Comparison of Follicular Helper T-Cell Markers with the Expression of the Follicular Homing Marker CXCR5 in Peripheral T-Cell Lymphomas—A Reappraisal of Follicular Helper T-Cell Lymphomas
Abstract
:1. Introduction
2. Results
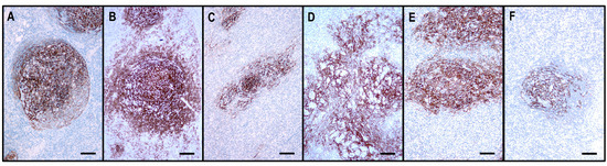
2.1. CXCR5 Staining Pattern in Non-Neoplastic and Neoplastic TFH Cells
2.2. Determination of TFH Cell Phenotype in PTCL Cases
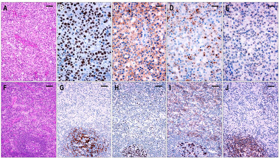
2.3. Immunomorphology of TFHL
2.3.1. TFHL-AI-1
2.3.2. TFHL-AI-2
2.3.3. TFHL-AI-3
2.3.4. TFHL-F
2.3.5. TFHL-NOS
3. Discussion
4. Materials and Methods
4.1. Patients and Tissue Samples
4.2. Immunohistochemistry and Evaluation
4.3. Multiple Fluorescence Antigen Immunostaining
4.4. EBER In Situ Hybridization
5. Conclusions
Supplementary Materials
Author Contributions
Funding
Institutional Review Board Statement
Informed Consent Statement
Data Availability Statement
Conflicts of Interest
Abbreviations
| PTCL | Peripheral T-cell lymphoma |
| TFH | Follicular T helper |
| TFHL | Follicular T helper cell lymphoma |
| TFHL-AI | Follicular T helper cell lymphoma angioimmunoblastic-type |
| TFHL-AI-1 | Follicular T helper cell lymphoma angioimmunoblastic-type, pattern 1 |
| TFHL-AI-2 | Follicular T helper cell lymphoma angioimmunoblastic-type, pattern 2 |
| TFHL-AI | Follicular T helper cell lymphoma angioimmunoblastic-type, pattern 3 |
| TFHL-F | Follicular T helper cell lymphoma follicular-type |
| TFHL-NOS | Follicular T helper cell lymphoma not otherwise specified-type |
| CXCR5 | CXC chemokine receptor type 5 |
| CXCL13 | CXC chemokine ligand 13 |
| BCL6 | B-cell lymphoma 6 |
| PD1 | Programmed cell death protein 1 |
| ICOS | Inducible T-cell costimulator |
| MEF2B | Myocyte enhancer binding factor 2 B |
| EBV | Epstein-Barr virus |
| EBER | EBV-encoded small RNA |
| LMP1 | EBV-encoded latent membrane protein 1 |
| DLBCL | Diffuse large B-cell lymphoma |
| TCR | T-cell receptor |
| GC | Germinal center |
| B-IBs | B immunoblasts |
| HRS-like | Hodgkin-Reed-Sternberg-like |
| FDC | Follicular dendritic cell |
| HEV | High endothelial venule |
| IHC | Immunohistochemistry |
References
- Swerdlow, S.H.; Campo, E.; Pileri, S.A.; Harris, N.L.; Stein, H.; Siebert, R. Review Series the Updated who Classification of Hematological Malignancies the 2016 revision of the World Health Organization Classification of Lymphoid Neoplasms. Blood 2016, 127, 2375–2390. [Google Scholar] [CrossRef]
- Campo, E.; Jaffe, E.S.; Cook, J.R.; Quintanilla-Martinez, L.; Swerdlow, S.H.; Anderson, K.C.; Brousset, P.; Cerroni, L.; de Leval, L.; Dirnhofer, S.; et al. The International Consensus Classification of Mature Lymphoid Neoplasms: A report from the Clinical Advisory Committee. Blood 2022, 140, 1229–1253. [Google Scholar] [CrossRef]
- Alaggio, R.; Amador, C.; Anagnostopoulos, I.; Attygalle, A.D.; Araujo, I.B.d.O.; Berti, E.; Bhagat, G.; Borges, A.M.; Boyer, D.; Calaminici, M.; et al. The 5th edition of the World Health Organization Classification of Haematolymphoid Tumours: Lymphoid Neoplasms. Leukemia 2022, 36, 1720–1748. [Google Scholar] [CrossRef]
- Krenacs, L.; Schaerli, P.; Kis, G.; Bagdi, E. Phenotype of neoplastic cells in angioimmunoblastic T-cell lymphoma is consistent with activated follicular B helper T cells. Blood 2006, 108, 1110–1111. [Google Scholar] [CrossRef]
- De Leval, L.; Rickman, D.S.; Thielen, C.; de Reynies, A.; Huang, Y.-L.; Delsol, G.; Lamant, L.; Leroy, K.; Brière, J.; Molina, T.; et al. The gene expression profile of nodal peripheral T-cell lymphoma demonstrates a molecular link between angioimmunoblastic T-cell lymphoma (AITL) and follicular helper T (TFH) cells. Blood 2007, 109, 4952–4963. [Google Scholar] [CrossRef]
- Attygalle, A.; Al-Jehani, R.; Diss, T.C.; Munson, P.; Liu, H.; Du, M.-Q.; Isaacson, P.G.; Dogan, A.; Stepkowski, S.M.; Erwin-Cohen, R.A.; et al. Neoplastic T cells in angioimmunoblastic T-cell lymphoma express CD10. Blood 2002, 99, 627–633. [Google Scholar] [CrossRef]
- Federico, M.; Rudiger, T.; Bellei, M.; Nathwani, B.N.; Luminari, S.; Coiffier, B.; Harris, N.L.; Jaffe, E.S.; Pileri, S.A.; Savage, K.J.; et al. Clinicopathologic Characteristics of Angioimmunoblastic T-Cell Lymphoma: Analysis of the International Peripheral T-Cell Lymphoma Project. J. Clin. Oncol. 2013, 31, 240–246. [Google Scholar] [CrossRef]
- Schaerli, P.; Willimann, K.; Lang, A.B.; Lipp, M.; Loetscher, P.; Moser, B. Cxc Chemokine Receptor 5 Expression Defines Follicular Homing T Cells with B Cell Helper Function. J. Exp. Med. 2000, 192, 1553–1562. [Google Scholar] [CrossRef]
- Vinuesa, C.G.; Tangye, S.G.; Moser, B.; Mackay, C.R. Follicular B helper T cells in antibody responses and autoimmunity. Nat. Rev. Immunol. 2005, 5, 853–865. [Google Scholar] [CrossRef]
- Haynes, N.M.; Allen, C.D.C.; Lesley, R.; Ansel, K.M.; Killeen, N.; Cyster, J.G. Role of CXCR5 and CCR7 in Follicular Th Cell Positioning and Appearance of a Programmed Cell Death Gene-1High Germinal Center-Associated Subpopulation. J. Immunol. 2007, 179, 5099–5108. [Google Scholar] [CrossRef]
- Moser, B. CXCR5, the Defining Marker for Follicular B Helper T (TFH) Cells. Front. Immunol. 2015, 6, 296. [Google Scholar] [CrossRef]
- Huang, Y.; Moreau, A.; Dupuis, J.; Streubel, B.; Petit, B.; Le Gouill, S.; Martin-Garcia, N.; Copie-Bergman, C.; Gaillard, F.; Qubaja, M.; et al. Peripheral T-cell Lymphomas with a Follicular Growth Pattern are Derived from Follicular Helper T Cells (TFH) and may Show Overlapping Features with Angioimmunoblastic T-cell Lymphomas. Am. J. Surg. Pathol. 2009, 33, 682–690. [Google Scholar] [CrossRef]
- Krenács, D.; Borbényi, Z.; Bedekovics, J.; Méhes, G.; Bagdi, E.; Krenács, L. Pattern of MEF2B expression in lymphoid tissues and in malignant lymphomas. Virchows Arch. 2015, 467, 345–355. [Google Scholar] [CrossRef]
- Roncador, G.; Verdes-Montenegro, J.-F.G.; Tedoldi, S.; Paterson, J.C.; Klapper, W.; Ballabio, E.; Maestre, L.; Pileri, S.; Hansmann, M.-L.; Piris, M.A.; et al. Expression of two markers of germinal center T cells (SAP and PD-1) in angioimmunoblastic T-cell lymphoma. Haematologica 2007, 92, 1059–1066. [Google Scholar] [CrossRef]
- Shi, J.; Hou, S.; Fang, Q.; Liu, X.; Liu, X.; Qi, H. PD-1 Controls Follicular T Helper Cell Positioning and Function. Immunity 2018, 49, 264–274.e4. [Google Scholar] [CrossRef]
- Brocker, T.; Gulbranson-Judge, A.; Flynn, S.; Riedinger, M.; Raykundalia, C.; Lane, P. CD4 T cell traffic control:in vivo evidence that ligation of OX40 on CD4 T cells by OX40-ligand expressed on dendritic cells leads to the accumulation of CD4 T cells in B follicles. Eur. J. Immunol. 1999, 29, 1610–1616. [Google Scholar] [CrossRef]
- Tahiliani, V.; Hutchinson, T.E.; Abboud, G.; Croft, M.; Salek-Ardakani, S. OX40 Cooperates with ICOS To Amplify Follicular Th Cell Development and Germinal Center Reactions during Infection. J. Immunol. 2017, 198, 218–228. [Google Scholar] [CrossRef]
- Gunn, M.D.; Ngo, V.N.; Ansel, K.M.; Ekland, E.H.; Cyster, J.G.; Williams, L.T. A B-cell-homing chemokine made in lymphoid follicles activates Burkitt’s lymphoma receptor-1. Nature 1998, 391, 799–803. [Google Scholar] [CrossRef]
- Breitfeld, D.; Ohl, L.; Kremmer, E.; Ellwart, J.; Sallusto, F.; Lipp, M.; Förster, R. Follicular B Helper T Cells Express CXC Chemokine Receptor 5, Localize to B Cell Follicles, and Support Immunoglobulin Production. J. Exp. Med. 2000, 192, 1545–1552. [Google Scholar] [CrossRef]
- Allen, C.D.C.; Ansel, K.M.; Low, C.; Lesley, R.; Tamamura, H.; Fujii, N.; Cyster, J.G. Germinal center dark and light zone organization is mediated by CXCR4 and CXCR5. Nat. Immunol. 2004, 5, 943–952. [Google Scholar] [CrossRef]
- Bentebibel, S.-E.; Schmitt, N.; Banchereau, J.; Ueno, H. Human tonsil B—Cell lymphoma 6 (BCL6)-expressing CD4 + T-cell subset specialized for B-cell help outside germinal centers. Proc. Natl. Acad. Sci. USA 2011, 108, E488–E497. [Google Scholar] [CrossRef]
- Craft, J.E. Follicular helper T cells in immunity and systemic autoimmunity. Nat. Rev. Rheumatol. 2012, 8, 337–347. [Google Scholar] [CrossRef]
- Tangye, S.G.; Ma, C.S.; Brink, R.; Deenick, E.K. The good, the bad and the ugly—TFH cells in human health and disease. Nat. Rev. Immunol. 2013, 13, 412–426. [Google Scholar] [CrossRef]
- Krenács, D.; Bakos, A.; Török, L.; Kocsis, L.; Bagdi, E.; Krenács, L. Neoplastic Cells of Primary Cutaneous CD4+ Small/Medium-sized Pleomorphic T-cell Lymphoma Lack Expression of Follicular T-helper Cell Defining Chemokine Receptor CXCR5. Acta Dermato-Venereol. 2014, 96, 850–852. [Google Scholar] [CrossRef]
- Rao, D.A.; Gurish, M.F.; Marshall, J.L.; Slowikowski, K.; Fonseka, C.Y.; Liu, Y.; Donlin, L.T.; Henderson, L.A.; Wei, K.; Mizoguchi, F.; et al. Pathologically expanded peripheral T helper cell subset drives B cells in rheumatoid arthritis. Nature 2017, 542, 110–114. [Google Scholar] [CrossRef]
- Rao, D.A. T Cells That Help B Cells in Chronically Inflamed Tissues. Front. Immunol. 2018, 9, 1924. [Google Scholar] [CrossRef]
- Marks, E.; Rao, A. T peripheral helper cells in autoimmune diseases. Immunol. Rev. 2022, 307, 191–202. [Google Scholar] [CrossRef]
- Morita, R.; Schmitt, N.; Bentebibel, S.-E.; Ranganathan, R.; Bourdery, L.; Zurawski, G.; Foucat, E.; Dullaers, M.; Oh, S.; Sabzghabaei, N.; et al. Human Blood CXCR5+CD4+ T Cells Are Counterparts of T Follicular Cells and Contain Specific Subsets that Differentially Support Antibody Secretion. Immunity 2011, 34, 108–121. [Google Scholar] [CrossRef]
- Schroeder, A.R.; Zhu, F.; Hu, H. Stepwise Tfh cell differentiation revisited: New advances and long-standing questions. Fac. Rev. 2021, 10. [Google Scholar] [CrossRef]
- Ma, C.S.; Deenick, E.K.; Batten, M.; Tangye, S.G. The origins, function, and regulation of T follicular helper cells. J. Exp. Med. 2012, 209, 1241–1253. [Google Scholar] [CrossRef]
- Krishnaswamy, J.K.; Alsén, S.; Yrlid, U.; Eisenbarth, S.C.; Williams, A. Determination of T Follicular Helper Cell Fate by Dendritic Cells. Front. Immunol. 2018, 9, 2169. [Google Scholar] [CrossRef]
- Hardtke, S.; Ohl, L.; Förster, R. Balanced expression of CXCR5 and CCR7 on follicular T helper cells determines their transient positioning to lymph node follicles and is essential for efficient B-cell help. Blood 2005, 106, 1924–1931. [Google Scholar] [CrossRef]
- Allen, C.D.; Okada, T.; Cyster, J.G. Germinal-Center Organization and Cellular Dynamics. Immunity 2007, 27, 190–202. [Google Scholar] [CrossRef]
- Cyster, J.G. B cell follicles and antigen encounters of the third kind. Nat. Immunol. 2010, 11, 989–996. [Google Scholar] [CrossRef]
- Baumjohann, D.; Preite, S.; Reboldi, A.; Ronchi, F.; Ansel, K.M.; Lanzavecchia, A.; Sallusto, F. Persistent Antigen and Germinal Center B Cells Sustain T Follicular Helper Cell Responses and Phenotype. Immunity 2013, 38, 596–605. [Google Scholar] [CrossRef]
- Förster, R.; E Mattis, A.; Kremmer, E.; Wolf, E.; Brem, G.; Lipp, M. A Putative Chemokine Receptor, BLR1, Directs B Cell Migration to Defined Lymphoid Organs and Specific Anatomic Compartments of the Spleen. Cell 1996, 87, 1037–1047. [Google Scholar] [CrossRef]
- Legler, D.F.; Loetscher, M.; Roos, R.S.; Clark-Lewis, I.; Baggiolini, M.; Moser, B. B Cell–attracting Chemokine 1, a Human CXC Chemokine Expressed in Lymphoid Tissues, Selectively Attracts B Lymphocytes via BLR1/CXCR5. J. Exp. Med. 1998, 187, 655–660. [Google Scholar] [CrossRef]
- Höpken, U.E.; Foss, H.-D.; Meyer, D.; Hinz, M.; Leder, K.; Stein, H.; Lipp, M. Up-regulation of the chemokine receptor CCR7 in classical but not in lymphocyte-predominant Hodgkin disease correlates with distinct dissemination of neoplastic cells in lymphoid organs. Blood 2002, 99, 1109–1116. [Google Scholar] [CrossRef]
- Krautler, N.J.; Kana, V.; Kranich, J.; Tian, Y.; Perera, D.; Lemm, D.; Schwarz, P.; Armulik, A.; Browning, J.L.; Tallquist, M.; et al. Follicular Dendritic Cells Emerge from Ubiquitous Perivascular Precursors. Cell 2012, 150, 194–206. [Google Scholar] [CrossRef]
- Rezk, S.A.; Nathwani, B.N.; Zhao, X.; Weiss, L.M. Follicular dendritic cells: Origin, function, and different disease-associated patterns. Hum. Pathol. 2013, 44, 937–950. [Google Scholar] [CrossRef]








| Sensitivity | Specificity | Accuracy | |
|---|---|---|---|
| CXCR5 | 85% (67/79) (* 98% (62/63)) | 0.91 | 0.86 |
| PD1 | 99% (77/78) | 0.73 | 0.96 |
| BCL6 | 94% (67/71) | 1 | 0.95 |
| CD134 | 94% (74/79) | 0.60 | 0.90 |
| CXCL13 | 87% (69/79) | 0.91 | 0.88 |
| ICOS | 83% (65/78) | 0.70 | 0.82 |
| CD10 | 63% (50/79) | 1 | 0.67 |
| TFHL-AI-1 | TFHL-AI-2 | TFHL-AI-3 | TFHL-F | TFHL-NOS | |
|---|---|---|---|---|---|
| Architectural alterations | Partial disarrangement; Follicular hyperplasia-like features | Partial or complete disarrangement in the LN architecture | Complete diffuse effacement of the LN architecture | Partial disarrangement; Follicle-like nodules mainly composed of abnormal T cells. | Type A, diffuse infiltrate of medium to large neoplastic cells; Type B, T-zone lymphoma pattern; Type C, polymorphic infiltrate without follicles |
| Extrafollicular/paracortical compartment | Minimal paracortical alterations; HEVs may penetrate radially into GC; Scarce CD30+ (EBV+/−) large B-cells/HRS-like cells | Polymorphic infiltrate with HEV proliferation; CD30+ (EBV+/−) large B/HRS-like cells can be present | Polymorphic infiltrate with arborizing HEVs. CD30+ (EBV+/−) large BB/HRS-like cells often present | Disrupted paracortical tissue with mild HEV proliferation | Type A, diffuse infiltrate; Type B & C, polymorphic infiltrate with HEV proliferation; CD30+ (EBV+/−) large B cells/RS-like cells can be present |
| Follicles/GC B cells | Largely retained GC B cell population; CD30+ (EBV+/−) intrafollicular large B/HRS-like cells can be present | Depleted follicles, scarce GC B cells | GC B cells absent | No residual GC B cells; CD30+ (EBV+/−) intrafollicular large B/HRS-like cells can be present | Type A & C, no follicles; Type B, atrophic follicles with residual GC B cells |
| Mantle zone/small B-cell aggregates | Distorted mantle zones; Displaced small B-cell aggregates can be present | Displaced mantle zone-type small B cells pushed to the periphery of the LN | Haphazardly distributed sheets of small B cells adjacent to the FDC meshwork or confined to the periphery of the LN | Sheets of small B cells adjacent to the neoplastic T-cell nodules or pushed to the subcapsular region | Type A, few small B cells; Type B, almost intact mantle zones; Type C, sheets of mantle zone-type small B-cells |
| FDC meshwork | Vanishing polarization; marginally expanded FDC meshwork | Dense, partly concentric, focally expanded, focally interconnected | Dense, markedly expanded, and widely interconnected; HEVs can be entrapped | Dense, irregular, marginally expanded, focally confluent FDC meshwork | Type A: no FDCs; Type B: atrophic FDC meshwork; Type C: absent or delicate traces of FDCs |
| Neoplastic cells | Small to medium abnormal TFH cells with pale cytoplasm | Medium to large abnormal TFH cells often with pale cytoplasm | Medium to large abnormal TFH cells with pale cytoplasm | Small to medium abnormal TFH cells sometimes with pale cytoplasm | Type A, medium to large abnormal T cells with pale cytoplasm; Type B, medium-sized abnormal T cells; Type C, Medium to large abnormal T cells with pale cytoplasm |
| TFH phenotype */localization of neoplastic T cells | Complete/Accumulated at the boundary of GCs, minimal paracortical population | Complete/Type A, mainly intra/perifollicular; Type B, mainly paracortical | Complete/Intrafollicular (within FDC meshwork) > paracortical | Complete/Dense intrafollicular aggregates and scattered extrafollicular | Type A, CXCR5+/CD10-; Type B, CXCR5-/CD10-; Type C, CXCR5-/CD10- > CXCR5+/CD10+; Exclusively paracortical localization |
| Antibody/Clone | Origin | Source |
|---|---|---|
| BCL6/LN22 | Mouse | Leica/Novocastra |
| CD3/H-12 | Mouse | Santa Cruz |
| CD4/N1GU0 | Mouse | Thermofisher/eBioscience |
| CD8/C8/144B | Mouse | Santa Cruz |
| CD10/56C6 | Mouse | Leica |
| CD20/L26 | Mouse | Leica |
| CD21/ER3093 | Rabbit | Histopathology * |
| CD23/1B12 | Mouse | Leica |
| CD30/JCM182 | Mouse | Leica |
| CD134/Ber-Act35 | Mouse | Santa Cruz |
| CXCL13/polyclonal | Goat | Bio-Techne/R&D Systems |
| CXCR5/polyclonal | Rabbit | Atlas Antibodies |
| CXCR5/51505 | Mouse | Bio-Techne/R&D Systems |
| EBV-LMP1/CS1-4 | Mouse | Agilent/DAKO |
| ICOS/polyclonal | Goat | Bio-Techne/R&D Systems |
| IgD/polyclonal | Rabbit | Agilent/DAKO |
| MEF2B/polyclonal | Rabbit | Atlas Antibodies |
| PD1/polyclonal | Goat | Bio-Techne/R&D Systems |
| TIA-1/2G9A10F5 | Mouse | Beckman-Coulter |
Disclaimer/Publisher’s Note: The statements, opinions and data contained in all publications are solely those of the individual author(s) and contributor(s) and not of MDPI and/or the editor(s). MDPI and/or the editor(s) disclaim responsibility for any injury to people or property resulting from any ideas, methods, instructions or products referred to in the content. |
© 2023 by the authors. Licensee MDPI, Basel, Switzerland. This article is an open access article distributed under the terms and conditions of the Creative Commons Attribution (CC BY) license (https://creativecommons.org/licenses/by/4.0/).
Share and Cite
Krenács, L.; Krenács, D.; Borbényi, Z.; Tóth, E.; Nagy, A.; Piukovics, K.; Bagdi, E. Comparison of Follicular Helper T-Cell Markers with the Expression of the Follicular Homing Marker CXCR5 in Peripheral T-Cell Lymphomas—A Reappraisal of Follicular Helper T-Cell Lymphomas. Int. J. Mol. Sci. 2024, 25, 428. https://doi.org/10.3390/ijms25010428
Krenács L, Krenács D, Borbényi Z, Tóth E, Nagy A, Piukovics K, Bagdi E. Comparison of Follicular Helper T-Cell Markers with the Expression of the Follicular Homing Marker CXCR5 in Peripheral T-Cell Lymphomas—A Reappraisal of Follicular Helper T-Cell Lymphomas. International Journal of Molecular Sciences. 2024; 25(1):428. https://doi.org/10.3390/ijms25010428
Chicago/Turabian StyleKrenács, László, Dóra Krenács, Zita Borbényi, Erika Tóth, Anna Nagy, Klára Piukovics, and Enikő Bagdi. 2024. "Comparison of Follicular Helper T-Cell Markers with the Expression of the Follicular Homing Marker CXCR5 in Peripheral T-Cell Lymphomas—A Reappraisal of Follicular Helper T-Cell Lymphomas" International Journal of Molecular Sciences 25, no. 1: 428. https://doi.org/10.3390/ijms25010428
APA StyleKrenács, L., Krenács, D., Borbényi, Z., Tóth, E., Nagy, A., Piukovics, K., & Bagdi, E. (2024). Comparison of Follicular Helper T-Cell Markers with the Expression of the Follicular Homing Marker CXCR5 in Peripheral T-Cell Lymphomas—A Reappraisal of Follicular Helper T-Cell Lymphomas. International Journal of Molecular Sciences, 25(1), 428. https://doi.org/10.3390/ijms25010428

