A Transcriptomic Analysis of Laryngeal Dysplasia
Abstract
1. Introduction
2. Results
2.1. Dysregulated Genes Involving the Chemokine Signaling
2.2. Major Histocompatibility Complex Dysregulated Genes
2.3. Dysregulated Genes of B Cell Markers
2.4. Dysregulation of Lymphocyte Infiltrate Genes
2.5. Dysregulated Neutrophil Genes
2.6. Dysregulated Helper T Cell Genes
2.7. Dysregulated Genes Linked to Checkpoint Inhibitors
2.8. Dysregulated Tumor Genes
3. Discussion
4. Materials and Methods
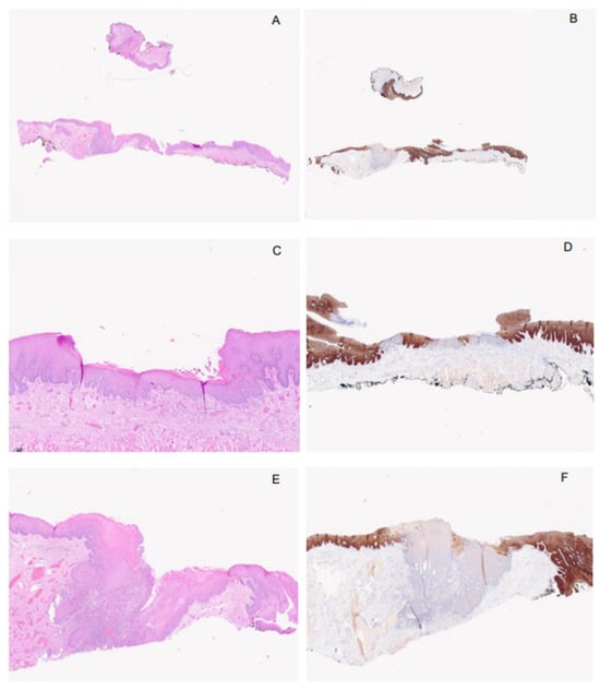
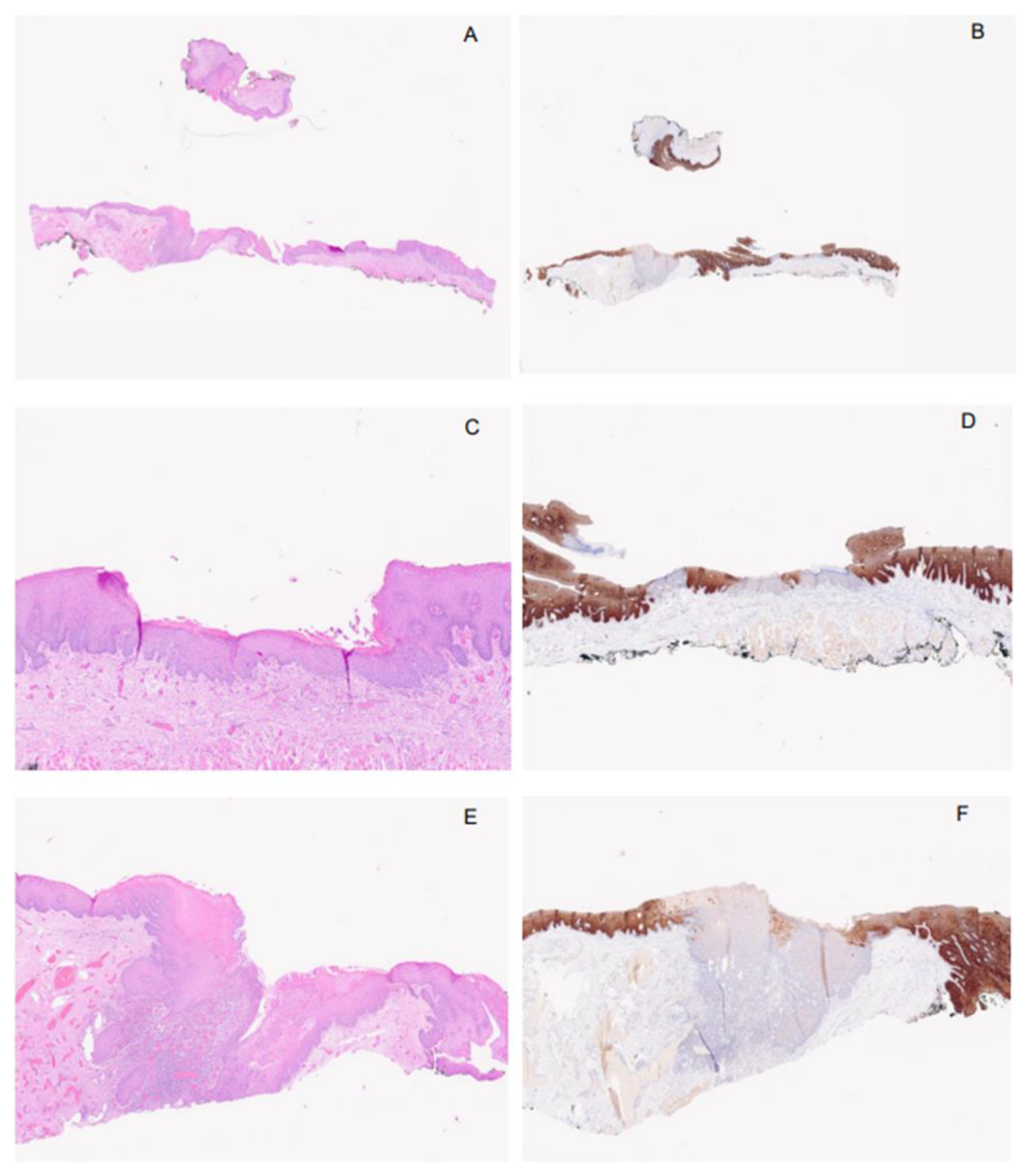
4.1. Histopathological Analysis
4.2. Genetic Analysis
4.3. Statistical Analysis
4.4. Gene Expression Analysis
Supplementary Materials
Author Contributions
Funding
Institutional Review Board Statement
Informed Consent Statement
Data Availability Statement
Acknowledgments
Conflicts of Interest
References
- Califano, J.; Van Der Riet, P.; Westra, W.; Nawroz, H.; Clayman, G.; Piantadosi, S.; Corio, R.; Lee, D.; Greenberg, B.; Koch, W.; et al. Genetic progression model for head and neck cancer: Implications for field cancerization. Cancer Res. 1996, 56, 2488–2492. [Google Scholar] [CrossRef]
- Califano, J.; Westra, W.H.; Meininger, G.; Corio, R.; Koch, W.M.; Sidransky, D. Genetic progression and clonal relationship of recurrent premalignant head and neck lesions. Clin. Cancer Res. Off. J. Am. Assoc. Cancer Res. 2000, 6, 347–352. [Google Scholar]
- Chu, F.; De Santi, S.; Tagliabue, M.; De Benedetto, L.; Zorzi, S.; Pietrobon, G.; Herman, I.; Maffini, F.; Chiocca, S.; Corso, F.; et al. Laryngeal dysplasia: Oncological outcomes in a large cohort of patients treated in a tertiary comprehensive cancer centre. Am. J. Otolaryngol. 2021, 42, 102861. [Google Scholar] [CrossRef]
- Bae, J.Y.; Choi, K.U.; Kim, A.; Lee, S.J.; Kim, K.; Kim, J.Y.; Lee, I.S.; Chung, S.H.; Kim, J.I. Evaluation of immune-biomarker expression in high-grade soft-tissue sarcoma: HLA-DQA1 expression as a prognostic marker. Exp. Ther. Med. 2020, 20, 107. [Google Scholar] [CrossRef] [PubMed]
- Chu, F.; Maffini, F.; Lepanto, D.; Vacirca, D.; Taormina, S.V.; De Berardinis, R.; Gandini, S.; Vignati, S.; Ranghiero, A.; Rappa, A.; et al. The Genetic and Immunologic Landscape Underlying the Risk of Malignant Progression in Laryngeal Dysplasia. Cancers 2023, 15, 1117. [Google Scholar] [CrossRef] [PubMed]
- Arsenic, R.; Kurrer, M.O. Differentiated dysplasia is a frequent precursor or associated lesion in invasive squamous cell carcinoma of the oral cavity and pharynx. Virchows Arch. 2013, 462, 609–617. [Google Scholar] [CrossRef]
- Van Hulst, A.M.; Kroon, W.; van der Linden, E.S.; Nagtzaam, L.; Ottenhof, S.R.; Wegner, I.; Gunning, A.C.; Grolman, W.; Braunius, W. Grade of dysplasia and malignant transformation in adults with premalignant laryngeal lesions. Head. Neck. 2016, 38 (Suppl. S1), E2284–E2290. [Google Scholar] [CrossRef]
- Lee, D.H.; Yoon, T.M.; Lee, J.K.; Lim, S.C. Predictive factors of recurrence and malignant transformation in vocal cord leukoplakia. Eur. Arch. Otorhinolaryngol. 2015, 272, 1719–1724. [Google Scholar] [CrossRef]
- Thompson, L.D.R. Laryngeal Dysplasia, Squamous Cell Carcinoma, and Variants. Surg. Pathol. Clin. 2017, 10, 15–33. [Google Scholar] [CrossRef]
- Tagliabue, M.; Maffini, F.; Fumagalli, C.; Gandini, S.; Lepanto, D.; Corso, F.; Cacciola, S.; Ranghiero, A.; Rappa, A.; Vacirca, D.; et al. A role for the immune system in advanced laryngeal cancer. Sci. Rep. 2020, 10, 18327, Erratum in Sci. Rep. 2021, 11, 9760. [Google Scholar] [CrossRef]
- Fan, T.; Li, S.; Xiao, C.; Tian, H.; Zheng, Y.; Liu, Y.; Li, C.; He, J. CCL20 promotes lung adenocarcinoma progression by driving epithelial-mesenchymal transition. Int. J. Biol. Sci. 2022, 18, 4275–4288. [Google Scholar] [CrossRef]
- Song, Q.; Shang, J.; Zhang, C.; Chen, J.; Zhang, L.; Wu, X. Transcription factor RUNX3 promotes CD8+ T cell recruitment by CCL3 and CCL20 in lung adenocarcinoma immune microenvironment. J. Cell Biochem. 2020, 121, 3208–3220. [Google Scholar] [CrossRef] [PubMed]
- Kadomoto, S.; Izumi, K.; Mizokami, A. The CCL20-CCR6 Axis in Cancer Progression. Int. J. Mol. Sci. 2020, 21, 5186. [Google Scholar] [CrossRef] [PubMed]
- Lörchner, H.; Cañes Esteve, L.; Góes, M.E.; Harzenetter, R.; Brachmann, N.; Gajawada, P.; Günther, S.; Doll, N.; Pöling, J.; Braun, T. Neutrophils for Revascularization Require Activation of CCR6 and CCL20 by TNFα. Circ. Res. 2023, 133, 592–610. [Google Scholar] [CrossRef]
- Ling, Z.; Li, W.; Hu, J.; Li, Y.; Deng, M.; Zhang, S.; Ren, X.; Wu, T.; Xia, J.; Cheng, B.; et al. Targeting CCL2-CCR4 axis suppress cell migration of head and neck squamous cell carcinoma. Cell Death Dis. 2022, 13, 158. [Google Scholar] [CrossRef]
- Tsai, S.C.; Sheen, M.C.; Chen, B.H. Association between HLA-DQA1, HLA-DQB1 and oral cancer. Kaohsiung J. Med. Sci. 2011, 27, 441–445. [Google Scholar] [CrossRef]
- Huang, Y.; Sun, H.; Ma, X.; Zeng, Y.; Pan, Y.; Yu, D.; Liu, Z.; Xiang, Y. HLA-F-AS1/miR-330-3p/PFN1 axis promotes colorectal cancer progression. Life Sci. 2020, 254, 117180. [Google Scholar] [CrossRef]
- Gao, S.J.; Ren, S.N.; Liu, Y.T.; Yan, H.W.; Chen, X.B. Targeting EGFR sensitizes 5-Fu-resistant colon cancer cells through modification of the lncRNA-FGD5-AS1-miR-330-3p-Hexokinase 2 axis. Mol. Ther. Oncolytics. 2021, 23, 14–25. [Google Scholar] [CrossRef]
- Lim, K.H.; Yang, Y.; Staudt, L.M. Pathogenetic importance and therapeutic implications of NF-κB in lymphoid malignancies. Immunol. Rev. 2012, 246, 359–378. [Google Scholar] [CrossRef]
- Johansen, F.E.; Braathen, R.; Brandtzaeg, P. Role of J chain in secretory immunoglobulin formation. Scand. J. Immunol. 2000, 52, 240–248. [Google Scholar] [CrossRef]
- Chen, Y.; Jiang, N.; Chen, M.; Sui, B.; Liu, X. Identification of tumor antigens and immune subtypes in head and neck squamous cell carcinoma for mRNA vaccine development. Front. Cell Dev. Biol. 2022, 10, 1064754. [Google Scholar] [CrossRef]
- Ting, H.S.L.; Chen, Z.; Chan, J.Y.K. Systematic review on oral microbial dysbiosis and its clinical associations with head and neck squamous cell carcinoma. Head Neck 2023, 45, 2120–2135. [Google Scholar] [CrossRef] [PubMed]
- Pan, J.; Weng, Z.; Xue, C.; Lin, B.; Lin, M. The Bioinformatics-Based Analysis Identifies 7 Immune-Related Genes as Prognostic Biomarkers for Colon Cancer. Front. Oncol. 2021, 11, 726701. [Google Scholar] [CrossRef] [PubMed]
- Mancardi, D.A.; Albanesi, M.; Jönsson, F.; Iannascoli, B.; Van Rooijen, N.; Kang, X.; England, P.; Daëron, M.; Bruhns, P. The high-affinity human IgG receptor FcγRI (CD64) promotes IgG-mediated inflammation, anaphylaxis, and antitumor immunotherapy. Blood 2013, 121, 1563–1573. [Google Scholar] [CrossRef]
- Mladenov, R.; Hristodorov, D.; Cremer, C.; Gresch, G.; Grieger, E.; Schenke, L.; Klose, D.; Amoury, M.; Woitok, M.; Jost, E.; et al. CD64-directed microtubule associated protein tau kills leukemic blasts ex vivo. Oncotarget 2016, 7, 67166–67174. [Google Scholar] [CrossRef]
- Chou, C.; Zhang, X.; Krishna, C.; Nixon, B.G.; Dadi, S.; Capistrano, K.J.; Kansler, E.R.; Steele, M.; Han, J.; Shyu, A.; et al. Programme of self-reactive innate-like T cell-mediated cancer immunity. Nature 2022, 605, 139–145. [Google Scholar] [CrossRef]
- Dadi, S.; Chhangawala, S.; Whitlock, B.M.; Franklin, R.A.; Luo, C.T.; Oh, S.A.; Toure, A.; Pritykin, Y.; Huse, M.; Leslie, C.S.; et al. Cancer Immunosurveillance by Tissue-Resident Innate Lymphoid Cells and Innate-like T Cells. Cell 2016, 164, 365–377. [Google Scholar] [CrossRef]
- Fu, L.; Cheng, Z.; Dong, F.; Quan, L.; Cui, L.; Liu, Y.; Zeng, T.; Huang, W.; Chen, J.; Pang, Y.; et al. Enhanced expression of FCER1G predicts positive prognosis in multiple myeloma. J. Cancer 2020, 11, 1182–1194. [Google Scholar] [CrossRef]
- Andreu, P.; Johansson, M.; Affara, N.I.; Pucci, F.; Tan, T.; Junankar, S.; Korets, L.; Lam, J.; Tawfik, D.; DeNardo, D.G.; et al. FcRgamma activation regulates inflammation-associated squamous carcinogenesis. Cancer Cell 2010, 17, 121–134. [Google Scholar] [CrossRef]
- Zhang, X.; Cai, J.; Song, F.; Yang, Z. Prognostic and immunological role of FCER1G in pan-cancer. Pathol. Res. Pract. 2022, 240, 154174. [Google Scholar] [CrossRef]
- Mantovani, A.; Allavena, P.; Sica, A.; Balkwill, F. Cancer-related inflammation. Nature 2008, 454, 436–444. [Google Scholar] [CrossRef] [PubMed]
- Radford, K.J.; Thorne, R.F.; Hersey, P. Regulation of tumor cell motility and migration by CD63 in a human melanoma cell line. J. Immunol. 1997, 158, 3353–3358. [Google Scholar] [CrossRef]
- Chen, Z.; Mustafa, T.; Trojanowicz, B.; Brauckhoff, M.; Gimm, O.; Schmutzler, C.; Köhrle, J.; Holzhausen, H.; Kehlen, A.; Klonisch, T.; et al. CD82, and CD63 in thyroid cancer. Int. J. Mol. Med. 2004, 14, 517–544. [Google Scholar] [CrossRef] [PubMed]
- Jang, H.I.; Lee, H. A decrease in the expression of CD63 tetraspanin protein elevates invasive potential of human melanoma cells. Exp. Mol. Med. 2003, 35, 317–323. [Google Scholar] [CrossRef]
- Takino, T.; Miyamori, H.; Kawaguchi, N.; Uekita, T.; Seiki, M.; Sato, H. Tetraspanin CD63 promotes targeting and lysosomal proteolysis of membrane-type 1 matrix metalloproteinase. Biochem. Biophys. Res. Commun. 2003, 304, 160–166. [Google Scholar] [CrossRef]
- Wang, Y.L.; Ren, D.; Lu, J.L.; Jiang, H.; Wei, J.Z.; Lan, J.; Liu, F.; Qu, S.H. STAT3 regulates SRGN and promotes metastasis of nasopharyngeal carcinoma through the FoxO1-miR-148a-5p-CREB1 axis. Lab. Investig. 2022, 102, 919–934. [Google Scholar] [CrossRef] [PubMed]
- Nava, V.E.; Khosla, R.; Shin, S.; Mordini, F.E.; Bandyopadhyay, B.C. Enhanced carbonic anhydrase expression with calcification and fibrosis in bronchial cartilage during COPD. Acta Histochem. 2022, 124, 151834. [Google Scholar] [CrossRef]
- Liu, Z.; Bai, Y.; Xie, F.; Miao, F.; Du, F. Comprehensive Analysis for Identifying Diagnostic and Prognostic Biomarkers in Colon Adenocarcinoma. DNA Cell Biol. 2020, 39, 599–614. [Google Scholar] [CrossRef]
- Thierfelder, W.E.; van Deursen, J.M.; Yamamoto, K.; Tripp, R.A.; Sarawar, S.R.; Carson, R.T.; Sangster, M.Y.; Vignali, D.A.; Doherty, P.C.; Grosveld, G.C.; et al. Requirement for Stat4 in interleukin-12-mediated responses of natural killer and T cells. Nature 1996, 382, 171–174. [Google Scholar] [CrossRef]
- Bacon, C.M.; Petricoin, E.F.; Ortaldo, J.R.; Rees, R.C.; Larner, A.C.; Johnston, J.A.; O’Shea, J.J. Interleukin 12 Induces Tyrosine Phosphorylation and Activation of STAT4 in Human Lymphocytes. Proc. Natl. Acad. Sci. USA 1995, 92, 7307–7311. [Google Scholar] [CrossRef]
- Yamamoto, K.; Quelle, F.W.; Thierfelder, W.E.; Kreider, B.L.; Gilbert, D.J.; Jenkins, N.A.; Copeland, N.G.; Silvennoinen, O.; Ihle, J.N. Stat4, a novel gamma interferon activation site-binding protein expressed in early myeloid differentiation. Mol. Cell Biol. 1994, 14, 4342–4349. [Google Scholar] [PubMed]
- Wiche Salinas, T.R.; Zhang, Y.; Sarnello, D.; Zhyvoloup, A.; Marchand, L.R.; Fert, A.; Planas, D.; Lodha, M.; Chatterjee, D.; Karwacz, K.; et al. Th17 cell master transcription factor RORC2 regulates HIV-1 gene expression and viral outgrowth. Proc. Natl. Acad. Sci. USA 2021, 118, e2105927118. [Google Scholar] [CrossRef]
- Villey, I.; de Chasseval, R.; de Villartay, J.-P. RORγT, a thymus-specific isoform of the orphan nuclear receptor RORγ / TOR, is up-regulated by signaling through the pre-T cell receptor and binds to the TEA promoter. Eur. J. Immunol. 1999, 29, 4072–4080. [Google Scholar] [CrossRef]
- Marchenko, S.; Piwonski, I.; Hoffmann, I.; Sinn, B.V.; Kunze, C.A.; Monjé, N.; Pohl, J.; Kulbe, H.; Schmitt, W.D.; Darb-Esfahani, S.; et al. Prognostic value of regulatory T cells and T helper 17 cells in high grade serous ovarian carcinoma. J. Cancer Res. Clin. Oncol. 2023, 149, 2523–2536. [Google Scholar] [CrossRef] [PubMed]
- Tratnjek, L.; Jeruc, J.; Romih, R.; Zupančič, D. Vitamin A and Retinoids in Bladder Cancer Chemoprevention and Treatment: A Narrative Review of Current Evidence, Challenges and Future Prospects. Int. J. Mol. Sci. 2021, 22, 3510. [Google Scholar] [CrossRef]
- Cao, D.; Qi, Z.; Pang, Y.; Li, H.; Xie, H.; Wu, J.; Huang, Y.; Zhu, Y.; Shen, Y.; Zhu, Y.; et al. Retinoic Acid-Related Orphan Receptor C Regulates Proliferation, Glycolysis, and Chemoresistance via the PD-L1/ITGB6/STAT3 Signaling Axis in Bladder Cancer. Cancer Res. 2019, 79, 2604–2618. [Google Scholar] [CrossRef]
- Battula, V.L.; Evans, K.W.; Hollier, B.G.; Shi, Y.; Marini, F.C.; Ayyanan, A.; Wang, R.Y.; Brisken, C.; Guerra, R.; Andreeff, M.; et al. Epithelial-mesenchymal transition-derived cells exhibit multilineage differentiation potential similar to mesenchymal stem cells. Stem Cells 2010, 28, 1435–1445. [Google Scholar] [CrossRef]
- Yearley, J.H.; Gibson, C.; Yu, N.; Moon, C.; Murphy, E.; Juco, J.; Lunceford, J.; Cheng, J.; Chow, L.Q.M.; Seiwert, T.Y.; et al. PD-L2 Expression in Human Tumors: Relevance to Anti-PD-1 Therapy in Cancer. Clin. Cancer Res. 2017, 23, 3158–3167. [Google Scholar] [CrossRef]
- Moratin, J.; Metzger, K.; Safaltin, A.; Herpel, E.; Hoffmann, J.; Freier, K.; Hess, J.; Horn, D. Upregulation of PD-L1 and PD-L2 in neck node metastases of head and neck squamous cell carcinoma. Head Neck 2019, 41, 2484–2491. [Google Scholar] [CrossRef]
- Bossi, P.; Siano, M.; Bergamini, C.; Cossu Rocca, M.; Sponghini, A.P.; Giannoccaro, M.; Tonella, L.; Paoli, A.; Marchesi, E.; Perrone, F.; et al. Are Fusion Transcripts in Relapsed/Metastatic Head and Neck Cancer Patients Predictive of Response to Anti-EGFR Therapies? Dis. Markers 2017, 2017, 6870614. [Google Scholar] [CrossRef]
- Hosseini-Alghaderi, S.; Baron, M. Notch3 in Development, Health and Disease. Biomolecules 2020, 10, 485. [Google Scholar] [CrossRef] [PubMed]
- Zhang, Y.Q.; Liang, Y.K.; Wu, Y.; Chen, M.; Chen, W.L.; Li, R.H.; Zeng, Y.Z.; Huang, W.H.; Wu, J.D.; Zeng, D.; et al. Notch3 inhibits cell proliferation and tumorigenesis and predicts better prognosis in breast cancer through transactivating PTEN. Cell Death Dis. 2021, 12, 502. [Google Scholar] [CrossRef]
- Aburjania, Z.; Jang, S.; Whitt, J.; Jaskula-Stzul, R.; Chen, H.; Rose, J.B. The Role of Notch3 in Cancer. Oncologist 2018, 23, 900–911. [Google Scholar] [CrossRef]
- Man, C.H.; Wei-Man Lun, S.; Wai-Ying Hui, J.; To, K.F.; Choy, K.W.; Wing-Hung Chan, A.; Chow, C.; Tin-Yun Chung, G.; Tsao, S.W.; Tak-Chun Yip, T.; et al. Inhibition of NOTCH3 signalling significantly enhances sensitivity to cisplatin in EBV-associated nasopharyngeal carcinoma. J. Pathol. 2012, 226, 471–481. [Google Scholar] [CrossRef] [PubMed]
- Zhang, T.H.; Liu, H.C.; Zhu, L.J.; Chu, M.; Liang, Y.J.; Liang, L.Z.; Liao, G.Q. Activation of Notch signaling in human tongue carcinoma. J. Oral. Pathol. Med. 2011, 40, 37–45. [Google Scholar] [CrossRef]
- Wang, H.; Chirshev, E.; Hojo, N.; Suzuki, T.; Bertucci, A.; Pierce, M.; Perry, C.; Wang, R.; Zink, J.; Glackin, C.A.; et al. The Epithelial-Mesenchymal Transcription Factor SNAI1 Represses Transcription of the Tumor Suppressor miRNA let-7 in Cancer. Cancers 2021, 13, 1469. [Google Scholar] [CrossRef]
- Liu, X.; Zhang, N.; Chen, Q.; Feng, Q.; Zhang, Y.; Wang, Z.; Yue, X.; Li, H.; Cui, N. SNAI2 Attenuated the Stem-like Phenotype by Reducing the Expansion of EPCAMhigh Cells in Cervical Cancer Cells. Int. J. Mol. Sci. 2023, 24, 1062. [Google Scholar] [CrossRef]
- Gan, C.P.; Lee, B.K.B.; Lau, S.H.; Kallarakkal, T.G.; Zaini, Z.M.; Lye, B.K.W.; Zain, R.B.; Sathasivam, H.P.; Yeong, J.P.S.; Savelyeva, N.; et al. Transcriptional analysis highlights three distinct immune profiles of high-risk oral epithelial dysplasia. Front. Immunol. 2022, 13, 954567. [Google Scholar] [CrossRef]
- Slaughter, D.P.; Southwick, H.W.; Smejkal, W. Field cancerization in oral stratified squamous epithelium; clinical implications of multicentric origin. Cancer 1953, 6, 963–968. [Google Scholar] [CrossRef]
- Tang, Y.; Weiss, S.J. Snail/Slug-YAP/TAZ complexes cooperatively regulate mesenchymal stem cell function and bone formation. Cell Cycle 2017, 16, 399–405. [Google Scholar] [CrossRef]
- Tabor, M.P.; Braakhuis, B.J.; van der Wal, J.E.; van Diest, P.J.; Leemans, C.R.; Brakenhoff, R.H.; Kummer, J.A. Comparative molecular and histological grading of epithelial dysplasia of the oral cavity and the oropharynx. J. Pathol. 2003, 199, 354–360. [Google Scholar] [CrossRef]
- González, M.V.; Pello, M.F.; López-Larrea, C.; Suárez, C.; Menéndez, M.J.; Coto, E. Loss of heterozygosity and mutation analysis of the p16 (9p21) and p53 (17p13) genes in squamous cell carcinoma of the head and neck. Clin. Cancer Res. 1995, 1, 1043–1049. [Google Scholar] [PubMed]
- Jang, S.J.; Chiba, I.; Hirai, A.; Hong, W.K.; Mao, L. Multiple oral squamous epithelial lesions: Are they genetically related? Oncogene 2001, 20, 2235–2242. [Google Scholar] [CrossRef] [PubMed]
- O’Shaughnessy, J.A.; Kelloff, G.J.; Gordon, G.B.; Dannenberg, A.J.; Hong, W.K.; Fabian, C.J.; Sigman, C.C.; Bertagnolli, M.M.; Stratton, S.P.; Lam, S.; et al. Treatment and prevention of intraepithelial neoplasia: An important target for accelerated new agent development. Clin. Cancer Res. 2002, 8, 314–346. [Google Scholar] [PubMed]
- Chiesa, F.; Tradati, N.; Grigolato, R.; Boracchi, P.; Biganzoli, E.; Crose, N.; Cavadini, E.; Formelli, F.; Costa, L.; Giardini, R.; et al. Randomized trial of fenretinide (4-HPR) to prevent recurrences, new localizations and carcinomas in patients operated on for oral leukoplakia: Long-term results. Int. J. Cancer 2005, 115, 625–629. [Google Scholar] [CrossRef]
- Costa, A.; Formelli, F.; Chiesa, F.; Decensi, A.; De Palo, G.; Veronesi, U. Prospects of chemoprevention of human cancers with the synthetic retinoid fenretinide. Cancer Res. 1994, 54 (Suppl. S7), 2032s–2037s. [Google Scholar]
- Tradati, N.; Chiesa, F.; Rossi, N.; Grigolato, R.; Formelli, F.; Costa, A.; de Palo, G. Successful topical treatment of oral lichen planus and leukoplakias with fenretinide (4-HPR). Cancer Lett. 1994, 76, 109–111. [Google Scholar] [CrossRef]
- Wang, G.Z.; Cheng, X.; Li, X.C.; Liu, Y.Q.; Wang, X.Q.; Shi, X.; Wang, Z.Y.; Guo, Y.Q.; Wen, Z.S.; Huang, Y.C.; et al. Tobacco smoke induces production of chemokine CCL20 to promote lung cancer. Cancer Lett. 2015, 363, 60–70. [Google Scholar] [CrossRef]
- Ferrari, N.; Pfeffer, U.; Dell’Eva, R.; Ambrosini, C.; Noonan, D.M.; Albini, A. The transforming growth factor-beta family members bone morphogenetic protein-2 and macrophage inhibitory cytokine-1 as mediators of the antiangiogenic activity of N-(4-hydroxyphenyl)-retinamide. Clin. Cancer Res. 2005, 11, 4610–4619. [Google Scholar] [CrossRef]
- Mlynska, A.; Salciuniene, G.; Zilionyte, K.; Garberyte, S.; Strioga, M.; Intaite, B.; Barakauskiene, A.; Lazzari, G.; Dobrovolskiene, N.; Krasko, J.A.; et al. Chemokine profiling in serum from patients with ovarian cancer reveals candidate biomarkers for recurrence and immune infiltration. Oncol. Rep. 2019, 41, 1238–1252. [Google Scholar] [CrossRef]
- Lekva, T.; Berg, J.P.; Heck, A.; Lyngvi Fougner, S.; Olstad, O.K.; Ringstad, G.; Bollerslev, J.; Ueland, T. Attenuated RORC expression in the presence of EMT progression in somatotroph adenomas following treatment with somatostatin analogs is associated with poor clinical recovery. PLoS ONE 2013, 8, e66927. [Google Scholar] [CrossRef] [PubMed]
- Cossu Rocca, M.; Maffini, F.; Chiocca, S.; Massaro, M.; Santoro, L.; Cattaneo, A.; Verri, E.; Chiesa, F.; Preda, L.; Nole, F.; et al. Induction chemotherapy followed by transoral laser microsurgery: A mutimodal approach to improve outcomes for locally advanced laryngeal cancer patients? J. Clin. Oncol. 2015, 33 (Suppl. S15), e17039. [Google Scholar] [CrossRef]
- Municio, C.; Soler Palacios, B.; Estrada-Capetillo, L.; Benguria, A.; Dopazo, A.; García-Lorenzo, E.; Fernández-Arroyo, S.; Joven, J.; Miranda-Carús, M.E.; González-Álvaro, I.; et al. Methotrexate selectively targets human proinflammatory macrophages through a thymidylate synthase/p53 axis. Ann. Rheum. Dis. 2016, 75, 2157–2165. [Google Scholar] [CrossRef]
- Wu, S.; Liu, Y.; Michalek, J.E.; Mesa, R.A.; Parma, D.L.; Rodriguez, R.; Mansour, A.M.; Svatek, R.; Tucker, T.C.; Ramirez, A.G. Carotenoid Intake and Circulating Carotenoids Are Inversely Associated with the Risk of Bladder Cancer: A Dose-Response Meta-analysis. Adv Nutr. 2020, 11, 630–643. [Google Scholar] [CrossRef]
- Ishida, T.; Ueda, R. CCR4 as a novel molecular target for immunotherapy of cancer. Cancer Sci. 2006, 97, 1139–1146, Erratum in Cancer Sci. 2007, 98, 1137. [Google Scholar] [CrossRef]
- Zhang, T.; Sun, J.; Li, J.; Zhao, Y.; Zhang, T.; Yang, R.; Ma, X. Safety and efficacy profile of mogamulizumab (Poteligeo) in the treatment of cancers: An update evidence from 14 studies. BMC Cancer 2021, 21, 618. [Google Scholar] [CrossRef]
- Mollica Poeta, V.; Massara, M.; Capucetti, A.; Bonecchi, R. Chemokines and Chemokine Receptors: New Targets for Cancer Immunotherapy. Front. Immunol. 2019, 10, 379. [Google Scholar] [CrossRef]
- Hong, D.S.; Rixe, O.; Chiu, V.K.; Forde, P.M.; Dragovich, T.; Lou, Y.; Nayak-Kapoor, A.; Leidner, R.; Atkins, J.N.; Collaku, A.; et al. Mogamulizumab in Combination with Nivolumab in a Phase I/II Study of Patients with Locally Advanced or Metastatic Solid Tumors. Clin. Cancer Res. 2022, 28, 479–488. [Google Scholar] [CrossRef]
- Zhong, C.; Chen, J. CAR-T cell engineering with CCR6 exhibits superior anti-solid tumor efficacy. Sci. Bull. 2021, 66, 755–756. [Google Scholar] [CrossRef]
- Jin, L.; Cao, L.; Zhu, Y.; Cao, J.; Li, X.; Zhou, J.; Liu, B.; Zhao, T. Enhance anti-lung tumor efficacy of chimeric antigen receptor-T cells by ectopic expression of C-C motif chemokine receptor 6. Sci. Bull. 2021, 66, 803–812. [Google Scholar] [CrossRef]
- Ueda, R. Clinical Application of Anti-CCR4 Monoclonal Antibody. Oncology 2015, 89 (Suppl. S1), 16–21. [Google Scholar] [CrossRef]
- Zhang, Y.; Chung, Y.; Bishop, C.; Daugherty, B.; Chute, H.; Holst, P.; Kurahara, C.; Lott, F.; Sun, N.; Welcher, A.A.; et al. Regulation of T cell activation and tolerance by PDL2. Proc. Natl. Acad. Sci. USA 2006, 103, 11695–11700. [Google Scholar] [CrossRef] [PubMed]
- Pardoll, D.M. The blockade of immune checkpoints in cancer immunotherapy. Nat. Rev. Cancer 2012, 12, 252–264. [Google Scholar] [CrossRef]
- Zhang, L.; Liu, Y.; Zheng, H.J.; Zhang, C.P. The Oral Microbiota May Have Influence on Oral Cancer. Front. Cell Infect. Microbiol. 2020, 9, 476. [Google Scholar] [CrossRef] [PubMed]
- Ren, J.; Han, X.; Lohner, H.; Hoyle, R.G.; Li, J.; Liang, S.; Wang, H.P. gingivalis Infection Upregulates PD-L1 Expression on Dendritic Cells, Suppresses CD8+ T-cell Responses, and Aggravates Oral Cancer. Cancer Immunol. Res. 2023, 11, 290–305. [Google Scholar] [CrossRef] [PubMed]
- Kübler, A.; Haase, T.; Rheinwald, M.; Barth, T.; Mühling, J. Treatment of oral leukoplakia by topical application of 5-aminolevulinic acid. Int. J. Oral Maxillofac. Surg. 1998, 27, 466–469. [Google Scholar] [CrossRef]
- National Comprehensive Cancer Network. Available online: https://www.nccn.org/guidelines/recently-published-guidelines (accessed on 3 September 2024).
- Gale, N.; Hille, J.; Jordan, R.C.; Nadal, A.; William, M.D. WHO Classification of Head and Neck Tumor, 4th ed.; Tumor of the Hypopharynx, Larynx and Parapharyngeal Space; International Agency Reserch on Cancer (IARC): Lyon, France, 2017; pp. 91–93, Chapter 3. [Google Scholar]
- Zhang, H.K.; Liu, H.G. Is severe dysplasia the same lesion as carcinoma in situ? 10-Year follow-up of laryngeal precancerous lesions. Acta Otolaryngol. 2012, 132, 325–328. [Google Scholar] [CrossRef]
- GenBank ®—The NIH Genetic Sequence Database Part of the International Nucleotide Sequence Database Collaboration. Housed at the National Library Medicine (NLM), Bethesda, MD, USA. Available online: https://www.ncbi.nlm.nih.gov/nuccore (accessed on 3 September 2024).




| NCBI-Accession CODE | Gene Function | PDy | NPDy | Gene |
|---|---|---|---|---|
| NM_004591 | Chemokine signaling | UR | CCL20 | |
| NM_005508 | Chemokine signaling | OE | CCR4 | |
| NM_000435 | Tumor marker | UR | NOTCH3 | |
| NM_003068 | Tumor marker steamness | UR | SNAI2 | |
| NM_002122 | Antigen processing | OE | HLA-DQA1 | |
| NR_026972 | Antigen-processing | OE | HLA-F-AS1 | |
| NM_001192 | B cell marker | OE | TNFRSF17 | |
| NM_144646 | B cell marker | OE | JCHAIN | |
| NM_001783 | B cell-receptor signaling | OE | CD79A | |
| NM_025239 | Checkpoint pathway | UR | PDCD1LG2 | |
| NM_003151 | Helper T cell | UR | STAT4 | |
| NM_005060 | Helper T cell | UR | RORC | |
| NM_000717 | Neutrophil | OE | CA4 | |
| NM_001780 | Lymphocyte infiltrate | OE | CD63 | |
| NM_002727 | Lymphocyte infiltrate | OE | SRGN | |
| NM_004106 | Lymphocyte infiltrate | OE | FCER1G |
| p-Value 1 | PD | NPD | Characteristics |
|---|---|---|---|
| n = 15 (100%) | n = 31 (100%) | ||
| 0.2 | Sex | ||
| 1 (6.7%) | 8 (26%) | Female | |
| 14 (93%) | 23 (74%) | Male | |
| 0.2 | 66 (56, 70) | 58 (54, 64) | Age, median (IQR) |
| 0.8 | Smoking | ||
| 3 (20%) | 4 (13%) | Never | |
| 6 (40%) | 13 (42%) | Current | |
| 6 (40%) | 14 (45%) | Former | |
| 0.6 | Cancer site | ||
| 13 (87%) | 27 (87%) | Glottis | |
| 0 (0%) | 2 (6.5%) | Supraglottis | |
| 2 (13%) | 2 (6.5%) | Glottis + Supraglottis | |
| 0.2 | Side | ||
| 11 (73%) | 28 (90%) | Monolateral | |
| 4 (27%) | 3 (9.7%) | Bilateral | |
| 0.029 | Histological grade | ||
| 3 (20%) | 11 (35%) | SIN 1 | |
| 1 (6.7%) | 10 (32%) | SIN 2 | |
| 11 (73%) | 10 (32%) | SIN 3 | |
| 0.4 | Multifocal | ||
| 11 (73%) | 26 (84%) | No | |
| 4 (27%) | 5 (16%) | Yes |
Disclaimer/Publisher’s Note: The statements, opinions and data contained in all publications are solely those of the individual author(s) and contributor(s) and not of MDPI and/or the editor(s). MDPI and/or the editor(s) disclaim responsibility for any injury to people or property resulting from any ideas, methods, instructions or products referred to in the content. |
© 2024 by the authors. Licensee MDPI, Basel, Switzerland. This article is an open access article distributed under the terms and conditions of the Creative Commons Attribution (CC BY) license (https://creativecommons.org/licenses/by/4.0/).
Share and Cite
Maffini, F.; Lepanto, D.; Chu, F.; Tagliabue, M.; Vacirca, D.; De Berardinis, R.; Gandini, S.; Vignati, S.; Ranghiero, A.; Taormina, S.; et al. A Transcriptomic Analysis of Laryngeal Dysplasia. Int. J. Mol. Sci. 2024, 25, 9685. https://doi.org/10.3390/ijms25179685
Maffini F, Lepanto D, Chu F, Tagliabue M, Vacirca D, De Berardinis R, Gandini S, Vignati S, Ranghiero A, Taormina S, et al. A Transcriptomic Analysis of Laryngeal Dysplasia. International Journal of Molecular Sciences. 2024; 25(17):9685. https://doi.org/10.3390/ijms25179685
Chicago/Turabian StyleMaffini, Fausto, Daniela Lepanto, Francesco Chu, Marta Tagliabue, Davide Vacirca, Rita De Berardinis, Sara Gandini, Silvano Vignati, Alberto Ranghiero, Sergio Taormina, and et al. 2024. "A Transcriptomic Analysis of Laryngeal Dysplasia" International Journal of Molecular Sciences 25, no. 17: 9685. https://doi.org/10.3390/ijms25179685
APA StyleMaffini, F., Lepanto, D., Chu, F., Tagliabue, M., Vacirca, D., De Berardinis, R., Gandini, S., Vignati, S., Ranghiero, A., Taormina, S., Rappa, A., Cossu Rocca, M., Alterio, D., Chiocca, S., Barberis, M., Preda, L., Pagni, F., Fusco, N., & Ansarin, M. (2024). A Transcriptomic Analysis of Laryngeal Dysplasia. International Journal of Molecular Sciences, 25(17), 9685. https://doi.org/10.3390/ijms25179685

