How Progesterone Receptor Expression Impacts Platinum Sensitivity in Ovarian Clear Cell Carcinoma: Insights from Clinical and Experimental Perspectives
Abstract
1. Introduction
2. Results
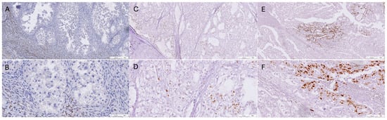
2.1. Clinical Data
2.2. Cell Line Data (Cell Viability Assay)
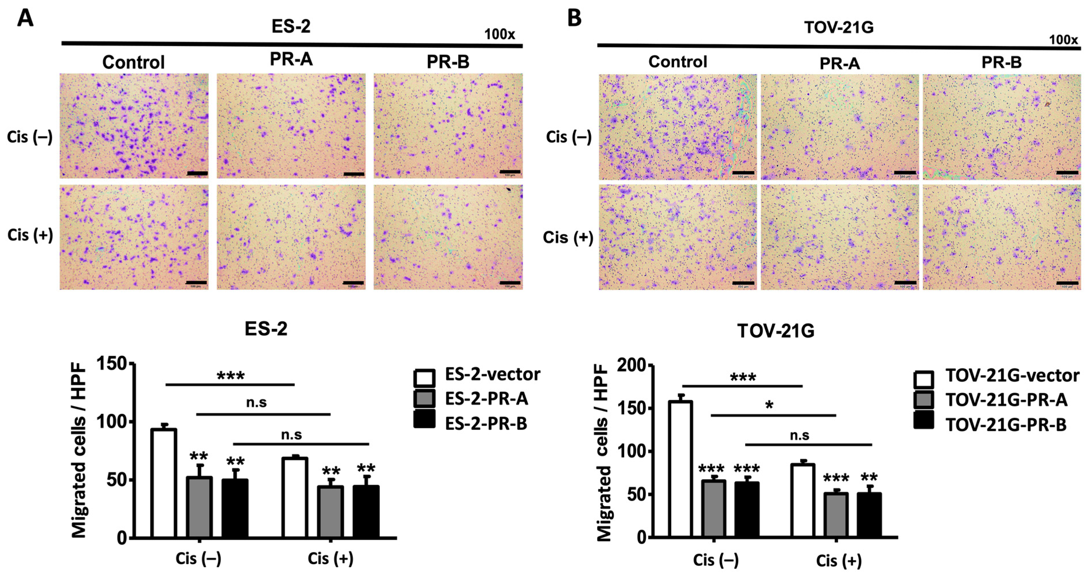
2.3. Cell Line Data (Transwell Migration Assay)
3. Discussion
4. Materials and Methods
4.1. Patients
4.2. Immunohistochemistry Analysis
4.3. PR-Overexpressing Ovarian Carcer Cell Lines
4.4. Western Blot Analysis
4.5. Cell Viability Assay
4.6. Cell Transwell Migration Assay
4.7. Statistical Analysis
5. Conclusions
Supplementary Materials
Author Contributions
Funding
Institutional Review Board Statement
Informed Consent Statement
Data Availability Statement
Acknowledgments
Conflicts of Interest
References
- Huang, J.; Chan, W.C.; Ngai, C.H.; Lok, V.; Zhang, L.; Lucero-Prisno, D.E., 3rd; Xu, W.; Zheng, Z.J.; Elcarte, E.; Withers, M.; et al. Worldwide Burden, Risk Factors, and Temporal Trends of Ovarian Cancer: A Global Study. Cancers 2022, 14, 2230. [Google Scholar] [CrossRef] [PubMed]
- Cancer statistics, Taiwan Cancer Registry. Available online: https://twcr.tw/wp-content/uploads/2024/02/Top-10-cancers-in-Taiwan-2021.pdf (accessed on 17 March 2024).
- Yoshikawa, H.; Jimbo, H.; Okada, S.; Matsumoto, K.; Onda, T.; Yasugi, T.; Taketani, Y. Prevalence of endometriosis in ovarian cancer. Gynecol. Obstet. Investig. 2000, 50 (Suppl. S1), 11–17. [Google Scholar] [CrossRef] [PubMed]
- Sugiyama, T.; Okamoto, A.; Enomoto, T.; Hamano, T.; Aotani, E.; Terao, Y.; Suzuki, N.; Mikami, M.; Yaegashi, N.; Kato, K.; et al. Randomized Phase III Trial of Irinotecan Plus Cisplatin Compared With Paclitaxel Plus Carboplatin As First-Line Chemotherapy for Ovarian Clear Cell Carcinoma: JGOG3017/GCIG Trial. J. Clin. Oncol. 2016, 34, 2881–2887. [Google Scholar] [CrossRef] [PubMed]
- Teng, Y.H.; Liu, F.C.; Huang, S.Y.; Kuo, C.F.; Yu, H.P. Epidemiology and Mortality of Ovarian Cancer in Taiwan: A Population-Based Study. J. Clin. Med. 2022, 11, 5627. [Google Scholar] [CrossRef] [PubMed]
- del Carmen, M.G.; Birrer, M.; Schorge, J.O. Clear cell carcinoma of the ovary: A review of the literature. Gynecol. Oncol. 2012, 126, 481–490. [Google Scholar] [CrossRef] [PubMed]
- Liu, H.; Xu, Y.; Ji, J.; Dong, R.; Qiu, H.; Dai, X. Prognosis of ovarian clear cell cancer compared with other epithelial cancer types: A population-based analysis. Oncol. Lett. 2020, 19, 1947–1957. [Google Scholar] [CrossRef] [PubMed]
- Ku, F.C.; Wu, R.C.; Yang, L.Y.; Tang, Y.H.; Chang, W.Y.; Yang, J.E.; Wang, C.C.; Jung, S.M.; Lin, C.T.; Chang, T.C.; et al. Clear cell carcinomas of the ovary have poorer outcomes compared with serous carcinomas: Results from a single-center Taiwanese study. J. Formos. Med. Assoc. 2018, 117, 117–125. [Google Scholar] [CrossRef]
- Hsieh, S.F.; Lau, H.Y.; Wu, H.H.; Hsu, H.C.; Twu, N.F.; Cheng, W.F. Prognostic Factors of Early Stage Epithelial Ovarian Carcinoma. Int. J. Environ. Res. Public Health 2019, 16, 637. [Google Scholar] [CrossRef] [PubMed]
- Fantone, S.; Piani, F.; Olivieri, F.; Rippo, M.R.; Sirico, A.; Di Simone, N.; Marzioni, D.; Tossetta, G. Role of SLC7A11/xCT in Ovarian Cancer. Int. J. Mol. Sci. 2024, 25, 587. [Google Scholar] [CrossRef]
- Blanco, L.Z., Jr.; Kuhn, E.; Morrison, J.C.; Bahadirli-Talbott, A.; Smith-Sehdev, A.; Kurman, R.J. Steroid hormone synthesis by the ovarian stroma surrounding epithelial ovarian tumors: A potential mechanism in ovarian tumorigenesis. Mod. Pathol. 2017, 30, 563–576. [Google Scholar] [CrossRef]
- Gwinn, M.L.; Lee, N.C.; Rhodes, P.H.; Layde, P.M.; Rubin, G.L. Pregnancy, breast feeding, and oral contraceptives and the risk of epithelial ovarian cancer. J. Clin. Epidemiol. 1990, 43, 559–568. [Google Scholar] [CrossRef] [PubMed]
- Sieh, W.; Köbel, M.; Longacre, T.A.; Bowtell, D.D.; deFazio, A.; Goodman, M.T.; Høgdall, E.; Deen, S.; Wentzensen, N.; Moysich, K.B.; et al. Hormone-receptor expression and ovarian cancer survival: An Ovarian Tumor Tissue Analysis consortium study. Lancet Oncol. 2013, 14, 853–862. [Google Scholar] [CrossRef] [PubMed]
- Luo, H.; Li, S.; Zhao, M.; Sheng, B.; Zhu, H.; Zhu, X. Prognostic value of progesterone receptor expression in ovarian cancer: A meta-analysis. Oncotarget 2017, 8, 36845–36856. [Google Scholar] [CrossRef] [PubMed]
- Del Carmen, M.G.; Smith Sehdev, A.E.; Fader, A.N.; Zahurak, M.L.; Richardson, M.; Fruehauf, J.P.; Montz, F.J.; Bristow, R.E. Endometriosis-associated ovarian carcinoma: Differential expression of vascular endothelial growth factor and estrogen/progesterone receptors. Cancer 2003, 98, 1658–1663. [Google Scholar] [CrossRef] [PubMed]
- Akahane, T.; Sekizawa, A.; Okuda, T.; Kushima, M.; Saito, H.; Okai, T. Disappearance of steroid hormone dependency during malignant transformation of ovarian clear cell cancer. Int. J. Gynecol. Pathol. 2005, 24, 369–376. [Google Scholar] [CrossRef] [PubMed]
- DeLair, D.; Oliva, E.; Köbel, M.; Macias, A.; Gilks, C.B.; Soslow, R.A. Morphologic spectrum of immunohistochemically characterized clear cell carcinoma of the ovary: A study of 155 cases. Am. J. Surg. Pathol. 2011, 35, 36–44. [Google Scholar] [CrossRef]
- Nolan, L.P.; Heatley, M.K. The value of immunocytochemistry in distinguishing between clear cell carcinoma of the kidney and ovary. Int. J. Gynecol. Pathol. 2001, 20, 155–159. [Google Scholar] [CrossRef] [PubMed]
- Ju, B.; Wang, J.; Yang, B.; Sun, L.; Guo, Y.; Hao, Q.; Wu, J. Morphologic and Immunohistochemical Study of Clear Cell Carcinoma of the Uterine Endometrium and Cervix in Comparison to Ovarian Clear Cell Carcinoma. Int. J. Gynecol. Pathol. 2018, 37, 388–396. [Google Scholar] [CrossRef] [PubMed]
- Zannoni, G.F.; Morassi, F.; Prisco, M.G.; De Stefano, I.; Vellone, V.G.; Arena, V.; Scambia, G.; Gallo, D. Clinicopathologic and immunohistochemical features of ovarian clear cell carcinomas in comparison with type I and type II tumors. Int. J. Gynecol. Pathol. 2012, 31, 507–516. [Google Scholar] [CrossRef]
- Shen, F.; Zhang, X.; Zhang, Y.; Ding, J.; Chen, Q. Hormone receptors expression in ovarian cancer taking into account menopausal status: A retrospective study in Chinese population. Oncotarget 2017, 8, 84019–84027. [Google Scholar] [CrossRef]
- Shafrir, A.L.; Rice, M.S.; Gupta, M.; Terry, K.L.; Rosner, B.A.; Tamimi, R.M.; Hecht, J.L.; Tworoger, S.S. The association between reproductive and hormonal factors and ovarian cancer by estrogen-α and progesterone receptor status. Gynecol. Oncol. 2016, 143, 628–635. [Google Scholar] [CrossRef]
- Mote, P.A.; Johnston, J.F.; Manninen, T.; Tuohimaa, P.; Clarke, C.L. Detection of progesterone receptor forms A and B by immunohistochemical analysis. J. Clin. Pathol. 2001, 54, 624–630. [Google Scholar] [CrossRef] [PubMed]
- Rojas, P.A.; May, M.; Sequeira, G.R.; Elia, A.; Alvarez, M.; Martínez, P.; Gonzalez, P.; Hewitt, S.; He, X.; Perou, C.M.; et al. Progesterone Receptor Isoform Ratio: A Breast Cancer Prognostic and Predictive Factor for Antiprogestin Responsiveness. J. Natl. Cancer Inst. 2017, 109, djw317. [Google Scholar] [CrossRef] [PubMed]
- Miyamoto, T.; Watanabe, J.; Hata, H.; Jobo, T.; Kawaguchi, M.; Hattori, M.; Saito, M.; Kuramoto, H. Significance of progesterone receptor-A and -B expressions in endometrial adenocarcinoma. J. Steroid Biochem. Mol. Biol. 2004, 92, 111–118. [Google Scholar] [CrossRef] [PubMed]
- Peluso, J.J.; Liu, X.; Saunders, M.M.; Claffey, K.P.; Phoenix, K. Regulation of ovarian cancer cell viability and sensitivity to cisplatin by progesterone receptor membrane component-1. J. Clin. Endocrinol. Metab. 2008, 93, 1592–1599. [Google Scholar] [CrossRef] [PubMed]
- Peluso, J.J.; Gawkowska, A.; Liu, X.; Shioda, T.; Pru, J.K. Progesterone receptor membrane component-1 regulates the development and Cisplatin sensitivity of human ovarian tumors in athymic nude mice. Endocrinology 2009, 150, 4846–4854. [Google Scholar] [CrossRef]
- Friel, A.M.; Zhang, L.; Pru, C.A.; Clark, N.C.; McCallum, M.L.; Blok, L.J.; Shioda, T.; Peluso, J.J.; Rueda, B.R.; Pru, J.K. Progesterone receptor membrane component 1 deficiency attenuates growth while promoting chemosensitivity of human endometrial xenograft tumors. Cancer Lett. 2015, 356 Pt B, 434–442. [Google Scholar] [CrossRef]
- Willis, B.C.; Sloan, E.A.; Atkins, K.A.; Stoler, M.H.; Mills, A.M. Mismatch repair status and PD-L1 expression in clear cell carcinomas of the ovary and endometrium. Mod. Pathol. 2017, 30, 1622–1632. [Google Scholar] [CrossRef]
- Zhu, J.; Wen, H.; Bi, R.; Wu, Y.; Wu, X. Prognostic value of programmed death-ligand 1 (PD-L1) expression in ovarian clear cell carcinoma. J. Gynecol. Oncol. 2017, 28, e77. [Google Scholar] [CrossRef]
- Matulonis, U.A.; Shapira-Frommer, R.; Santin, A.D.; Lisyanskaya, A.S.; Pignata, S.; Vergote, I.; Raspagliesi, F.; Sonke, G.S.; Birrer, M.; Provencher, D.M.; et al. Antitumor activity and safety of pembrolizumab in patients with advanced recurrent ovarian cancer: Results from the phase II KEYNOTE-100 study. Ann. Oncol. 2019, 30, 1080–1087. [Google Scholar] [CrossRef]
- Nishio, S.; Matsumoto, K.; Takehara, K.; Kawamura, N.; Hasegawa, K.; Takeshima, N.; Aoki, D.; Kamiura, S.; Arakawa, A.; Kondo, E.; et al. Pembrolizumab monotherapy in Japanese patients with advanced ovarian cancer: Subgroup analysis from the KEYNOTE-100. Cancer Sci. 2020, 111, 1324–1332. [Google Scholar] [CrossRef] [PubMed]
- ES-2 and TOV-21G Cell Line Information: ATCC. Available online: https://www.atcc.org/products/crl-3577 (accessed on 10 June 2024).



| Age, mean (SD) | 48.9 (10) |
| Follow-up, months, median (range) | 50 (5–132) |
| FIGO stage, n (%) | |
| I | 44 (55) |
| II | 12 (15) |
| III | 20 (25) |
| IV | 4 (5) |
| Menopause, n (%) | |
| Yes | 41 (51.2) |
| No | 39 (48.8) |
| Parity, n (%) | |
| Nulliparous | 31 (38.8) |
| ≥1 | 49 (61.2) |
| Pretreatment CA-125, n (%) | |
| <35 U/mL | 11 (13.8) |
| ≥35 U/mL | 59 (73.8) |
| missing | 10 (12.4) |
| Concurrent endometriosis, n (%) | |
| Yes | 19 (23.8) |
| No | 61 (76.2) |
| PR expression, n (%) | |
| Yes | 30 (37.5) |
| No | 50 (62.5) |
| PR H-score, mean (SD) | 18.95 (34.73) |
| Platinum-sensitivity, n (%) | |
| Sensitive | 66 (82.5) |
| Resistant | 14 (17.5) |
| Factor | Platinum-Sensitive n = 66 | Platinum-Resistant n = 14 | p Value |
|---|---|---|---|
| Age (mean), years | 48.3 | 51.7 | 0.441 |
| Menopause, n (%) | 32 (48.5) | 9 (64.3) | 0.283 |
| Parity ≥ 1, n (%) | 41 (62.1) | 8 (57.1) | 0.728 |
| Concurrent endometriosis, n (%) | 19 (28.8) | 0 (0) | 0.033 |
| Pretreatment CA-125 (mean), U/mL | 537 | 709 | 0.825 |
| PR positive, n (%) | 29 (43.9) | 4 (28.6) | 0.376 |
| PR H score (mean) | 21.9 | 5 | 0.002 |
| PR H score ≥ 50, n (%) | 13 (19.7) | 0 (0) | 0.110 |
| Factor | PRweak (n = 67) | PRstrong (n = 13) | p Value |
|---|---|---|---|
| Age (mean) | 49.49 | 45.85 | 0.975 |
| Menopause, n (%) | 35 (52.2) | 6 (46.2) | 0.688 |
| Parity ≥ 1, n (%) | 42 (62.7) | 7 (53.8) | 0.549 |
| FIGO stage | 0.588 | ||
| I (n = 44) (% within stage) | 35 (79.5) | 9 (20.5) | |
| II (n = 12) (% within stage) | 10 (83.3) | 2 (16.7) | |
| III (n = 20) (% within stage) | 18 (90.0) | 2 (10.0) | |
| IV (n = 4) (% within stage) | 4 (100) | 0 (0.0) | |
| Concurrent endometriosis, n (%) | 17 (25.4) | 2 (15.4) | 0.439 |
| Pretreatment CA-125 (mean) | 573.7 | 532.2 | 0.324 |
| PFS | OS | |||||
|---|---|---|---|---|---|---|
| Factor | HR | 95% CI | p Value | HR | 95% CI | p Value |
| Menopause | 1.324 | 0.515–3.403 | 0.560 | 1.940 | 0.707–5.318 | 0.198 |
| Parity (≥1 vs. 0) | 0.856 | 0.336–2.180 | 0.745 | 1.061 | 0.386–2.920 | 0.908 |
| Concurrent endometriosis (yes vs. no) | 0.141 | 0.018–1.084 | 0.060 | 0.187 | 0.024–1.464 | 0.110 |
| CA-125 (≥35 vs. <35) | 3.252 | 0.409–25.89 | 0.265 | 4.767 | 0.588–38.65 | 0.144 |
| PR H-score (≥50 vs. <50) | 0.369 | 0.085–1.594 | 0.182 | 0.311 | 0.070–1.391 | 0.126 |
| FIGO stage (III/IV vs. I/II) | 2.427 | 1.004–5.869 | 0.049 | 3.220 | 1.27–8.161 | 0.014 |
Disclaimer/Publisher’s Note: The statements, opinions and data contained in all publications are solely those of the individual author(s) and contributor(s) and not of MDPI and/or the editor(s). MDPI and/or the editor(s) disclaim responsibility for any injury to people or property resulting from any ideas, methods, instructions or products referred to in the content. |
© 2024 by the authors. Licensee MDPI, Basel, Switzerland. This article is an open access article distributed under the terms and conditions of the Creative Commons Attribution (CC BY) license (https://creativecommons.org/licenses/by/4.0/).
Share and Cite
Wu, C.-H.; Fu, H.-C.; Ou, Y.-C.; Chuang, I.-C.; Lan, J.; Yang, M.-Y.; Lin, H. How Progesterone Receptor Expression Impacts Platinum Sensitivity in Ovarian Clear Cell Carcinoma: Insights from Clinical and Experimental Perspectives. Int. J. Mol. Sci. 2024, 25, 7942. https://doi.org/10.3390/ijms25147942
Wu C-H, Fu H-C, Ou Y-C, Chuang I-C, Lan J, Yang M-Y, Lin H. How Progesterone Receptor Expression Impacts Platinum Sensitivity in Ovarian Clear Cell Carcinoma: Insights from Clinical and Experimental Perspectives. International Journal of Molecular Sciences. 2024; 25(14):7942. https://doi.org/10.3390/ijms25147942
Chicago/Turabian StyleWu, Chen-Hsuan, Hung-Chun Fu, Yu-Che Ou, I-Chieh Chuang, Jui Lan, Ming-Yu Yang, and Hao Lin. 2024. "How Progesterone Receptor Expression Impacts Platinum Sensitivity in Ovarian Clear Cell Carcinoma: Insights from Clinical and Experimental Perspectives" International Journal of Molecular Sciences 25, no. 14: 7942. https://doi.org/10.3390/ijms25147942
APA StyleWu, C.-H., Fu, H.-C., Ou, Y.-C., Chuang, I.-C., Lan, J., Yang, M.-Y., & Lin, H. (2024). How Progesterone Receptor Expression Impacts Platinum Sensitivity in Ovarian Clear Cell Carcinoma: Insights from Clinical and Experimental Perspectives. International Journal of Molecular Sciences, 25(14), 7942. https://doi.org/10.3390/ijms25147942

