Clinicopathological Appearance of Epidermal Growth-Factor-Containing Fibulin-like Extracellular Matrix Protein 1 Deposition in the Lower Gastrointestinal Tract: An Autopsy-Based Study
Abstract
1. Introduction
2. Results
2.1. Clinical Profiles and Demographics
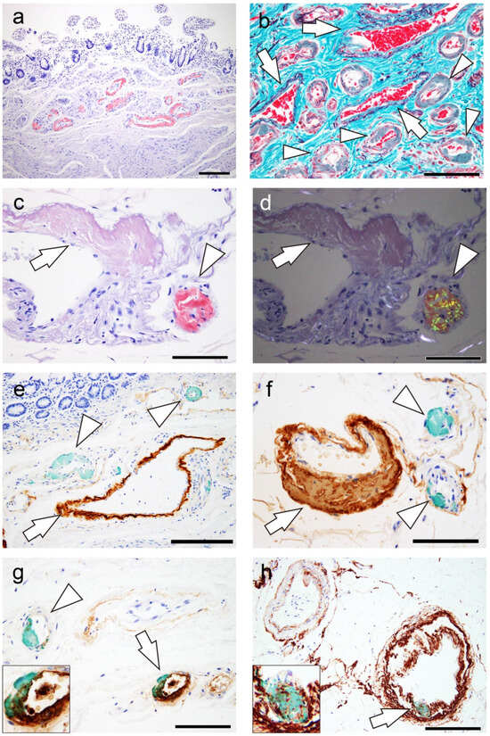
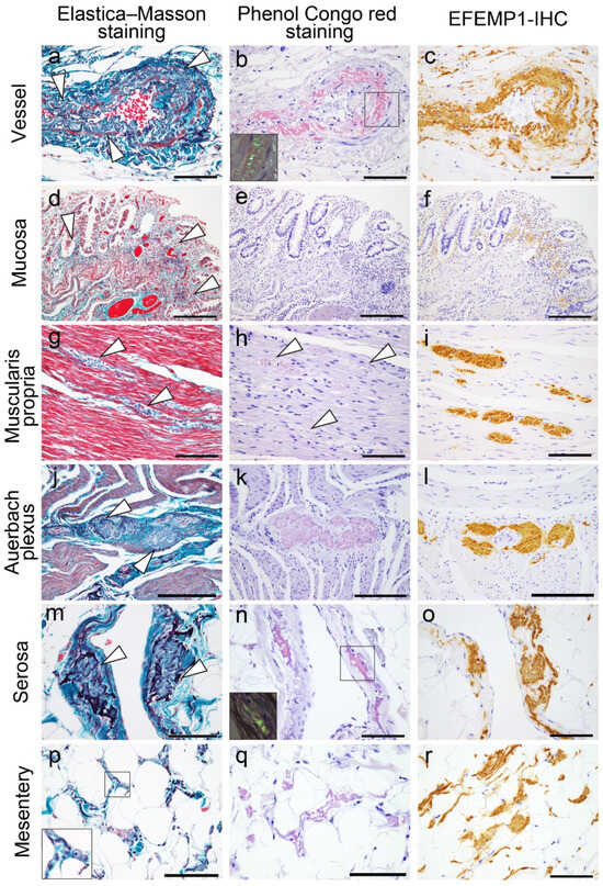
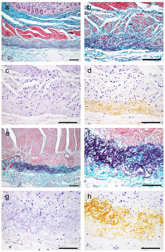
2.2. Pathological Findings of EFEMP1 and AEFEMP1
2.3. Evaluation of the Relationship between ATTR and EFEMP1/AEFEMP1 Deposition
2.4. Clinicopathological Features of Patients with Constipation
3. Discussion
4. Materials and Methods
4.1. Case Selection
4.2. Tissue Samples
4.3. Semiquantitative Grading System for EFEMP1/AEFEMP1 Deposition
- Vessel Grading:
- Grade 0: No vascular EFEMP1 deposition.
- Grade 1: Occasional vessels with EFEMP1 deposition without amyloid properties, usually not occupying the thickness of the entire wall.
- Grade 2: A moderate number of vessels with EFEMP1 deposition, some occupying the full thickness of the wall and may exhibit focal amyloid properties.
- Grade 3: Many vessels with EFEMP1 deposition, most occupying the full thickness of the wall and exhibiting focal amyloid properties.
- Interstitium Grading:
- Grade 0: No interstitial EFEMP1 deposition.
- Grade 1: A few EFEMP1 deposits in the interstitium occupying each low-power (×10 microscope objective) field.
- Grade 2: Moderate EFEMP1 deposits in the interstitium occupying each low-power (×10 microscope objective) field.
- Grade 3: Many EFEMP1 deposits in the interstitium occupy each low-power (×10 microscope objective) field, some exhibiting a massive and nodular deposition pattern.
4.4. Single and Double IHC
4.5. Statistical Analysis
Supplementary Materials
Author Contributions
Funding
Institutional Review Board Statement
Informed Consent Statement
Data Availability Statement
Acknowledgments
Conflicts of Interest
Abbreviations
References
- Tasaki, M.; Ueda, M.; Hoshii, Y.; Mizukami, M.; Matsumoto, S.; Nakamura, M.; Yamashita, T.; Ueda, A.; Misumi, Y.; Masuda, T.; et al. A novel age-related venous amyloidosis derived from EGF-containing fibulin-like extracellular matrix protein 1. J. Pathol. 2019, 247, 444–455. [Google Scholar] [CrossRef]
- Buxbaum, J.N.; Dispenzieri, A.; Eisenberg, D.S.; Fandrich, M.; Merlini, G.; Saraiva, M.J.M.; Sekijima, Y.; Westermark, P. Amyloid nomenclature 2022: Update, novel proteins, and recommendations by the International Society of Amyloidosis (ISA) Nomenclature Committee. Amyloid 2022, 29, 213–219. [Google Scholar] [CrossRef]
- Ichimata, S.; Hata, Y.; Katoh, N.; Kametani, F.; Yazaki, M.; Sekijima, Y.; Nishida, N. Novel histopathological deposition patterns of EGF-containing fibulin-like extracellular matrix protein 1 amyloidosis: An autopsy case exhibiting a possible association between AEFEMP1 amyloidosis and elastic fibres. Amyloid 2022, 29, 139–140. [Google Scholar] [CrossRef]
- Ichimata, S.; Aikawa, A.; Sugishita, N.; Katoh, N.; Kametani, F.; Tagawa, H.; Handa, Y.; Yazaki, M.; Sekijima, Y.; Ehara, T.; et al. Enterocolic granulomatous phlebitis associated with epidermal growth factor-containing fibulin-like extracellular matrix protein 1 deposition and focal amyloid properties: A case report. Pathol. Int. 2024, 74, 146–153. [Google Scholar] [CrossRef]
- Ichimata, S.; Hata, Y.; Yoshida, K.; Nishida, N. Autopsy of a multiple lobar hemorrhage case with amyloid-beta-related angiitis. Neuropathology 2020, 40, 280–286. [Google Scholar] [CrossRef]
- Cline, E.N.; Bicca, M.A.; Viola, K.L.; Klein, W.L. The amyloid-beta oligomer hypothesis: Beginning of the third decade. J. Alzheimers Dis. 2018, 64 (Suppl. S1), S567–S610. [Google Scholar] [CrossRef]
- Ichimata, S.; Yoshida, K.; Li, J.; Rogaeva, E.; Lang, A.E.; Kovacs, G.G. The molecular spectrum of amyloid-beta (Abeta) in neurodegenerative diseases beyond Alzheimer’s disease. Brain Pathol. 2024, 34, e13210. [Google Scholar] [CrossRef]
- Tasaki, M.; Oishi, T.; Ueda, M. EGF-containing fibulin-like extracellular matrix protein 1 (EFEMP1) amyloid deposits in the lower rectum from aged patient with bloody stools. Pathol. Int. 2022, 72, 217–218. [Google Scholar] [CrossRef]
- Ichimata, S.; Kobayashi, M.; Shimojo, H.; Katoh, N.; Yazaki, M.; Kanno, H. Usefulness of gastroduodenal biopsy in the differential diagnosis of systemic AH amyloidosis from systemic AL amyloidosis. Histopathology 2018, 73, 230–239. [Google Scholar] [CrossRef]
- Harris, J.C.; Zhang, Q.; Tondon, R.; Alipour, Z.; Stashek, K. Characterization of amyloidosis in the gastrointestinal tract with an emphasis on histologically distinct interstitial patterns of deposition and misinterpretations. Am. J. Surg. Pathol. 2024, 48, 302–308. [Google Scholar] [CrossRef]
- den Braber-Ymker, M.; Heijker, S.; Lammens, M.; Croockewit, S.; Nagtegaal, I.D. Intestinal involvement in amyloidosis is a sequential process. Neurogastroenterol. Motil. 2018, 30, e13469. [Google Scholar] [CrossRef]
- Larsson, A.; Malmstrom, S.; Westermark, P. Signs of cross-seeding: Aortic medin amyloid as a trigger for protein AA deposition. Amyloid 2011, 18, 229–234. [Google Scholar] [CrossRef]
- Tasaki, M.; Lavatelli, F.; Obici, L.; Obayashi, K.; Miyamoto, T.; Merlini, G.; Palladini, G.; Ando, Y.; Ueda, M. Age-related amyloidosis outside the brain: A state-of-the-art review. Ageing Res. Rev. 2021, 70, 101388. [Google Scholar] [CrossRef]
- Ichimata, S.; Hata, Y.; Hirono, K.; Yamaguchi, Y.; Nishida, N. Clinicopathological features of clinically undiagnosed sporadic transthyretin cardiac amyloidosis: A forensic autopsy-based series. Amyloid 2021, 28, 125–133. [Google Scholar] [CrossRef]
- Ichimata, S.; Hata, Y.; Nishida, N. Effects of sporadic transthyretin amyloidosis frequently on the gallbladder and the correlation between amyloid deposition in the gallbladder and heart: A forensic autopsy-based histopathological evaluation. Pathol. Int. 2021, 71, 530–537. [Google Scholar] [CrossRef]
- Mohammed, A.; Paranji, N.; Singh, A.; Sanaka, M.R. Pseudomelanosis coli, its relation to laxative use and association with colorectal neoplasms: A comprehensive review. JGH Open 2021, 5, 643–646. [Google Scholar] [CrossRef]
- Braak, H.; Del Tredici, K.; Rüb, U.; de Vos, R.A.; Jansen Steur, E.N.; Braak, E. Staging of brain pathology related to sporadic Parkinson’s disease. Neurobiol. Aging 2003, 24, 197–211. [Google Scholar] [CrossRef]
- Livingstone, I.; Uversky, V.N.; Furniss, D.; Wiberg, A. The pathophysiological significance of fibulin-3. Biomolecules 2020, 10, 1294. [Google Scholar] [CrossRef]
- McLaughlin, P.J.; Bakall, B.; Choi, J.; Liu, Z.; Sasaki, T.; Davis, E.C.; Marmorstein, A.D.; Marmorstein, L.Y. Lack of fibulin-3 causes early aging and herniation, but not macular degeneration in mice. Hum. Mol. Genet. 2007, 16, 3059–3070. [Google Scholar] [CrossRef]
- Lichtmannegger, I.; Golder, S.; Probst, A.; Donmez, G.; Agaimy, A.; Langer, E.; Muller, W.; Zhang, L.; Spatz, H.; Markl, B. Frequency and clinicopathological features of fibroelastotic changes in the gastrointestinal tract. Virchows Arch. 2014, 465, 257–264. [Google Scholar] [CrossRef]
- Hobbs, C.M.; Burch, D.M.; Sobin, L.H. Elastosis and elastofibromatous change in the gastrointestinal tract: A clinicopathologic study of 13 cases and a review of the literature. Am. J. Clin. Pathol. 2004, 122, 232–237. [Google Scholar] [CrossRef]
- Schiffman, R. Elastofibromatous lesion. Am. J. Surg. Pathol. 1993, 17, 951. [Google Scholar] [CrossRef]
- Ichimata, S.; Yoshida, K.; Visanji, N.P.; Lang, A.E.; Nishida, N.; Kovacs, G.G. Patterns of mixed pathologies in Down syndrome. J. Alzheimers Dis. 2022, 87, 595–607. [Google Scholar] [CrossRef]
- Robinson, J.L.; Xie, S.X.; Baer, D.R.; Suh, E.; Van Deerlin, V.M.; Loh, N.J.; Irwin, D.J.; McMillan, C.T.; Wolk, D.A.; Chen-Plotkin, A.; et al. Pathological combinations in neurodegenerative disease are heterogeneous and disease-associated. Brain 2023, 146, 2557–2569. [Google Scholar] [CrossRef]
- Yoshida, K.; Hata, Y.; Kinoshita, K.; Takashima, S.; Tanaka, K.; Nishida, N. Incipient progressive supranuclear palsy is more common than expected and may comprise clinicopathological subtypes: A forensic autopsy series. Acta Neuropathol. 2017, 133, 809–823. [Google Scholar] [CrossRef]
- Yoshida, K.; Hata, Y.; Ichimata, S.; Okada, K.; Nishida, N. Argyrophilic grain disease is common in older adults and may be a risk factor for suicide: A study of Japanese forensic autopsy cases. Transl. Neurodegener. 2023, 12, 16. [Google Scholar] [CrossRef]
- Ichimata, S.; Hata, Y.; Nishida, N. Clinicopathologic appearance of advanced ketoacidosis with basal vacuolation in renal tubules. Arch. Pathol. Lab. Med. 2022, 146, 1102–1113. [Google Scholar] [CrossRef]
- Hata, Y.; Ichimata, S.; Yamaguchi, Y.; Hirono, K.; Oku, Y.; Ichida, F.; Nishida, N. Clinicopathological and genetic profiles of cases with myocytes disarray-investigation for establishing the autopsy diagnostic criteria for hypertrophic cardiomyopathy. J. Clin. Med. 2019, 8, 463. [Google Scholar] [CrossRef]
- Ishii, W.; Matsuda, M.; Nakamura, N.; Katsumata, S.; Toriumi, H.; Suzuki, A.; Ikeda, S.-i. Phenol Congo red staining enhances the diagnostic value of abdominal fat aspiration biopsy in reactive AA amyloidosis secondary to rheumatoid arthritis. Intern. Med. 2003, 42, 400–405. [Google Scholar] [CrossRef]






| Small Intestine | Colon | |
|---|---|---|
| # of cases | 22 | 40 |
| Sex (F/M) | 11/11 | 20/20 |
| Mean age (range), all | 86.3 ± 5.0 (80–100) | 85.9 ± 4.8 (80–100) |
| Mean age (range), female | 86.5 ± 5.5 (80–100) | 86.6 ± 5.3 (80–100) |
| Mean age (range), male | 86.0 ± 4.5 (80–94) | 85.2 ± 4.0 (80–94) |
| Constipation (%) * | 5/18 (28) | 10/34 (29) |
| Diabetes-positive (%) * | 1/18 (6) | 4/34 (12) |
| Hypothyroidism (%) ** | 2/18 (11) | 2/34 (6) |
| Chronic thyroiditis (%) | 2 (9) | 3 (8) |
| Lewy body disease (%) | 7 (32) | 11 (28) |
| ATTR-CA-positive (%) | 4 (18) | 7 (18) |
| Cause of death (%) | ||
| Illness | 6 (27) | 9 (23) |
| Accident | 13 (59) | 23 (58) |
| Suicide or homicide | 3 (14) | 8 (20) |
| Small Intestine | Colon | p Value * | |
|---|---|---|---|
| Mucosa-IHCG (range) | 0.1 ± 0.3 (0–1) | 0.5 ± 0.6 (0–2) | 0.01 |
| Submucosa-vessel-IHCG (range) | 1.7 ± 0.7 (1–3) | 1.3 ± 0.7 (0–3) | 0.02 |
| Muscularis propria-IHCG (range) | 1.1 ± 0.8 (0–2) | 1.3 ± 0.8 (0–3) | 0.55 |
| Auerbach plexus-IHCG (range) | 0.8 ± 1.0 (0–3) | 1.2 ± 0.9 (0–3) | 0.03 |
| Subserosa-vessel-IHCG (range) | 2.1 ± 0.8 (1–3) | 2.2 ± 0.7 (1–3) | 0.96 |
| Subserosa-interstitium-IHCG (range) | 2.1 ± 0.7 (1–3) | 1.2 ± 0.8 (0–3) | <0.01 |
| Serosa-IHCG (range) | 2.5 ± 0.7 (1–3) | 0.9 ± 0.7 (0–3) | <0.01 |
| Total IHC score (range/median) | 10.4 ± 3.6 (4–17/10.5) | 8.5 ± 3.7 (1–16/8.0) | 0.09 |
| Birefringence (%) ** | 12/22 (55) | 14/40 (35) | 0.18 |
| Elastofibrosis (%) | 1/22 (5) | 7/40 (18) | 0.24 |
| ATTR-positive (%) | 3 (14) | 4 (10) | 0.69 |
| Case# | Age | Sex | Constipation | DM | HypoT | Thyroiditis | LBD17 * | T-IHC | EF | BF | Possible Cause |
|---|---|---|---|---|---|---|---|---|---|---|---|
| 9 | 87 | M | Definite | Pos | Neg | Neg | 0 | 13 | Pos | Pos | DM/(A)EFEMP1 |
| 11 | 85 | F | Possible | Neg | Neg | Pos | 5 | 2 | Neg | Neg | LBD/HypoT |
| 12 | 83 | M | Possible | Neg | Neg | Neg | 4 | 3 | Neg | Neg | LBD |
| 13 | 88 | F | Possible | Neg | Neg | Neg | 0 | 8 | Neg | Pos | (A)EFEMP1 |
| 14 | 90 | F | Possible | Neg | Neg | Neg | 5 | 9 | Neg | Pos | LBD/(A)EFEMP1 |
| 15 | 84 | F | Possible | Neg | Neg | Neg | 0 | 8 | Neg | Neg | (A)EFEMP1 |
| 20 | 88 | M | Definite | Neg | Neg | Neg | 0 | 11 | Pos | Pos | (A)EFEMP1 |
| 25 | 90 | F | Definite | Neg | Neg | Neg | 0 | 3 | Neg | Neg | Indefinite |
| 27 | 80 | M | Possible | Neg | Neg | Neg | 0 | 5 | Neg | Neg | Indefinite |
| 32 | 87 | M | Possible | Neg | Neg | Neg | 0 | 10 | Pos | Neg | (A)EFEMP1 |
| Case# | Clinical Diagnosis | LBD Stage17 | Heart * | SCG | SNT | AG | Esophagus | Stomach | Small Intestine | Colon |
|---|---|---|---|---|---|---|---|---|---|---|
| 11 | LBD | 5 | Pos | Pos | Pos | Pos | Pos | Pos | Positive | Pos |
| 12 | None | 4 | Pos | Pos | Pos | NA | Neg | Pos | NA | Neg |
| 14 | AD | 5 | Pos | Pos | Neg | Pos | Neg | Neg | NA | Neg |
Disclaimer/Publisher’s Note: The statements, opinions and data contained in all publications are solely those of the individual author(s) and contributor(s) and not of MDPI and/or the editor(s). MDPI and/or the editor(s) disclaim responsibility for any injury to people or property resulting from any ideas, methods, instructions or products referred to in the content. |
© 2024 by the authors. Licensee MDPI, Basel, Switzerland. This article is an open access article distributed under the terms and conditions of the Creative Commons Attribution (CC BY) license (https://creativecommons.org/licenses/by/4.0/).
Share and Cite
Ichimata, S.; Hata, Y.; Yoshida, K.; Nishida, N. Clinicopathological Appearance of Epidermal Growth-Factor-Containing Fibulin-like Extracellular Matrix Protein 1 Deposition in the Lower Gastrointestinal Tract: An Autopsy-Based Study. Int. J. Mol. Sci. 2024, 25, 7581. https://doi.org/10.3390/ijms25147581
Ichimata S, Hata Y, Yoshida K, Nishida N. Clinicopathological Appearance of Epidermal Growth-Factor-Containing Fibulin-like Extracellular Matrix Protein 1 Deposition in the Lower Gastrointestinal Tract: An Autopsy-Based Study. International Journal of Molecular Sciences. 2024; 25(14):7581. https://doi.org/10.3390/ijms25147581
Chicago/Turabian StyleIchimata, Shojiro, Yukiko Hata, Koji Yoshida, and Naoki Nishida. 2024. "Clinicopathological Appearance of Epidermal Growth-Factor-Containing Fibulin-like Extracellular Matrix Protein 1 Deposition in the Lower Gastrointestinal Tract: An Autopsy-Based Study" International Journal of Molecular Sciences 25, no. 14: 7581. https://doi.org/10.3390/ijms25147581
APA StyleIchimata, S., Hata, Y., Yoshida, K., & Nishida, N. (2024). Clinicopathological Appearance of Epidermal Growth-Factor-Containing Fibulin-like Extracellular Matrix Protein 1 Deposition in the Lower Gastrointestinal Tract: An Autopsy-Based Study. International Journal of Molecular Sciences, 25(14), 7581. https://doi.org/10.3390/ijms25147581

