Nonribosomal Peptide Synthetase Specific Genome Amplification Using Rolling Circle Amplification for Targeted Gene Sequencing
Abstract
1. Introduction
2. Results
2.1. RCA Products with Single Primer (Single-Priming RCA)
2.2. Specific Amplification of pUC19 with Non-Target through Single-Priming RCA
2.3. Design of NRPS-Specific RCA Primers for Pseudomonas fluorescens ATCC17400
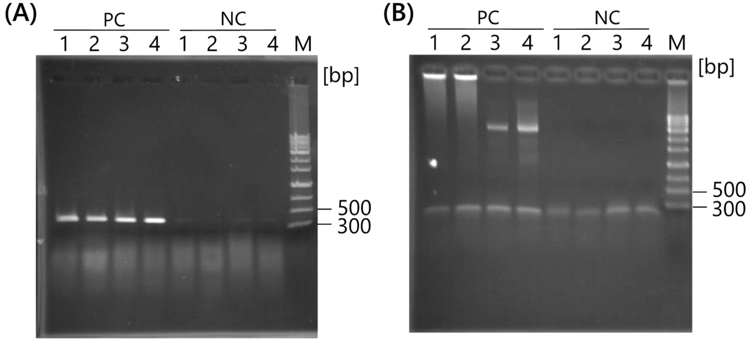
2.4. Specific Whole Genome Amplification in the Mixed Bacterial Flora
2.5. Application of the NRPS-Specific RCA to Unknown Environmental Bacteria
3. Discussion
4. Materials and Methods
4.1. Plasmid, Bacterial Strains, and Culture Conditions
4.2. Single-Priming RCA
| Name | Sequence | Length | Modification | Tm (°C) |
|---|---|---|---|---|
| random 6-mer | 5′-NNNNNN-3′ | 6 mer | normal | |
| 6D2S [29] | 5′-NNNN*N*N-3′ | 6 mer | *thiophosphate | |
| 6R5S [29] | 5′-rN*rN*rN*rN*rN*rN-3′ | 6 mer | RNA, *thiophosphate | |
| M13 | 5′-AGATAGGTGCGTGTTAG-3′ | 17 mer | normal | 48.1 |
| M13-TP | 5′-AGATAGGTGCGTGTTA*G-3′ | 17 mer | DNA,*thiophosphate | 39.5 |
| M13-R8 | 5′-ACAAGCCC-3′ | 8 mer | RNA | 2.5 |
| M13-R9 | 5′-CAGACAAGC-3′ | 9 mer | RNA | 9.0 |
| M13-R9h | 5′-ACAAGCCCG-3′ | 9 mer | RNA | 13.5 |
| M13-R10 | 5′-CAGACAAGCC-3′ | 10 mer | RNA | 18.3 |
| M13-R10h | 5′-GACAAGCCCG-3′ | 10 mer | RNA | 22.4 |
| M13-R11 | 5′-CAGACAAGCCC-3′ | 11 mer | RNA | 25.9 |
| bla10h | 5′-AUACCGCGCC-3′ | 10 mer | RNA | 22.4 |
| bla10 | 5′-GGAUAAUACC-3′ | 10 mer | RNA | 10.1 |
| bla11 | 5′-GAUAAUACCGC-3′ | 11 mer | RNA | 18.5 |
| bla12 | 5′-GGAUAAUACCGC-3′ | 12 mer | RNA | 25.5 |
| NRPS12R | 5′-CCGGUGCGGUAC-3′ | 12 mer | RNA | 35.7 |
| NRPS12F | 5′-CUACACGUCGGG-3′ | 12 mer | RNA | 32.3 |
| NRPS17R | 5′-CCGGUGCGGUACAACCG-3′ | 17 mer | RNA | 50.4 |
| NRPS18F | 5′-CUACACGUCGGGCUCCAC-3′ | 18 mer | RNA | 51.0 |
4.3. PCR
| PCR Primer Name | Sequence | Reference | |
|---|---|---|---|
| bla primer set | F | 5′-TTGCCGGGAAGCTAGAGTAA-3′ | This study |
| R | 5′-GCTATGTGGCGCGGTATTAT-3′ | ||
| Escherichia coli primer set | F | 5′-GACCTCGGTTTAGTTCACAGA -3′ | [30] |
| R | 5′-CACACGCTGACGCTGACCA-3′ | ||
| Pseudomonas genus primer set | F | 5′-TTGCCGGGAAGCTAGAGTAA-3′ | [29] |
| R | 5′-GCTATGTGGCGCGGTATTAT-3′ |
| Degenerate Primer Name | Sequence | Amino Acids Sequence | Degeneracy | |
|---|---|---|---|---|
| A-domain primer set [26] | F | 5′-GCSTACSTSATCTACACSTCSGG-3′ | AYXXYTSG | 32 |
| R | 5′-CCAGGTCVCCSGTSCGGTA-3′ | YRYGDL | 12 | |
| A-domain 2F primer | F | 5′-TAYACNWSSGGYACYACYGG-3′ | YTSG(S,T)TG | 512 |
| A-domain 2R primer | R | 5′-CAGRTCRCCNGTNCKRTA-3′ | Y(K,R)TGDL | 256 |
| A-domain 3F primer | F | 5′-ACSGGYRWNCCNAARGG-3′ | TGXPKG | 512 |
4.4. DNA Sequencing and Homology Analysis
4.5. Preparation of Sponge-Associated Bacterial Cells and DNA Extraction
4.6. Semi-Nested PCR
5. Conclusions
6. Patents
Supplementary Materials
Author Contributions
Funding
Institutional Review Board Statement
Informed Consent Statement
Data Availability Statement
Conflicts of Interest
References
- Jung, D.; Liu, L.; He, S. Application of in situ cultivation in marine microbial resource mining. Mar. Life Sci. Technol. 2020, 3, 148–161. [Google Scholar] [CrossRef]
- Hug, L.A. Sizing up the uncultured microbial majority. mSystems 2018, 3, e00185-18. [Google Scholar] [CrossRef] [PubMed]
- Alam, K.; Abbasi, M.N.; Hao, J.; Zhang, Y.; Li, A. Strategies for natural products discovery from uncultured microorganisms. Molecules 2021, 26, 2977. [Google Scholar] [CrossRef]
- Negri, T.; Mantri, S.; Angelov, A.; Peter, S.; Muth, G.; Eustáquio, A.S.; Ziemert, N. A rapid and efficient strategy to identify and recover biosynthetic gene clusters from soil metagenomes. Appl. Microbiol. Biotechnol. 2022, 106, 3293–3306. [Google Scholar] [CrossRef] [PubMed]
- King, R.W.; Bauer, J.D.; Brady, S.F. An environmental DNA-derived type II polyketide biosynthetic pathway encodes the biosynthesis of the pentacyclic polyketide erdacin. Angew. Chem. Int. Ed. Engl. 2009, 48, 6257–6261. [Google Scholar] [CrossRef] [PubMed]
- Feng, Z.; Chakraborty, D.; Dewell, S.B.; Reddy, B.V.; Brady, S.F. Environmental DNA-encoded antibiotics fasamycins A and B inhibit FabF in type II fatty acid biosynthesis. J. Am. Chem. Soc. 2012, 134, 2981–2987. [Google Scholar] [CrossRef]
- Piel, J.; Hui, D.; Wen, G.; Butzke, D.; Platzer, M.; Fusetani, N.; Matsunaga, S. Antitumor polyketide biosynthesis by an uncultivated bacterial symbiont of the marine sponge Theonella swinhoei. Proc. Natl. Acad. Sci. USA 2004, 101, 16222–16227. [Google Scholar] [CrossRef] [PubMed]
- Park, H.J.; Jeon, J.H.; Kang, S.G.; Lee, J.H.; Lee, S.H.; Kim, H.K. Functional expression and refolding of new alkaline esterase, EM2L8 from deep-sea sediment metagenome. Protein Expr. Purif. 2007, 52, 340–347. [Google Scholar] [CrossRef]
- Suenaga, H.; Ohnuki, T.; Miyazaki, K. Functional screening of a metagenomic library for genes involved in microbial degradation of aromatic compounds. Environ. Microbiol. 2007, 9, 2289–2297. [Google Scholar] [CrossRef]
- Brady, S.F.; Chao, C.J.; Clardy, J. Long-chain N-acyltyrosine synthases from environmental DNA. Appl. Environ. Microbiol. 2004, 70, 6865–6870. [Google Scholar] [CrossRef]
- Okamura, Y.; Kimura, T.; Yokouchi, H.; Meneses-Osorio, M.; Katoh, M.; Matsunaga, T.; Takeyama, H. Isolation and characterization of a GDSL esterase from the metagenome of a marine sponge-associated bacteria. Mar. Biotechnol. 2010, 12, 395–402. [Google Scholar] [CrossRef]
- Liu, S.H.; Wang, W.; Wang, K.B.; Zhang, B.; Li, W.; Shi, J.; Jiao, R.H.; Tan, R.X.; Ge, H.M. Heterologous expression of a cryptic giant type I PKS gene cluster leads to the production of ansaseomycin. Org. Lett. 2019, 21, 3785–3788. [Google Scholar] [CrossRef]
- Henne, A.; Schmitz, R.A.; Bömeke, M.; Gottschalk, G.; Daniel, R. Screening of environmental DNA libraries for the presence of genes conferring lipolytic activity on Escherichia coli. Appl. Environ. Microbiol. 2000, 66, 3113–3116. [Google Scholar] [CrossRef] [PubMed]
- Ramos-Barbero, M.D.; Martin-Cuadrado, A.B.; Viver, T.; Santos, F.; Martinez-Garcia, M.; Antón, J. Recovering microbial genomes from metagenomes in hypersaline environments: The good, the bad and the ugly. Syst. Appl. Microbiol. 2019, 42, 30–40. [Google Scholar] [CrossRef] [PubMed]
- van der Heijden, M.G.; Bardgett, R.D.; van Straalen, N.M. The unseen majority: Soil microbes as drivers of plant diversity and productivity in terrestrial ecosystems. Ecol. Lett. 2008, 11, 296–310. [Google Scholar] [CrossRef] [PubMed]
- Xie, H.; Li, W.; Hu, Y.; Yang, C.; Lu, J.; Guo, Y.; Wen, L.; Yang, F. De novo assembly of human genome at single-cell levels. Nucleic Acids Res. 2022, 50, 7479–7492. [Google Scholar] [CrossRef]
- Rinke, C.; Schwientek, P.; Sczyrba, A.; Ivanova, N.N.; Anderson, I.J.; Cheng, J.F.; Darling, A.; Malfatti, S.; Swan, B.K.; Gies, E.A.; et al. Insights into the phylogeny and coding potential of microbial dark matter. Nature 2013, 499, 431–437. [Google Scholar] [CrossRef] [PubMed]
- Rinke, C.; Lee, J.; Nath, N.; Goudeau, D.; Thompson, B.; Poulton, N.; Dmitrieff, E.; Malmstrom, R.; Stepanauskas, R.; Woyke, T.; et al. Obtaining genomes from uncultivated environmental microorganisms using FACS-based single-cell genomics. Nat. Protoc. 2014, 9, 1038–1048. [Google Scholar] [CrossRef] [PubMed]
- Nishikawa, Y.; Hosokawa, M.; Maruyama, T.; Yamagishi, K.; Mori, T.; Takeyama, H. Monodisperse picoliter droplets for low-bias and contamination-free reactions in single-cell whole genome amplification. PLoS ONE 2015, 10, e0138733. [Google Scholar] [CrossRef]
- Ide, K.; Nishikawa, Y.; Kogawa, M.; Iwamoto, E.; Samuel, A.Z.; Nakano, Y.; Takeyama, H. High-quality draft genome sequence of a Rickettsiales bacterium found in Acropora tenuis coral from Okinawa, Japan. Microbiol. Resour. Announc. 2020, 9, e00848-20. [Google Scholar] [CrossRef]
- Yoda, T.; Arikawa, K.; Saeki, T.; Matsuhashi, A.; Hosokawa, M. High-quality draft single-cell genome sequences of two Gammaproteobacteria strains sampled from soil in a strawberry farm. Microbiol. Resour. Announc. 2020, 9, e00743-20. [Google Scholar] [CrossRef] [PubMed]
- Takahashi, H.; Horio, K.; Kato, S.; Kobori, T.; Watanabe, K.; Aki, T.; Nakashimada, Y.; Okamura, Y. Direct detection of mRNA expression in microbial cells by fluorescence in situ hybridization using RNase H-assisted rolling circle amplification. Sci. Rep. 2020, 10, 9588. [Google Scholar] [CrossRef]
- Dean, F.B.; Nelson, J.R.; Giesler, T.L.; Lasken, R.S. Rapid amplification of plasmid and phage DNA using Phi 29 DNA polymerase and multiply-primed rolling circle amplification. Genome Res. 2001, 11, 1095–1099. [Google Scholar] [CrossRef] [PubMed]
- Takahashi, H.; Yamamoto, K.; Ohtani, T.; Sugiyama, S. Cell-free cloning using multiply-primed rolling circle amplification with modified RNA primers. Biotechniques. 2009, 47, 609–615. [Google Scholar] [CrossRef] [PubMed]
- Takahashi, H.; Satoh, T.; Kanahara, H.; Kubota, Y.; Hirose, T.; Yamazaki, H.; Yamamoto, K.; Okamura, Y.; Suzuki, T.; Kobori, T. Development of a bench-top extra-cleanroom for DNA amplification. Biotechniques 2016, 61, 42–46. [Google Scholar] [CrossRef] [PubMed]
- Jung, B.R.; Lee, Y.; Lim, Y.; Ahn, J.H. Structure prediction of the peptide synthesized with the nonribosomal peptide synthetase gene from Bradyrhizobium japonicum. J. Microbiol. Biotechnol. 2005, 15, 656–659. [Google Scholar]
- Rutledge, P.J.; Challis, G.L. Discovery of microbial natural products by activation of silent biosynthetic gene clusters. Nat. Rev. Microbiol. 2015, 13, 509–523. [Google Scholar] [CrossRef] [PubMed]
- Boogerd, F.C.; de Vrind, J.P. Manganese oxidation by Leptothrix discophora. J. Bacteriol. 1987, 169, 489–494. [Google Scholar] [CrossRef] [PubMed]
- Wagner, J.; Short, K.; Catto-Smith, A.G.; Cameron, D.J.; Bishop, R.F.; Kirkwood, C.D. Identification and characterisation of Pseudomonas 16S ribosomal DNA from ileal biopsies of children with Crohn’s disease. PLoS ONE 2008, 3, e3578. [Google Scholar] [CrossRef]
- Wang, R.F.; Cao, W.W.; Cerniglia, C.E. PCR detection and quantitation of predominant anaerobic bacteria in human and animal fecal samples. Appl. Environ. Microbiol. 1996, 62, 1242–1247. [Google Scholar] [CrossRef]





Disclaimer/Publisher’s Note: The statements, opinions and data contained in all publications are solely those of the individual author(s) and contributor(s) and not of MDPI and/or the editor(s). MDPI and/or the editor(s) disclaim responsibility for any injury to people or property resulting from any ideas, methods, instructions or products referred to in the content. |
© 2024 by the authors. Licensee MDPI, Basel, Switzerland. This article is an open access article distributed under the terms and conditions of the Creative Commons Attribution (CC BY) license (https://creativecommons.org/licenses/by/4.0/).
Share and Cite
Okamura, Y.; Suemitsu, M.; Ishikawa, T.; Takahashi, H. Nonribosomal Peptide Synthetase Specific Genome Amplification Using Rolling Circle Amplification for Targeted Gene Sequencing. Int. J. Mol. Sci. 2024, 25, 5089. https://doi.org/10.3390/ijms25105089
Okamura Y, Suemitsu M, Ishikawa T, Takahashi H. Nonribosomal Peptide Synthetase Specific Genome Amplification Using Rolling Circle Amplification for Targeted Gene Sequencing. International Journal of Molecular Sciences. 2024; 25(10):5089. https://doi.org/10.3390/ijms25105089
Chicago/Turabian StyleOkamura, Yoshiko, Masahiro Suemitsu, Takato Ishikawa, and Hirokazu Takahashi. 2024. "Nonribosomal Peptide Synthetase Specific Genome Amplification Using Rolling Circle Amplification for Targeted Gene Sequencing" International Journal of Molecular Sciences 25, no. 10: 5089. https://doi.org/10.3390/ijms25105089
APA StyleOkamura, Y., Suemitsu, M., Ishikawa, T., & Takahashi, H. (2024). Nonribosomal Peptide Synthetase Specific Genome Amplification Using Rolling Circle Amplification for Targeted Gene Sequencing. International Journal of Molecular Sciences, 25(10), 5089. https://doi.org/10.3390/ijms25105089

