Analysis of CFTR mRNA and Protein in Peripheral Blood Mononuclear Cells via Quantitative Real-Time PCR and Western Blot
Abstract
1. Introduction
2. Materials and Methods
2.1. Cell Culture
2.1.1. Immortalized Cells
16HBE14o-
T84-
THP1
HEK-293T Cells
Jurkat
2.2. Isolation of Primary Immune Cells
2.2.1. Protocol for Immunoblotting and qPCR
2.2.2. CFTR Western Blot
2.2.3. Glycolytic Digest of CFTR Protein
2.2.4. Peptide Competition
2.2.5. qPCR
3. Results
3.1. Quantitative PCR Reveals CFTR Transcripts in Differentiated Immune Cells Lines and Primary Immune Cells
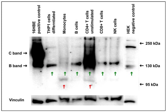
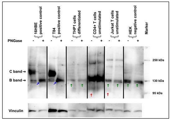
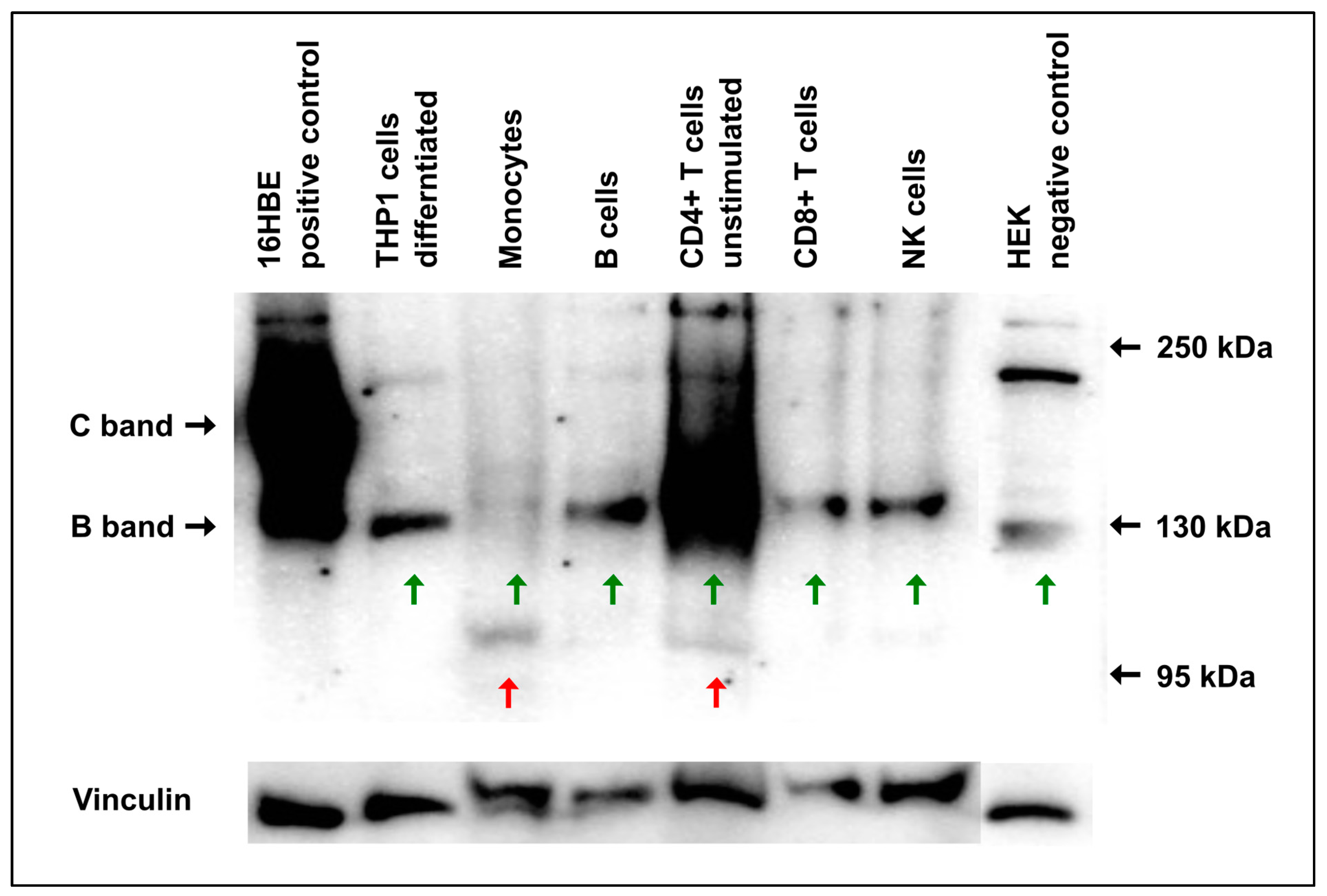
3.2. Immunoblotting
3.3. Deglycosylation of Mature CFTR Protein Detected via Immunoblotting Unveils Unspecific Protein Detection in Immune Cells
3.4. Signals Detected by Immunoblotting in Immune Cells Fail to Be Validated by Peptide Competition
4. Discussion
Supplementary Materials
Author Contributions
Funding
Institutional Review Board Statement
Informed Consent Statement
Data Availability Statement
Conflicts of Interest
Correction Statement
References
- Riordan, J.R.; Rommens, J.M.; Kerem, B.; Alon, N.; Rozmahel, R.; Grzelczak, Z.; Zielenski, J.; Lok, S.; Plavsic, N.; Chou, J.L.; et al. Identification of the cystic fibrosis gene: Cloning and characterization of complementary DNA. Science 1989, 245, 1066–1073. [Google Scholar] [CrossRef] [PubMed]
- Yoshimura, K.; Nakamura, H.; Trapnell, B.C.; Chu, C.S.; Dalemans, W.; Pavirani, A.; Lecocq, J.P.; Crystal, R.G. Expression of the cystic fibrosis transmembrane conductance regulator gene in cells of non-epithelial origin. Nucleic Acids Res. 1991, 19, 5417–5423. [Google Scholar] [CrossRef] [PubMed]
- McDonald, T.V.; Nghiem, P.T.; Gardner, P.; Martens, C.L. Human lymphocytes transcribe the cystic fibrosis transmembrane conductance regulator gene and exhibit CF-defective cAMP-regulated chloride current. J. Biol. Chem. 1992, 267, 3242–3248. [Google Scholar] [CrossRef] [PubMed]
- Ettorre, M.; Verze, G.; Caldrer, S.; Johansson, J.; Calcaterra, E.; Assael, B.M.; Melotti, P.; Sorio, C.; Buffelli, M. Electrophysiological evaluation of cystic fibrosis conductance transmembrane regulator (CFTR) expression in human monocytes. Biochim. Biophys. Acta 2014, 1840, 3088–3095. [Google Scholar] [CrossRef] [PubMed]
- Del Porto, P.; Cifani, N.; Guarnieri, S.; Di Domenico, E.G.; Mariggio, M.A.; Spadaro, F.; Guglietta, S.; Anile, M.; Venuta, F.; Quattrucci, S.; et al. Dysfunctional CFTR alters the bactericidal activity of human macrophages against Pseudomonas aeruginosa. PLoS ONE 2011, 6, e19970. [Google Scholar] [CrossRef] [PubMed]
- Bonfield, T.L.; Hodges, C.A.; Cotton, C.U.; Drumm, M.L. Absence of the cystic fibrosis transmembrane regulator (CFTR) from myeloid-derived cells slows resolution of inflammation and infection. J. Leukoc. Biol. 2012, 92, 1111–1122. [Google Scholar] [CrossRef] [PubMed]
- Paemka, L.; McCullagh, B.N.; Abou Alaiwa, M.H.; Stoltz, D.A.; Dong, Q.; Randak, C.O.; Gray, R.D.; McCray, P.B., Jr. Monocyte derived macrophages from CF pigs exhibit increased inflammatory responses at birth. J. Cyst. Fibros. 2017, 16, 471–474. [Google Scholar] [CrossRef] [PubMed]
- Gray, R.D.; Hardisty, G.; Regan, K.H.; Smith, M.; Robb, C.T.; Duffin, R.; Mackellar, A.; Felton, J.M.; Paemka, L.; McCullagh, B.N.; et al. Delayed neutrophil apoptosis enhances NET formation in cystic fibrosis. Thorax 2018, 73, 134–144. [Google Scholar] [CrossRef] [PubMed]
- Lara-Reyna, S.; Holbrook, J.; Jarosz-Griffiths, H.H.; Peckham, D.; McDermott, M.F. Dysregulated signalling pathways in innate immune cells with cystic fibrosis mutations. Cell Mol. Life Sci. 2020, 77, 4485–4503. [Google Scholar] [CrossRef] [PubMed]
- Polverino, F.; Lu, B.; Quintero, J.R.; Vargas, S.O.; Patel, A.S.; Owen, C.A.; Gerard, N.P.; Gerard, C.; Cernadas, M. CFTR regulates B cell activation and lymphoid follicle development. Respir. Res. 2019, 20, 133. [Google Scholar] [CrossRef]
- Cystic Fibrosis Foundation Patient Registry. Patient Registry Annual Data Report; Cystic Fibrosis Foundation: Bethesda, MD, USA, 2021. [Google Scholar]
- Bratcher, P.E.; Rowe, S.M.; Reeves, G.; Roberts, T.; Szul, T.; Harris, W.T.; Tirouvanziam, R.; Gaggar, A. Alterations in blood leukocytes of G551D-bearing cystic fibrosis patients undergoing treatment with ivacaftor. J. Cyst. Fibros. 2016, 15, 67–73. [Google Scholar] [CrossRef] [PubMed]
- Pohl, K.; Hayes, E.; Keenan, J.; Henry, M.; Meleady, P.; Molloy, K.; Jundi, B.; Bergin, D.A.; McCarthy, C.; McElvaney, O.J.; et al. A neutrophil intrinsic impairment affecting Rab27a and degranulation in cystic fibrosis is corrected by CFTR potentiator therapy. Blood 2014, 124, 999–1009. [Google Scholar] [CrossRef] [PubMed]
- Cavinato, L.; Luly, F.R.; Pastore, V.; Chiappetta, D.; Sangiorgi, G.; Ferrara, E.; Baiocchi, P.; Mandarello, G.; Cimino, G.; Del Porto, P.; et al. Elexacaftor/tezacaftor/ivacaftor corrects monocyte microbicidal deficiency in cystic fibrosis. Eur. Respir. J. 2023, 61, 2200725. [Google Scholar] [CrossRef] [PubMed]
- Zhang, S.; Shrestha, C.L.; Robledo-Avila, F.; Jaganathan, D.; Wisniewski, B.L.; Brown, N.; Pham, H.; Carey, K.; Amer, A.O.; Hall-Stoodley, L.; et al. Cystic fibrosis macrophage function and clinical outcomes after elexacaftor/tezacaftor/ivacaftor. Eur. Respir. J. 2023, 61, 2102861. [Google Scholar] [CrossRef] [PubMed]
- Johansson, J.; Vezzalini, M.; Verze, G.; Caldrer, S.; Bolognin, S.; Buffelli, M.; Bellisola, G.; Tridello, G.; Assael, B.M.; Melotti, P.; et al. Detection of CFTR protein in human leukocytes by flow cytometry. Cytom. A 2014, 85, 611–620. [Google Scholar] [CrossRef] [PubMed]
- Bednarski, C.; Tomczak, K.; Vom Hövel, B.; Weber, W.-M.; Cathomen, T. Targeted Integration of a Super-Exon into the CFTR Locus Leads to Functional Correction of a Cystic Fibrosis Cell Line Model. PLoS ONE 2016, 11, e0161072. [Google Scholar] [CrossRef] [PubMed]
- Stanke, F.; Pallenberg, S.T.; Tamm, S.; Hedtfeld, S.; Eichhorn, E.M.; Minso, R.; Hansen, G.; Welte, T.; Sauer-Heilborn, A.; Ringshausen, F.C.; et al. Changes in cystic fibrosis transmembrane conductance regulator protein expression prior to and during elexacaftor-tezacaftor-ivacaftor therapy. Front. Pharmacol. 2023, 14, 1114584. [Google Scholar] [CrossRef]
- Sorio, C.; Buffelli, M.; Angiari, C.; Ettorre, M.; Johansson, J.; Vezzalini, M.; Viviani, L.; Ricciardi, M.; Verzè, G.; Assael, B.M.; et al. Defective CFTR Expression and Function Are Detectable in Blood Monocytes: Development of a New Blood Test for Cystic Fibrosis. PLoS ONE 2011, 6, e22212. [Google Scholar] [CrossRef] [PubMed]
- Sato, Y.; Mustafina, K.R.; Luo, Y.; Martini, C.; Thomas, D.Y.; Wiseman, P.W.; Hanrahan, J.W. Nonspecific binding of common anti-CFTR antibodies in ciliated cells of human airway epithelium. Sci. Rep. 2021, 11, 23256. [Google Scholar] [CrossRef]
- Painter, R.G.; Valentine, V.G.; Lanson, N.A.; Leidal, K.; Zhang, Q.; Lombard, G.; Thompson, C.; Viswanathan, A.; Nauseef, W.M.; Wang, G.; et al. CFTR Expression in Human Neutrophils and the Phagolysosomal Chlorination Defect in Cystic Fibrosis. Biochemistry 2006, 45, 10260–10269. [Google Scholar] [CrossRef]
- Johansson, M.E.; Gustafsson, J.K.; Holmen-Larsson, J.; Jabbar, K.S.; Xia, L.; Xu, H.; Ghishan, F.K.; Carvalho, F.A.; Gewirtz, A.T.; Sjovall, H.; et al. Bacteria penetrate the normally impenetrable inner colon mucus layer in both murine colitis models and patients with ulcerative colitis. Gut 2014, 63, 281–291. [Google Scholar] [CrossRef] [PubMed]
- Moss, R.B.; Bocian, R.C.; Hsu, Y.P.; Dong, Y.J.; Kemna, M.; Wei, T.; Gardner, P. Reduced IL-10 secretion by CD4+ T lymphocytes expressing mutant cystic fibrosis transmembrane conductance regulator (CFTR). Clin. Exp. Immunol. 1996, 106, 374–388. [Google Scholar] [CrossRef] [PubMed]
- Di, A.; Brown, M.E.; Deriy, L.V.; Li, C.; Szeto, F.L.; Chen, Y.; Huang, P.; Tong, J.; Naren, A.P.; Bindokas, V.; et al. CFTR regulates phagosome acidification in macrophages and alters bactericidal activity. Nat. Cell Biol. 2006, 8, 933–944. [Google Scholar] [CrossRef] [PubMed]
- Deriy, L.V.; Gomez, E.A.; Zhang, G.; Beacham, D.W.; Hopson, J.A.; Gallan, A.J.; Shevchenko, P.D.; Bindokas, V.P.; Nelson, D.J. Disease-causing Mutations in the Cystic Fibrosis Transmembrane Conductance Regulator Determine the Functional Responses of Alveolar Macrophages. J. Biol. Chem. 2009, 284, 35926–35938. [Google Scholar] [CrossRef] [PubMed]
- Bruscia, E.M.; Zhang, P.X.; Ferreira, E.; Caputo, C.; Emerson, J.W.; Tuck, D.; Krause, D.S.; Egan, M.E. Macrophages directly contribute to the exaggerated inflammatory response in cystic fibrosis transmembrane conductance regulator−/− mice. Am. J. Respir. Cell Mol. Biol. 2009, 40, 295–304. [Google Scholar] [CrossRef] [PubMed]
- Fan, Z.; Pitmon, E.; Wen, L.; Miller, J.; Ehinger, E.; Herro, R.; Liu, W.; Chen, J.; Mikulski, Z.; Conrad, D.J.; et al. Bone Marrow Transplantation Rescues Monocyte Recruitment Defect and Improves Cystic Fibrosis in Mice. J. Immunol. 2022, 208, 745–752. [Google Scholar] [CrossRef] [PubMed]
- Duan, Y.; Li, G.; Xu, M.; Qi, X.; Deng, M.; Lin, X.; Lei, Z.; Hu, Y.; Jia, Z.; Yang, Q.; et al. CFTR is a negative regulator of γδ T cell IFN-γ production and antitumor immunity. Cell. Mol. Immunol. 2021, 18, 1934–1944. [Google Scholar] [CrossRef] [PubMed]
- Mueller, C.; Braag, S.A.; Keeler, A.; Hodges, C.; Drumm, M.; Flotte, T.R. Lack of Cystic Fibrosis Transmembrane Conductance Regulator in CD3+ Lymphocytes Leads to Aberrant Cytokine Secretion and Hyperinflammatory Adaptive Immune Responses. Am. J. Respir. Cell Mol. Biol. 2011, 44, 922–929. [Google Scholar] [CrossRef] [PubMed]
- Westhölter, D.; Raspe, J.; Uebner, H.; Pipping, J.; Schmitz, M.; Straßburg, S.; Sutharsan, S.; Welsner, M.; Taube, C.; Reuter, S. Regulatory T cell enhancement in adults with cystic fibrosis receiving Elexacaftor/Tezacaftor/Ivacaftor therapy. Front. Immunol. 2023, 14, 1107437. [Google Scholar] [CrossRef]
- Sheikh, S.; Britt, R.D.; Ryan-Wenger, N.A.; Khan, A.Q.; Lewis, B.W.; Gushue, C.; Ozuna, H.; Jaganathan, D.; McCoy, K.; Kopp, B.T. Impact of elexacaftor–tezacaftor–ivacaftor on bacterial colonization and inflammatory responses in cystic fibrosis. Pediatr. Pulmonol. 2023, 58, 825–833. [Google Scholar] [CrossRef]
- Bruscia, E.M. The effects of elexacaftor/tezacaftor/ivacaftor beyond the epithelium: Spurring macrophages to fight infections. Eur. Respir. J. 2023, 61, 2300216. [Google Scholar] [CrossRef] [PubMed]
- Aridgides, D.S.; Mellinger, D.L.; Gwilt, L.L.; Hampton, T.H.; Mould, D.L.; Hogan, D.A.; Ashare, A. Comparative effects of CFTR modulators on phagocytic, metabolic and inflammatory profiles of CF and nonCF macrophages. Sci. Rep. 2023, 13, 11995. [Google Scholar] [CrossRef] [PubMed]
- Jensen, T.; Riordan, J. CFTR antibodies: The CFFT antibody distribution program. Pediatr. Pulmonol. 2013, 48, 225. [Google Scholar]
- Schucht, S.; Minso, R.; Lex, C.; Reiss, J.; Stanke, F.; Tamm, S.; Van Barneveld, A.; Tümmler, B. Functional analysis of the p.[Arg74Trp;Val201Met;Asp1270Asn]/p.Phe508del CFTR mutation genotype in human native colon. Mol. Genet. Genom. Med. 2019, 7, e00526. [Google Scholar] [CrossRef] [PubMed]
- Van Barneveld, A.; Zander, I.; Hyde, R.; Langer, F.; Simon, A.; Kruger, M.; Ballmann, M.; Derichs, N.; Tummler, B. Immunochemical analysis of mutant CFTR in lung explants. Cell Physiol. Biochem. 2012, 30, 587–595. [Google Scholar] [CrossRef] [PubMed]
- Van Barneveld, A.; Stanke, F.; Tamm, S.; Siebert, B.; Brandes, G.; Derichs, N.; Ballmann, M.; Junge, S.; Tümmler, B. Functional analysis of F508del CFTR in native human colon. Biochim. Et Biophys. Acta (BBA)—Mol. Basis Dis. 2010, 1802, 1062–1069. [Google Scholar] [CrossRef]



| Antibody | Host/Clonality | Dilution | Provider | Cat. No. |
|---|---|---|---|---|
| CFTR | Mouse/ Monoclonal | 1:400 | CF Foundation (Bethesda, MD, USA) | 217, 660, 570, 596 |
| Vinculin | Mouse/ Monoclonal | 1:500 | Abcam (Cambridge, UK) | ab130007 |
| IgG H&L (HRP) | Goat anti-mouse | 1:7500 | Abcam (Cambridge, UK) | ab97040, Abcam |
| Probe ** | Amount (ng) | CT Value CFTR | Calibration on T84 (Based on Amount) | δCT (Probe—CALIBRATION) * | Fold Difference T84 # |
|---|---|---|---|---|---|
| 16HBE | 50 | 20.2 | |||
| T84 2 | 50 | 20.6 | 0.0 | 1 | |
| THP-1 undifferentiated 1 | 50 | Undetermined | 20.6 | CFTR mRNA beyond lower limit of detection | |
| THP-1 differentiated 1,2,3,S1 | 50 | 34.4 | 20.6 | 13.8 | 670 |
| Jurkat T cells **,S1 | 50 | 30.6 | 20.7 | 9.9 | 105 |
| CD14+ Monocytes 1 | 50 | Undetermined | 0.0 | CFTR mRNA beyond lower limit of detection | |
| CD19+ B cells 1 | 50 | Undetermined | 20.2 | CFTR mRNA beyond lower limit of detection | |
| CD8+ T cells 1 | 50 | Undetermined | 20.2 | CFTR mRNA beyond lower limit of detection | |
| CD16+ NK cells 1 | 50 | 36.5 | 20.2 | 16.2 | 2067 |
| CD4+ T cells unstimulated 1,2,S1 | 50 | 35.2 | 20.2 | 15.0 | 934 |
| CD4+ T cells stimulated S3,3 | 30 | 34.9 | 21.4 | 13.5 | 585 |
Disclaimer/Publisher’s Note: The statements, opinions and data contained in all publications are solely those of the individual author(s) and contributor(s) and not of MDPI and/or the editor(s). MDPI and/or the editor(s) disclaim responsibility for any injury to people or property resulting from any ideas, methods, instructions or products referred to in the content. |
© 2024 by the authors. Licensee MDPI, Basel, Switzerland. This article is an open access article distributed under the terms and conditions of the Creative Commons Attribution (CC BY) license (https://creativecommons.org/licenses/by/4.0/).
Share and Cite
Schnell, A.; Tamm, S.; Hedtfeld, S.; Rodriguez Gonzalez, C.; Hoerning, A.; Lachmann, N.; Stanke, F.; Dittrich, A.-M.; Munder, A. Analysis of CFTR mRNA and Protein in Peripheral Blood Mononuclear Cells via Quantitative Real-Time PCR and Western Blot. Int. J. Mol. Sci. 2024, 25, 6367. https://doi.org/10.3390/ijms25126367
Schnell A, Tamm S, Hedtfeld S, Rodriguez Gonzalez C, Hoerning A, Lachmann N, Stanke F, Dittrich A-M, Munder A. Analysis of CFTR mRNA and Protein in Peripheral Blood Mononuclear Cells via Quantitative Real-Time PCR and Western Blot. International Journal of Molecular Sciences. 2024; 25(12):6367. https://doi.org/10.3390/ijms25126367
Chicago/Turabian StyleSchnell, Alexander, Stephanie Tamm, Silke Hedtfeld, Claudio Rodriguez Gonzalez, Andre Hoerning, Nico Lachmann, Frauke Stanke, Anna-Maria Dittrich, and Antje Munder. 2024. "Analysis of CFTR mRNA and Protein in Peripheral Blood Mononuclear Cells via Quantitative Real-Time PCR and Western Blot" International Journal of Molecular Sciences 25, no. 12: 6367. https://doi.org/10.3390/ijms25126367
APA StyleSchnell, A., Tamm, S., Hedtfeld, S., Rodriguez Gonzalez, C., Hoerning, A., Lachmann, N., Stanke, F., Dittrich, A.-M., & Munder, A. (2024). Analysis of CFTR mRNA and Protein in Peripheral Blood Mononuclear Cells via Quantitative Real-Time PCR and Western Blot. International Journal of Molecular Sciences, 25(12), 6367. https://doi.org/10.3390/ijms25126367

