Prostaglandin F2α Regulates Adipogenesis by Modulating Extracellular Signal-Regulated Kinase Signaling in Graves’ Ophthalmopathy
Abstract
1. Introduction
2. Results
2.1. Expression of the FPR and Adipogenic Differentiation of OFs in Patients with GO
2.2. Safe Working Concentration of PGF2α on OFs from Patients with GO
2.3. The Effect of PGF2α on the Inhibition of OFs Adipogenesis
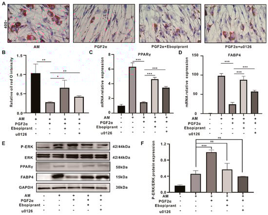
2.4. FPR Mediates ERK Pathway Regulation in PGF2α Inhibition of OFs Adipogenesis
3. Discussion
4. Materials and Methods
4.1. Materials
4.2. Primary Culture and Adipogenic Induction of OFs
4.3. Immunohistochemistry and Immunofluorescence Analysis
4.4. Detection of Cell Proliferation Activity
4.5. Cell Cycle and Apoptosis Detection
4.6. Oil Red O Staining
4.7. Reverse Transcription-Polymerase Chain Reaction (RT-PCR)
4.8. Western Blot (WB)
4.9. Statistical Analysis
5. Conclusions
Supplementary Materials
Author Contributions
Funding
Institutional Review Board Statement
Informed Consent Statement
Data Availability Statement
Acknowledgments
Conflicts of Interest
References
- Bartalena, L.; Piantanida, E.; Tanda, M.L. Statins for Graves’ orbitopathy: A new tool for prevention and treatment? Lancet Diabetes Endocrinol. 2021, 9, 726–727. [Google Scholar] [CrossRef] [PubMed]
- Wiersinga, W.M.; Bartalena, L. Epidemiology and prevention of Graves’ ophthalmopathy. Thyroid Off. J. Am. Thyroid Assoc. 2002, 12, 855–860. [Google Scholar] [CrossRef] [PubMed]
- Diao, J.; Chen, X.; Mou, P.; Ma, X.; Wei, R. Potential Therapeutic Activity of Berberine in Thyroid-Associated Ophthalmopathy: Inhibitory Effects on Tissue Remodeling in Orbital Fibroblasts. Investig. Ophthalmol. Vis. Sci. 2022, 63, 6. [Google Scholar] [CrossRef]
- Draman, M.S.; Zhang, L.; Dayan, C.; Ludgate, M. Orbital Signaling in Graves’ Orbitopathy. Front. Endocrinol. 2021, 12, 739994. [Google Scholar] [CrossRef]
- Kumar, S.; Nadeem, S.; Stan, M.N.; Coenen, M.; Bahn, R.S. A stimulatory TSH receptor antibody enhances adipogenesis via phosphoinositide 3-kinase activation in orbital preadipocytes from patients with Graves’ ophthalmopathy. J. Mol. Endocrinol. 2011, 46, 155–163. [Google Scholar] [CrossRef] [PubMed]
- Zhao, P.; Deng, Y.; Gu, P.; Wang, Y.; Zhou, H.; Hu, Y.; Chen, P.; Fan, X. Insulin-like growth factor 1 promotes the proliferation and adipogenesis of orbital adipose-derived stromal cells in thyroid-associated ophthalmopathy. Exp. Eye Res. 2013, 107, 65–73. [Google Scholar] [CrossRef] [PubMed]
- Hoang, T.D.; Stocker, D.J.; Chou, E.L.; Burch, H.B. 2022 Update on Clinical Management of Graves Disease and Thyroid Eye Disease. Endocrinol. Metab. Clin. N. Am. 2022, 51, 287–304. [Google Scholar] [CrossRef]
- Smith, T.J.; Bartalena, L. Will biological agents supplant systemic glucocorticoids as the first-line treatment for thyroid-associated ophthalmopathy? Eur. J. Endocrinol. 2019, 181, D27–D43. [Google Scholar] [CrossRef]
- Casson, R.J. Medical therapy for glaucoma: A review. Clin. Exp. Ophthalmol. 2022, 50, 198–212. [Google Scholar] [CrossRef] [PubMed]
- Al-Zobidi, M.; Khandekar, R.; Cruz, A.; Craven, R.E.; Souru, C.; Malik, R.; Edward, D.P. Pretarsal skin height changes in children receiving topical prostaglandin analogue therapy for primary congenital glaucoma. J. AAPOS Off. Publ. Am. Assoc. Pediatr. Ophthalmol. Strabismus 2018, 22, 290–293.e1. [Google Scholar] [CrossRef]
- Taketani, Y.; Yamagishi, R.; Fujishiro, T.; Igarashi, M.; Sakata, R.; Aihara, M. Activation of the prostanoid FP receptor inhibits adipogenesis leading to deepening of the upper eyelid sulcus in prostaglandin-associated periorbitopathy. Investig. Ophthalmol. Vis. Sci. 2014, 55, 1269–1276. [Google Scholar] [CrossRef] [PubMed]
- Ichioka, H.; Ida, Y.; Watanabe, M.; Ohguro, H.; Hikage, F. Prostaglandin F2α and EP2 agonists, and a ROCK inhibitor modulate the formation of 3D organoids of Grave’s orbitopathy related human orbital fibroblasts. Exp. Eye Res. 2021, 205, 108489. [Google Scholar] [CrossRef] [PubMed]
- Şahlı, E.; Gündüz, K. Thyroid-associated Ophthalmopathy. Turk. J. Ophthalmol. 2017, 47, 94–105. [Google Scholar] [CrossRef]
- Taylor, P.N.; Zhang, L.; Lee, R.W.J.; Muller, I. New insights into the pathogenesis and nonsurgical management of Graves orbitopathy. Nat. Rev. Endocrinol. 2020, 16, 104–116. [Google Scholar] [CrossRef] [PubMed]
- Ong, A.A.; DeVictor, S.; Vincent, A.G.; Namin, A.W.; Wang, W.; Ducic, Y. Bony Orbital Surgery for Graves’ Ophthalmopathy. Facial Plast. Surg. FPS 2021, 37, 692–697. [Google Scholar] [CrossRef] [PubMed]
- Bartalena, L.; Marinò, M.; Marcocci, C.; Tanda, M.L. Teprotumumab for Graves’ orbitopathy and ototoxicity: Moving problems from eyes to ears? J. Endocrinol. Investig. 2022, 45, 1455–1457. [Google Scholar] [CrossRef]
- McCoy, A.N.; Kim, D.S.; Gillespie, E.F.; Atkins, S.J.; Smith, T.J.; Douglas, R.S. Rituximab (Rituxan) therapy for severe thyroid-associated ophthalmopathy diminishes IGF-1R(+) T cells. J. Clin. Endocrinol. Metab. 2014, 99, E1294–E1299. [Google Scholar] [CrossRef]
- Stan, M.N.; Garrity, J.A.; Carranza Leon, B.G.; Prabin, T.; Bradley, E.A.; Bahn, R.S. Randomized controlled trial of rituximab in patients with Graves’ orbitopathy. J. Clin. Endocrinol. Metab. 2015, 100, 432–441. [Google Scholar] [CrossRef]
- Salvi, M.; Vannucchi, G.; Currò, N.; Campi, I.; Covelli, D.; Dazzi, D.; Simonetta, S.; Guastella, C.; Pignataro, L.; Avignone, S.; et al. Efficacy of B-cell targeted therapy with rituximab in patients with active moderate to severe Graves’ orbitopathy: A randomized controlled study. J. Clin. Endocrinol. Metab. 2015, 100, 422–431. [Google Scholar] [CrossRef]
- Bartalena, L.; Tanda, M.L. Current concepts regarding Graves’ orbitopathy. J. Intern. Med. 2022, 292, 692–716. [Google Scholar] [CrossRef]
- Park, J.; Cho, H.K.; Moon, J.I. Changes to upper eyelid orbital fat from use of topical bimatoprost, travoprost, and latanoprost. Jpn. J. Ophthalmol. 2011, 55, 22–27. [Google Scholar] [CrossRef] [PubMed]
- Arbabi, A.; Bao, X.; Shalaby, W.S.; Razeghinejad, R. Systemic side effects of glaucoma medications. Clin. Exp. Optom. 2022, 105, 157–165. [Google Scholar] [CrossRef] [PubMed]
- Zeng, R.; Liu, B.; Guo, T.; Guo, J.; Yu, G.; Xu, Y.; Lin, R.; Tan, X.; Xie, K.; Zhou, Y. Prostaglandin F(2α) evokes vasoconstrictor and vasodepressor activities that are both independent of the F prostanoid receptor. FASEB J. Off. Publ. Fed. Am. Soc. Exp. Biol. 2022, 36, e22293. [Google Scholar] [CrossRef] [PubMed]
- Chen, Z.Y.; Xiao, H.W.; Dong, J.L.; Li, Y.; Wang, B.; Fan, S.J.; Cui, M. Gut Microbiota-Derived PGF2α Fights against Radiation-Induced Lung Toxicity through the MAPK/NF-κB Pathway. Antioxidants 2021, 11, 65. [Google Scholar] [CrossRef] [PubMed]
- Kim, W.; Tanabe, K.; Kuroyanagi, G.; Matsushima-Nishiwaki, R.; Fujita, K.; Kawabata, T.; Sakai, G.; Tachi, J.; Hioki, T.; Nakashima, D.; et al. Tramadol enhances PGF(2α)-stimulated osteoprotegerin synthesis in osteoblasts. Heliyon 2020, 6, e04779. [Google Scholar] [CrossRef] [PubMed]
- Prusty, D.; Park, B.H.; Davis, K.E.; Farmer, S.R. Activation of MEK/ERK signaling promotes adipogenesis by enhancing peroxisome proliferator-activated receptor gamma (PPARgamma) and C/EBPalpha gene expression during the differentiation of 3T3-L1 preadipocytes. J. Biol. Chem. 2002, 277, 46226–46232. [Google Scholar] [CrossRef]
- Boney, C.M.; Gruppuso, P.A.; Faris, R.A.; Frackelton, A.R., Jr. The critical role of Shc in insulin-like growth factor-I-mediated mitogenesis and differentiation in 3T3-L1 preadipocytes. Mol. Endocrinol. 2000, 14, 805–813. [Google Scholar] [CrossRef]
- Chuang, C.C.; Yang, R.S.; Tsai, K.S.; Ho, F.M.; Liu, S.H. Hyperglycemia enhances adipogenic induction of lipid accumulation: Involvement of extracellular signal-regulated protein kinase 1/2, phosphoinositide 3-kinase/Akt, and peroxisome proliferator-activated receptor gamma signaling. Endocrinology 2007, 148, 4267–4275. [Google Scholar] [CrossRef]
- Kwak, D.H.; Lee, J.H.; Kim, T.; Ahn, H.S.; Cho, W.K.; Ha, H.; Hwang, Y.H.; Ma, J.Y. Aristolochia manshuriensis Kom inhibits adipocyte differentiation by regulation of ERK1/2 and Akt pathway. PLoS ONE 2012, 7, e49530. [Google Scholar] [CrossRef]
- Wang, T.; Wang, Y.; Kontani, Y.; Kobayashi, Y.; Sato, Y.; Mori, N.; Yamashita, H. Evodiamine improves diet-induced obesity in a uncoupling protein-1-independent manner: Involvement of antiadipogenic mechanism and extracellularly regulated kinase/mitogen-activated protein kinase signaling. Endocrinology 2008, 149, 358–366. [Google Scholar] [CrossRef]
- Mourits, M.P.; Koornneef, L.; Wiersinga, W.M.; Prummel, M.F.; Berghout, A.; van der Gaag, R. Clinical criteria for the assessment of disease activity in Graves’ ophthalmopathy: A novel approach. Br. J. Ophthalmol. 1989, 73, 639–644. [Google Scholar] [CrossRef] [PubMed]
- Han, Y.E.; Hwang, S.; Kim, J.H.; Byun, J.W.; Yoon, J.S.; Lee, E.J. Biguanides Metformin and Phenformin Generate Therapeutic Effects via AMP-Activated Protein Kinase/Extracellular-Regulated Kinase Pathways in an In Vitro Model of Graves’ Orbitopathy. Thyroid Off. J. Am. Thyroid Assoc. 2018, 28, 528–536. [Google Scholar] [CrossRef] [PubMed]
- Feng, J.P.; Zhu, R.; Jiang, F.; Xie, J.; Gao, C.; Li, M.; Jin, H.; Fu, D. Melittin-encapsulating peptide hydrogels for enhanced delivery of impermeable anticancer peptides. Biomater. Sci. 2020, 8, 4559–4569. [Google Scholar] [CrossRef]
- Zhu, R.; Chen, Y.-T.; Wang, B.-W.; You, Y.-Y.; Wang, X.-H.; Xie, H.-T.; Jiang, F.-G.; Zhang, M.-C. TAP1, a potential immune-related prognosis biomarker with functional significance in uveal melanoma. BMC Cancer 2023, 23, 146. [Google Scholar] [CrossRef] [PubMed]





| Age Range (Years) | Sex (M/F) | Duration of GO (Years) | Proptosis (R/L, mm) | CAS | GO Severity Assessment | Previous GO Treatment | Prostaglandin Analogues | Surgery Performed |
|---|---|---|---|---|---|---|---|---|
| 40s | M | 1.1 | 20/18 | 3/7 | IV | GCs | None | Decompression |
| 30s | F | 1.9 | 17.5/19 | 0/7 | III | None | None | Decompression |
| 40s | M | 5 | 22/20 | 0/7 | IV | GCs | None | Decompression |
| 40s | F | 3 | 24/20 | 1/7 | IV | GCs | None | Decompression |
| 40s | F | 1 | 16/15 | 3/7 | III | GCs | None | Decompression |
| 40s | M | 1 | 25/20 | 1/7 | IV | GCs | None | Decompression |
Disclaimer/Publisher’s Note: The statements, opinions and data contained in all publications are solely those of the individual author(s) and contributor(s) and not of MDPI and/or the editor(s). MDPI and/or the editor(s) disclaim responsibility for any injury to people or property resulting from any ideas, methods, instructions or products referred to in the content. |
© 2023 by the authors. Licensee MDPI, Basel, Switzerland. This article is an open access article distributed under the terms and conditions of the Creative Commons Attribution (CC BY) license (https://creativecommons.org/licenses/by/4.0/).
Share and Cite
Zhu, R.; Wang, X.-H.; Wang, B.-W.; Ouyang, X.; You, Y.-Y.; Xie, H.-T.; Zhang, M.-C.; Jiang, F.-G. Prostaglandin F2α Regulates Adipogenesis by Modulating Extracellular Signal-Regulated Kinase Signaling in Graves’ Ophthalmopathy. Int. J. Mol. Sci. 2023, 24, 7012. https://doi.org/10.3390/ijms24087012
Zhu R, Wang X-H, Wang B-W, Ouyang X, You Y-Y, Xie H-T, Zhang M-C, Jiang F-G. Prostaglandin F2α Regulates Adipogenesis by Modulating Extracellular Signal-Regulated Kinase Signaling in Graves’ Ophthalmopathy. International Journal of Molecular Sciences. 2023; 24(8):7012. https://doi.org/10.3390/ijms24087012
Chicago/Turabian StyleZhu, Ru, Xing-Hua Wang, Bo-Wen Wang, Xuan Ouyang, Ya-Yan You, Hua-Tao Xie, Ming-Chang Zhang, and Fa-Gang Jiang. 2023. "Prostaglandin F2α Regulates Adipogenesis by Modulating Extracellular Signal-Regulated Kinase Signaling in Graves’ Ophthalmopathy" International Journal of Molecular Sciences 24, no. 8: 7012. https://doi.org/10.3390/ijms24087012
APA StyleZhu, R., Wang, X.-H., Wang, B.-W., Ouyang, X., You, Y.-Y., Xie, H.-T., Zhang, M.-C., & Jiang, F.-G. (2023). Prostaglandin F2α Regulates Adipogenesis by Modulating Extracellular Signal-Regulated Kinase Signaling in Graves’ Ophthalmopathy. International Journal of Molecular Sciences, 24(8), 7012. https://doi.org/10.3390/ijms24087012

