Hypotensive and Cardioprotective Potential of Yellow Bedstraw Extract-Based Oral Liquid in Spontaneously Hypertensive Rats
Abstract
1. Introduction
2. Results
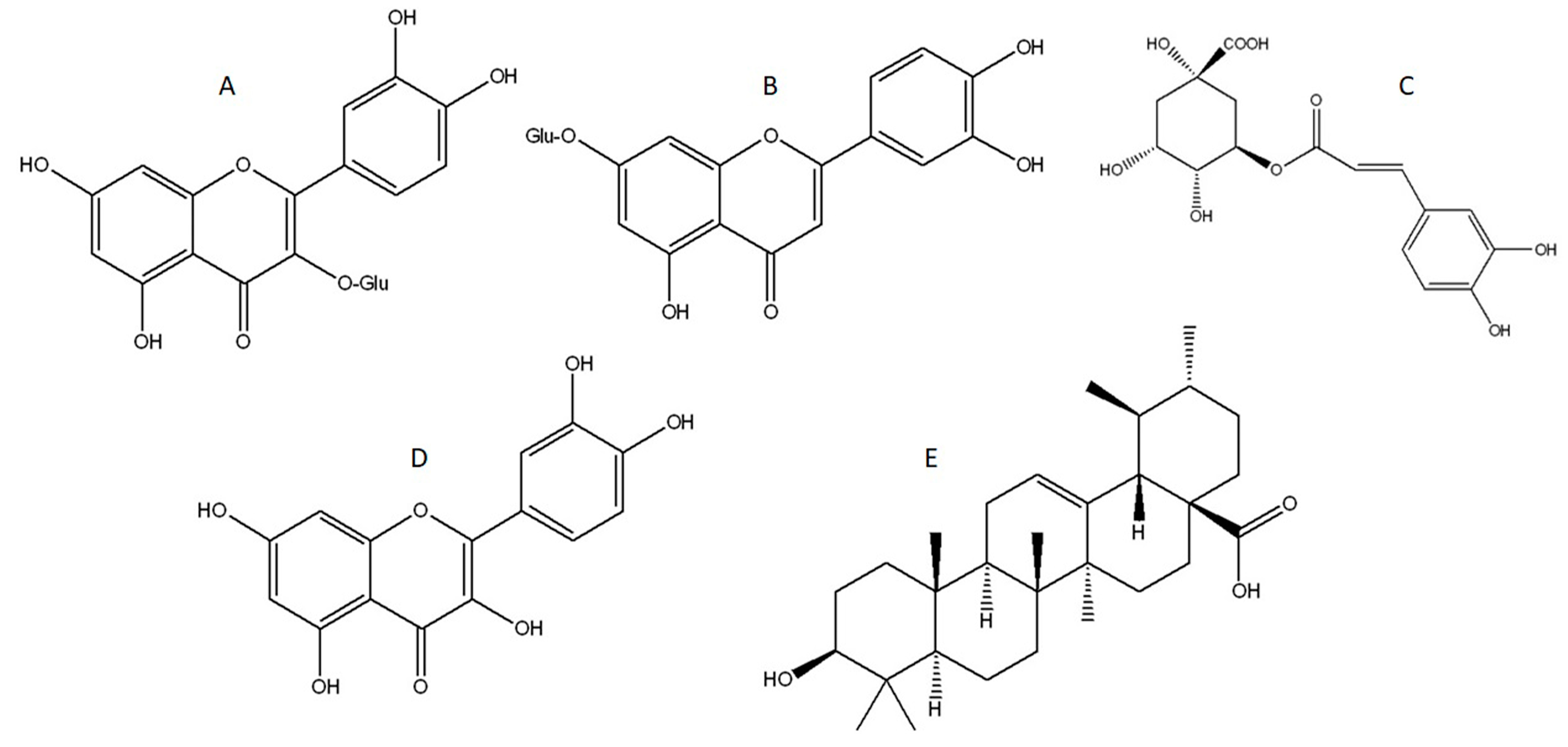
2.1. Preparation and Chemical Characterization of Extract
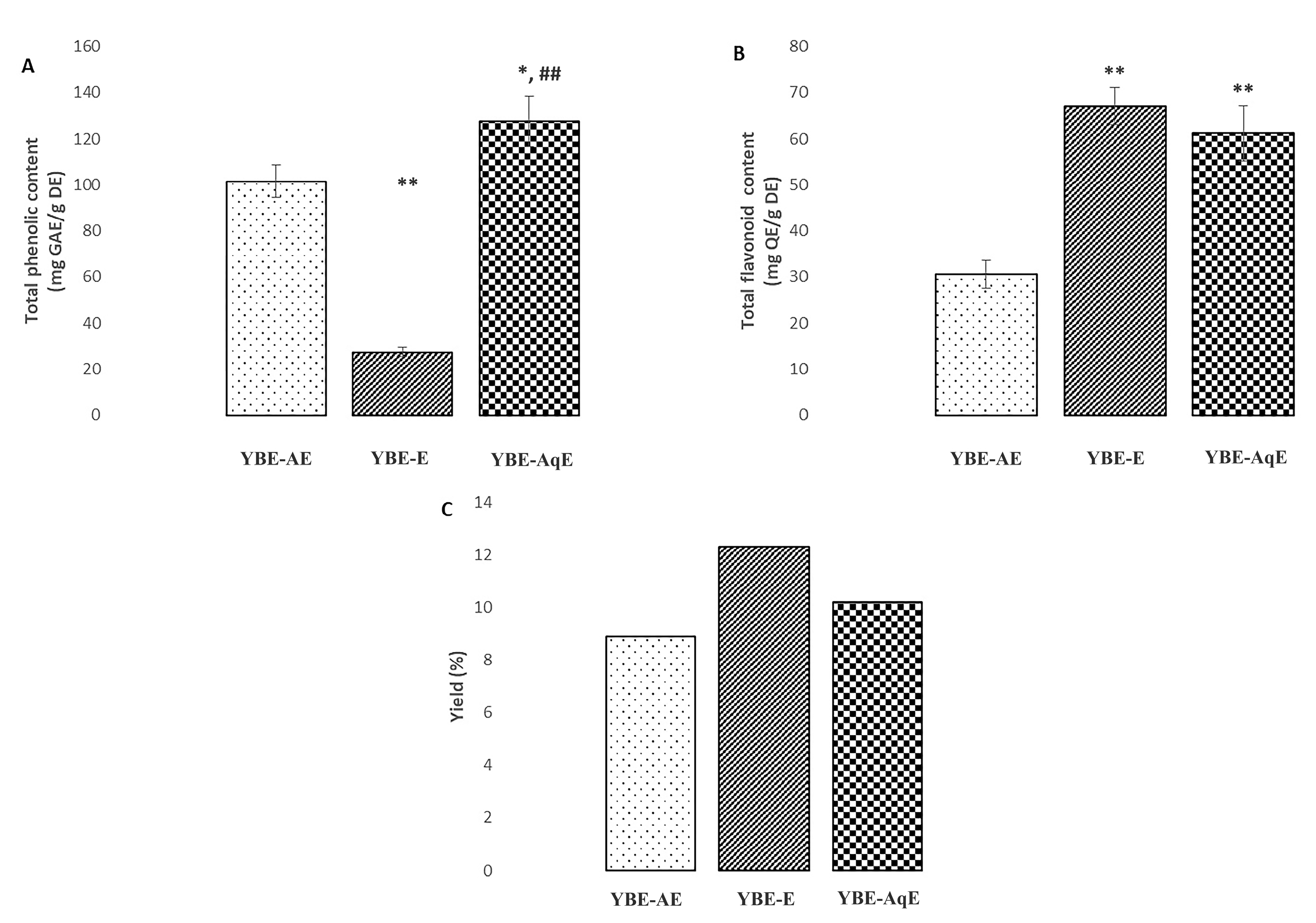
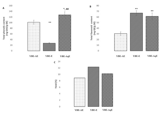
2.2. Polyphenol Content and Antioxidant Activity of Extracts
2.3. Physical Characterization, pH Value, and Microbiological Quality of Oral Liquid Formulation Based on YBE
2.4. Cardioprotective Effects of YBE-Based Oral Liquid in Rats
2.4.1. Effects of YBE-Based Oral Liquid on Blood Pressure and Heart Rate
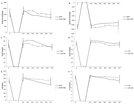
2.4.2. Effects of YBE-Based Oral Liquid Formulation on Heart Function
2.4.3. Effects of YBE Oral Liquid on Systemic Redox State
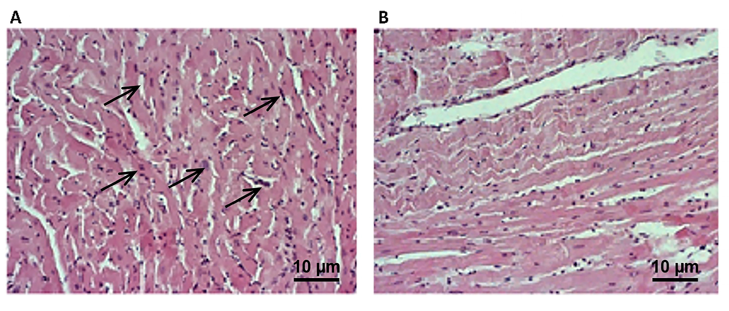
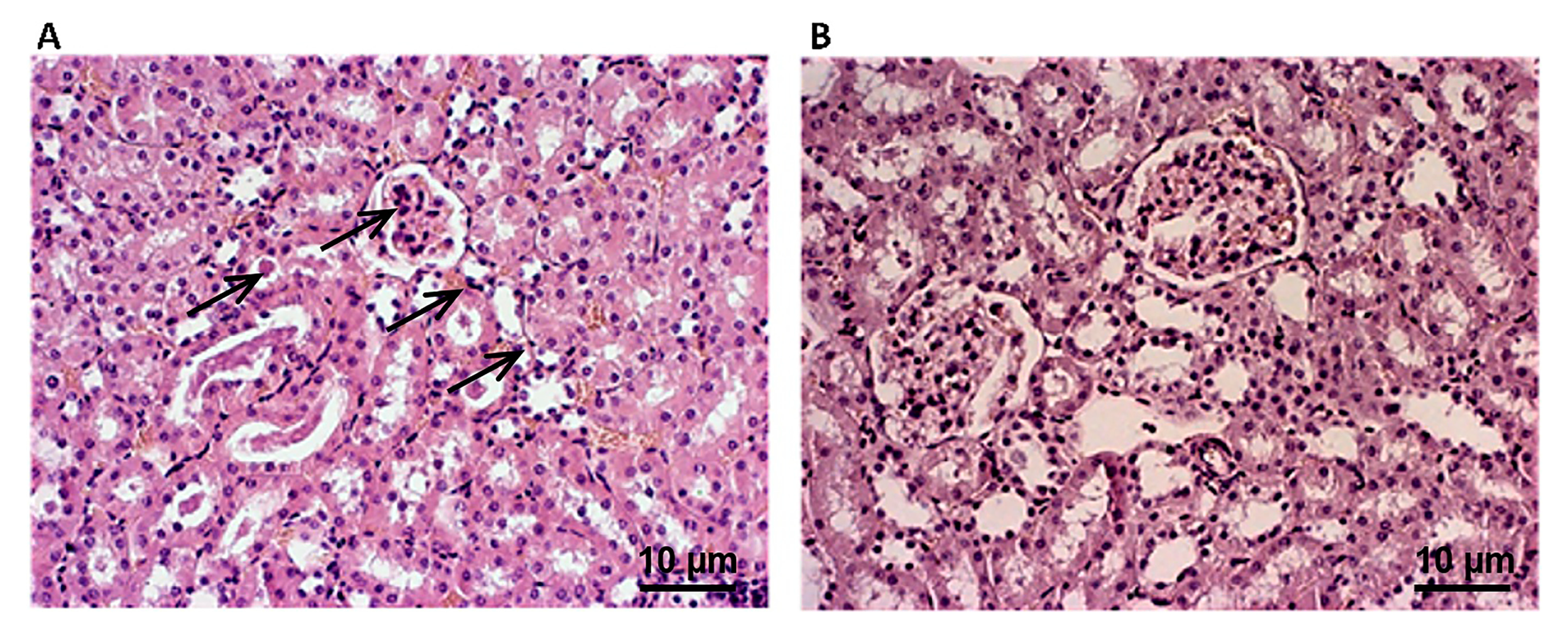
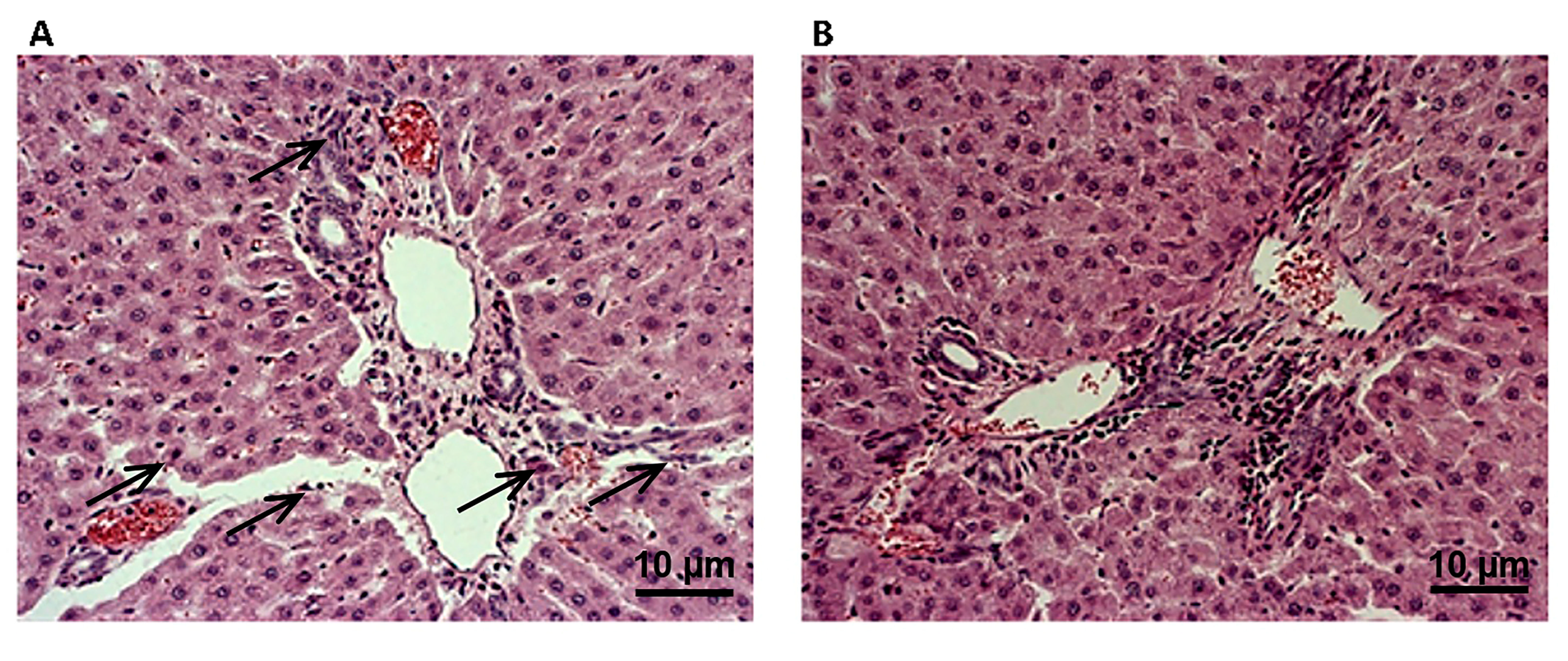
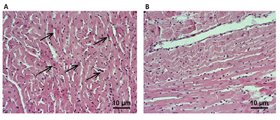
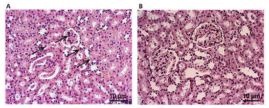
2.5. Effects of YBE Oral Liquid on Cardiac, Kidney and Liver Tissue
3. Discussion
4. Materials and Methods
4.1. Preparation of Extracts
4.2. Determination of the Total Phenolic (TPC) and Flavonoid (TFC) Contents
4.3. LC–DAD–MS/MS Analysis of Extracts
4.4. Evaluation of Antioxidant Activity of Extracts
4.5. Preparation of Oral Liquid Formulation Loaded with YBE
4.6. Characterization of Oral Formulation
4.6.1. Determination of Organoleptic Properties
4.6.2. Determination of the pH Values
4.6.3. Determination of Microbiological Quality
4.7. Animals
- SHR—spontaneously hypertensive rats that received the base for the oral liquid formulation without YBE (n = 10);
- SHR + YBE—spontaneously hypertensive rats that received the oral liquid formulation by oral gavage (n = 10) (the applied volume provides 50 mg/kg of dry YBE per day).
4.8. Assessment of the YBE Effect on Blood Pressure and Heart Rate
4.9. Assessment of the YBE Effect on Ex Vivo Rat Cardiac Function
4.10. Assessment of the YBE Effects on Systemic Redox State
4.11. Histological Analysis
- Loss of brush cover (tubule epithelium simplification);
- Loss of epithelial cells;
- Necrosis;
- Intraluminal cell debris;
- Intraluminal homogeneous cylinders.
4.12. Statistical Analysis
5. Conclusions
Author Contributions
Funding
Institutional Review Board Statement
Informed Consent Statement
Data Availability Statement
Acknowledgments
Conflicts of Interest
References
- Nwabuo, C.C.; Vasan, R.S. Pathophysiology of hypertensive heart disease: Beyond left ventricular hypertrophy. Curr. Hypertens. Rep. 2020, 22, 11. [Google Scholar] [CrossRef]
- Yang, R.; Zhang, X.; Bai, J.; Wang, L.; Wang, W.; Cai, J. Global, regional, and national burden of hypertensive heart disease among older adults in 204 countries and territories between 1990 and 2019: A trend analysis. Chin. Med. J. 2023, 136, 2421–2430. [Google Scholar] [CrossRef]
- Hypertension, World Health Organization (WHO). Available online: https://www.who.int/news-room/fact-sheets/detail/hypertension (accessed on 17 July 2024).
- Masenga, S.K.; Kirabo, A. Hypertensive heart disease: Risk factors, complications and mechanisms. Front. Cardiovasc. Med. 2023, 10, 1205475. [Google Scholar] [CrossRef] [PubMed]
- Russo, E.; Bussalino, E.; Macciò, L.; Verzola, D.; Saio, M.; Esposito, P.; Leoncini, G.; Pontremoli, R.; Viazzi, F. Non-Haemodynamic Mechanisms Underlying Hypertension-Associated Damage in Target Kidney Components. Int. J. Mol. Sci. 2023, 24, 9422. [Google Scholar] [CrossRef]
- Erdmann, J.; Kujaciński, M.; Wiciński, M. Beneficial Effects of Ursolic Acid and Its Derivatives-Focus on Potential Biochemical Mechanisms in Cardiovascular Conditions. Nutrients 2021, 13, 3900. [Google Scholar] [CrossRef] [PubMed]
- Demirezer, L.Ö.; Gürbüz, F.; Güvenalp, Z.; Ströch, K.; Zeeck, A. Iridoids, flavonoids and monoterpene glycosides from Galium verum subsp. Verum. Turk. J. Chem. 2006, 30, 525–534. [Google Scholar]
- Lakić, N.S.; Mimica-Dukić, N.M.; Isak, J.M.; Božin, B.N. Antioxidant properties of Galium verum L. (Rubiaceae) extracts. Cent. Eur. J. Biol. 2010, 5, 331–337. [Google Scholar] [CrossRef]
- Turcov, D.; Barna, A.S.; Trifan, A.; Blaga, A.C.; Tanasă, A.M.; Suteu, D. Antioxidants from Galium verum as Ingredients for the Design of New Dermatocosmetic Products. Plants 2022, 11, 2454. [Google Scholar] [CrossRef]
- Xiong, G.Z.; Ye, K.H.; Huang, J.L.; Ye, C.L. Effects of extracts of ginkgo biloba leaves on apelin concentration and expressions in plasma and myocardium of rats with myocardial ischemia injury. J. Chin. Med. Assoc. 2009, 32, 1238–1241. [Google Scholar]
- Islam, M.; Cho, D.; Lee, Y. Bioactive compounds and antioxidant capacity of tea infusion prepared from whole and ground medicinal herb parts. CyTA—J. Food 2020, 18, 116–121. [Google Scholar] [CrossRef]
- Munteanu, I.G.; Apetrei, C. Analytical Methods Used in Determining Antioxidant Activity: A Review. Int. J. Mol. Sci. 2021, 22, 3380. [Google Scholar] [CrossRef] [PubMed]
- Rankovic, M.; Krivokapic, M.; Bradic, J.; Petkovic, A.; Zivkovic, V.; Sretenovic, J.; Jeremic, N.; Bolevich, S.; Kartashova, M.; Jeremic, J. New Insight Into the Cardioprotective Effects of Allium ursinum L. Extract against Myocardial Ischemia-Reperfusion Injury. Front. Physiol. 2021, 12, 690696. [Google Scholar] [CrossRef] [PubMed]
- Al-Snafi, A.E. Galium verum—A review. Indo Am. J. Pharm. Sci. 2018, 5, 2142–2149. [Google Scholar]
- Mocan, A.; Diuzheva, A.; Bădărău, S.; Moldovan, C.; Andruch, V.; Carradori, S.; Campestre, C.; Tartaglia, A.; De Simone, M.; Vodnar, D.; et al. Liquid Phase and Microwave-Assisted Extractions for Multicomponent Phenolic Pattern Determination of Five Romanian Galium Species Coupled with Bioassays. Molecules 2019, 24, 1226. [Google Scholar] [CrossRef] [PubMed]
- Laanet, P.R.; Saar-Reismaa, P.; Jõul, P.; Bragina, O.; Vaher, M. Phytochemical Screening and Antioxidant Activity of Selected Estonian Galium Species. Molecules 2023, 28, 2867. [Google Scholar] [CrossRef] [PubMed]
- Savira, A.D.R.; Amin, M.N.G.; Alamsjah, M.A. The effect of different type of solvents on the antioxidant activity of fucoxanthin extract from brown seaweed Sargassum duplicatum. IOP Conf. Ser. Earth Environ. Sci. (EES) 2021, 718, 012010. [Google Scholar] [CrossRef]
- Mohyelden, A.O.; Ghada, I.M.; Shaimaa, S.S. Correlation between Total Phenols Content, Antioxidant Power and Cytotoxicity. Biointerface Res. Appl. Chem. 2021, 11, 10640–10653. [Google Scholar]
- Semenescu, A.D.; Moacă, E.A.; Iftode, A.; Dehelean, C.A.; Tchiakpe-Antal, D.S.; Vlase, L.; Vlase, A.M.; Muntean, D.; Chioibaş, R. Phytochemical and Nutraceutical Screening of Ethanol and Ethyl Acetate Phases of Romanian Galium verum Herba (Rubiaceae). Molecules 2023, 28, 7804. [Google Scholar] [CrossRef] [PubMed]
- Vlase, L.; Mocan, A.; Hanganu, D.; Benedec, D.; Gheldiu, A.; Crișan, G. Comparative study of polyphenolic content, antioxidant and antimicrobial activity of four Galium species (Rubiaceae). Dig. J. Nanomater. Biostruct 2014, 9, 1085–1094. [Google Scholar]
- Antoniak, K.; Studzińska-Sroka, E.; Szymański, M.; Dudek-Makuch, M.; Cielecka-Piontek, J.; Korybalska, K. Antiangiogenic, Anti-Inflammatory and Antioxidant Properties of Bidens tripartite Herb, Galium verum Herb and Rumex hydrolapathum Root. Molecules 2023, 28, 4966. [Google Scholar] [CrossRef]
- Aulton, M.E.; Taylor, K.M. Aulton’s Pharmaceutics—The Design and Manufacture of Medicine, 5th ed.; Churchill Livingstone Elsevier: Edinburgh, UK, 2013. [Google Scholar]
- Li, D.; Ren, D.; Luo, Y.; Yang, X. Protective Effects of Ursolic Acid against Hepatotoxicity and Endothelial Dysfunction in Mice with Chronic High Choline Diet Consumption. Chem. Biol. Interact. 2016, 258, 102–107. [Google Scholar] [CrossRef]
- Agunloye, O.M.; Oboh, G.; Ademiluyi, A.O.; Ademosun, A.O.; Akindahunsi, A.A.; Oyagbemi, A.A.; Omobowale, T.O.; Ajibade, T.O.; Adedapo, A.A. Cardio-protective and antioxidant properties of caffeic acid and chlorogenic acid: Mechanistic role of angiotensin converting enzyme, cholinesterase and arginase activities in cyclosporine induced hypertensive rats. Biomed. Pharmacother. 2019, 109, 450–458. [Google Scholar] [CrossRef]
- Behl, T.; Bungau, S.; Kumar, K.; Zengin, G.; Khan, F.; Kumar, A.; Kaur, R.; Venkatachalam, T.; Tit, D.M.; Vesa, C.M.; et al. Pleotropic Effects of Polyphenols in Cardiovascular System. Biomed. Pharmacother. 2020, 130, 110714. [Google Scholar] [CrossRef] [PubMed]
- Kanno, Y.; Watanabe, R.; Zempo, H.; Ogawa, M.; Suzuki, J.; Isobe, M. Chlorogenic acid attenuates ventricular remodeling after myocardial infarction in mice. Int. Heart J. 2013, 54, 176–180. [Google Scholar] [CrossRef]
- Jung, H.J.; Im, S.S.; Song, D.K.; Bae, J.H. Effects of chlorogenic acid on intracellular calcium regulation in lysophosphatidylcholine-treated endothelial cells. BMB Rep. 2017, 50, 323–328. [Google Scholar] [CrossRef]
- Ozyürek, M.; Bektaşoğlu, B.; Güçlü, K.; Apak, R. Measurement of xanthine oxidase inhibition activity of phenolics and flavonoids with a modified cupric reducing antioxidant capacity (CUPRAC) method. Anal. Chim. Acta 2009, 636, 42–50. [Google Scholar] [CrossRef] [PubMed]
- Milevic, A.; Simic, M.; Tomovic, M.; Rankovic, M.; Jakovljevic, V.; Bradic, J. The effects of methanol extract of Galium verum L. on cardiac redox state in hypertensive rats. Braz. J. Pharm. Sci. 2022, 58, e191062. [Google Scholar] [CrossRef]
- Kumar, M.; Kasala, E.R.; Bodduluru, L.N.; Kumar, V.; Lahkar, M. Molecular and biochemical evidence on the protective effects of quercetin in isoproterenol-induced acute myocardial injury in rats. J. Biochem. Mol. Toxicol. 2017, 31, 1–8. [Google Scholar] [CrossRef]
- Zhang, Y.M.; Zhang, Z.Y.; Wang, R.X. Protective Mechanisms of Quercetin against Myocardial Ischemia Reperfusion Injury. Front. Physiol. 2020, 11, 956. [Google Scholar] [CrossRef]
- Mattera, R.; Benvenuto, M.; Giganti, M.G.; Tresoldi, I.; Pluchinotta, F.R.; Bergante, S.; Tettamanti, G.; Masuelli, L.; Manzari, V.; Modesti, A.; et al. Effects of Polyphenols on Oxidative Stress-Mediated Injury in Cardiomyocytes. Nutrients 2017, 9, 523. [Google Scholar] [CrossRef]
- Liobikas, J.; Majiene, D.; Trumbeckaite, S.; Kursvietiene, L.; Masteikova, R.; Kopustinskiene, D.M.; Savickas, A.; Bernatoniene, J. Uncoupling and antioxidant effects of ursolic acid in isolated rat heart mitochondria. J. Nat. Prod. 2011, 74, 1640–1644. [Google Scholar] [CrossRef] [PubMed]
- Amponsah-Offeh, M.; Diaba-Nuhoho, P.; Speier, S.; Morawietz, H. Oxidative Stress, Antioxidants and Hypertension. Antioxidants 2023, 12, 281. [Google Scholar] [CrossRef] [PubMed]
- Deniz, G.Y.; Laloglu, E.; Altun, S.; Yiğit, N.; Gezer, A. Antioxidant and anti-apoptotic effects of vitexilactone on cisplatin-induced nephrotoxicity in rats. Biotech. Histochem. 2020, 95, 381–388. [Google Scholar] [CrossRef] [PubMed]
- Hijazi, A.; Al Masri, D.S.; Farhan, H.; Nasser, M.; Rammal, H.; Annan, H. Effect of different ethanol concentrations, using different extraction techniques, on the antioxidant capacity of Lebanese Eryngium creticum. J. Pharm. Chem. Biol. 2015, 3, 262–271. [Google Scholar]
- Brighente, I.M.C.; Dias, M.; Verdi, L.G.; Pizzolatti, M.G. Antioxidant activity and total phenolic content of some Brazilian species. Pharm. Biol. 2007, 45, 156–161. [Google Scholar] [CrossRef]
- Orčić, Z.D.; Francišković, M.M.; Bekvalac, K.; Svirčev, E.; Beara, I.; Lesjak, M.; Mimica-Dukić, М.N. Quantitative determination of plant phenolics in Urtica dioica extracts by high-рerformance liquid chromatography coupled with tandem mass spectrometric detection. Food Chem. 2014, 143, 48–53. [Google Scholar] [CrossRef] [PubMed]
- Beara, I.N.; Lesjak, M.M.; Jovin, E.D.; Balog, K.J.; Anackov, G.T.; Orcić, D.Z.; Mimica-Dukić, N.M. Plantain (Plantago L.) species as novel sources of flavonoid antioxidants. J. Agric. Food Chem. 2009, 57, 9268–9273. [Google Scholar] [CrossRef]
- Orčić, D.Z.; Mimica-Dukić, N.M.; Francišković, M.M.; Petrović, S.S.; Jovin, E.D. Antioxidant activity relationship of phenolic compounds in Hypericum perforatum L. Chem. Cent. J. 2011, 5, 34–41. [Google Scholar] [CrossRef] [PubMed]
- Sakiroff, L.M.; Chennell, P.; Yessaad, M.; Pereira, B.; Bouattour, Y.; Sautou, V. Evaluation of color changes during stability studies using spectrophotometric chromaticity measurements versus visual examination. Sci. Rep. 2022, 12, 8959. [Google Scholar] [CrossRef]
- Boscolo, O.; Perra, F.; Salvo, L.; Buontempo, F.; Lucangioli, S. Formulation and Stability Study of Omeprazole Oral Liquid Suspension for Pediatric Patients. Hosp. Pharm. 2020, 55, 314–322. [Google Scholar] [CrossRef]
- Jakovljevic, V.; Milic, P.; Bradic, J.; Jeremic, J.; Zivkovic, V.; Srejovic, I.; Nikolic Turnic, T.; Milosavljevic, I.; Jeremic, N.; Bolevich, S.; et al. Standardized Aronia melanocarpa Extract as Novel Supplement against Metabolic Syndrome: A Rat Model. Int. J. Mol. Sci. 2018, 20, 6. [Google Scholar] [CrossRef] [PubMed]
- Molitoris, B.A.; Dagher, P.C.; Sandoval, R.M.; Campos, S.B.; Ashush, H.; Fridman, E.; Brafman, A.; Faerman, A.; Atkinson, S.J.; Thompson, J.D.; et al. siRNA targeted to p53 attenuates ischemic and cisplatin-induced acute kidney injury. J. Am. Soc. Nephrol. 2009, 20, 1754–1764. [Google Scholar] [CrossRef] [PubMed]










| Name of Compound | YBE-AE | YBE-E | YBE-AqE | Retention Time [tR] |
|---|---|---|---|---|
| Ursolic acid | 5376 ± 35 | 8900 ± 58 | 30.3 ± 0.2 | 9.5 |
| Chlorogenic acid | 20,368 ± 1018 | 15,561 ± 778 | 27,420 ± 1371 | 0.8 |
| Isoquercetin | 6900 ± 207 | 6873 ± 206 | 290 ± 8.7 | 2.25 |
| Cynaroside | 6918 ± 207 | 9612 ± 288 | 5032 ± 151 | 2.13 |
| Quercetin | 145.6 ± 43.7 | 179.1 ± 53.7 | 12.2 ± 3.7 | 3.74 |
| p-Coumaric acid | 44.9 ± 4.0 | 54.3 ± 4.9 | 137.6 ± 12.4 | 1.69 |
| Astragalin | 72.4 ± 2.9 | 93.8 ± 3.8 | 63.7 ± 2.5 | 2.8 |
| Caffeic acid | 24.2± 1.7 | 19.6 ± 1.4 | 22.6 ± 1.6 | 1.18 |
| Ferulic acid | 15.8 ± 1.6 | 17.3 ± 1.7 | 38.8 ± 3.9 | 1.9 |
| Luteolin | 19.7 ± 1.0 | 33.9 ± 1.7 | 10.0 ± 0.5 | 4.03 |
| Isorhamnetin | 38.5 ± 2.3 | 60.2 ± 3.6 | 2.2 ± 0.1 | 4.79 |
| Apigetrin | 22.5 ± 1.1 | 45.8 ± 2.3 | 15.5 ± 0.8 | 2.81 |
| Vanillic acid | 15.9 ± 4.8 | 14.7 ± 4.4 | 14.5 ± 4.4 | 1.24 |
| p-Hydroxybenzoic acid | 10.6 ± 0.6 | 8.0 ± 0.5 | 26.7 ± 1.6 | 1.08 |
| Kaempferol | 9.4 ± 0.6 | 7.3 ± 0.5 | 0.5 ± 0.04 | 4.55 |
| Hesperetin | 12.9 | 14.4 | 1.0 | 4.44 |
| Protocatechuic acid | 1.9 ± 0.2 | 1.8 ± 0.1 | 3.1 ± 0.2 | 0.79 |
| Rhamnetin | <5.28 | <4.89 | <4.89 | 5.84 |
| Diosmetin | 6.1 | 12.4 | 2.9 | 5.02 |
| Rosmarinic acid | 1.9 | 0.3 | 1.4 | 2.43 |
| Alizarin | <2.6 | <2.44 | <2.44 | 5.95 |
| Epicatechin | <0.65 | <0.61 | <0.61 | 0.95 |
| Glycyrrhizin | <0.16 | <0.16 | <0.16 | 7.41 |
| Hyperoside | <0.32 | <0.31 | <0.31 | 2.16 |
| Catechin | <0.65 | <0.61 | <0.61 | 0.74 |
| Myricetin | <20.85 | <19.55 | <19.55 | 2.67 |
| Parameter | SHR | SHR + YBE |
|---|---|---|
| SBP | 185.2 ± 5.6 | 155.3 ± 7.8 ** |
| DBP | 105.1 ± 11.1 | 85.5 ± 5.1 * |
| HR | 420.2 ± 25.3 | 390.7 ± 17.9 |
| Formulation | Components | Quantity (g) |
|---|---|---|
| YBE oral Liquid Formulation | YBE | 3.1 |
| Xanthan gum | 0.3 | |
| Mogroside | 0.2 | |
| Purified water | ad 100 |
| Degree of Changes | Myocardial Tissue Damage | Percentage of Tubular Damage |
|---|---|---|
| Grade 0 | Regular histomorphology, discrete degenerative changes | <10% |
| Grade I | Focal and unicellular necrosis limited to the subendocardial band, discrete degenerative changes | 10–25% |
| Grade II | Focal, spotty necrosis | 26–50% |
| Grade III | Larger fields of necrosis | 51–75% |
| Grade IV | Extensive fields of confluent necrosis | >75% |
Disclaimer/Publisher’s Note: The statements, opinions and data contained in all publications are solely those of the individual author(s) and contributor(s) and not of MDPI and/or the editor(s). MDPI and/or the editor(s) disclaim responsibility for any injury to people or property resulting from any ideas, methods, instructions or products referred to in the content. |
© 2024 by the authors. Licensee MDPI, Basel, Switzerland. This article is an open access article distributed under the terms and conditions of the Creative Commons Attribution (CC BY) license (https://creativecommons.org/licenses/by/4.0/).
Share and Cite
Bradic, J.; Petrovic, A.; Kocovic, A.; Mitrovic, S.; Jakovljevic, V.; Lazarevic, N.; Bolevich, S.; Simanic, I. Hypotensive and Cardioprotective Potential of Yellow Bedstraw Extract-Based Oral Liquid in Spontaneously Hypertensive Rats. Int. J. Mol. Sci. 2024, 25, 8346. https://doi.org/10.3390/ijms25158346
Bradic J, Petrovic A, Kocovic A, Mitrovic S, Jakovljevic V, Lazarevic N, Bolevich S, Simanic I. Hypotensive and Cardioprotective Potential of Yellow Bedstraw Extract-Based Oral Liquid in Spontaneously Hypertensive Rats. International Journal of Molecular Sciences. 2024; 25(15):8346. https://doi.org/10.3390/ijms25158346
Chicago/Turabian StyleBradic, Jovana, Anica Petrovic, Aleksandar Kocovic, Slobodanka Mitrovic, Vladimir Jakovljevic, Nevena Lazarevic, Sergey Bolevich, and Igor Simanic. 2024. "Hypotensive and Cardioprotective Potential of Yellow Bedstraw Extract-Based Oral Liquid in Spontaneously Hypertensive Rats" International Journal of Molecular Sciences 25, no. 15: 8346. https://doi.org/10.3390/ijms25158346
APA StyleBradic, J., Petrovic, A., Kocovic, A., Mitrovic, S., Jakovljevic, V., Lazarevic, N., Bolevich, S., & Simanic, I. (2024). Hypotensive and Cardioprotective Potential of Yellow Bedstraw Extract-Based Oral Liquid in Spontaneously Hypertensive Rats. International Journal of Molecular Sciences, 25(15), 8346. https://doi.org/10.3390/ijms25158346

