Immunohistochemical Expression of Human Epidermal Growth Factor Receptor 2 and Ki67 in Apocrine Gland Anal Sac Adenocarcinoma
Abstract
1. Introduction
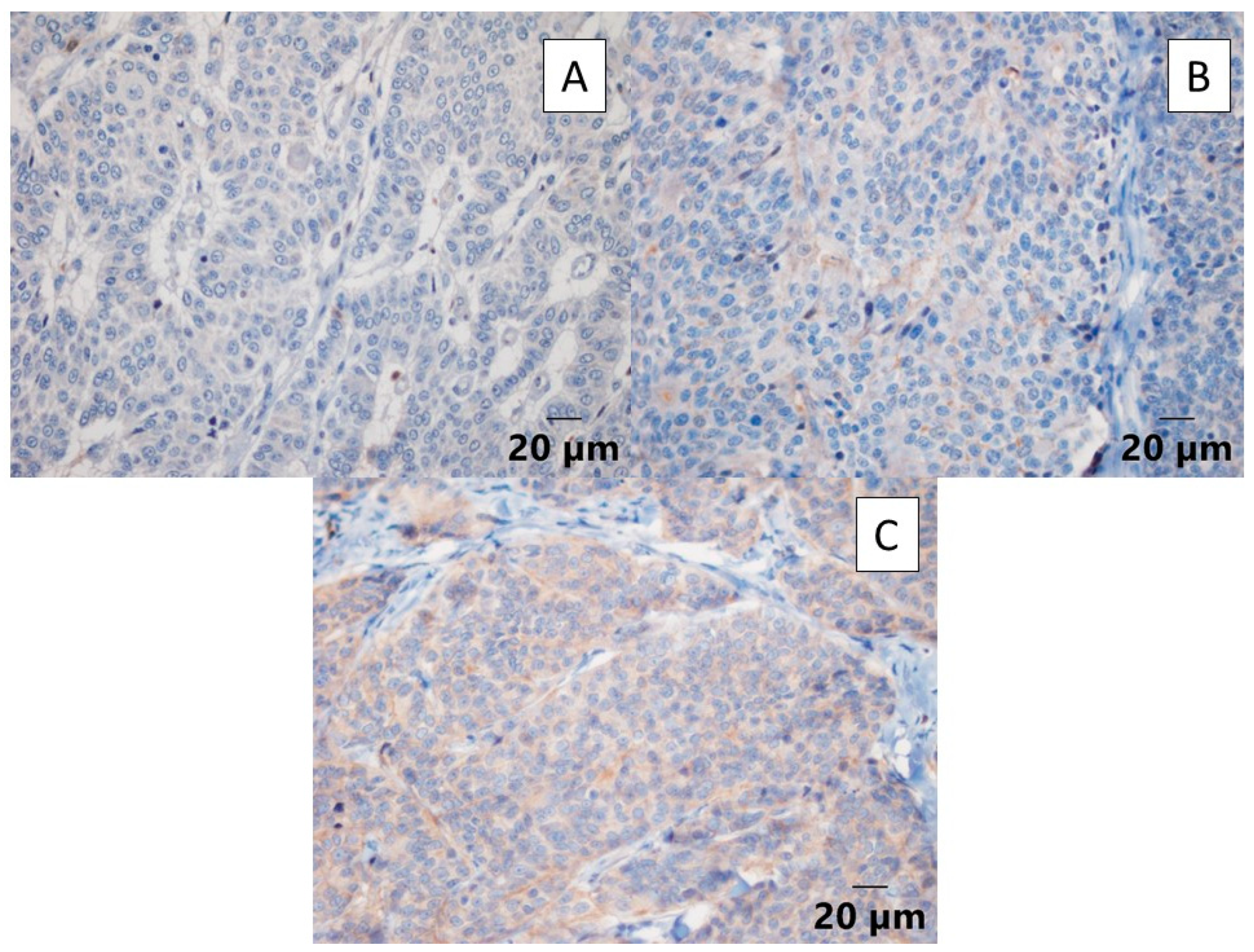
2. Results
3. Discussion
4. Materials and Methods
4.1. Samples and Groups
4.2. Immunohistochemistry
4.3. Statistical Analysis
4.4. Study Limitations
5. Conclusions
Author Contributions
Funding
Institutional Review Board Statement
Informed Consent Statement
Data Availability Statement
Acknowledgments
Conflicts of Interest
References
- Meuten, D.J. Tumors in Domestic Animals, 5th ed.; John Wiley & Sons Inc.: Ames, IA, USA, 2017. [Google Scholar]
- Withrow, S.J.; Vail, D.M.; Page, R.L. Small Animal Clinical Oncology, 6th ed.; Elsevier: St. Louis, MO, USA, 2020. [Google Scholar]
- Williams, L.E.; Gliatto, J.M.; Dodge, R.K.; Johnson, J.L.; Gamblin, R.M.; Thamm, D.H.; Lana, S.E.; Szymkowski, M.; Moore, A.S. Carcinoma of the apocrine glands of the anal sac in dogs: 113 cases (1985–1995). J. Am. Vet. Med. Assoc. 2003, 223, 825–831. [Google Scholar] [CrossRef]
- Barnes, D.C.; Demetriou, J.L. Surgical management of primary, metastatic and recurrent anal sac adenocarcinoma in the dog: 52 cases. J. Small Anim. Pract. 2017, 58, 263–268. [Google Scholar] [CrossRef]
- Chambers, A.R.; Skinner, O.T.; Mickelson, M.A.; Schlag, A.N.; Butler, J.R.; Wallace, M.L.; Moyer, A.L.; Vinayak, A.; Samuel, N.; Kennedy, K.C.; et al. Adherence to follow-up recommendations for dogs with apocrine gland anal sac adenocarcinoma: A multicentre retrospective study. Vet. Comp. Oncol. 2020, 18, 683–688. [Google Scholar] [CrossRef]
- Heaton, C.M.; Fernandes, A.F.; Jark, P.C.; Pan, X. Evaluation of toceranib for treatment of apocrine gland anal sac adenocar-cinoma in dogs. J. Vet. Intern. Med. 2020, 34, 873–881. [Google Scholar] [CrossRef]
- Pradel, J.; Berlato, D.; Dobromylskyj, M.; Rasotto, R. Prognostic significance of histopathology in canine anal sac gland ad-enocarcinomas: Preliminary results in a retrospective study of 39 cases. Vet. Comp. Oncol. 2018, 16, 518–528. [Google Scholar] [CrossRef]
- Yan, M.; Schwaederle, M.; Arguello, D.; Millis, S.Z.; Gatalica, Z.; Kurzrock, R. HER2 expression status in diverse cancers: Review of results from 37,992 patients. Cancer Metastasis Rev. 2015, 34, 157–164. [Google Scholar] [CrossRef]
- Hsu, J.L.; Hung, M.C. The role of HER2, EGFR, and other receptor tyrosine kinases in breast cancer. Cancer Metastasis Rev. 2016, 35, 575–588. [Google Scholar] [CrossRef]
- Majumder, A.; Sandhu, M.; Banerji, D.; Steri, V.; Olshen, A.; Moasser, M.M. The role of HER2 and HER3 in HER2-amplified cancers beyond breast cancers. Sci. Rep. 2021, 11, 9091. [Google Scholar] [CrossRef]
- Yoshimoto, S.; Kato, D.; Kamoto, S.; Yamamoto, K.; Tsuboi, M.; Shinada, M.; Ikeda, N.; Tanaka, Y.; Yoshitake, R.; Eto, S.; et al. Immunohistochemical evaluation of HER2 expression in canine thyroid carcinoma. Heliyon 2019, 5, e02004. [Google Scholar] [CrossRef]
- Tsuboi, M.; Sakai, K.; Maeda, S.; Chambers, J.K.; Yonezawa, T.; Matsuki, N.; Uchida, K.; Nakayama, H. Assessment of HER2 expression in canine urothelial carcinoma of the urinary bladder. Vet. Pathol. 2019, 56, 369–376. [Google Scholar] [CrossRef]
- Terragni, R.; Gardini, A.C.; Sabattini, S.; Bettini, G.; Amadori, A.; Talamonti, C.; Vignoli, M.; Capelli, L.; Saunders, J.H.; Ricci, M.; et al. EGFR, HER-2 and KRAS in canine gastric epithelial tumors: A potential human model. PLoS ONE 2014, 9, e85388. [Google Scholar] [CrossRef] [PubMed]
- Lorch, G.; Sivaprakasam, K.; Zismann, V.; Perdigones, N.; Contente-Cuomo, T.; Nazareno, A.; Facista, S.; Wong, S.; Drenner, K.; Liang, W.S.; et al. Identification of recurrent activating HER2 mutations in primary canine pulmonary adenocarcinoma. Clin. Cancer Res. 2019, 25, 5866–5877. [Google Scholar] [CrossRef]
- Yoshimoto, S.; Kato, D.; Kamoto, S.; Yamamoto, K.; Tsuboi, M.; Shinada, M.; Ikeda, N.; Tanaka, Y.; Yoshitake, R.; Eto, S.; et al. Overexpression of human epidermal growth factor receptor 2 in canine primary lung cancer. J. Vet. Med. Sci. 2020, 82, 804–808. [Google Scholar] [CrossRef] [PubMed]
- Flint, A.F.; U’ren, L.; Legare, M.E.; Withrow, S.J.; Dernell, W.; Hanneman, W.H. Overexpression of the erbB-2 proto-oncogene in canine osteosarcoma cell lines and tumors. Vet. Pathol. 2004, 41, 291–296. [Google Scholar] [CrossRef] [PubMed]
- Yoshimoto, S.; Kato, D.; Kamoto, S.; Yamamoto, K.; Tsuboi, M.; Shinada, M.; Ikeda, N.; Tanaka, Y.; Yoshitake, R.; Eto, S.; et al. Detection of human epidermal growth factor receptor 2 overexpression in canine anal sac gland carcinoma. J. Vet. Med. Sci. 2019, 81, 1034–1039. [Google Scholar] [CrossRef]
- Sakai, K.; Maeda, S.; Saeki, K.; Nakagawa, T.; Murakami, M.; Endo, Y.; Yonezawa, T.; Kadosawa, T.; Mori, T.; Nishimura, R.; et al. Anti-tumour effect of lapatinib in canine transitional cell carcinoma cell lines. Vet. Comp. Oncol. 2018, 16, 642–649. [Google Scholar] [CrossRef] [PubMed]
- García, J.M.C.; Murillo, C.E.G.; Jaramillo, M.R. EGFR and HER2 small molecules inhibitors as potential therapeutics in vet-erinary oncology. Rev. Colomb. Cienc. Químico-Farm. 2020, 49, 452–471. [Google Scholar]
- Tanaka, Y.; Watanabe, M.; Saeki, K.; Ong, S.M.; Yoshitake, R.; Imamura, S.; Nishimura, R.; Sugano, S.; Nakagawa, T. Evaluation of the proper dosage of lapatinib and its safety in dogs. Transl. Regul. Sci. 2020, 2, 68–71. [Google Scholar] [CrossRef]
- Maeda, S.; Sakai, K.; Kaji, K.; Iio, A.; Nakazawa, M.; Motegi, T.; Yonezawa, T.; Momoi, Y. Lapatinib as first-line treatment for muscle-invasive urothelial carcinoma in dogs. Sci. Rep. 2022, 12, 4. [Google Scholar] [CrossRef]
- Mason, N.J.; Gnanandarajah, J.S.; Engiles, J.B.; Gray, F.; Laughlin, D.; Gaurnier-Hausser, A.; Wallecha, A.; Huebner, M.; Pat-erson, Y. Immunotherapy with a HER2-targeting listeria induces HER2-specific immunity and demonstrates potential therapeutic effects in a phase I trial in canine osteosarcoma. Clin. Cancer Res. 2016, 22, 4380–4390. [Google Scholar] [CrossRef]
- Doyle, H.A.; Gee, R.J.; Masters, T.D.; Gee, C.R.; Booth, C.J.; Peterson-Roth, E.; Koski, R.A.; Helfand, S.C.; Price, L.; Bascombe, D.; et al. Vaccine-induced ErbB (EGFR/HER2) specific immunity in spontaneous canine cancer. Transl. Oncol. 2021, 14, 101205. [Google Scholar] [CrossRef]
- Musser, M.L.; Berger, E.P.; Tripp, C.D.; Clifford, C.A.; Bergman, P.J.; Johannes, C.M. Safety evaluation of the canine osteo-sarcoma vaccine, live Listeria vector. Vet. Comp. Oncol. 2021, 19, 92–98. [Google Scholar] [CrossRef] [PubMed]
- Gil, R.S.; Vagnarelli, P. Ki-67: More Hidden behind a ‘Classic Proliferation Marker’. Trends Biochem. Sci. 2018, 43, 747–748. [Google Scholar]
- Miller, I.; Min, M.; Yang, C.; Tian, C.; Gookin, S.; Carter, D.; Spencer, S.L. Ki67 is a graded rather than a binary marker of proliferation versus quiescence. Cell Rep. 2018, 24, 1105–1112. [Google Scholar] [CrossRef]
- Li, T.L.; Jiang, G.; Chen, Q.; Zheng, J.N. Ki67 is a promising molecular target in the diagnosis of cancer. Mol. Med. Rep. 2015, 11, 1566–1572. [Google Scholar] [CrossRef] [PubMed]
- Sun, X.; Kaufman, P.D. Ki-67: More than a proliferation marker. Chromosoma 2018, 127, 175–186. [Google Scholar] [CrossRef] [PubMed]
- Skorupski, K.A.; Alarcón, C.N.; Lorimier, L.P.; LaDouceur, E.E.B.; Rodriguez, C.O.; Rebhun, R.B. Outcome and clinical, pathological, and immunohistochemical factors associated with prognosis for dogs with early-stage anal sac adenocarcinoma treated with surgery alone: 34 cases (2002–2013). J. Am. Vet. Med. Assoc. 2018, 253, 84–91. [Google Scholar] [CrossRef] [PubMed]
- Schlag, A.N.; Johnson, T.; Vinayak, A.; Kuvaldina, A.; Skinner, O.T.; Wustefeld-Janssens, B.G. Comparison of methods to determine primary tumour size in canine apocrine gland anal sac adenocarcinoma. J. Small Anim. Pract. 2020, 61, 185–189. [Google Scholar] [CrossRef]
- Polton, G.A.; Brearley, M.J. Clinical stage, therapy, and prognosis in canine anal sac gland carcinoma. J. Vet. Intern. Med. 2007, 21, 274–280. [Google Scholar] [CrossRef]
- Sakai, K.; Shinohara, Y.; Kaji, K.; Yonezawa, T.; MoMoi, Y.; Maeda, S. Human epidermal growth factor receptor 2 is overex-pressed in canine prostate carcinoma. Transl. Regul. Sci. 2021, 3, 1–8. [Google Scholar]
- Brunetti, B.; Bacci, B.; Sarli, G.; Pancioni, E.; Muscatello, L.V. Immunohistochemical Screening of HER2 in Canine Carcinomas: A Preliminary Study. Animals 2021, 11, 1006. [Google Scholar] [CrossRef] [PubMed]
- Eiger, D.; Agostinetto, E.; Saúde-Conde, R.; Azambuja, E. The Exciting New Field of HER2-Low Breast Cancer Treatment. Cancers 2021, 13, 1015. [Google Scholar] [CrossRef] [PubMed]
- Marchiò, C.; Annaratone, L.; Marques, A.; Casorzo, L.; Berrino, E.; Sapino, A. Evolving concepts in HER2 evaluation in breast cancer: Heterogeneity, HER2-low carcinomas and beyond. In Seminars in Cancer Biology; Academic Press: Cambridge, MA, USA, 2021; Volume 72, pp. 123–135. [Google Scholar]
- Grassini, D.; Cascardi, E.; Sarotto, I.; Annaratone, L.; Sapino, A.; Berrino, E.; Marchiò, C. Unusual Patterns of HER2 Expression in Breast Cancer: Insights and Perspectives. Pathobiology 2022, 89, 278–296. [Google Scholar] [CrossRef] [PubMed]
- Suzuki, K.; Morita, R.; Hojo, Y.; Nomura, K.; Shibutani, M.; Mitsumori, K. Immunohistochemical characterization of neuro-endocrine differentiation of canine anal sac glandular tumours. J. Comp. Pathol. 2013, 149, 199–207. [Google Scholar] [CrossRef] [PubMed]
- Pereira, R.S.; Schweigert, A.; Melo, G.D.; Fernandes, F.V.; Sueiro, F.A.R.; Machado, G.F. Ki-67 labeling in canine perianal glands neoplasms: A novel approach for immunohistological diagnostic and prognostic. BMC Vet. Res. 2013, 9, 83. [Google Scholar] [CrossRef] [PubMed]
- Morello, E.M.; Cino, M.; Giacobino, D.; Nicoletti, A.; Iussich, S.; Buracco, P.; Martano, M. Prognostic Value of Ki67 and Other Clinical and Histopathological Factors in Canine Apocrine Gland Anal Sac Adenocarcinoma. Animals 2021, 11, 1649. [Google Scholar] [CrossRef]
- Wong, H.; Byrne, S.; Rasotto, R.; Drees, R.; Taylor, A.; Priestnall, S.L.; Leo, C. A Retrospective Study of Clinical and Histo-pathological Features of 81 Cases of Canine Apocrine Gland Adenocarcinoma of the Anal Sac: Independent Clinical and Histopathological Risk Factors Associated with Outcome. Animals 2021, 11, 3327. [Google Scholar] [CrossRef]
- Perez, E.A.; Cortés, J.; Gonzalez-Ângulo, A.M.; Bartlett, J.M.S. HER2 testing: Current status and future directions. Cancer Treat. Rev. 2014, 40, 276–284. [Google Scholar] [CrossRef]
- Wolff, A.C.; Hammond, M.E.H.; Hicks, D.G.; Dowsett, M.; McShane, L.M.; Allison, K.H.; Allred, D.C.; Bartlett, J.M.S.; Bilous, M.; Fitzgibbons, P.; et al. Recommendations for human epidermal growth factor receptor 2 testing in breast cancer: American Society of Clinical Oncology/College of American Pathologists clinical practice guideline update. Arch. Pathol. Lab. Med. 2014, 138, 241–256. [Google Scholar] [CrossRef]


| SCORE | Score 0 | Score 1+ | Score 2+ | Score 3+ | |
|---|---|---|---|---|---|
| GROUP | Negative Staining | Positive Staining | |||
| CG (N = 10) | 10/10 (100%) | 0 | 0 | 0 | |
| T1 (N = 10) | 1/10 (10%) | 5/10 (50%) | 4/10 (40%) | 0 | |
| T2 (N = 10) | 0 | 5/10 (50%) | 5/10 (50%) | 0 | |
| ML (N = 10) | 0 | 6/10 (60%) | 4/10 (40%) | 0 | |
| SCORE | 5% | 10% | 15% | 20% | 25% | 30% | 35% | 40% | |
|---|---|---|---|---|---|---|---|---|---|
| GROUP | |||||||||
| CG (N = 10) | 5/10 (50%) | 5/10 (50%) | 0 | 0 | 0 | 0 | 0 | 0 | |
| T1 (N = 10) | 0 | 0 | 2/10 (20%) | 1/10 (10%) | 5/10 (50%) | 1/10 (10%) | 0 | 1/10 (10%) | |
| T2 (N = 10) | 0 | 0 | 1/10 (10%) | 3/10 (30%) | 2/10 (20%) | 1/10 (10%) | 0 | 3/10 (30%) | |
| ML (N = 10) | 0 | 0 | 0 | 3/10 (30%) | 4/10 (40%) | 2/10 (20%) | 0 | 1/10 (10%) | |
| Score | Description |
|---|---|
| 3+ | Circumferential marking on the membrane that is complete, intense, with the presence of >10% of tumor cells. |
| 2+ | Circumferential staining on the membrane that is incomplete and/or weak/moderate, with presence of >10% of tumor cells; or circumferential staining on the membrane that is complete and intense, with the presence of ≤10% of tumor cells. |
| 1+ | Membrane labeling that is incomplete, very weak/almost unnoticeable, with >10% of tumor cells present. |
| 0 | No marking observed; or membrane labeling that is incomplete, very faint/almost unnoticeable, with ≤10% of tumor cells present. |
Disclaimer/Publisher’s Note: The statements, opinions and data contained in all publications are solely those of the individual author(s) and contributor(s) and not of MDPI and/or the editor(s). MDPI and/or the editor(s) disclaim responsibility for any injury to people or property resulting from any ideas, methods, instructions or products referred to in the content. |
© 2024 by the authors. Licensee MDPI, Basel, Switzerland. This article is an open access article distributed under the terms and conditions of the Creative Commons Attribution (CC BY) license (https://creativecommons.org/licenses/by/4.0/).
Share and Cite
Paiva, F.; Santos, J.; Carra, G.; Sueiro, F.; Jark, P.; Nardi, A. Immunohistochemical Expression of Human Epidermal Growth Factor Receptor 2 and Ki67 in Apocrine Gland Anal Sac Adenocarcinoma. Int. J. Mol. Sci. 2024, 25, 6451. https://doi.org/10.3390/ijms25126451
Paiva F, Santos J, Carra G, Sueiro F, Jark P, Nardi A. Immunohistochemical Expression of Human Epidermal Growth Factor Receptor 2 and Ki67 in Apocrine Gland Anal Sac Adenocarcinoma. International Journal of Molecular Sciences. 2024; 25(12):6451. https://doi.org/10.3390/ijms25126451
Chicago/Turabian StylePaiva, Felipe, Júlio Santos, Gabriel Carra, Felipe Sueiro, Paulo Jark, and Andrigo Nardi. 2024. "Immunohistochemical Expression of Human Epidermal Growth Factor Receptor 2 and Ki67 in Apocrine Gland Anal Sac Adenocarcinoma" International Journal of Molecular Sciences 25, no. 12: 6451. https://doi.org/10.3390/ijms25126451
APA StylePaiva, F., Santos, J., Carra, G., Sueiro, F., Jark, P., & Nardi, A. (2024). Immunohistochemical Expression of Human Epidermal Growth Factor Receptor 2 and Ki67 in Apocrine Gland Anal Sac Adenocarcinoma. International Journal of Molecular Sciences, 25(12), 6451. https://doi.org/10.3390/ijms25126451

