leukocytes, including neutrophils, monocytes/macrophages, and B lymphocytes, engage in robust intracellular and extracellular antimicrobial defenses [24], largely mediated by respiratory burst activities that produce reactive oxygen species (REOS) like superoxide anions, hydrogen peroxide, and hydroxyl radicals to attack pathogens. These responses are linked with the release of inflammatory cytokines that facilitate chemotaxis and mobilization of phagocytes, which are key to sustaining the fish’s immune defense [25,26].
This complex interplay between effector cells and pathogen-driven immune modulation underscores the need for targeted interventions in aquaculture management to mitigate the impacts of these bacterial pathogens, ensuring the sustainability and economic viability of fish farming in Egypt and beyond [7,27]. In this aspect, the discovery and understanding of defense genes that confer resistance against bacterial pathogens like V. anguillarum [1,2,3,4,5] and S. iniae [19,20] are crucial for developing strategies to safeguard fish such as O. niloticus and D. labrax. Key immune response genes, including cytokines and signaling molecules, play vital roles in orchestrating effective defense mechanisms [7,27].
In this regard, tumor necrosis factors (TNFs) are versatile cytokines that play crucial roles in maintaining health and contributing to disease development. Recent research highlights their involvement in modulating adaptive immune responses. However, the understanding of TNFs’ role in regulating adaptive immunity in early vertebrates remains limited. Recently, two TNF isoforms, TNF-α and TNF-β, were discovered in O. niloticus. By examining their sequence characteristics, researchers explored their regulatory impact on fish species’ adaptive immune response. Also, TNF-α and TNF-β are vital for inflammation and apoptosis, contributing to clearing infections [28].
Also, interleukins like IL-2, IL-6, IL-8, and IL-12 are significant modulators of the immune system: IL-2 promotes T-cell proliferation, IL-6 acts as a pro-inflammatory cytokine, IL-8 recruits neutrophils to infection sites, and IL-12 enhances the differentiation of T-helper cells [29,30,31,32].
Additionally, antimicrobial peptides (AMPs) serve as a primary defense mechanism against various pathogens in fish and are critical components of the innate immune system in teleost fish [33]. In recent studies, fish have been identified as a valuable source of AMPs with significant potential as antibiotic alternatives. Bahabadi et al. [34] highlighted these peptides’ potential antibiotic properties across various fish species. Bhat et al. [35] demonstrated that the novel peptide KK12YW exhibits strong antibacterial activity against several fish bacterial pathogens. Masso-Silva and Diamond [36] reviewed the broad-spectrum antimicrobial and immunomodulatory effects of AMPs from fish species including winter flounder and Moses sole. Fekih-Zaghbib et al. [37] identified Chrysophsin-1 and Oncorhyncin-I as potent antimicrobial biomarkers in the mucus of Sparus aurata, D. labrax, and Pagrus pagrus. Additionally, Ferez-Puche et al. [38] discovered a novel β-defensin gene in Sparus aurata, underscoring its importance in immune response regulation. Also, zebrafish (Danio rerio) exhibit an upregulation of the nk-lysin gene when challenged with the spring viraemia of the carp virus (SVCV) [39]. In certain fish species, such as the mandarin fish, some AMPs have been identified, including piscidin [40], lysozyme g [41], β-defensin [42], hepcidin [43], and Galectin genes [44]. Piscidin is predominantly expressed in the spleen and kidney of mandarin fish. While lysozyme appears to play a role in defense against A. hydrophila [45], β-defensin presents inhibitory effects against bacterial strains like A. hydrophila and Staphylococcus aureus [42]. Hepcidin contributes to the inflammatory response [43], and both Galectin-8 and Galectin-9 are effective against various bacterial strains. The roles of these genes in fighting bacterial infections can vary even within different species [44].
Understanding and leveraging these genes can potentially lead to the enhancement of disease resistance in aquaculture species, providing pathways to genetically resilient lines and innovative treatments, ultimately securing the sustainability and productivity of the aquaculture sector amidst bacterial challenges.
This study aims to investigate the biochemical and immune response profiles in N. Tilapia (O. niloticus) and E. Sea Bass (D. labrax) during bacterial pathogen challenges, with a particular focus on the gene expression associated with immune responses. Previous studies, such as those by Elbahnaswy et al. [46], Tang et al. [29], Hal et al. [30], and Li et al. [32] have explored close aspects in several fish species with different bacteria species, finding that specific genes related to cytokines, chemokines, and antimicrobial peptides are differentially expressed in response to pathogen exposure. These findings suggest that understanding gene expression patterns is critical for comprehending the immune response dynamics in aquaculture species.
Building on this existing knowledge, our research posits the following hypotheses: (1) exposure to bacterial pathogens will result in distinct, species-specific changes in the expression of immune-related genes in O. niloticus and D. labrax; (2) these changes will correlate with measurable differences in biochemical markers of stress and immune function. By comprehensively analyzing both species under controlled pathogen challenges, this study seeks to uncover significant species-specific responses that could inform new management strategies and therapeutic interventions. These insights are vital for enhancing disease resistance in aquaculture, thereby ensuring economic viability and sustaining seafood supply amid rising global demands.
2. Results
2.1. Identification and PCR Confirmation
Based on the successful amplification of three target genes, we were able to confidently confirm the identification of the bacterial strains. For V. anguillarum, we successfully amplified a 439-base pair (bp) segment of the empA gene (Figure 1 and Figure S1), following the previously established protocols. This result indicates an accurate detection using the method described by Xiao et al. [47].
Figure 1.
PCR amplification results for empA gene fragment (439 bp) from V. anguillarum isolated from infected fish samples. Columns represent M for the 2 kbp DNA marker, and Columns 3–12 and 16–23 for the infected samples, and Columns 2, 13, 15 and 24 for positive control.
Additionally, our PCR-based assay for S. iniae demonstrated reliable amplification of two specific DNA segments: a 300 bp fragment from the Sin/ 16S rRNA gene (Figure 2 and Figure S2) and an 870 bp fragment from the lctO gene (Figure 3 and Figure S3). These results align with the methodologies of Zlotkin et al. [48] and Mata et al. [49] confirming the presence of the species through conserved genetic regions.
Figure 2.
PCR amplification results for Sin gene fragment (300 bp) from S. iniae isolated from infected fish samples. Columns represent M for the 2 kbp DNA marker, and Columns 3–12 and 16–23 for the infected samples, and Columns 2, 13, 15 and 24 for positive control.
Figure 3.
PCR amplification results for lctO gene fragment (870 bp) from S. iniae isolated from infected fish samples. Columns represent M for the 5 kbp DNA marker, and columns 3–12 and 16–23 for the infected samples C column; negative control, and Columns 2, 13, 15 and 24 for positive control.
2.2. Biochemical Parameters and Oxidation Assays
2.2.1. Biochemical Parameters
The biochemical indices reveal significant alterations between N. Tilapia and E. Sea Bass when infected by V. anguillarum and S. iniae, with key differences observed across the varying days of infection. In N. Tilapia, there was a marked reduction in ALT and AST levels on day 1 and day 3 in the infected groups compared to the control, indicating a diminished immune response post infection. By day 7, however, a notable increase in AST was observed particularly with S. iniae infection (45.00 ± 3.00), signifying a potential late-stage acute stress or widespread tissue damage. Contrastingly, urea levels significantly rose by day 3 in infected groups, notably with V. anguillarum, suggesting altered protein metabolism possibly due to stress-induced catabolic processes. Creatinine levels consistently showed minor fluctuations yet remained generally comparable aside from slight increases indicating mild renal implications due to infection stress (Table 1).
Table 1.
Biochemical indices of N. Tilapia and E. Sea Bass infected by V. anguillarum and S. iniae.
In E. Sea Bass, unlike N. Tilapia, the initial days post infection (day 1 and day 3) showed relatively stable biochemical indices with no significant differences in ALT and AST levels among the control and infected groups, reflecting possibly an early nonspecific immune response or high baseline resilience. Nonetheless, by day 7, there was a profound escalation in both ALT (up to 33.5 ± 3.20 in S. iniae group) and AST levels, indicative of liver distress or systemic inflammatory response to both bacterial strains. Urea and creatinine levels also rose significantly, denoting either an overload of nitrogenous waste products or dehydration impact associated with increased metabolic demand due to prolonged immune activity (Table 1).
These biochemical changes across different days of infection and between the two types of fish highlight varied immune responses. The early decrease and later surge in enzyme activities in N. Tilapia imply a potentially biphasic immune response, whereas the E. Sea Bass exhibited a delayed yet pronounced stress response by day 7. The results suggest that fish species differ in their physiological and biochemical coping strategies to bacterial infections, reflecting on their varied immune response capabilities. The escalations in both ALT and AST in latter stages align with inflammatory responses where tissue damage or metabolic distress necessitates heightened enzyme activity, indicating both innate and adaptive immunity engagement.
2.2.2. Oxidation Assays
Concerning MDA, on day 1, MDA levels in N. Tilapia showed a slight decrease in both groups infected with V. anguillarum and S. iniae compared to the control group, with values of 8.11 ± 0.12 IU/I and 8.55 ± 0.20 IU/I, respectively. This decrease suggests an early oxidative stress response. In contrast, E. Sea Bass exhibited a significant reduction in MDA levels to 5.80 ± 0.5 IU/I for the V. anguillarum group and 6.00 ± 0.60 IU/I for the S. iniae group, indicating a more pronounced oxidative response compared to N. Tilapia (Table 2).
Table 2.
Enzymatic antioxidant activities of N. Tilapia and E. Sea Bass infected by V. anguillarum and S. iniae.
Regarding antioxidant enzymes (SOD, GPX, and CAT) responses, on day 3, the activities of SOD for N. Tilapia infected with V. anguillarum significantly increased to 1.91 ± 0.14 IU/I compared to the control, demonstrating an upregulated antioxidant defense. Similarly, E. Sea Bass also showed increased SOD levels, notably with V. anguillarum infection reaching 1.93 ± 0.26 IU/I. A comparable trend was observed in GPX and CAT activities, where N. Tilapia and E. Sea Bass exhibited elevations, especially in GPX levels, reflecting enhanced detoxification of hydrogen peroxide. GPX activity reached 5.02 ± 0.19 IU/I in N. Tilapia with V. anguillarum infection, suggesting heightened oxidative stress mitigation.
For immune impacts, by day 7, variations in enzyme activities and MDA levels illustrated the cumulative effect of prolonged infection. In both fish species, infected groups exposed to either bacterial pathogen showed intricate variations. Most notably, E. Sea Bass demonstrated a return towards baseline values, although with slight residual increases in antioxidant enzymes such as CAT, particularly after V. anguillarum infection, noted at 566 ± 9.23 IU/I. This pattern suggests a partial recovery of immune balance possibly due to adaptive immune responses. Serum MDA levels peaked in E. Sea Bass to 13.00 ± 0.40 IU/I following S. iniae infection, indicating sustained oxidative stress, while N. Tilapia maintained slightly varied responses. Such differences across species and infection types underscore the interplay between innate responses and pathogen specificity (Table 2).
Overall, the comparative analysis reveals a significant species-specific antioxidant response to bacterial infections. E. Sea Bass showed more dynamic changes with both pathogens, possibly reflecting a diverse immune capability or varying stress tolerance. These findings highlight the critical nature of timely antioxidant enzyme responses in mitigating bacterial-induced oxidative stress, providing insights necessary for enhancing aquaculture disease management strategies. Among the results, the notable MDA level reduction and subsequent enzyme activity increases in the sea bass are significant, illustrating key points of defense activation and potential resilience to infections.
2.3. Total and Differential Leukocyte Counts
On day 1, N. Tilapia exposed to V. anguillarum and S. iniae displayed a significant increase in leukocytic counts compared to the control group, with total counts of 35.45 ± 2.78 and 31.40 ± 3.17, respectively (p < 0.05). This increase was accompanied by elevated lymphocytes, neutrophils, and monocytes, indicating a robust initial immune response to bacterial stress (Table 3). By day 3, there was a notable decrease in total leukocytic count, particularly in the V. anguillarum group, which fell to 21.70 ± 2.35, possibly suggesting an adaptive immune regulation or leukocyte redistribution (p < 0.05). By day 7, leukocytic counts surged again, reflecting an active immune response, with counts for V. anguillarum and S. iniae reaching 35.92 ± 3.35 and 35.20 ± 2.22, respectively, highlighting an adaptive immune phase (p < 0.05).
Table 3.
Leukocytic counts in N. Tilapia and E. Sea Bass.
For European sea bass, a comparable pattern was observed. Initial infection with V. anguillarum and S. iniae on day 1 resulted in significant increases in leukocytic counts (35.20 ± 3.00 and 33.00 ± 3.20, respectively), demonstrating a heightened immune response (p < 0.05). Similar to N. Tilapia, a decrease was observed by day 3, particularly for V. anguillarum, where counts decreased to 21.00 ± 2.40 (p < 0.05). By day 7, however, there was a renewed increase in leukocyte activity, with V. anguillarum reaching a heightened count of 38.00 ± 3.60, emphasizing the protracted immune engagement in response to an ongoing pathogenic challenge (p < 0.05). This suggests the immune system’s dynamic capability to adjust its response over time, managing infection while maintaining homeostasis (Table 3).
2.4. Immunological Parameters
In N. Tilapia, the immune response parameters following infection with V. anguillarum and S. iniae demonstrate notable changes compared to the control group. On day 1, respiratory burst activity was significantly heightened in infected groups, measuring 0.28 ± 0.03 and 0.25 ± 0.02 O.D. at 630 nm for V. anguillarum and S. iniae, respectively, compared to 0.20 ± 0.02 in the control (p < 0.05). Serum lysozyme activity and immunoglobulin M levels also increased significantly in response to infection, indicating an active immune defense (p < 0.05). By day 3, these parameters remained elevated with a notable peak in respiratory burst activity for V. anguillarum at 0.33 ± 0.04, suggesting a sustained defensive state. On day 7, a reduction in some parameters like complement C3 and C4 was observed, with drops to 3.00 ± 0.50 and 1.80 ± 0.20 mg/dl, respectively, in V. anguillarum infected groups, indicating potential immune adaptation over time.
In E. Sea Bass, similar trends were observed post infection. On day 1, the respiratory burst activity increased to 0.30 ± 0.04 and 0.27 ± 0.03 for V. anguillarum and S. iniae, respectively, from a baseline of 0.22 ± 0.02 in controls (p < 0.05). Furthermore, serum lysozyme activity and immunoglobulin M levels exhibited significant enhancements, reflecting the activation of immune mechanisms (p < 0.05). By day 3, the highest respiratory burst activity was recorded in the V. anguillarum group at 0.35 ± 0.05, while sustained elevation in lysozyme activity was noted, indicating an ongoing immune response. By day 7, reductions in complement C3 and C4 levels were similar to those seen in N. Tilapia, with values dropping to 3.20 ± 0.70 and 1.90 ± 0.25 mg/dL in V. anguillarum-infected E. Sea Bass, suggesting modulation of the immune response as the fish manage chronic exposure to pathogens (Table 4).
Table 4.
Comparative analysis of immune response parameters in N. Tilapia and E. Sea Bass following bacterial infections.
2.5. Gene Expression Profiles in Response to Bacterial Infections in N. Tilapia and E. Sea Bass
2.5.1. TNF-α and TNF-β Expression Dynamics and Response Comparisons in Analyses
TNF-α expression, which was notably temporal, and interspecies differences were observed. In N. Tilapia, TNF-α expression increased significantly from day 1 to day 7, with V. anguillarum infection yielding a fold change of 5.601 compared to S. iniae’s slightly higher induction of 5.956. These findings underscore the sustained pro-inflammatory response elicited by both bacterial pathogens. In contrast, E. Sea Bass exhibited a pronounced differential response with V. anguillarum infection showing a peak fold change of 6.120 by day 7, indicative of the species-specific innate immune strategies employed. Such data suggest the potential for differential regulation of inflammatory pathways between the two species (Figure 4A).
Figure 4.
The relative expression levels of TNF-α (A), TNF-β (B), IL-2 (C), IL-6 (D), IL-8 (E), and IL-12 (F) genes in muscle tissues of O. niloticus and D. labrax. These fish were exposed to V. anguillarum and S. iniae, with analyses conducted on days 1, 3, and 7 following the challenge. The data were normalized using β-actin as the reference gene. Statistical analysis was performed using a paired t-test, and results are shown as fold changes relative to the control group. The values are presented as the mean ± SEM, with sample sizes of n = 5~7 for each group. Asterisks indicate significant differences between groups: * p < 0.05, ** p < 0.01, and *** p < 0.001.
The expression of TNF-β revealed contrasting dynamics, particularly noticeable in the temporal responses to the infecting bacteria. While N. Tilapia showed a substantial increase by day 7 following V. anguillarum infection (2.703), S. iniae exposure led to a reduction to 0.656, highlighting pathogen-specific alterations in immune modulation. European sea bass, however, maintained elevated TNF-β levels under V. anguillarum influence, indicating a more consistent pro-inflammatory response across infection stages, thereby suggesting differences in cytokine regulatory mechanisms when compared to N. Tilapia (Figure 4B).
2.5.2. IL-2, IL-6, IL-8, and IL-12 Expression Patterns and Chemokine and Cytokine Perspectives
IL-2 showed modest expression enhancements, with N. Tilapia responding more prominently by day 3 to V. anguillarum with a fold change of 1.422, implying a role in adaptive immune activation (Figure 4C). Meanwhile, IL-6 responses were more prominent in both species, with N. Tilapia reaching a substantial fold change of 2.700 by day 7 against S. iniae, suggesting IL-6’s pivotal role in orchestrating prolonged inflammatory responses. This pattern emphasizes the differential latency and intensity of cytokine responses inherent to both host species and pathogen types (Figure 4D).
IL-8 expression increased slightly in both fish species, particularly after V. anguillarum infection, reinforcing its role as a chemotactic agent in immune response initiation (Figure 4E). Conversely, IL-12 expression exhibited a downward trend, which was more pronounced in N. Tilapia by day 7 (0.510 fold change post V. anguillarum), suggesting a downregulation mechanism or possible immune tolerance onset, thus differentially modulating the immune response over time (Figure 4F).
2.5.3. IFN-γ and MHC-II Complex Interactions
IFN-γ displayed robust expression increases by day 7 across both bacterial challenges in both species, with E. Sea Bass shown a notable peak of 3.899 upon V. anguillarum infection, reflecting its integral role in activating cellular immune responses and enhancing macrophage activity (Figure 5A). Post-infection, MHC-IIα and MHC-IIβ genes experienced marked downregulation by day 7, particularly in N. Tilapia following V. anguillarum (MHC-IIα dropping to 0.310), indicating differential antigen processing route adaptations between the two species (Figure 5B,C).

Figure 5.
The relative expression levels of IFN-γ (A), MHC-IIα (B), MHC-IIβ (C), CXCL-10 (D), CD4-12 (E), and Pleurocidin (F) genes in muscle tissues of O. niloticus and D. labrax. These fish were exposed to V. anguillarum and S. iniae, with analyses conducted on days 1, 3, and 7 following the challenge. The data were normalized using β-actin as the reference gene. Statistical analysis was performed using a paired t-test, and results are shown as fold changes relative to the control group. The values are presented as the mean ± SEM, with sample sizes of n = 5~7 for each group. Asterisks indicate significant differences between groups: * p < 0.05, ** p < 0.01, and *** p < 0.001.
2.5.4. Immunologically Important Molecules
CXCL-10 expression depicted an upward trajectory, especially post S. iniae infection, reaching 7.158 in N. Tilapia on day 7 and demonstrating its critical role in leukocyte migration and positioning (Figure 5D). Concerning CD4-12, on day 3, exposure to S. iniae resulted in a significant upregulation of gene expression in both groups, with expression levels reaching 2.712 ± 0.050 and 4.234 ± 0.060, respectively, highlighting the differential response to treatment conditions (Figure 5E). On the other side, Pleurocidin expression decreased over time, possibly pointing to its involvement in immediate innate responses rather than sustained immune activity (Figure 5F).
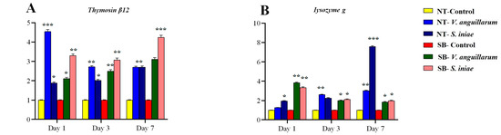
Antimicrobial peptides, including Thymosin β12 (Figure 6A) and lysozyme g (Figure 6B), were upregulated, underscoring their roles in immediate pathogen neutralization. Regarding the Leap 2 gene, exposure to S. iniae resulted the in significant upregulation of gene expression in both treatment groups. On day 1, the E. Sea Bass infected with S. iniae exhibited an expression level of 11.340 ± 0.220, while on day 7, the N. Tilapia infected with S. iniae reached 6.523 ± 0.100, indicating a strong and sustained immune response (Figure 6C). In the case of the β-defensin gene, exposure to V. anguillarum in N. Tilapia induced significant upregulation, particularly on day 3, with expression levels reaching 3.599 ± 0.070. Conversely, S. iniae exposure in N. Tilapia resulted in the highest expression on day 1, with levels of 2.403 ± 0.050 demonstrating varied temporal expression patterns in response to different pathogens (Figure 6D).

Figure 6.
The relative expression levels of Thymosin β12 (A), Iysozyme g (B), Leap 2 (C), β-defensin (D), Galectin-8 (E), and Galectin-9 (F) genes in muscle tissues of O. niloticus and D. labrax. These fish were exposed to V. anguillarum and S. iniae, with analyses conducted on days 1, 3, and 7 following the challenge. The data were normalized using β-actin as the reference gene. Statistical analysis was performed using a paired t-test, and results are shown as fold changes relative to the control group. The values are presented as the mean ± SEM, with sample sizes of n = 5~7 for each group. Asterisks indicate significant differences between groups: * p < 0.05, ** p < 0.01, and *** p < 0.001.
2.5.5. Galectin-Mediated Immune Modulation
The upregulation of Galectins 8 and 9, notably in E. Sea Bass at various time points, particularly following S. iniae infection, emphasizes their involvement in modulating leukocyte activity and apoptosis, with fold changes peaking at 16.780 for Galectin-9 on day 1. This suggests a significant role in cell signaling during immune defense, highlighting pathogen- and host-specific regulatory pathways leveraged during bacterial invasions (Figure 6E,F).
These findings delineate the immunological responses of N. Tilapia and E. Sea Bass to infections by V. anguillarum and S. iniae, highlighting distinct species-specific defense mechanisms and temporal patterns in gene expression. Notably, N. Tilapia exhibited strong pro-inflammatory responses, especially through TNF-α and IFN-γ, suggesting a robust innate response mechanism, whereas E. Sea Bass displayed heightened regulation and modulation through cytokine activities, indicating a more balanced immune strategy. The variability in their immune responses underscores the necessity of tailored approaches in managing fish health within aquaculture systems.
3. Discussion
3.1. Bacterial Infection Challenges
In recent years, advancing our understanding of the immune responses in different fish species during bacterial challenges has become imperative, especially given the economic impact of aquaculture. The studies outlined herein provide a comprehensive view of the intricate interplay between fish immune systems and pathogenic bacteria, offering insights that are crucial for developing targeted vaccination strategies [1,17,50,51].
The comprehensive evaluation of biochemical parameters, oxidation assays, and differential leukocyte counts, alongside immunological parameters and gene expression profiles, provides a multifaceted understanding of the immune response in N. Tilapia (O. niloticus) and E. Sea Bass (D. labrax) during pathogen challenges and infections. Oxidation assays are crucial for assessing the oxidative stress levels in these fish species, highlighting how their physiological systems combat oxidative damage caused by pathogens [52,53,54]. Meanwhile, total and differential leukocyte counts offer insights into the adaptability and mobilization of immune cells in response to infections, which is pivotal for understanding the overall immune readiness and resilience of the organisms [21,55,56]. Immunological parameters, such as the levels of cytokines and other immune mediators, further inform about the signaling pathways activated during infections, revealing key components of the host defense strategy [21,57]. Additionally, analyzing gene expression profiles offers a molecular perspective on how specific genes are upregulated or downregulated during bacterial infections, enabling researchers to pinpoint critical genes involved in immune response pathways [58,59,60]. Together, these measurements not only elucidate the complex interplay of immune components in these fish species during pathogen exposure but also facilitate the identification of potential biomarkers and targets for enhancing disease resistance through selective breeding or therapeutic interventions [7,27]. Fortunately, in the present study, we provided a comprehensive investigation on two important fish species, O. niloticus and D. labrax, which are among the most significant fish in Mediterranean countries.
The current study underscores the critical need for advancing our understanding of the immune response in fish, particularly N. Tilapia and E. Sea Bass, as they suffer significant losses due to infections by poorly understood bacterial pathogens like V. anguillarum and S. iniae during the summer season. The present findings revealed that N. Tilapia experienced early immune suppression and later tissue damage with bacterial infections, whereas E. Sea Bass show initial resilience followed by a strong inflammatory response.
In this regard, Manchanayake et al. [50] reported that V. anguillarum-related diseases are of global importance, affecting not only marine aquaculture systems but also wild fish populations. Vibriosis results in considerable economic losses for fish farming operations. Meanwhile, Xiong et al. [20] confirmed that S. iniae is a significant fish pathogen impacting the aquaculture industry. However, no comparative analyses of aquaculture infections have been conducted to date.
Integrating the findings of current immune response studies on N. Tilapia and E. Sea Bass with comprehensive reviews by Frans et al. [61] and Ina-Salwany et al. [62] highlights the pressing need for effective disease management and innovative vaccination strategies to mitigate the impacts of pathogens like V. anguillarum and S. iniae in aquaculture, underscoring a collaborative approach to enhance resilience against these bacterial threats.
Furthering our understanding of bacterial diseases in aquaculture, Frans et al. [61] and Ina-Salwany et al. [62] reviewed the impacts of vibriosis, caused by Vibrio pathogens, detailing the virulence factors and current prevention strategies. These reviews side by side with our findings emphasize the importance of comprehensive disease management practices in mitigating the widespread economic losses caused by vibriosis in marine and freshwater aquaculture.
In this aspect, diverse pathogen challenges in different fish species, such as the Japanese flounder in the study by Sun et al. [63], demonstrate how DNA vaccines against S. iniae and V. anguillarum can lead to robust bivalent immunity. This highlights the potential of such vaccines in enhancing cross-protection capabilities. Additionally, Ahangarzadeh et al. [15] provided promising results using a killed polyvalent vaccine in Asian Sea Bass, achieving significant improvements in survival rates, which could inform future vaccine developments for other fish species including N. Tilapia and E. Sea Bass.
In the context of N. Tilapia, studies such as those conducted by Shoemaker et al. [51] and Wang et al. [64] strengthen the case for bivalent and ghost vaccines, respectively. These demonstrate improved immune responses and survival following pathogen challenges, offering a feasible approach to combat concurrent infections by S. iniae and various Vibrio species. The potential for genetic improvements, as discussed by Vela-Avitúa et al. [65], shows that marker-assisted selection can be a tangible method to breed fish with enhanced disease resistance, opening new avenues for sustainable aquaculture. On the other side, a study by Hal et al. [30] revealed that infections by Aeromonas hydrophila and Pseudomonas fluorescens lead to pronounced clinical symptoms and high mortality rates in N. Tilapia, with signs such as skin hemorrhages, swollen abdomens, and eye cloudiness. The infections also triggered severe damage to vital organs like the liver and kidneys, reflecting the struggle of the fish to combat the bacterial onslaught, which underscores the vulnerability of N. Tilapia to these pathogens [66].
Our study aimed to further delineate these responses by examining the expression and immune profiles of these species under controlled pathogen infections. The focus was not only on established pathogens but also on exploring biochemical parameters, oxidation assays, differential leukocyte counts, immunological parameters, and gene expression. This integration of immunological, genetic, and pathological insights is crucial for developing holistic strategies to manage fish health in aquaculture.
3.2. Biochemical Parameters
Biochemical indices serve as important diagnostic tools to assess the health status of fish in aquaculture systems [55]. The liver, a critical organ for detoxification and metabolism, is evaluated using plasma transaminase enzymes, ALT and AST, which are key in cellular nitrogen metabolism. Elevated levels of these enzymes may suggest liver cell damage due to toxic exposure [67].
In this study, a significant reduction in ALT and AST activities was observed in infected N. Tilapia on days 1 and 3 when compared to the control group, suggesting an initial suppression of the immune response following infection. By day 7, AST levels increased notably in groups infected with S. iniae, possibly indicating acute stress or extensive tissue damage at this later stage. This pattern echoes the research by Ali et al. [68] where boric acid effectively reduced systemic tissue damage in N. Tilapia infected with Saprolegnia parasitica, as indicated by decreased ALT and AST levels. Similarly, Rastiannasab et al. [69] found increased AST and ALT levels in common carp (Cyprinus carpio) infected with parasites (Dactylogyrus spp. and Gyrodactylus spp.), highlighting the impact of infections on liver and kidney function and underlining the importance of biochemical markers in assessing infection severity.
In European sea bass, ALT and AST levels remained stable on days 1 and 3 post infection across both the control and infected groups, possibly indicating a strong early immune response or innate resilience to the bacterial challenge. By day 7, significant increases in these enzyme levels suggested liver stress or systemic inflammation due to persistent infection. These findings align with those of the study by Rahimikia et al. [70] where exposure to nickel in goldfish (Carassius auratus) led to increased activities of antioxidant enzymes such as SOD and GPx as well as elevated hepatic enzymes like AST and ALT, indicating a physiological response to chemical stress rather than infection.
Nitrogen metabolism products, such as BUN and creatinine, are typically evaluated in the blood of various organisms, including fish. The BUN levels tend to be consistent across different species of freshwater fish [71]. Creatinine, which is produced from the metabolism of creatine in the muscles, is eliminated via the kidneys [72]. Therefore, elevated creatinine levels in the blood of fish could indicate muscle damage or renal issues that hinder its removal. In N. Tilapia, urea levels rose significantly by day 3, especially in V. anguillarum-infected groups, possibly due to protein metabolism shifts under stress. Creatinine levels showed minor fluctuations but generally remained comparable, indicating mild renal implications due to infection-related stress. These observations are consistent with those from the work of Clark et al. [73] who investigated similar metabolic disturbances in rainbow trout during bacterial infections. They highlighted that such infections led to alterations in the urea cycle, which could contribute to the observed increases in urea levels. Like our results, Clark et al. findings suggest that bacterial infections can impact nitrogen metabolism, manifesting as changes in key metabolic products such as urea and creatinine. These consistent trends underline the importance of monitoring these nitrogen metabolites to understand the physiological impacts of infections on fish.
E. Sea Bass, however, exhibited significant rises in both urea and creatinine by day 7, likely reflecting increased metabolic demands and nitrogenous waste. This scenario corresponds with those in studies by Senthamarai et al. [74], which reported significant urea and creatinine elevations in fish under metabolic stress. Infectious diseases raise metabolic rates and nitrogenous waste in aquaculture, as seen in our E. Sea Bass results. Elevated creatinine suggests renal or muscle issues, highlighting the need to monitor these changes for better infection management.
These findings underscore the varied immune strategies and biochemical responses of N. Tilapia and E. Sea Bass to bacterial infections, highlighting species-specific physiological adaptations. The observed changes in enzyme activities suggest both innate and adaptive immune involvement, with different responses at varying stages of infection [22,75,76,77]. This enhancement could be attributed to its function in disrupting the chain of free radical reactions, allowing free radicals to extract hydrogen atoms from antioxidant molecules rather than from polyunsaturated fatty acids [78,79]. As a result, less reactive radical species are formed, which help safeguard kidney tissue against peroxidative damage [7,53,80,81,82].
3.3. Oxidation Assays
The generation of ROS and the release of free radicals lead to oxidative stress. Fish possess antioxidant enzymes like GPX, SOD, and CAT, which protect against ROS by reducing their production and safeguarding cellular structures and metabolic functions from harm [83]. SOD and CAT play a crucial role in breaking down ROS and minimizing lipid peroxidation, which are assessed by measuring MDA levels [84,85,86]. Failure to neutralize free radicals can result in DNA damage and cell death [86]. In the current study, E. Sea Bass demonstrated significantly higher SOD, GPX, and CAT activities compared to N. Tilapia, with a notable reduction in MDA levels. By day 3, both species showed increased antioxidant enzyme activities, but E. Sea Bass exhibited a stronger oxidative response and signs of immunological recovery by day 7, even under the stress of S. iniae infections. This pronounced enzyme activity in E. Sea Bass highlights key defensive adaptations to bacterial challenges and underscores the importance of enhancing antioxidant defenses in aquaculture to better manage infections.
3.4. Total and Differential Leukocyte Counts
The study of leukocyte counts reveals key immune responses in N. Tilapia and E. Sea Bass when infected with V. anguillarum and S. iniae. Both species showed a strong immune reaction on day 1, with elevated leukocyte counts. By day 3, counts decreased, particularly with V. anguillarum, indicating regulatory adaptation. By day 7, counts increased again, suggesting an adaptive immune phase. These patterns underscore the dynamic nature of the fish immune system, balancing infection control with homeostasis. The findings emphasize the importance of adaptive immunity in aquaculture management.
The studies on leukocyte responses in fish provide valuable insights into the immune dynamics of aquatic species facing bacterial infections. Research on N. Tilapia infected with bacteria like Enterococcus sp. and Flavobacterium columnare showed considerable shifts in leukocyte profiles, including increased lymphocytes and neutrophils, indicating robust initial immune reactions [87,88]. Similarly, studies on carp (Cyprinus carpio) infected with Aeromonas salmonicida demonstrated significant increases in total leukocyte counts and differential counts, pointing to dynamic immune responses [89]. These observations are consistent with findings in African catfish (Clarias gariepinus) challenged with Escherichia coli and Vibrio fischeri, where hematological assessments revealed changes in leukocyte counts and other blood parameters, suggesting adaptive immune modulation [90]. Non-lethal methodologies developed for studying leukocyte subpopulations, as seen in barramundi (Lates calcarifer), further highlight the importance of precise hematological assessments for understanding and managing fish health in aquaculture [91]. The present study on total and differential leukocyte counts highlights notable immune responses in both N. Tilapia and E. Sea Bass when infected with V. anguillarum and S. iniae.
3.5. Immunological Parameters
This study highlights the significant immune activation in N. Tilapia and E. Sea Bass following infection with V. anguillarum and S. iniae. In N. Tilapia, respiratory burst activity increased notably on day 1, showing higher optical density values compared to controls, which indicates a strong initial immune response. This elevated activity continued, peaking by day 3 for V. anguillarum. Additionally, significant increases in serum lysozyme activity and IgM were observed, reinforcing the robust immune defense. These findings demonstrate the fish’s capacity to mount a dynamic immune response to infections, providing useful insights for enhancing aquaculture health management. A similar immune response was observed in Solea senegalensis infected with Photobacterium damselae subsp (Phdp) [92,93] and in blunt snout bream (Megalobrama amblycephala) on days 1, 3, 5, 14, and 21 following an A. hydrophila challenge [94]. Additionally, the expression of the lysozyme gene was notably increased in the liver of S. senegalensis infected with Phdp [95]. The increased serum lysozyme levels in infected fish serve as a natural defense mechanism, highlighting its role as a crucial enzyme in the innate immune system. Lysozymes possess lytic and opsonic activities, which are pivotal in activating the complement system and enhancing phagocytosis against Gram-negative bacteria [96].
IgM plays a crucial role in the immune responses of fish, both innate and adaptive, when facing bacterial infections [97]. It facilitates the activation of the complement system, which is essential for lysing and opsonizing pathogens [98]. An increase in IgM levels was observed in N. Tilapia infected with A. hydrophila [99], and similarly, elevated antibody levels were found in the serum of Solea senegalensis infected with Phdp [95]. Our findings demonstrate a significant increase in IgM levels in both N. Tilapia and E. Sea Bass following infections with V. anguillarum and S. iniae. On the first day, N. Tilapia infected with V. anguillarum showed noticeably higher IgM levels compared to the control group. Similarly, Tilapia infected with S. iniae displayed a substantial rise in IgM. By the third day, the V. anguillarum-infected group maintained these elevated levels, indicating a persistent immune response. E. Sea Bass exhibited a consistent pattern, with IgM levels significantly rising on the first day for both V. anguillarum and S. iniae. These increased IgM levels on the initial days suggest a robust immunological adaptation, likely enhancing the fish’s ability to effectively address bacterial challenges. This elevated serum IgM results from exposure to bacterial infections, which triggers a cascade of immunological reactions, leading to lymphocyte activation and subsequent IgM synthesis and secretion [100]. This increase may also relate to IgM’s role in mediating agglutination to promote phagocytosis and pathogen clearance [101].
The complement system serves as a crucial bridge between innate and adaptive immunity in vertebrates and invertebrates, providing defense against pathogen invasion [98,102]. Key components of this system, C3 and C4, are associated with the alpha-2 macroglobulin superfamily of proteins that contain thioesters [103]. C3 undergoes activation through three principal pathways—classical, alternative, and lectin—resulting in its division into the fragments C3a and C3b [104]. In contrast, C4 plays a pivotal role in both the classical and lectin pathways by forming C3 and C5 convertases [98,105]. Through complement-mediated opsonization, C3 and/or C4 become covalently bound to microbial surfaces, facilitating their recognition and subsequent phagocytosis by phagocytes equipped with complement receptors [106]. In the current study, by day 7, notable reductions in complement components C3 and C4 were observed, indicating an adaptive immune response developing over time. This trend aligns with observations in N. Tilapia and reflects immune modulation following chronic pathogen exposure. Additionally, E. Sea Bass exhibited an increase in respiratory burst activity on day 1, reaching levels of 0.30 ± 0.04 and 0.27 ± 0.03 for V. anguillarum and S. iniae, respectively (p < 0.05), along with heightened lysozyme activity and IgM levels. The peak respiratory burst was recorded at 0.35 ± 0.05 by day 3 in the V. anguillarum group. Several studies have demonstrated the activation of complement pathways in response to specific infections in fish species, including M. amblycephala challenged by A. hydrophila, mandarin fish (Siniperca chuatsi) infected with Flavobacterium columnare, and soiny mullet (Liza haematocheila) in response to Streptococcus dysgalactiae [107,108,109]. This pronounced activation underscores the essential role of the complement system in fish immune responses, encompassing functions such as bacterial lysis via membrane attack complexes, opsonization enhancing phagocytosis, inflammatory responses, and the release of anaphylatoxins C3a and C5a, which recruit granulocytes to infection sites, thus bolstering host defenses [104,110].
Comparatively, the study by Elbahnaswy et al. [46] noted higher respiratory bursts in A. hydrophila throughout and in P. damselae on days 3 and 7. IgM levels increased in both groups on days 1 and 7. Complement C4 was elevated in A. hydrophila across the period but only on day 7 in P. damselae. These differences underscore distinct immune responses to each pathogen.
3.6. Gene Expression
In the current study, gene expression in muscle samples was examined to understand immune responses in fish. Regarding this aspect, the studies by Chapela et al. [111] and Valenzuela et al. [112] both highlight the vital role of examining muscle tissues in advancing the understanding of immune responses in fish. Chapela et al. [111] developed a multiplex quantitative PCR (qPCR) method for detecting bacterial infections—specifically Lactococcus garvieae, Yersinia ruckeri, and Flavobacterium psychrophilum in rainbow trout (Oncorhynchus mykiss). This method demonstrated 100% relative sensitivity and high specificity, proving to be both reliable and efficient with an accuracy range of 97.5% to 108.8%, which is beneficial for rapid diagnostics in aquaculture. On the other hand, Valenzuela et al. [112] focused on immune responses within the skeletal muscles of fine flounder (Paralichthys adspersus) challenged with Vibrio ordalii. Their findings showcased the skeletal muscle as a crucial immunological organ, indicated by the upregulation of immune-related genes and activation of key pathways like NFĸB and P38-MAPK/AP-1 along with the production of antimicrobial peptides such as hepcidin and Leap-2. Both studies resonate with our research, which also employs a qRT-PCR to analyze differential immune gene responses in muscle tissue, thus contributing to a broader comprehension of innate immune mechanisms in fish [111,112].
3.6.1. TNF-α and TNF-β Expression Dynamics and Response Comparisons in Analyses
In the present study, the investigation into TNF-α and TNF-β expression dynamics across N. Tilapia and E. Sea Bass provides critical insights into interspecies variations in immune responses to bacterial infections. In N. Tilapia, TNF-α displays a gradual escalation from day 1 to day 7 for both V. anguillarum and S. iniae, suggesting a sustained pro-inflammatory reaction irrespective of the pathogen. This indicates tilapia’s robust inflammatory mechanisms targeting diverse pathogens. In contrast, E. Sea Bass exhibits a distinct immune strategy, with V. anguillarum infection provoking a peak TNF-α response by day 7, highlighting species-specific differences in cytokine-mediated inflammation. The TNF-β expression unveils further complexity; while tilapia experiences a strong response to V. anguillarum and a downturn with S. iniae, the steady TNF-β levels in E. Sea Bass suggest divergent cytokine regulatory pathways. This highlights how distinct evolutionary paths have influenced immune strategies in these species.
In this aspect, Li et al. [28] reported that TNFs are pivotal to maintaining health and managing disease, with emerging studies highlighting their significance in regulating adaptive immunity. Despite this recognition, their role in the immune responses of early vertebrates is not thoroughly understood. Their study identified two TNF isoforms, TNF-α and TNF-β, in N. Tilapia and investigated their function within the species’ immune system. Both TNF-α and TNF-β are evolutionarily conserved and exhibit high expression levels in the gills, suggesting a critical physiological role. In response to infection with Streptococcus agalactiae, these isoforms are upregulated in spleen lymphocytes, underscoring their importance in adaptive immune responses. Additionally, the isoforms can induce apoptosis in leukocytes, with TNF-β specifically activating Caspase-8, indicating distinct pathways in immune regulation.
3.6.2. IL-2, IL-6, IL-8, and IL-12 Expression Patterns and Chemokine and Cytokine Perspectives
This study explores interleukin dynamics in N. Tilapia: IL-2 modestly enhances adaptive immunity, IL-6 is pivotal against S. iniae-induced inflammation, and IL-8 slightly rises post V. anguillarum infection, confirming its chemotactic role, while IL-12 decreases, indicating immune tolerance mechanisms. The findings are consistent with Elbahnaswy et al. [46], who researched interleukin gene expression in N. Tilapia post A. hydrophila and P. damselae challenges. On day 1, IL-6 expression remained stable in the spleen, and IL-8 and IL-1β were downregulated only after P. damselae. In the head kidney, significant IL-8 downregulation occurred after P. damselae, with little change post bacterial challenge. By day 3, IL-8 and IL-6 were still downregulated in the spleen, while by day 7, IL-8 expression was stable. This study highlights dynamic interleukin gene responses to infections in N. Tilapia.
Tang et al. [29] identified IL-2 in Paralichthys olivaceus, showing its role in immune response. IL-2 is expressed in leukocytes, spleen, and hindgut, increasing post Edwardsiella tarda and viral infections (HIRRV). An IL-2 expression vector improved immune gene expression and flounder survival against HIRRV, underlining IL-2’s potential in flounder aquaculture. Hal et al. [30] studied A. hydrophila and P. fluorescens impact on N. Tilapia immune response, emphasizing changes in immune genes like IL-1β, hepcidin, and CYP1A. Wei et al. [31] analyzed the IL-6 gene in N. Tilapia post bacterial infection, noting elevated IL-6 expression upon LPS and Streptococcus agalactiae exposure, which is crucial for antibody production. Li et al. [32] found that IL-8 is highly expressed in N. Tilapia post S. agalactiae and Aeromonas hydrophila infections, enhancing immune functions and inflammation. Wang et al. [113] explored IL-8 as an adjuvant in S. iniae vaccinations in catfish, enhancing immune responses but noting limited long-term effects. Xiao et al. [114] identified IL-8 and IL-10 in Pelteobagrus fulvidraco, revealing their roles in immune response and affected by Clostridium butyricum and Aeromonas punctata.
Matsumoto et al. [115] studied IL-12 regulation in Seriola dumerili against intracellular infection, showing its dependence on transcription factors IRF-1 and AP-1. Heeb et al. [116] examined IL-4 and IL-13 evolutions, working through the IL-4 receptor and regulating type 2 immunity. Wang et al. [117] identified key chemokine genes critical during Singapore grouper iridovirus infection, enhancing understanding of fish immunity.
3.6.3. IFN-γ and MHC-II Complex Interactions
The interactions between IFN-γ and MHC-II reveal a complex immune landscape. E. Sea Bass exhibits significant IFN-γ increases after V. anguillarum infection, highlighting its role in cellular immunity, while N. Tilapia displays MHC-II downregulation post V. anguillarum, suggesting strategic antigen processing modulation. These findings agree with those of Elbahnaswy et al. [46], who studied MHC-IIα, TNF-α, TLR-7, and NF-κB gene expression in N. Tilapia. On day 1, minimal changes were noted in the spleen, except for downregulation of NF-κB after P. damselae. Significant downregulation of TLR-7 and NF-κB was observed in the head kidney post P. damselae, continuing through day 3, especially after exposure to A. hydrophila. By day 7, NF-κB showed a notable decrease in the spleen, with TLR-7 downregulation persisting. These results indicate diverse gene expression responses to bacterial pathogens. Yu et al. [118] report that IFN-γ enhances macrophage immune function, increasing their ability to engulf and kill Mycobacterium marinum via heightened phagocytosis, apoptosis, and reactive molecule production like H2O2 and NO, along with upregulated TLR2 and Caspase 8. IFN-γ also boosts antigen presentation by elevating MHC molecule expression, balancing the immune response through cytokine modulation, Reith et al. [119] found MHC-II essential for adaptive immunity, aiding CD4+ T cell activation. Arsenite impacts MHC-II expression via oxidative stress, which is reversible by HDAC1/2 inhibition. Dimethyl fumarate disrupts IFN-γ response by altering transcriptional control, providing insights into MHC-II-associated diseases.
3.6.4. Immunologically Important Molecules
Chemokines are crucial for immune system function, directing the movement and activation of leukocytes [120,121,122]. This study highlights significant increases in CXCL-10 in N. Tilapia post S. iniae infection, emphasizing leukocyte recruitment, while decreased Pleurocidin expression suggests a role in rapid initial responses. Upregulation of antimicrobial peptides like Thymosin β12 and lysozyme g underscores their defensive capabilities. Schott et al. [122] found that susceptibility to Chlamydia trachomatis involves pathogen-evading immune detection tactics, specifically suppressing CXCL10 through CPAF, linked to SNP rs2869462 and suppressing RANTES via different mechanisms. Cambier et al. [120] noted that CXCL8 attracts neutrophils and interacts with CXCR1, CXCR2, ACKR1, and glycosaminoglycans, making it a potential therapeutic target. In contrast, CXCL12 maintains leukocytes in the bone marrow, which is vital for embryogenesis, hematopoiesis, and angiogenesis through CXCR4, ACKR1, and ACKR3. Understanding these chemokines opens therapeutic possibilities.
For Thymosin β12, Zhang et al. [123] identified its crucial role in antibacterial immunity in Urechis unicinctus, noting high expression in the body wall and increased expression post LPS injection sequentially in various organs. Thymosin β12 effectively inhibits bacterial growth, highlighting its role in innate immunity in marine invertebrates.
Regarding lysozyme g, Song et al. [124] emphasized its role in fish immunity amid rising disease from ecological degradation. Safarian et al. [125] explored the molecular traits and antibacterial efficiency of the g-type lysozyme in Euryglossa orientalis, noting evolutionary significance and strong activity against fish pathogens and underscoring their potential in fish health management.
3.6.5. Galectin-Mediated Immune Modulation
Finally, the surge in Galectins, notably in E. Sea bass when challenged by S. iniae, indicates their integral role in modulating immune functions like leukocyte activity and apoptosis. Galectin-9’s impressive increase suggests sophisticated galectin-mediated pathways leveraged during bacterial confrontations.
It is worth mentioning that the potential of fish AMPs as alternative therapies against pathogens has sparked significant interest [126]. For example, 277 potential AMP sequences have been identified from the zebrafish transcriptome, and 11 specific AMPs have been characterized [127,128]. Similarly, analyses of the channel catfish genome have revealed 605 possible AMP sequences, with 11 being recognized [129]. In certain fish species, such as the mandarin fish, some AMPs have been identified, including Piscidin [40], lysozyme g [41], β-defensin [42], hepcidin [43], and galectin proteins [44]. Piscidin is predominantly expressed in the spleen and kidney of mandarin fish. While lysozyme appears to play a role in defense against A. hydrophila [45], β-defensin presents inhibitory effects against bacterial strains like A. hydrophila and Staphylococcus aureus [42]. Hepcidin contributes to the inflammatory response [43], and both Galectin-8 and Galectin-9 are effective against various bacterial strains [44].
Overall, this comparative analysis highlights interspecies differences and the complexity of immune responses tailored to bacterial challenges. Understanding these dynamics extends our understanding of fish immunology, offering insights for enhancing disease resistance in aquaculture systems.
Briefly, this study sheds light on the distinct biochemical and immunological responses of N. Tilapia and E. Sea Bass when challenged with V. anguillarum and S. iniae. By elucidating the specific immune profiles and gene expression changes in these fish species, the findings provide critical insights into the underlying mechanisms of pathogen resistance. However, the research also underscores the necessity for comprehensive aquaculture management strategies that address environmental and operational factors contributing to disease outbreaks. Through improved aquaculture practices focused on stress reduction, optimal water quality, and biosecurity, the industry can mitigate the risk of bacterial infections and enhance fish survival and overall productivity.
It is worth mentioning that future research should investigate how environmental conditions in aquaculture systems impact their efficacy. Temperature changes, for instance, can stress fish, weakening their immune systems and increasing susceptibility to infections. Additionally, intensive aquaculture practices may create environments conducive to pathogen proliferation, leading to more frequent disease outbreaks. Understanding these dynamics can guide future strategies that integrate both biotic and abiotic factors, optimizing disease resistance and overall fish health. By addressing these variables, researchers can work towards more sustainable and resilient aquaculture systems that effectively balance biological potential with challenges posed by environmental factors. Future research efforts, therefore, should focus on exploring these environmental interactions to pave the way for adaptive management strategies that sustain the health of economically significant fish species.
4. Materials and Methods
4.1. Bacterial Strains, Identification and Conformation
Strains of V. anguillarum and S. iniae were isolated from the internal organs of N. Tilapia and E. Sea bass that exhibited symptoms of acute hemorrhagic septicemia, following the methodology described by Austin et al. [130]. The fish samples showing signs of infection were collected during the summer season (September), when warmer temperatures contribute to increased susceptibility to infections. These samples were obtained from a commercial fish farm located in the Kafrelsheikh governorate, Egypt.
To proceed with the analysis, the bacterial isolates were grown on Tryptone-Soya-Agar (TSA) plates or brain and heart infusion-agar (BHIA) for a duration of 24 h at a temperature of 28 °C. Subsequently, DNA was extracted utilizing the Bacteria DNA Isolation Mini Kit (Park, Nanjing, Vazyme, China), adhering strictly to the instructions provided by the manufacturer. This extracted DNA served as the template for further testing. Both positive and negative controls were employed in the procedure to ensure accuracy and validity, with the negative control functioning without any template DNA.
The identification of these strains was confirmed through PCR amplification of target DNA sequences and 16s rRNA sequencing, demonstrating a 100% match to each respective species. For V. anguillarum detection, a 439-base pair (bp) segment of the empA gene was amplified following the protocols outlined by Xiao et al. [47]. Additionally, two distinct DNA primers targeting conserved regions of the 16S rRNA gene (300 bp, Sin) and the lactate oxidase gene (870 bp, lctO) were utilized for a PCR-based assay to identify S. iniae, as previously described by Zlotkin et al. [48] and Mata et al. [49], respectively. Detailed information on the primers is provided in Table 5.
Table 5.
Oligonucleotide primers utilized in this study to confirm infections caused by V. anguillarum and S. iniae.
Regarding the PCR conditions, a 25 μL reaction mixture was prepared, which included 12.5 μL of the master mix (Toshima-ku, Tokyo, TaKaRa, Japan), 1 μL of template DNA (30 ng), 1 μL of each primer (10 pmol/μL), and sterile water to reach a final volume of 25 μL. The PCR was performed using a thermal cycler (T100 Thermal Cycler from BIO RAD, Singapore) under the following conditions: initial denaturation at 95 °C for 2 min, followed by 35 cycles of 94 °C for 1 min, annealing at 55~57 °C for 1 min, and extension at 72 °C for 1 min with a final extension at 72 °C for 7 min. The PCR products (7~10 μL) were resolved on a 1.5~2.0% (w/v) agarose gel in a 0.5× TBE buffer. A DNA ladder (cat. No. 3428A, lot.AM51847A, Toshima-ku, Tokyo, TaKaRa, Japan) was used to estimate the molecular weight of the bands. The gel was documented using a gel documentation system. The negative control consisted of healthy fish from the control group, whereas the positive control employed commercially available strains, specifically V. anguillarum (NCMB 6, ATCC, Changzhou, China) and S. iniae (29178, ATCC, China), obtained for scientific purposes.
4.2. Bacterial Cultivation and Challenge Test
Before initiating the experimental challenges, bacterial cultures were prepared by growing them on TSA plates (Huankai Microbial -HKM, Co., Ltd., Guangzhou, China, Product Code K097Y, Guangzhou, China) or BHIA (Thermo Fisher Scientific, Product Code BD221841, Waltham, MA, USA), supplemented with 1% NaCl at 28 °C for 24 h. Individual colonies were then incubated overnight in 3 mL of Tryptone Soya Broth (TSB). The following day, 1 mL aliquots of the cultured broth were transferred to fresh TSB to enhance bacterial growth. The colony-forming units (CFU/mL) were determined based on the method described by Miles et al. [131]. To achieve this, bacterial suspensions were subjected to serial 10-fold dilutions in TSB. From each dilution, duplicate 1 mL drops were placed on TSA plates, allowed to air dry, and incubated at 28 °C for 24 h. CFU/mL values were computed using the following formula:
The lethal dose 50 (LD50) concentration determined was 1.7 × 105 CFU/mL for V. anguillarum and 2 × 106 CFU/mL for S. iniae.
A bacterial challenge investigation was performed involving 180 fish, comprising 90 N. Tilapia and 90 E. Sea Bass, across two distinct experiments. Each species was kept in six 70 L tanks, each containing 15 fish exposed to V. anguillarum in six different replicates. In a similar fashion, 90 fish were challenged with S. iniae in six tanks, with 15 fish per replicate. Control groups for each experiment included 15 fish in three replicates that were not subjected to injections. The fish were administered intraperitoneally with 0.5 mL of bacterial suspension from a 1 mL insulin syringe, containing 1.7 × 105 CFU of V. anguillarum per fish and 2 × 106 CFU of S. iniae per fish. Control fish were neither challenged nor injected. Observations of the injected fish were made over a 14-day period for signs of infection and rates of mortality. Dead specimens, which included ten fish affected by V. anguillarum and nine by S. iniae, were collected following the challenge for standard bacteriological analysis.
4.3. Experimental Fish for N. Tilapia (O. niloticus) and E. Sea Bass (D. labrax)
4.3.1. Collecting Fish Species
N. Tilapia juveniles (n = 500, weight = 125 ± 5.50 g/fish) were obtained from a commercial fish farm, while E. Sea Bass fish (n = 550, weight = 115 ± 12.59 g/fish) were obtained from a commercial fish farm (GPS; 31.042120, 30.853177). All fish underwent a comprehensive health screening, including bacteriological and parasitological analyses, and were quarantined with close observation for signs of illness. Additionally, a two-week acclimatization period was implemented to ensure their health and stability prior to the experiments.
4.3.2. Diet Preparation
The fundamental diet, comprising 45% crude protein, was sourced from Aller Aqua, a reputable fish feed manufacturer based in 6 October City, Giza, Egypt and their website at www.aller-aqua.com. The formulation and estimated compositional analysis of this diet were meticulously carried out in accordance with the standards set by AOAC [132]. This adherence ensures the reliability and scientific rigor of the dietary ingredients and nutrient profile utilized in this study.
4.3.3. Acclimation
Before the experiment commenced, the fish were acclimated for two weeks in round fiberglass tanks, each with a capacity of 10 m3, which were supplied with dechlorinated tap water and aerators. The tanks were disinfected using a 10% bleach solution followed by thorough rinsing to remove any residues. These fish were acclimatized to laboratory conditions for two weeks at a water temperature of 25 °C, with N. Tilapia in freshwater conditions at 0 ppt salinity and E. Sea Bass in conditions at 30 ppt using added sea salt with dissolved oxygen levels kept above 6 mg/L. Fish density was maintained at approximately 50 kg/m3 to ensure adequate space and water quality. Tilapia were kept in 0 ppt salinity to mimic their freshwater habitats, reducing osmotic stress and supporting their immune response, while E. Sea Bass were maintained at 30 ppt to replicate their marine environments, which is essential for their gill function and ion exchange processes. During the acclimatization period, they were fed a commercial diet containing 45% crude protein. At the end of the acclimatization period, the fish in each tank were counted and checked for health, ensuring there were no injuries or deformities. After acclimatization, the fish population was reduced to 445 N. Tilapia and 477 E. Sea Bass.
4.3.4. Fish Groups, Preparation and Sampling
Two separate experiments were conducted for each species, each consisting of three treatment groups, investigated as follows: (1) a control group consisting of 45 fish, divided into three replicates of 15 fish each, housed in fiberglass tanks of 70 L; (2) an infected group with V. anguillarum, consisting of 90 fish in six replicates of 15 fish, maintained under the same conditions as the control group except for bacterial infection; (3) an infected group with S. iniae, also consisting of 90 fish in six replicates of 15 fish. Blood and tissue samples of five fish (one fish per tank) were collected at the experiment points of 1, 3, and 7 days. The experiment was carefully crafted to achieve highly accurate results, as illustrated in Figure 7.
Figure 7.
Experimental Design Overview. Schematic representation of the experimental setup for N. Tilapia (O. niloticus) and E. Sea Bass (D. labrax) to study physiological and molecular responses. Fish were sourced, screened for health, and acclimated for two weeks under species-specific salinity conditions (0 ppt for N. Tilapia, 30 ppt for E. Sea Bass). The study comprised three groups: a control group, and two groups infected with V. anguillarum and S. iniae. Each group contained a set number of replicates, with fish sampled on days 1, 3, and 7 to analyze response dynamics.
In this study, fish showing typical hemorrhagic signs were anesthetized and sampled. On days 1, 3, and 7, blood was drawn from the caudal vein of 5~7 fish per group and split into two portions. One portion was mixed with dipotassium EDTA for hematological analysis. The other portion was centrifuged to a separate serum, which was stored at −80 °C for immunological tests.
Additionally, tissue muscle samples of five fish per group were collected at the same intervals and placed in RNAlater for RNA extraction and cDNA synthesis to assess immunity-related genes.
The sampling followed aseptic procedures: fish surfaces were sterilized with 5% Clorox, washed with sterile water, and dissected with a sterilized scalpel. A 1 mg muscle tissue sample was transferred into a sterile Eppendorf tube, labelled, and stored at −20 °C for further analysis.
4.3.5. The Ethical Approval
All aspects of fish handling and sampling in this study received oversight and approval from the Institutional Animal Care and Use Committee at the Faculty of Agriculture, Alexandria University, Egypt, under the approval numbers AU0821045175 and AU082302263130, and all efforts were made to reduce discomfort and distress. The methodologies and experimental protocols adhered rigorously to the guidelines established in the “Guide for the Care and Use of Agricultural Animals in Research and Teaching,” as published by the Federation of Animal Science Societies (FASS, 2010). The full guide is accessible at (https://www.adsa.org/Portals/_default/SiteContent/docs/AgGuide3rd/Ag_Guide_3rd_ed.pdf; accessed on 11 January 2024). Furthermore, this study was conducted in strict accordance with the ARRIVE guidelines, which outline the essential aspects for reporting animal research. These guidelines can be reviewed at arriveguidelines.org.
4.4. Biochemical Parameters and Oxidation Assays
4.4.1. Biochemical Parameters
The activity levels of the enzymes, Aspartate Transaminase (AST) and Alanine Transaminase (ALT), in the serum were determined with the help of a BIOLABO Co. kit, Maizy, France, following the protocol established by Henry et al. [133]. To assess renal function markers, such as serum creatinine and urea, a BIOLABO Co. kit was also used. The assessment of serum creatinine was based on the methodology developed by Fabiny and Ertingshausen, [134], while the determination of serum urea followed the procedure described by Tiffany et al. [135].
4.4.2. Oxidation Assays
The levels of Serum Superoxide Dismutase (SOD), Glutathione Peroxidase (GPX), and Catalase (CAT) enzyme activities, along with the concentration of MDA, were measured employing diagnostic reagent kits from Cusabio Biotech Co., Ltd (Houston, TX, USA). The assessments were conducted strictly following the manufacturer’s specified protocols. These procedures allowed for the precise evaluation of antioxidant enzyme activities and lipid peroxidation status in the samples analyzed.
4.5. Total and Differential Leukocyte Counts
Total leukocyte counts (WBCs) were determined by manually counting cells using a hemocytometer after dilution with Natt-Herrick’s solution, following the method described by Hrubec et al. [136]. For differential leukocyte counts, blood smears were prepared and stained with Wright’s Giemsa stain, according to Hrubec et al. [136].
4.6. Immunological Parameters
Concerning respiratory burst activity, the production of oxygen radicals by blood phagocytes was assessed using the nitroblue tetrazolium (NBT) reduction assay, as outlined by Wijendra and Pathiratne [137]. To perform this assay, 100 μL of whole blood was added to a microtiter plate well along with an equal volume of NBT (1 mg/mL in PBS). The mixture was incubated at room temperature for 30 min. Following incubation, 50 μL of the NBT-blood suspension was mixed with N,N-dimethylformamide in a glass tube and centrifuged, and the supernatant was collected. The optical density (OD) of the supernatant was measured at 540 nm using a spectrophotometer (XYZ-300 Spectrophotometer, Shenzhen Instruments Co., Ltd., Shenzhen, China).
Regarding serum lysozyme activity, it was determined based on the lysis of Micrococcus lysodeikticus, following the method described by Ghareghanipoora et al. [138] with minor adjustments. In brief, 0.25 mL of serum was mixed with 0.75 mL of M. lysodeikticus suspension (0.2 mg/mL in PBS, pH 6.2). This reaction took place at room temperature, and absorbance readings at 450 nm were taken at the start and after 20 min using a photometer. Serum lysozyme concentrations were calculated with reference to a calibration curve prepared using lyophilized chicken egg-white lysozyme.
On the other hand, the levels of immunoglobulin M (IgM) were quantified using a turbidity assay as previously described by Dati and Lammers [139].
For the complement C3 and C4 assay, serum levels of complement C3 and C4 were measured using commercial kits (Elikan, Wenzhou, Zhejiang, China), as referenced by He et al. [140]. The analysis involved examining the increase in turbidity, which corresponds to the immune response involving C3 and C4 after complex formation with antibodies.
4.7. Gene Expression
4.7.1. Total Extraction of Total RNA and Synthesis of cDNA
For the extraction of total RNA from fish muscle samples (including the control group and six replicates for each treated group), the protocols established by Chomczynski et al. [141] were utilized. The concentration and purity of the RNA samples were determined using a NanoDrop 2000c spectrophotometer (Thermo, Waltham, Massachusetts, USA). RNA samples were preserved at −80 °C in a Revco horizontal deep freezer (USA) until further processing. cDNA was synthesized by reverse transcription in a 20 μL reaction that contained 3 μL of total RNA, 5 μL of oligo (-dT) primers at 10 pmol/µL, 2.5 μL of dNTP at 10 mM, 2.5 μL of 10x buffer, 0.3 μL M-MULV Reverse Transcriptase (200 units/µL, Biolabs, Hitchin, UK), and 6.7 μL of sterile distilled water to reach a total volume of 20 μL. The reaction mixture was gently mixed by shaking and placed in a thermal cycler (PTC-100TM Programmable Thermal Controller, MJ Research, Inc., Hercules, CA, USA) programmed to run at 37 °C for 90 min, followed by inactivation at 80 °C for 10 min and then cooling at 4 °C. The resulting cDNA-RNA hybrids were stored at −20 °C.
4.7.2. Real-Time Quantitative PCR Approach
In this study, 18 genes, along with the housekeeping gene β-actin, as shown in Table 6, were analyzed for their expression in N. Tilapia (O. niloticus) and E. Sea Bass (D. labrax). These analyses were conducted on both control groups and groups infected with V. anguillarum and S. iniae on days 1, 3, and 7. The real-time PCR reaction mixture comprised 10 µL of SYBR Green, 1 µL of 10 pm/µL forward primer, 1 µL of 10 pm/µL reverse primer, 1 µL of cDNA (50 ng), and enough sterile dH2O to bring the total volume to 20 μL. The PCR reaction conditions included an initial denaturation at 95 °C for 10 min, followed by 45 cycles at 95 °C for 10 s, annealing at 60 °C for 20 s, and elongation at 72 °C for 20 s. Data were captured during the extension phase using the Rotor-Gene 6000 system (Qiagen, Germantown, MD, USA). The difference in quantification was assessed using the ΔΔCT method, where the cycle threshold (CT) values for three replicates were compared between the reference and the experimental samples. The CT values for each gene were normalized against the reference, yielding ΔCT values calculated as follows: ΔCT (target) = CT (target) − CT (reference) and ΔCT (control) = CT (control) − CT (reference). The relative expression of the target gene was determined using the 2−ΔΔCT algorithm, as described by Livak et al. [142], with ΔΔCT calculated as ΔCT (target) − ΔCT (control). Threshold cycle values for each gene were established using an automated threshold analysis on the ABI System.
Table 6.
The specific primers of defense genes used in real-time PCR.
4.8. Statistical Analysis
In the process of data analysis, results were expressed as the mean accompanied by the standard error of the mean (mean ± SEM). To evaluate the statistical significance of differences across various groups and control samples, a one-way ANOVA was conducted with a predetermined significance threshold of p < 0.05. Subsequently, the Least Significant Difference (LSD) post hoc test was employed to perform pairwise comparisons between specific treatments. To examine gene expression, the data were evaluated using a paired t-test and nonparametric methods, utilizing GraphPad Prism version 10.4.0 (GraphPad Software, USA; https://www.graphpad.com/updates, accessed on 11 January 2024). Fold changes were expressed on a log2 scale to emphasize decreased transcription levels. Significance was determined at p-values; 0.05 (*), 0.01 (**), and 0.001 (***).
5. Conclusions
This study provides compelling insights into the species-specific immune responses of N. Tilapia and E. Sea Bass to infections by V. anguillarum and S. iniae. The precise molecular identification of these bacterial strains using PCRs underscores the reliability of established detection methodologies and sets the stage for targeted interventions. Biochemically, N. Tilapia exhibited a biphasic immune response, with significant enzyme level changes indicating dynamic physiological adaptations. In contrast, E. Sea Bass demonstrated a delayed yet intense response, particularly at later stages, exemplifying their robust coping mechanisms under stress. Promisingly, oxidative stress assays revealed that E. Sea Bass possesses highly adaptive antioxidant defenses, reflected in their dynamic enzyme activity changes that suggest promising resilience against bacterial stressors. In both species, elevated levels of cytokines, such as IL-6 and chemokine CXCL-10, highlight their potent roles in sustaining immune engagement, offering potential targets for enhancing disease resistance. The gene expression analyses provided further promising data, with significant upregulation of critical immune molecules like TNF-α and IFN-γ underscoring their importance in pro-inflammatory pathways. Additionally, the modulation of AMPs and Galectin genes reveals species-specific regulatory pathways that could be harnessed to optimize immune responses. Overall, these findings are promising for advancing aquaculture health strategies. By tailoring management practices to the unique immune capabilities of each species, there is potential to enhance resilience against pathogenic challenges, improving overall fish health and productivity in aquaculture systems.
Supplementary Materials
The following supporting information can be downloaded at: https://www.mdpi.com/article/10.3390/ijms252312829/s1.
Author Contributions
All the authors were involved in the preparation of the manuscript. A.A.S.: conceptualization, design, Project administration, Supervision, interpretation, funding acquisition, Methodology, Investigation, collection and analysis of data, software utilization, preparation of figures, writing-original, and revising the manuscript. A.Z.M.: Methodology, software utilization, data analysis, figure preparation, and construction of the database. S.S.E.: Methodology, collection and analysis of data. A.F.K.: Methodology, software utilization, data analysis. H.E.: Methodology, software utilization, data analysis. M.F.A.-A.: Methodology, software utilization, figure preparation. A.A.K.: Methodology, Investigation, software utilization, data analysis, revising the manuscript. E.E.H.: conceptualization, design, Methodology, Supervision, interpretation, drafting, and revising the manuscript. All authors have read and agreed to the published version of the manuscript.
Funding
This research received no external funding.
Institutional Review Board Statement
The study was conducted in accordance with the Declaration of Helsinki, and approved by the Ethics Committee of the Faculty of Agriculture, Alexandria University, Egypt (protocol code: AU082302263130, date of approval: 26 February 2023 and protocol code: AU0821045175, date of approval: 26 January 2024). All procedures and experimental protocols were under the Guide for the Care and Use of Agricultural Animals in Research and Teaching, Federation of Animal Science Societies (FASS, 2010) https://www.adsa.org/Portals/_default/SiteContent/docs/AgGuide3rd/Ag_Guide_3rd_ed.pdf, accessed on 11 January 2024. Also, the study was carried out in compliance with the ARRIVE guidelines (https://arriveguidelines.org, accessed on 11 January 2024).
Informed Consent Statement
Not applicable.
Data Availability Statement
All data generated or analyzed during this study are included in this manuscript and Supplementary Materials.
Conflicts of Interest
The authors declare no conflicts of interest.
References
- Mohamad, N.; Amal, M.N.A.; Yasin, I.S.M.; Zamri Saad, M.; Nasruddin, N.S.; Al-saari, N.; Mino, S.; Sawabe, T. Vibriosis in cultured marine fishes: A review. Aquaculture 2019, 512, 734289. [Google Scholar] [CrossRef]
- Deng, Y.; Xu, L.; Chen, H.; Liu, S.; Guo, Z.; Cheng, C.; Ma, H.; Feng, J. Prevalence, virulence genes, and antimicrobial resistance of Vibrio species isolated from diseased marine fish in South China. Sci. Rep. 2020, 10, 14329. [Google Scholar] [CrossRef] [PubMed]
- Olymon, K.; Yadav, M.; Teronpi, V.; Kumar, A. Unravelling the genomic secrets of bacterial fish pathogens: A roadmap to aquaculture sustainability. Mol. Biol. Rep. 2024, 51, 364. [Google Scholar] [CrossRef]
- Qi, T.; Wei, S.; Li, Z.; Ribas, L.; Cao, Q. Current research on bacterial diseases in eel: An immunological perspective. Aquaculture 2025, 595, 741599. [Google Scholar] [CrossRef]
- Islam, S.I.; Mahfuj, S.; Baqar, Z.; Asadujjaman, M.; Islam, M.J.; Alsiwiehri, N.; Almehmadi, M.; Sanjida, S.; Ahammad, F. Bacterial diseases of Asian sea bass (Lates calcarifer): A review for health management strategies and future aquaculture sustainability. Heliyon 2024, 10, e29793. [Google Scholar] [CrossRef]
- Vandeputte, M.; Gagnaire, P.-A.; Allal, F. The European sea bass: A key marine fish model in the wild and in aquaculture. Anim. Genet. 2019, 50, 195–206. [Google Scholar] [CrossRef]
- Khaled, A.A.; Shabaan, A.M.; Hammad, S.M.; Hafez, E.E.; Saleh, A.A. Exploring the impact of nano-Se and nano-clay feed supplements on interleukin genes, immunity and growth rate in European Sea Bass (Dicentrarchus labrax). Sci. Rep. 2024, 14, 2631. [Google Scholar] [CrossRef]
- Toubanaki, D.K.; Efstathiou, A.; Tzortzatos, O.P.; Valsamidis, M.A.; Papaharisis, L.; Bakopoulos, V.; Karagouni, E. Nervous Necrosis Virus Modulation of European Sea Bass (Dicentrarchus labrax, L.) Immune Genes and Transcriptome towards Establishment of Virus Carrier State. Int. J. Mol. Sci. 2023, 24, 16613. [Google Scholar] [CrossRef]
- Sicuro, B. The evolution of aquaculture in the Mediterranean region: An anthropogenic climax stage? PLoS ONE 2024, 19, e0290870. [Google Scholar] [CrossRef]
- Dawood, M.A.O.; Madkour, K.; Sewilam, H. Polyculture of European seabass and Nile tilapia in the recirculating aquaculture system with brackish water: Effects on the growth performance, feed utilization, and health status. Aquac. Fish. 2023. [Google Scholar] [CrossRef]
- Moses, M.; Chauka, L.J.; de Koning, D.J.; Palaiokostas, C.; Mtolera, M.S.P. Growth performance of five different strains of Nile tilapia (Oreochromis niloticus) introduced to Tanzania reared in fresh and brackish waters. Sci. Rep. 2021, 11, 11147. [Google Scholar] [CrossRef] [PubMed]
- Geletu, T.T.; Zhao, J. Genetic resources of Nile tilapia (Oreochromis niloticus Linnaeus, 1758) in its native range and aquaculture. Hydrobiologia 2023, 850, 2425–2445. [Google Scholar] [CrossRef]
- Larsson, D.G.J.; Flach, C.-F. Antibiotic resistance in the environment. Nat. Rev. Microbiol. 2022, 20, 257–269. [Google Scholar] [CrossRef] [PubMed]
- Ashouri, G.; Hoseinifar, S.H.; El-Haroun, E.; Imperatore, R.; Paolucci, M. Tilapia Fish for Future Sustainable Aquaculture. In Novel Approaches Toward Sustainable Tilapia Aquaculture; Hoseinifar, S.H., Van Doan, H., Eds.; Springer International Publishing: Cham, Switzerland, 2023; pp. 1–47. [Google Scholar]
- Ahangarzadeh, M.; Houshmand, H.; Torfi Mozanzadeh, M.; Kakoolaki, S.; Nazemroaya, S.; Sepahdari, A.; Peyghan, R.; Ajdari, A.; Sadr, A.S. Effect of killed autogenous polyvalent vaccines against Vibrio harveyi, V. alginolyticus and Streptococcus iniae on survival and immunogenicity of Asian seabass (Lates calcarifer). Fish Shellfish Immunol. 2023, 143, 109226. [Google Scholar] [CrossRef] [PubMed]
- Guanhua, Y.; Wang, C.; Wang, X.; Ma, R.; Zheng, H.; Liu, Q.; Zhang, Y.; Ma, Y.; Wang, Q. Complete genome sequence of the marine fish pathogen Vibrio anguillarum and genome-wide transposon mutagenesis analysis of genes essential for in vivo infection. Microbiol. Res. 2018, 216, 97–107. [Google Scholar] [CrossRef] [PubMed]
- Hickey, M.E.; Lee, J.-L. A comprehensive review of Vibrio (Listonella) anguillarum: Ecology, pathology and prevention. Rev. Aquac. 2018, 10, 585–610. [Google Scholar] [CrossRef]
- Sanches-Fernandes, G.M.M.; Sá-Correia, I.; Costa, R. Vibriosis Outbreaks in Aquaculture: Addressing Environmental and Public Health Concerns and Preventive Therapies Using Gilthead Seabream Farming as a Model System. Front. Microbiol. 2022, 13, 904815. [Google Scholar] [CrossRef]
- Juárez-Cortés, M.Z.; Vázquez, L.E.C.; Díaz, S.F.M.; Cardona Félix, C.S. Streptococcus iniae in aquaculture: A review of pathogenesis, virulence, and antibiotic resistance. Int. J. Vet. Sci. Med. 2024, 12, 25–38. [Google Scholar] [CrossRef]
- Xiong, X.; Chen, R.; Lai, J. Comparative genomics analysis of Streptococcus iniae isolated from Trachinotus ovatus: Novel insight into antimicrobial resistance and virulence differentiation. BMC Genom. 2023, 24, 775. [Google Scholar] [CrossRef]
- Rauta, P.R.; Nayak, B.; Das, S. Immune system and immune responses in fish and their role in comparative immunity study: A model for higher organisms. Immunol. Lett. 2012, 148, 23–33. [Google Scholar] [CrossRef]
- Zhu, L.-y.; Nie, L.; Zhu, G.; Xiang, L.-x.; Shao, J.-z. Advances in research of fish immune-relevant genes: A comparative overview of innate and adaptive immunity in teleosts. Dev. Comp. Immunol. 2013, 39, 39–62. [Google Scholar] [CrossRef] [PubMed]
- Castro, R.; Jouneau, L.; Tacchi, L.; Macqueen, D.J.; Alzaid, A.; Secombes, C.J.; Martin, S.A.M.; Boudinot, P. Disparate developmental patterns of immune responses to bacterial and viral infections in fish. Sci. Rep. 2015, 5, 15458. [Google Scholar] [CrossRef] [PubMed]
- Russell, N.J.; Powell, G.M.; Jones, J.G.; Winterburn, P.J.; Basford, J.M. White Blood Cells and the Immune Response. In Blood Biochemistry; Russell, N.J., Powell, G.M., Jones, J.G., Winterburn, P.J., Basford, J.M., Eds.; Springer: Dordrecht, The Netherlands, 1982; pp. 68–89. [Google Scholar]
- Xie, J.; Yuan, C.; Yang, S.; Ma, Z.; Li, W.; Mao, L.; Jiao, P.; Liu, W. The role of reactive oxygen species in severe acute respiratory syndrome coronavirus 2 (SARS-CoV-2) infection-induced cell death. Cell. Mol. Biol. Lett. 2024, 29, 138. [Google Scholar] [CrossRef]
- Suzuki, N.; Miller, G.; Morales, J.; Shulaev, V.; Torres, M.A.; Mittler, R. Respiratory burst oxidases: The engines of ROS signaling. Curr. Opin. Plant Biol. 2011, 14, 691–699. [Google Scholar] [CrossRef]
- El-Sayed, A.-F.M.; Khaled, A.A.; Hamdan, A.M.; Makled, S.O.; Hafez, E.E.; Saleh, A.A. The role of antifreeze genes in the tolerance of cold stress in the Nile tilapia (Oreochromis niloticus). BMC Genom. 2023, 24, 476. [Google Scholar] [CrossRef]
- Li, K.; Qiu, H.; Yan, J.; Shen, X.; Wei, X.; Duan, M.; Yang, J. The involvement of TNF-α and TNF-β as proinflammatory cytokines in lymphocyte-mediated adaptive immunity of Nile tilapia by initiating apoptosis. Dev. Comp. Immunol. 2021, 115, 103884. [Google Scholar] [CrossRef]
- Tang, X.; Guo, M.; Du, Y.; Xing, J.; Sheng, X.; Zhan, W. Interleukin-2 (IL-2) in flounder (Paralichthys olivaceus): Molecular cloning, characterization and bioactivity analysis. Fish Shellfish Immunol. 2019, 93, 55–65. [Google Scholar] [CrossRef]
- Hal, A.M.; El-Barbary, M.I. Gene expression and histopathological changes of Nile tilapia (Oreochromis niloticus) infected with Aeromonas hydrophila and Pseudomonas fluorescens. Aquaculture 2020, 526, 735392. [Google Scholar] [CrossRef]
- Wei, X.; Li, B.; Wu, L.; Yin, X.; Zhong, X.; Li, Y.; Wang, Y.; Guo, Z.; Ye, J. Interleukin-6 gets involved in response to bacterial infection and promotes antibody production in Nile tilapia (Oreochromis niloticus). Dev. Comp. Immunol. 2018, 89, 141–151. [Google Scholar] [CrossRef]
- Li, X.; Jiang, B.; Zhang, Z.; Huang, M.; Feng, J.; Huang, Y.; Amoah, K.; Huang, Y.; Jian, J. Interleukin-8 involved in Nile Tilapia (Oreochromis niloticus) against bacterial infection. Fish Shellfish Immunol. 2023, 141, 109004. [Google Scholar] [CrossRef]
- Chung, C.R.; Jhong, J.H.; Wang, Z.; Chen, S.; Wan, Y.; Horng, J.T.; Lee, T.Y. Characterization and Identification of Natural Antimicrobial Peptides on Different Organisms. Int. J. Mol. Sci. 2020, 21, 986. [Google Scholar] [CrossRef]
- Akhavan-Bahabadi, M.; Shekarbi, S.P.H.; Sharifinia, M.; Khanjani, M.H. Exploring Fish Antimicrobial Peptides (Amps): Classification, Biological Activities, and Mechanisms of Action. Int. J. Pept. Res. Ther. 2024, 30, 63. [Google Scholar] [CrossRef]
- Bhat, R.A.H.; Khangembam, V.C.; Pant, V.; Tandel, R.S.; Pandey, P.K.; Thakuria, D. Antibacterial activity of a short de novo designed peptide against fish bacterial pathogens. Amino Acids 2024, 56, 28. [Google Scholar] [CrossRef]
- Masso-Silva, J.A.; Diamond, G. Antimicrobial peptides from fish. Pharmaceuticals 2014, 7, 265–310. [Google Scholar] [CrossRef]
- Fekih-Zaghbib, S.; Ksouri, A.; Bouhaouala-Zahar, B. Differences in fish mucus proteomes identify potential antimicrobial peptide biomarkers. Dev. Comp. Immunol. 2023, 145, 104730. [Google Scholar] [CrossRef]
- Ferez-Puche, M.; Serna-Duque, J.A.; Cuesta, A.; Sánchez-Ferrer, Á.; Esteban, M.Á. Identification of a novel β-Defensin gene in Gilthead Seabream (Sparus aurata). Mar. Biotechnol. 2024, 26, 1219–1230. [Google Scholar] [CrossRef] [PubMed]
- Bao, B.; Peatman, E.; Li, P.; He, C.; Liu, Z. Catfish hepcidin gene is expressed in a wide range of tissues and exhibits tissue-specific upregulation after bacterial infection. Dev. Comp. Immunol. 2005, 29, 939–950. [Google Scholar] [CrossRef]
- Sun, B.J.; Xie, H.X.; Song, Y.; Nie, P. Gene structure of an antimicrobial peptide from mandarin fish, Siniperca chuatsi (Basilewsky), suggests that moronecidins and pleurocidins belong in one family: The piscidins. J. Fish Dis. 2007, 30, 335–343. [Google Scholar] [CrossRef]
- Zhao, C.-X.; Liu, J.-N.; Li, B.-Q.; Ren, D.; Chen, X.; Yu, J.; Zhang, Q. Multiscale construction of bifunctional electrocatalysts for long-lifespan rechargeable zinc–air batteries. Adv. Funct. Mater. 2020, 30, 2003619. [Google Scholar] [CrossRef]
- Wang, G.; Li, J.; Zou, P.; Xie, H.; Huang, B.; Nie, P.; Chang, M. Expression pattern, promoter activity, and bactericidal property of β-defensin from the mandarin fish Siniperca chuatsi. Fish Shellfish Immunol. 2012, 33, 522–531. [Google Scholar] [CrossRef] [PubMed]
- Shen, Y.; Zhao, Z.; Zhao, J.; Chen, X.; Cao, M.; Wu, M. Expression and functional analysis of hepcidin from mandarin fish (Siniperca chuatsi). Int. J. Mol. Sci. 2019, 20, 5602. [Google Scholar] [CrossRef] [PubMed]
- Liang, Z.G.; Li, L.; Chen, S.N.; Mao, M.G.; Nie, P. Expression and antibacterial analysis of galectin-8 and -9 genes in mandarin fish, Siniperca chuatsi. Fish Shellfish Immunol. 2020, 107 Pt B, 463–468. [Google Scholar] [CrossRef]
- Zhu, X.; Zhang, Z.; Zhou, L.; Tang, H.; Ao, S.; Zhou, Y.; Gao, X.; Jiang, Q.; Zhang, X. Transcriptomic analysis of the head kidney of Siniperca chuatsi infected with Aeromonas hydrophila. Fish. Sci. Prog. 2022, 43, 208–217. [Google Scholar]
- Elbahnaswy, S.; Elshopakey, G.E. Differential gene expression and immune response of Nile tilapia (Oreochromis niloticus) challenged intraperitoneally with Photobacterium damselae and Aeromonas hydrophila demonstrating immunosuppression. Aquaculture 2020, 526, 735364. [Google Scholar] [CrossRef]
- Xiao, P.; Mo, Z.L.; Mao, Y.X.; Wang, C.L.; Zou, Y.X.; Li, J. Detection of Vibrio anguillarum by PCR amplification of the empA gene. J. Fish Dis. 2009, 32, 293–296. [Google Scholar] [CrossRef]
- Zlotkin, A.; Hershko, H.; Eldar, A. Possible transmission of Streptococcus iniae from wild fish to cultured marine fish. Appl. Environ. Microbiol. 1998, 64, 4065–4067. [Google Scholar] [CrossRef] [PubMed]
- Mata, A.I.; Blanco, M.M.; Domínguez, L.; Fernández-Garayzábal, J.F.; Gibello, A. Development of a PCR assay for Streptococcus iniae based on the lactate oxidase (lctO) gene with potential diagnostic value. Vet. Microbiol. 2004, 101, 109–116. [Google Scholar] [CrossRef]
- Manchanayake, T.; Salleh, A.; Amal, M.N.A.; Yasin, I.S.M.; Zamri-Saad, M. Pathology and pathogenesis of Vibrio infection in fish: A review. Aquac. Rep. 2023, 28, 101459. [Google Scholar] [CrossRef]
- Shoemaker, C.A.; LaFrentz, B.R.; Klesius, P.H. Bivalent vaccination of sex-reversed hybrid tilapia against Streptococcus iniae and Vibrio vulnificus. Aquaculture 2012, 354–355, 45–49. [Google Scholar] [CrossRef]
- Chowdhury, S.; Saikia, S. Oxidative Stress in Fish: A Review. J. Sci. Res. 2020, 12, 145–160. [Google Scholar] [CrossRef]
- Hoseinifar, S.H.; Yousefi, S.; Van Doan, H.; Ashouri, G.; Gioacchini, G.; Maradonna, F.; Carnevali, O. Oxidative Stress and Antioxidant Defence in Fish: The Implications of Probiotic, Prebiotic, and Synbiotics. Rev. Fish. Sci. Aquac. 2020, 29, 198–217. [Google Scholar] [CrossRef]
- Menon, S.V.; Kumar, A.; Middha, S.K.; Paital, B.; Mathur, S.; Johnson, R.; Kademan, A.; Usha, T.; Hemavathi, K.N.; Dayal, S.; et al. Water physicochemical factors and oxidative stress physiology in fish, a review. Front. Environ. Sci. 2023, 11, 1240813. [Google Scholar] [CrossRef]
- Fazio, F. Fish hematology analysis as an important tool of aquaculture: A review. Aquaculture 2019, 500, 237–242. [Google Scholar] [CrossRef]
- Mokhtar, D.; Zaccone, G.; Alesci, A.; Kuciel, M.; Hussein, M.; Sayed, R. Main Components of Fish Immunity: An Overview of the Fish Immune System. Fishes 2023, 8, 93. [Google Scholar] [CrossRef]
- Buchmann, K.; Secombes, C.J. (Eds.) Principles of Fish Immunology: From Cells and Molecules to Host Protection; Springer Nature Switzerland AG: Cham, Switzerland, 2022. [Google Scholar]
- Martin, T.; Fraser, H.B. Comparative expression profiling reveals widespread coordinated evolution of gene expression across eukaryotes. Nat. Commun. 2018, 9, 4963. [Google Scholar] [CrossRef]
- Horta, M.A.C.; Pimenta, R.J.G.; Almeida, D.A.; Rosolen, R.R.; Aono, A.H.; Filho, J.F.; de Oliveira, F.A.; Niederauer, G.F.; Ferreira, R.C.U.; Bajay, S.K.; et al. Chapter 1—Transcriptomic analysis of genes: Expression and regulation. In Transcriptome Profiling; Ajmal, M.A., Lee, J., Eds.; Academic Press: Cambridge, MA, USA, 2023; pp. 1–41. [Google Scholar]
- Hill, M.S.; Vande Zande, P.; Wittkopp, P.J. Molecular and evolutionary processes generating variation in gene expression. Nat. Rev. Genet. 2021, 22, 203–215. [Google Scholar] [CrossRef]
- Frans, I.; Michiels, C.W.; Bossier, P.; Willems, K.A.; Lievens, B.; Rediers, H. Vibrio anguillarum as a fish pathogen: Virulence factors, diagnosis and prevention. J. Fish Dis. 2011, 34, 643–661. [Google Scholar] [CrossRef]
- Ina-Salwany, M.Y.; Al-Saari, N.; Mohamad, A.; Mursidi, F.A.; Mohd-Aris, A.; Amal, M.N.A.; Kasai, H.; Mino, S.; Sawabe, T.; Zamri-Saad, M. Vibriosis in Fish: A Review on Disease Development and Prevention. J. Aquat. Anim. Health 2019, 31, 3–22. [Google Scholar] [CrossRef]
- Sun, Y.; Zhang, M.; Liu, C.S.; Qiu, R.; Sun, L. A divalent DNA vaccine based on Sia10 and OmpU induces cross protection against Streptococcus iniae and Vibrio anguillarum in Japanese flounder. Fish Shellfish Immunol. 2012, 32, 1216–1222. [Google Scholar] [CrossRef]
- Wang, Q.; Zhang, C.; Xu, L.; Chen, J.; Wang, X. Characterization of Streptococcus iniae ghost vaccine and its immunization in Nile tilapia (Oreochromis niloticus). Aquac. Res. 2021, 52, 1359–1368. [Google Scholar] [CrossRef]
- Vela-Avitúa, S.; LaFrentz, B.R.; Lozano, C.A.; Shoemaker, C.A.; Ospina-Arango, J.F.; Beck, B.H.; Rye, M. Genome-wide association study for Streptococcus iniae in Nile tilapia (Oreochromis niloticus) identifies a significant QTL for disease resistance. Front. Genet. 2023, 14, 1078381. [Google Scholar] [CrossRef] [PubMed]
- Haenen, O.L.M.; Dong, H.T.; Hoai, T.D.; Crumlish, M.; Karunasagar, I.; Barkham, T.; Chen, S.L.; Zadoks, R.; Kiermeier, A.; Wang, B.; et al. Bacterial diseases of tilapia, their zoonotic potential and risk of antimicrobial resistance. Rev. Aquac. 2023, 15, 154–185. [Google Scholar] [CrossRef]
- Hassaan, M.S.; Mohammady, E.Y.; Soaudy, M.R.; Abdel Rahman, A.A. Exogenous xylanase improves growth, protein digestibility and digestive enzymes activities in Nile tilapia, Oreochromis niloticus, fed different ratios of fish meal to sunflower meal. Aquac. Nutr. 2019, 25, 841–853. [Google Scholar] [CrossRef]
- Ali, S.E.; Gamil, A.A.A.; Skaar, I.; Evensen, Ø.; Charo-Karisa, H. Efficacy and safety of boric acid as a preventive treatment against Saprolegnia infection in Nile tilapia (Oreochromis niloticus). Sci. Rep. 2019, 9, 18013. [Google Scholar] [CrossRef] [PubMed]
- Rastiannasab, A.; Afsharmanesh, S.; Rahimi, R.; Sharifian, I. Alternations in the liver enzymatic activity of Common carp, Cyprinus carpio in response to parasites, Dactylogyrus spp. and Gyrodactylus Spp. J. Parasit. Dis. 2016, 40, 1146–1149. [Google Scholar] [CrossRef]
- Rahimikia, E. Analysis of antioxidants and serum biochemical responses in goldfish under nickel exposure by sub-chronic test. J. Appl. Anim. Res. 2017, 45, 320–325. [Google Scholar] [CrossRef][Green Version]
- Abd El-Kader, M.F.; Fath El-Bab, A.F.; Abd-Elghany, M.F.; Abdel-Warith, A.-W.A.; Younis, E.M.; Dawood, M.A. Selenium nanoparticles act potentially on the growth performance, hemato-biochemical indices, antioxidative, and immune-related genes of European seabass (Dicentrarchus labrax). Biol. Trace Elem. Res. 2021, 199, 3126–3134. [Google Scholar] [CrossRef]
- Grzyb, K.; Skorkowski, E.F. Characterization of creatine kinase isoforms in herring (Clupea harengus) skeletal muscle. Comp. Biochem. Physiol. B Biochem. Mol. Biol. 2005, 140, 629–634. [Google Scholar] [CrossRef]
- Clark, T.C.; Tinsley, J.; Macqueen, D.J.; Martin, S.A.M. Rainbow trout (Oncorhynchus mykiss) urea cycle and polyamine synthesis gene families show dynamic expression responses to inflammation. Fish Shellfish Immunol. 2019, 89, 290–300. [Google Scholar] [CrossRef]
- Dayana Senthamarai, M.; Rajan, M.R.; Bharathi, P.V. Current risks of microbial infections in fish and their prevention methods: A review. Microb. Pathog. 2023, 185, 106400. [Google Scholar] [CrossRef]
- Martin, S.A.M.; Król, E. Nutrigenomics and immune function in fish: New insights from omics technologies. Dev. Comp. Immunol. 2017, 75, 86–98. [Google Scholar] [CrossRef]
- Abolfathi, M.; Akbarzadeh, A.; Hajimoradloo, A.; Joshaghani, H.R. Seasonal changes of hydrolytic enzyme activities in the skin mucus of rainbow trout, Oncorhynchus mykiss at different body sizes. Dev. Comp. Immunol. 2020, 103, 103499. [Google Scholar] [CrossRef] [PubMed]
- Sun, L.; Wang, X.; Saredy, J.; Yuan, Z.; Yang, X.; Wang, H. Innate-adaptive immunity interplay and redox regulation in immune response. Redox Biol. 2020, 37, 101759. [Google Scholar] [CrossRef]
- Mirchandani, A.S.; Sanchez-Garcia, M.A.; Walmsley, S.R. How oxygenation shapes immune responses: Emerging roles for physioxia and pathological hypoxia. Nat. Rev. Immunol. 2024. [Google Scholar] [CrossRef]
- Chou, W.-C.; Rampanelli, E.; Li, X.; Ting, J.P. Impact of intracellular innate immune receptors on immunometabolism. Cell Mol. Immunol. 2022, 19, 337–351. [Google Scholar] [CrossRef] [PubMed]
- Ahmed, N.H.; Ayyat, A.; Abdelrhman, A.; El-Latif, A. The ameliorative effect of nano-selenium supplementation on growth, body composition, lead bioaccumulation, and blood components of Nile tilapia fed lead-contaminated diet. Egypt. J. Nutr. Feed. 2023, 26, 109–118. [Google Scholar] [CrossRef]
- Biller, J.; Takahashi, L. Oxidative stress and fish immune system: Phagocytosis and leukocyte respiratory burst activity. An. Acad. Bras. Cienc. 2018, 90, 3403–3414. [Google Scholar] [CrossRef] [PubMed]
- Martínez-Álvarez, R.M.; Morales, A.E.; Sanz, A. Antioxidant defences in fish: Biotic and abiotic factors. Rev. Fish Biol. Fish. 2005, 15, 75–88. [Google Scholar] [CrossRef]
- Ngo, D.H.; Wijesekara, I.; Vo, T.-S.; Van Ta, Q.; Kim, S.-K. Marine food-derived functional ingredients as potential antioxidants in the food industry: An overview. Food Res. Int. 2011, 44, 523–529. [Google Scholar] [CrossRef]
- Winzer, K.; Becker, W.; Van Noorden, C.; Köhler, A. Short-time induction of oxidative stress in hepatocytes of the European flounder (Platichthys flesus). Mar. Environ. Res. 2000, 50, 495–501. [Google Scholar] [CrossRef]
- Tsikas, D. Assessment of lipid peroxidation by measuring malondialdehyde (MDA) and relatives in biological samples: Analytical and biological challenges. Anal. Biochem. 2017, 524, 13–30. [Google Scholar] [CrossRef] [PubMed]
- Gupta, P.; Verma, S.K. Evaluation of genotoxicity induced by herbicide pendimethalin in freshwater fish Clarias batrachus (Linn.) and possible role of oxidative stress in induced DNA damage. Drug Chem. Toxicol. 2022, 45, 750–759. [Google Scholar] [CrossRef] [PubMed]
- Martins, M.L.; Vieira, F.N.; Jerônimo, G.T.; Mouriño, J.L.; Dotta, G.; Speck, G.M.; Bezerra, A.J.; Pedrotti, F.S.; Buglione-Neto, C.C.; Pereira, G., Jr. Leukocyte response and phagocytic activity in Nile tilapia experimentally infected with Enterococcus sp. Fish Physiol. Biochem. 2009, 35, 219–222. [Google Scholar] [CrossRef] [PubMed]
- Sebastião, F.A.; Nomura, D.; Sakabe, R.; Pilarski, F. Hematology and productive performance of Nile tilapia (Oreochromis niloticus) naturally infected with Flavobacterium columnare. Braz. J. Microbiol. 2011, 42, 282–289. [Google Scholar] [CrossRef] [PubMed]
- Afiyanti, A.D.; Yuliani, M.G.A.; Handijatno, D. Leukocyte count and differential leukocyte count of carp (Cyprinus carpio Linn) after infected by Aeromonas salmonicida. In Proceedings of the 2nd International Conference Postgraduate School (ICPS 2018), Surabaya, Indonesia, 10–11 July 2018. [Google Scholar]
- Adeyemi, J.A.; Atere, T.G.; Oyedara, O.O.; Olabiyi, K.O.; Olaniyan, O.O. Hematological assessment of health status of African catfish Clarias gariepinus (Burchell 1822) experimentally challenged with Escherichia coli and Vibrio fischeri. Comp. Clin. Pathol. 2014, 23, 1309–1313. [Google Scholar] [CrossRef]
- Titus, J.; Nayak, S.; Sultan, E.; Gershoni-Yahalom, O.; Sinai, T.; Zilberg, D.; Rosental, B. Development and validation of a flow cytometry method to examine circulating leukocyte subpopulations in barramundi (Lates calcarifer). Comp. Immunol. Rep. 2024, 6, 200142. [Google Scholar] [CrossRef]
- Barroso, C.; Ozório, R.O.A.; Afonso, A.; Moraes, J.R.E.; Costas, B. Immune responses and gut morphology in Senegalese sole (Solea senegalensis) fed dietary probiotic supplementation and following exposure to Photobacterium damselae subsp. piscicida. Aquac. Res. 2016, 47, 951–960. [Google Scholar] [CrossRef]
- Costas, B.; Rêgo, P.C.N.P.; Simões, I.; Marques, J.F.; Castro-Cunha, M.; Afonso, A. Cellular and humoral immune responses of Senegalese sole, Solea senegalensis (Kaup), following challenge with two strains of Photobacterium damselae subsp. piscicida from different geographical origins. J. Fish Dis. 2013, 36, 543–553. [Google Scholar]
- Xia, H.; Tang, Y.; Lu, F.; Luo, Y.; Yang, P.; Wang, W.; Jiang, J.; Li, N.; Han, Q.; Liu, F.; et al. The effect of Aeromonas hydrophila infection on the non-specific immunity of blunt snout bream (Megalobrama amblycephala). Cent.-Eur. J. Immunol. 2017, 42, 239–243. [Google Scholar] [CrossRef]
- Núñez-Díaz, J.A.; Fumanal, M.; Mancera, J.M.; Moriñigo, M.A.; Balebona, M.C. Two routes of infection with Photobacterium damselae subsp. piscicida are effective in the modulation of the transcription of immune-related genes in Solea senegalensis. Vet. Immunol. Immunopathol. 2016, 179, 8–17. [Google Scholar]
- Sahoo, P.K.; Mahapatra, K.D.; Saha, J.N.; Barat, A.; Sahoo, M.; Mohanty, B.R.; Gjerde, B.; Odegård, J.; Rye, M.; Salte, R. Family association between immune parameters and resistance to Aeromonas hydrophila infection in the Indian major carp, Labeo rohita. Fish Shellfish Immunol. 2008, 25, 163–169. [Google Scholar] [CrossRef] [PubMed]
- Yin, X.; Mu, L.; Fu, S.; Wu, L.; Han, K.; Wu, H.; Bian, X.; Wei, X.; Guo, Z.; Wang, A.; et al. Expression and characterization of Nile tilapia (Oreochromis niloticus) secretory and membrane-bound IgM in response to bacterial infection. Aquaculture 2019, 508, 214–222. [Google Scholar] [CrossRef]
- Boshra, H.; Gelman, A.E.; Sunyer, J.O. Structural and functional characterization of complement C4 and C1s-like molecules in teleost fish: Insights into the evolution of classical and alternative pathways. J. Immunol. 2004, 173, 349–359. [Google Scholar] [CrossRef]
- Abdel-Magid, A.; Elrazik, F.; Agour, M.; El-Magd, M. Nile tilapia resistant to Aeromonas hydrophila infection had higher serum IgM and antioxidant enzymes activities. Arab. J. Med. Sci. 2019, 2, 9–12. [Google Scholar]
- Tellez-Bañuelos, M.C.; Santerre, A.; Casas-Solis, J.; Zaitseva, G. Endosulfan increases seric interleukin-2 like (IL-2L) factor and immunoglobulin M (IgM) of Nile tilapia (Oreochromis niloticus) challenged with Aeromonas hydrophila. Fish Shellfish Immunol. 2010, 28, 401–405. [Google Scholar] [CrossRef]
- Ye, J.; Kaattari, I.M.; Ma, C.; Kaattari, S. The teleost humoral immune response. Fish Shellfish Immunol. 2013, 35, 1719–1728. [Google Scholar] [CrossRef]
- Holland, M.C.H.; Lambris, J.D. The complement system in teleosts. Fish Shellfish Immunol. 2002, 12, 399–420. [Google Scholar] [CrossRef] [PubMed]
- Dodds, A.W.; Law, S.K. The phylogeny and evolution of the thioester bond-containing proteins C3, C4 and alpha 2-macroglobulin. Immunol. Rev. 1998, 166, 15–26. [Google Scholar] [CrossRef] [PubMed]
- Boshra, H.; Li, J.; Sunyer, J.O. Recent advances on the complement system of teleost fish. Fish Shellfish Immunol. 2006, 20, 239–262. [Google Scholar] [CrossRef] [PubMed]
- Charlie-Silva, I.; Klein, A.; Gomes, J.M.M.; Prado, E.J.R.; Moraes, A.C.; Eto, S.F.; Fernandes, D.C.; Fagliari, J.J.; Junior, J.D.C.; Lima, C.; et al. Acute-phase proteins during inflammatory reaction by bacterial infection: Fish-model. Sci. Rep. 2019, 9, 4776. [Google Scholar] [CrossRef]
- Sunyer, J.O.; Boshra, H.; Lorenzo, G.; Parra, D.; Freedman, B.; Bosch, N. Evolution of complement as an effector system in innate and adaptive immunity. Immunol. Res. 2003, 27, 549–564. [Google Scholar] [CrossRef] [PubMed]
- Qi, Z.; Zhang, Q.; Wang, Z.; Ma, T.; Zhou, J.; Holland, J.W.; Gao, Q. Transcriptome analysis of the endangered Chinese giant salamander (Andrias davidianus): Immune modulation in response to Aeromonas hydrophila infection. Vet. Immunol. Immunopathol. 2016, 169, 85–95. [Google Scholar] [CrossRef] [PubMed]
- Tran, N.T.; Gao, Z.-X.; Zhao, H.-H.; Yi, S.-K.; Chen, B.-X.; Zhao, Y.-H.; Lin, L.; Liu, X.-Q.; Wang, W.-M. Transcriptome analysis and microsatellite discovery in the blunt snout bream (Megalobrama amblycephala) after challenge with Aeromonas hydrophila. Fish Shellfish Immunol. 2015, 45, 72–82. [Google Scholar] [CrossRef] [PubMed]
- Zhou, W.; Zhang, Y.; Wen, Y.; Ji, W.; Zhou, Y.; Ji, Y.; Liu, X.; Wang, W.; Asim, M.; Liang, X.; et al. Analysis of the transcriptomic profiling of Mandarin fish (Siniperca chuatsi) infected with Flavobacterium columnare with an emphasis on immune responses. Fish Shellfish Immunol. 2015, 43, 111–119. [Google Scholar] [CrossRef]
- Nakao, M.; Tsujikura, M.; Ichiki, S.; Vo, T.K.; Somamoto, T. The complement system in teleost fish: Progress of post-homolog-hunting researches. Dev. Comp. Immunol. 2011, 35, 1296–1308. [Google Scholar] [CrossRef]
- Chapela, M.J.; Ferreira, M.; Varela, C.; Arregui, L.; Garrido-Maestu, A. Development of a Multiplex Real-Time PCR Method for Early Diagnosis of Three Bacterial Diseases in Fish: A Real-Case Study in Trout Aquaculture. Aquaculture 2018, 496, 255–261. [Google Scholar] [CrossRef]
- Valenzuela, C.A.; Zuloaga, R.; Poblete-Morales, M.; Vera-Tobar, T.; Mercado, L.; Avendaño-Herrera, R.; Valdés, J.A.; Molina, A. Fish Skeletal Muscle Tissue Is an Important Focus of Immune Reactions during Pathogen Infection. Dev. Comp. Immunol. 2017, 73, 1–9. [Google Scholar] [CrossRef]
- Wang, E.; Wang, J.; Long, B.; Wang, K.; He, Y.; Yang, Q.; Chen, D.; Geng, Y.; Huang, X.; Ouyang, P.; et al. Molecular cloning, expression and the adjuvant effects of interleukin-8 of channel catfish (Ictalurus punctatus) against Streptococcus iniae. Sci. Rep. 2016, 6, 29310. [Google Scholar] [CrossRef]
- Xiao, Y.; Yu, L.; Gui, G.; Gong, Y.; Wen, X.; Xia, W.; Yang, H.; Zhang, L. Molecular cloning and expression analysis of interleukin-8 and -10 in yellow catfish and in response to bacterial pathogen infection. Biomed Res. Int. 2019, 2019, 9617659. [Google Scholar] [CrossRef]
- Matsumoto, M.; Kubota, T.; Fujita, S.; Shiozaki, K.; Kishida, S.; Yamamoto, A. Elucidation of the interleukin 12 production mechanism during intracellular bacterial infection in amberjack, Seriola dumerili. Infect. Immun. 2019, 87, 10–1128. [Google Scholar] [CrossRef]
- Heeb, L.E.M.; Egholm, C.; Boyman, O. Evolution and function of interleukin-4 receptor signaling in adaptive immunity and neutrophils. Genes Immun. 2020, 21, 143–149. [Google Scholar] [CrossRef] [PubMed]
- Wang, Q.; Wang, S.; Zhang, Y.; Yu, Y.; Zhao, H.; Yang, H.; Zheng, L.; Yang, M.; Qin, Q. The CXC chemokines and CXC chemokine receptors in orange-spotted grouper (Epinephelus coioides) and their expression after Singapore grouper iridovirus infection. Dev. Comp. Immunol. 2019, 90, 10–20. [Google Scholar] [CrossRef] [PubMed]
- Yu, T.; Xie, M.; Luo, K.; Zhang, X.; Gao, W.; Xu, Q.; Zhang, S. Mechanism of Chinese Sturgeon IFN-γ Inhibition on Mycobacterium marinum (Acipenser sinensis). Fish Shellfish Immunol. 2024, 147, 109436. [Google Scholar] [CrossRef]
- Reith, W.; Leibundgut-Landmann, S.; Waldburger, J.-M. Regulation of MHC Class II Gene Expression by the Class II Transactivator. Nat. Rev. Immunol. 2005, 5, 793–806. [Google Scholar] [CrossRef]
- Cambier, S.; Gouwy, M.; Proost, P. The Chemokines CXCL8 and CXCL12: Molecular and Functional Properties, Role in Disease and Efforts towards Pharmacological Intervention. Cell. Mol. Immunol. 2023, 20, 217–251. [Google Scholar] [CrossRef]
- Hughes, C.E.; Nibbs, R.J.B. A Guide to Chemokines and Their Receptors. FEBS J. 2018, 285, 2944–2971. [Google Scholar] [CrossRef]
- Schott, B.H.; Antonia, A.L.; Wang, L.; Pittman, K.J.; Sixt, B.S.; Barnes, A.B.; Valdivia, R.H.; Ko, D.C. Modeling of Variables in Cellular Infection Reveals CXCL10 Levels Are Regulated by Human Genetic Variation and the Chlamydia-Encoded CPAF Protease. Sci. Rep. 2020, 10, 18269. [Google Scholar] [CrossRef]
- Zhang, L.; Cui, W.; Chen, Q.; Ren, Q.; Zhu, Y.; Zhang, Y. Thymosin-β12 Characteristics and Function in Urechis unicinctus. Comp. Biochem. Physiol. B Biochem. Mol. Biol. 2020, 239, 110366. [Google Scholar] [CrossRef]
- Song, Q.; Xiao, Y.; Xiao, Z.; Liu, T.; Li, J.; Li, P.; Han, F. Lysozymes in Fish. J. Agric. Food Chem. 2021, 69, 15039–15051. [Google Scholar] [CrossRef]
- Safarian, M.; Tabandeh, M.R.; Zolgharnein, H.; Ghotrami, E.R. Molecular Characteristics of Lysozyme G in Euryglossa orientalis; cDNA Cloning, Phylogenic Analysis, Physicochemical Properties, and Tissue Gene Expression. Fish Physiol. Biochem. 2016, 42, 1833–1844. [Google Scholar] [CrossRef]
- Shabir, U.; Ali, S.; Magray, A.R.; Ganai, B.A.; Firdous, P.; Hassan, T.; Nazir, R. Fish Antimicrobial Peptides (AMPs) as Essential and Promising Molecular Therapeutic Agents: A Review. Microb. Pathog. 2018, 114, 50–56. [Google Scholar] [CrossRef]
- Chen, X.; Yi, Y.; Bian, C.; You, X.; Shi, Q. Putative Antimicrobial Peptides in Fish: Using Zebrafish as a Representative. Protein Pept. Lett. 2020, 27, 1059–1067. [Google Scholar] [CrossRef] [PubMed]
- Zou, S.S.; Wang, J.; Li, B.X.; Yang, G.W.; Sun, J.J.; Yang, H.T. Thymosin Participates in Antimicrobial Immunity in Zebrafish. Fish Shellfish Immunol. 2019, 87, 371–378. [Google Scholar] [CrossRef] [PubMed]
- Wang, J.; Su, B.; Dunham, R.A. Genome-Wide Identification of Catfish Antimicrobial Peptides: A New Perspective to Enhance Fish Disease Resistance. Rev. Aquac. 2022, 14, 2002–2022. [Google Scholar] [CrossRef]
- Austin, B. Methods for the diagnosis of bacterial fish diseases. Mar. Life Sci. Technol. 2019, 1, 41–49. [Google Scholar] [CrossRef]
- Miles, A.A.; Misra, S.S.; Irwin, J.O. The estimation of the bactericidal power of the blood. J. Hyg. 1938, 38, 732–749. [Google Scholar] [CrossRef]
- AOAC International. Official Methods of Analysis of AOAC International, 20th ed.; AOAC International: Rockville, MI, USA, 2016. [Google Scholar]
- Henry, R.J.; Chiamori, N.; Golub, O.J.; Berkman, S. Revised spectrophotometric methods for the determination of glutamic-oxalacetic transaminase, glutamic-pyruvic transaminase, and lactic acid dehydrogenase. Am. J. Clin. Pathol. 1960, 34, 381–398. [Google Scholar] [CrossRef]
- Fabiny, D.L.; Ertingshausen, G. Automated reaction-rate method for determination of serum creatinine with the CentrifiChem. Clin. Chem. 1971, 17, 696–700. [Google Scholar] [CrossRef]
- Tiffany, T.; Jansen, J.; Burtis, C.; Overton, J.; Scott, C. Enzymatic kinetic rate and end-point analyses of substrate, by use of a GeMSAEC fast analyzer. Clin. Chem. 1972, 18, 829–835. [Google Scholar] [CrossRef]
- Hrubec, T.C.; Smith, S.A.; Robertson, J.L.; Feldman, B.; Veit, H.P.; Libey, G.; Tinker, M.K. Comparison of hematologic reference intervals between culture system and type of hybrid striped bass. Am. J. Vet. Res. 1996, 57, 618–623. [Google Scholar] [CrossRef]
- Wijendra, G.; Pathinratne, A. Evaluation of immune responses in an Indian carp, Labeo rohita (Hamilton) fed with levamisole incorporated diet. J. Sci. Univ. Kelaniya 2007, 3, 17–28. [Google Scholar] [CrossRef][Green Version]
- Ghareghanipoor, M.; Akbary, P.; Akhlaghi, M. Non-specific Immune Responses and Immune related Genes Expression of Rainbow trout (Oncorhynchus mykiss, Walbaum) fed Zataria multiflora Boiss extract. Bull. Environ. Pharmacol. Life Sci. 2014, 3, 140–146. [Google Scholar]
- Dati, F.; Moeller, L. Immunochemical methods for determination of urinary proteins (albumin and α1-microglobulin) in kidney disease. J. Int. Fed. Clin. Chem. 1989, 1, 68–77. [Google Scholar]
- He, S.; Atkinson, C.; Qiao, F.; Cianflone, K.; Chen, X.; Tomlinson, S. A complement-dependent balance between hepatic ischemia/reperfusion injury and liver regeneration in mice. J. Clin. Investig. 2009, 119, 2304–2316. [Google Scholar] [CrossRef] [PubMed]
- Chomczynski, P.; Sacchi, N. The single-step method of RNA isolation by acid guanidinium thiocyanate–phenol–chloroform extraction: Twenty-something years on. Nat. Protoc. 2006, 1, 581–585. [Google Scholar] [CrossRef]
- Livak, K.J.; Schmittgen, T.D. Analysis of relative gene expression data using real-time quantitative PCR and the 2− ΔΔCT method. Methods 2001, 25, 402–408. [Google Scholar] [CrossRef]
- Bertolini, F.; Servin, B.; Talenti, A.; Rochat, E.; Kim, E.S.; Oget, C.; Palhière, I.; Crisà, A.; Catillo, G.; Steri, R. Signatures of selection and environmental adaptation across the goat genome post-domestication. Genet. Sel. Evol. 2018, 50, 57. [Google Scholar] [CrossRef]
- Clutton-Brock, J. A Natural History of Domesticated Mammals; Cambridge University Press: Cambridge, UK, 1999. [Google Scholar]
- MacHugh, D.E.; Bradley, D.G. Livestock genetic origins: Goats buck the trend. Proc. Natl. Acad. Sci. USA 2001, 98, 5382–5384. [Google Scholar] [CrossRef]
- Nicoloso, L.; Bomba, L.; Colli, L.; Negrini, R.; Milanesi, M.; Mazza, R.; Sechi, T.; Frattini, S.; Talenti, A.; Coizet, B. Genetic diversity of Italian goat breeds assessed with a medium-density SNP chip. Genet. Sel. Evol. 2015, 47, 62. [Google Scholar] [CrossRef]
- Gao, J.H.; Zhao, J.L.; Yao, X.L.; Tola, T.; Zheng, J.; Xue, W.B.; Wang, D.W.; Xing, Y. Identification of antimicrobial peptide genes from transcriptomes in Mandarin fish (Siniperca chuatsi) and their response to infection with Aeromonas hydrophila. Fish Shellfish Immunol. 2023, 144, 109247. [Google Scholar] [CrossRef]
Disclaimer/Publisher’s Note: The statements, opinions and data contained in all publications are solely those of the individual author(s) and contributor(s) and not of MDPI and/or the editor(s). MDPI and/or the editor(s) disclaim responsibility for any injury to people or property resulting from any ideas, methods, instructions or products referred to in the content. |
© 2024 by the authors. Licensee MDPI, Basel, Switzerland. This article is an open access article distributed under the terms and conditions of the Creative Commons Attribution (CC BY) license (https://creativecommons.org/licenses/by/4.0/).