Evaluation of the Inhibitory Potential of Synthetic Peptides Homologous to CDR3 Regions of a Monoclonal Antibody against Bothropic Venom Serine Proteases
Abstract
1. Introduction
2. Results
2.1. Purification of the Anti-Thrombin-like Enzyme Antibody (6AD2-G5)
2.2. Purification of the SVTLE
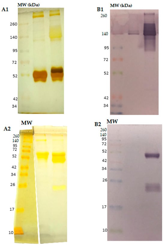
2.3. Monoclonal Antibody Digestion and Mass Spectrometry Analyses
2.4. Determining the Blocking Activity of SVSPs by Synthetic Peptides
2.5. Comparison of the Blocking Potential of BAV and Synthetic Peptides
2.6. Susceptibility of Synthetic Peptides to Hydrolysis by Bothrops jararaca and B. atrox Venoms
2.7. Studies with the SVTLE of Bothrops atrox—Determination of the Mechanisms and Inhibition Constants (Ki) of Peptides
2.8. Analysis of the Inhibition Selectivity of Synthetic Peptides
2.9. In Silico Analysis for the Prediction of Hemolytic Activity
3. Discussion
4. Materials and Methods
4.1. Reagents
4.2. Venoms and Antivenom
4.3. Hybridoma 6AD2-G5 Culture and Purification
4.4. Sequencing of the Anti-Thrombin-like Antibody (6AD2-G5)
4.5. Purification of a Thrombin-like Enzyme Present in the Bothrops atrox Venom
4.6. Enzymatic Assays with B. atrox and B. jararaca Venoms
4.7. Serum Neutralization
4.8. Characterization of Synthetic Peptides as Thrombin-like Inhibitors
4.9. Stability Test of Synthetic Peptides against Venoms
4.10. Study of the Selectivity of Synthetic Peptides for Inhibition of SVSPs
4.11. Evaluation of the Inhibition of Metalloproteases from Bothropic venoms by Synthetic CDR3
4.12. Prediction of Hemolytic Peptides
4.13. Statistical Analyses
5. Conclusions
Supplementary Materials
Author Contributions
Funding
Institutional Review Board Statement
Informed Consent Statement
Data Availability Statement
Acknowledgments
Conflicts of Interest
References
- World Health Organization. Neglected Tropical Diseases. 2021. Available online: www.who.int/neglected_diseases/diseases/en/ (accessed on 12 October 2021).
- Harrison, R.A.; Hargreaves, A.; Wagstaff, S.C.; Faragher, B.; Lalloo, D.G. Snake Envenoming: A Disease of Poverty. PLoS Negl. Trop. Dis. 2009, 3, e569. [Google Scholar] [CrossRef]
- Williams, D.J.; Gutiérrez, J.-M.; Calvete, J.J.; Wüster, W.; Ratanabanangkoon, K.; Paiva, O.; Brown, N.I.; Casewell, N.R.; Harrison, R.A.; Rowley, P.D.; et al. Ending the drought: New strategies for improving the flow of affordable, effective antivenoms in Asia and Africa. J. Proteom. 2011, 74, 1735–1767. [Google Scholar] [CrossRef]
- Florentin, J.; Houcke, S.; Mehdaoui, H.; Gutiérrez, J.M.; Neviere, R. Bothrops (Fer-de-lance) snakebites in the French departments of the Americas (Martinique and Guyana): Clinical and experimental studies and treatment by immunotherapy. PLoS Negl. Trop. Dis. 2023, 17, e0011083. [Google Scholar] [CrossRef] [PubMed]
- Patiño, R.S.P.; Salazar-Valenzuela, D.; Medina-Villamizar, E.; Mendes, B.; Proaño-Bolaños, C.; Silva, S.L.; Almeida, J.R. Bothrops atrox from Ecuadorian Amazon: Initial analyses of venoms from individuals. Toxicon 2021, 93, 63–72. [Google Scholar] [CrossRef]
- Proleón, A.; Torrejón, D.; Urra, F.A.; Lazo, F.; López-Torres, C.; Fuentes-Retamal, S.; Quispe, E.; Bautista, L.; Agurto, A.; Gavilan, R.G.; et al. Functional, immunological characterization, and anticancer activity of BaMtx: A new Lys49- PLA2 homologue isolated from the venom of Peruvian Bothrops atrox snake (Serpentes: Viperidae). Int. J. Biol. Macromol. 2022, 206, 990–1002. [Google Scholar] [CrossRef]
- Sousa, L.F.; Portes-Junior, J.A.; Nicolau, C.A.; Bernardoni, J.L.; Nishiyama-Jr, M.Y.; Amazonas, D.R.; Freitas-de-Sousa, L.A.; Mourão, R.H.; Chalkidis, H.M.; Valente, R.H.; et al. Functional proteomic analyses of Bothrops atrox venom reveals phenotypes associated with habitat variation in the Amazon. J. Proteom. 2017, 159, 32–46. [Google Scholar] [CrossRef] [PubMed]
- Núñez, V.; Cid, P.; Sanz, L.; de La Torre, P.; Angulo, Y.; Lomonte, B.; Gutiérrez, J.M.; Calvete, J.J. Snake venomics and antivenomics of Bothrops atrox venoms from Colombia and the Amazon regions of Brazil, Perú and Ecuador suggest the occurrence of geographic variation of venom phenotype by a trend towards paedomorphism. J. Proteom. 2009, 73, 57–78. [Google Scholar] [CrossRef]
- Bode, W.; Turk, D.; Karshikov, A. The refined 1.9-Å X-ray crystal structure of d-Phe-Pro-Arg chloromethylketone-inhibited human α -thrombin: Structure analysis, overall structure, electrostatic properties, detailed active-site geometry, and structure-function relationships. Protein Sci. 1992, 1, 426–471. [Google Scholar] [CrossRef] [PubMed]
- Stubbs, M.T.; Bode, W. A player of many parts: The spotlight falls on thrombin’s structure. Thromb. Res. 1993, 69, 1–58. [Google Scholar] [CrossRef]
- Stocker, K.; Fischer, H.; Meier, J. Thrombin-like snake venom proteinases. Toxicon 1982, 20, 265–273. [Google Scholar] [CrossRef]
- Nishida, S.; Fujimura, Y.; Miura, S.; Yoshida, E.; Sugimoto, M.; Yoshioka, A.; Fukui, H.; Ozaki, Y.; Usami, Y. Purification and Characterization of Bothrombin, a Fibrinogen-Clotting Serine Protease from the Venom of Bothrops jararaca. Biochemistry 1994, 33, 1843–1849. [Google Scholar] [CrossRef]
- World Health Organization. Envenenamentos Por Animais Peçonhentos. 2019. Available online: https://www.who.int/es/news-room/fact-sheets/detail/envenenamientos-por-animales-peconhentos (accessed on 12 October 2022).
- Cardoso, J.L.C.; França, F.O.S.; Wen, F.H.; Málaque, C.M.S.; Haddad, A.V., Jr. Venomous animals in Brazil: Biology, clinic and therapeutics of envenomations. Rev. Inst. Med. Trop. Sao Paulo 2003, 45, 338. [Google Scholar] [CrossRef]
- Queiroz, G.P.; Pessoa, L.A.; Portaro, F.C.V.; Furtado, M.D.F.D.; Tambourgi, D.V. Interspecific variation in venom composition and toxicity of Brazilian snakes from Bothrops genus. Toxicon 2008, 52, 842–851. [Google Scholar] [CrossRef] [PubMed]
- Furtado, M.D.F.D.; Cardoso, S.T.; Soares, O.E.; Pereira, A.P.; Fernandes, D.S.; Tambourgi, D.V.; Sant’Anna, O.A. Antigenic cross-reactivity and immunogenicity of Bothrops venoms from snakes of the Amazon region. Toxicon 2010, 55, 881–887. [Google Scholar] [CrossRef] [PubMed]
- Pardal PP, D.O.; Souza, S.M.; Monteiro MR, C.C.; Fan, H.W.; Cardoso JL, C.; França FO, S.; Tomy, S.C.; Sano-Martins, I.S.; Sousa-e-Silva MC, C.; Colombini, M.; et al. Clinical trial of two antivenoms for the treatment of Bothrops and Lachesis bites in the north eastern Amazon region of Brazil. Trans. R Soc. Trop. Med. Hyg. 2004, 98, 28–42. [Google Scholar] [CrossRef] [PubMed]
- Cardoso, J.L.C.; Fan, H.W.; França, F.O.S.; Jorge, M.T.; Leite, R.P.; Nishioka, S.A.; Avila, A.; Sano-Martins, I.S.; Tomy, S.C.; Santoro, M.L.; et al. Randomized comparative trial of three antivenoms in the treatment of envenoming by lance-headed vipers (Bothrops jararaca) in São Paulo, Brazil. QJM An. Int. J. Med. 1993, 86, 315–325. [Google Scholar]
- Kuniyoshi, A.K.; Rocha, M.; Carvalho, D.C.; Juliano, M.A.; Neto, L.J.; Tambourgi, D.V.; Portaro, F.C.V. Angiotensin-degrading serine peptidase: A new chymotrypsin-like activity in the venom of Bothrops jararaca partially blocked by the commercial antivenom. Toxicon 2012, 59, 124–131. [Google Scholar] [CrossRef] [PubMed]
- Kuniyoshi, A.K.; Kodama, R.T.; Moraes, L.H.F.; Duzzi, B.; Iwai, L.K.; Lima, I.F.; Cajado-Carvalho, D.; Portaro, F.V. In vitro cleavage of bioactive peptides by peptidases from Bothrops jararaca venom and its neutralization by bothropic antivenom produced by Butantan Institute: Major contribution of serine peptidases. Toxicon 2017, 137, 114–119. [Google Scholar] [CrossRef]
- Kuniyoshi, A.K.; Kodama, R.T.; Cajado-Carvalho, D.; Iwai, L.K.; Kitano, E.; da Silva, C.C.F.; Duzzi, B.; da Silva, W.D.; Portaro, F.C. Experimental antivenom against serine proteases from the Bothrops jararaca venom obtained in mice, and its comparison with the antibothropic serum from the Butantan Institute. Toxicon 2019, 169, 59–67. [Google Scholar] [CrossRef]
- Morine, N.; Matsuda, S.; Terada, K.; Eto, A.; Ishida, I.; Oku, H. Neutralization of hemorrhagic snake venom metalloproteinase HR1a from Protobothrops flavoviridis by human monoclonal antibody. Toxicon 2007, 51, 345–352. [Google Scholar] [CrossRef]
- Petretski, J.H.; Kanashiro, M.; Silva, C.P.; Alves, E.W.; Kipnis, T.L. Two related thrombin-like enzymes present in Bothrops atrox venom. Braz. J. Med. Biol. Res. 2000, 33, 1293–1300. [Google Scholar] [CrossRef] [PubMed]
- Frauches, T.S.; Petretski, J.H.; Arnholdt, A.C.V.; Lasunskaia, E.B.; de Carvalho, E.C.Q.; Kipnis, T.L.; da Silva, W.D.; Kanashiro, M.M. Bothropic antivenom based on monoclonal antibodies, is it possible? Toxicon 2013, 71, 49–56. [Google Scholar] [CrossRef] [PubMed]
- Guércio RA, P.; Shevchenko, A.; Shevchenko, A.; López-Lozano, J.L.; Paba, J.; Sousa, M.V.; Ricart, C.A.O. Ontogenetic variations in the venom proteome of the Amazonian snake Bothrops atrox. Proteome Sci. 2006, 4, 11. [Google Scholar] [CrossRef] [PubMed]
- Warren, R.L. PASS: De novo assembler for short peptide sequences. arXiv 2022, arXiv:2208.05598. [Google Scholar]
- Pearson, W.R. Finding Protein and Nucleotide Similarities with FASTA. Curr. Protoc. Bioinform. 2016, 53, 3.9.1–3.9.25. [Google Scholar] [CrossRef] [PubMed]
- Prabakaran, P.; Chowdhury, P.S. Landscape of Non-canonical Cysteines in Human VH Repertoire Revealed by Immunogenetic Analysis. Cell Rep. 2020, 30, 31. [Google Scholar] [CrossRef] [PubMed]
- Stanfield, R.L.; Haakenson, J.; Deiss Criscitiello, T.C.; Wilson, M.F.I.A.; Smider, V.V. The Unusual Genetics and Biochemistry of Bovine Immunoglobulins. In Advances in Immunology; Academic Press Inc.: New York, NY, USA, 2018; Volume 137, pp. 135–164. [Google Scholar]
- Wörn, A.; der Maur, A.A.; Escher, D.; Honegger, A.; Barberis, A.; Plückthun, A. Correlation between in Vitro Stability and in Vivo Performance of Anti-GCN4 Intrabodies as Cytoplasmic Inhibitors. J. Biol. Chem. 2000, 275, 2795–2803. [Google Scholar] [CrossRef] [PubMed]
- Lindner, P.; Bauer, K.; Krebber, A.; Nieba, L.; Kremmer, E.; Krebber, C.; Honegger, A.; Klinger, B.; Mocikat, R.; Plückthun, A. Specific detection of his-tagged proteins with recombinant anti-His tag scFv-phosphatase or scFv-phage fusions. Biotechniques 1997, 22, 140–149. [Google Scholar] [CrossRef]
- Proba, K.; Honegger, A.; Plü, A. A Natural Antibody Missing a Cysteine in VH: Consequences for Thermodynamic Stability and Folding. J. Mol. Biol. 1997, 265, 161–172. [Google Scholar] [CrossRef]
- Proba, K.; Wo, A.; Honegger, A.; Plu, A. Antibody scFv Fragments without Disulfide Bonds Made by Molecular Evolution. J. Mol. Biol. 1998, 275, 245–253. [Google Scholar] [CrossRef]
- Ceballos-Alcantarilla, E.; Merkx, M. Understanding and applications of Ser/Gly linkers in protein engineering. Methods Enzymol. 2021, 647, 1–22. [Google Scholar] [CrossRef]
- Chen, X.; Zaro, J.L.; Shen, W.-C. Fusion protein linkers: Property, design and functionality. Adv. Drug Deliv. Rev. 2013, 65, 1357–1369. [Google Scholar] [CrossRef]
- Mandelbaum FR Carrillo MHenriques, S.B. Proteolytic activity of Bothrops protease A on the B chain of oxidized insulin. Biochim. Biophys. Acta (BBA)–Enzymol. 1967, 132, 508–510. [Google Scholar] [CrossRef]
- Irwin, H.S. Enzyme Kinetics: Behavior and Analysis of Rapid Equilibrium and Steady-State Enzyme Systems; John Wiley and Sons: New York, NY, USA, 1993. [Google Scholar]
- Kouassi, K.J.E.; M’bra, K.I.; Sery, B.J.L.N.; Yao, L.B.; Krah, K.L.; Lohourou, G.F.; Kouassi, A.A.N.; Traore, I.; Asséré, Y.A.G.R.A.; Kodo, M. Amputation de membre secondaire à une morsure de vipère. Arch. Pédiatrie 2017, 24, 350–352. [Google Scholar] [CrossRef]
- Pierini, S.V.; Warrell, D.A.; de Paulo, A.; Theakston, R.D.G. High incidence of bites and stings by snakes and other animals among rubber tappers and amazonian indians of the Juruá Valley, Acre State, Brazil. Toxicon 1996, 34, 225–236. [Google Scholar] [CrossRef]
- Harrison, R.A.; Oluoch, G.O.; Ainsworth, S.; Alsolaiss, J.; Bolton, F.; Arias, A.-S.; Gutiérrez, J.-M.; Rowley, P.; Kalya, S.; Ozwara, H.; et al. Preclinical antivenom-efficacy testing reveals potentially disturbing deficiencies of snakebite treatment capability in East Africa. PLoS Negl. Trop. Dis. 2017, 11, e0005969. [Google Scholar] [CrossRef] [PubMed]
- Lalloo, D.G.; Theakston, R.D.G. Snake Antivenoms. J. Toxicol. Clin. Toxicol. 2003, 41, 277–290. [Google Scholar] [CrossRef] [PubMed]
- Rawlings, N.D.; Barrett, A.J.; Finn, R. Twenty years of the MEROPS database of proteolytic enzymes, their substrates and inhibitors. Nucleic Acids Res. 2016, 44, D343–D350. [Google Scholar] [CrossRef] [PubMed]
- Castro, H.C.; Zingali, R.B.; Albuquerque, M.G.; Pujol-Luz, M.; Rodrigues, C.R. Snake venom thrombin-like enzymes: From reptilase to now. Cell Mol. Life Sci. 2004, 61, 843–856. [Google Scholar] [CrossRef]
- Sousa, L.F.; Nicolau, C.A.; Peixoto, P.S.; Bernardoni, J.L.; Oliveira, S.S.; Portes-Junior, J.A.; Mourão RH, V.; Lima-Dos-Santos, I.; Sano-Martins, I.S.; Chalkidis, H.M.; et al. Comparison of Phylogeny, Venom Composition and Neutralization by Antivenom in Diverse Species of Bothrops Complex. PLoS Negl. Trop. Dis. 2013, 7, e2442. [Google Scholar] [CrossRef]
- Hawgood, B.J.; Calmette, A. 1863–1933 Fondateur de la sérothérapie antivenimeuse. Ann. Inst. Pasteur. Actual. 1999, 10, 139–146. [Google Scholar] [CrossRef]
- Squaiella-Baptistão, C.C.; Magnoli, F.C.; Marcelino, J.R.; Sant’Anna, O.A.; Tambourgi, D.V. Quality of horse F(ab’)2 antitoxins and anti-rabies immunoglobulins: Protein content and anticomplementary activity. J. Venom. Anim. Toxins Incl. Trop. Diseases. 2018, 24, 16. [Google Scholar] [CrossRef]
- Shevchenko, A.; Tomas, H.; Havli, J.; Olsen, J.V.; Mann, M. In-gel digestion for mass spectrometric characterization of proteins and proteomes. Nat. Protoc. 2006, 1, 2856–2860. [Google Scholar] [CrossRef] [PubMed]
- Ma, B.; Zhang, K.; Hendrie, C.; Liang, C.; Li, M.; Doherty-Kirby, A.; Lajoie, G. PEAKS: Powerful software for peptide de novo sequencing by tandem mass spectrometry. Rapid Commun. Mass. Spectrom. 2003, 17, 2337–2342. [Google Scholar] [CrossRef]
- Tran, N.H.; Rahman, M.Z.; He, L.; Xin, L.; Shan, B.; Li, M. Complete De Novo Assembly of Monoclonal Antibody Sequences. Sci. Rep. 2016, 6, 31730. [Google Scholar] [CrossRef] [PubMed]
- Lefranc, M.-P.; Giudicelli, V.; Ginestoux, C.; Jabado-Michaloud, J.; Folch, G.; Bellahcene, F.; Wu, Y.; Gemrot, E.; Brochet, X.; Lane, J.; et al. IMGT(R), the international ImMunoGeneTics information system(R). Nucleic Acids Res. 2009, 37, D1006–D1012. [Google Scholar] [CrossRef] [PubMed]
- Liu, L.; Wang, P.; Nair, M.S.; Yu, J.; Rapp, M.; Wang, Q.; Luo, Y.; Chan, J.F.W.; Sahi, V.; Figueroa, A.; et al. Potent neutralizing antibodies against multiple epitopes on SARS-CoV-2 spike. Nature 2020, 584, 450–456. [Google Scholar] [CrossRef]
- The Common Repository of Adventitious Proteins (cRAP). 2022. Available online: https://ftp.thegpm.org/fasta/cRAP (accessed on 15 October 2020).
- Faul, F.; Erdfelder, E.; Lang, A.-G.; Buchner, A. G*Power 3: A flexible statistical power analysis program for the social, behavioral, and biomedical sciences. Behav. Res. Methods 2007, 39, 175–191. [Google Scholar] [CrossRef]










| Heavy Chain | Light Chain | |||
|---|---|---|---|---|
| PEAKS/Enzyme | Trypsin | Chymotrypsin | Trypsin | Chymotrypsin |
| De novo | 142,122 | 85,630 | 120,332 | 59,991 |
| PEAKS DB | 6181 | 1505 | 1761 | 224 |
| SPIDER | 7159 | 1678 | 5475 | 1357 |
| Peptide | Relative Hydrolysis Ratio (%) |
|---|---|
| β-chain of insulin | 100 |
| CDR3 A | <0.01 |
| CDR3 C | <0.01 |
| CDR3 D | <0.01 |
| CDR3 E | <0.01 |
| Peptides | ProbScore | Prediction |
|---|---|---|
| CDR3 A | 0.49 | Non-hemolytic |
| CDR3 B | 0.49 | Non-hemolytic |
| CDR3 C | 0.48 | Non-hemolytic |
| CDR3 D | 0.45 | Non-hemolytic |
| CDR3 E | 0.45 | Non-hemolytic |
| ILPWKWPWWPWRR | 0.94 | Hemolytic |
Disclaimer/Publisher’s Note: The statements, opinions and data contained in all publications are solely those of the individual author(s) and contributor(s) and not of MDPI and/or the editor(s). MDPI and/or the editor(s) disclaim responsibility for any injury to people or property resulting from any ideas, methods, instructions or products referred to in the content. |
© 2024 by the authors. Licensee MDPI, Basel, Switzerland. This article is an open access article distributed under the terms and conditions of the Creative Commons Attribution (CC BY) license (https://creativecommons.org/licenses/by/4.0/).
Share and Cite
Saladini, L.Y.; Magalhães-Junior, M.J.; da Silva, C.C.F.; Oliveira, P.G.C.; Kodama, R.T.; Gomes, L.; Nishiyama-Jr, M.Y.; Spencer, P.J.; da Silva, W.D.; Portaro, F.C.V. Evaluation of the Inhibitory Potential of Synthetic Peptides Homologous to CDR3 Regions of a Monoclonal Antibody against Bothropic Venom Serine Proteases. Int. J. Mol. Sci. 2024, 25, 5181. https://doi.org/10.3390/ijms25105181
Saladini LY, Magalhães-Junior MJ, da Silva CCF, Oliveira PGC, Kodama RT, Gomes L, Nishiyama-Jr MY, Spencer PJ, da Silva WD, Portaro FCV. Evaluation of the Inhibitory Potential of Synthetic Peptides Homologous to CDR3 Regions of a Monoclonal Antibody against Bothropic Venom Serine Proteases. International Journal of Molecular Sciences. 2024; 25(10):5181. https://doi.org/10.3390/ijms25105181
Chicago/Turabian StyleSaladini, Lucas Yuri, Marcos Jorge Magalhães-Junior, Cristiane Castilho Fernandes da Silva, Priscila Gonçalves Coutinho Oliveira, Roberto Tadashi Kodama, Lais Gomes, Milton Yutaka Nishiyama-Jr, Patrick Jack Spencer, Wilmar Dias da Silva, and Fernanda Calheta Vieira Portaro. 2024. "Evaluation of the Inhibitory Potential of Synthetic Peptides Homologous to CDR3 Regions of a Monoclonal Antibody against Bothropic Venom Serine Proteases" International Journal of Molecular Sciences 25, no. 10: 5181. https://doi.org/10.3390/ijms25105181
APA StyleSaladini, L. Y., Magalhães-Junior, M. J., da Silva, C. C. F., Oliveira, P. G. C., Kodama, R. T., Gomes, L., Nishiyama-Jr, M. Y., Spencer, P. J., da Silva, W. D., & Portaro, F. C. V. (2024). Evaluation of the Inhibitory Potential of Synthetic Peptides Homologous to CDR3 Regions of a Monoclonal Antibody against Bothropic Venom Serine Proteases. International Journal of Molecular Sciences, 25(10), 5181. https://doi.org/10.3390/ijms25105181

