Sonodynamic Therapy for HER2+ Breast Cancer with Iodinated Heptamethine Cyanine–Trastuzumab Conjugate
Abstract
1. Introduction
![]() |
2. Results and Discussion
2.1. Photostability and Sonostability
2.2. Singlet Oxygen Generation
2.3. Detection and Quantification of Radicals
2.4. Photothermal and Sonothermal Effects
2.5. Comparison of Cytotoxic Factors
2.6. Mouse Tumor Treatment via SDT and Mutual SDT + PDT vs. PDT
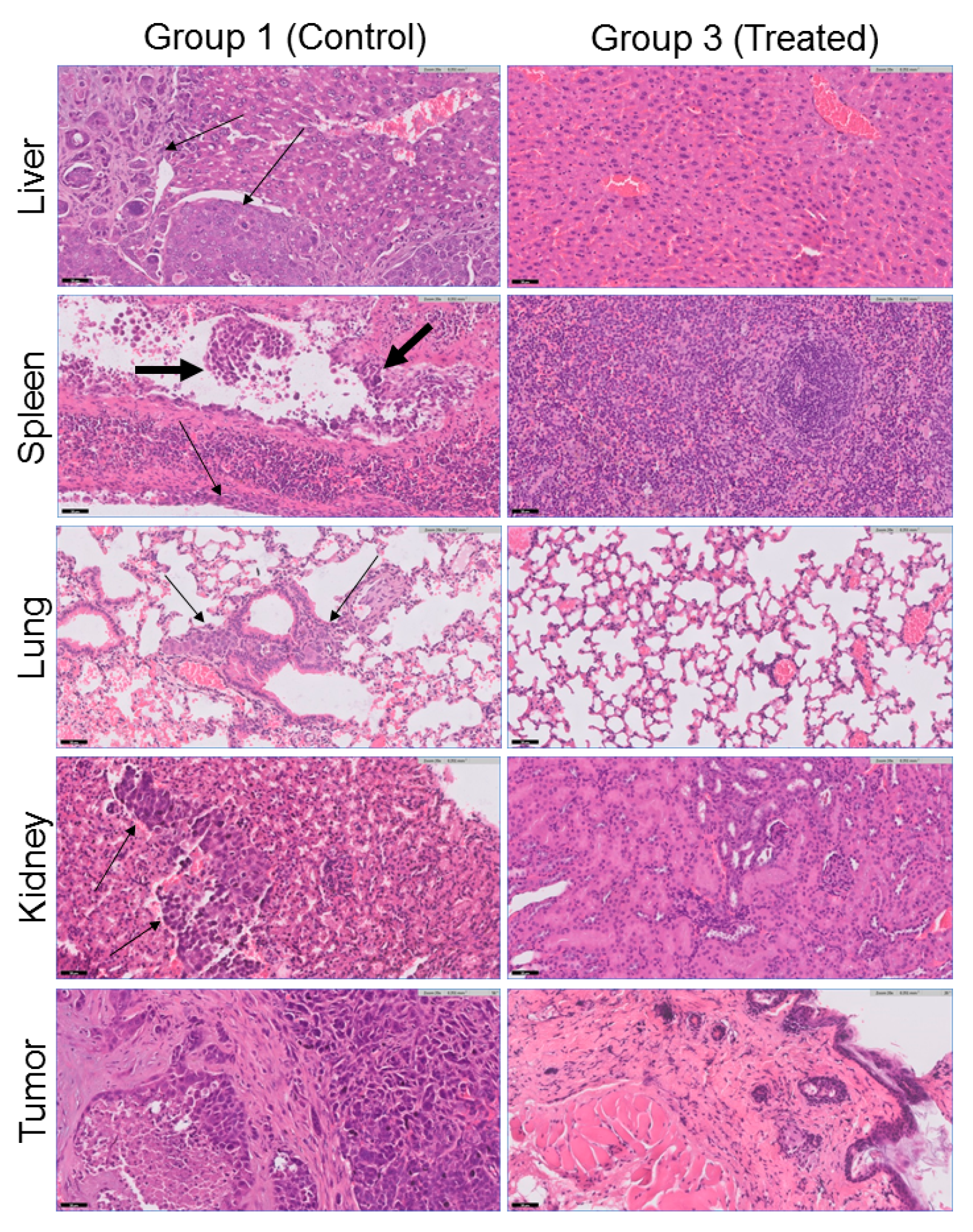
2.7. Histopathological Study
3. Materials and Methods
3.1. Materials
3.2. Photostability and Sonostability
3.3. Quantum Yields of Photodynamic and Sonodynamic Singlet Oxygen Generation
3.4. Detection of Free Radicals by EPR
3.5. Photothermal Measurements
3.6. Sonothermal Measurements
3.7. Mouse Preparation
3.8. Anesthesia
3.9. Animal Imaging
3.10. PDT and SDT Experiments
3.11. Histological Protocol
3.12. Pathological Evaluation of H&E-Stained Sections
4. Conclusions
5. Patents
Supplementary Materials
Author Contributions
Funding
Institutional Review Board Statement
Informed Consent Statement
Data Availability Statement
Acknowledgments
Conflicts of Interest
References
- Bellew, J.W. Therapeutic modalities past, present and future: Their role in the patient care management model. In Modalities for Therapeutic Intervention, 6th ed.; Bellew, J.W., Michlovitz, S.L., Nolan, T.P., Jr., Eds.; McGraw Hill: New York, NY, USA, 2016. [Google Scholar]
- Nowak, K.M.; Schwartz, M.R.; Breza, V.R.; Price, R.J. Sonodynamic therapy: Rapid progress and new opportunities for non-invasive tumor cell killing with sound. Cancer Lett. 2022, 532, 215592. [Google Scholar] [CrossRef] [PubMed]
- Yan, P.; Liu, L.; Wang, P. Sonodynamic therapy (SDT) for cancer treatment: Advanced sensitizers by ultrasound activation to injury tumor. ACS Appl. Bio Mater. 2020, 3, 3456–3475. [Google Scholar] [CrossRef] [PubMed]
- Fan, L.; Idris, M.A.; Bilyaminu, I.B.; Liu, D. Sonodynamic antimicrobial chemotherapy: An emerging alternative strategy for microbial inactivation. Ultrason. Sonochem. 2021, 75, 105591. [Google Scholar] [CrossRef]
- Nakonechny, F.; Nisnevitch, M.; Nitzan, Y.; Nisnevitch, M. Sonodynamic excitation of Rose Bengal for eradication of gram-positive and gram-negative bacteria. Biomed. Res. Int. 2013, 2013, 684930. [Google Scholar] [CrossRef] [PubMed]
- Alves, F.; Pavarina, A.C.; Mima, E.G.O.; McHale, A.P.; Callan, J.F. Antimicrobial sonodynamic and photodynamic therapies against Candida albicans. Biofouling 2018, 34, 357–367. [Google Scholar] [CrossRef]
- Zhang, Y.; Koradia, A.; Kamato, D.; Popat, A.; Little, P.J.; Ta, H.T. Treatment of atherosclerotic plaque: Perspectives on theranostics. J. Pharm. Pharmacol. 2019, 71, 1029–1043. [Google Scholar] [CrossRef]
- Pan, X.; Wang, W.; Huang, Z.; Liu, S.; Guo, J.; Zhang, F.; Yuan, H.; Li, X.; Liu, F.; Liu, H. MOF-derived double-layer hollow nanoparticles with oxygen generation ability for multimodal imaging-guided sonodynamic therapy. Angew. Chem. 2020, 132, 13659–13663. [Google Scholar] [CrossRef]
- Escudero, A.; Carrillo-Carrión, C.; Castillejos, M.C.; Romero-Ben, E.; Rosales-Barrios, C.; Khiar, N. Photodynamic therapy: Photosensitizers and nanostructures. Mater. Chem. Front. 2021, 5, 3788–3812. [Google Scholar] [CrossRef]
- Chen, B.; Zheng, R.; Liu, D.; Li, B.; Lin, J.; Zhang, W. The tumor affinity of chlorin e6 and its sonodynamic effects on non-small cell lung cancer. Ultrason. Sonochem. 2013, 20, 667–673. [Google Scholar] [CrossRef]
- Zhang, D.; Lin, Z.; Zheng, Y.; Song, J.; Li, J.; Zeng, Y.; Liu, X. Ultrasound-driven biomimetic nanosystem suppresses tumor growth and metastasis through sonodynamic therapy, CO therapy, and indoleamine 2,3-dioxygenase inhibition. ACS Nano 2020, 14, 8985–8999. [Google Scholar] [CrossRef]
- Xie, L.; Feng, X.; Huang, M.; Zhang, K.; Liu, Q. Sonodynamic therapy combined to 2-deoxyglucose potentiate cell metastasis inhibition of breast cancer. Ultrasound Med. Biol. 2019, 45, 2984–2992. [Google Scholar] [CrossRef] [PubMed]
- Yang, Y.; Tu, J.; Yang, D.; Raymond, J.L.; Roy, R.A.; Zhang, D. Photo- and sono-dynamic therapy: A review of mechanisms and considerations for pharmacological agents used in therapy incorporating light and sound. Curr. Pharmaceut. Design 2019, 25, 401–412. [Google Scholar] [CrossRef] [PubMed]
- European Society of Radiology (ESR). ESR statement on portable ultrasound devices. Insights Imaging 2019, 10, 89. [Google Scholar] [CrossRef] [PubMed]
- Sun, S.; Wu, M. Sonodynamic therapy: Another “light” in tumor treatment by exogenous stimulus. Smart Mater. Med. 2021, 2, 145–149. [Google Scholar] [CrossRef]
- Son, S.; Kim, J.H.; Wang, X.; Zhang, C.; Yoon, S.A.; Shin, J.; Sharma, A.; Lee, M.H.; Cheng, L.; Wu, J.; et al. Multifunctional sonosensitizers in sonodynamic cancer therapy. Chem. Soc. Rev. 2020, 49, 3244–3261. [Google Scholar] [CrossRef]
- Algorri, J.F.; Ochoa, M.; Roldán-Varona, P.; Rodríguez-Cobo, L.; López-Higuera, J.M. Light technology for efficient and effective photodynamic therapy: A critical review. Cancers 2021, 13, 3484. [Google Scholar] [CrossRef]
- Inglut, C.T.; Gaitan, B.; Najafali, D.; Lopez, I.A.; Connolly, N.P.; Orsila, S.; Perttilä, R.; Woodworth, G.F.; Chen, Y.; Huang, H.C. Predictors and limitations of the penetration depth of photodynamic effects in the rodent brain. Photochem. Photobiol. 2020, 96, 301–309. [Google Scholar] [CrossRef]
- Trendowski, M. Using the promise of sonodynamic therapy in the clinical setting against disseminated cancers. Chemother. Res. Pract. 2015, 2015, 316015. [Google Scholar] [CrossRef]
- Sazgarnia, A.; Shanei, A.; Eshghi, H.; Hassanzadeh-Khayyat, M.; Esmaily, H.; Shanei, M.M. Detection of sonoluminescence signals in a gel phantom in the presence of protoporphyrin IX conjugated to gold nanoparticles. Ultrasonics 2013, 53, 29–35. [Google Scholar] [CrossRef]
- Guo, S.; Sun, X.; Cheng, J.; Xu, H.; Dan, J.; Shen, J.; Zhou, Q.; Zhang, Y.; Meng, L.; Cao, W.; et al. Apoptosis of THP-1 macrophages induced by protoporphyrin IX-mediated sonodynamic therapy. Int. J. Nanomed. 2013, 8, 2239–2246. [Google Scholar] [CrossRef][Green Version]
- Hsieh, Y.; Wu, C.; Chang, C.; Yu, J. Subcellular localization of Photofrin determines the death phenotype of human epidermoid carcinoma A431 cells triggered by photodynamic therapy: When plasma membranes are the main targets. J. Cell. Physiol. 2003, 194, 363–375. [Google Scholar] [CrossRef] [PubMed]
- Huang, K.; Yan, M.; Zhang, H.; Xue, J.; Chen, J. A phthalocyanine-based photosensitizer for effectively combating triple negative breast cancer with enhanced photodynamic anticancer activity and immune response. Eur. J. Med. Chem. 2022, 241, 114644. [Google Scholar] [CrossRef] [PubMed]
- Martins, Y.A.; Fonseca, M.J.V.; Pavan, T.Z.; Lopez, R.F.V. Bifunctional therapeutic application of low-frequency ultrasound associated with zinc phthalocyanine-loaded micelles. Int. J. Nanomed. 2020, 15, 8075–8095. [Google Scholar] [CrossRef] [PubMed]
- Balçik-Erçin, P.; Çetin, M.; Göksel, M.; Durmuş, M. Improved targeting for photodynamic therapy via a biotin–phthalocyanine conjugate: Synthesis, photophysical and photochemical measurements, and in vitro cytotoxicity assay. New J. Chem. 2020, 44, 3392–3401. [Google Scholar] [CrossRef]
- Gong, Z.; Dai, Z. Design and challenges of sonodynamic therapy system for cancer theranostics: From equipment to sensitizers. Adv. Sci. 2021, 8, 2002178. [Google Scholar] [CrossRef]
- Prada, F.; Sheybani, N.D.; Franzini, A.; Moore, D.; Cordeiro, D.; Sheehan, J.; Timbie, K.; Xu, Z. Fluorescein-mediated sonodynamic therapy in a rat glioma model. J. Neurooncol. 2020, 148, 445–454. [Google Scholar] [CrossRef]
- Hou, R.; Liang, X.; Li, X.; Zhang, X.; Ma, X.; Wang, F. In situ conversion of Rose Bengal microbubbles into nanoparticles for ultrasound imaging guided sonodynamic therapy with enhanced antitumor efficacy. Biomater. Sci. 2020, 8, 2526–2536. [Google Scholar] [CrossRef]
- Vanerio, N.; Stijnen, M.; de Mol, B.A.; Kock, L.M. Biomedical applications of photo- and sono-activated Rose Bengal: A review. Photobiomodul. Photomed. Laser Surg. 2019, 37, 383–394. [Google Scholar] [CrossRef]
- Lin, H.; Li, S.; Wang, J.; Chu, C.; Zhang, Y.; Pang, X.; Lv, P.; Wang, X.; Zhao, Q.; Chen, J.; et al. A single-step multi-level supramolecular system for cancer sonotheranostics. Nanoscale Horiz. 2019, 4, 190–195. [Google Scholar] [CrossRef]
- Tang, Q.; Chang, S.; Tian, Z.; Sun, J.; Hao, L.; Wang, Z.; Zhu, S. Efficacy of indocyanine green-mediated sonodynamic therapy on rheumatoid arthritis fibroblast-like synoviocytes. Ultrasound Med. Biol. 2017, 43, 2690–2698. [Google Scholar] [CrossRef]
- Wang, R.; Song, C.; Gao, A.; Liu, Q.; Guan, W.; Mei, J.; Ma, L.; Cui, D. Antibody-conjugated liposomes loaded with indocyanine green for oral targeted photoacoustic imaging-guided sonodynamic therapy of Helicobacter pylori infection. Acta Biomater. 2022, 143, 418–427. [Google Scholar] [CrossRef] [PubMed]
- Alves, C.G.; Lima-Sousa, R.; de Melo-Diogo, D.; Louro, R.O.; Correia, I.J. IR780 based nanomaterials for cancer imaging and photothermal, photodynamic and combinatorial therapies. Int. J. Pharm. 2018, 542, 164–175. [Google Scholar] [CrossRef] [PubMed]
- Li, Y.; Zhou, Q.; Deng, Z. IR-780 dye as a sonosensitizer for sonodynamic therapy of breast tumor. Sci. Rep. 2016, 6, 25968. [Google Scholar] [CrossRef] [PubMed]
- Wan, G.Y.; Liu, Y.; Chen, B.W.; Liu, Y.Y.; Wang, Y.S.; Zhang, N. Recent advances of sonodynamic therapy in cancer treatment. Cancer Biol. Med. 2016, 13, 325–338. [Google Scholar] [CrossRef] [PubMed]
- Geng, B.; Zhang, S.; Yang, X.; Shi, W.; Li, P.; Pan, D.; Shen, L. Cu2-xO@TiO2-y Z-scheme heterojunctions for sonodynamic-chemodynamic combined tumor eradication. Chem. Eng. J. 2022, 435, 1347777. [Google Scholar] [CrossRef]
- Qian, X.; Zheng, Y.; Chen, Y. Micro/nanoparticle-augmented sonodynamic therapy (SDT): Breaking the depth shallow of photoactivation. Adv. Mater. 2016, 28, 8097–8129. [Google Scholar] [CrossRef]
- Abrahamse, H.; Hamblin, M.R. New photosensitizers for photodynamic therapy. Biochem. J. 2016, 473, 347–364. [Google Scholar] [CrossRef]
- Wang, Z.; Ivanov, M.; Gao, Y.; Bussotti, L.; Foggi, P.; Zhang, H.; Russo, N.; Dick, B.; Zhao, J.; Di Donato, M.; et al. Spin–orbit charge-transfer intersystem crossing (ISC) in compact electron donor–acceptor dyads: ISC mechanism and application as novel and potent photodynamic therapy reagents. Chem. Eur. J. 2020, 26, 1091–1102. [Google Scholar] [CrossRef]
- Prakash, A.V.; Yazabak, F.; Hovor, I.; Nakonechny, F.; Kulyk, O.; Semenova, O.; Bazylevich, A.; Gellerman, G.; Patsenker, L. Highly efficient near-IR cyclohexene cyanine photosensitizers for antibacterial photodynamic therapy. Dyes Pigm. 2023, 211, 111053. [Google Scholar] [CrossRef]
- Kobzev, D.; Semenova, O.; Tatarets, A.; Bazylevich, A.; Gellerman, G.; Patsenker, L. Antibody-guided iodinated cyanine for near-IR photoimmunotherapy. Dyes Pigm. 2023, 212, 111101. [Google Scholar] [CrossRef]
- Atchison, J.; Kamila, S.; Nesbitt, H.; Logan, K.A.; Nicholas, D.M.; Fowley, C.; Davis, J.; Callan, B.; McHalea, A.P.; Callan, J.F. Iodinated cyanine dyes: A new class of sensitisers for use in NIR activated photodynamic therapy (PDT). Chem. Commun. 2017, 53, 2009–2012. [Google Scholar] [CrossRef] [PubMed]
- Cao, J.; Chi, J.; Xia, J.; Zhang, Y.; Han, S.; Sun, Y. Iodinated cyanine dyes for fast near-infrared-guided deep tissue synergistic phototherapy. ACS Appl. Mater. Interfaces 2019, 11, 25720–25729. [Google Scholar] [CrossRef] [PubMed]
- Semenova, O.; Kobzev, D.; Hovor, I.; Atrash, M.; Nakonechny, F.; Kulyk, O.; Bazylevich, A.; Gellerman, G.; Patsenker, L. Effect of solubilizing group on the antibacterial activity of heptamethine cyanine photosensitizers. Pharmaceutics 2023, 15, 247. [Google Scholar] [CrossRef] [PubMed]
- Bokan, M.; Nakonechny, F.; Talalai, E.; Kobzev, D.; Gellerman, G.; Patsenker, L. Photodynamic effect of novel hexa-iodinated quinono-cyanine dye on Staphylococcus aureus. Photodiagn. Photodyn. Ther. 2020, 31, 101866. [Google Scholar] [CrossRef] [PubMed]
- Semenova, O.; Kobzev, D.; Yazbak, F.; Nakonechny, F.; Kolosova, O.; Tatarets, A.; Gellerman, G.; Patsenker, L. Unexpected effect of iodine atoms in heptamethine cyanine dyes on the photodynamic eradication of Gram-positive and Gram-negative pathogens. Dyes Pigm. 2021, 195, 109745. [Google Scholar] [CrossRef]
- Ebaston, T.M.; Nakonechny, F.; Talalai, E.; Gellerman, G.; Patsenker, L. Iodinated xanthene-cyanine NIR dyes as potential photosensitizers for antimicrobial photodynamic therapy. Dyes Pigm. 2021, 184, 108854. [Google Scholar] [CrossRef]
- Lee, G.P.; Willis, A.; Pernal, S.; Phakatkar, A.; Shokuhfar, T.; Blot, V.; Engelhard, H.H. Targeted sonodynamic destruction of glioblastoma cells using antibody-titanium dioxide nanoparticle conjugates. Nanomedicine 2021, 16, 523–534. [Google Scholar] [CrossRef]
- Zhang, Y.; Zhang, X.; Yang, H.; Yu, L.; Xu, Y.; Sharma, A.; Yin, P.; Li, X.; Kim, J.S.; Sun, Y. Advanced biotechnology-assisted precise sonodynamic therapy. Chem. Soc. Rev. 2021, 50, 11227–11248. [Google Scholar] [CrossRef]
- Lin, X.; Huang, R.; Huang, Y.; Wang, K.; Li, H.; Bao, Y.; Wu, C.; Zhang, Y.; Tian, X.; Wang, X. Nanosonosensitizer-augmented sonodynamic therapy combined with checkpoint blockade for cancer immunotherapy. Int. J. Nanomed. 2021, 16, 1889–1899. [Google Scholar] [CrossRef]
- Kobayashi, H.; Choyke, P.L. Near-infrared photoimmunotherapy of cancer. Acc. Chem. Res. 2019, 52, 2332–2339. [Google Scholar] [CrossRef]
- Kobayashi, H.; Furusawa, A.; Rosenberg, A.; Choyke, P.L. Near-infrared photoimmunotherapy of cancer: A new approach that kills cancer cells and enhances anti-cancer host immunity. Int. Immunol. 2021, 33, 7–15. [Google Scholar] [CrossRef] [PubMed]
- Lange, N.; Szlasa, W.; Saczko, J.; Chwiłkowska, A. Potential of cyanine derived dyes in photodynamic therapy. Pharmaceutics 2021, 13, 818. [Google Scholar] [CrossRef]
- Della Pelle, G.; Delgado López, A.; Salord Fiol, M.; Kostevšek, N. Cyanine dyes for photo-thermal therapy: A comparison of synthetic liposomes and natural erythrocyte-based carriers. Int. J. Mol. Sci. 2021, 22, 6914. [Google Scholar] [CrossRef] [PubMed]
- Eren, Z. Ultrasound as a basic and auxiliary process for dye remediation: A review. J. Environ. Manag. 2012, 104, 127–141. [Google Scholar] [CrossRef]
- León, G.; Miguel, B.; Manzanares, L.; Saavedra, M.I.; Guzmán, M.A. Kinetic study of the ultrasound effect on Acid Brown 83 dye degradation by hydrogen peroxide oxidation processes. Chem. Eng. 2021, 5, 52. [Google Scholar] [CrossRef]
- Huang, B.; Wang, L.; Tang, K.; Chen, S.; Xu, Y.; Liao, H.; Niu, C. IR780 Based sonotherapeutic nanoparticles to combat multidrug-resistant bacterial infections. Front Chem. 2022, 10, 840598. [Google Scholar] [CrossRef] [PubMed]
- Ziental, D.; Wysocki, M.; Michalak, M.; Dlugaszewska, J.; Güzel, E.; Sobotta, L. The dual synergy of photodynamic and sonodynamic therapy in the eradication of methicillin-resistant Staphylococcus aureus. Appl. Sci. 2023, 13, 3810. [Google Scholar] [CrossRef]
- Zang, L.-Y.; Misras, H.P. EPR Kinetic studies of superoxide radicals generated during the autoxidation of l-methyl-4-phenyl-2,3-dihydropyridiniuma, a bioactivated intermediate of Parkinsonian-inducing neurotoxin l-methyl-4-phenyl-l,2,3,6-tetrahydropyridine. J. Bio. Chem. 1992, 267, 23601–23608. [Google Scholar] [CrossRef] [PubMed]
- Jomova, K.; Raptova, R.; Alomar, S.Y.; Alwasel, S.H.; Nepovimova, E.; Kuca, K.; Valko, M. Reactive oxygen species, toxicity, oxidative stress, and antioxidants: Chronic diseases and aging. Arch Toxicol. 2023, 97, 2499–2574. [Google Scholar] [CrossRef]
- Price, M.; Reiners, J.J.; Santiago, A.M.; Kessel, D. Monitoring singlet oxygen and hydroxyl radical formation with fluorescent probes during photodynamic therapy. Photochem. Photobiol. 2009, 85, 1177–1181. [Google Scholar] [CrossRef]
- Ma, Z.; Yuan, M.; Cheng, Z.; Yang, Z.; Yang, L.; Liu, B.; Bian, Y.; Al Kheraif, A.A.; Ma, P.; Lin, M. A mild and efficient sonothermal tumor therapy enhanced by sonodynamic effect with biodegradable red phosphorus nanoparticles. Chem. Eng. J. 2024, 482, 148711. [Google Scholar] [CrossRef]
- Xu, Y.; Yu, J.; Hu, J.; Sun, K.; Lu, W.; Zeng, F.; Chen, J.; Liu, M.; Cai, Z.; He, X.; et al. Tumor-targeting near-infrared dimeric heptamethine cyanine photosensitizers with an aromatic diphenol linker for imaging-guided cancer phototherapy. Adv. Heal. Mater. 2023, 12, e2203080. [Google Scholar] [CrossRef] [PubMed]
- Kim, M.M.; Darafsheh, A. Light sources and dosimetry techniques for photodynamic therapy. Photochem. Photobiol. 2020, 96, 280–294. [Google Scholar] [CrossRef] [PubMed]
- Faustino-Rocha, A.; Oliveira, P.A.; Pinho-Oliveira, J.; Teixeira-Guedes, C.; Soares-Maia, R.; Da Costa, R.G.; Colaço, B.; Pires, M.J.; Colaço, J.; Ferreira, R.; et al. Estimation of rat mammary tumor volume using caliper and ultrasonography measurements. Lab. Anim. 2013, 42, 217–224. [Google Scholar] [CrossRef]
- Kobzev, D.; Prasad, C.; Walunj, D.; Gotman, H.; Semenova, O.; Bazylevich, A.; Patsenker, L.; Gellerman, G. Synthesis and biological evaluation of theranostic Trastuzumab-SN38 conjugate for near-IR fluorescence imaging and targeted therapy of HER2+ breast cancer. Eur. J. Med. Chem. 2023, 252, 115298. [Google Scholar] [CrossRef]
- Iorns, E.; Drews-Elger, K.; Ward, T.M.; Dean, S.; Clarke, J.; Berry, D.; El Ashry, D.; Lippman, M. A new mouse model for the study of human breast cancer metastasis. PLoS ONE 2012, 7, e47995. [Google Scholar] [CrossRef]
- Nanni, P.; Nicoletti, G.; Palladini, A.; Croci, S.; Murgo, A.; Ianzano, M.L.; Grosso, V.; Stivani, V.; Antognoli, A.; Lamolinara, A.; et al. Multiorgan metastasis of human HER-2+ breast cancer in Rag2-/-;Il2rg-/- mice and treatment with PI3K inhibitor. PLoS ONE 2012, 7, e39626. [Google Scholar] [CrossRef]
- Lin, H.; Shen, Y.; Chen, D.; Lin, L.; Wilson, B.C.; Li, B.; Xie, S. Feasibility study on quantitative measurements of singlet oxygen generation using Singlet Oxygen Sensor Green. J. Fluoresc. 2013, 23, 41–47. [Google Scholar] [CrossRef]
- ThermoFisher Scientific. Singlet Oxygen Sensor Green Reagent|Thermo Fisher Scientific-DK 2019, 3–5. Available online: https://assets.thermofisher.com/TFS-Assets%2FLSG%2Fmanuals%2Fmp36002.pdf (accessed on 31 August 2024).
- Saisei Immunotherapy Clinic. Introduction to Sonodynamic Therapy (SDT). Available online: https://saisei-mirai.or.jp/en/sonophotodynamic_therapy/ (accessed on 2 September 2024).
- Heppner, G.H.; Dexter, D.L.; DeNucci, T.; Miller, F.R.; Calabresi, P. Heterogeneity in drug sensitivity among tumor cell subpopulations of a single mammary tumor. Cancer Res. 1978, 38, 3758–3763. [Google Scholar] [PubMed]









| Dye | τ1/2,Light, min at 8 mW/cm2 (Ab/Fl) | τ1/2,US, min at 0.7 W/cm2 (Ab/Fl) | D1/2,Light, J/cm2 at 8 mW/cm2 (Ab/Fl) | D1/2,US, J/cm2 at 0.7 W/cm2 (Ab/Fl) | ΦΔ,Light, % [41] | φΔ,US, a.u. |
|---|---|---|---|---|---|---|
| Cy7 | 20.8/22.1 | 2.5/2.5 | 10.0/10.6 | 105/105 | 1.9 | 1 a |
| 2ICy7 | 12.5/13.3 | 6.5/6.5 | 6.0/6.4 | 273/273 | 5.8 ± 0.3 | 1.6 ± 0.2 |
| Cy7–Ab (DAR 1.7) | 36.8/37.8 | 12.2/11.4 | 17.7/18.1 | 512/479 | 1.1 ± 0.1 | 3.2 ± 0.2 |
| 2ICy7–Ab (DAR 1.8) | 19.4/16.3 | 9.1/8.3 | 9.3/7.8 | 382/349 | 3.5 ± 0.3 | 6.7 ± 0.7 |
| Sample | Light Irradiation | Sonication | ||||
|---|---|---|---|---|---|---|
| cR, μM | •OH | •O2– | cR, μM | •OH | •O2– | |
| 2ICy7 | 0.520 | 40% | 60% | 1.500 | 72% | 28% |
| 2ICy7 + DMSO | 0.312 | 0.424 | ||||
| Cy7 | 0.471 | 40% | 60% | 0.493 | 57% | 43% |
| Cy7 + DMSO | 0.282 | 0.212 | ||||
| Study Group | Group 1 (Control, 5 Mice) | Group 3 (Treated, 5 Mice) |
|---|---|---|
| Subcutaneous tumor | A tumor showing necrosis (all 5 mice) | No tumor in 2 out of 5 animals |
| Liver | Metastasis in liver parenchyma in 2 out of 5 animals (mice #1, #2) | Normal |
| Spleen | Metastatic peritoneal tumor attached to the spleen capsule and lymphovascular invasion (LVI) of the tumor in the spleen in 2 out of 5 animals (mice #3, #4) | Normal |
| Lung | Metastatic microscopic foci of interstitial spread in 2 out of 5 animals (mice #3, #4) | Without significant changes |
| Kidney | Metastasis in kidney parenchyma in 2 out of 5 animals (mice #3, #4) | Normal |
| Heart | Normal (all 5 mice) | Normal |
| Brain | Normal (all 5 mice) | Normal |
Disclaimer/Publisher’s Note: The statements, opinions and data contained in all publications are solely those of the individual author(s) and contributor(s) and not of MDPI and/or the editor(s). MDPI and/or the editor(s) disclaim responsibility for any injury to people or property resulting from any ideas, methods, instructions or products referred to in the content. |
© 2024 by the authors. Licensee MDPI, Basel, Switzerland. This article is an open access article distributed under the terms and conditions of the Creative Commons Attribution (CC BY) license (https://creativecommons.org/licenses/by/4.0/).
Share and Cite
Kobzev, D.; Semenova, O.; Aviel-Ronen, S.; Kulyk, O.; Carmieli, R.; Mirzabekov, T.; Gellerman, G.; Patsenker, L. Sonodynamic Therapy for HER2+ Breast Cancer with Iodinated Heptamethine Cyanine–Trastuzumab Conjugate. Int. J. Mol. Sci. 2024, 25, 10137. https://doi.org/10.3390/ijms251810137
Kobzev D, Semenova O, Aviel-Ronen S, Kulyk O, Carmieli R, Mirzabekov T, Gellerman G, Patsenker L. Sonodynamic Therapy for HER2+ Breast Cancer with Iodinated Heptamethine Cyanine–Trastuzumab Conjugate. International Journal of Molecular Sciences. 2024; 25(18):10137. https://doi.org/10.3390/ijms251810137
Chicago/Turabian StyleKobzev, Dmytro, Olga Semenova, Sarit Aviel-Ronen, Olesia Kulyk, Raanan Carmieli, Tajib Mirzabekov, Gary Gellerman, and Leonid Patsenker. 2024. "Sonodynamic Therapy for HER2+ Breast Cancer with Iodinated Heptamethine Cyanine–Trastuzumab Conjugate" International Journal of Molecular Sciences 25, no. 18: 10137. https://doi.org/10.3390/ijms251810137
APA StyleKobzev, D., Semenova, O., Aviel-Ronen, S., Kulyk, O., Carmieli, R., Mirzabekov, T., Gellerman, G., & Patsenker, L. (2024). Sonodynamic Therapy for HER2+ Breast Cancer with Iodinated Heptamethine Cyanine–Trastuzumab Conjugate. International Journal of Molecular Sciences, 25(18), 10137. https://doi.org/10.3390/ijms251810137


