Concomitance of Pericardial Tamponade and Pulmonary Embolism in an Invasive Mucinous Lung Adenocarcinoma with Atypical Presentation: Diagnostic and Therapeutic Pitfalls—Case Report and Literature Review
Abstract
1. Introduction
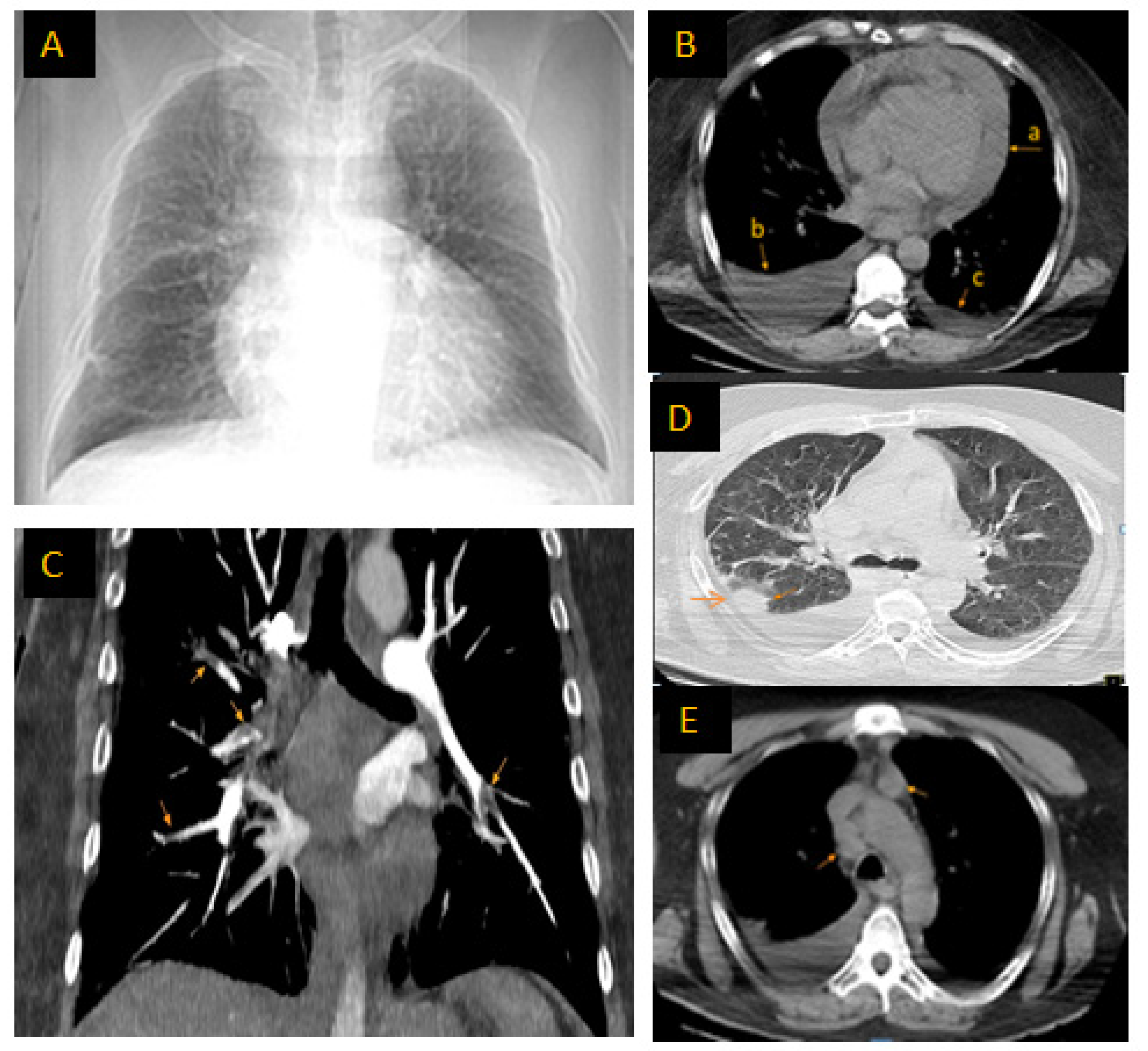
2. Results
3. Discussion
| Authors/Year | No. of Patients/Gender/Age | Description on CCT | Secondary Dissemination |
|---|---|---|---|
| Charleston et al./2023 [24] | 1/M/88 years | A dense consolidation with a cavitary lesion in the left lower lobe | Not described |
| Yang et al./2021 [22] | 1/F/68 years | Multiple nodules of different sizes and mass-like soft tissue density in the left upper lobe, lower lobe, and subpleural region | Mediastinal and left hilum adenopathy, |
| Frick et al./2021 [25] | 1/M/68 years | A bullous malformation in the right lower lobe with recurrent infection | Not described |
| Nakamura et al./2021 [26] | 1/F/78 years | Multiple pulmonary nodules and cavities | Not described |
| Aoki et al./2020 [21] | 1/M/77 years | Subpleural nodular opacities | Chilotorax, irregular pleural thickening, right pleural effusion |
| Anwar et al./2020 [23] | 1/F/57 years | Right-sided lung mass | Mediastinal and cervical lymphadenopathy, cerebellar metastasis, adrenal gland metastasis |
| Masuzawa et al./2016 [20] | 1/M/75 years | Thin-walled chest and ground-glass opacity | Right side pleural effusion |
| Authors /Year | No. of Patients /Gender/Age | Adenocarcinoma Type | Aspect on CCT | Secondary Dissemination | Associated CCT Findings | Clinical Presentation | Associated Risk Factors |
|---|---|---|---|---|---|---|---|
| El Rahalete et al./2023 [30] | 1/F/38 years | Moderately differentiated adenocarcinoma of the lung | Parenchymal lymph node of the upper lung lobe | Hepatic metastasis | Deep vein thrombosis of the left lower limb, pericardial tamponade, bilateral PE, bilateral pulmonary effusion | Respiratory distress, chest pain | Twin pregnancy |
| Itakura et al./2023 [31] | 1/F/42 years | Lung adenocarcinoma | Not described | Not described | PE, pericardial effusion | Dyspnea and tachycardia | Trousseau’s syndrome |
| Rahman et al./2021 [32] | 1/M/54 years | Anaplastic lymphoma kinase-positive adenocarcinoma of the lung. | Not described | Vertebral and trochanteric metastasis, retroperitoneal and mediastinal lymphadenopathy | Pericardial tamponade, bilateral deep vein thrombosis, PE | Dyspnea | Acute COVID-19 infection |
| Li et al./2019 [33] | 1/M/65 years | Adenocarcinoma | Multiple bilateral pulmonary nodules | Not described | Pleural effusion, pericardial tamponade, massive PE | Dyspnea | Persistent cough |
| Huang et al./2019 [34] | 1/F/48 years | Adenocarcinoma | Right upper lung lobe mass | Not described | Massive PE, pleural effusion and cardiac tamponade | Syncope and dyspnea | Not described |
| Pazooki et al./2019 [35] | 1/M/50 years | Lung adenocarcinoma | Not described | Not described | Bilateral emboli in left and right pulmonary arteries, moderate pericardial effusion | Dyspnea | Chemotherapy |
| Mufti et al./2018 [36] | 1/F/63 years | Adenocarcinoma with BRAF mutation | A nodule in the right upper lobe | Mediastinal adenopathy | Bilateral PE, large pericardial effusion | Dyspnea, palpitations, chest pain | Not described |
| 1/F/66 years | Right upper lobe necrotic mass | Mediastinal adenopathy and bilateral adrenal masses | Pericardial effusion, and right pleural effusion | Dyspnea, cough, fatigue, weight loss | Not described | ||
| Kandasamy et al./2015 [37] | 1/F/40 years | primary moderately differentiated adenocarcinoma of the lung | Soft tissue focus in the apico-posterior segment of the left lung upper lobe | Lymph nodes in the mediastinum, bony metastasis | Large pericardial effusion, right PE | Dyspnea, palpitations | Not described |
| Akhbour et al./2014 [38] | 1/F/63 years | Moderate differentiate adenocarcinoma | Mass lesion in the right lower lung lobe (2.1 cm) | Not described | PE and cardiac tamponade | Dyspnea, chest pain | Not described |
4. Materials and Methods
5. Conclusions
Author Contributions
Funding
Institutional Review Board Statement
Informed Consent Statement
Conflicts of Interest
References
- Travis, W.D.; Brambilla, E.; Nicholson, A.G.; Yatabe, Y.; Austin, J.H.M.; Beasley, M.B.; Chirieac, L.R.; Dacic, S.; Duhig, E.; Flieder, D.B.; et al. The 2015 World Health Organization Classification of Lung Tumors: Impact of Genetic, Clinical and Radiologic Advances Since the 2004 Classification. J. Thorac. Oncol. 2015, 10, 1243–1260. [Google Scholar] [CrossRef] [PubMed]
- Benesch, M.G.K.; Mathieson, A. Epidemiology of Mucinous Adenocarcinomas. Cancers 2020, 12, 3193. [Google Scholar] [CrossRef] [PubMed]
- Spread through Air Spaces (STAS) in Invasive Mucinous Adenocarcinoma of the Lung: Incidence, Prognostic Impact, and Prediction Based on Clinicoradiologic Factors—PMC. Available online: https://www.ncbi.nlm.nih.gov/pmc/articles/PMC7606017/ (accessed on 23 June 2024).
- Dacic, S. Pros: The Present Classification of Mucinous Adenocarcinomas of the Lung. Transl. Lung Cancer Res. 2017, 6, 230–233. [Google Scholar] [CrossRef] [PubMed]
- Xu, L.; Li, C.; Lu, H. Invasive Mucinous Adenocarcinoma of the Lung. Transl. Cancer Res. 2019, 8, 2924–2932. [Google Scholar] [CrossRef] [PubMed]
- Suzuki, K.; Asamura, H.; Kusumoto, M.; Kondo, H.; Tsuchiya, R. “Early” Peripheral Lung Cancer: Prognostic Significance of Ground Glass Opacity on Thin-Section Computed Tomographic Scan. Ann. Thorac. Surg. 2002, 74, 1635–1639. [Google Scholar] [CrossRef] [PubMed]
- Beck, K.S.; Sung, Y.E.; Lee, K.Y.; Han, D.H. Invasive Mucinous Adenocarcinoma of the Lung: Serial CT Findings, Clinical Features, and Treatment and Survival Outcomes. Thorac. Cancer 2020, 11, 3463–3472. [Google Scholar] [CrossRef] [PubMed]
- Koike, H.; Ashizawa, K.; Tsutsui, S.; Kurohama, H.; Okano, S.; Nagayasu, T.; Kido, S.; Uetani, M.; Toya, R. Differentiation Between Heterogeneous GGN and Part-Solid Nodule Using 2 D Grayscale Histogram Analysis of Thin-Section CT Image. Clin. Lung Cancer 2023, 24, 541–550. [Google Scholar] [CrossRef] [PubMed]
- Rajeev, L.K.; Thottian, A.G.F.; Amirtham, U.; Lokanatha, D.; Jacob, L.A.; Babu, M.S.; Lokesh, K.N.; Rudresha, A.H.; Saldanha, S.; Hassan, S.A. Primary Mucinous Carcinomas of the Lung: Clinical Characteristics and Treatment Outcomes. Lung India 2020, 37, 491. [Google Scholar] [CrossRef] [PubMed]
- Lau, S.K.; Desrochers, M.J.; Luthringer, D.J. Expression of Thyroid Transcription Factor-1, Cytokeratin 7, and Cytokeratin 20 in Bronchioloalveolar Carcinomas: An Immunohistochemical Evaluation of 67 Cases. Mod. Pathol. 2002, 15, 538–542. [Google Scholar] [CrossRef] [PubMed]
- Paulk, A.; Tavora, F.; Burke, A. Pulmonary Mucinous Adenocarcinomas: A Clinicopathologic Series with Emphasis on the Prognostic Significance of Spread through Alveolar Spaces, and Presence of Solid Growth Component. Surg. Exp. Pathol. 2018, 1, 3. [Google Scholar] [CrossRef]
- Matsui, T.; Sakakura, N.; Koyama, S.; Nakanishi, K.; Sasaki, E.; Kato, S.; Hosoda, W.; Murakami, Y.; Kuroda, H.; Yatabe, Y. Comparison of Surgical Outcomes Between Invasive Mucinous and Non-Mucinous Lung Adenocarcinoma. Ann. Thorac. Surg. 2021, 112, 1118–1126. [Google Scholar] [CrossRef] [PubMed]
- Duruisseaux, M.; McLeer-Florin, A.; Antoine, M.; Alavizadeh, S.; Poulot, V.; Lacave, R.; Rabbe, N.; Cadranel, J.; Wislez, M. NRG1 Fusion in a French Cohort of Invasive Mucinous Lung Adenocarcinoma. Cancer Med. 2016, 5, 3579–3585. [Google Scholar] [CrossRef]
- Zhao, T.; Yi, J.; Luo, D.; Liu, J.; Fan, X.; Wu, Q.; Wang, W. Prognostic Factors for Invasive Mucinous Adenocarcinoma of the Lung: Systematic Review and Meta-Analysis. World J. Surg. Oncol. 2024, 22, 41. [Google Scholar] [CrossRef]
- Cai, Y.; Xie, Y.; Xiong, Y.; Guan, W.; Pu, Y.; Wang, D.; Xu, M.; Meng, S. Clinicopathological Characteristics and Survival in Lung Signet Ring Cell Carcinoma: A Population-Based Study. Bosn. J. Basic. Med. Sci. 2021, 21, 752–759. [Google Scholar] [CrossRef] [PubMed]
- Wang, T.; Yang, Y.; Liu, X.; Deng, J.; Wu, J.; Hou, L.; Wu, C.; She, Y.; Sun, X.; Xie, D.; et al. Primary Invasive Mucinous Adenocarcinoma of the Lung: Prognostic Value of CT Imaging Features Combined with Clinical Factors. Korean J. Radiol. 2021, 22, 652–662. [Google Scholar] [CrossRef]
- Ueda, D.; Ito, M.; Tsutani, Y.; Giménez-Capitán, A.; Román-Lladó, R.; Pérez-Rosado, A.; Aguado, C.; Kushitani, K.; Miyata, Y.; Arihiro, K.; et al. Comprehensive Analysis of the Clinicopathological Features, Targetable Profile, and Prognosis of Mucinous Adenocarcinoma of the Lung. J. Cancer Res. Clin. Oncol. 2021, 147, 3709–3718. [Google Scholar] [CrossRef]
- Miyamoto, A.; Kurosaki, A.; Fujii, T.; Kishi, K.; Homma, S. HRCT Features of Surgically Resected Invasive Mucinous Adenocarcinoma Associated with Interstitial Pneumonia. Respirology 2017, 22, 735–743. [Google Scholar] [CrossRef] [PubMed]
- Jung, J.I.; Kim, H.; Park, S.H.; Kim, H.H.; Ahn, M.I.; Kim, H.S.; Kim, K.J.; Chung, M.H.; Choi, B.G. CT Differentiation of Pneumonic-Type Bronchioloalveolar Cell Carcinoma and Infectious Pneumonia. Br. J. Radiol. 2001, 74, 490–494. [Google Scholar] [CrossRef]
- Masuzawa, K.; Minematsu, N.; Sasaki, M.; Ohsawa, K.; Yamamoto, T.; Iwamaru, A.; Ogata, K.; Betsuyaku, T.; Murakami, M. Invasive Mucinous Adenocarcinoma of the Lung Presenting as a Large, Thin-Walled Cyst: A Case Report and Literature Review. Mol. Clin. Oncol. 2017, 6, 433–437. [Google Scholar] [CrossRef]
- Aoki, A.; Hara, Y.; Okudela, K.; Ishikawa, Y.; Doshita, K.; Hashimoto, H.; Nakashima, K.; Horita, N.; Kobayashi, N.; Kaneko, T. Unusual Lung Involvements of Invasive Mucinous Adenocarcinoma with Chylothorax. Thorac. Cancer 2020, 11, 3407–3408. [Google Scholar] [CrossRef]
- Yang, M.; Yang, Y.; Chen, J.; Stella, G.M.; Um, S.-W.; Tandon, Y.K.; Liu, H. A Case Report of Primary Signet Ring Cell Carcinoma of the Lung: Imaging Study and Literature Review. Transl. Lung Cancer Res. 2021, 10, 3840–3849. [Google Scholar] [CrossRef] [PubMed]
- Anwar, S.; Acharya, S.; Elsayegh, D.; Sokoloff, A.; Rehan, M. Life Threatening Haemoptysis in Primary Lung Cancer-Signet Ring Cell Carcinoma. Respir. Med. Case Rep. 2020, 31, 101195. [Google Scholar] [CrossRef] [PubMed]
- Cabrera Charleston, M.; Lizarraga Madrigal, D.; Khan, A.; Eapen, G.; Grosu, H. Mucinous Adenocarcinoma of the Lung: A Great Mimicker of Pneumonia. Cureus 2023, 15, e39343. [Google Scholar] [CrossRef] [PubMed]
- Frick, A.E.; Decaluwé, H.; Weynand, B.; Proesmans, M.; Van Raemdonck, D. Invasive Mucinous Adenocarcinoma of the Lung Arising in a Type 1 Congenital Pulmonary Airway Malformation in a 68-Year-Old Patient: A Case Report. Acta Chir. Belg. 2021, 121, 55–60. [Google Scholar] [CrossRef] [PubMed]
- Nakamura, S.; Sugimoto, H.; Negoro, K.; Tanaka, R. Invasive Mucinous Adenocarcinoma of the Lung Presenting with Multiple Cavities. Cureus 2021, 13, e13795. [Google Scholar] [CrossRef] [PubMed]
- Zhang, Y.; Qiu, Y.; Luo, J.; Zhang, J.; Yan, Q. Sex-Based Differences in the Presentation and Outcomes of Acute Pulmonary Embolism: A Systematic Review and Meta-Analysis. Tex. Heart Inst. J. 2023, 50, e238113. [Google Scholar] [CrossRef] [PubMed]
- Silveyra, P.; Fuentes, N.; Rodriguez Bauza, D. Sex and Gender Differences in Lung Disease. Adv. Exp. Med. Biol. 2021, 1304, 227–258. [Google Scholar] [CrossRef] [PubMed]
- Al-Ogaili, A.; Ayoub, A.; Fugar, S.; Kolkailah, A.; Rios, L.P.; Fuentes, H. Cardiac Tamponade Incidence, Demographics and in-Hospital Outcomes: Analysis of the National Inpatient Sample Database. J. Am. Coll. Cardiol. 2018, 71, A1155. [Google Scholar] [CrossRef]
- El Rhalete, A.; Rhazi, I.; Bkiyer, H.; Housni, B. Pulmonary Embolism Complicated by Tamponade Revealing Metastatic Lung Cancer in a Woman Pregnant with Twin: About a Case Report. Ann. Med. Surg. 2023, 85, 1966. [Google Scholar] [CrossRef]
- Itakura, Y.; Hakozaki, T.; Inoue, S. Cardiac Tamponade Developing during Trousseau’s Syndrome with Pulmonary Embolism. JA Clin. Rep. 2023, 9, 84. [Google Scholar] [CrossRef]
- Rahman, A.U.; Folaranmi, O.; Chan, V.; Chaudary, A. Anaplastic Lymphoma Kinase-Positive Primary Lung Adenocarcinoma Presenting with Pericardial Effusion and Tamponade in a COVID-19 Patient: A Case Report—PubMed. Cureus 2021, 13, e19127. Available online: https://pubmed.ncbi.nlm.nih.gov/34868767/ (accessed on 19 June 2024). [CrossRef] [PubMed]
- Li, C.; Chen, J.; Levi, D.; Shah, C.; Quintana, J. Unexpected Immediate Deterioration after Anticoagulation for Pulmonary Embolism in Lung Cancer: A Case Report. CHEST 2019, 155, 182A. [Google Scholar] [CrossRef]
- Huang, K.C.; Huang, S.-Y.; Cheng, S.-Y.; Tsai, M.-T.; Hung, S.-C. Massive Pulmonary Embolism Concomitant with Cardiac Tamponade as Initial Presentation of Lung Adenocarcinoma: A Diagnostic and Therapeutic Dilemma. J. Acute Med. 2019, 9, 24–28. [Google Scholar] [CrossRef] [PubMed]
- Pazooki, B.; Sherafati, A. Management of Pulmonary Embolism and Pericardial Effusion. Case Rep. Clin. Pract. 2019, 4, 48–51. [Google Scholar] [CrossRef]
- Mufti, M.; Ching, S.; Farjami, S.; Shahangian, S.; Sobnosky, S. A Case Series of Two Patients Presenting with Pericardial Effusion as First Manifestation of Non-Small Cell Lung Cancer with BRAF Mutation and Expression Of PD-L1. World J. Oncol. 2018, 9, 56–61. [Google Scholar] [CrossRef] [PubMed]
- Kandasamy, S.; Tadi, M.E.F.; Rudrapogu, J.S.; Biju, G.; Boddikura, C.; Naralasetty, A.K. Pericardial Tamponade Masking Associated Pulmonary Thrombo Embolism in a Case of Adeno Carcinoma of Lung. Int. J. Res. Med. Sci. 2015, 3, 2126–2128. [Google Scholar] [CrossRef][Green Version]
- Akhbour, S.; Khennine, B.A.; Oukerraj, L.; Zarzur, J.; Cherti, M. Pericardial Tamponade and Coexisting Pulmonary Embolism as First Manifestation of Non-Advanced Lung Adenocarcinoma. Pan Afr. Med. J. 2014, 18, 15. [Google Scholar] [CrossRef]
- Tudoran, M.; Tudoran, C. High-Risk Pulmonary Embolism in a Patient with Acute Dissecting Aortic Aneurysm. Niger. J. Clin. Pract. 2016, 19, 831. [Google Scholar] [CrossRef] [PubMed]
- ESC Guidelines on Acute Pulmonary Embolism (Diagnosis and Management of). Available online: https://www.escardio.org/Guidelines/Clinical-Practice-Guidelines/Acute-Pulmonary-Embolism-Diagnosis-and-Management-of (accessed on 28 July 2024).
- Thein, K.Z.; Quick, D.P.; Htut, T.W.; Tijani, L.; Oo, T.H. Impact of Primary Ambulatory Thromboprophylaxis (PATP) with Low-Molecular Weight Heparins (LMWHs) on Survival in Patients with Lung Cancer Receiving Chemotherapy. Lung 2020, 198, 575–579. [Google Scholar] [CrossRef]
- Aung, P.P.; Park, K.; Nge, H.M. Outcomes of Cardiac Tamponade in Patients with Lung Cancer. JCO 2022, 40, e21083. [Google Scholar] [CrossRef]


Disclaimer/Publisher’s Note: The statements, opinions and data contained in all publications are solely those of the individual author(s) and contributor(s) and not of MDPI and/or the editor(s). MDPI and/or the editor(s) disclaim responsibility for any injury to people or property resulting from any ideas, methods, instructions or products referred to in the content. |
© 2024 by the authors. Licensee MDPI, Basel, Switzerland. This article is an open access article distributed under the terms and conditions of the Creative Commons Attribution (CC BY) license (https://creativecommons.org/licenses/by/4.0/).
Share and Cite
Bertici, N.S.; Tudoran, C.; Bertici, R.A.; Fira-Mladinescu, O.; Jianu, D.C.; Streian, C.G.; Staicu, R.E.; Manzur, A.R.; Lascu, A. Concomitance of Pericardial Tamponade and Pulmonary Embolism in an Invasive Mucinous Lung Adenocarcinoma with Atypical Presentation: Diagnostic and Therapeutic Pitfalls—Case Report and Literature Review. Int. J. Mol. Sci. 2024, 25, 8413. https://doi.org/10.3390/ijms25158413
Bertici NS, Tudoran C, Bertici RA, Fira-Mladinescu O, Jianu DC, Streian CG, Staicu RE, Manzur AR, Lascu A. Concomitance of Pericardial Tamponade and Pulmonary Embolism in an Invasive Mucinous Lung Adenocarcinoma with Atypical Presentation: Diagnostic and Therapeutic Pitfalls—Case Report and Literature Review. International Journal of Molecular Sciences. 2024; 25(15):8413. https://doi.org/10.3390/ijms25158413
Chicago/Turabian StyleBertici, Nicoleta Sorina, Cristina Tudoran, Razvan Adrian Bertici, Ovidiu Fira-Mladinescu, Dragos Catalin Jianu, Caius Glad Streian, Raluca Elisabeta Staicu, Andrei Raul Manzur, and Ana Lascu. 2024. "Concomitance of Pericardial Tamponade and Pulmonary Embolism in an Invasive Mucinous Lung Adenocarcinoma with Atypical Presentation: Diagnostic and Therapeutic Pitfalls—Case Report and Literature Review" International Journal of Molecular Sciences 25, no. 15: 8413. https://doi.org/10.3390/ijms25158413
APA StyleBertici, N. S., Tudoran, C., Bertici, R. A., Fira-Mladinescu, O., Jianu, D. C., Streian, C. G., Staicu, R. E., Manzur, A. R., & Lascu, A. (2024). Concomitance of Pericardial Tamponade and Pulmonary Embolism in an Invasive Mucinous Lung Adenocarcinoma with Atypical Presentation: Diagnostic and Therapeutic Pitfalls—Case Report and Literature Review. International Journal of Molecular Sciences, 25(15), 8413. https://doi.org/10.3390/ijms25158413

