Graphene Far-Infrared Irradiation Can Effectively Relieve the Blood Pressure Level of Rat Untr-HT in Primary Hypertension
Abstract
1. Introduction
2. Results
2.1. The Improvement in Tail Artery Blood Pressure and Blood Flow Perfusion in the SHR Untr-HT by Graphene Far-Infrared Irradiation
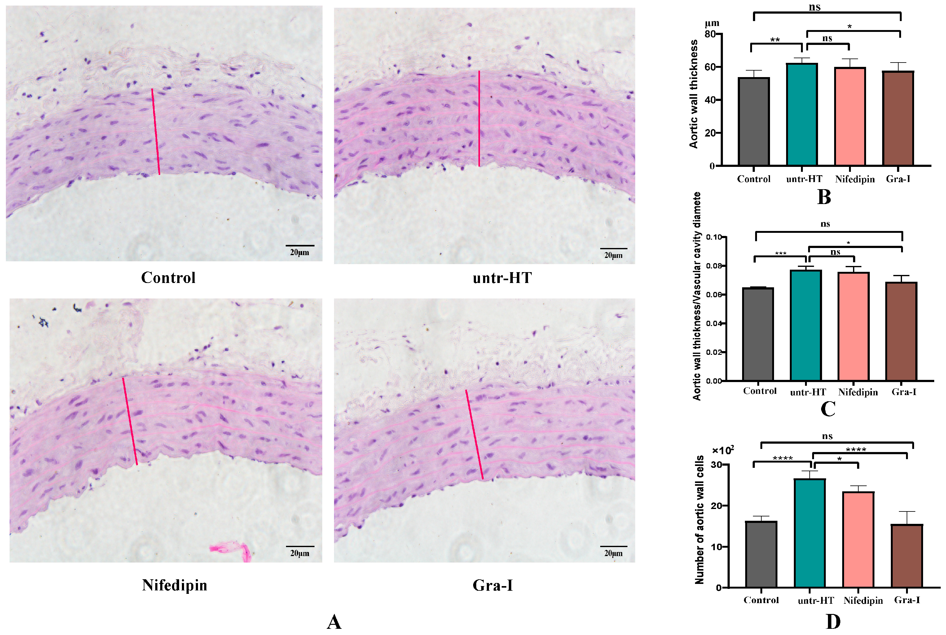
2.2. Differences in Aorta Morphology and F-Actin Expression in Vascular Smooth Muscle of Rats among All Groups
2.3. The Expression Levels of eNOS, Ang-II, and ET-1 in Serum of Rats in Each Group
2.4. The Expression Levels of eNOS, α-SMA, and NO in the Aortic Tissues of Each Group of Rats
3. Discussion
4. Materials and Methods
4.1. Ethics Statement
4.2. Experimental Animal Selection and Grouping
4.3. Sample Processing
4.4. Non-Invasive Measurement of Tail Artery Blood Pressure and Blood Flow Perfusion
4.5. Enzyme-Linked Immunosorbent Assay (ELISA)
4.6. Real-Time Fluorescence Quantitative PCR (RT-PCR)
4.7. Western Blot
4.8. Detection of NO Concentration in Aortic Tissue
4.9. Observation of Vascular Tissue Morphology and Smooth Muscle Actin Structure
4.10. Data Processing and Analysis
5. Conclusions
Supplementary Materials
Author Contributions
Funding
Institutional Review Board Statement
Informed Consent Statement
Data Availability Statement
Acknowledgments
Conflicts of Interest
References
- Novoselov, K.S.; Geim, A.K.; Morozov, S.V.; Jiang, D.; Zhang, Y.; Dubonos, S.V.; Grigorieva, I.V.; Firsov, A.A. Electric field effect in atomically thin carbon films. Science 2004, 306, 666–669. [Google Scholar] [CrossRef]
- Lee, C.; Wei, X.D.; Kysar, J.W.; Hone, J. Measurement of the elastic properties and intrinsic strength of monolayer graphene. Science 2008, 321, 385–388. [Google Scholar] [CrossRef]
- Dreyer, D.R.; Park, S.; Bielawski, C.W.; Ruoff, R.S. The chemistry of graphene oxide. Chem. Soc. Rev. 2010, 39, 228–240. [Google Scholar] [CrossRef] [PubMed]
- Geim, A.K.; Novoselov, K.S. The rise of graphene. Nat. Mater. 2007, 6, 183–191. [Google Scholar] [CrossRef]
- Meyer, J.C.; Girit, C.O.; Crommie, M.F.; Zettl, A. Imaging and dynamics of light atoms and molecules on graphene. Nature 2008, 454, 319–322. [Google Scholar] [CrossRef]
- Yu, S.Y.; Chiu, J.H.; Yang, S.D.; Hsu, Y.C.; Lui, W.Y.; Wu, C.W. Biological effect of far-infrared therapy on increasing skin microcirculation in rats. Photodermatol. Photoimmunol. Photomed. 2006, 22, 78–86. [Google Scholar] [CrossRef]
- Hsu, Y.-H.; Chen, Y.-C.; Chen, T.-H.; Sue, Y.-M.; Cheng, T.-H.; Chen, J.-R.; Chen, C.-H. Far-Infrared Therapy Induces the Nuclear Translocation of PLZF Which Inhibits VEGF-Induced Proliferation in Human Umbilical Vein Endothelial Cells. PLoS ONE 2012, 7, e30674. [Google Scholar] [CrossRef] [PubMed]
- Akhavan, O.; Ghaderi, E.; Abouei, E.; Hatamie, S.; Ghasemi, E. Accelerated differentiation of neural stem cells into neurons on ginseng-reduced graphene oxide sheets. Carbon 2014, 66, 395–406. [Google Scholar] [CrossRef]
- Yu, T.T.; Hu, Y.M.; Feng, G.P.; Hu, K. A Graphene-Based Flexible Device as a Specific Far-Infrared Emitter for Noninvasive Tumor Therapy. Adv. Ther. 2020, 3, 1900195. [Google Scholar] [CrossRef]
- He, J.; Zhu, X.; Qi, Z.; Wang, C.; Mao, X.; Zhu, C.; He, Z.; Li, M.; Tang, Z. Killing Dental Pathogens Using Antibacterial Graphene Oxide. ACS Appl. Mater. Interfaces 2015, 7, 5605–5611. [Google Scholar] [CrossRef]
- Fan, Z.; Liu, B.; Wang, J.; Zhang, S.; Lin, Q.; Gong, P.; Ma, L.; Yang, S. A Novel Wound Dressing Based on Ag/Graphene Polymer Hydrogel: Effectively Kill Bacteria and Accelerate Wound Healing. Adv. Funct. Mater. 2014, 24, 3933–3943. [Google Scholar] [CrossRef]
- Mills, K.T.; Stefanescu, A.; He, J. The global epidemiology of hypertension. Nat. Rev. Nephrol. 2020, 16, 223–237. [Google Scholar] [CrossRef] [PubMed]
- Singh, G.M.; Danaei, G.; Pelizzari, P.M.; Lin, J.K.; Cowan, M.J.; Stevens, G.A.; Farzadfar, F.; Khang, Y.-H.; Lu, Y.; Riley, L.M.; et al. The Age Associations of Blood Pressure, Cholesterol, and Glucose Analysis of Health Examination Surveys from International Populations. Circulation 2012, 125, 2204–2211. [Google Scholar] [CrossRef] [PubMed]
- Mills, K.T.; Bundy, J.D.; Kelly, T.N.; Reed, J.E.; Kearney, P.M.; Reynolds, K.; Chen, J.; He, J. Global Disparities of Hypertension Prevalence and Control A Systematic Analysis of Population-Based Studies From 90 Countries. Circulation 2016, 134, 441–450. [Google Scholar] [CrossRef] [PubMed]
- Ma, J.; Chen, X.P. Advances in pathogenesis and treatment of essential hypertension. Front. Cardiovasc. Med. 2022, 9, 1003852. [Google Scholar] [CrossRef] [PubMed]
- Munzel, T.; Feil, R.; Mulsch, A.; Lohmann, S.M.; Hofmann, F.; Walter, U. Physiology and pathophysiology of vascular signaling controlled by cyclic guanosine 3′,5′-cyclic monophosphate-dependent protein kinase. Circulation 2003, 108, 2172–2183. [Google Scholar] [CrossRef] [PubMed]
- Dumor, K.; Shoemaker-Moyle, M.; Nistala, R.; Whaley-Connell, A. Arterial Stiffness in Hypertension: An Update. Curr. Hypertens. Rep. 2018, 20, 72. [Google Scholar] [CrossRef] [PubMed]
- Kaess, B.M.; Rong, J.; Larson, M.G.; Hamburg, N.M.; Vita, J.A.; Levy, D.; Benjamin, E.J.; Vasan, R.S.; Mitchell, G.F. Aortic Stiffness, Blood Pressure Progression, and Incident Hypertension. JAMA-J. Am. Med. Assoc. 2012, 308, 875–881. [Google Scholar] [CrossRef]
- Xi, X.P.; Graf, K.; Goetze, S.; Fleck, E.; Hsueh, W.A.; Law, R.E. Central role of the MAPK pathway in ang II-mediated DNA synthesis and migration in rat vascular smooth muscle cells. Arterioscler. Thromb. Vasc. Biol. 1999, 19, 73–82. [Google Scholar] [CrossRef]
- Strain, W.D.; Adingupu, D.D.; Shore, A.C. Microcirculation on a Large Scale:Techniques, Tactics and Relevance of Studying the Microcirculation in Larger Population Samples. Microcirculation 2012, 19, 37–46. [Google Scholar] [CrossRef]
- Chirinos, J.A.; Segers, P.; Hughes, T.; Townsend, R. Large-Artery Stiffness in Health and Disease: JACC State-of-the-Art Review. J. Am. Coll. Cardiol. 2019, 74, 1237–1263. [Google Scholar] [CrossRef] [PubMed]
- Zanoli, L.; Briet, M.; Empana, J.P.; Cunha, P.G.; Mäki-Petäjä, K.M.; Protogerou, A.D.; Tedgui, A.; Touyz, R.M.; Schiffrin, E.L.; Spronck, B.; et al. Vascular consequences of inflammation: A position statement from the ESH Working Group on Vascular Structure and Function and the ARTERY Society. J. Hypertens. 2020, 38, 1682–1698. [Google Scholar] [CrossRef] [PubMed]
- Fedorov, A.; Kostareva, A.; Raud, J.; Roy, J.; Hedin, U.; Razuvaev, A. Early changes of gene expression profiles in the rat model of arterial injury. J. Vasc. Interv. Radiol. 2014, 25, 789–796.e7. [Google Scholar] [CrossRef] [PubMed]
- Mohamadpour, A.H.; Abdolrahmani, L.; Mirzaei, H.; Sahebkar, A.; Moohebati, M.; Ghorbani, M.; Ferns, G.A.; Ghayour-Mobarhan, M. Serum osteopontin concentrations in relation to coronary artery disease. Arch. Med. Res. 2015, 46, 112–117. [Google Scholar] [CrossRef]
- Yap, C.; Mieremet, A.; de Vries, C.J.M.; Micha, D.; de Waard, V. Six Shades of Vascular Smooth Muscle Cells Illuminated by KLF4 (Kruppel-Like Factor 4). Arterioscler. Thromb. Vasc. Biol. 2021, 41, 2693–2707. [Google Scholar] [CrossRef] [PubMed]
- Sanyour, H.J.; Li, N.; Rickel, A.P.; Childs, J.D.; Kinser, C.N.; Hong, Z.K. Membrane cholesterol and substrate stiffness co-ordinate to induce the remodelling of the cytoskeleton and the alteration in the biomechanics of vascular smooth muscle cells. Cardiovasc. Res. 2019, 115, 1369–1380. [Google Scholar] [CrossRef] [PubMed]
- Wang, Y.; Zhang, J.; Gao, H.; Zhao, S.; Ji, X.; Liu, X.; You, B.; Li, X.; Qiu, J. Profilin-1 promotes the development of hypertension-induced artery remodelling. J. Histochem. Cytochem. 2014, 62, 298–310. [Google Scholar] [CrossRef] [PubMed]
- Mehta, P.K.; Griendling, K.K. Angiotensin II cell signaling: Physiological and pathological effects in the cardiovascular system. Am. J. Physiol.-Cell Physiol. 2007, 292, C82–C97. [Google Scholar] [CrossRef] [PubMed]
- Farah, C.; Michel, L.Y.M.; Balligand, J.L. Nitric oxide signalling in cardiovascular health and disease. Nat. Rev. Cardiol. 2018, 15, 292–316. [Google Scholar] [CrossRef] [PubMed]
- Kraehling, J.R.; Sessa, W.C. Contemporary Approaches to Modulating the Nitric Oxide-cGMP Pathway in Cardiovascular Disease. Circ. Res. 2017, 120, 1174–1182. [Google Scholar] [CrossRef]
- Sandner, P.; Stasch, J.P. Anti-fibrotic effects of soluble guanylate cyclase stimulators and activators: A review of the preclinical evidence. Respir. Med. 2016, 122, S1–S9. [Google Scholar] [CrossRef] [PubMed]
- Wu, Y.; Ding, Y.; Ramprasath, T.; Zou, M.H. Oxidative Stress, GTPCH1, and Endothelial Nitric Oxide Synthase Uncoupling in Hypertension. Antioxid. Redox Signal. 2021, 34, 750–764. [Google Scholar] [CrossRef] [PubMed]
- Barton, M.; Kiowski, W. The therapeutic potential of endothelin receptor antagonists in cardiovascular disease. Curr. Hypertens. Rep. 2001, 3, 322–330. [Google Scholar] [CrossRef] [PubMed]
- Barton, M.; Yanagisawa, M. Endothelin: 30 Years from Discovery to Therapy. Hypertension 2019, 74, 1232–1265. [Google Scholar] [CrossRef] [PubMed]
- Geisterfer, A.A.; Peach, M.J.; Owens, G.K. Angiotensin II induces hypertrophy, not hyperplasia, of cultured rat aortic smooth muscle cells. Circ. Res. 1998, 62, 749–756. [Google Scholar] [CrossRef] [PubMed]
- Kobori, H.; Nangaku, M.; Navar, L.G.; Nishiyama, A. The intrarenal renin-angiotensin system: From physiology to the pathobiology of hypertension and kidney disease. Pharmacol. Rev. 2007, 59, 251–287. [Google Scholar] [CrossRef]
- Garcia, V.; Sessa, W.C. Endothelial NOS: Perspective and recent developments. Br. J. Pharmacol. 2019, 176, 189–196. [Google Scholar] [CrossRef]






| Group | Rat Type | Number | 
|---|---|---|
| Control | WKY | 5 | 
| untr-HT | SHR | 5 | 
| Nifedipin | SHR | 5 | 
| Gra-I | SHR | 5 | 
| Gene | Primer Name | Primer Sequence | 
|---|---|---|
| GAPDH | GAPDH-F | TGAAGCTCATTTCCTGGTATGAC | 
| GAPDH-R | GGCCTCTCTCTTGCTCTCAGTA | |
| eNOS | eNOS-F | GGCTGAGTACCCAAGCTGAG | 
| eNOS-R | ATTGTGGCTCGGGTGGATTT | |
| α-SMA | α-SMA-F | GCCGAGATCTCACCGACTAC | 
| α-SMA-R | ACGATCTCACGCTCAGCAGTA | 
| Disclaimer/Publisher’s Note: The statements, opinions and data contained in all publications are solely those of the individual author(s) and contributor(s) and not of MDPI and/or the editor(s). MDPI and/or the editor(s) disclaim responsibility for any injury to people or property resulting from any ideas, methods, instructions or products referred to in the content. | 
© 2024 by the authors. Licensee MDPI, Basel, Switzerland. This article is an open access article distributed under the terms and conditions of the Creative Commons Attribution (CC BY) license (https://creativecommons.org/licenses/by/4.0/).
Share and Cite
Lu, G.; Guo, H.; Zhang, Y.; Zhang, M.; Zhang, T.; Hu, G.; Zhang, Q. Graphene Far-Infrared Irradiation Can Effectively Relieve the Blood Pressure Level of Rat Untr-HT in Primary Hypertension. Int. J. Mol. Sci. 2024, 25, 6675. https://doi.org/10.3390/ijms25126675
Lu G, Guo H, Zhang Y, Zhang M, Zhang T, Hu G, Zhang Q. Graphene Far-Infrared Irradiation Can Effectively Relieve the Blood Pressure Level of Rat Untr-HT in Primary Hypertension. International Journal of Molecular Sciences. 2024; 25(12):6675. https://doi.org/10.3390/ijms25126675
Chicago/Turabian StyleLu, Guanjie, Haotong Guo, Yi Zhang, Meng Zhang, Tao Zhang, Ge Hu, and Qian Zhang. 2024. "Graphene Far-Infrared Irradiation Can Effectively Relieve the Blood Pressure Level of Rat Untr-HT in Primary Hypertension" International Journal of Molecular Sciences 25, no. 12: 6675. https://doi.org/10.3390/ijms25126675
APA StyleLu, G., Guo, H., Zhang, Y., Zhang, M., Zhang, T., Hu, G., & Zhang, Q. (2024). Graphene Far-Infrared Irradiation Can Effectively Relieve the Blood Pressure Level of Rat Untr-HT in Primary Hypertension. International Journal of Molecular Sciences, 25(12), 6675. https://doi.org/10.3390/ijms25126675
 
        



 
       