The Role of Lipid Metabolism Disorders in the Development of Thyroid Cancer
Abstract
1. Introduction
1.1. The Thyroid Gland
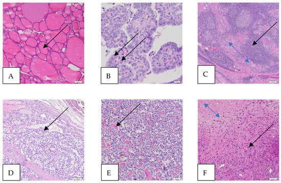
1.2. Thyroid Cancers
1.2.1. Papillary Thyroid Cancer (PTC)
Impact of HT on PTC
1.2.2. Follicular Thyroid Cancer (FTC)
1.2.3. Medullary Thyroid Cancer (MTC)
1.2.4. Anaplastic Thyroid Cancer (ATC)
1.3. Worldwide Burden of TC
2. Reprogramming of Lipid Metabolism in TC
2.1. Fatty Acids
2.2. Products of Lipid Oxidation
2.3. Energy Sources
2.4. Fatty Acid Uptake
2.5. Polar Lipids
| Research Material | Fatty Acid | PTC | FTC | ATC | MTC | ||||
|---|---|---|---|---|---|---|---|---|---|
| Direction of Change | Ref | Direction of Change | Ref | Direction of Change | Ref | Direction of Change | Ref | ||
| Tissues | PA (36:2) | ↑ | [25,89,90] | ↑ | [89] | nd | nd | ||
| PA (36:3) | ↑ | [90] | nd | nd | nd | ||||
| PA(38:3) | ↓ | [25,89] | ↓ | [89] | nd | nd | |||
| PA(38:4) | ↑ | [89] | ↑ | [89] | nd | nd | |||
| PA(38:5) | ↑ | [89] | ↑ | [89] | nd | nd | |||
| PA(40:5) | ↓ | [25] | ↓ | [89] | nd | nd | |||
| PC(32:0) | ↑ | [89,90] | ↑ | [89] | nd | nd | |||
| PC(32:1) | ↑ | [25,90] | nd | nd | nd | ||||
| PC(34:1) | ↑ | [25,89,90] | ↑ | [89] | nd | nd | |||
| PC(16:0/18:1) | ↑ | [91] | nd | nd | nd | ||||
| PC(34:2) | ↓ | [89] | ↓ | [89] | nd | nd | |||
| PC(16:0/18:2) | ↑ | [91] | nd | nd | nd | ||||
| PC(36:1) | ↑ | [90] | ↑ | [89] | nd | nd | |||
| PC(36:2) | ↓ | [89] | ↓ | [89] | nd | nd | |||
| PC(36:3) | ↑ | [90] | ↓ | [89] | nd | nd | |||
| ↓ | [89] | ||||||||
| PC(38:3) | ↓ | [89] | ↓ | [89] | nd | nd | |||
| PC(38:4) | ↓ | [89] | ↓ | [89] | nd | nd | |||
| PC(38:6) | ↑ | [90] | ↑ | [89] | nd | nd | |||
| PE(38:4) | ↓ | [25] | nd | nd | nd | ||||
| PE(42:5) | ↓ | [97] | nd | nd | nd | ||||
| PI(38:4) | ↓ | [25] | nd | nd | nd | ||||
| SM(22:0) | ↓ | [25,89] | ↓ | [89] | nd | nd | |||
| SM(24:1) | ↓ | [25,89] | ↓ | [89] | nd | nd | |||
| SM(34:1) | ↑ | [90] | nd | nd | nd | ||||
| SM(d18:0/16:1) | ↑ | [91] | nd | nd | nd | ||||
| SM(d18:1/16:0) | ↑ | [89] | ↑ | [89] | nd | nd | |||
| SM(36:1) | ↑ | [90] | nd | nd | nd | ||||
| SM(d18:1/18:1) | ↓ | [89] | ↓ | [89] | nd | nd | |||
| MG(16:0) | ↓ | [32] | ↓ | [32] | ↓ | [32] | ↓ | [32] | |
| MG(18:0) | ↓ | [32] | ↓ | [32] | ↓ | [32] | ↓ | [32] | |
| 4-HNE | ↑ | [49] | nd | nd | nd | ||||
| MDA | ↑ | [38,43] | ↑ | [38,43] | nd | nd | |||
| Serum | PA(36:2) | ↓ | [89] | ↓ | [89] | nd | nd | ||
| PA(36:3) | ↓ | [89] | ↓ | [89] | nd | nd | |||
| PA(38:3) | ↓ | [89] | ↓ | [89] | nd | nd | |||
| PA(38:4) | ↓ | [89] | ↓ | [89] | nd | nd | |||
| PA(38:5) | ↓ | [89] | ↓ | [89] | nd | nd | |||
| PA(40:5) | ↓ | [89] | ↓ | [89] | nd | nd | |||
| PA(42:10) | ↓ | [89] | ↓ | [89] | nd | nd | |||
| PC(32:0) | ↑ | [89] | ↑ | [89] | nd | nd | |||
| PC(34:1) | ↑ | [89] | ↑ | [89] | nd | nd | |||
| PC(34:2) | ↑ | [89] | ↑ | [89] | nd | nd | |||
| PC(35:2) | ↑ | [89] | ↑ | [89] | nd | nd | |||
| PC(36:1) | ↑ | [89] | ↑ | [89] | nd | nd | |||
| PC(36:3) | ↑ | [89] | ↑ | [89] | nd | nd | |||
| PC(38:5) | ↓ | [89] | ↓ | [89] | nd | nd | |||
| PC(38:6) | ↓ | [89] | ↓ | [89] | nd | nd | |||
| PC(40:6) | ↓ | [89] | ↓ | [89] | nd | nd | |||
| LPC(P-16:0) | ↓ | [36] | nd | nd | nd | ||||
| LPC(16:0) | ↓ | [36] | nd | nd | nd | ||||
| LPC(16:1) | ↓ | [36] | nd | nd | nd | ||||
| LPC(18:0) | ↓ | [36] | nd | nd | nd | ||||
| LPC(18:1) | ↓ | [36] | nd | nd | nd | ||||
| LPC(18:3) | ↓ | [36] | nd | nd | nd | ||||
| LPC(20:1) | ↓ | [36] | nd | nd | nd | ||||
| LPC(20:4) | ↓ | [36] | nd | nd | nd | ||||
| LPC(20:5) | ↓ | [36] | nd | nd | nd | ||||
| LPC(22:5) | ↓ | [36] | nd | nd | nd | ||||
| LPC(22:6) | ↓ | [36] | nd | nd | nd | ||||
| SM(22:0) | ↓ | [89] | ↓ | [89] | nd | nd | |||
| CerP(d18:1/18:1) | ↓ | [89] | ↓ | [89] | nd | nd | |||
| MDA | nd | ↑ | [98] | nd | ↑ | [44] | |||
| Plasma | PC(O-14:0/15:0) | ↓ | [84] | nd | nd | nd | |||
| LPC(18:2) | nd | [86] | nd | nd | nd | ||||
| PE(36:1) | ↑ | [86] | nd | nd | nd | ||||
| PE(16:0/20:2) | ↓ | [84] | nd | nd | nd | ||||
| PE(P-18:0/18:2) | ↓ | [84] | nd | nd | nd | ||||
| PE(36:3) | ↑ | [86] | nd | nd | nd | ||||
| PE(O- 18:0/18:3) | ↓ | [84] | nd | nd | nd | ||||
| PE (38:3) | ↓ | [86] | nd | nd | nd | ||||
| PE (38:4) | ↓ | [86] | nd | nd | nd | ||||
| PE (18:0p/20:4) | ↑ | [86] | nd | nd | nd | ||||
| PE(O-18:0/20:5) | ↓ | [84] | nd | nd | nd | ||||
| PE (38:6) | ↑ | [86] | nd | nd | nd | ||||
| PE(16:1p/22:6) | ↑ | [86] | nd | nd | nd | ||||
| PE (40:6) | ↓ | [86] | nd | nd | nd | ||||
| PE-NMe(18:1/18:1) | ↑ | [84] | nd | nd | nd | ||||
| LPE(16:0) | nd | [86] | nd | nd | nd | ||||
| LPE(18:1) | ↑ | [86] | nd | nd | nd | ||||
| LPE(18:2) | ↑ | [86] | nd | nd | nd | ||||
| PG(17:0/14:1) | ↓ | [84] | nd | nd | nd | ||||
| PG(16:0/18:2) | nd | [86] | nd | nd | nd | ||||
| PI(18:1/18:0) | ↓ | [84] | nd | nd | nd | ||||
| nd | [86] | ||||||||
| LPI(16:0) | nd | [86] | nd | nd | nd | ||||
| LPI(18:0) | ↑ | [86] | nd | nd | nd | ||||
| LPI(18:1) | ↑ | [86] | nd | nd | nd | ||||
| PS(20:3/18:0) | ↓ | [84] | nd | nd | nd | ||||
| PS(20:4/18:0) | ↓ | [84] | nd | nd | nd | ||||
| SM(d18:1/15:0) | ↑ | [84] | nd | nd | nd | ||||
| SM(d18:1/16:1) | ↑ | [84] | nd | nd | nd | ||||
| SM(d18:1/20:0) | nd | [86] | nd | nd | nd | ||||
| SM(d18:1/22:0) | ↓ | [86] | nd | nd | nd | ||||
| SM(d16:1/24:1) | ↑ | [84] | nd | nd | nd | ||||
| GlcCer(d14:1/24:1) | ↑ | [84] | nd | nd | nd | ||||
| Sulfo HexCer(d18:1/22:0) | ↓ | [86] | nd | nd | nd | ||||
| DG(12:1_18:0) | nd | [86] | nd | nd | nd | ||||
2.6. Enzymes Involved in Lipid Metabolism
3. Effect of Hormones on TC Development and Lipid Metabolism
4. FA Metabolism in TC in the Context of Obesity and Inflammation
5. Therapeutic Strategies Targeting Fatty Acid Metabolism
5.1. Enzyme Inhibition
5.2. Dietetical Supplementation
5.3. Hormones
6. Future Challenges
7. Conclusions
Author Contributions
Funding
Conflicts of Interest
References
- Cote, G.J.; Grubbs, E.G.; Hofmann, M.C. Thyroid C-Cell Biology and Oncogenic Transformation. Recent. Results Cancer Res. 2015, 204, 1–39. [Google Scholar] [PubMed]
- Mullur, R.; Liu, Y.Y.; Brent, G.A. Thyroid Hormone Regulation of Metabolism. Physiol. Rev. 2014, 94, 355–382. [Google Scholar] [CrossRef] [PubMed]
- Kyriacou, A.; Tziaferi, V.; Toumba, M. Stress, Thyroid Dysregulation, and Thyroid Cancer in Children and Adolescents: Proposed Impending Mechanisms. Horm. Res. Paediatr. 2023, 96, 44–53. [Google Scholar] [CrossRef] [PubMed]
- Nguyen, Q.T.; Lee, E.J.; Huang, M.G.; Park, Y.I.; Khullar, A.; Plodkowski, R.A. Diagnosis and Treatment of Patients with Thyroid Cancer. Am. Health Drug Benefits 2015, 8, 30–38. [Google Scholar] [PubMed]
- Ali, S.Z.; Baloch, Z.W.; Cochand-Priollet, B.; Schmitt, F.C.; Vielh, P.; Vanderlaan, P.A. The 2023 Bethesda System for Reporting Thyroid Cytopathology. Thyroid 2023, 33, 1039–1044. [Google Scholar] [CrossRef]
- Tang, J.; Zhanghuang, C.; Yao, Z.; Li, L.; Xie, Y.; Tang, H.; Zhang, K.; Wu, C.; Yang, Z.; Yan, B. Development and Validation of a Nomogram to Predict Cancer-Specific Survival in Middle-Aged Patients with Papillary Thyroid Cancer: A SEER Database Study. Heliyon 2023, 9, e13665. [Google Scholar] [CrossRef] [PubMed]
- Carling, T.; Udelsman, R. Thyroid Cancer. Annu. Rev. Med. 2014, 65, 125–137. [Google Scholar] [CrossRef] [PubMed]
- Choi, U.-S.; Arndt, T. Endocrine and Neuroendocrine Systems. In Canine and Feline Cytopathology; Elsevier: Amsterdam, The Netherlands, 2023; pp. 596–617. ISBN 9780323683685. [Google Scholar]
- Al-Brahim, N.; Asa, S.L. Papillary Thyroid Carcinoma: An Overview. Arch. Pathol. Lab. Med. 2006, 130, 1057–1062. [Google Scholar] [CrossRef] [PubMed]
- Graceffa, G.; Patrone, R.; Vieni, S.; Campanella, S.; Calamia, S.; Laise, I.; Conzo, G.; Latteri, M.; Cipolla, C. Association between Hashimoto’s Thyroiditis and Papillary Thyroid Carcinoma: A Retrospective Analysis of 305 Patients. BMC Endocr. Disord. 2019, 19, 26. [Google Scholar] [CrossRef]
- Boi, F.; Pani, F.; Calò, P.G.; Lai, M.L.; Mariotti, S. High Prevalence of Papillary Thyroid Carcinoma in Nodular Hashimoto’s Thyroiditis at the First Diagnosis and during the Follow-Up. J. Endocrinol. Invest. 2018, 41, 395–402. [Google Scholar] [CrossRef]
- Ragusa, F.; Fallahi, P.; Elia, G.; Gonnella, D.; Paparo, S.R.; Giusti, C.; Churilov, L.P.; Ferrari, S.M.; Antonelli, A. Hashimotos’ Thyroiditis: Epidemiology, Pathogenesis, Clinic and Therapy. Best. Pract. Res. Clin. Endocrinol. Metab. 2019, 33, 101367. [Google Scholar] [CrossRef]
- Bockhorn, M.; Sheu, S.-Y.; Frilling, A.; Molmenti, E.; Schmid, K.W.; Broelsch, C.E. Paraganglioma-Like Medullary Thyroid Carcinoma: A Rare Entity. Thyroid 2005, 15, 1363–1367. [Google Scholar] [CrossRef]
- Matrone, A.; Gambale, C.; Prete, A.; Elisei, R. Sporadic Medullary Thyroid Carcinoma: Towards a Precision Medicine. Front. Endocrinol. 2022, 13, 864253. [Google Scholar] [CrossRef]
- Nagaiah, G.; Hossain, A.; Mooney, C.J.; Parmentier, J.; Remick, S.C. Anaplastic Thyroid Cancer: A Review of Epidemiology, Pathogenesis, and Treatment. J. Oncol. 2011, 2011, 542358. [Google Scholar] [CrossRef]
- Ragazzi, M.; Ciarrocchi, A.; Sancisi, V.; Gandolfi, G.; Bisagni, A.; Piana, S. Update on Anaplastic Thyroid Carcinoma: Morphological, Molecular, and Genetic Features of the Most Aggressive Thyroid Cancer. Int. J. Endocrinol. 2014, 2014, 790834. [Google Scholar] [CrossRef]
- Kitahara, C.M.; Schneider, A.B. Epidemiology of Thyroid Cancer. Cancer Epidemiol. Biomark. Prev. 2022, 31, 1284–1297. [Google Scholar] [CrossRef]
- De Villalonga, B.; Volpi, F.; Chumbiauca, E.; Garcia, M.; Guillen-Grima, F.; Carlos, G.J. The Incidence of Thyroid Cancer in Europe: A Meta-Analysis. Endocr. Abstr. 2023, 92, PS2-16-03. [Google Scholar] [CrossRef]
- Huang, J.; Ngai, C.H.; Deng, Y.; Pun, C.N.; Lok, V.; Zhang, L.; Xu, Q.; Lucero-Prisno, D.E.; Xu, W.; Zheng, Z.-J.; et al. Incidence and Mortality of Thyroid Cancer in 50 Countries: A Joinpoint Regression Analysis of Global Trends. Endocrine 2023, 80, 355–365. [Google Scholar] [CrossRef]
- Ciavardelli, D.; Bellomo, M.; Consalvo, A.; Crescimanno, C.; Vella, V. Metabolic Alterations of Thyroid Cancer as Potential Therapeutic Targets. Biomed. Res. Int. 2017, 2017, 2545031. [Google Scholar] [CrossRef]
- Zeng, L.; Wu, G.-Z.; Goh, K.J.; Lee, Y.M.; Ng, C.C.; You, A.B.; Wang, J.; Jia, D.; Hao, A.; Yu, Q.; et al. Saturated Fatty Acids Modulate Cell Response to DNA Damage: Implication for Their Role in Tumorigenesis. PLoS ONE 2008, 3, e2329. [Google Scholar] [CrossRef]
- Calder, P.C. Functional Roles of Fatty Acids and Their Effects on Human Health. J. Parenter. Enter. Nutr. 2015, 39, 18S–32S. [Google Scholar] [CrossRef]
- Farrokhi Yekta, R.; Rezaie Tavirani, M.; Arefi Oskouie, A.; Mohajeri-Tehrani, M.R.; Soroush, A.R. The Metabolomics and Lipidomics Window into Thyroid Cancer Research. Biomarkers 2016, 22, 595–603. [Google Scholar] [CrossRef]
- Biswas, P.; Datta, C.; Rathi, P.; Bhattacharjee, A. Fatty Acids and Their Lipid Mediators in the Induction of Cellular Apoptosis in Cancer Cells. Prostaglandins Other Lipid Mediat. 2022, 160, 106637. [Google Scholar] [CrossRef]
- Guo, S.; Wang, Y.; Zhou, D.; Li, Z. Significantly Increased Monounsaturated Lipids Relative to Polyunsaturated Lipids in Six Types of Cancer Microenvironment Are Observed by Mass Spectrometry Imaging. Sci. Rep. 2014, 4, 5959. [Google Scholar] [CrossRef]
- Jajin, M.G.; Abooshahab, R.; Hooshmand, K.; Moradi, A.; Siadat, S.D.; Mirzazadeh, R.; Chegini, K.G.; Hedayati, M. Gas Chromatography-Mass Spectrometry-Based Untargeted Metabolomics Reveals Metabolic Perturbations in Medullary Thyroid Carcinoma. Sci. Rep. 2022, 12, 8397. [Google Scholar] [CrossRef]
- Lu, J.; Zhang, Y.; Sun, M.; Ding, C.; Zhang, L.; Kong, Y.; Cai, M.; Miccoli, P.; Ma, C.; Yue, X. Multi-Omics Analysis of Fatty Acid Metabolism in Thyroid Carcinoma. Front. Oncol. 2021, 11, 737127. [Google Scholar] [CrossRef]
- Kim, K.M.; Jung, B.H.; Lho, D.-S.; Chung, W.Y.; Paeng, K.-J.; Chung, B.C. Alteration of Urinary Profiles of Endogenous Steroids and Polyunsaturated Fatty Acids in Thyroid Cancer. Cancer Lett. 2003, 202, 173–179. [Google Scholar] [CrossRef]
- Tian, Y.; Nie, X.; Xu, S.; Li, Y.; Huang, T.; Tang, H.; Wang, Y. Integrative Metabonomics as Potential Method for Diagnosis of Thyroid Malignancy. Sci. Rep. 2015, 5, 14869. [Google Scholar] [CrossRef]
- Xu, Y.; Zheng, X.; Qiu, Y.; Jia, W.; Wang, J.; Yin, S. Distinct Metabolomic Profiles of Papillary Thyroid Carcinoma and Benign Thyroid Adenoma. J. Proteome Res. 2015, 14, 3315–3321. [Google Scholar] [CrossRef]
- Leng, J.; Guan, Q.; Sun, T.; Wu, Y.; Cao, Y.; Guo, Y. Application of Isotope-Based Carboxy Group Derivatization in LC-MS/MS Analysis of Tissue Free-Fatty Acids for Thyroid Carcinoma. J. Pharm. Biomed. Anal. 2013, 84, 256–262. [Google Scholar] [CrossRef]
- Wojakowska, A.; Chekan, M.; Marczak, Ł.; Polanski, K.; Lange, D.; Pietrowska, M.; Widlak, P. Detection of Metabolites Discriminating Subtypes of Thyroid Cancer: Molecular Profiling of FFPE Samples Using the GC/MS Approach. Mol. Cell Endocrinol. 2015, 417, 149–157. [Google Scholar] [CrossRef]
- Shang, X.; Zhong, X.; Tian, X. Metabolomics of Papillary Thyroid Carcinoma Tissues: Potential Biomarkers for Diagnosis and Promising Targets for Therapy. Tumor Biol. 2016, 37, 11163–11175. [Google Scholar] [CrossRef]
- Chen, M.; Shen, M.; Li, Y.; Liu, C.; Zhou, K.; Hu, W.; Xu, B.; Xia, Y.; Tang, W. GC-MS-Based Metabolomic Analysis of Human Papillary Thyroid Carcinoma Tissue. Int. J. Mol. Med. 2015, 36, 1607–1614. [Google Scholar] [CrossRef]
- Zhang, Y.; Qiu, L.; He, C.; Wang, Y.; Liu, Y.; Zhang, D.; Li, Z. Serum Unsaturated Free Fatty Acids: A Potential Biomarker Panel for Differentiating Benign Thyroid Diseases from Thyroid Cancer. J. Cancer 2015, 6, 1276–1281. [Google Scholar] [CrossRef][Green Version]
- Yao, Z.; Yin, P.; Su, D.; Peng, Z.; Zhou, L.; Ma, L.; Guo, W.; Ma, L.; Xu, G.; Shi, J.; et al. Serum Metabolic Profiling and Features of Papillary Thyroid Carcinoma and Nodular Goiter. Mol. Biosyst. 2011, 7, 2608. [Google Scholar] [CrossRef]
- Abooshahab, R.; Hooshmand, K.; Razavi, S.A.; Gholami, M.; Sanoie, M.; Hedayati, M. Plasma Metabolic Profiling of Human Thyroid Nodules by Gas Chromatography-Mass Spectrometry (GC-MS)-Based Untargeted Metabolomics. Front. Cell Dev. Biol. 2020, 8, 385. [Google Scholar] [CrossRef]
- Akinci, M.; Kosova, F.; Çetin, B.; Sepici, A.; Altan, N.; Aslan, S.; Çetin, A. Oxidant/Antioxidant Balance in Patients with Thyroid Cancer. Acta Cir. Bras. 2008, 23, 551–554. [Google Scholar] [CrossRef][Green Version]
- Stanley, J.; Neelamohan, R.; Suthagar, E.; Vengatesh, G.; Jayakumar, J.; Chandrasekaran, M.; Banu, S.; Aruldhas, M. Lipid Peroxidation and Antioxidants Status in Human Malignant and Non-Malignant Thyroid Tumours. Hum. Exp. Toxicol. 2016, 35, 585–597. [Google Scholar] [CrossRef]
- Muzza, M.; Pogliaghi, G.; Colombo, C.; Carbone, E.; Cirello, V.; Palazzo, S.; Frattini, F.; Gentilini, D.; Gazzano, G.; Persani, L.; et al. Oxidative Stress Correlates with More Aggressive Features in Thyroid Cancer. Cancers 2022, 14, 5857. [Google Scholar] [CrossRef]
- Yi, J.W.; Park, J.Y.; Sung, J.-Y.; Kwak, S.H.; Yu, J.; Chang, J.H.; Kim, J.-H.; Ha, S.Y.; Paik, E.K.; Lee, W.S.; et al. Genomic Evidence of Reactive Oxygen Species Elevation in Papillary Thyroid Carcinoma with Hashimoto Thyroiditis. Endocr. J. 2015, 62, 857–877. [Google Scholar] [CrossRef]
- Ayala, A.; Muñoz, M.F.; Argüelles, S. Lipid Peroxidation: Production, Metabolism, and Signaling Mechanisms of Malondialdehyde and 4-Hydroxy-2-Nonenal. Oxid. Med. Cell Longev. 2014, 2014, 360438. [Google Scholar] [CrossRef]
- Terzioglu, D.; Teksoz, S.; Arikan, A.E.; Uslu, E.; Yılmaz, E.; Eren, B. Relationship of Hemoxygenase-1 and Prolidase Enzyme Activity with Oxidative Stress in Papillary Thyroid Cancer. Hippokratia 2016, 20, 55–59. [Google Scholar]
- Hosseini-Zijoud, S.M.; Ebadi, S.A.; Goodarzi, M.T.; Hedayati, M.; Abbasalipourkabir, R.; Mahjoob, M.P. Lipid Peroxidation and Antioxidant Status in Patients with Medullary Thyroid Carcinoma: A Case-Control Study. J. Clin. Diagn. Res. 2016, 10, BC04–BC07. [Google Scholar] [CrossRef]
- Buczyńska, A.; Sidorkiewicz, I.; Kościuszko, M.; Adamska, A.; Siewko, K.; Dzięcioł, J.; Szumowski, P.; Myśliwiec, J.; Szelachowska, M.; Popławska-Kita, A.; et al. Clinical Significance of Oxidative Stress Markers as Angioinvasion and Metastasis Indicators in Papillary Thyroid Cancer. Sci. Rep. 2023, 13, 13711. [Google Scholar] [CrossRef]
- Buczyńska, A.; Sidorkiewicz, I.; Kościuszko, M.; Adamska, A.; Siewko, K.; Dzięcioł, J.; Szumowski, P.; Myśliwiec, J.; Popławska-Kita, A.; Krętowski, A.J. The Relationship between Oxidative Status and Radioiodine Treatment Qualification among Papillary Thyroid Cancer Patients. Cancers 2023, 15, 2436. [Google Scholar] [CrossRef]
- Gasparovic, A.C.; Milkovic, L.; Sunjic, S.B.; Zarkovic, N. Cancer Growth Regulation by 4-Hydroxynonenal. Free Radic. Biol. Med. 2017, 111, 226–234. [Google Scholar] [CrossRef]
- Young, O.; Crotty, T.; O’Connell, R.; O’Sullivan, J.; Curran, A.J. Levels of Oxidative Damage and Lipid Peroxidation in Thyroid Neoplasia. Head. Neck 2010, 32, 750–756. [Google Scholar] [CrossRef]
- Lopes, N.M.D.; Lens, H.H.M.; da Silva Brito, W.A.; Bianchi, J.K.; Marinello, P.C.; Cecchini, R.; Armani, A.; Cecchini, A.L. Role of Papillary Thyroid Carcinoma Patients with Hashimoto Thyroiditis: Evaluation of Oxidative Stress and Inflammatory Markers. Clin. Transl. Oncol. 2022, 24, 2366–2378. [Google Scholar] [CrossRef]
- Ji, B.; Liu, Y.; Zhang, P.; Wang, Y.; Wang, G. COX-2 Expression and Tumor Angiogenesis in Thyroid Carcinoma Patients among Northeast Chinese Population-Result of a Single-Center Study. Int. J. Med. Sci. 2012, 9, 237–242. [Google Scholar] [CrossRef][Green Version]
- Ito, Y.; Yoshida, H.; Nakano, K.; Takamura, Y.; Miya, A.; Kobayashi, K.; Yokozawa, T.; Matsuzuka, F.; Matsuura, N.; Kuma, K.; et al. Cyclooxygenase-2 Expression in Thyroid Neoplasms. Histopathology 2003, 42, 492–497. [Google Scholar] [CrossRef]
- Sun, L.; Wei, X.; Liu, X.; Zhou, D.; Hu, F.; Zeng, Y.; Sun, Y.; Luo, S.; Zhang, Y.; Yi, X.P. Expression of Prostaglandin E2 and EP Receptors in Human Papillary Thyroid Carcinoma. Tumor Biol. 2016, 37, 4689–4697. [Google Scholar] [CrossRef] [PubMed]
- Parvathareddy, S.K.; Siraj, A.K.; Annaiyappanaidu, P.; Al-Sobhi, S.S.; Al-Dayel, F.; Al-Kuraya, K.S. Prognostic Significance of COX-2 Overexpression in BRAF-Mutated Middle Eastern Papillary Thyroid Carcinoma. Int. J. Mol. Sci. 2020, 21, 9498. [Google Scholar] [CrossRef]
- Krawczyk-Rusiecka, K.; Wojciechowska-Durczynska, K.; Cyniak-Magierska, A.; Zygmunt, A.; Lewinski, A. Assessment of Cyclooxygenase-1 and 2 Gene Expression Levels in Chronic Autoimmune Thyroiditis, Papillary Thyroid Carcinoma and Nontoxic Nodular Goitre. Thyroid. Res. 2014, 7, 10. [Google Scholar] [CrossRef][Green Version]
- Lee, H.-M.; Baek, S.-K.; Kwon, S.-Y.; Jung, K.-Y.; Chae, S.-W.; Hwang, S.-J.; Woo, J.-S.; Lee, J.-Y. Cyclooxygenase 1 and 2 Expressions in the Human Thyroid Gland. Eur. Arch. Oto-Rhino-Laryngol. 2006, 263, 199–204. [Google Scholar] [CrossRef]
- Fu, X.; Zhang, H.; Chen, Z.; Yang, Z.; Shi, D.; Liu, T.; Chen, W.; Yao, F.; Su, X.; Deng, W.; et al. TFAP2B Overexpression Contributes to Tumor Growth and Progression of Thyroid Cancer through the COX-2 Signaling Pathway. Cell Death Dis. 2019, 10, 397. [Google Scholar] [CrossRef]
- Krawczyk-Rusiecka, K.; Lewiński, A. Cyclooxygenase-2 Expression and Its Association with Thyroid Lesions. Arch. Med. Sci. 2010, 6, 653–657. [Google Scholar] [CrossRef]
- Lo, C.-Y.; Lam, K.-Y.; Leung, P.P.; Luk, J.M. High Prevalence of Cyclooxygenase 2 Expression in Papillary Thyroid Carcinoma. Eur. J. Endocrinol. 2005, 152, 545–550. [Google Scholar] [CrossRef][Green Version]
- Pradono, P.; Tazawa, R.; Maemondo, M.; Tanaka, M.; Usui, K.; Saijo, Y.; Hagiwara, K.; Nukiwa, T. Gene Transfer of Thromboxane A(2) Synthase and Prostaglandin I(2) Synthase Antithetically Altered Tumor Angiogenesis and Tumor Growth. Cancer Res. 2002, 62, 63–66. [Google Scholar]
- Siironen, P.; Ristimäki, A.; Nordling, S.; Louhimo, J.; Haapiainen, R.; Haglund, C. Expression of COX-2 Is Increased with Age in Papillary Thyroid Cancer. Histopathology 2004, 44, 490–497. [Google Scholar] [CrossRef]
- Cunha, L.L.; Marcello, M.A.; Nonogaki, S.; Morari, E.C.; Soares, F.A.; Vassallo, J.; Ward, L.S. CD 8+ Tumour-infiltrating Lymphocytes and COX2 Expression May Predict Relapse in Differentiated Thyroid Cancer. Clin. Endocrinol. 2015, 83, 246–253. [Google Scholar] [CrossRef]
- Kajita, S.; Ruebel, K.H.; Casey, M.B.; Nakamura, N.; Lloyd, R.V. Role of COX-2, Thromboxane A2 Synthase, and Prostaglandin I2 Synthase in Papillary Thyroid Carcinoma Growth. Mod. Pathol. 2005, 18, 221–227. [Google Scholar] [CrossRef]
- Kummer, N.T.; Nowicki, T.S.; Azzi, J.P.; Reyes, I.; Iacob, C.; Xie, S.; Swati, I.; Darzynkiewicz, Z.; Gotlinger, K.H.; Suslina, N.; et al. Arachidonate 5 Lipoxygenase Expression in Papillary Thyroid Carcinoma Promotes Invasion via MMP-9 Induction. J. Cell Biochem. 2012, 113, 1998–2008. [Google Scholar] [CrossRef]
- Reyes, I.; Reyes, N.; Suriano, R.; Iacob, C.; Suslina, N.; Policastro, A.; Moscatello, A.; Schantz, S.; Tiwari, R.K.; Geliebter, J. Gene Expression Profiling Identifies Potential Molecular Markers of Papillary Thyroid Carcinoma. Cancer Biomark. 2019, 24, 71–83. [Google Scholar] [CrossRef]
- Nigam, S.; Zafiriou, M.; Deva, R.; Ciccoli, R.; Roux-Van der Merwe, R. Structure, Biochemistry and Biology of Hepoxilins. FEBS J. 2007, 274, 3503–3512. [Google Scholar] [CrossRef]
- Prasad, V.V.T.S.; Padma, K. Non-Synonymous Polymorphism (Gln261Arg) of 12-Lipoxygenase in Colorectal and Thyroid Cancers. Fam. Cancer 2012, 11, 615–621. [Google Scholar] [CrossRef]
- Gallegos Vargas, J.; Sanchez Roldan, J.; Ronquillo Sanchez, M.; Carmona Aparicio, L.; Floriano Sanchez, E.; Cardenas Rodriguez, N. Gene Expression of CYP1A1 and Its Possible Clinical Application in Thyroid Cancer Cases. Asian Pac. J. Cancer Prev. 2016, 17, 3477–3482. [Google Scholar]
- Revilla, G.; Pons, M.d.P.; Baila-Rueda, L.; García-León, A.; Santos, D.; Cenarro, A.; Magalhaes, M.; Blanco, R.M.; Moral, A.; Ignacio Pérez, J.; et al. Cholesterol and 27-Hydroxycholesterol Promote Thyroid Carcinoma Aggressiveness. Sci. Rep. 2019, 9, 10260. [Google Scholar] [CrossRef]
- Strickaert, A.; Corbet, C.; Spinette, S.-A.; Craciun, L.; Dom, G.; Andry, G.; Larsimont, D.; Wattiez, R.; Dumont, J.E.; Feron, O.; et al. Reprogramming of Energy Metabolism: Increased Expression and Roles of Pyruvate Carboxylase in Papillary Thyroid Cancer. Thyroid 2019, 29, 845–857. [Google Scholar] [CrossRef]
- Smith, B.; Schafer, X.L.; Ambeskovic, A.; Spencer, C.M.; Land, H.; Munger, J. Addiction to Coupling of the Warburg Effect with Glutamine Catabolism in Cancer Cells. Cell Rep. 2016, 17, 821–836. [Google Scholar] [CrossRef] [PubMed]
- Gebregiworgis, T.; Purohit, V.; Shukla, S.K.; Tadros, S.; Chaika, N.V.; Abrego, J.; Mulder, S.E.; Gunda, V.; Singh, P.K.; Powers, R. Glucose Limitation Alters Glutamine Metabolism in MUC1-Overexpressing Pancreatic Cancer Cells. J. Proteome Res. 2017, 16, 3536–3546. [Google Scholar] [CrossRef] [PubMed]
- Wang, J.; Xiang, H.; Lu, Y.; Wu, T.; Ji, G. The Role and Therapeutic Implication of CPTs in Fatty Acid Oxidation and Cancers Progression. Am. J. Cancer Res. 2021, 11, 2477–2494. [Google Scholar]
- Wang, R.; Cheng, Y.; Su, D.; Gong, B.; He, X.; Zhou, X.; Pang, Z.; Cheng, L.; Chen, Y.; Yao, Z. Cpt1c Regulated by AMPK Promotes Papillary Thyroid Carcinomas Cells Survival under Metabolic Stress Conditions. J. Cancer 2017, 8, 3675–3681. [Google Scholar] [CrossRef]
- Lohse, I.; Reilly, P.; Zaugg, K. The CPT1C 5′UTR Contains a Repressing Upstream Open Reading Frame That Is Regulated by Cellular Energy Availability and AMPK. PLoS ONE 2011, 6, 21486. [Google Scholar] [CrossRef]
- von Roemeling, C.A.; Copland, J.A. Targeting Lipid Metabolism for the Treatment of Anaplastic Thyroid Carcinoma. Expert. Opin. Ther. Targets 2016, 20, 159–166. [Google Scholar] [CrossRef] [PubMed]
- Valvo, V.; Iesato, A.; Kavanagh, T.R.; Priolo, C.; Zsengeller, Z.; Pontecorvi, A.; Stillman, I.E.; Burke, S.D.; Liu, X.; Nucera, C. Fine-Tuning Lipid Metabolism by Targeting Mitochondria-Associated Acetyl-Coa-Carboxylase 2 in BRAFV600E Papillary Thyroid Carcinoma. Thyroid 2021, 31, 1335–1358. [Google Scholar] [CrossRef]
- Enns, L.; Ladiges, W. Mitochondrial Redox Signaling and Cancer Invasiveness. J. Bioenerg. Biomembr. 2012, 44, 635–638. [Google Scholar] [CrossRef][Green Version]
- Nagayama, Y.; Hamada, K. Reprogramming of Cellular Metabolism and Its Therapeutic Applications in Thyroid Cancer. Metabolites 2022, 12, 1214. [Google Scholar] [CrossRef]
- Bao, L.; Xu, T.; Lu, X.; Huang, P.; Pan, Z.; Ge, M. Metabolic Reprogramming of Thyroid Cancer Cells and Crosstalk in Their Microenvironment. Front. Oncol. 2021, 11, 773028. [Google Scholar] [CrossRef]
- Lu, J.; Zhang, Y.; Sun, M.; Ding, C.; Zhang, L.; Kong, Y.; CAI, M.; Miccoli, P.; Ma, C.; Yue, X. Fatty Acid Metabolism as a Potential Therapeutic Target in Thyroid Carcinoma. SSRN Electron. J. 2021, 1–28. [Google Scholar] [CrossRef]
- Longo, N.; Frigeni, M.; Pasquali, M. Carnitine Transport and Fatty Acid Oxidation. Biochim. Biophys. Acta (BBA)-Mol. Cell Res. 2016, 1863, 2422–2435. [Google Scholar] [CrossRef]
- Revilla, G.; Corcoy, R.; Moral, A.; Escolà-Gil, J.C.; Mato, E. Cross-Talk between Inflammatory Mediators and the Epithelial Mesenchymal Transition Process in the Development of Thyroid Carcinoma. Int. J. Mol. Sci. 2019, 20, 2466. [Google Scholar] [CrossRef] [PubMed]
- Bandu, R.; Mok, H.J.; Kim, K.P. Phospholipids as Cancer Biomarkers: Mass Spectrometry-based Analysis. Mass. Spectrom. Rev. 2018, 37, 107–138. [Google Scholar] [CrossRef]
- Jiang, N.; Zhang, Z.; Chen, X.; Zhang, G.; Wang, Y.; Pan, L.; Yan, C.; Yang, G.; Zhao, L.; Han, J.; et al. Plasma Lipidomics Profiling Reveals Biomarkers for Papillary Thyroid Cancer Diagnosis. Front. Cell Dev. Biol. 2021, 9, 682269. [Google Scholar] [CrossRef] [PubMed]
- Companioni, O.; Mir, C.; Garcia-Mayea, Y.; LLeonart, M.E. Targeting Sphingolipids for Cancer Therapy. Front. Oncol. 2021, 11, 745092. [Google Scholar] [CrossRef] [PubMed]
- Lee, G.B.; Lee, J.C.; Moon, M.H. Plasma Lipid Profile Comparison of Five Different Cancers by Nanoflow Ultrahigh Performance Liquid Chromatography-Tandem Mass Spectrometry. Anal. Chim. Acta 2019, 1063, 117–126. [Google Scholar] [CrossRef] [PubMed]
- Makide, K.; Kitamura, H.; Sato, Y.; Okutani, M.; Aoki, J. Emerging Lysophospholipid Mediators, Lysophosphatidylserine, Lysophosphatidylthreonine, Lysophosphatidylethanolamine and Lysophosphatidylglycerol. Prostaglandins Other Lipid Mediat. 2009, 89, 135–139. [Google Scholar] [CrossRef] [PubMed]
- Saito, R.d.F.; Andrade, L.N.d.S.; Bustos, S.O.; Chammas, R. Phosphatidylcholine-Derived Lipid Mediators: The Crosstalk Between Cancer Cells and Immune Cells. Front. Immunol. 2022, 13, 768606. [Google Scholar] [CrossRef]
- Guo, S.; Qiu, L.; Wang, Y.; Qin, X.; Liu, H.; He, M.; Zhang, Y.; Li, Z.; Chen, X. Tissue Imaging and Serum Lipidomic Profiling for Screening Potential Biomarkers of Thyroid Tumors by Matrix-Assisted Laser Desorption/Ionization-Fourier Transform Ion Cyclotron Resonance Mass Spectrometry. Anal. Bioanal. Chem. 2014, 406, 4357–4370. [Google Scholar] [CrossRef]
- Wojakowska, A.; Cole, L.M.; Chekan, M.; Bednarczyk, K.; Maksymiak, M.; Oczko-Wojciechowska, M.; Jarząb, B.; Clench, M.R.; Polańska, J.; Pietrowska, M.; et al. Discrimination of Papillary Thyroid Cancer from Non-Cancerous Thyroid Tissue Based on Lipid Profiling by Mass Spectrometry Imaging. Endokrynol. Pol. 2018, 69, 2–8. [Google Scholar] [CrossRef]
- Ishikawa, S.; Tateya, I.; Hayasaka, T.; Masaki, N.; Takizawa, Y.; Ohno, S.; Kojima, T.; Kitani, Y.; Kitamura, M.; Hirano, S.; et al. Increased Expression of Phosphatidylcholine (16:0/18:1) and (16:0/18:2) in Thyroid Papillary Cancer. PLoS ONE 2012, 7, e48873. [Google Scholar] [CrossRef]
- Seeley, E.H.; Caprioli, R.M. MALDI Imaging Mass Spectrometry of Human Tissue: Method Challenges and Clinical Perspectives. Trends Biotechnol. 2011, 29, 136–143. [Google Scholar] [CrossRef] [PubMed]
- Ali, U.; Lu, S.; Fadlalla, T.; Iqbal, S.; Yue, H.; Yang, B.; Hong, Y.; Wang, X.; Guo, L. The Functions of Phospholipases and Their Hydrolysis Products in Plant Growth, Development and Stress Responses. Prog. Lipid Res. 2022, 86, 101158. [Google Scholar] [CrossRef] [PubMed]
- Wang, Z.; Yang, Y.; Xing, Y.; Si, D.; Wang, S.; Lin, J.; Li, C.; Zhang, J.; Yin, D. Combined Metabolomic and Lipidomic Analysis Uncovers Metabolic Profile and Biomarkers for Papillary Thyroid Carcinoma. Sci. Rep. 2023, 13, 17666. [Google Scholar] [CrossRef] [PubMed]
- Li, R.-Z.; Wang, X.-R.; Wang, J.; Xie, C.; Wang, X.-X.; Pan, H.-D.; Meng, W.-Y.; Liang, T.-L.; Li, J.-X.; Yan, P.-Y.; et al. The Key Role of Sphingolipid Metabolism in Cancer: New Therapeutic Targets, Diagnostic and Prognostic Values, and Anti-Tumor Immunotherapy Resistance. Front. Oncol. 2022, 12, 941643. [Google Scholar] [CrossRef]
- Säljö, K.; Thornell, A.; Jin, C.; Norlén, O.; Teneberg, S. Characterization of Human Medullary Thyroid Carcinoma Glycosphingolipids Identifies Potential Cancer Markers. Int. J. Mol. Sci. 2021, 22, 10463. [Google Scholar] [CrossRef] [PubMed]
- Sun, Z.; Feng, D.; Jiang, L.; Tian, J.; Wang, J.; Zhu, W. Integrated Proteomic and Metabolomic Analysis of Plasma Reveals Regulatory Pathways and Key Elements in Thyroid Cancer. Mol. Omics 2023, 19, 800–809. [Google Scholar] [CrossRef] [PubMed]
- Al-Sudani, B.T.; Al-Mugdadi, S.F.H.; Mohammed, A.A. Evaluation of Oxidative Stress in Patients of Follicular Thyroid Cancer and Study the Therapeutic Effect of Resveratrol on Oxidativstress in FTC-133 Thyroid Cancer Cell Line. Int. J. Drug Deliv. Technol. 2019, 9, 165–171. [Google Scholar] [CrossRef]
- Hunkeler, M.; Hagmann, A.; Stuttfeld, E.; Chami, M.; Guri, Y.; Stahlberg, H.; Maier, T. Structural Basis for Regulation of Human Acetyl-CoA Carboxylase. Nature 2018, 558, 470–474. [Google Scholar] [CrossRef]
- Uddin, S.; Siraj, A.K.; Al-Rasheed, M.; Ahmed, M.; Bu, R.; Myers, J.N.; Al-Nuaim, A.; Al-Sobhi, S.; Al-Dayel, F.; Bavi, P.; et al. Fatty Acid Synthase and AKT Pathway Signaling in a Subset of Papillary Thyroid Cancers. J. Clin. Endocrinol. Metab. 2008, 93, 4088–4097. [Google Scholar] [CrossRef]
- Liu, C.; Zhou, X.; Pan, Y.; Liu, Y.; Zhang, Y. Pyruvate Carboxylase Promotes Thyroid Cancer Aggressiveness through Fatty Acid Synthesis. BMC Cancer 2021, 21, 722. [Google Scholar] [CrossRef]
- Sekiguchi, M.; Shiroko, Y.; Arai, T.; Kishino, T.; Sugawara, I.; Kusakabe, T.; Suzuki, T.; Yamashita, T.; Obara, T.; Ito, K.; et al. Biological Characteristics and Chemosensitivity Profile of Four Human Anaplastic Thyroid Carcinoma Cell Lines. Biomed. Pharmacother. 2001, 55, 466–474. [Google Scholar] [CrossRef] [PubMed]
- Liu, J.; Brown, R.E. Immunohistochemical Expressions of Fatty Acid Synthase and Phosphorylated C-Met in Thyroid Carcinomas of Follicular Origin. Int. J. Clin. Exp. Pathol. 2011, 4, 755–764. [Google Scholar]
- von Roemeling, C.A.; Marlow, L.A.; Pinkerton, A.B.; Crist, A.; Miller, J.; Tun, H.W.; Smallridge, R.C.; Copland, J.A. Aberrant Lipid Metabolism in Anaplastic Thyroid Carcinoma Reveals Stearoyl CoA Desaturase 1 as a Novel Therapeutic Target. J. Clin. Endocrinol. Metab. 2015, 100, E697–E709. [Google Scholar] [CrossRef]
- Huang, S.-S.; Tsai, C.-H.; Kuo, C.-Y.; Li, Y.-S.; Cheng, S.-P. ACLY Inhibitors Induce Apoptosis and Potentiate Cytotoxic Effects of Sorafenib in Thyroid Cancer Cells. Endocrine 2022, 78, 85–94. [Google Scholar] [CrossRef] [PubMed]
- Philippe, I.; Hubert, L. The Reduced Concentration of Citrate in Cancer Cells: An Indicator of Cancer Aggressiveness and a Possible Therapeutic Target. Drug Resist. Updates 2016, 29, 47–53. [Google Scholar] [CrossRef] [PubMed]
- Feng, K.; Ma, R.; Li, H.; Yin, K.; Du, G.; Chen, X.; Liu, Z.; Yin, D. Upregulated SLC27A2/FATP2 in Differentiated Thyroid Carcinoma Promotes Tumor Proliferation and Migration. J. Clin. Lab. Anal. 2022, 36, e24148. [Google Scholar] [CrossRef]
- Dai, J.; Yu, X.; Han, Y.; Chai, L.; Liao, Y.; Zhong, P.; Xie, R.; Sun, X.; Huang, Q.; Wang, J.; et al. TMT-Labeling Proteomics of Papillary Thyroid Carcinoma Reveal Invasive Biomarkers. J. Cancer 2020, 11, 6122–6132. [Google Scholar] [CrossRef] [PubMed]
- Yang, J.; Liu, X.; Shao, Y.; Zhou, H.; Pang, L.; Zhu, W. Diagnostic, Prognostic, and Immunological Roles of FABP4 in Pancancer: A Bioinformatics Analysis. Comput. Math. Methods Med. 2022, 2022, 3764914. [Google Scholar] [CrossRef] [PubMed]
- Chen, J.; Cao, H.; Lian, M.; Fang, J. Five Genes Influenced by Obesity May Contribute to the Development of Thyroid Cancer through the Regulation of Insulin Levels. PeerJ 2020, 8, e9302. [Google Scholar] [CrossRef]
- Pan, Y.; Wu, L.; He, S.; Wu, J.; Wang, T.; Zang, H. Identification of Hub Genes in Thyroid Carcinoma to Predict Prognosis by Integrated Bioinformatics Analysis. Bioengineered 2021, 12, 2928–2940. [Google Scholar] [CrossRef]
- Li, J.; Mi, L.; Ran, B.; Sui, C.; Zhou, L.; Li, F.; Dionigi, G.; Sun, H.; Liang, N. Identification of Potential Diagnostic and Prognostic Biomarkers for Papillary Thyroid Microcarcinoma (PTMC) Based on TMT-Labeled LC–MS/MS and Machine Learning. J. Endocrinol. Invest. 2022, 46, 1131–1143. [Google Scholar] [CrossRef]
- Choi, D.; Ramu, S.; Park, E.; Jung, E.; Yang, S.; Jung, W.; Choi, I.; Lee, S.; Kim, K.E.; Seong, Y.J.; et al. Aberrant Activation of Notch Signaling Inhibits PROX1 Activity to Enhance the Malignant Behavior of Thyroid Cancer Cells. Cancer Res. 2016, 76, 582–593. [Google Scholar] [CrossRef]
- Park, W.J.; Kothapalli, K.S.D.; Lawrence, P.; Tyburczy, C.; Brenna, J.T. An Alternate Pathway to Long-Chain Polyunsaturates: The FADS2 Gene Product Δ8-Desaturates 20:2n-6 and 20:3n-3. J. Lipid Res. 2009, 50, 1195–1202. [Google Scholar] [CrossRef]
- Wang, Z.; Wang, F. Construction and Evaluation of a Prognosis Prediction Model for Thyroid Carcinoma Based on Lipid Metabolism-Related Genes. Neuro Endocrinol. Lett. 2022, 43, 323–332. [Google Scholar]
- Huang, L.-T.; Li, T.-J.; Li, M.-L.; Luo, H.-Y.; Wang, Y.-B.; Wang, J.-H. Untargeted Lipidomic Analysis and Network Pharmacology for Parthenolide Treated Papillary Thyroid Carcinoma Cells. BMC Complement. Med. Ther. 2023, 23, 130. [Google Scholar] [CrossRef]
- Zeng, F.; Huang, L.; Cheng, X.; Yang, X.; Li, T.; Feng, G.; Tang, Y.; Yang, Y. Overexpression of LASS2 Inhibits Proliferation and Causes G0/G1 Cell Cycle Arrest in Papillary Thyroid Cancer. Cancer Cell Int. 2018, 18, 151. [Google Scholar] [CrossRef]
- Huang, H.; Rusiecki, J.; Zhao, N.; Chen, Y.; Ma, S.; Yu, H.; Ward, M.H.; Udelsman, R.; Zhang, Y. Thyroid-Stimulating Hormone, Thyroid Hormones, and Risk of Papillary Thyroid Cancer: A Nested Case–Control Study. Cancer Epidemiol. Biomark. Prev. 2017, 26, 1209–1218. [Google Scholar] [CrossRef]
- Halada, S.; Casado-Medrano, V.; Baran, J.A.; Lee, J.; Chinmay, P.; Bauer, A.J.; Franco, A.T. Hormonal Crosstalk Between Thyroid and Breast Cancer. Endocrinology 2022, 163, bqac075. [Google Scholar] [CrossRef]
- WHO Obesity and Overweight. Available online: https://www.who.int/news-room/fact-sheets/detail/obesity-and-overweight (accessed on 14 May 2024).
- Marcello, M.A.; Cunha, L.L.; Batista, F.A.; Ward, L.S. Obesity and Thyroid Cancer. Endocr. Relat. Cancer 2014, 21, T255–T271. [Google Scholar] [CrossRef] [PubMed]
- Franchini, F.; Palatucci, G.; Colao, A.; Ungaro, P.; Macchia, P.E.; Nettore, I.C. Obesity and Thyroid Cancer Risk: An Update. Int. J. Environ. Res. Public Health 2022, 19, 1116. [Google Scholar] [CrossRef] [PubMed]
- Kim, H.J.; Kim, N.K.; Choi, J.H.; Sohn, S.Y.; Kim, S.W.; Jin, S.M.; Jang, H.W.; Suh, S.; Min, Y.K.; Chung, J.H.; et al. Associations between Body Mass Index and Clinico-Pathological Characteristics of Papillary Thyroid Cancer. Clin. Endocrinol. 2013, 78, 134–140. [Google Scholar] [CrossRef]
- Wu, C.; Wang, L.; Chen, W.; Zou, S.; Yang, A. Associations between Body Mass Index and Lymph Node Metastases of Patients with Papillary Thyroid Cancer. Medicine 2017, 96, e6202. [Google Scholar] [CrossRef]
- Sudan, S.K.; Deshmukh, S.K.; Poosarla, T.; Holliday, N.P.; Dyess, D.L.; Singh, A.P.; Singh, S. Resistin: An Inflammatory Cytokine with Multi-Faceted Roles in Cancer. Biochim. Biophys. Acta (BBA)-Rev. Cancer 2020, 1874, 188419. [Google Scholar] [CrossRef] [PubMed]
- Diep Nguyen, T. Adiponectin: Role in Physiology and Pathophysiology. Int. J. Prev. Med. 2020, 11, 136. [Google Scholar] [CrossRef] [PubMed]
- Katira, A.; Tan, P.H. Evolving Role of Adiponectin in Cancer-Controversies and Update. Cancer Biol. Med. 2016, 13, 101–119. [Google Scholar] [CrossRef] [PubMed]
- Jagust, P.; de Luxán-Delgado, B.; Parejo-Alonso, B.; Sancho, P. Metabolism-Based Therapeutic Strategies Targeting Cancer Stem Cells. Front. Pharmacol. 2019, 10, 203. [Google Scholar] [CrossRef]
- Zhong, W.-B.; Liang, Y.-C.; Wang, C.-Y.; Chang, T.-C.; Lee, W.-S. Lovastatin Suppresses Invasiveness of Anaplastic Thyroid Cancer Cells by Inhibiting Rho Geranylgeranylation and RhoA/ROCK Signaling. Endocr. Relat. Cancer 2005, 12, 615–629. [Google Scholar] [CrossRef] [PubMed]
- Ma, M.K.F.; Lau, E.Y.T.; Leung, D.H.W.; Lo, J.; Ho, N.P.Y.; Cheng, L.K.W.; Ma, S.; Lin, C.H.; Copland, J.A.; Ding, J.; et al. Stearoyl-CoA Desaturase Regulates Sorafenib Resistance via Modulation of ER Stress-Induced Differentiation. J. Hepatol. 2017, 67, 979–990. [Google Scholar] [CrossRef]
- Mullen, A.; Loscher, C.E.; Roche, H.M. Anti-Inflammatory Effects of EPA and DHA Are Dependent upon Time and Dose-Response Elements Associated with LPS Stimulation in THP-1-Derived Macrophages. J. Nutr. Biochem. 2010, 21, 444–450. [Google Scholar] [CrossRef]
- Uzunlulu, M.; Telci Caklili, O.; Oguz, A. Association between Metabolic Syndrome and Cancer. Ann. Nutr. Metab. 2016, 68, 173–179. [Google Scholar] [CrossRef]
- Talib, W.H.; Mahmod, A.I.; Kamal, A.; Rashid, H.M.; Alashqar, A.M.D.; Khater, S.; Jamal, D.; Waly, M. Ketogenic Diet in Cancer Prevention and Therapy: Molecular Targets and Therapeutic Opportunities. Curr. Issues Mol. Biol. 2021, 43, 558–589. [Google Scholar] [CrossRef] [PubMed]
- Duntas, L.H.; Brenta, G. A Renewed Focus on the Association Between Thyroid Hormones and Lipid Metabolism. Front Endocrinol 2018, 9, 511. [Google Scholar] [CrossRef] [PubMed]
- Fröhlich, E.; Wahl, R. Chemotherapy and Chemoprevention by Thiazolidinediones. Biomed. Res. Int. 2015, 2015, 845340. [Google Scholar] [CrossRef]





| Stage | Diagnostic Category |
|---|---|
| I | Nondiagnostic |
| II | Benign |
| III | Atypia of undetermined significance |
| IV | Follicular neoplasm |
| V | Suspicious for malignancy |
| VI | Malignant |
| Research Material | Fatty Acid | PTC | FTC | ATC | MTC | TC | |||||
|---|---|---|---|---|---|---|---|---|---|---|---|
| Direction of Change | Ref | Direction of Change | Ref | Direction of Change | Ref | Direction of Change | Ref | Direction of Change | Ref | ||
| Tissues | C10:0 | ↓ | [30] | nd | nd | nd | ↑ | [31] | |||
| C12:0 | ↓ | [30,32] | ↓ | [32] | ↓ | [32] | ↓ | [32] | nd | ||
| C14:0 | ↓ | [32] | ↓ | [32] | ↓ | [32] | ↓ | [32] | ↑ | [31] | |
| ↑ | [23] | ||||||||||
| C15:0 | ↓ | [32] | ↓ | [32] | ↓ | [32] | ↓ | [32] | nd | ||
| C16:0 | ↓ | [32] | ↓ | [32] | ↓ | [32] | ↓ | [32] | ↑ | [31] | |
| ↑ | [23] | ||||||||||
| C17:0 | ↓ | [32] | ↓ | [32] | ↓ | [32] | ↓ | [32] | nd | ||
| C18:0 | nd | nd | nd | nd | ↑ | [31] | |||||
| C19:0 | ↓ | [32] | ↓ | [32] | ↓ | [32] | ↓ | [32] | nd | ||
| C20:0 | ↓ | [32] | ↓ | [32] | ↓ | [32] | ↓ | [32] | ↑ | [31] | |
| C22:0 | nd | nd | nd | nd | ↑ | [31] | |||||
| C24:0 | nd | nd | nd | nd | ↑ | [31] | |||||
| C16:1 | ↑ | [25] | nd | nd | nd | ↑ | [31] | ||||
| C18:1 | ↑ | [25] | nd | nd | nd | ↑ | [31] | ||||
| ↓ | [33] | ||||||||||
| C20:1 | ↑ | [25] | nd | nd | nd | nd | |||||
| C22:1 | nd | nd | nd | nd | ↑ | [31] | |||||
| C24:1 | nd | nd | nd | nd | ↑ | [31] | |||||
| C18:2 n-6 | nd | nd | nd | nd | ↑ | [31] | |||||
| C20:2 n-6 | ↓ | [30] | nd | nd | nd | nd | |||||
| C20:3 n-6 | ↓ | [23] | nd | nd | nd | nd | |||||
| C20:4 n-6 | ↓ | [25,34] | nd | nd | nd | ↑ | [31] | ||||
| C22:4 n-6 | ↓ | [25] | nd | nd | nd | nd | |||||
| C18:3 n-3 | ↑ | [23,33] | nd | nd | nd | ↑ | [31] | ||||
| C20:5 n-3 | nd | nd | nd | nd | ↑ | [31] | |||||
| C22:6 n-3 | nd | nd | nd | nd | ↑ | [31] | |||||
| Ricinoleic acid | ↓ | [32] | ↓ | [32] | ↓ | [32] | ↓ | [32] | nd | ||
| alpha-aminoadipic acid | ↑ | [33] | nd | nd | nd | nd | |||||
| Serum | C16:1 | nd | nd | nd | nd | ↓ | [35] | ||||
| C18:1 | nd | nd | nd | nd | ↓ | [35] | |||||
| C20:1 | ↑ | [36] | nd | nd | nd | nd | |||||
| C18:2 n-6 | nd | nd | nd | nd | ↓ | [35] | |||||
| C20:4 n-6 | ↓ | [36] | nd | nd | nd | ↓ | [35] | ||||
| C18:3 n-3 | ↓ | [36] | nd | nd | nd | ↓ | [35] | ||||
| C22:6 n-3 | ↓ | [36] | nd | nd | nd | ↓ | [35] | ||||
| HVA | ↓ | [36] | nd | nd | nd | nd | |||||
| 3-HBA | ↑ | [36] | nd | nd | nd | nd | |||||
| Plasma | C16:0 | nd | nd | nd | ↓ | [26] | nd | ||||
| C18:0 | nd | nd | nd | ↓ | [26] | nd | |||||
| C18:2 n-6 | nd | nd | nd | ↓ | [26] | nd | |||||
| C20:4 n-6 | nd | nd | nd | ↓ | [26] | nd | |||||
| C18:3 n-3 | nd | nd | nd | ↓ | [26] | nd | |||||
| Urinary | C18:2 n-6 | nd | nd | nd | nd | ↓ | [28] | ||||
| C20:4 n-6 | nd | nd | nd | nd | ↓ | [28] | |||||
| C18:3 n-3 | nd | nd | nd | nd | ↓ | [28] | |||||
| C20:5 n-3 | nd | nd | nd | nd | ↓ | [28] | |||||
| C22:6 n-3 | nd | nd | nd | nd | ↓ | [28] | |||||
Disclaimer/Publisher’s Note: The statements, opinions and data contained in all publications are solely those of the individual author(s) and contributor(s) and not of MDPI and/or the editor(s). MDPI and/or the editor(s) disclaim responsibility for any injury to people or property resulting from any ideas, methods, instructions or products referred to in the content. |
© 2024 by the authors. Licensee MDPI, Basel, Switzerland. This article is an open access article distributed under the terms and conditions of the Creative Commons Attribution (CC BY) license (https://creativecommons.org/licenses/by/4.0/).
Share and Cite
Lukasiewicz, M.; Zwara, A.; Kowalski, J.; Mika, A.; Hellmann, A. The Role of Lipid Metabolism Disorders in the Development of Thyroid Cancer. Int. J. Mol. Sci. 2024, 25, 7129. https://doi.org/10.3390/ijms25137129
Lukasiewicz M, Zwara A, Kowalski J, Mika A, Hellmann A. The Role of Lipid Metabolism Disorders in the Development of Thyroid Cancer. International Journal of Molecular Sciences. 2024; 25(13):7129. https://doi.org/10.3390/ijms25137129
Chicago/Turabian StyleLukasiewicz, Martyna, Agata Zwara, Jacek Kowalski, Adriana Mika, and Andrzej Hellmann. 2024. "The Role of Lipid Metabolism Disorders in the Development of Thyroid Cancer" International Journal of Molecular Sciences 25, no. 13: 7129. https://doi.org/10.3390/ijms25137129
APA StyleLukasiewicz, M., Zwara, A., Kowalski, J., Mika, A., & Hellmann, A. (2024). The Role of Lipid Metabolism Disorders in the Development of Thyroid Cancer. International Journal of Molecular Sciences, 25(13), 7129. https://doi.org/10.3390/ijms25137129

