MicroRNA Expression Signatures in Clear Cell Renal Cell Carcinoma: High-Throughput Searching for Key miRNA Markers in Patients from the Volga-Ural Region of Eurasian Continent
Abstract
1. Introduction
2. Results
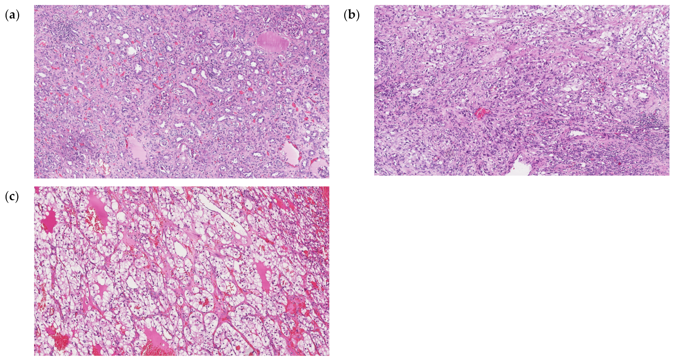
2.1. Clinical Characteristics
2.2. miRNA Expression Profiling Analysis
2.3. Validation Group miRNA Expression Analysis
2.4. Logistic Regression and ROC Curve Analyses
2.5. Expression of Exosomal miRNA-210
2.6. Expression Analysis of miRNA Target Genes Based on TCGA Data
3. Discussion
4. Materials and Methods
4.1. Tumor Samples and Data Collection
4.2. miRNA Extraction, Reverse Transcription and Expression Analysis of 754 miRNAs
- 100 ng of total RNA in a volume of 3 μL.
- 4.5 μL reverse transcription mix containing reverse transcriptase, Megaplex™RT Primers Pool A or Pool B and other reverse transcription reagents.
4.3. miRNA Individual Assays
4.4. Bioinformatic Analysis of the TCGA Data
4.5. Statistical Analysis
5. Conclusions
Supplementary Materials
Author Contributions
Funding
Institutional Review Board Statement
Informed Consent Statement
Data Availability Statement
Conflicts of Interest
References
- Singh, D. Current Updates and Future Perspectives on the Management of Renal Cell Carcinoma. Life Sci. 2021, 264, 118632. [Google Scholar] [CrossRef] [PubMed]
- Padala, S.A.; Kallam, A. Clear Cell Renal Carcinoma; StatPearls: Tampa, FL, USA, 2022. [Google Scholar]
- Global Cancer Observatory. Available online: https://gco.iarc.fr/ (accessed on 10 February 2023).
- Ljungberg, B.; Albiges, L.; Abu-Ghanem, Y.; Bedke, J.; Capitanio, U.; Dabestani, S.; Fernández-Pello, S.; Giles, R.H.; Hofmann, F.; Hora, M.; et al. European Association of Urology Guidelines on Renal Cell Carcinoma: The 2022 Update. Eur. Urol. 2022, 82, 399–410. [Google Scholar] [CrossRef] [PubMed]
- Chen, J.; Cao, N.; Li, S.; Wang, Y. Identification of a Risk Stratification Model to Predict Overall Survival and Surgical Benefit in Clear Cell Renal Cell Carcinoma with Distant Metastasis. Front. Oncol. 2021, 11, 540. [Google Scholar] [CrossRef]
- Jonasch, E.; Walker, C.L.; Rathmell, W.K. Clear Cell Renal Cell Carcinoma Ontogeny and Mechanisms of Lethality. Nat. Rev. Nephrol. 2021, 17, 245–261. [Google Scholar] [CrossRef] [PubMed]
- Siegel, R.L.; Miller, K.D.; Jemal, A. Cancer Statistics, 2019. CA. Cancer J. Clin. 2019, 69, 7–34. [Google Scholar] [CrossRef]
- Ivanova, E.; Gilyazova, I.; Pavlov, V.; Izmailov, A.; Gimalova, G.; Karunas, A.; Prokopenko, I.; Khusnutdinova, E. MicroRNA Processing Pathway-Based Polygenic Score for Clear Cell Renal Cell Carcinoma in the Volga-Ural Region Populations of Eurasian Continent. Genes 2022, 13, 1281. [Google Scholar] [CrossRef]
- Gowrishankar, B.; Ibragimova, I.; Zhou, Y.; Slifker, M.J.; Devarajan, K.; Al-Saleem, T.; Uzzo, R.G.; Cairns, P. MicroRNA Expression Signatures of Stage, Grade, and Progression in Clear Cell RCC. Cancer Biol. Ther. 2014, 15, 329–341. [Google Scholar] [CrossRef]
- Zhu, J.; Ma, X.; Zhang, Y.; Ni, D.; Ai, Q.; Li, H.; Zhang, X. Establishment of a MiRNA-MRNA Regulatory Network in Metastatic Renal Cell Carcinoma and Screening of Potential Therapeutic Targets. Tumour Biol. 2016, 37, 15649–15663. [Google Scholar] [CrossRef]
- Yoshino, H.; Yonemori, M.; Miyamoto, K.; Tatarano, S.; Kofuji, S.; Nohata, N.; Nakagawa, M.; Enokida, H. MicroRNA-210-3p Depletion by CRISPR/Cas9 Promoted Tumorigenesis through Revival of TWIST1 in Renal Cell Carcinoma. Oncotarget 2017, 8, 20881–20894. [Google Scholar] [CrossRef]
- Slaby, O.; Jancovicova, J.; Lakomy, R.; Svoboda, M.; Poprach, A.; Fabian, P.; Kren, L.; Michalek, J.; Vyzula, R. Expression of MiRNA-106b in Conventional Renal Cell Carcinoma Is a Potential Marker for Prediction of Early Metastasis after Nephrectomy. J. Exp. Clin. Cancer Res. 2010, 29, 90. [Google Scholar] [CrossRef]
- Butz, H.; Nofech-Mozes, R.; Ding, Q.; Khella, H.W.Z.; Szabó, P.M.; Jewett, M.; Finelli, A.; Lee, J.; Ordon, M.; Stewart, R.; et al. Exosomal MicroRNAs Are Diagnostic Biomarkers and Can Mediate Cell-Cell Communication in Renal Cell Carcinoma. Eur. Urol. Focus 2016, 2, 210–218. [Google Scholar] [CrossRef] [PubMed]
- Bavelloni, A.; Ramazzotti, G.; Poli, A.; Piazzi, M.; Focaccia, E.; Blalock, W.; Faenza, I. MiRNA-210: A Current Overview. Anticancer Res. 2017, 37, 6511–6521. [Google Scholar] [CrossRef] [PubMed]
- Favaro, E.; Ramachandran, A.; McCormick, R.; Gee, H.; Blancher, C.; Crosby, M.; Devlin, C.; Blick, C.; Buffa, F.; Li, J.L.; et al. MicroRNA-210 Regulates Mitochondrial Free Radical Response to Hypoxia and Krebs Cycle in Cancer Cells by Targeting Iron Sulfur Cluster Protein ISCU. PLoS ONE 2010, 5, e10345. [Google Scholar] [CrossRef] [PubMed]
- Kelly, T.J.; Souza, A.L.; Clish, C.B.; Puigserver, P. A Hypoxia-Induced Positive Feedback Loop Promotes Hypoxia-Inducible Factor 1alpha Stability through MiR-210 Suppression of Glycerol-3-Phosphate Dehydrogenase 1-Like. Mol. Cell. Biol. 2011, 31, 2696–2706. [Google Scholar] [CrossRef]
- Zhao, A.; Li, G.; Péoc’h, M.; Genin, C.; Gigante, M. Serum MiR-210 as a Novel Biomarker for Molecular Diagnosis of Clear Cell Renal Cell Carcinoma. Exp. Mol. Pathol. 2013, 94, 115–120. [Google Scholar] [CrossRef] [PubMed]
- Zhang, W.; Ni, M.; Su, Y.; Wang, H.; Zhu, S.; Zhao, A.; Li, G. MicroRNAs in Serum Exosomes as Potential Biomarkers in Clear-Cell Renal Cell Carcinoma. Eur. Urol. Focus 2018, 4, 412–419. [Google Scholar] [CrossRef]
- Gilyazova, I.R.; Asadullina, D.D.; Ivanova, E.A.; Rakhimov, R.R.; Izmailov, A.A.; Bermisheva, M.A.; Gilyazova, G.R.; Sharifgaleev, I.A.; Urmantsev, M.F.; Popova, E.V.; et al. Germline Mutations as Possible Biomarkers of Immune Checkpoint Inhibitor Therapy Efficacy in Patients with Renal Cell Carcinoma (Mini Review). Res. Results Biomed. 2022, 8, 164–179. [Google Scholar] [CrossRef]
- Bar, I.; Merhi, A.; Abdel-Sater, F.; Ben Addi, A.; Sollennita, S.; Canon, J.L.; Delrée, P. The MicroRNA MiR-210 Is Expressed by Cancer Cells but Also by the Tumor Microenvironment in Triple-Negative Breast Cancer. J. Histochem. Cytochem. 2017, 65, 335–346. [Google Scholar] [CrossRef]
- El-Komy, M.; Amin, I.; El-Hawary, M.S.; Saadi, D.; Shaker, O. Upregulation of the MiRNA-155, MiRNA-210, and MiRNA-20b in Psoriasis and Their Relation to IL-17. Int. J. Immunopathol. Pharmacol. 2020, 34, 1–9. [Google Scholar] [CrossRef]
- Zhao, M.; Wang, L.T.; Liang, G.P.; Zhang, P.; Deng, X.J.; Tang, Q.; Zhai, H.Y.; Chang, C.C.; Su, Y.W.; Lu, Q.J. Up-Regulation of MicroRNA-210 Induces Immune Dysfunction via Targeting FOXP3 in CD4+ T Cells of Psoriasis Vulgaris. Clin. Immunol. 2014, 150, 22–30. [Google Scholar] [CrossRef]
- Robinson, R.L.; Sharma, A.; Bai, S.; Heneidi, S.; Lee, T.J.; Kodeboyina, S.K.; Patel, N.; Sharma, S. Comparative STAT3-Regulated Gene Expression Profile in Renal Cell Carcinoma Subtypes. Front. Oncol. 2019, 9, 72. [Google Scholar] [CrossRef]
- Wei, S.; Qiu, Y. MiR-210-5p Regulates STAT3 Activation by Targeting STAT5A in the Differentiation of Dermal Fibroblasts. 3 Biotech 2021, 11, 243. [Google Scholar] [CrossRef]
- Yang, Y.; Zheng, X.; Ni, P.; Li, D.; Dan, Q.; Wang, X.; Wang, Y.; Sun, Y.; Liu, K.; Dong, Z.; et al. Targeting the STAT5A/IDO1 Axis Overcomes Radioresistance and Reverses the Immunosuppressive Tumor Microenvironment in NSCLC. Int. J. Oncol. 2023, 62, 12. [Google Scholar] [CrossRef]
- He, J.; Hua, J.; Ding, N.; Xu, S.; Sun, R.; Zhou, G.; Xie, X.; Wang, J. Modulation of MicroRNAs by Ionizing Radiation in Human Gastric Cancer. Oncol. Rep. 2014, 32, 787–793. [Google Scholar] [CrossRef]
- Nordentoft, I.; Birkenkamp-Demtroder, K.; Agerbæk, M.; Theodorescu, D.; Ostenfeld, M.S.; Hartmann, A.; Borre, M.; Ørntoft, T.F.; Dyrskjøt, L. MiRNAs Associated with Chemo-Sensitivity in Cell Lines and in Advanced Bladder Cancer. BMC Med. Genomics 2012, 5, 40. [Google Scholar] [CrossRef] [PubMed]
- Yu, Z.; Du, Y.; Li, H.; Huang, J.; Jiang, D.; Fan, J.; Shen, Y.; Zhang, L.; Yu, X.; Xu, N.; et al. MiR-642 Serves as a Tumor Suppressor in Hepatocellular Carcinoma by Regulating SEMA4C and P38 MAPK Signaling Pathway. Oncol. Lett. 2020, 20, 74. [Google Scholar] [CrossRef] [PubMed]
- Beveridge, D.J.; Richardson, K.L.; Epis, M.R.; Brown, R.A.M.; Stuart, L.M.; Woo, A.J.; Leedman, P.J. The Tumor Suppressor MiR-642a-5p Targets Wilms Tumor 1 Gene and Cell-Cycle Progression in Prostate Cancer. Sci. Rep. 2021, 11, 18003. [Google Scholar] [CrossRef] [PubMed]
- Liang, H.; Xu, Y.; Zhang, Q.; Yang, Y.; Mou, Y.; Gao, Y.; Chen, R.; Chen, C.; Dai, P. MiR-483-3p Regulates Oxaliplatin Resistance by Targeting FAM171B in Human Colorectal Cancer Cells. Artif. Cells Nanomed. Biotechnol. 2019, 47, 725–736. [Google Scholar] [CrossRef]
- Kossenkov, A.V.; Vachani, A.; Chang, C.; Nichols, C.; Billouin, S.; Horng, W.; Rom, W.N.; Albelda, S.M.; Showe, M.K.; Showe, L.C. Resection of Non-Small Cell Lung Cancers Reverses Tumor-Induced Gene Expression Changes in the Peripheral Immune System. Clin. Cancer Res. 2011, 17, 5867–5877. [Google Scholar] [CrossRef] [PubMed]
- Kolenda, T.; Guglas, K.; Kopczyńska, M.; Sobocińska, J.; Teresiak, A.; Bliźniak, R.; Lamperska, K. Good or Not Good: Role of MiR-18a in Cancer Biology. Reports Pract. Oncol. Radiother. 2020, 25, 808. [Google Scholar] [CrossRef]
- Zhou, L.; Li, Z.; Pan, X.; Lai, Y.; Quan, J.; Zhao, L.; Xu, J.; Xu, W.; Guan, X.; Li, H.; et al. Identification of MiR-18a-5p as an Oncogene and Prognostic Biomarker in RCC. Am. J. Transl. Res. 2018, 10, 1874. [Google Scholar] [PubMed]
- Wang, H.; Li, Z.Y.; Xu, Z.H.; Chen, Y.L.; Lu, Z.Y.; Shen, D.Y.; Lu, J.Y.; Zheng, Q.M.; Wang, L.Y.; Xu, L.W.; et al. The Prognostic Value of MiRNA-18a-5p in Clear Cell Renal Cell Carcinoma and Its Function via the MiRNA-18a-5p/HIF1A/PVT1 Pathway. J. Cancer 2020, 11, 2737–2748. [Google Scholar] [CrossRef] [PubMed]
- Rammer, M.; Webersinke, G.; Haitchi-Petnehazy, S.; Maier, E.; Hackl, H.; Charoentong, P.; Malli, T.; Steinmair, M.; Petzer, A.L.; Rumpold, H. MicroRNAs and Their Role for T Stage Determination and Lymph Node Metastasis in Early Colon Carcinoma. Clin. Exp. Metastasis 2017, 34, 431–440. [Google Scholar] [CrossRef] [PubMed]
- Yamaguchi, N.; Osaki, M.; Onuma, K.; Yumioka, T.; Iwamoto, H.; Sejima, T.; Kugoh, H.; Takenaka, A.; Okada, F. Identification of MicroRNAs Involved in Resistance to Sunitinib in Renal Cell Carcinoma Cells. Anticancer Res. 2017, 37, 2985–2992. [Google Scholar] [CrossRef]
- Wang, X.G.; Zhu, Y.W.; Wang, T.; Chen, B.; Xing, J.C.; Xiao, W. MiR-483-5p Downregulation Contributed to Cell Proliferation, Metastasis, and Inflammation of Clear Cell Renal Cell Carcinoma. Kaohsiung J. Med. Sci. 2021, 37, 192–199. [Google Scholar] [CrossRef]
- Liu, K.; He, B.; Xu, J.; Li, Y.; Guo, C.; Cai, Q.; Wang, S. MiR-483-5p Targets MKNK1 to Suppress Wilms’ Tumor Cell Proliferation and Apoptosis In Vitro and In Vivo. Med. Sci. Monit. 2019, 25, 1459–1468. [Google Scholar] [CrossRef]
- Yamada, Y.; Arai, T.; Kojima, S.; Sugawara, S.; Kato, M.; Okato, A.; Yamazaki, K.; Naya, Y.; Ichikawa, T.; Seki, N. Anti-Tumor Roles of Both Strands of the MiR-455 Duplex: Their Targets SKA1 and SKA3 Are Involved in the Pathogenesis of Renal Cell Carcinoma. Oncotarget 2018, 9, 26638–26658. [Google Scholar] [CrossRef]
- Shu, X.; Liu, W.; Liu, H.; Qi, H.; Wu, C.; Ran, Y.L. Analysis of MicroRNA Expression in CD133 Positive Cancer Stem-like Cells of Human Osteosarcoma Cell Line MG-63. PeerJ 2021, 9, e12115. [Google Scholar] [CrossRef]
- Cheng, M.; Duan, P.G.; Gao, Z.Z.; Dai, M. MicroRNA-487b-3p Inhibits Osteosarcoma Chemoresistance and Metastasis by Targeting ALDH1A3. Oncol. Rep. 2020, 44, 2691–2700. [Google Scholar] [CrossRef]
- Chen, X.; Lin, Z.-F.; Xi, W.-J.; Wang, W.; Zhang, D.; Yang, F.; Li, Y.-F.; Huo, Y.; Zhang, T.-Z.; Jiang, Y.-H.; et al. DNA Methylation-Regulated and Tumor-Suppressive Roles of MiR-487b in Colorectal Cancer via Targeting MYC, SUZ12, and KRAS. Cancer Med. 2019, 8, 1694–1709. [Google Scholar] [CrossRef]
- Li, X.; Guo, Y.; Wang, X.; Ge, A.; Wang, H.; Fan, K.; Guo, C. Clinical Significance of Serum MiR-487b in HBV-Related Hepatocellular Carcinoma and Its Potential Mechanism. Infect Dis. 2021, 53, 546–554. [Google Scholar] [CrossRef] [PubMed]
- Huang, S.; Zou, C.; Tang, Y.; Wa, Q.; Peng, X.; Chen, X.; Yang, C.; Ren, D.; Huang, Y.; Liao, Z.; et al. MiR-582-3p and MiR-582-5p Suppress Prostate Cancer Metastasis to Bone by Repressing TGF-β Signaling. Mol. Ther. Nucleic Acids 2019, 16, 91–104. [Google Scholar] [CrossRef] [PubMed]
- Li, H.; Tian, X.; Wang, P.; Huang, M.; Xu, R.; Nie, T. MicroRNA-582–3p Negatively Regulates Cell Proliferation and Cell Cycle Progression in Acute Myeloid Leukemia by Targeting Cyclin B2. Cell. Mol. Biol. Lett. 2019, 24, 66. [Google Scholar] [CrossRef] [PubMed]
- Xu, H.; Li, B. MicroRNA-582-3p Targeting Ribonucleotide Reductase Regulatory Subunit M2 Inhibits the Tumorigenesis of Hepatocellular Carcinoma by Regulating the Wnt/β-Catenin Signaling Pathway. Bioengineered 2022, 13, 12876. [Google Scholar] [CrossRef] [PubMed]
- Xu, J.; Zhang, Y.; Huang, Y.; Dong, X.; Xiang, Z.; Zou, J.; Wu, L.; Lu, W. CircEYA1 Functions as a Sponge of MiR-582-3p to Suppress Cervical Adenocarcinoma Tumorigenesis via Upregulating CXCL14. Mol. Ther. Nucleic Acids 2020, 22, 1176–1190. [Google Scholar] [CrossRef]
- Wang, J.; Zhao, J.; Zhu, J.; Zhang, S. Hypoxic Non-Small-Cell Lung Cancer Cell-Secreted Exosomal MicroRNA-582-3p Drives Cancer Cell Malignant Phenotypes by Targeting Secreted Frizzled-Related Protein 1. Cancer Manag. Res. 2020, 12, 10151. [Google Scholar] [CrossRef]
- Lai, Y.; Quan, J.; Hu, J.; Chen, P.; Xu, J.; Guan, X.; Xu, W.; Lai, Y.; Ni, L. MiR-199b-5p Serves as a Tumor Suppressor in Renal Cell Carcinoma. Exp. Ther. Med. 2018, 16, 436. [Google Scholar] [CrossRef]
- Krazinski, B.E.; Kiewisz, J.; Sliwinska-Jewsiewicka, A.; Kowalczyk, A.E.; Grzegrzolka, J.; Godlewski, J.; Kwiatkowski, P.; Dziegiel, P.; Kmiec, Z. Altered Expression of DDR1 in Clear Cell Renal Cell Carcinoma Correlates with MiR-199a/b-5p and Patients’ Outcome. Cancer Genomics Proteomics 2019, 16, 179. [Google Scholar] [CrossRef]
- Wang, Y.; Wei, H.; Song, L.; Xu, L.; Bao, J.; Liu, J. Gene Expression Microarray Data Meta-Analysis Identifies Genes and Molecular Mechanism Associatedwith Clear Cell Renal Cell Carcinoma. Cell J. 2020, 22, 386. [Google Scholar] [CrossRef]
- Saleeb, R.; Kim, S.S.; Ding, Q.; Scorilas, A.; Lin, S.; Khella, H.W.; Boulos, C.; Ibrahim, G.; Yousef, G.M. The MiR-200 Family as Prognostic Markers in Clear Cell Renal Cell Carcinoma. Urol. Oncol. 2019, 37, 955–963. [Google Scholar] [CrossRef]
- Gilyazova, I.R.; Klimentova, E.A.; Bulygin, K.V.; Izmailov, A.A.; Bermisheva, M.A.; Galimova, E.F.; Safiullin, R.I.; Galimov, S.N.; Pavlov, V.N.; Khusnutdinova, E.K. MicroRNA-200 Family Expression Analysis in Metastatic Clear Cell Renal Cell Carcinoma Patients. Cancer Gene Ther. 2019, 27, 768–772. [Google Scholar] [CrossRef] [PubMed]
- Wang, X.; Chen, X.; Wang, R.; Xiao, P.; Xu, Z.; Chen, L.; Hang, W.; Ruan, A.; Yang, H.; Zhang, X. MicroRNA-200c Modulates the Epithelial-to-Mesenchymal Transition in Human Renal Cell Carcinoma Metastasis. Oncol. Rep. 2013, 30, 643–650. [Google Scholar] [CrossRef] [PubMed]
- Ge, S.X.; Jung, D.; Jung, D.; Yao, R. ShinyGO: A Graphical Gene-Set Enrichment Tool for Animals and Plants. Bioinformatics 2020, 36, 2628–2629. [Google Scholar] [CrossRef] [PubMed]







| Profiling Group (n = 21) | p-Value | Validation Group n = 47 | p-Value | |
|---|---|---|---|---|
| Age, mean (range) | 59 (43–74) | 60 (38–78) | ||
| Gender, n (%) | ||||
| male | 10 (47.6) | 0.22 | 26 (55.3) | 0.30 |
| female | 11 (52.4) | 21 (44.7) | ||
| TNM stage, n (%) | ||||
| 1–2 | 11 (52.4) | 1.00 | 32 (68.1) | 0.001 |
| 3–4 | 10 (47.6) | 15 (31.9) | ||
| Fuhrman grade | ||||
| 1–2 | 14 | 0.063 | 27 (57.4) | 0.216 |
| 3–4 | 7 | 20 (42.6) | ||
| miRNA | Fold Change | PFDR-Value |
|---|---|---|
| miRNA-18a | 2.79 | 0.023 |
| miRNA-210 | 3.61 | 0.034 |
| miRNA-483-5p | 2.49 | 0.044 |
| miRNA-642 | 4.15 | 0.021 |
| miRNA-29a | 0.21 | 0.012 |
| miRNA-196b | 0.09 | 0.023 |
| miRNA-199b | 0.04 | 0.021 |
| miRNA-200c | 0.03 | 0.001 |
| miRNA-375 | 0.04 | 0.020 |
| miRNA-409-3p | 0.15 | 0.012 |
| miRNA-424 | 0.19 | 0.007 |
| miRNA-455-3p | 0.36 | 0.037 |
| miRNA-487b | 0.27 | 0.026 |
| miRNA-582-3p | 0.04 | 0.001 |
| miRNA | Tumor (Mean ± SEM) | Normal Tissue (Mean ± SEM) | p-Value |
|---|---|---|---|
| miRNA-18a | 1.79 ± 0.06 | 1.37 ± 0.08 | 0.0003 |
| miRNA-199b | 0.64 ± 0.04 | 0.73 ± 0.04 | 0.040 |
| miRNA-200c | 0.32 ± 0.03 | 0.48 ± 0.04 | 0.002 |
| miRNA-210 | 12.58 ± 1.21 | 7.09 ± 0.73 | 0.001 |
| miRNA-455 | 0.68 ± 0.03 | 0.80 ± 0.04 | 0.036 |
| miRNA-483-5p | 5.75 ± 0.42 | 3.89 ± 0.23 | 0.003 |
| miRNA-487b | 0.74 ± 0.05 | 1.01 ± 0.05 | 0.0003 |
| miRNA-582-3p | 0.50 ± 0.03 | 0.62 ± 0.04 | 0.02 |
| miRNA-642 | 3.68 ± 0.20 | 2.72 ± 0.16 | 0.001 |
| miRNA-210 | miRNA-642 | miRNA-483-5p | miRNA-18a | miRNA-455-3p | miRNA-487b | miRNA-199b | miRNA-582-3p | miRNA-200c | |
|---|---|---|---|---|---|---|---|---|---|
| miRNA-210 | 0.057 | 0.067 | 0.088 | 0.072 | −0.102 | −0.150 | 0.092 | −0.104 | |
| miRNA-642 | 0.057 | 0.121 | 0.115 | −0.104 | −0.114 | −0.203 | −0.062 | −0.272 | |
| miRNA-483-5p | 0.067 | 0.121 | 0.278 | −0.133 | −0.247 | 0.080 | −0.306 | −0.013 | |
| miRNA-18a | 0.088 | 0.115 | 0.278 b | −0.083 | −0.186 | 0.006 | −0.106 | −0.234 | |
| miRNA-455-3p | 0.072 | −0.104 | −0.133 | −0.083 | 0.072 | −0.042 | 0.278 | 0.064 | |
| miRNA-487b | −0.102 | −0.114 | −0.247 | −0.186 | 0.072 | 0.072 | 0.237 | 0.219 | |
| miRNA-199b | −0.150 | −0.203 a | 0.080 | 0.006 | −0.042 | 0.072 | 0.024 | 0.068 | |
| miRNA-582-3p | 0.092 | −0.062 | −0.306 b | −0.106 | 0.278 b | 0.237 a | 0.024 | 0.114 | |
| miRNA-200c | −0.104 | −0.272 b | −0.013 | −0.234 a | 0.064 | 0.219 a | 0.068 | 0.114 |
| Variables | Estimate | Std, Error | z Value | Pr (>|z|) |
|---|---|---|---|---|
| (Intercept) | −1.3823 | 2.4403 | −0.566 | 0.571089 |
| miRNA-210 | 0.1964 | 0.0593 | 3.312 | 0.000925 |
| miRNA-642 | 0.7983 | 0.3231 | 2.471 | 0.013488 |
| miRNA-483-5p | 0.4462 | 0.193 | 2.312 | 0.020785 |
| miRNA-18a | 1.7446 | 0.7545 | 2.312 | 0.020754 |
| miRNA-455-3p | −3.7004 | 1.6417 | −2.254 | 0.024199 |
| miRNA-487b | −2.7879 | 1.1082 | −2.516 | 0.011883 |
| miRNA-199b | −2.3323 | 1.3975 | −1.669 | 0.095146 |
| miRNA-200c | −2.5133 | 1.3097 | −1.919 | 0.054997 |
| Variables | Estimate | Std. Error | z Value | Pr (>|z|) |
|---|---|---|---|---|
| (Intercept) | 8.45921 | 2.86408 | 2.954 | 0.00314 |
| miRNA-210 | −0.17216 | 0.08355 | −2.061 | 0.03934 |
| miRNA-455-3p | −8.05981 | 3.27772 | −2.459 | 0.01393 |
| miRNA-483-5p | −0.38919 | 0.28831 | −1.350 | 0.17705 |
| miRNA-200c | −1.22501 | 3.48936 | −0.351 | 0.72554 |
Disclaimer/Publisher’s Note: The statements, opinions and data contained in all publications are solely those of the individual author(s) and contributor(s) and not of MDPI and/or the editor(s). MDPI and/or the editor(s) disclaim responsibility for any injury to people or property resulting from any ideas, methods, instructions or products referred to in the content. |
© 2023 by the authors. Licensee MDPI, Basel, Switzerland. This article is an open access article distributed under the terms and conditions of the Creative Commons Attribution (CC BY) license (https://creativecommons.org/licenses/by/4.0/).
Share and Cite
Gilyazova, I.; Ivanova, E.; Izmailov, A.; Sharifgaliev, I.; Karunas, A.; Pudova, E.; Kobelyatskaya, A.; Gilyazova, G.; Izmailova, A.; Pavlov, V.; et al. MicroRNA Expression Signatures in Clear Cell Renal Cell Carcinoma: High-Throughput Searching for Key miRNA Markers in Patients from the Volga-Ural Region of Eurasian Continent. Int. J. Mol. Sci. 2023, 24, 6909. https://doi.org/10.3390/ijms24086909
Gilyazova I, Ivanova E, Izmailov A, Sharifgaliev I, Karunas A, Pudova E, Kobelyatskaya A, Gilyazova G, Izmailova A, Pavlov V, et al. MicroRNA Expression Signatures in Clear Cell Renal Cell Carcinoma: High-Throughput Searching for Key miRNA Markers in Patients from the Volga-Ural Region of Eurasian Continent. International Journal of Molecular Sciences. 2023; 24(8):6909. https://doi.org/10.3390/ijms24086909
Chicago/Turabian StyleGilyazova, Irina, Elizaveta Ivanova, Adel Izmailov, Ildar Sharifgaliev, Alexandra Karunas, Elena Pudova, Anastasiya Kobelyatskaya, Gulshat Gilyazova, Angelina Izmailova, Valentin Pavlov, and et al. 2023. "MicroRNA Expression Signatures in Clear Cell Renal Cell Carcinoma: High-Throughput Searching for Key miRNA Markers in Patients from the Volga-Ural Region of Eurasian Continent" International Journal of Molecular Sciences 24, no. 8: 6909. https://doi.org/10.3390/ijms24086909
APA StyleGilyazova, I., Ivanova, E., Izmailov, A., Sharifgaliev, I., Karunas, A., Pudova, E., Kobelyatskaya, A., Gilyazova, G., Izmailova, A., Pavlov, V., & Khusnutdinova, E. (2023). MicroRNA Expression Signatures in Clear Cell Renal Cell Carcinoma: High-Throughput Searching for Key miRNA Markers in Patients from the Volga-Ural Region of Eurasian Continent. International Journal of Molecular Sciences, 24(8), 6909. https://doi.org/10.3390/ijms24086909

