Cholestatic HCV Cryoglobulinemia: A New Clinical and Pathological Entity before and after Direct-Acting Antiviral Therapies—A Case-Control Study
Abstract
1. Introduction
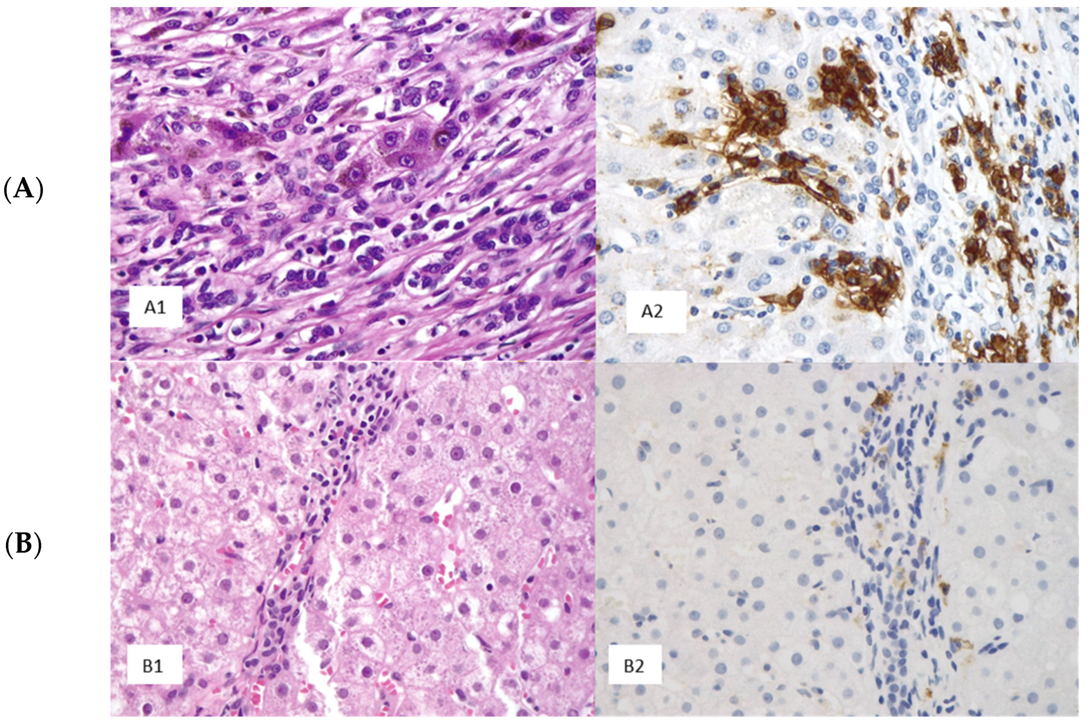
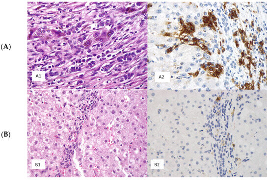
2. Results
Cholestasis Biomarkers and MC after HCV Eradication
3. Discussion
4. Materials and Methods
4.1. Cryoglobulin Detection Methods
4.2. Pathological Assessment
4.3. Immunohistochemistry
4.4. Statistical Analyses
Author Contributions
Funding
Institutional Review Board Statement
Informed Consent Statement
Data Availability Statement
Acknowledgments
Conflicts of Interest
References
- Brouet, J.C.; Clauvel, J.P.; Danon, F.; Klein, M.; Seligmann, M. Biologic and clinical significance of cryoglobulins. A report of 86 cases. Am. J. Med. 1974, 57, 775–788. [Google Scholar] [CrossRef] [PubMed]
- Ramos-Casals, M.; Stone, J.H.; Cid, M.C.; Bosch, X. The cryoglobulinaemias. Lancet 2012, 379, 348–360. [Google Scholar] [CrossRef] [PubMed]
- Ferri, C. Mixed cryoglobulinemia. Orphanet J. Rare Dis. 2008, 3, 25. [Google Scholar] [CrossRef] [PubMed]
- Meltzer, M.; Franklin, E.C. Cryoglobulinemia—A study of twenty-nine patients. I. IgG and IgM cryoglobulins and factors affecting cryoprecipitability. Am. J. Med. 1966, 40, 828–836. [Google Scholar] [CrossRef]
- Roccatello, D.; Saadoun, D.; Ramos-Casals, M.; Tzioufas, A.G.; Fervenza, F.C.; Cacoub, P.; Zignego, A.L.; Ferri, C. Cryoglobulinaemia. Nat. Rev. Dis. Primers 2018, 4, 11. [Google Scholar] [CrossRef]
- Takada, S.; Shimizu, T.; Hadano, Y.; Matsumoto, K.; Kataoka, Y.; Arima, Y.; Inoue, T.; Sorano, S. Cryoglobulinemia (review). Mol. Med. Rep. 2012, 6, 3–8. [Google Scholar] [CrossRef]
- Cacoub, P.; Fabiani, F.L.; Musset, L.; Perrin, M.; Frangeul, L.; Leger, J.M.; Huraux, J.M.; Piette, J.C.; Godeau, P. Mixed cryoglobulinemia and hepatitis C virus. Am. J. Med. 1994, 96, 124–132. [Google Scholar] [CrossRef]
- Lunel, F.; Musset, L.; Cacoub, P.; Frangeul, L.; Cresta, P.; Perrin, M.; Grippon, P.; Hoang, C.; Valla, D.; Piette, J.C.; et al. Cryoglobulinemia in chronic liver diseases: Role of hepatitis C virus and liver damage. Gastroenterology 1994, 106, 1291–1300, Erratum in Gastroenterology 1995, 108, 620. [Google Scholar] [CrossRef]
- Ramos-Casals, M.; Robles, A.; Brito-Zerón, P.; Nardi, N.; Nicolás, J.M.; Forns, X.; Plaza, J.; Yagüe, J.; Sánchez-Tapias, J.M.; Font, J. Life-threatening cryoglobulinemia: Clinical and immunological characterization of 29 cases. Semin. Arthritis Rheum. 2006, 36, 189–196. [Google Scholar] [CrossRef]
- Mazzaro, C.; Quartuccio, L.; Adinolfi, L.E.; Roccatello, D.; Pozzato, G.; Nevola, R.; Tonizzo, M.; Gitto, S.; Andreone, P.; Gattei, V. A Review on Extrahepatic Manifestations of Chronic Hepatitis C Virus Infection and the Impact of Direct-Acting Antiviral Therapy. Viruses 2021, 13, 2249. [Google Scholar] [CrossRef]
- Pol, S.; Vallet-Pichard, A.; Hermine, O. Extrahepatic cancers and chronic HCV infection. Nat. Rev. Gastroenterol. Hepatol. 2018, 15, 283–290. [Google Scholar] [CrossRef]
- Androutsakos, T.; Mouziouras, D.; Katelani, S.; Psichogiou, M.; Sfikakis, P.P.; Protogerou, A.D.; Argyris, A.A. A Comparative Study on the Presence and Reversibility of Subclinical Arterial Damage in HCV-Infected Individuals and Matched Controls. Viruses 2023, 15, 1374. [Google Scholar] [CrossRef] [PubMed]
- Monti, G.; Navassa, G.; Fiocca, S.; Cereda, U.G.; Galli, M.; Invernizzi, F. Cryoglobulinemia and liver involvement. Ric. Clin. Lab. 1986, 16, 367–375. [Google Scholar] [CrossRef] [PubMed]
- McCaughan, G.W.; Bowen, D.G. Pathogenesis of cholestatic hepatitis C. J. Hepatol. 2011, 54, 392–394. [Google Scholar] [CrossRef] [PubMed]
- Zekry, A.; Bishop, G.A.; Bowen, D.G.; Gleeson, M.M.; Guney, S.; Painter, D.M.; McCaughan, G.W. Intrahepatic cytokine profiles associated with posttransplantation hepatitis C virus-related liver injury. Liver Transplant. 2002, 8, 292–301. [Google Scholar] [CrossRef] [PubMed]
- Postnikova, O.A.; Nepomnyashchikh, G.I.; Yudanov, A.V.; Nepomnyashchikh, D.L.; Kapustina, V.I.; Isayenko, V.I. Intracellular cholestasis in HCV and HBV infection. Bull. Exp. Biol. Med. 2012, 153, 898–901. [Google Scholar] [CrossRef] [PubMed]
- Belay, T.; Woldegiorgis, H.; Gress, T.; Rayyan, Y. Intrahepatic cholestasis of pregnancy with concomitant hepatitis C virus infection, Joan C. Edwards SOM, Marshall University. Eur. J. Gastroenterol. Hepatol. 2015, 27, 372–374. [Google Scholar] [CrossRef]
- Toth, C.M.; Pascual, M.; Chung, R.T.; Graeme-Cook, F.; Dienstag, J.L.; Bhan, A.K.; Cosimi, A.B. Hepatitis C virus-associated fibrosing cholestatic hepatitis after renal transplantation: Response to interferon-alpha therapy. Transplantation 1998, 66, 1254–1258. [Google Scholar] [CrossRef]
- Edoute, Y.; Baruch, Y.; Lachter, J.; Furman, E.; Bassan, L.; Assy, N. Severe cholestatic jaundice induced by Epstein-Barr virus infection in the elderly. J. Gastroenterol. Hepatol. 1998, 13, 821–824. [Google Scholar] [CrossRef]
- Cappell, M.S. Hepatobiliary manifestations of the acquired immune deficiency syndrome. Am. J. Gastroenterol. 1991, 86, 1–15. [Google Scholar]
- Cello, J.P. Acquired immunodeficiency syndrome cholangiopathy: Spectrum of disease. Am. J. Med. 1989, 86, 539–546. [Google Scholar] [CrossRef] [PubMed]
- Schamberg, N.J.; Lake-Bakaar, G.V. Hepatitis C Virus-related Mixed Cryoglobulinemia: Pathogenesis, Clinica Manifestations, and New Therapies. Gastroenterol. Hepatol. 2007, 3, 695–703. [Google Scholar]
- Retamozo, S.; Díaz-Lagares, C.; Bosch, X.; Bové, A.; Brito-Zerón, P.; Gómez, M.E.; Yagüe, J.; Forns, X.; Cid, M.C.; Ramos-Casals, M. Life-Threatening Cryoglobulinemic Patients With Hepatitis C: Clinical Description and Outcome of 279 Patients. Medicine 2013, 92, 273–284. [Google Scholar] [CrossRef]
- Lefkowitch, J.H. Histological assessment of cholestasis. Clin. Liver Dis. 2004, 8, 27–40. [Google Scholar] [CrossRef]
- Fayed, A.; Hegazy, M.T.; Biard, L.; Vieira, M.; El Shabony, T.; Saadoun, D.; Casato, M.; Visentini, M.; Ragab, G.; Cacoub, P. Relapse of Hepatitis C Virus Cryoglobulinemic Vasculitis After Sustained Viral Response After Interferon-Free Direct-Acting Antivirals. Am. J. Gastroenterol. 2022, 117, 627–636. [Google Scholar] [CrossRef] [PubMed]
- Lehman, D.H.; Wilson, C.B.; Dixon, F.J. Extraglomerular immunoglobulin deposits in human nephritis. Am. J. Med. 1975, 58, 765–796. [Google Scholar] [CrossRef]
- Gentilini, P.; La Villa, G. Liver-kidney pathophysiological interrelationships in liver diseases. Dig. Liver Dis. 2008, 40, 909–919. [Google Scholar] [CrossRef]
- Johansson, A.G.; Løvdal, T.; Magnusson, K.E.; Berg, T.; Skogh, T. Liver cell uptake and degradation of soluble immunoglobulin G immune complexes in vivo and in vitro in rats. Hepatology 1996, 24, 169–175. [Google Scholar] [CrossRef]
- Wei, A.; Juneja, S. Bone marrow immunohistology of plasma cell neoplasms. J. Clin. Pathol. 2003, 56, 406–411. [Google Scholar] [CrossRef]
- Nahm, M.H.; Chatham, W.W.; Benjamin, W.H., Jr. Device for carrying blood samples at 37 °C for cryoglobulin test. Clin. Vaccine Immunol. 2012, 19, 1555–1556. [Google Scholar] [CrossRef]
- Michaud, M.; Pourrat, J. Cryofibrinogenemia. J. Clin. Rheumatol. 2013, 19, 142–148. [Google Scholar] [CrossRef] [PubMed]
- Damoiseaux, J. The diagnosis and classification of the cryoglobulinemic syndrome. Autoimmun. Rev. 2014, 13, 359–362. [Google Scholar] [CrossRef] [PubMed]
- European Association for the Study of the Liver. EASL Clinical Practice Guidelines: Management of cholestatic liver diseases. J. Hepatol. 2009, 51, 237–267. [Google Scholar] [CrossRef]
- Lu, L.; Chinese Society of Hepatology and Chinese Medical Association. Guidelines for the Management of Cholestatic Liver Diseases (2021). J. Clin. Transl. Hepatol. 2022, 10, 757–769. [Google Scholar] [CrossRef] [PubMed]
- Ishak, K.; Baptista, A.; Bianchi, L.; Callea, F.; De Groote, J.; Gudat, F.; Denk, H.; Desmet, V.; Korb, G.; MacSween, R.N.; et al. Histological grading and staging of chronic hepatitis. J. Hepatol. 1995, 22, 696–699. [Google Scholar] [CrossRef]

| Whole Population n = 60 | MC− n = 31 | MC+ n = 29 | p | |
|---|---|---|---|---|
| Age (years) | 56.5 (35–77) | 57 (35–77) | 56 (35–77) | 0.35 |
| Sex (M) (%) | 50 | 54.8 | 44.8 | 0.60 |
| Aetiology | ||||
| Steatosis (%) | 41.4 | 41.9 | 37.9 | 0.79 |
| Cirrhosis (%) | 55.8 | 41.9 | 55.2 | 0.06 |
| Diabetes (%) | 18.4 | 16.1 | 13.8 | 0.70 |
| Current/previous alcohol consumption (%) | 20 | 12.9 | 27.6 | 0.16 |
| Previous antiviral therapy (%) | 8.3 | 9.7 | 6.9 | 0.70 |
| HBV+ (%) | 28.3 | 19.3 | 37.9 | 0.11 |
| Genotype | 0.55 | |||
| 1 (%) | 61 | 67.7 | 51.7 | |
| 2 (%) | 18.6 | 16.1 | 20.7 | |
| 3 (%) | 15.3 | 9.7 | 20.7 | |
| 4 (%) | 5.1 | 6.4 | 3.4 | |
| HCV-RNA (copies/mL) | 1.34 × 106 ± 1.99 × 106 | 1.60 × 106 ± 2.20 × 106 | 1.06 × 106 ± 1.75 × 106 | 0.06 |
| Biochemical parameters | ||||
| AST (UI) | 60.5 (15–355) | 53 (20–332) | 64 (15–355) | 0.16 |
| ALT (UI) | 68.5 (16–369) | 68 (22–315) | 81 (16–369) | 0.81 |
| GGT (UI) | 50.5 (3–1189) | 69 (11–605) | 44 (3–1189) | 0.31 |
| ALP (UI) | 80.5 (1–376) | 82 (38–171) | 78 (1–376) | 0.92 |
| Direct bilirubin (mg/dL) | 0.2 (0.1–6.6) | 0.2 (0.1–0.01) | 0.2 (0.1–6.6) | 0.63 |
| Cholestasis > 2x UNL (%) | 18.3 | 6.4 | 31 | 0.02 |
| Histopathology | ||||
| Presence of plasma cells (%) | 94.6 | 92.8 | 93.1 | 1 |
| N/hotspot 40x | 26.1 ± 20.6 | 18.5 ± 16.7 | 33.6 ± 21.5 | <0.05 |
| Plasma cells location (Portal space *, lobule **, both ***) (%) | * 64.3 | * 67.8 | * 58.6 | 0.66 |
| ** 5.4 | ** 7.1 | ** 3.4 | ||
| *** 30.4 | *** 25 | *** 34.5 | ||
| Plasma cell aggregates (%) | 35.7 | 21.4 | 48.3 | 0.05 |
| Univariate Analysis | |||
|---|---|---|---|
| OR | 95% CI | p | |
| MC+ | 6.52 | 1.27–33.45 | 0.02 |
| Age | 1.05 | −0.01–0.12 | 0.09 |
| Sex | 0.50 | −2.03–0.67 | 0.32 |
| HCV-RNA | 1.00 | −8.30 × 10−7–1.98 × 10−7 | 0.22 |
| HBV | 1.58 | 0.39–6.30 | 0.52 |
| Diabetes | 2.35 | −0.75–2.46 | 0.29 |
| Steatosis | 1.22 | −1.12–1.53 | 0.76 |
| Cirrhosis | 4.72 | 0.91–24.60 | 0.06 |
| Hematologic diseases | 1.33 | −2.09–2.66 | 0.81 |
| Presence of plasma cells | 0.46 | −3.26–1.73 | 0.54 |
| N° plasma cells/hotspot 40X | 1.05 | 0.01–0.08 | 0.004 |
| Plasma cell aggregates | 2.65 | −0.36–2.32 | 0.15 |
| Multivariate analysis | |||
| OR | 95% CI | p | |
| MC+ | 8.30 | 1.16–61.82 | <0.05 |
| Age | 1.1 | 0.95–1.16 | 0.31 |
| HCV-RNA | 1.00 | 1.00–1.00 | 0.95 |
| Diabetes | 2.02 | 0.27–14.84 | 0.49 |
| Cirrhosis | 1.50 | 0.20-11.14 | 0.68 |
| MC+ Group | |||
|---|---|---|---|
| Before HCV Eradication | After HCV Eradication | p | |
| GGT (UI) | 45 (3–1189) | 61.5 (18–270) | 0.025 |
| ALP (UI) | 78 (1–376) | 133 (91–234) | 0.010 |
| Direct bilirubin (mg/dL) | 0.2 (0.1–6.6) | 0.7 (0.3–0.7) | 0.001 |
| Cholestasis > 2x UNL (%) | 32.2 | 25 | 0.65 |
Disclaimer/Publisher’s Note: The statements, opinions and data contained in all publications are solely those of the individual author(s) and contributor(s) and not of MDPI and/or the editor(s). MDPI and/or the editor(s) disclaim responsibility for any injury to people or property resulting from any ideas, methods, instructions or products referred to in the content. |
© 2024 by the authors. Licensee MDPI, Basel, Switzerland. This article is an open access article distributed under the terms and conditions of the Creative Commons Attribution (CC BY) license (https://creativecommons.org/licenses/by/4.0/).
Share and Cite
Ammendola, S.; Romeo, S.; Cattazzo, F.; Mantovani, A.; Ieluzzi, D.; Paon, V.; Montagnana, M.; Pecori, S.; Tomezzoli, A.; Dalbeni, A.; et al. Cholestatic HCV Cryoglobulinemia: A New Clinical and Pathological Entity before and after Direct-Acting Antiviral Therapies—A Case-Control Study. Int. J. Mol. Sci. 2024, 25, 784. https://doi.org/10.3390/ijms25020784
Ammendola S, Romeo S, Cattazzo F, Mantovani A, Ieluzzi D, Paon V, Montagnana M, Pecori S, Tomezzoli A, Dalbeni A, et al. Cholestatic HCV Cryoglobulinemia: A New Clinical and Pathological Entity before and after Direct-Acting Antiviral Therapies—A Case-Control Study. International Journal of Molecular Sciences. 2024; 25(2):784. https://doi.org/10.3390/ijms25020784
Chicago/Turabian StyleAmmendola, Serena, Sara Romeo, Filippo Cattazzo, Anna Mantovani, Donatella Ieluzzi, Veronica Paon, Martina Montagnana, Sara Pecori, Anna Tomezzoli, Andrea Dalbeni, and et al. 2024. "Cholestatic HCV Cryoglobulinemia: A New Clinical and Pathological Entity before and after Direct-Acting Antiviral Therapies—A Case-Control Study" International Journal of Molecular Sciences 25, no. 2: 784. https://doi.org/10.3390/ijms25020784
APA StyleAmmendola, S., Romeo, S., Cattazzo, F., Mantovani, A., Ieluzzi, D., Paon, V., Montagnana, M., Pecori, S., Tomezzoli, A., Dalbeni, A., & Sacerdoti, D. (2024). Cholestatic HCV Cryoglobulinemia: A New Clinical and Pathological Entity before and after Direct-Acting Antiviral Therapies—A Case-Control Study. International Journal of Molecular Sciences, 25(2), 784. https://doi.org/10.3390/ijms25020784

