Gastric Carcinogenesis and Potential Role of the Transient Receptor Potential Vanilloid 1 (TRPV1) Receptor: An Observational Histopathological Study
Abstract
1. Introduction
2. Results
2.1. Study Population and Samples
2.2. TRPV1 Expression Is Lost in Gastric Adenocarcinoma
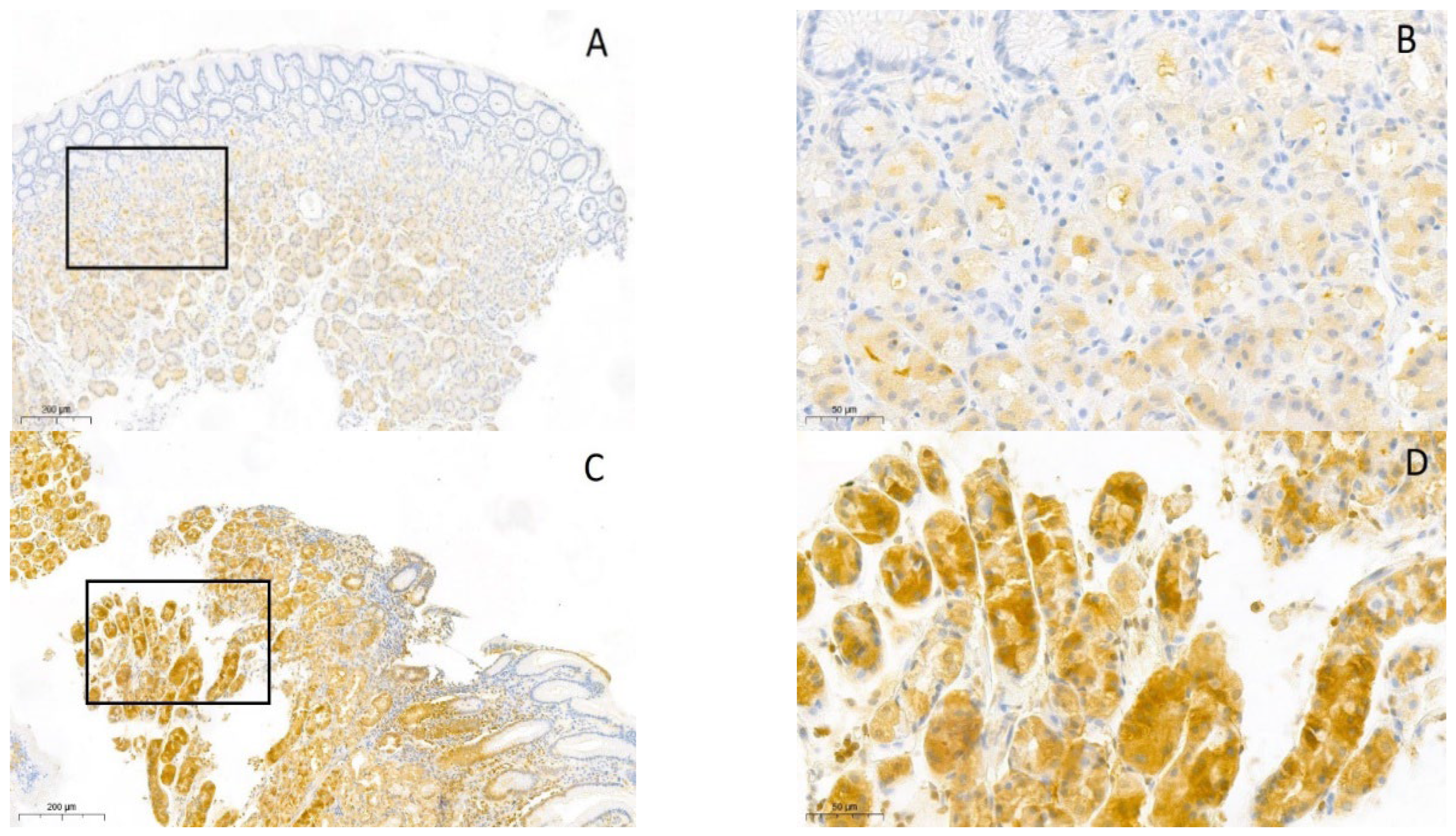
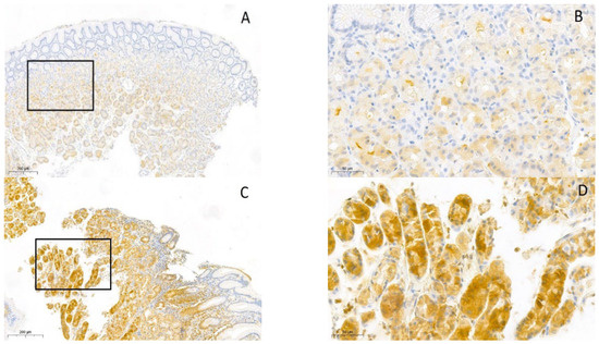
2.3. TRPV1 Expression Significantly Higher in GIM Compared with No GIM or Controls
2.4. Significant Differences TRPV1 Expression within All Groups according to Cell Type
3. Discussion
4. Materials and Methods
4.1. Study Design and Patient Selection
4.2. Ethical Statement and Tissue Sampling
4.3. TRPV1 Immunohistochemical Staining
4.4. Quantification of TRPV1 Expression
- Intensity scale (A) X proportion of positive staining (B).
- Scores were subsequently grouped to form the IRS (scale 1–12).
4.5. Data and Statistical Analysis
Author Contributions
Funding
Institutional Review Board Statement
Informed Consent Statement
Data Availability Statement
Acknowledgments
Conflicts of Interest
Abbreviations
| GC | gastric cancer |
| CAG | chronic atrophic gastritis |
| GIM | gastric intestinal metaplasia |
| H. pylori | Helicobacter pylori |
| TRPV1 | transient receptor potential Vanilloid 1 |
| TRP | transient receptor potential |
| GI | gastrointestinal |
| TRPM | transient receptor potential Melastin |
| TRPC | transient receptor potential Canonical |
| MUMC+ | Maastricht University Medical Center+ |
| IRS | immunoreactive score |
References
- Deng, R.; Yu, S.; Ruan, X.; Liu, H.; Zong, G.; Cheng, P.; Tao, R.; Chen, W.; Wang, A.; Zhao, Y.; et al. Capsaicin orchestrates metastasis in gastric cancer via modulating expression of TRPV1 channels and driving gut microbiota disorder. Cell Commun. Signal. 2023, 21, 364. [Google Scholar] [CrossRef] [PubMed]
- Kostelecka, K.; Bryliński, Ł.; Komar, O.; Michalczyk, J.; Miłosz, A.; Biłogras, J.; Woliński, F.; Forma, A.; Baj, J. An Overview of the Spices Used for the Prevention and Potential Treatment of Gastric Cancer. Cancers 2024, 16, 1611. [Google Scholar] [CrossRef]
- Chen, C.; Zhang, M.; Zheng, X.; Lang, H. Association between chili pepper consumption and risk of gastrointestinal-tract cancers: A meta-analysis. Front. Nutr. 2022, 9, 935865. [Google Scholar] [CrossRef]
- Gao, N.; Yang, F.; Chen, S.; Wan, H.; Zhao, X.; Dong, H. The role of TRPV1 ion channels in the suppression of gastric cancer development. J. Exp. Clin. Cancer Res. 2020, 39, 206. [Google Scholar] [CrossRef]
- Sung, H.; Ferlay, J.; Siegel, R.L.; Laversanne, M.; Soerjomataram, I.; Jemal, A.; Bray, F. Global Cancer Statistics 2020: GLOBOCAN Estimates of Incidence and Mortality Worldwide for 36 Cancers in 185 Countries. CA Cancer J. Clin. 2021, 71, 209–249. [Google Scholar] [CrossRef] [PubMed]
- Agréus, L.; Kuipers, E.J.; Kupcinskas, L.; Malfertheiner, P.; Di Mario, F.; Leja, M.; Mahachai, V.; Yaron, N.; van Oijen, M.; Perez Perez, G.; et al. Rationale in diagnosis and screening of atrophic gastritis with stomach-specific plasma biomarkers. Scand. J. Gastroenterol. 2012, 47, 136–147. [Google Scholar] [CrossRef]
- Bacha, D.; Walha, M.; Ben Slama, S.; Ben Romdhane, H.; Bouraoui, S.; Bellil, K.; Lahmar, A. Chronic gastritis classifications. Tunis. Med. 2018, 96, 405–410. [Google Scholar]
- Aziz, F.; Xin, M.; Gao, Y.; Chakroborty, A.; Khan, I.; Monts, J.; Monson, K.; Bode, A.M.; Dong, Z. Induction and Prevention of Gastric Cancer with Combined Helicobacter pylori and Capsaicin Administration and DFMO Treatment, Respectively. Cancers 2020, 12, 816. [Google Scholar] [CrossRef] [PubMed]
- López-Carrillo, L.; Camargo, M.C.; Schneider, B.G.; Sicinschi, L.A.; Hernández-Ramírez, R.U.; Correa, P.; Cebrian, M.E. Capsaicin consumption, Helicobacter pylori CagA status and IL1B-31C>T genotypes: A host and environment interaction in gastric cancer. Food Chem. Toxicol. 2012, 50, 2118–2122. [Google Scholar] [CrossRef]
- Du, Y.; Lv, Y.; Zha, W.; Hong, X.; Luo, Q. Chili Consumption and Risk of Gastric Cancer: A Meta-Analysis. Nutr. Cancer 2021, 73, 45–54. [Google Scholar] [CrossRef]
- Szallasi, A. Capsaicin and cancer: Guilty as charged or innocent until proven guilty? Temperature 2023, 10, 35–49. [Google Scholar] [CrossRef] [PubMed]
- Lee, S.Y.; Masaoka, T.; Han, H.S.; Matsuzaki, J.; Hong, M.J.; Fukuhara, S.; Choi, H.S.; Suzuki, H. A prospective study on symptom generation according to spicy food intake and TRPV1 genotypes in functional dyspepsia patients. Neurogastroenterol. Motil. 2016, 28, 1401–1408. [Google Scholar] [CrossRef]
- Pabalan, N.; Jarjanazi, H.; Ozcelik, H. The impact of capsaicin intake on risk of developing gastric cancers: A meta-analysis. J. Gastrointest. Cancer 2014, 45, 334–341. [Google Scholar] [CrossRef] [PubMed]
- Trujillo Rivera, A.; Sampieri, C.L.; Morales Romero, J.; Montero, H.; Acosta Mesa, H.G.; Cruz Ramírez, N.; Novoa Del Toro, E.M.; León Córdoba, K. Risk factors associated with gastric cancer in Mexico: Education, breakfast and chili. Rev. Esp. Enferm. Dig. 2018, 110, 372–379. [Google Scholar] [CrossRef] [PubMed]
- Lee, I.O.; Lee, K.H.; Pyo, J.H.; Kim, J.H.; Choi, Y.J.; Lee, Y.C. Anti-inflammatory effect of capsaicin in Helicobacter pylori-infected gastric epithelial cells. Helicobacter 2007, 12, 510–517. [Google Scholar] [CrossRef] [PubMed]
- Park, J.-M.; Lee, H.-J.; Yoo, J.H.; Ko, W.J.; Cho, J.Y.; Hahm, K.B. Overview of gastrointestinal cancer prevention in Asia. Best Pract. Res. Clin. Gastroenterol. 2015, 29, 855–867. [Google Scholar] [CrossRef] [PubMed]
- Kuzma, M.; Fodor, K.; Almási, A.; Mózsik, G.; Past, T.; Perjési, P. Toxicokinetic Study of a Gastroprotective Dose of Capsaicin by HPLC-FLD Method. Molecules 2019, 24, 2848. [Google Scholar] [CrossRef] [PubMed]
- Ao, Z.; Huang, Z.; Liu, H. Spicy Food and Chili Peppers and Multiple Health Outcomes: Umbrella Review. Mol. Nutr. Food Res. 2022, 66, e2200167. [Google Scholar] [CrossRef]
- Holzer, P. TRP channels in the digestive system. Curr. Pharm. Biotechnol. 2011, 12, 24–34. [Google Scholar] [CrossRef]
- Venkatachalam, K.; Montell, C. TRP channels. Annu. Rev. Biochem. 2007, 76, 387–417. [Google Scholar] [CrossRef]
- Kaneko, Y.; Szallasi, A. Transient receptor potential (TRP) channels: A clinical perspective. Br. J. Pharmacol. 2014, 171, 2474–2507. [Google Scholar] [CrossRef] [PubMed]
- Xiang, Y.; Xu, X.; Zhang, T.; Wu, X.; Fan, D.; Hu, Y.; Ding, J.; Yang, X.; Lou, J.; Du, Q.; et al. Beneficial effects of dietary capsaicin in gastrointestinal health and disease. Exp. Cell Res. 2022, 417, 113227. [Google Scholar] [CrossRef]
- Ward, S.M.; Bayguinov, J.; Won, K.J.; Grundy, D.; Berthoud, H.R. Distribution of the vanilloid receptor (VR1) in the gastrointestinal tract. J. Comp. Neurol. 2003, 465, 121–135. [Google Scholar] [CrossRef] [PubMed]
- Csekő, K.; Beckers, B.; Keszthelyi, D.; Helyes, Z. Role of TRPV1 and TRPA1 Ion Channels in Inflammatory Bowel Diseases: Potential Therapeutic Targets? Pharmaceuticals 2019, 12, 48. [Google Scholar] [CrossRef]
- Kim, H.S.; Kwon, H.J.; Kim, G.E.; Cho, M.H.; Yoon, S.Y.; Davies, A.J.; Oh, S.B.; Lee, H.; Cho, Y.K.; Joo, C.H.; et al. Attenuation of natural killer cell functions by capsaicin through a direct and TRPV1-independent mechanism. Carcinogenesis 2014, 35, 1652–1660. [Google Scholar] [CrossRef] [PubMed]
- Ericson, A.; Nur, E.M.; Petersson, F.; Kechagias, S. The effects of capsaicin on gastrin secretion in isolated human antral glands: Before and after ingestion of red chilli. Dig. Dis. Sci. 2009, 54, 491–498. [Google Scholar] [CrossRef] [PubMed]
- Dömötör, A.; Kereskay, L.; Szekeres, G.; Hunyady, B.; Szolcsányi, J.; Mózsik, G. Participation of Capsaicin-Sensitive Afferent Nerves in the Gastric Mucosa of Patients with Helicobacter pylori-Positive or-Negative Chronic Gastritis. Dig. Dis. Sci. 2007, 52, 411–417. [Google Scholar] [CrossRef] [PubMed]
- Basith, S.; Cui, M.; Hong, S.; Choi, S. Harnessing the Therapeutic Potential of Capsaicin and Its Analogues in Pain and Other Diseases. Molecules 2016, 21, 966. [Google Scholar] [CrossRef] [PubMed]
- Jiang, X.; Wang, C.; Ke, Z.; Duo, L.; Wu, T.; Wang, W.; Yang, Y.; Dai, Y. The ion channel TRPV1 gain-of-function reprograms the immune microenvironment to facilitate colorectal tumorigenesis. Cancer Lett. 2022, 527, 95–106. [Google Scholar] [CrossRef]
- Santoni, G.; Farfariello, V. TRP channels and cancer: New targets for diagnosis and chemotherapy. Endocr. Metab. Immune Disord. Drug Targets 2011, 11, 54–67. [Google Scholar] [CrossRef]
- Rooke, R. Can calcium signaling be harnessed for cancer immunotherapy? Biochim. Biophys. Acta 2014, 1843, 2334–2340. [Google Scholar] [CrossRef] [PubMed]
- Lo, Y.C.; Yang, Y.C.; Wu, I.C.; Kuo, F.C.; Liu, C.M.; Wang, H.W.; Kuo, C.H.; Wu, J.Y.; Wu, D.C. Capsaicin-induced cell death in a human gastric adenocarcinoma cell line. World J. Gastroenterol. 2005, 11, 6254–6257. [Google Scholar] [CrossRef] [PubMed]
- de Jong, P.R.; Takahashi, N.; Harris, A.R.; Lee, J.; Bertin, S.; Jeffries, J.; Jung, M.; Duong, J.; Triano, A.I.; Lee, J.; et al. Ion channel TRPV1-dependent activation of PTP1B suppresses EGFR-associated intestinal tumorigenesis. J. Clin. Investig. 2014, 124, 3793–3806. [Google Scholar] [CrossRef] [PubMed]
- Kato, S.; Aihara, E.; Nakamura, A.; Xin, H.; Matsui, H.; Kohama, K.; Takeuchi, K. Expression of vanilloid receptors in rat gastric epithelial cells: Role in cellular protection. Biochem. Pharmacol. 2003, 66, 1115–1121. [Google Scholar] [CrossRef] [PubMed]
- Csekő, K.; Pécsi, D.; Kajtár, B.; Hegedűs, I.; Bollenbach, A.; Tsikas, D.; Szabó, I.L.; Szabó, S.; Helyes, Z. Upregulation of the TRPA1 Ion Channel in the Gastric Mucosa after Iodoacetamide-Induced Gastritis in Rats: A Potential New Therapeutic Target. Int. J. Mol. Sci. 2020, 21, 5591. [Google Scholar] [CrossRef] [PubMed]
- Bertin, S.; Aoki-Nonaka, Y.; Lee, J.; Jong, P.R.d.; Kim, P.; Han, T.; Yu, T.; To, K.; Takahashi, N.; Boland, B.S.; et al. The TRPA1 ion channel is expressed in CD4+ T cells and restrains T-cell-mediated colitis through inhibition of TRPV1. Gut 2017, 66, 1584–1596. [Google Scholar] [CrossRef] [PubMed]
- Xiao, T.; Sun, M.; Kang, J.; Zhao, C. Transient Receptor Potential Vanilloid1 (TRPV1) Channel Opens Sesame of T Cell Responses and T Cell-Mediated Inflammatory Diseases. Front. Immunol. 2022, 13, 870952. [Google Scholar] [CrossRef] [PubMed]
- Toyoda, T.; Shi, L.; Takasu, S.; Cho, Y.M.; Kiriyama, Y.; Nishikawa, A.; Ogawa, K.; Tatematsu, M.; Tsukamoto, T. Anti-Inflammatory Effects of Capsaicin and Piperine on Helicobacter pylori-Induced Chronic Gastritis in Mongolian Gerbils. Helicobacter 2016, 21, 131–142. [Google Scholar] [CrossRef] [PubMed]
- Monteith, G.R.; Prevarskaya, N.; Roberts-Thomson, S.J. The calcium-cancer signalling nexus. Nat. Rev. Cancer 2017, 17, 367–380. [Google Scholar] [CrossRef]
- Ding, J.; Jin, Z.; Yang, X.; Lou, J.; Shan, W.; Hu, Y.; Du, Q.; Liao, Q.; Xu, J.; Xie, R. Plasma membrane Ca(2+)-permeable channels and sodium/calcium exchangers in tumorigenesis and tumor development of the upper gastrointestinal tract. Cancer Lett. 2020, 475, 14–21. [Google Scholar] [CrossRef]
- Xie, R.; Xu, J.; Xiao, Y.; Wu, J.; Wan, H.; Tang, B.; Liu, J.; Fan, Y.; Wang, S.; Wu, Y.; et al. Calcium Promotes Human Gastric Cancer via a Novel Coupling of Calcium-Sensing Receptor and TRPV4 Channel. Cancer Res. 2017, 77, 6499–6512. [Google Scholar] [CrossRef]
- Tang, B.; Wu, J.; Zhu, M.X.; Sun, X.; Liu, J.; Xie, R.; Dong, T.X.; Xiao, Y.; Carethers, J.M.; Yang, S.; et al. VPAC1 couples with TRPV4 channel to promote calcium-dependent gastric cancer progression via a novel autocrine mechanism. Oncogene 2019, 38, 3946–3961. [Google Scholar] [CrossRef] [PubMed]
- Almasi, S.; Sterea, A.M.; Fernando, W.; Clements, D.R.; Marcato, P.; Hoskin, D.W.; Gujar, S.; El Hiani, Y. TRPM2 ion channel promotes gastric cancer migration, invasion and tumor growth through the AKT signaling pathway. Sci. Rep. 2019, 9, 4182. [Google Scholar] [CrossRef] [PubMed]
- Xu, Q.; Kong, N.; Zhang, J.; Bai, N.; Bi, J.; Li, W. Expression of transient receptor potential cation channel subfamily M member 8 in gastric cancer and its clinical significance. Exp. Ther. Med. 2021, 21, 377. [Google Scholar] [CrossRef] [PubMed]
- Kun, J.; Helyes, Z.; Perkecz, A.; Bán, Á.; Polgár, B.; Szolcsányi, J.; Pintér, E. Effect of Surgical and Chemical Sensory Denervation on Non-neural Expression of the Transient Receptor Potential Vanilloid 1 (TRPV1) Receptors in the Rat. J. Mol. Neurosci. 2012, 48, 795–803. [Google Scholar] [CrossRef]
- Potolicchio, I.; Santambrogio, L.; Strominger, J.L. Molecular Interaction and Enzymatic Activity of Macrophage Migration Inhibitory Factor with Immunorelevant Peptides. J. Biol. Chem. 2003, 278, 30889–30895. [Google Scholar] [CrossRef]
- Fedchenko, N.; Reifenrath, J. Different approaches for interpretation and reporting of immunohistochemistry analysis results in the bone tissue—A review. Diagn. Pathol. 2014, 9, 221. [Google Scholar] [CrossRef]



| Characteristic | Controls (n = 5) | H. pylori with GIM (n = 12) | CAG with GIM (n = 13) | H. pylori, without GIM (n = 19) | Gastric Adeno- Carcinoma (n = 6) | |
|---|---|---|---|---|---|---|
| Age, median, years (±SD) | 49.60 (11.70) | 65.75 (10.49) | 57.85 (14.18) | 55.95 (19.25) | 78.33 (6.71) | |
| <60 years, n (%) | 3 (60.0) | 3 (25.0) | 7 (53.8) | 10 (52.6) | N.A. | |
| ≥60 years, n (%) | 2 (40.0) | 9 (75.0) | 6 (46.2) | 9 (47.4) | 6 (100) | |
| Gender | ||||||
| Male, n (%) | 1 (20.0) | 6 (50.0) | 3 (23.1) | 11 (48.9) | 3 (50.0) | |
| Female, n (%) | 4 (80.0) | 6 (50.0%) | 10 (76.9) | 8 (42.1) | 3 (50.0) | |
| Biopsy location stomach | ||||||
| Antrum only, n (%) | 3 (60.0) | 2 (16.7) | N.A. | N.A. | N.A. | |
| Antrum and body, n (%) | 2 (40.0) | 10 (83.3) | 13 (100) | 19 (100) | 5 (83.3) | |
| Other regions *, n (%) | N.A. | N.A. | N.A. | N.A. | 1 (16.7) | |
| Kruskal–Wallis Test * | p-Value ** | ||||||
|---|---|---|---|---|---|---|---|
| Controls (n = 5) | H. pylori with GIM (n = 12) | CAG with GIM n (n = 13) | H. pylori without GIM (n = 19) | Gastric adeno-carcinoma (n = 6) | |||
| TRPV1 expression in Median IRS (±SD) | |||||||
| Foveolar cells | N.A. | 6.00 (3.59) | 5.23 (2.62) | 3.26 (3.08) | N.A. | 31.10 | <0.001 |
| Parietal cells | 3.60 (0.54) | 10.25 (2.01) | 8.77 (1.79) | 6.58 (2.77) | N.A. | 34.07 | <0.001 |
| Chief cells | 5.60 (2.190 | 6.50 (2.81) | 6.00 (2.45) | 5.84 (2.14) | N.A. | 17.68 | 0.001 |
| Mean IRS, all cells | 3.07 (0.86) | 7.58 (1.23) | 6.67 (1.62) | 5.23 (1.88) | N.A. | 34.73 | <0.001 |
| p-Value intra-group comparison ** | 0.002 | 0.002 | 0.002 | 0.003 | N.A. | ||
| A (Intensity Scale) | B (Proportion of Positive Staining in %) | IRS Score * (Multiplication A × B) |
|---|---|---|
| 0 = no immunoreactivity | 0 = no stained area | 0–1 = negative |
| 1 = weak staining | 1 = <25% of stained area | 2–3 = slightly immunopositive |
| 2 = moderate staining | 2 = 25–49% stained area | 4–8 = moderate immunopositive |
| 3 = strong staining | 3 = 50–74% stained area | 9–12 = strongly immunopositive |
| 4 = >75% stained area |
Disclaimer/Publisher’s Note: The statements, opinions and data contained in all publications are solely those of the individual author(s) and contributor(s) and not of MDPI and/or the editor(s). MDPI and/or the editor(s) disclaim responsibility for any injury to people or property resulting from any ideas, methods, instructions or products referred to in the content. |
© 2024 by the authors. Licensee MDPI, Basel, Switzerland. This article is an open access article distributed under the terms and conditions of the Creative Commons Attribution (CC BY) license (https://creativecommons.org/licenses/by/4.0/).
Share and Cite
Groen, S.R.; Keszthelyi, D.; Szallasi, A.; van Veghel, J.A.; Alleleyn, A.M.E.; Csekő, K.; Helyes, Z.; Samarska, I.; Grabsch, H.I.; Masclee, A.A.M.; et al. Gastric Carcinogenesis and Potential Role of the Transient Receptor Potential Vanilloid 1 (TRPV1) Receptor: An Observational Histopathological Study. Int. J. Mol. Sci. 2024, 25, 8294. https://doi.org/10.3390/ijms25158294
Groen SR, Keszthelyi D, Szallasi A, van Veghel JA, Alleleyn AME, Csekő K, Helyes Z, Samarska I, Grabsch HI, Masclee AAM, et al. Gastric Carcinogenesis and Potential Role of the Transient Receptor Potential Vanilloid 1 (TRPV1) Receptor: An Observational Histopathological Study. International Journal of Molecular Sciences. 2024; 25(15):8294. https://doi.org/10.3390/ijms25158294
Chicago/Turabian StyleGroen, Sylvester R., Daniel Keszthelyi, Arpad Szallasi, Jara A. van Veghel, Annick M. E. Alleleyn, Kata Csekő, Zsuzsanna Helyes, Iryna Samarska, Heike I. Grabsch, Ad A. M. Masclee, and et al. 2024. "Gastric Carcinogenesis and Potential Role of the Transient Receptor Potential Vanilloid 1 (TRPV1) Receptor: An Observational Histopathological Study" International Journal of Molecular Sciences 25, no. 15: 8294. https://doi.org/10.3390/ijms25158294
APA StyleGroen, S. R., Keszthelyi, D., Szallasi, A., van Veghel, J. A., Alleleyn, A. M. E., Csekő, K., Helyes, Z., Samarska, I., Grabsch, H. I., Masclee, A. A. M., & Weerts, Z. Z. R. M. (2024). Gastric Carcinogenesis and Potential Role of the Transient Receptor Potential Vanilloid 1 (TRPV1) Receptor: An Observational Histopathological Study. International Journal of Molecular Sciences, 25(15), 8294. https://doi.org/10.3390/ijms25158294

