Detection of Avian Leukosis Virus Subgroup J (ALV-J) Using RAA and CRISPR-Cas13a Combined with Fluorescence and Lateral Flow Assay
Abstract
1. Introduction
1.1. Overview of Avian Leukosis
1.2. CRISPR-Cas Detection System
2. Materials and Methods
2.1. Design of RAA Primers and crRNA
2.2. Preparation of crRNA and RNA Reporter
2.3. Purification and Large-Scale Expression of LwaCas13a Protein
2.4. Virus Preparation
2.5. Construction of Standard Plasmids
2.6. Two-Step RAA-CRISPR-Cas13a Detection
2.6.1. RAA Amplification Step
2.6.2. Step 2: CRISPR-Cas13a Detection
3. Results
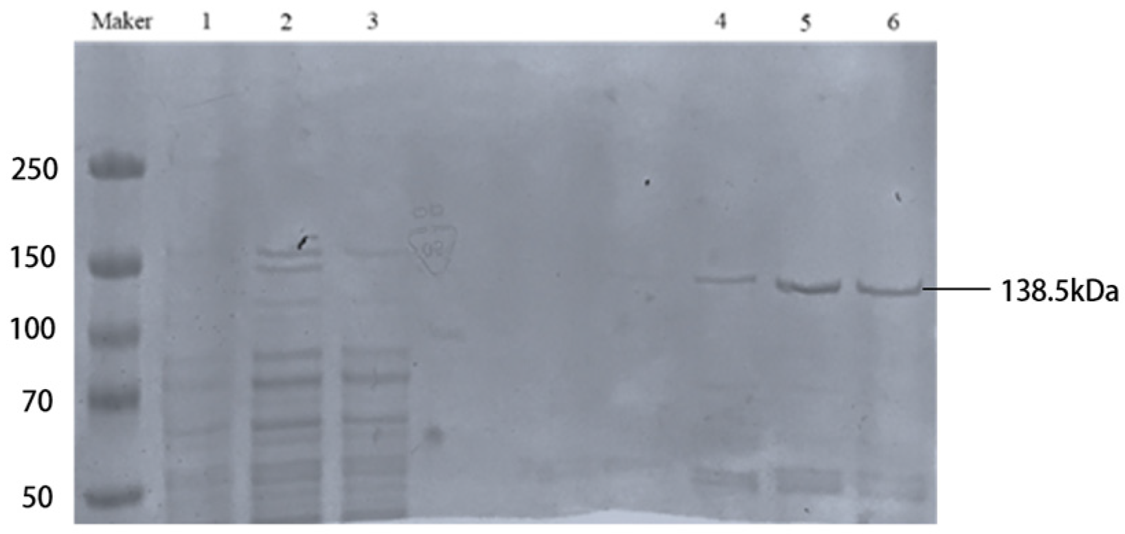
3.1. Purification of LwaCas13a Protein
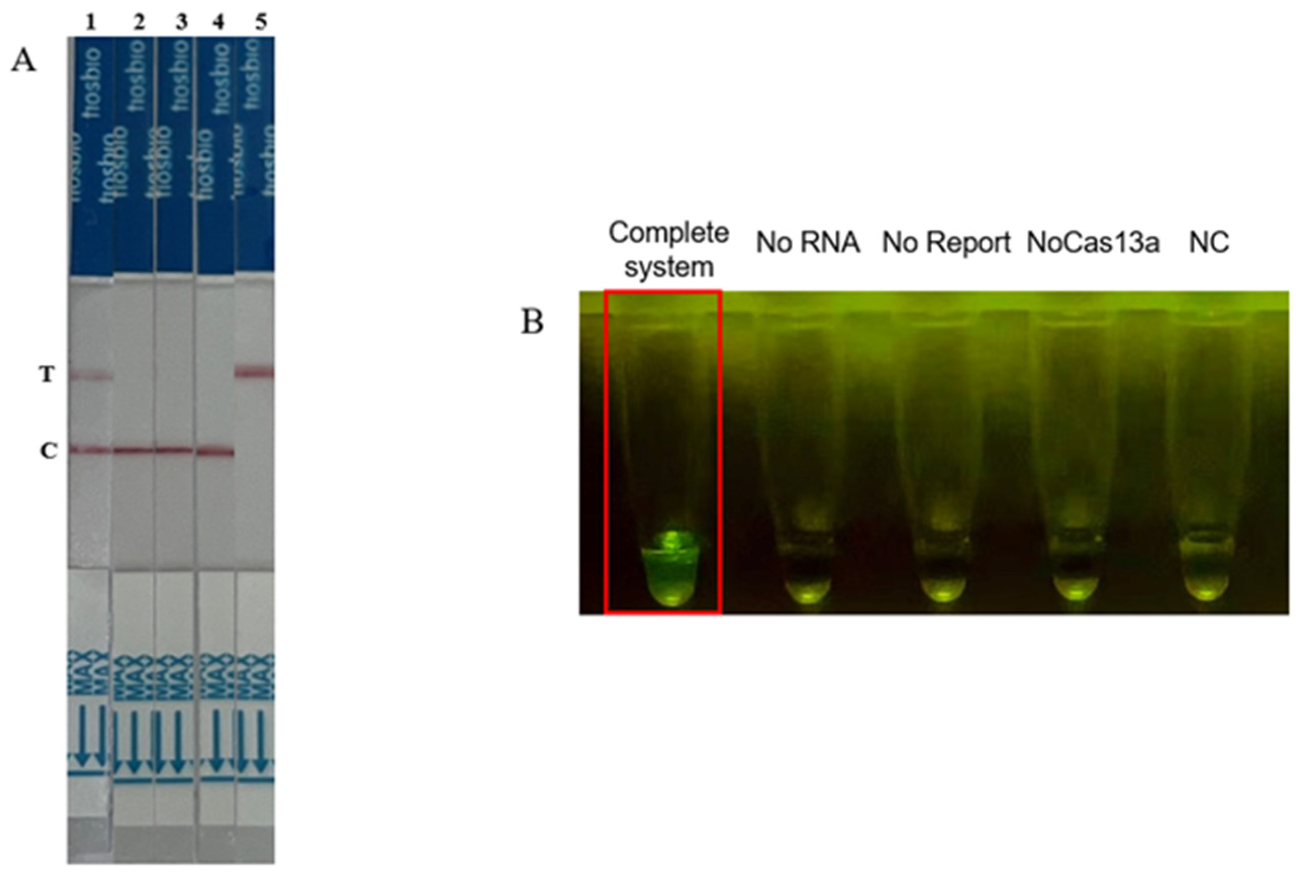
3.2. Feasibility Analysis and Optimization of CRISPR-Cas13a Nucleic Acid Detection
3.3. Sensitivity Detection of CRISPR-Cas13a
3.4. Specificity of CRISPR-Cas13a Detection for ALV-J
3.5. Clinical Sample Detection of ALV-J Using CRISPR-Cas13a
4. Discussion
Supplementary Materials
Author Contributions
Funding
Institutional Review Board Statement
Informed Consent Statement
Data Availability Statement
Conflicts of Interest
References
- Payne, L.N.; Gillespie, A.M.; Howes, K. Myeloid leukaemogenicity and transmission of the HPRS-103 strain of avian leukosis virus. Leukemia 1992, 6, 1167–1176. [Google Scholar] [PubMed]
- Payne, L.N.; Nair, V. The long view: 40 years of avian leukosis research. Avian Pathol. 2012, 41, 11–19. [Google Scholar] [CrossRef] [PubMed]
- Fenton, S.P.; Reddy, M.R.; Bagust, T.J. Single and concurrent avian leukosis virus infections with avian leukosis virus-J and avian leukosis virus-A in Australian meat-type chickens. Avian Pathol. 2005, 34, 48–54. [Google Scholar] [CrossRef][Green Version]
- Stedman, N.L.; Brown, T.P. Body weight suppression in broilers naturally infected with avian leukosis virus subgroup J. Avian Dis. 1999, 43, 604–610. [Google Scholar] [CrossRef]
- Payne, L.N.; Brown, S.R.; Bumstead, N.; Howes, K.; Frazier, J.A.; Thouless, M.E. A novel subgroup of exogenous avian leukosis virus in chickens. J. Gen. Virol. 1991, 72 Pt 4, 801–807. [Google Scholar] [CrossRef]
- Xu, M.; Hang, F.; Qian, K.; Shao, H.; Ye, J.; Qin, A. Chicken hepatomegaly and splenomegaly associated with novel subgroup J avian leukosis virus infection. BMC Vet. Res. 2022, 18, 32. [Google Scholar] [CrossRef]
- Lei, T.; Liu, R.; Zhuang, L.; Dai, T.; Meng, Q.; Zhang, X.; Bao, Y.; Huang, C.; Lin, W.; Huang, Y.; et al. Gp85 protein encapsulated by alginate-chitosan composite microspheres induced strong immunogenicity against avian leukosis virus in chicken. Front. Vet. Sci. 2024, 11, 1374923. [Google Scholar] [CrossRef] [PubMed]
- Dong, X.; Zhao, P.; Li, W.; Chang, S.; Li, J.; Li, Y.; Ju, S.; Sun, P.; Meng, F.; Liu, J.; et al. Diagnosis and sequence analysis of avian leukosis virus subgroup J isolated from Chinese Partridge Shank chickens. Poult. Sci. 2015, 94, 668–672. [Google Scholar] [CrossRef] [PubMed]
- Smith, E.J.; Williams, S.M.; Fadly, A.M. Detection of avian leukosis virus subgroup J using the polymerase chain reaction. Avian Dis. 1998, 42, 375–380. [Google Scholar] [CrossRef]
- Barrangou, R. CRISPR-Cas systems and RNA-guided interference. Wiley Interdiscip. Rev. RNA 2013, 4, 267–278. [Google Scholar] [CrossRef]
- Wright, A.V.; Nunez, J.K.; Doudna, J.A. Biology and Applications of CRISPR Systems: Harnessing Nature’s Toolbox for Genome Engineering. Cell 2016, 164, 29–44. [Google Scholar] [CrossRef] [PubMed]
- Makarova, K.S.; Wolf, Y.I.; Iranzo, J.; Shmakov, S.A.; Alkhnbashi, O.S.; Brouns, S.J.J.; Charpentier, E.; Cheng, D.; Haft, D.H.; Horvath, P.; et al. Evolutionary classification of CRISPR-Cas systems: A burst of class 2 and derived variants. Nat. Rev. Microbiol. 2020, 18, 67–83. [Google Scholar] [CrossRef] [PubMed]
- Koonin, E.V.; Makarova, K.S.; Zhang, F. Diversity, classification and evolution of CRISPR-Cas systems. Curr. Opin. Microbiol. 2017, 37, 67–78. [Google Scholar] [CrossRef] [PubMed]
- Shmakov, S.; Smargon, A.; Scott, D.; Cox, D.; Pyzocha, N.; Yan, W.; Abudayyeh, O.O.; Gootenberg, J.S.; Makarova, K.S.; Wolf, Y.I.; et al. Diversity and evolution of class 2 CRISPR-Cas systems. Nat. Rev. Microbiol. 2017, 15, 169–182. [Google Scholar] [CrossRef]
- Gootenberg, J.S.; Abudayyeh, O.O.; Kellner, M.J.; Joung, J.; Collins, J.J.; Zhang, F. Multiplexed and portable nucleic acid detection platform with Cas13, Cas12a, and Csm6. Science 2018, 360, 439–444. [Google Scholar] [CrossRef]
- Gootenberg, J.S.; Abudayyeh, O.O.; Lee, J.W.; Essletzbichler, P.; Dy, A.J.; Joung, J.; Verdine, V.; Donghia, N.; Daringer, N.M.; Freije, C.A.; et al. Nucleic acid detection with CRISPR-Cas13a/C2c2. Science 2017, 356, 438–442. [Google Scholar] [CrossRef]
- Fozouni, P.; Son, S.; Díaz de León Derby, M.; Knott, G.J.; Gray, C.N.; D’Ambrosio, M.V.; Zhao, C.; Switz, N.A.; Kumar, G.R.; Stephens, S.I.; et al. Amplification-free detection of SARS-CoV-2 with CRISPR-Cas13a and mobile phone microscopy. Cell 2021, 184, 323–333.e329. [Google Scholar] [CrossRef]
- Miao, J.; Zuo, L.; He, D.; Fang, Z.; Berthet, N.; Yu, C.; Wong, G. Rapid detection of Nipah virus using the one-pot RPA-CRISPR/Cas13a assay. Virus Res. 2023, 332, 199130. [Google Scholar] [CrossRef]
- Yin, D.; Yin, L.; Wang, J.; Dai, Y.; Shen, X.; Zhao, R.; Qi, K.; Pan, X. Visual detection of fowl adenovirus serotype 4 via a portable CRISPR/Cas13a-based lateral flow assay. Avian Pathol. 2023, 52, 438–445. [Google Scholar] [CrossRef]
- Kellner, M.J.; Koob, J.G.; Gootenberg, J.S.; Abudayyeh, O.O.; Zhang, F. SHERLOCK: Nucleic acid detection with CRISPR nucleases. Nat. Protoc. 2019, 14, 2986–3012. [Google Scholar] [CrossRef]
- Feng, W.; Zhou, D.; Meng, W.; Li, G.; Zhuang, P.; Pan, Z.; Wang, G.; Cheng, Z. Growth retardation induced by avian leukosis virus subgroup J associated with down-regulated Wnt/β-catenin pathway. Microb. Pathog. 2017, 104, 48–55. [Google Scholar] [CrossRef] [PubMed]
- Zhang, J.; Ma, L.; Li, T.; Li, L.; Kan, Q.; Yao, X.; Xie, Q.; Wan, Z.; Shao, H.; Qin, A.; et al. Synergistic pathogenesis of chicken infectious anemia virus and J subgroup of avian leukosis virus. Poult. Sci. 2021, 100, 101468. [Google Scholar] [CrossRef] [PubMed]
- Nair, V.; Leukosis/Sarcoma Group. Diseases of Poultry, 14th ed.; Swayne, D.E., Boulianne, M., Logue, C.M., McDougald, L.R., Nair, V., Suarez, D.L., Eds.; Wiley-Blackwell: Hoboken, NJ, USA, 2020; Volume 1. [Google Scholar]
- Dou, J.; Wang, Z.; Li, L.; Lu, Q.; Jin, X.; Ling, X.; Cheng, Z.; Zhang, T.; Shao, H.; Zhai, X.; et al. A Multiplex Quantitative Polymerase Chain Reaction for the Rapid Differential Detection of Subgroups A, B, J, and K Avian Leukosis Viruses. Viruses 2023, 15, 1789. [Google Scholar] [CrossRef]
- Gao, Q.; Yun, B.; Wang, Q.; Jiang, L.; Zhu, H.; Gao, Y.; Qin, L.; Wang, Y.; Qi, X.; Gao, H.; et al. Development and application of a multiplex PCR method for rapid differential detection of subgroup A, B, and J avian leukosis viruses. J. Clin. Microbiol. 2014, 52, 37–44. [Google Scholar] [CrossRef]
- Peng, H.; Qin, L.; Bi, Y.; Wang, P.; Zou, G.; Li, J.; Yang, Y.; Zhong, X.; Wei, P. Rapid detection of the common avian leukosis virus subgroups by real-time loop-mediated isothermal amplification. Virol. J. 2015, 12, 195. [Google Scholar] [CrossRef] [PubMed]
- Wang, Y.; Kang, Z.; Gao, Y.; Qin, L.; Chen, L.; Wang, Q.; Li, J.; Gao, H.; Qi, X.; Lin, H.; et al. Development of loop-mediated isothermal amplification for rapid detection of avian leukosis virus subgroup A. J. Virol. Methods 2011, 173, 31–36. [Google Scholar] [CrossRef]
- Chang, F.; Xing, L.; Xing, Z.; Yu, M.; Bao, Y.; Wang, S.; Farooque, M.; Li, X.; Liu, P.; Pan, Q.; et al. Development and evaluation of a gp85 protein-based subgroup-specific indirect enzyme-linked immunosorbent assay for the detection of anti-subgroup J avian leukosis virus antibodies. Appl. Microbiol. Biotechnol. 2020, 104, 1785–1793. [Google Scholar] [CrossRef]
- Dai, M.; Feng, M.; Liu, D.; Cao, W.; Liao, M. Development and application of SYBR Green I real-time PCR assay for the separate detection of subgroup J Avian leukosis virus and multiplex detection of avian leukosis virus subgroups A and B. Virol. J. 2015, 12, 52. [Google Scholar] [CrossRef][Green Version]
- Jiang, F.; Liu, Y.; Yang, X.; Li, Y.; Huang, J. Ultrasensitive and visual detection of Feline herpesvirus type-1 and Feline calicivirus using one-tube dRPA-Cas12a/Cas13a assay. BMC Vet. Res. 2024, 20, 106. [Google Scholar] [CrossRef]
- Zhang, Z.; Wang, C.; Chen, X.; Zhang, Z.; Shi, G.; Zhai, X.; Zhang, T. Based on CRISPR-Cas13a system, to establish a rapid visual detection method for avian influenza viruses. Front. Vet. Sci. 2023, 10, 1272612. [Google Scholar] [CrossRef]









| Samples | Total | ELISA | PCR | CRISPR/Cas13a |
|---|---|---|---|---|
| Cloacal | 310 | 30 | 30 | 35 |
| Blood | 119 | 31 | 33 | 33 |
| Total | 429 | 61 | 63 | 68 |
| Positivity Rate | - | 14.2% | 14.7% | 15.9% |
Disclaimer/Publisher’s Note: The statements, opinions and data contained in all publications are solely those of the individual author(s) and contributor(s) and not of MDPI and/or the editor(s). MDPI and/or the editor(s) disclaim responsibility for any injury to people or property resulting from any ideas, methods, instructions or products referred to in the content. |
© 2024 by the authors. Licensee MDPI, Basel, Switzerland. This article is an open access article distributed under the terms and conditions of the Creative Commons Attribution (CC BY) license (https://creativecommons.org/licenses/by/4.0/).
Share and Cite
Chen, S.; Li, Y.; Liao, R.; Liu, C.; Zhou, X.; Wang, H.; Wang, Q.; Lan, X. Detection of Avian Leukosis Virus Subgroup J (ALV-J) Using RAA and CRISPR-Cas13a Combined with Fluorescence and Lateral Flow Assay. Int. J. Mol. Sci. 2024, 25, 10780. https://doi.org/10.3390/ijms251910780
Chen S, Li Y, Liao R, Liu C, Zhou X, Wang H, Wang Q, Lan X. Detection of Avian Leukosis Virus Subgroup J (ALV-J) Using RAA and CRISPR-Cas13a Combined with Fluorescence and Lateral Flow Assay. International Journal of Molecular Sciences. 2024; 25(19):10780. https://doi.org/10.3390/ijms251910780
Chicago/Turabian StyleChen, Shutao, Yuhang Li, Ruyu Liao, Cheng Liu, Xinyi Zhou, Haiwei Wang, Qigui Wang, and Xi Lan. 2024. "Detection of Avian Leukosis Virus Subgroup J (ALV-J) Using RAA and CRISPR-Cas13a Combined with Fluorescence and Lateral Flow Assay" International Journal of Molecular Sciences 25, no. 19: 10780. https://doi.org/10.3390/ijms251910780
APA StyleChen, S., Li, Y., Liao, R., Liu, C., Zhou, X., Wang, H., Wang, Q., & Lan, X. (2024). Detection of Avian Leukosis Virus Subgroup J (ALV-J) Using RAA and CRISPR-Cas13a Combined with Fluorescence and Lateral Flow Assay. International Journal of Molecular Sciences, 25(19), 10780. https://doi.org/10.3390/ijms251910780

