NTS, NTSR1 and ERs in the Pituitary–Gonadal Axis of Cycling and Postnatal Female Rats after BPA Treatment
Abstract
1. Introduction
2. Results
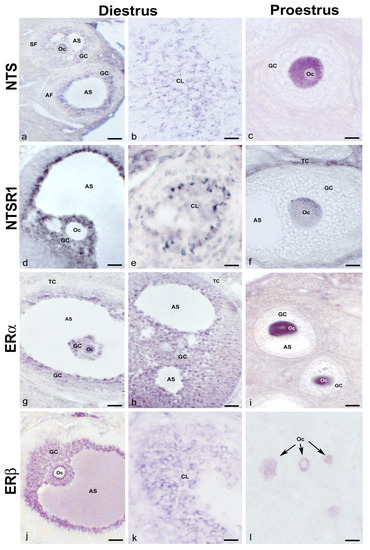
2.1. NTS, NTSR1, and ERs in Ovaries of Cycling Adult Females
2.2. General Effects of BPA Treatment on Female Offspring
Effects of BPA Treatment on Offspring Ovaries
2.3. Effects of BPA Treatment on NTS, NTSR1, and ERα/β Expression/Immunoreactivity in Female Offspring
2.3.1. Pituitary Gland (NTS and NTSR1)
2.3.2. Pituitary Gland (ERα/β)
2.3.3. Ovaries (NTS and NTSR1)
2.3.4. Ovaries (ERα/β)
3. Discussion
4. Materials and Methods
4.1. Animals Experiments and Exposure to BPA
4.2. Antibodies
4.3. Immunohistochemistry
4.4. Statistical Analysis
5. Conclusions
Author Contributions
Funding
Institutional Review Board Statement
Informed Consent Statement
Data Availability Statement
Acknowledgments
Conflicts of Interest
References
- Alexander, M.J. Estrogen-regulated synthesis of neurotensin in neurosecretory cells of the hypothalamic arcuate nucleus in the female rat. Endocrinology 1993, 133, 1809–1816. [Google Scholar] [CrossRef]
- Alexander, M.J.; Dobner, P.R.; Miller, M.A.; Bullock, B.P.; Dorsa, D.M.; Leeman, S.E. Estrogen induces neurotensin/neuromedin N messenger ribonucleic acid in a preoptic nucleus essential for the preovulatory surge of luteinizing hormone in the rat. Endocrinology 1989, 125, 2111–2117. [Google Scholar] [CrossRef] [PubMed]
- Alexander, M.J.; Kiraly, Z.J.; Leeman, S.E. Sexually dimorphic distribution of neurotensin/neuromedin N mRNA in the rat preoptic area. J. Comp. Neurol. 1991, 311, 84–96. [Google Scholar] [CrossRef]
- Alexander, M.J.; Mahoney, P.D.; Ferris, C.F.; Carraway, R.E.; Leeman, S.E. Evidence that neurotensin participates in the central regulation of the preovulatory surge of luteinizing hormone in the rat. Endocrinology 1989, 124, 783–788. [Google Scholar] [CrossRef] [PubMed]
- Axelson, J.F.; Shannon, W.; Van Leeuwen, F.W. Immunocytochemical localization of estrogen receptors within neurotensin cells in the rostral preoptic area of the rat hypothalamus. Neurosci. Lett. 1992, 136, 5–9. [Google Scholar] [CrossRef] [PubMed]
- Bello, A.R.; Hernandez, G.; Gonzalez, M.; Reyes, R.; Negrin, I.; Marrero, A.; Sanchez-Criado, J.E.; Tramu, G.; Alonso, R. Immunoreactive neurotensin in gonadotrophs and thyrotrophs is regulated by sex steroid hormones in the female rat. J. Neuroendocrinol. 1999, 11, 785–794. [Google Scholar] [CrossRef] [PubMed]
- Watters, J.J.; Dorsa, D.M. Transcriptional effects of estrogen on neuronal neurotensin gene expression involve cAMP/protein kinase A-dependent signaling mechanisms. J. Neurosci. 1998, 18, 6672–6680. [Google Scholar] [CrossRef]
- Yamashita, J.; Nishiike, Y.; Fleming, T.; Kayo, D.; Okubo, K.; Fleming, T.; Kayo, D.; Okubo, K. Estrogen mediates sex differences in preoptic neuropeptide and pituitary hormone production in medaka. Commun. Biol. 2021, 4, 948. [Google Scholar] [CrossRef]
- Vincent, J.P.; Mazella, J.; Kitabgi, P. Neurotensin and neurotensin receptors. Trends Pharmacol. Sci. 1999, 20, 302–309. [Google Scholar] [CrossRef]
- Jacobsen, L.; Madsen, P.; Jacobsen, C.; Nielsen, M.S.; Gliemann, J.; Petersen, C.M.J. Activation and functional characterization of the mosaic receptor SorLA/LR11. Biol. Chem. 2001, 276, 22788–22796. [Google Scholar] [CrossRef]
- Rostene, W.H.; Alexander, M.J. Neurotensin and neuroendocrine regulation. Front. Neuroendocrinol. 1997, 18, 115–173. [Google Scholar] [CrossRef] [PubMed]
- Ibanez, R.; Mallo, F.; Benitez, L.; Alvarez, C.V.; Sanchez-Franco, F.; Dieguez, C. Effect of neurotensin on growth hormone release in vivo. Life Sci. 1993, 53, 227–232. [Google Scholar] [CrossRef] [PubMed]
- Malendowicz, L.K.; Nussdorfer, G.G.; Markowska, A.; Nowak, K.W.; Torlinski, L. Effects of neuromedin-N on the pituitary-adrenocortical axis of dexamethasone-suppressed rats. Neuropeptides 1993, 24, 1–4. [Google Scholar] [CrossRef] [PubMed]
- Vijayan, E.; Carraway, R.; Leeman, S.E.; McCann, S.M. Use of antiserum to neurotensin reveals a physiological role for the peptide in rat prolactin release. Proc. Natl. Acad. Sci. USA 1988, 85, 9866–9869. [Google Scholar] [CrossRef]
- Vijayan, E.; Carraway, R.; Leeman, S.E.; McCann, S.M. Physiological significance of neurotensin in pituitary glycoprotein hormone release as revealed by in vivo and in vitro studies with neurotensin antiserum. Neuroendocrinology 1994, 60, 157–164. [Google Scholar] [CrossRef]
- Akema, T.; Kimura, F. Inhibition by catecholaminergic blockers of the neurotensin-induced enhancement of luteinizing hormone secretion in the ovariectomized estrogen-primed rat. Neuroendocrinology 1989, 50, 688–692. [Google Scholar] [CrossRef]
- Smith, M.J.; Wise, P.M. Neurotensin gene expression increases during proestrus in the rostral medial preoptic nucleus: Potential for direct communication with gonadotropin-releasing hormone neurons. Endocrinology 2001, 142, 3006–3013. [Google Scholar] [CrossRef]
- Yang, Y.; Zhou, L.B.; Liu, S.Q.; Tang, J.F.; Li, F.Y.; Li, R.Y.; Song, H.D.; Chen, M.D. Expression of feeding-related peptide receptors mRNA in GT1-7 cell line and roles of leptin and orexins in control of GnRH secretion. Acta Pharmacol. Sin. 2005, 26, 976–981. [Google Scholar] [CrossRef] [PubMed]
- Watanobe, H.; Takebe, K. In vivo release of neurotensin from the median eminence of ovariectomized estrogen-primed rats as estimated by push-pull perfusion: Correlation with luteinizing hormone and prolactin surges. Neuroendocrinology 1993, 57, 760–764. [Google Scholar] [CrossRef]
- Bello, A.R.; Dubourg, P.; Kah, O.; Tramu, G. Identification of neurotensin-immunoreactive cells in the anterior pituitary of normal and castrated rats. A double immunocytochemical investigation at the light- and electron-microscopic levels. Neuroendocrinology 1992, 55, 714–723. [Google Scholar] [CrossRef]
- Bello, A.R.; Reyes, R.; Hernandez, G.; Negrin, I.; Gonzalez, M.; Tramu, G.; Alonso, R. Developmental expression of neurotensin in thyrotropes and gonadotropes of male and female rats. Neuroendocrinology 2004, 79, 90–99. [Google Scholar] [CrossRef] [PubMed]
- Gonzalez, M.; Reyes, R.; Damas, C.; Alonso, R.; Bello, A.R. Oestrogen receptor alpha and beta in female rat pituitary cells: An immunochemical study. Gen. Comp. Endocrinol. 2008, 155, 857–868. [Google Scholar] [CrossRef] [PubMed]
- O’Halloran, D.J.; Jones, P.M.; Ghatei, M.A.; Domin, J.; Bloom, S.R. The regulation of neuropeptide expression in rat anterior pituitary following chronic manipulation of estrogen status: A comparison between substance P, neuropeptide Y, neurotensin, and vasoactive intestinal peptide. Endocrinology 1990, 127, 1463–1469. [Google Scholar] [CrossRef] [PubMed]
- Al-Alem, L.; Puttabyatappa, M.; Shrestha, K.; Choi, Y.; Rosewell, K.; Brännström, M.; Akin, J.; Jo, M.; Duffy, D.M.; Curry, T.E. Neurotensin: A neuropeptide induced by hCG in the human and rat ovary during the periovulatory period. Biol. Reprod. 2021, 104, 1337–1346. [Google Scholar] [CrossRef]
- Campbell, G.E.; Bender, H.R.; Parker, G.A.; Curry, T.E., Jr.; Duffy, D.M. Neurotensin: A novel mediator of ovulation? FASEB J. 2021, 35, e21481. [Google Scholar] [CrossRef]
- Zoeller, T.R.; Brown, T.R.; Doan, L.L.; Gore, A.C.; Skakkebaek, N.E.; Soto, A.M.; Woodruff, T.J.; Vom Saal, F.S. Endocrine-Disrupting Chemicals and Public Health Protection: A Statement of Principles from The Endocrine Society. Endocrinology 2012, 153, 4097–4110. [Google Scholar] [CrossRef]
- Martyniuk, C.J.; Martínez, R.; Navarro-Martín, L.; Kamstra, J.H.; Schwendt, A.; Reynaud, S.; Chalifour, L. Emerging concepts and opportunities for endocrine disruptor screening of the non-EATS modalities. Environ. Res. 2022, 204, 111904. [Google Scholar] [CrossRef]
- Gaido, K.W.; Leonard, L.S.; Lovell, S.; Gould, J.C.; Babai, D.; Portier, C.J.; McDonnell, D.P. Evaluation of chemicals with endocrine modulating activity in a yeast-based steroid hormone receptor gene transcription assay. Toxicol. Appl. Pharmacol. 1997, 143, 205–212. [Google Scholar] [CrossRef]
- Kabuto, H.; Amakawa, M.; Shishibori, T. Exposure to bisphenol A during embryonic/fetal life and infancy increases oxidative injury and causes underdevelopment of the brain and testis in mice. Life Sci. 2004, 74, 2931–2940. [Google Scholar] [CrossRef]
- Markey, C.M.; Wadia, P.R.; Rubin, B.S.; Sonnenschein, C.; Soto, A.M. Long-term effects of fetal exposure to low doses of the xenoestrogen bisphenol-A in the female mouse genital tract. Biol. Reprod. 2005, 72, 1344–1351. [Google Scholar] [CrossRef]
- Newbold, R.R.; Jefferson, W.N.; Padilla-Banks, E. Prenatal exposure to bisphenol A at environmentally relevant doses adversely affects the murine female reproductive tract later in life. Environ. Health Perspect. 2009, 117, 879–885. [Google Scholar] [CrossRef] [PubMed]
- Kobayashi, K.; Miyagawa, M.; Wang, R.S.; Sekiguchi, S.; Suda, M.; Honma, T. Effects of in utero and lactational exposure to bisphenol A on somatic growth and anogenital distance in F1 rat offspring. Ind. Health 2002, 40, 375–381. [Google Scholar] [CrossRef]
- Witorsch, R.J. Low-dose in utero effects of xenoestrogens in mice and their relevance to humans: An analytical review of the literature. Food Chem Toxicol 2002, 40, 905–912. [Google Scholar] [CrossRef]
- Nagel, S.C.; Bromfield, J.J. Bisphenol A: A Model Endocrine Disrupting Chemical with a New Potential Mechanism of Action. Endocrinology 2013, 154, 1962–1964. [Google Scholar] [CrossRef] [PubMed]
- Ohtani, N.; Suda, K.; Tsuji, E.; Tanemura, K.; Yokota, H.; Inoue, H.; Iwano, H. Late pregnancy is vulnerable period for exposure to BPA. J. Vet. Med. Sci. 2018, 80, 536–543. [Google Scholar] [CrossRef] [PubMed]
- Dodds, E.C.; Lawson, W. Synthetic strogenic Agents without the Phenanthrene Nucleus. Nature 1936, 13, 996. [Google Scholar] [CrossRef]
- Matsumoto, H.; Adachi, S.; Suzuki, Y. Bisphenol A in ambient air particulates responsible for the proliferation of MCF-7 human breast cancer cells and Its concentration changes over 6 months. Arch. Environ. Contam. Toxicol. 2005, 48, 459–466. [Google Scholar] [CrossRef]
- Wang, C.; Zhang, J.; Li, Q.; Zhang, T.; Deng, Z.; Lian, J.; Jia, D.; Li, R.; Zheng, T.; Ding, X.; et al. Low concentration of BPA induces mice spermatocytes apoptosis via GPR30. Oncotarget 2017, 8, 49005–49015. [Google Scholar] [CrossRef]
- Dong, S.; Terasaka, S.; Kiyama, R. Bisphenol A induces a rapid activation of Erk1/2 through GPR30 in human breast cancer cells. Environ. Pollut. 2011, 159, 212–218. [Google Scholar] [CrossRef]
- Murata, M.; Kang, J.-H. Bisphenol A (BPA) and cell signaling pathways. Biotechnol. Adv. 2018, 36, 311–327. [Google Scholar] [CrossRef]
- Kuiper, G.G.; Lemmen, J.G.; Carlsson, B.; Corton, J.C.; Safe, S.H.; van der Saag, P.T.; van der Burg, B.; Gustafsson, J.A. Interaction of estrogenic chemicals and phytoestrogens with estrogen receptor beta. Endocrinology 1998, 139, 4252–4263. [Google Scholar] [CrossRef] [PubMed]
- Alonso-Magdalena, P.; Ropero, A.B.; Soriano, S.; Garcia-Arevalo, M.; Ripoll, C.; Fuentes, E.; Quesada, I.; Nadal, A. Bisphenol-A acts as a potent estrogen via non-classical estrogen triggered pathways. Mol. Cell. Endocrinol. 2012, 355, 201–207. [Google Scholar] [CrossRef] [PubMed]
- Santoro, A.; Chianese, R.; Troisi, J.; Richards, S.; Nori, S.L.; Fasano, S.; Guida, M.; Plunk, E.; Viggiano, A.; Pierantoni, R.; et al. Neuro-toxic and Reproductive Effects of BPA. Curr. Neuropharmacol. 2019, 17, 1109–1132. [Google Scholar] [CrossRef]
- Honma, S.; Suzuki, A.; Buchanan, D.L.; Katsu, Y.; Watanabe, H.; Iguchi, T. Low dose effect of in utero exposure to bisphenol A and diethylstilbestrol on female mouse reproduction. Reprod. Toxicol. 2002, 16, 117–122. [Google Scholar] [CrossRef]
- Markey, C.M.; Coombs, M.A.; Sonnenschein, C.; Soto, A.M. Mammalian development in a changing environment: Exposure to endocrine disruptors reveals the developmental plasticity of steroid-hormone target organs. Evol. Dev. 2003, 5, 67–75. [Google Scholar] [CrossRef]
- Karmakar, P.C.; Ahn, J.D.; Kim, Y.H.; Jung, S.E.; Kim, B.J.; Lee, H.S.; Kim, S.U.; Rahman, M.S.; Pang, M.G.; Ryu, B.Y. Paternal Exposure to Bisphenol-A Transgenerationally Impairs Testis Morphology, Germ Cell Associations, and Stemness Properties of Mouse Spermatogonial Stem Cells. Int. J. Mol. Sci. 2020, 21, 5408. [Google Scholar] [CrossRef]
- Zalko, D.; Soto, A.M.; Dolo, L.; Dorio, C.; Rathahao, E.; Debrauwer, L.; Faure, R.; Cravedi, J.P. Biotransformations of bisphenol A in a mammalian model: Answers and new questions raised by low-dose metabolic fate studies in pregnant CD1 mice. Environ. Health Perspect. 2003, 111, 309–319. [Google Scholar] [CrossRef] [PubMed]
- Vandenberg, L.N.; Chahoud, I.; Heindel, J.J.; Padmanabhan, V.; Paumgartten, F.J.R.; Schoenfelder, G. Urinary, Circulating, and Tissue Biomonitoring Studies Indicate Widespread Exposure to Bisphenol A. Environ. Health Perspect. 2010, 118, 1055–1070. [Google Scholar] [CrossRef]
- Farrugia, F.; Aquilina, A.; Vassallo, J.; Pace, N.P. Bisphenol A and Type 2 Diabetes Mellitus: A Review of Epidemiologic, Functional, and Early Life Factors. Int. J. Environ. Res. Public Health 2021, 18, 716. [Google Scholar] [CrossRef]
- Welshons, W.V.; Nagel, S.C.; vom Saal, F.S. Large effects from small exposures. III. Endocrine mechanisms mediating effects of bisphenol A at levels of human exposure. Endocrinology 2006, 147, S56–S69. [Google Scholar] [CrossRef]
- Vandenberg, L.N.; Hauser, R.; Marcus, M.; Olea, N.; Welshons, W.V. Human exposure to bisphenol A (BPA). Reprod. Toxicol. 2007, 24, 139–177. [Google Scholar] [CrossRef]
- Shamhari, A.A.; Abd Hamid, Z.; Budin, S.B.; Shamsudin, N.J.; Taib, I.S. Bisphenol A and Its Analogues Deteriorate the Hormones Physiological Function of the Male Reproductive System: A Mini-Review. Biomedicines 2021, 9, 1744. [Google Scholar] [CrossRef]
- Colerangle, J.B.; Roy, D. Profound effects of the weak environmental estrogen-like chemical bisphenol A on the growth of the mammary gland of Noble rats. J. Steroid Biochem. Mol. Biol. 1997, 60, 153–160. [Google Scholar] [CrossRef]
- Hengstler, J.G.; Foth, H.; Gebel, T.; Kramer, P.J.; Lilienblum, W.; Schweinfurth, H.; Volkel, W.; Wollin, K.M.; Gundert-Remy, U. Critical evaluation of key evidence on the human health hazards of exposure to bisphenol A. Crit. Rev. Toxicol. 2011, 41, 263–291. [Google Scholar] [CrossRef]
- Vom Saal, F.S.; Akingbemi, B.T.; Belcher, S.M.; Birnbaum, L.S.; Crain, D.A.; Eriksen, M.; Farabollini, F.; Guillette, L.J., Jr.; Hauser, R.; Heindel, J.J.; et al. Chapel Hill bisphenol A expert panel consensus statement: Integration of mechanisms, effects in animals and potential to impact human health at current levels of exposure. Reprod. Toxicol. 2007, 24, 131–138. [Google Scholar] [CrossRef]
- Bleak, T.C.; Calaf, G.M. Breast and prostate glands affected by environmental substances. Oncol. Rep. 2021, 45, 20. [Google Scholar] [CrossRef] [PubMed]
- Ashby, J.; Tinwell, H. Uterotrophic activity of bisphenol A in the immature rat. Environ. Health Perspect. 1998, 106, 719–720. [Google Scholar] [CrossRef]
- Nikula, H.; Talonpoika, T.; Kaleva, M.; Toppari, J. Inhibition of hCG-stimulated steroidogenesis in cultured mouse Leydig tumor cells by bisphenol A and octylphenols. Toxicol. Appl. Pharmacol. 1999, 157, 166–173. [Google Scholar] [CrossRef]
- Vom Saal, F.S.; Cooke, P.S.; Buchanan, D.L.; Palanza, P.; Thayer, K.A.; Nagel, S.C.; Parmigiani, S.; Welshons, W.V. A physiologically based approach to the study of bisphenol A and other estrogenic chemicals on the size of reproductive organs, daily sperm production, and behaviour. Toxicol. Ind. Health 1998, 14, 239–260. [Google Scholar] [CrossRef] [PubMed]
- Steinmetz, R.; Brown, N.G.; Allen, D.L.; Bigsby, R.M.; Ben-Jonathan, N. The environmental estrogen bisphenol A stimulates prolactin release in vitro and in vivo. Endocrinology 1997, 138, 1780–1786. [Google Scholar] [CrossRef] [PubMed]
- Grasselli, F.; Baratta, L.; Baioni, L.; Bussolati, S.; Ramoni, R.; Grolli, S.; Basini, G. Bisphenol A disrupts granulosa cell function. Domest. Anim. Endocrinol. 2010, 39, 34–39. [Google Scholar] [CrossRef] [PubMed]
- Kang, J.H.; Kondo, F.; Katayama, Y. Human exposure to bisphenol A. Toxicology 2006, 226, 79–89. [Google Scholar] [CrossRef]
- Miyamoto, K.; Kotake, M. Estimation of daily bisphenol A intake of Japanese individuals with emphasis on uncertainty and variability. Environ. Sci. 2006, 13, 15–29. [Google Scholar]
- Kezele, P.; Skinner, M.K. Regulation of Ovarian Primordial Follicle Assembly and Development by Estrogen and Progesterone: Endocrine Model of Follicle Assembly. Endocrinology 2003, 144, 3329–3337. [Google Scholar] [CrossRef]
- Drummond, A.E. The role of steroids in follicular growth. Reprod. Biol. Endocrinol. 2006, 4, 16. [Google Scholar] [CrossRef]
- Zachos, N.C.; Billiar, R.B.; Albrecht, E.D.; Pepe, G.J. Developmental Regulation of Baboon Fetal Ovarian Maturation by Estrogen. Biol. Reprod. 2002, 67, 1148–1156. [Google Scholar] [CrossRef]
- Yang, M.Y.; Fortune, J.E. The capacity of primordial follicles in fetal bovine ovaries to initiate growth in vitro develops during midgestation and is associated with meiotic arrest of oocytes. Biol. Reprod. 2008, 78, 1153–1161. [Google Scholar] [CrossRef] [PubMed]
- Pepling, M.E. Follicular assembly: Mechanisms of action. Reproduction 2012, 143, 139–149. [Google Scholar] [CrossRef]
- Jolivet, G.; Daniel-Carlier, N.; Harscoët, E.; Airaud, E.; Dewaele, A.; Pierson, C.; Giton, F.; Boulanger, L.; Daniel, N.; Mandon-Pépin, B.; et al. Fetal Estrogens are not Involved in Sex Determination But Critical for Early Ovarian Differentiation in Rabbits. Endocrinology 2022, 163, 1–22. [Google Scholar] [CrossRef]
- Wang, C.; Roy, S.K. Development of primordial follicles in the hamster: Role of estradiol-17β. Endocrinology 2007, 148, 1707–1716. [Google Scholar] [CrossRef]
- Bilgi, A.; Abalı, A.; Bilgi, P.T.; Şahin, M.; Tunçdemir, M.; Boran, A.B. The apoptotic effects of bisphenol A exposure on the rat ovary: An experimental study. Environ. Sci. Pollut. Res. 2019, 26, 10198–10203. [Google Scholar] [CrossRef]
- Tanimoto, R.; Yoshida, K.; Ikeda, S.; Obata, Y. Insights into in vivo follicle formation: A review of in vitro systems. Histochem. Cell Biol. 2022, 157, 333–345. [Google Scholar] [CrossRef] [PubMed]
- Birnbaum, L.S.; Fenton, S.E. Cancer and developmental exposure to endocrine disruptors. Environ. Health Perspect. 2003, 111, 389–394. [Google Scholar] [CrossRef]
- Hammes, S.R.; Levin, E.R. Impact of estrogens in males and androgens in females. J. Clin. Investig. 2019, 129, 1818–1826. [Google Scholar] [CrossRef]
- Pennie, W.D.; Aldridge, T.C.; Brooks, A.N. Differential activation by xenoestrogens of ER alpha and ER beta when linked to different response elements. J. Endocrinol. 1998, 158, R11–R14. [Google Scholar] [CrossRef] [PubMed]
- Iwamoto, M.; Masuya, T.; Hosose, M.; Tagawa, K.; Ishibashi, T.; Suyama, K.; Nose, T.; Yoshihara, E.; Downes, M.; Evans, R.M.; et al. Bisphenol A derivatives act as novel coactivator-binding inhibitors for estrogen receptorβ. J. Biol. Chem. 2021, 297, 101173. [Google Scholar] [CrossRef]
- Cimmino, I.; Fiory, F.; Perruolo, G.; Miele, C.; Beguinot, F.; Formisano, P.; Oriente, F. Potential Mechanisms of Bisphenol A (BPA) Contributing to Human Disease. Int. J. Mol. Sci. 2020, 21, 5761. [Google Scholar] [CrossRef]
- Ihionkhan, C.E.; Chambliss, K.L.; Gibson, L.L.; Hahner, L.D.; Mendelsohn, M.E.; Shaul, P.W. Estrogen causes dynamic alterations in endothelial estrogen receptor expression. Circ. Res. 2002, 91, 814–820. [Google Scholar] [CrossRef]
- Pan, M.-H.; Wu, Y.-K.; Liao, B.-Y.; Zhang, H.; Li, C.; Wang, J.-L.; Hu, L.-L.; Ma, B. Bisphenol A Exposure Disrupts Organelle Distribution and Functions During Mouse Oocyte Maturation. Front. Cell Dev. Biol. 2021, 9, 661155. [Google Scholar] [CrossRef]
- Prange-Kiel, J.; Rune, G.M.; Zwirner, M.; Wallwiener, D.; Kiesel, L. Regulation of estrogen receptor alpha and progesterone receptor (isoform A and B) expression in cultured human endometrial cells. Exp. Clin. Endocrinol. Diabetes 2001, 109, 231–237. [Google Scholar] [CrossRef]
- Prange-Kiel, J.; Wehrenberg, U.; Jarry, H.; Rune, G.M. Para/autocrine regulation of estrogen receptors in hippocampal neurons. Hippocampus 2003, 13, 226–234. [Google Scholar] [CrossRef] [PubMed]
- Khurana, S.; Ranmal, S.; Ben-Jonathan, N. Exposure of newborn male and female rats to environmental estrogens: Delayed and sustained hyperprolactinemia and alterations in estrogen receptor expression. Endocrinology 2000, 141, 4512–4517. [Google Scholar] [CrossRef]
- Tang, Z.-R.; Zhang, R.; Lian, Z.-X.; Deng, S.-L.; Yu, K. Estrogen-Receptor Expression and Function in Female Reproductive Disease. Cells 2019, 8, 1123. [Google Scholar] [CrossRef]
- Yaşar, P.; Ayaz, G.; Muyan, M. Estradiol-Estrogen Receptor αMediates the Expression of the CXXC5 Gene through the Estrogen Response Element-Dependent Signaling Pathway. Sci. Rep. 2016, 6, 37808. [Google Scholar] [CrossRef]
- Rumi, M.A.K.; Singh, P.; Roby, K.F.; Zhao, X.; Iqbal, K.; Ratri, A.; Lei, T.; Cui, W.; Borosha, S.; Dhakal, P.; et al. Defining the Role of Estrogen Receptor b in the Regulation of Female Fertility. Endocrinology 2017, 158, 2330–2343. [Google Scholar] [CrossRef] [PubMed]
- Khristia, V.; Chakravarthia, V.P.; Singha, P.; Ghosha, S.; Pramanika, A.; Ratria, A.; Boroshab, S.; Roby, K.F.; Wolfe, M.W.; Rumia, M.A.K. ESR2 regulates granulosa cell genes essential for follicle maturation and ovulation. Mol. Cell. Endocrinol. 2018, 474, 214–226. [Google Scholar] [CrossRef] [PubMed]
- Drummond, A.E.; Fuller, P.J. Ovarian Actions of Estrogen Receptor-β: An Update. Semin. Reprod. Med. 2012, 30, 32–38. [Google Scholar] [CrossRef]
- Lee, E.B.; Chakravarthi, V.P.; Wolfe, M.W.; Rumi, M.A.K. ERβ Regulation of Gonadotropin Responses during Folliculogenesis. Int. J. Mol. Sci. 2021, 22, 10348. [Google Scholar] [CrossRef]
- Jefferson, W.N.; Couse, J.F.; Banks, E.P.; Korach, K.S.; Newbold, R.R. Expression of estrogen receptor beta is developmentally regulated in reproductive tissues of male and female mice. Biol. Reprod. 2000, 62, 310–317. [Google Scholar] [CrossRef]
- Sar, M.; Welsch, F. Differential expression of estrogen receptor-beta and estrogen receptor-alpha in the rat ovary. Endocrinology 1999, 140, 963–971. [Google Scholar] [CrossRef]
- Banu, S.K.; Govindarajulu, P.; Aruldhas, M.M. Developmental profiles of TSH, sex steroids, and their receptors in the thyroid and their relevance to thyroid growth in immature rats. Steroids 2002, 67, 137–144. [Google Scholar] [CrossRef] [PubMed]
- Bissette, G.; Richardson, C.; Kizer, J.S.; Nemeroff, C.B. Ontogeny of brain neurotensin in the rat: A radioimmunoassay study. J. Neurochem. 1984, 43, 283–287. [Google Scholar] [CrossRef]
- Hermans, E.; Jeanjean, A.P.; Laduron, P.M.; Octave, J.N.; Maloteaux, J.M. Postnatal ontogeny of the rat brain neurotensin receptor mRNA. Neurosci. Lett. 1993, 157, 45–48. [Google Scholar] [CrossRef] [PubMed]
- Miyamoto-Lee, Y.; Shiosaka, S.; Tohyama, M. Purification and characterization of neurotensin receptor from rat brain with special reference to comparison between newborn and adult age rats. Peptides 1991, 12, 1001–1006. [Google Scholar] [CrossRef]
- Palacios, J.M.; Pazos, A.; Dietl, M.M.; Schlumpf, M.; Lichtensteiger, W. The ontogeny of brain neurotensin receptors studied by autoradiography. Neuroscience 1988, 25, 307–317. [Google Scholar] [CrossRef]
- Wei, Y.; Han, C.; Li, S.; Cui, Y.; Bao, Y.; Shi, W. Maternal exposure to bisphenol A during pregnancy interferes ovaries development of F1 female mice. Theriogenology 2020, 142, 138–148. [Google Scholar] [CrossRef] [PubMed]
- Susiarjo, M.; Hassold, T.J.; Freeman, E.; Hunt, P.A. Bisphenol A exposure in utero disrupts early oogenesis in the mouse. PLoS Genet. 2007, 3, e5. [Google Scholar] [CrossRef]
- Kato, H.; Ota, T.; Furuhashi, T.; Ohta, Y.; Iguchi, T. Changes in reproductive organs of female rats treated with bisphenol A during the neonatal period. Reprod. Toxicol. 2003, 17, 283–288. [Google Scholar] [CrossRef] [PubMed]
- Markey, C.M.; Luque, E.H.; Munoz De Toro, M.; Sonnenschein, C.; Soto, A.M. In utero exposure to bisphenol A alters the development and tissue organization of the mouse mammary gland. Biol. Reprod. 2001, 65, 1215–1223. [Google Scholar] [CrossRef]
- Studler, J.M.; Kitabgi, P.; Tramu, G.; Herve, D.; Glowinski, J.; Tassin, J.P. Extensive co-localization of neurotensin with dopamine in rat meso-cortico-frontal dopaminergic neurons. Neuropeptides 1988, 11, 95–100. [Google Scholar] [CrossRef]
- Dubois, M.P. Immunofluorescent localization in adenohypophyseal cells of corticotrophic and—And -melanotrophic secretions in the cow, the sheep, and the pig. Z. Zellforsch. Mikrosk. Anat. 1972, 125, 200–209. [Google Scholar] [CrossRef] [PubMed]
- Hemming, F.J.; Dubois, M.P.; Dubois, P.M. Somatotrophs and lactotrophs in the anterior pituitary of fetal and neonatal rats. Electron-microscopic immunocytochemical identification. Cell Tissue Res. 1986, 245, 457–460. [Google Scholar] [CrossRef]
- Jamali, K.A.; Tramu, G. Control of rat hypothalamic pro-opiomelanocortin neurons by a circadian clock that is entrained by the daily light-off signal. Neuroscience 1999, 93, 1051–1061. [Google Scholar] [CrossRef] [PubMed]
- Tramu, G.; Dubois, M.P. Immunofluorescence identification of male guinea pig cells with LH activity. Comptes Rendus Hebd. Seances L’academie Des Sciences. Ser. D Sci. Nat. 1972, 275, 1159–1161. [Google Scholar]
- Tramu, G.; Leonardelli, J.; Dubois, M.P. Immunohistochemical evidence for an ACTH-like substance in hypothalamic LH-RH neurons. Neurosci. Lett. 1977, 6, 305–309. [Google Scholar] [CrossRef]
- Tramu, G.; Pillez, A.; Leonardelli, J. An efficient method of antibody elution for the successive or simultaneous localization of two antigens by immunocytochemistry. J. Histochem. Cytochem. 1978, 26, 322–324. [Google Scholar] [CrossRef] [PubMed]













Disclaimer/Publisher’s Note: The statements, opinions and data contained in all publications are solely those of the individual author(s) and contributor(s) and not of MDPI and/or the editor(s). MDPI and/or the editor(s) disclaim responsibility for any injury to people or property resulting from any ideas, methods, instructions or products referred to in the content. |
© 2023 by the authors. Licensee MDPI, Basel, Switzerland. This article is an open access article distributed under the terms and conditions of the Creative Commons Attribution (CC BY) license (https://creativecommons.org/licenses/by/4.0/).
Share and Cite
González-Gómez, M.; Reyes, R.; Damas-Hernández, M.d.C.; Plasencia-Cruz, X.; González-Marrero, I.; Alonso, R.; Bello, A.R. NTS, NTSR1 and ERs in the Pituitary–Gonadal Axis of Cycling and Postnatal Female Rats after BPA Treatment. Int. J. Mol. Sci. 2023, 24, 7418. https://doi.org/10.3390/ijms24087418
González-Gómez M, Reyes R, Damas-Hernández MdC, Plasencia-Cruz X, González-Marrero I, Alonso R, Bello AR. NTS, NTSR1 and ERs in the Pituitary–Gonadal Axis of Cycling and Postnatal Female Rats after BPA Treatment. International Journal of Molecular Sciences. 2023; 24(8):7418. https://doi.org/10.3390/ijms24087418
Chicago/Turabian StyleGonzález-Gómez, Miriam, Ricardo Reyes, Mª del Carmen Damas-Hernández, Xiomara Plasencia-Cruz, Ibrahim González-Marrero, Rafael Alonso, and Aixa R. Bello. 2023. "NTS, NTSR1 and ERs in the Pituitary–Gonadal Axis of Cycling and Postnatal Female Rats after BPA Treatment" International Journal of Molecular Sciences 24, no. 8: 7418. https://doi.org/10.3390/ijms24087418
APA StyleGonzález-Gómez, M., Reyes, R., Damas-Hernández, M. d. C., Plasencia-Cruz, X., González-Marrero, I., Alonso, R., & Bello, A. R. (2023). NTS, NTSR1 and ERs in the Pituitary–Gonadal Axis of Cycling and Postnatal Female Rats after BPA Treatment. International Journal of Molecular Sciences, 24(8), 7418. https://doi.org/10.3390/ijms24087418

