Ethyl Acetate Fraction from a Catalpa ovata G. Don Extract Inhibits ɑ-MSH-Induced Melanogenesis through the cAMP/CREB Pathway
Abstract
1. Introduction
2. Results
2.1. Yields and Antioxidant Activity of C. ovata Water Extract (COE) and Its Fractions
2.2. Effect of C. ovata Extract (COE) and Its Fractions on Cell Viability, Melanogenesis, and Tyrosinase Activity
2.3. Effect of EF on Cell Viability, Melanogenesis, and Tyrosinase Activity
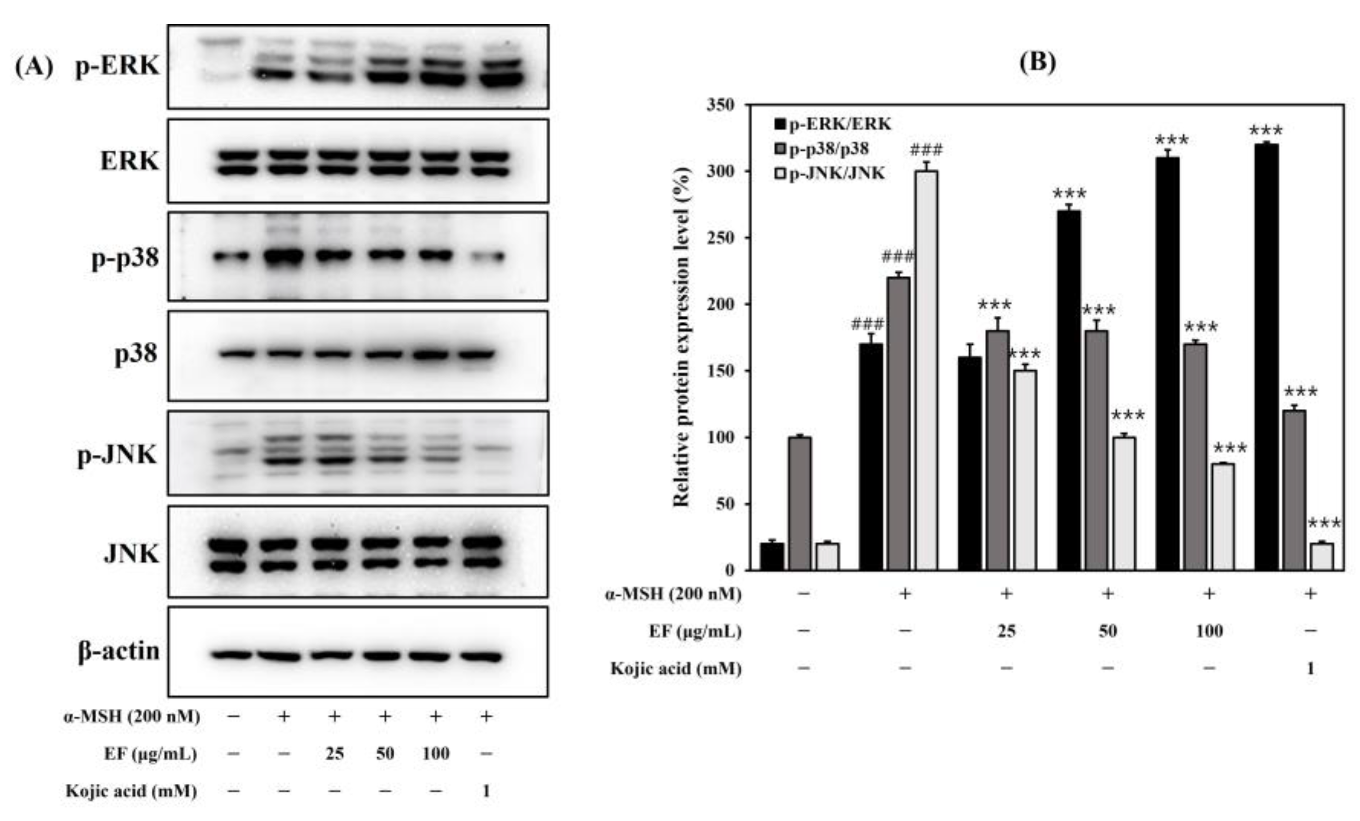
2.4. EF Inhibits α-MSH-Induced Melanogenesis through the Modulation of Melanogenesis-Related Protein Expression
2.5. EF Inhibits α-MSH-Induced Melanogenesis through the Modulation of the Melanogenesis-Related mRNA Gene
2.6. EF Reduces p-CREB and cAMP Concentrations
2.7. Identification and Quantification of Six Compounds in EF Using High-Performance Liquid Chromatography (HPLC)
3. Discussion
4. Materials and Methods
4.1. Materials and Reagents
4.2. Extract Preparation and Fractionation
4.3. Total Polyphenol Content and Total Flavonoid Content
4.4. Total Antioxidant Activity Using the FRAP Assay and ABTS Radical Scavenging Activity
4.5. Cell Culture and Treatment
4.6. Cell Viability
4.7. Measurement of Cellular Melanin Content
4.8. Measurement of the Cellular Tyrosinase Activity
4.9. Western Blot Analysis
4.10. Quantitative Real-Time Polymerase Chain Reaction (qRT-PCR)
4.11. cAMP Assay
4.12. HPLC Analysis
4.13. Statistical Analysis
5. Conclusions
Supplementary Materials
Author Contributions
Funding
Institutional Review Board Statement
Data Availability Statement
Acknowledgments
Conflicts of Interest
References
- Gilchrest, B.A.; Eller, M.S.; Geller, A.C.; Yaar, M. The pathogenesis of melanoma induced by ultraviolet radiation. N. Engl. J. Med. 1999, 340, 1341–1348. [Google Scholar] [CrossRef] [PubMed]
- Slominski, R.M.; Sarna, T.; Płonka, P.M.; Raman, C.; Brożyna, A.A.; Slominski, A.T. Melanoma, Melanin, and Melanogenesis: The Yin and Yang Relationship. Front. Oncol. 2022, 12, 842496. [Google Scholar] [CrossRef] [PubMed]
- Ortonne, J.P. Photoprotective properties of skin melanin. Br. J. Dermatol. 2002, 146, 7–10. [Google Scholar] [CrossRef] [PubMed]
- Brenner, M.; Hearing, V.J. The Protective role of melanin against UV damage in human skin. Photochem. Photobiol. 2008, 84, 539–549. [Google Scholar] [CrossRef] [PubMed]
- D’Mello, S.A.; Finlay, G.J.; Baguley, B.C.; Askarian-Amiri, M.E. Signaling Pathways in Melanogenesis. Int. J. Mol. Sci. 2016, 17, 1144. [Google Scholar] [CrossRef] [PubMed]
- Chung, S.; Lim, G.J.; Lee, J.Y. Quantitative analysis of melanin content in a three-dimensional melanoma cell culture. Sci. Rep. 2019, 9, 780. [Google Scholar] [CrossRef] [PubMed]
- Yamaguchi, Y.; Brenner, M.; Hearing, V.J. The regulation of skin pigmentation. J. Biol. Chem. 2007, 282, 27557–27561. [Google Scholar] [CrossRef]
- An, S.M.; Kim, H.J.; Kim, J.; Boo, Y.C. Flavonoids, taxifolin and luteolin attenuate cellular melanogenesis despite increasing tyrosinase protein levels. Phytother. Res. 2008, 22, 1200–1207. [Google Scholar] [CrossRef]
- Jeon, N.; Kim, Y.; Kim, E.; Dong, X.; Lee, J.; Park, J.; Shin, W.; Moon, S.; Jeon, B.; Park, P. Inhibitory effect of carvacrol on melanin synthesis via suppression of tyrosinase expression. J. Funct. Foods 2018, 45, 199–205. [Google Scholar] [CrossRef]
- Körner, A.; Pawelek, J. Mammalian tyrosinase catalyzes three reactions in the biosynthesis of melanin. Science 1982, 217, 1163–1165. [Google Scholar] [CrossRef]
- Olivares, C.; Jiménez-Cervantes, C.; Lozano, J.A.; Solano, F.; García-Borrón, J.C. The 5, 6-dihydroxyindole-2-carboxylic acid (DHICA) oxidase activity of human tyrosinase. Biochem. J. 2001, 354, 131–139. [Google Scholar] [CrossRef] [PubMed]
- Yen, F.; Wang, M.; Liang, C.; Ko, H.; Lee, C. Melanogenesis inhibitor (s) from Phyla nodiflora extract. Evid. Based Complement. Altern. Med. 2012, 2012, 867494. [Google Scholar] [CrossRef] [PubMed]
- Kim, S.S.; Kim, M.; Choi, Y.H.; Kim, B.K.; Kim, K.S.; Park, K.J.; Park, S.M.; Lee, N.H.; Hyun, C. Down-regulation of tyrosinase, TRP-1, TRP-2 and MITF expressions by citrus press-cakes in murine B16 F10 melanoma. Asian Pac. J. Trop. Biomed. 2013, 3, 617–622. [Google Scholar] [CrossRef] [PubMed]
- Pearson, G.; Robinson, F.; Beers Gibson, T.; Xu, B.; Karandikar, M.; Berman, K.; Cobb, M.H. Mitogen-activated protein (MAP) kinase pathways: Regulation and physiological functions. Endocr. Rev. 2001, 22, 153–183. [Google Scholar] [PubMed]
- Hemesath, T.J.; Price, E.R.; Takemoto, C.; Badalian, T.; Fisher, D.E. MAP kinase links the transcription factor Microphthalmia to c-Kit signalling in melanocytes. Nature 1998, 391, 298–301. [Google Scholar] [CrossRef] [PubMed]
- Ullah, S.; Chung, Y.C.; Hyun, C. Induction of melanogenesis by fosfomycin in B16F10 cells through the upregulation of p-JNK and p-p38 signaling pathways. Antibiotics 2020, 9, 172. [Google Scholar] [CrossRef] [PubMed]
- Nishimura, T.; Kometani, T.; Okada, S.; Ueno, N.; Yamamoto, T. Inhibitory effects of hydroquinone-alpha-glucoside on melanin synthesis. Yakugaku Zasshi J. Pharm. Soc. Jpn. 1995, 115, 626–632. [Google Scholar] [CrossRef][Green Version]
- Draelos, Z.D. Skin lightening preparations and the hydroquinone controversy. Dermatol. Ther. 2007, 20, 308–313. [Google Scholar] [CrossRef]
- Rivers, J.K. The role of cosmeceuticals in antiaging therapy. Ski. Ther. Lett. 2008, 4, 5–9. [Google Scholar]
- Saeedi, M.; Eslamifar, M.; Khezri, K. Kojic acid applications in cosmetic and pharmaceutical preparations. Biomed. Pharmacother. 2019, 110, 582–593. [Google Scholar] [CrossRef]
- Suzuki, Y. Diuretic action of the fruit of Catalpa ovata G. Don. Nihon Yakurigaku Zasshi. Folia Pharmacol. Jpn. 1968, 64, 93–107. [Google Scholar]
- Oh, H.; Pae, H.; Oh, G.; Lee, S.Y.; Chai, K.; Song, C.E.; Kwon, T.; Chung, H.; Lee, H. Inhibition of inducible nitric oxide synthesis by catalposide from Catalpa ovata. Planta Med. 2002, 68, 685–689. [Google Scholar] [CrossRef] [PubMed]
- Pae, H.O.; Oh, G.S.; Choi, B.M.; Shin, S.; Chai, K.Y.; Oh, H.; Kim, J.M.; Kim, H.J.; Jang, S.I.; Chung, H.T. Inhibitory effects of the stem bark of Catalpa ovata G. Don. (Bignoniaceae) on the productions of tumor necrosis factor-α and nitric oxide by the lipopolisaccharide-stimulated RAW 264.7 macrophages. J. Ethnopharmacol. 2003, 88, 287–291. [Google Scholar] [CrossRef] [PubMed]
- Lim, J.W.; Ha, J.H.; Jeong, Y.J.; Park, S.N. Anti-melanogenesis effect of dehydroglyasperin C through the downregulation of MITF via the reduction of intracellular cAMP and acceleration of ERK activation in B16F1 melanoma cells. Pharmacol. Rep. 2018, 70, 930–935. [Google Scholar] [CrossRef] [PubMed]
- Kumagai, A.; Horike, N.; Satoh, Y.; Uebi, T.; Sasaki, T.; Itoh, Y.; Hirata, Y.; Uchio-Yamada, K.; Kitagawa, K.; Uesato, S. A potent inhibitor of SIK2, 3, 3′, 7-trihydroxy-4′-methoxyflavon (4′-O-methylfisetin), promotes melanogenesis in B16F10 melanoma cells. PLoS ONE 2011, 6, e26148. [Google Scholar] [CrossRef] [PubMed]
- Huang, H.; Hsieh, W.; Niu, Y.; Chang, T. Inhibition of melanogenesis and antioxidant properties of Magnolia grandiflora L. flower extract. BMC Complement. Altern. Med. 2012, 12, 72. [Google Scholar] [CrossRef] [PubMed]
- Wu, L.; Lin, Y.; Yang, S.; Weng, Y.; Tsai, Y. Antimelanogenic effect of c-phycocyanin through modulation of tyrosinase expression by upregulation of ERK and downregulation of p38 MAPK signaling pathways. J. Biomed. Sci. 2011, 18, 74. [Google Scholar] [CrossRef]
- Han, J.; Sung, J.H.; Lee, S.K. Antimelanogenesis activity of hydrolyzed ginseng extract (GINST) via inhibition of JNK mitogen-activated protein kinase in B16F10 cells. J. Food Sci. 2016, 81, H2085–H2092. [Google Scholar] [CrossRef]
- Xu, H.; Hu, G.; Dong, J.; Wei, Q.; Shao, H.; Lei, M. Antioxidative activities and active compound of extracts from Catalpa plant leaves. Sci. World J. 2014, 7, 857982. [Google Scholar]
- Cho, J.Y.; Kim, H.Y.; Choi, G.J.; Jang, K.S.; Lim, H.K.; Lim, C.H.; Cho, K.Y.; Kim, J.C. Dehydro-alpha-lapachone isolated from Catalpa ovata stems: Activity against plant pathogenic fungi. Pest. Manag. Sci. 2006, 62, 414–418. [Google Scholar] [CrossRef]
- Ryu, H.W.; Lee, S.U.; Lee, S.; Song, H.; Son, T.H.; Kim, Y.; Yuk, H.J.; Ro, H.; Lee, C.; Hong, S. 3-Methoxy-catalposide inhibits inflammatory effects in lipopolysaccharide-stimulated RAW264. 7 macrophages. Cytokine 2017, 91, 57–64. [Google Scholar] [CrossRef]
- An, S.J.; Pae, H.O.; Oh, G.S.; Choi, B.M.; Jeong, S.; Jang, S.I.; Oh, H.; Kwon, T.O.; Song, C.E.; Chung, H.T. Inhibition of TNF-α, IL-1β, and IL-6 productions and NF-κB activation in lipopolysaccharide-activated RAW 264.7 macrophages by catalposide, an iridoid glycoside isolated from Catalpa ovata G. Don (Bignoniaceae). Int. Immunopharmacol. 2002, 2, 1173–1181. [Google Scholar] [CrossRef] [PubMed]
- Huang, H.S.; Han, X.H.; Hwang, B.Y.; Park, J.I.; Yoo, S.K.; Lee, H.J.; Lim, S.C.; Lee, M.K. Effects of catalpalactone on dopamine biosynthesis and L-DOPA-induced cytotoxicity in PC12 cells. Environ. Toxicol. Pharmacol. 2008, 26, 86–91. [Google Scholar] [CrossRef] [PubMed]
- Moon, M.K.; Choi, B.; Oh, G.; Pae, H.; Kim, J.; Oh, H.; Oh, C.; Kim, D.; Rho, Y.; Shin, M. Catalposide protects Neuro 2A cells from hydrogen peroxide-induced cytotoxicity via the expression of heme oxygenase-1. Toxicol. Lett. 2003, 145, 46–54. [Google Scholar] [CrossRef] [PubMed]
- Park, S.H.; Oh, T.H.; Kim, S.S.; Kim, J.E.; Lee, S.J.; Lee, N.H. Constituents with tyrosinase inhibitory activities from branches of Ficus erecta var. sieboldii King. J. Enzyme Inhib. Med. Chem. 2012, 27, 390–391. [Google Scholar] [CrossRef] [PubMed]
- Young, H.S.; Kim, M.S.; Park, H.J.; Chung, H.Y.; Choi, J.S. Phytochemical study on Catalpa ovata. Arch. Pharm. Res. 1992, 15, 322–327. [Google Scholar] [CrossRef]
- Ando, H.; Kondoh, H.; Ichihashi, M.; Hearing, V.J. Approaches to identify inhibitors of melanin biosynthesis via the quality control of tyrosinase. J. Investig. Dermatol. 2007, 127, 751–761. [Google Scholar] [CrossRef] [PubMed]
- Boissy, R.E.; Visscher, M.; DeLong, M.A. DeoxyArbutin: A novel reversible tyrosinase inhibitor with effective in vivo skin lightening potency. Exp. Dermatol. 2005, 14, 601–608. [Google Scholar] [CrossRef] [PubMed]
- Sato, K.; Ando, R.; Kobayashi, H.; Nishio, T. 2-Ethoxybenzamide stimulates melanin synthesis in B16F1 melanoma cells via the CREB signaling pathway. Mol. Cell Biochem. 2016, 423, 39–52. [Google Scholar] [CrossRef]
- Ha, J.H.; Jeong, Y.J.; Xuan, S.H.; Lee, J.; Park, J.; Park, S.N. Methyl-2-acetylamino-3-(4-hydroxyl-3, 5-dimethoxybenzoylthio) propanoate suppresses melanogenesis through ERK signaling pathway mediated MITF proteasomal degradation. J. Dermatol. Sci. 2018, 91, 142–152. [Google Scholar] [CrossRef]
- Chung, Y.C.; Hyun, C. Inhibitory effects of pinostilbene hydrate on melanogenesis in B16F10 melanoma cells via ERK and p38 signaling pathways. Int. J. Mol. Sci. 2020, 21, 4732. [Google Scholar] [CrossRef]
- Park, S.; Shin, H.; Park, Y.; Choi, I.; Park, B.; Lee, K.Y. Characterization of inhibitory constituents of NO production from Catalpa ovata using LC-MS coupled with a cell-based assay. Bioorg Chem. 2018, 80, 57–63. [Google Scholar] [CrossRef]
- Balakrishnan, R.; Kim, Y.S.; Kim, G.W.; Kim, W.J.; Hong, S.M.; Kim, C.G.; Choi, D.K. Standardized extract of Glehnia Littoralis abrogates memory impairment and neuroinflammation by regulation of CREB/BDNF and NF-κB/MAPK signaling in scopolamine-induced amnesic mice model. Biomed. Pharmacother. 2023, 165, 115106. [Google Scholar] [CrossRef]
- Lee, S.; Chen, C.; Yu, C.; Chen, H.L.; Huang, W.; Chang, Y.; Hung, S.; Lee, T. Inhibitory effect of Cinnamomum osmophloeum Kanehira ethanol extracts on melanin synthesis via repression of tyrosinase expression. J. Biosci. Bioeng. 2016, 122, 263–269. [Google Scholar] [CrossRef]
- Yu, J.S.; Kim, A.K. Effect of combination of taurine and azelaic acid on antimelanogenesis in murine melanoma cells. J. Biomed. Sci. 2010, 17, S45. [Google Scholar] [CrossRef] [PubMed]








| Samples | Total Polyphenol (mg GAE/g Extract) | Total Flavonoid (mg CE/g Extract) | FRAP Value (mmol FeSO4/g Extract) | TEAC Value (mmol TE/g Extract) |
|---|---|---|---|---|
| COE | 91.56 ± 2.81 | 59.87 ± 0.52 | 1.15 ± 0.02 | 0.81 ± 0.01 |
| HF | 22.92 ± 0.29 | 51.09 ± 0.02 | 0.07 ± 0.01 | 0.05 ± 0.01 |
| CF | 146.81 ± 4.24 | 82.60 ± 0.52 | 1.95 ± 0.02 | 1.23 ± 0.01 |
| EF | 169.54 ± 3.32 | 134.12 ± 0.52 | 2.25 ± 0.05 | 1.32 ± 0.02 |
| BF | 137.95 ± 2.10 | 97.75 ± 1.05 | 1.68 ± 0.02 | 0.91 ± 0.02 |
| WF | 23.06 ± 0.23 | 1.69 ± 0.05 | 0.19 ± 0.01 | 0.18 ± 0.01 |
| Gene | Sequence (5′ to 3′) |
|---|---|
| MITF-forward | ATGCTGGAAATGCTAGAATACAGT |
| MITF-reverse | ATCATCCATCTGCATGCAC |
| Tyrosinase-forward | CCTCCTGGCAGATCATTTGT |
| Tyrosinase-reverse | GGCAAATCCTTCCAGTGTGT |
| 36B4-forward | TGGGCTCCAAGCAGATGC |
| 36B4-reverse | GGCTTCGCTGGCTCCCAC |
Disclaimer/Publisher’s Note: The statements, opinions and data contained in all publications are solely those of the individual author(s) and contributor(s) and not of MDPI and/or the editor(s). MDPI and/or the editor(s) disclaim responsibility for any injury to people or property resulting from any ideas, methods, instructions or products referred to in the content. |
© 2023 by the authors. Licensee MDPI, Basel, Switzerland. This article is an open access article distributed under the terms and conditions of the Creative Commons Attribution (CC BY) license (https://creativecommons.org/licenses/by/4.0/).
Share and Cite
Kim, Y.-S.; Lee, E.-B.; Yu, Y.-J.; Kim, G.-W.; Kim, W.-J.; Choi, D.-K. Ethyl Acetate Fraction from a Catalpa ovata G. Don Extract Inhibits ɑ-MSH-Induced Melanogenesis through the cAMP/CREB Pathway. Int. J. Mol. Sci. 2024, 25, 151. https://doi.org/10.3390/ijms25010151
Kim Y-S, Lee E-B, Yu Y-J, Kim G-W, Kim W-J, Choi D-K. Ethyl Acetate Fraction from a Catalpa ovata G. Don Extract Inhibits ɑ-MSH-Induced Melanogenesis through the cAMP/CREB Pathway. International Journal of Molecular Sciences. 2024; 25(1):151. https://doi.org/10.3390/ijms25010151
Chicago/Turabian StyleKim, Yon-Suk, Eun-Bin Lee, Ye-Ji Yu, Ga-Won Kim, Woo-Jung Kim, and Dong-Kug Choi. 2024. "Ethyl Acetate Fraction from a Catalpa ovata G. Don Extract Inhibits ɑ-MSH-Induced Melanogenesis through the cAMP/CREB Pathway" International Journal of Molecular Sciences 25, no. 1: 151. https://doi.org/10.3390/ijms25010151
APA StyleKim, Y.-S., Lee, E.-B., Yu, Y.-J., Kim, G.-W., Kim, W.-J., & Choi, D.-K. (2024). Ethyl Acetate Fraction from a Catalpa ovata G. Don Extract Inhibits ɑ-MSH-Induced Melanogenesis through the cAMP/CREB Pathway. International Journal of Molecular Sciences, 25(1), 151. https://doi.org/10.3390/ijms25010151

