Acute Erythroid Leukemia Post-Chemo-Radiotherapy and Autologous Stem Cell Transplantation Due to Multiple Myeloma: Tracing the Paths to Leukemic Transformation
Abstract
1. Introduction
1.1. Case 1
1.2. Case 2
2. Discussion
- (1)
- Preexisting/synchronous clonal hemopoiesis serves as initiating event for both MM and AEL. Nothing really supports a common origin of the two hematological diseases; primary myeloma bone marrow did not show myelodysplastic or proliferative features. Moreover, MM cells were free of 17p and TP53 alterations.
- (2)
- The occurrence of preleukemic hemopoietic stem cell (HSC) transformation due to front-line chemo-radiotherapy (VTD combination), as they locally survive the myeloablative treatment. If transformed HSC clones are highlighted by TP53 mutation, they are supposed to gain resistance to the applied treatment. According to relevant findings, pre-leukemic HSCs with clonal changes have a growth advantage over non-mutated HSCs [34,35]. In addition, bone marrow stromal niches may supply relative protection and thus also contribute to survival, despite myeloablative therapy.
- (3)
- The mobilization, harvesting, and re-inoculation of clonal/preleukemic HSCs after myeloablative treatment. The unwanted collection or even enrichment of a TP53 mutant “pre-leukemic” stem cell fraction following mobilization would be possible. To prove this opportunity exists, our archives were checked for remains of HSC pheresis products. Unfortunately, five years after the procedure, nothing was available for Case 1. However, the pheresis product of Case 2 could be tested for TP53, although it did not show any alterations despite the high amount and good quality of the DNA obtained from the frozen sample. Therefore, in at least one of the demonstrated cases, we could exclude the direct transfer of TP53-mutant preleukemic cells by the pheresis product collected before the high-dose melphalan hit.
- (4)
- HDM-induced mutagenesis. According to this option, melphalan genotoxicity results in TP53 mutant pre-leukemic clones rising from the residual HSCs of an otherwise normal, myeloma-free, bone marrow. Mutant HSC clones do not show a proliferation advantage per se and progression is expected in a slow fashion, with HSC clones remaining uncovered for longer times. The severe dysplasia, complex karyotype, and multiple TP53 mutations perfectly fit the features of the melphalan-related biological signature [25,26]. The exclusion of prior signs of leukemia and the presence of typical clinical–biological features favor HDM as the most likely inducer of secondary myeloid neoplasia in both presented cases.
3. Conclusions
Author Contributions
Funding
Institutional Review Board Statement
Informed Consent Statement
Data Availability Statement
Conflicts of Interest
References
- Khoury, J.D.; Solary, E.; Abla, O.; Akkari, Y.; Alaggio, R.; Apperley, J.F.; Bejar, R.; Berti, E.; Busque, L.; Chan, J.K.; et al. The 5th edition of the World Health Organization classification of Haematolymphoid Tumours: Myeloid and Histiocytic/dendritic neoplasms. Leukemia 2022, 36, 1703–1719. [Google Scholar] [CrossRef] [PubMed]
- Arber, D.A.; Orazi, A.; Hasserjian, R.P.; Borowitz, M.J.; Calvo, K.R.; Kvasnicka, H.M.; Wang, S.A.; Bagg, A.; Barbui, T.; Branford, S.; et al. International consensus classification of myeloid neoplasms ans acute leukemias: Integrating morphologic, clinical and genomic data. Blood 2022, 140, 1200–1228. [Google Scholar] [CrossRef] [PubMed]
- Welch, J.S. Patterns of mutations in TP53 mutated AML. Best Pract. Res. Clin. Haematol. 2018, 31, 379–383. [Google Scholar] [CrossRef] [PubMed]
- Dutta, S.; Pregartner, G.; Rücker, F.G.; Heitzer, E.; Zebisch, A.; Bullinger, L.; Berghold, A.; Döhner, K.; Sill, H. Functional classification of TP53 mutations in acute myeloid leukemia. Cancers 2020, 12, 637. [Google Scholar] [CrossRef]
- Grob, T.; Al Hinai, A.S.A.; Sanders, M.A.; Kavelaars, F.G.; Rijken, M.; Gradowska, P.L.; Biemond, B.J.; Breems, D.A.; Maertens, J.; Kooy, M.v.M.; et al. Molecular characterization of mutant Tp53 acute myeloid leukemia and high-risk myelodysplastic syndrome. Blood 2022, 139, 2347–2354. [Google Scholar] [CrossRef] [PubMed]
- Li, M.M.; Datto, M.; Duncavage, E.J.; Kulkarni, S.; Lindeman, N.I.; Roy, S.; Tsimberidou, A.M.; Vnencak-Jones, C.L.; Wolff, D.J.; Younes, A.; et al. Standards and Guidelines for the Interpretation and Reporting of Sequence Variants in Cancer: A Joint Consensus Recommendation of the Association for Molecular Pathology, American Society of Clinical Oncology, and College of American Pathologists. J. Mol. Diagn. 2017, 19, 4–23. [Google Scholar] [CrossRef] [PubMed]
- Schwartz, S.O.; Critchlow, J. Erythremic myelosis (DI Guglielmo’s disease); critical review with report of four cases, and comments on erythroleukemia. Blood 1952, 7, 765–793. [Google Scholar] [CrossRef]
- Arber, D.A.; Orazi, A.; Hasserjian, R.; Thiele, J.; Borowitz, M.J.; Le Beau, M.M.; Bloomfield, C.D.; Cazzola, M.; Vardiman, J.W. The 2016 revision to the World Health Organization (WHO) classification of myeloid neoplasms and acute leukemia. Blood 2016, 127, 2391–2405. [Google Scholar] [CrossRef] [PubMed]
- Sportoletti, P.; Sorcini, D.; Guzman, A.G.; Reyes, J.M.; Stella, A.; Marra, A.; Sartori, S.; Brunetti, L.; Rossi, R.; Del Papa, B.; et al. Bcor deficiency perturbs erythro-megakaryopoiesis and cooperates with Dnmt3a loss in acute erythroid leukemia onset in mice. Leukemia 2021, 35, 1949–1963. [Google Scholar] [CrossRef]
- Trainor, C.D.; Mas, C.; Archambault, P.; Di Lello, P.; Omichinski, J.G. GATA-1 associates with and inhibits p53. Blood 2009, 114, 165–173. [Google Scholar] [CrossRef]
- Zuo, Z.; Medeiros, L.J.; Chen, Z.; Liu, D.; Bueso-Ramos, C.E.; Luthra, R.; Wang, S.A. Acute myeloid leukemia (AML) with erythroid predominance exhibits clinical and molecular characteristics that differ from other types of AML. PLoS ONE 2012, 7, e41485. [Google Scholar] [CrossRef] [PubMed]
- Hasserjian, R.P. Erythroleukemia and its differential diagnosis. Surg. Pathol. Clin. 2013, 6, 641–659. [Google Scholar] [CrossRef] [PubMed]
- Wang, S.A.; Hasserjian, R.P. Acute erythroleukemias, acute megakaryoblastic leukemias, and reactive mimics: A guide to a number of perplexing entities. Am. J. Clin. Pathol. 2015, 144, 44–60. [Google Scholar] [CrossRef] [PubMed]
- Wang, W.; Wang, S.A.; Medeiros, L.J.; Khoury, J.D. Pure erythroid leukemia. Am. J. Hematol. 2017, 92, 292–296. [Google Scholar] [CrossRef] [PubMed]
- Micci, F.; Thorsen, J.; Panagopoulos, I.; Nyquist, K.B.; Zeller, B.; Tierens, A.; Heim, S. High-throughput sequencing identifies an NFIA/CBFA2T3 fusion gene in acute erythroid leukemia with t(1;16)(p31;q24). Leukemia 2013, 27, 980–982. [Google Scholar] [CrossRef] [PubMed]
- Panagopoulos, I.; Micci, F.; Thorsen, J.; Haugom, L.; Buechner, J.; Kerndrup, G.; Tierens, A.; Zeller, B.; Heim, S. Fusion of ZMYND8 and RELA genes in acute erythroid leukemia. PLoS ONE 2013, 8, e63663. [Google Scholar] [CrossRef] [PubMed]
- Domingo-Claros, A.; Larriba, I.; Rozman, M.; Irriguible, D.; Vallespí, T.; Aventin, A.; Ayats, R.; Millá, F.; Solé, F.; Florensa, L.; et al. Acute erythroid neoplastic proliferations. A biological study based on 62 patients. Haematologica 2002, 87, 148–153. [Google Scholar]
- Reichard, K.K.; Tefferi, A.; Abdelmagid, M.; Orazi, A.; Alexandres, C.; Haack, J.; Greipp, P.T. Pure (acute) erythroid leukemia: Morphology, immunophenotype, cytogenetics, mutations, treatment details, and survival data among 41 Mayo Clinic cases. Blood Cancer J. 2022, 12, 147. [Google Scholar] [CrossRef]
- Fagnan, A.; Bagger, F.O.; Piqué-Borràs, M.R.; Ignacimouttou, C.; Caulier, A.; Lopez, C.K.; Robert, E.; Uzan, B.; Gelsi-Boyer, V.; Aid, Z.; et al. Human erythroleukemia genetics and transcriptomes identify master transcription factors as functional disease drivers. Blood 2020, 136, 698–714. [Google Scholar] [CrossRef]
- Damm, F.; Chesnais, V.; Nagata, Y.; Yoshida, K.; Scourzic, L.; Okuno, Y.; Itzykson, R.; Sanada, M.; Shiraishi, Y.; Gelsi-Boyer, V.; et al. BCOR and BCORL1 mutations in myelodysplastic syndromes and related disorders. Blood 2013, 122, 3169–3177. [Google Scholar] [CrossRef]
- Tashakori, M.; Wang, W.; Kadia, T.M.; Daver, N.G.; Montalban-Bravo, G.; Loghavi, S.; Wang, S.A.; Medeiros, L.J.; Ravandi, F.; Khoury, J.D. Differential characteristics of TP53 alterations in pure erythroid leukemia arising after exposure to cytotoxic therapy. Leuk. Res. 2022, 118, 106860. [Google Scholar] [CrossRef] [PubMed]
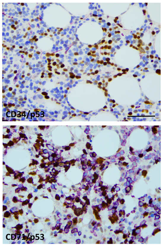
- Fang, H.; Wang, S.A.; Khoury, J.D.; El Hussein, S.; Kim, D.H.; Tashakori, M.; Tang, Z.; Li, S.; Hu, Z.; Jelloul, F.Z.; et al. Pure erythroid leukemia is characterized by biallelic TP53 inactivation and abnormal p53 expression patterns in de novo and secondary cases. Haematologica 2022, 107, 2232–2237. [Google Scholar] [CrossRef] [PubMed]
- Engelhardt, M.; Ihorst, G.; Landgren, O.; Pantic, M.; Reinhardt, H.; Waldschmidt, J.; May, A.M.; Schumacher, M.; Kleber, M.; Wäsch, R. Large registry analysis to accurately define second malignancy rates and risks in a well-characterized cohort of 744 consecutive multiple myeloma patients followed-up for 25 years. Haematologica 2015, 100, 1340–1349. [Google Scholar] [CrossRef] [PubMed]
- Straka, C.; Salwender, H.; Knop, S.; Vogel, M.; Müller, J.; Metzner, B.; Langer, C.; Sayer, H.; Jung, W.; Dürk, H.A.; et al. Full or intensity-reduced high-dose melphalan and single or double autologous stem cell transplant with or without bortezomib consolidation in patients with newly diagnosed multiple myeloma. Eur. J. Haematol. 2021, 107, 529–542. [Google Scholar] [CrossRef] [PubMed]
- Maura, F.; Weinhold, N.; Diamond, B.; Kazandjian, D.; Rasche, L.; Morgan, G.; Landgren, O. The mutagenic impact of melphalan in multiple myeloma. Leukaemia 2021, 35, 2145–2150. [Google Scholar] [CrossRef] [PubMed]
- Samur, M.K.; Roncador, M.; Samur, A.A.; Fulciniti, M.; Bazarbachi, A.H.; Szalat, R.E.; Shammas, M.A.; Sperling, A.S.; Richardson, P.G.; Magrangeas, F.; et al. High-dose melphalan treatment significantly increases mutational burden at relapse in multiple myeloma. Blood 2023, 141, 1724–1736. [Google Scholar] [CrossRef] [PubMed]
- Jelloul, F.Z.; Quesada, A.E.; Yang, R.K.; Li, S.; Wang, W.; Xu, J.; Tang, G.; Yin, C.C.; Fang, H.; El Hussein, S.; et al. Clinicopathologic Features of Therapy-Related Myeloid Neoplasms in Patients with Myeloma in the Era of Novel Therapies. Mod. Pathol. 2023, 36, 100166. [Google Scholar] [CrossRef] [PubMed]
- Fishman, S.A.; Ritz, N.D. Erythroleukemia following melphalan therapy for multiple myeloma. NY State J. Med. 1975, 75, 2402–2404. [Google Scholar]
- West, W.O. Acute erythroid leukemia after cyclophosphamide therapy for multiple myeloma: Report of two cases. South. Med. J. 1976, 69, 1331–1332. [Google Scholar]
- Zwaan, F.E.; Ottolander, G.J.D.; Brederoo, P.; van Zwet, T.L.; Velde, J.T.; Willemze, R. The morphology of dyserythropoiesis in a patient with acute erythroleukaemia associated with multiple myeloma. Scand. J. Haematol. 1976, 17, 353–368. [Google Scholar] [CrossRef]
- Streuli, R.; Voellmy, W. Erythroleukemia in multiple myeloma. A case report. Schweiz. Med. Wochenschr. 1987, 117, 286–291. [Google Scholar] [PubMed]
- Guo, C.; Inghirami, G.; Ibrahim, S.; Sen, F. Epistaxis and severe weakness in a patient with multiple myeloma. Therapy-related acute myeloid leukemia, pure erythroid leukemia. Arch. Pathol. Lab. Med. 2006, 130, 1075–1076. [Google Scholar] [CrossRef] [PubMed]
- Brouzes, C.; Asnafi, V. Erythroid leukemia evolving from multiple myeloma. Blood 2012, 119, 2441. [Google Scholar] [CrossRef] [PubMed]
- Shlush, L.I.; Zandi, S.; Mitchell, A. Identification of preleukaemic haematopoietic stem cells in acute leukaemia. Nature 2014, 506, 328–333. [Google Scholar] [CrossRef]
- Lal, R.; Lind, K.; Heitzer, E. Somatic TP53 mutations characterize preleukemic stem cells in acute myeloid leukemia. Blood 2017, 129, 2587–2591. [Google Scholar] [CrossRef]






Disclaimer/Publisher’s Note: The statements, opinions and data contained in all publications are solely those of the individual author(s) and contributor(s) and not of MDPI and/or the editor(s). MDPI and/or the editor(s) disclaim responsibility for any injury to people or property resulting from any ideas, methods, instructions or products referred to in the content. |
© 2024 by the authors. Licensee MDPI, Basel, Switzerland. This article is an open access article distributed under the terms and conditions of the Creative Commons Attribution (CC BY) license (https://creativecommons.org/licenses/by/4.0/).
Share and Cite
Méhes, G.; Mokánszki, A.; Ujfalusi, A.; Hevessy, Z.; Miltényi, Z.; Gergely, L.; Bedekovics, J. Acute Erythroid Leukemia Post-Chemo-Radiotherapy and Autologous Stem Cell Transplantation Due to Multiple Myeloma: Tracing the Paths to Leukemic Transformation. Int. J. Mol. Sci. 2024, 25, 8003. https://doi.org/10.3390/ijms25148003
Méhes G, Mokánszki A, Ujfalusi A, Hevessy Z, Miltényi Z, Gergely L, Bedekovics J. Acute Erythroid Leukemia Post-Chemo-Radiotherapy and Autologous Stem Cell Transplantation Due to Multiple Myeloma: Tracing the Paths to Leukemic Transformation. International Journal of Molecular Sciences. 2024; 25(14):8003. https://doi.org/10.3390/ijms25148003
Chicago/Turabian StyleMéhes, Gábor, Attila Mokánszki, Anikó Ujfalusi, Zsuzsa Hevessy, Zsófia Miltényi, Lajos Gergely, and Judit Bedekovics. 2024. "Acute Erythroid Leukemia Post-Chemo-Radiotherapy and Autologous Stem Cell Transplantation Due to Multiple Myeloma: Tracing the Paths to Leukemic Transformation" International Journal of Molecular Sciences 25, no. 14: 8003. https://doi.org/10.3390/ijms25148003
APA StyleMéhes, G., Mokánszki, A., Ujfalusi, A., Hevessy, Z., Miltényi, Z., Gergely, L., & Bedekovics, J. (2024). Acute Erythroid Leukemia Post-Chemo-Radiotherapy and Autologous Stem Cell Transplantation Due to Multiple Myeloma: Tracing the Paths to Leukemic Transformation. International Journal of Molecular Sciences, 25(14), 8003. https://doi.org/10.3390/ijms25148003

