Homotypic Entosis as a Potential Novel Diagnostic Marker in Breast Cancer
Abstract
1. Introduction
2. Results
2.1. Characteristics of the Breast Cancer Cohort
2.2. Analysis of the Breast Cancer Patient Cohort
2.3. Entosis In Situ in a Double-Negative HER2-Positive NOS Breast Cancer Case
2.3.1. Distribution of Entotic Figures in the Primary and Metastatic Tissue
2.3.2. Analysis of the Correlation between E-Cadherin Yield and Entotic Structures
2.3.3. In the Analyzed Case, Entotic Figures Are More Frequent in the Lymph Node Metastasis
2.3.4. Descriptive Distribution of Entotic Figures in the Primary and Metastatic Breast Cancer Tissue
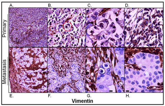
2.3.5. Correlation between Vimentin Expression and Entotic Structure Frequency
2.3.6. Analysis of Proliferating Cells in Entosis
2.3.7. Analysis of Vessel Markers and Entotic Figures
3. Discussion
4. Materials and Methods
4.1. Preparation of the Human Breast Cancer Cohort
4.2. Preparation of the Cohort of Histopathological Specimens
4.3. Evaluation of Entoses in the Cohort
4.4. Preparation of Histopathological Samples from the Breast Cancer Patient
5. Conclusions
Author Contributions
Funding
Institutional Review Board Statement
Informed Consent Statement
Data Availability Statement
Acknowledgments
Conflicts of Interest
References
- Park, J.H.; Pyun, W.Y.; Park, H.W. Cancer Metabolism: Phenotype, Signaling and Therapeutic Targets. Cells 2020, 9, 2308. [Google Scholar] [CrossRef] [PubMed]
- Overholtzer, M.; Mailleux, A.A.; Mouneimne, G.; Normand, G.; Schnitt, S.J.; King, R.W.; Cibas, E.S.; Brugge, J.S. A nonapoptotic cell death process, entosis, that occurs by cell-in-cell invasion. Cell 2007, 131, 966–979. [Google Scholar] [CrossRef] [PubMed]
- Durgan, J.; Tseng, Y.Y.; Hamann, J.C.; Domart, M.C.; Collinson, L.; Hall, A.; Overholtzer, M.; Florey, O. Mitosis can drive cell cannibalism through entosis. eLife 2017, 6, e27134. [Google Scholar] [CrossRef] [PubMed]
- Wang, X.; Li, Y.; Li, J.; Li, L.; Zhu, H.; Chen, H.; Kong, R.; Wang, G.; Wang, Y.; Hu, J.; et al. Cell-in-Cell Phenomenon and Its Relationship With Tumor Microenvironment and Tumor Progression: A Review. Front. Cell Dev. Biol. 2019, 7, 311. [Google Scholar] [CrossRef]
- Zhang, X.; Niu, Z.; Qin, H.; Fan, J.; Wang, M.; Zhang, B.; Zheng, Y.; Gao, L.; Chen, Z.; Tai, Y.; et al. Subtype-Based Prognostic Analysis of Cell-in-Cell Structures in Early Breast Cancer. Front. Oncol. 2019, 9, 895. [Google Scholar] [CrossRef]
- Borensztejn, K.; Tyrna, P.; Gawel, A.M.; Dziuba, I.; Wojcik, C.; Bialy, L.P.; Mlynarczuk-Bialy, I. Classification of Cell-in-Cell Structures: Different Phenomena with Similar Appearance. Cells 2021, 10, 2569. [Google Scholar] [CrossRef]
- Wang, Y.; Niu, Z.; Zhou, L.; Zhou, Y.; Ma, Q.; Zhu, Y.; Liu, M.; Shi, Y.; Tai, Y.; Shao, Q.; et al. Subtype-Based Analysis of Cell-in-Cell Structures in Esophageal Squamous Cell Carcinoma. Front. Oncol. 2021, 11, 670051. [Google Scholar] [CrossRef]
- Mackay, H.L.; Muller, P.A.J. Biological relevance of cell-in-cell in cancers. Biochem. Soc. Trans. 2019, 47, 725–732. [Google Scholar] [CrossRef]
- Mackay, H.L.; Moore, D.; Hall, C.; Birkbak, N.J.; Jamal-Hanjani, M.; Karim, S.A.; Phatak, V.M.; Pinon, L.; Morton, J.P.; Swanton, C.; et al. Genomic instability in mutant p53 cancer cells upon entotic engulfment. Nat. Commun. 2018, 9, 3070. [Google Scholar] [CrossRef]
- Mlynarczuk-Bialy, I.; Dziuba, I.; Sarnecka, A.; Platos, E.; Kowalczyk, M.; Pels, K.K.; Wilczynski, G.M.; Wojcik, C.; Bialy, L.P. Entosis: From Cell Biology to Clinical Cancer Pathology. Cancers 2020, 12, 2481. [Google Scholar] [CrossRef]
- Schenker, H.; Buttner-Herold, M.; Fietkau, R.; Distel, L.V. Cell-in-cell structures are more potent predictors of outcome than senescence or apoptosis in head and neck squamous cell carcinomas. Radiat. Oncol. 2017, 12, 21. [Google Scholar] [CrossRef]
- Schwegler, M.; Wirsing, A.M.; Schenker, H.M.; Ott, L.; Ries, J.M.; Buttner-Herold, M.; Fietkau, R.; Putz, F.; Distel, L.V. Prognostic Value of Homotypic Cell Internalization by Nonprofessional Phagocytic Cancer Cells. Biomed Res. Int. 2015, 2015, 359392. [Google Scholar] [CrossRef] [PubMed]
- Almangush, A.; Makitie, A.A.; Hagstrom, J.; Haglund, C.; Kowalski, L.P.; Nieminen, P.; Coletta, R.D.; Salo, T.; Leivo, I. Cell-in-cell phenomenon associates with aggressive characteristics and cancer-related mortality in early oral tongue cancer. BMC Cancer 2020, 20, 843. [Google Scholar] [CrossRef] [PubMed]
- Kojima, S.; Sekine, H.; Fukui, I.; Ohshima, H. Clinical significance of "cannibalism" in urinary cytology of bladder cancer. Acta Cytol. 1998, 42, 1365–1369. [Google Scholar] [CrossRef]
- Hayashi, A.; Yavas, A.; McIntyre, C.A.; Ho, Y.J.; Erakky, A.; Wong, W.; Varghese, A.M.; Melchor, J.P.; Overholtzer, M.; O’Reilly, E.M.; et al. Genetic and clinical correlates of entosis in pancreatic ductal adenocarcinoma. Mod. Pathol. 2020, 33, 1822–1831. [Google Scholar] [CrossRef]
- Lachat, C.; Peixoto, P.; Hervouet, E. Epithelial to Mesenchymal Transition History: From Embryonic Development to Cancers. Biomolecules 2021, 11, 782. [Google Scholar] [CrossRef]
- Hua, W.; Kostidis, S.; Mayboroda, O.; Giera, M.; Hornsveld, M.; Ten Dijke, P. Metabolic Reprogramming of Mammary Epithelial Cells during TGF-beta-Induced Epithelial-to-Mesenchymal Transition. Metabolites 2021, 11, 626. [Google Scholar] [CrossRef]
- Hofmann, A.; Putz, F.; Buttner-Herold, M.; Hecht, M.; Fietkau, R.; Distel, L.V. Increase in non-professional phagocytosis during the progression of cell cycle. PLoS ONE 2021, 16, e0246402. [Google Scholar] [CrossRef]
- Bray, F.; Ferlay, J.; Soerjomataram, I.; Siegel, R.L.; Torre, L.A.; Jemal, A. Global cancer statistics 2018: GLOBOCAN estimates of incidence and mortality worldwide for 36 cancers in 185 countries. CA Cancer J. Clin. 2018, 68, 394–424. [Google Scholar] [CrossRef]
- Perou, C.M.; Sorlie, T.; Eisen, M.B.; van de Rijn, M.; Jeffrey, S.S.; Rees, C.A.; Pollack, J.R.; Ross, D.T.; Johnsen, H.; Akslen, L.A.; et al. Molecular portraits of human breast tumours. Nature 2000, 406, 747–752. [Google Scholar] [CrossRef]
- Sorlie, T.; Perou, C.M.; Tibshirani, R.; Aas, T.; Geisler, S.; Johnsen, H.; Hastie, T.; Eisen, M.B.; van de Rijn, M.; Jeffrey, S.S.; et al. Gene expression patterns of breast carcinomas distinguish tumor subclasses with clinical implications. Proc. Natl. Acad. Sci. USA 2001, 98, 10869–10874. [Google Scholar] [CrossRef]
- Goldhirsch, A.; Wood, W.C.; Coates, A.S.; Gelber, R.D.; Thurlimann, B.; Senn, H.J.; Panel Members. Strategies for subtypes—Dealing with the diversity of breast cancer: Highlights of the St. Gallen International Expert Consensus on the Primary Therapy of Early Breast Cancer 2011. Ann. Oncol. 2011, 22, 1736–1747. [Google Scholar] [CrossRef]
- Stanowska, O.; Kuczkiewicz-Siemion, O.; Debowska, M.; Olszewski, W.P.; Jagiello-Gruszfeld, A.; Tysarowski, A.; Prochorec-Sobieszek, M. PD-L1-Positive High-Grade Triple-Negative Breast Cancer Patients Respond Better to Standard Neoadjuvant Treatment-A Retrospective Study of PD-L1 Expression in Relation to Different Clinicopathological Parameters. J. Clin. Med. 2022, 11, 5524. [Google Scholar] [CrossRef] [PubMed]
- Nunez Abad, M.; Calabuig-Farinas, S.; Lobo de Mena, M.; Torres-Martinez, S.; Garcia Gonzalez, C.; Garcia Garcia, J.A.; Iranzo Gonzalez-Cruz, V.; Camps Herrero, C. Programmed Death-Ligand 1 (PD-L1) as Immunotherapy Biomarker in Breast Cancer. Cancers 2022, 14, 307. [Google Scholar] [CrossRef] [PubMed]
- Bauer, M.F.; Hildebrand, L.S.; Rosahl, M.C.; Erber, R.; Schnellhardt, S.; Buttner-Herold, M.; Putz, F.; Ott, O.J.; Hack, C.C.; Fietkau, R.; et al. Cell-In-Cell Structures in Early Breast Cancer Are Prognostically Valuable. Cells 2022, 12, 81. [Google Scholar] [CrossRef]
- Ahn, Y.; An, J.H.; Yang, H.J.; Lee, D.G.; Kim, J.; Koh, H.; Park, Y.H.; Song, B.S.; Sim, B.W.; Lee, H.J.; et al. Human Blood Vessel Organoids Penetrate Human Cerebral Organoids and Form a Vessel-Like System. Cells 2021, 10, 2036. [Google Scholar] [CrossRef]
- Ho, K.S.; Poon, P.C.; Owen, S.C.; Shoichet, M.S. Blood vessel hyperpermeability and pathophysiology in human tumour xenograft models of breast cancer: A comparison of ectopic and orthotopic tumours. BMC Cancer 2012, 12, 579. [Google Scholar] [CrossRef]
- Dumitru, C.S.; Ceausu, A.R.; Gaje, N.P.; Suciu, C.S.; Raica, M. Proliferating Lymphatic Endothelial Cells as a Prognostic Marker in Head and Neck Squamous Cell Carcinoma. Int. J. Mol. Sci. 2022, 23, 9793. [Google Scholar] [CrossRef]
- Bhushan, A.; Gonsalves, A.; Menon, J.U. Current State of Breast Cancer Diagnosis, Treatment, and Theranostics. Pharmaceutics 2021, 13, 723. [Google Scholar] [CrossRef]
- Ross, J.S.; Slodkowska, E.A.; Symmans, W.F.; Pusztai, L.; Ravdin, P.M.; Hortobagyi, G.N. The HER-2 receptor and breast cancer: Ten years of targeted anti-HER-2 therapy and personalized medicine. Oncologist 2009, 14, 320–368. [Google Scholar] [CrossRef]
- Gonzalez-Martinez, S.; Perez-Mies, B.; Pizarro, D.; Caniego-Casas, T.; Cortes, J.; Palacios, J. Epithelial Mesenchymal Transition and Immune Response in Metaplastic Breast Carcinoma. Int. J. Mol. Sci. 2021, 22, 7398. [Google Scholar] [CrossRef]
- Dumitru, C.S.; Ceausu, A.R.; Comsa, S.; Raica, M. Loss of E-Cadherin Expression Correlates With Ki-67 in Head and Neck Squamous Cell Carcinoma. In Vivo 2022, 36, 1150–1154. [Google Scholar] [CrossRef]
- Jeong, H.; Ryu, Y.J.; An, J.; Lee, Y.; Kim, A. Epithelial-mesenchymal transition in breast cancer correlates with high histological grade and triple-negative phenotype. Histopathology 2012, 60, E87–E95. [Google Scholar] [CrossRef]
- Asif, P.J.; Longobardi, C.; Hahne, M.; Medema, J.P. The Role of Cancer-Associated Fibroblasts in Cancer Invasion and Metastasis. Cancers 2021, 13, 4720. [Google Scholar] [CrossRef]
- Thiery, J.P. Epithelial-mesenchymal transitions in tumour progression. Nat. Rev. Cancer 2002, 2, 442–454. [Google Scholar] [CrossRef] [PubMed]
- Kang, H. Sample size determination and power analysis using the G*Power software. J. Educ. Eval. Health Prof. 2021, 18, 17. [Google Scholar] [CrossRef]








| Characteristic | Category | Number of Cases | Number of Cases % of Total |
|---|---|---|---|
| Age | Median | 50 | |
| Range | 28–80 42 | 84% | |
| 20–60 Over 60 | 8 | 16% | |
| Type | NOS Invasive Ductal Carcinoma | 47 | 94% |
| Invasive Lobular Carcinoma | 3 | 6% | |
| Grade * | 1 | 10 | 20% |
| 2 | 28 | 56% | |
| 3 | 8 | 16% | |
| TNM | I | 0 | 0% |
| II | 21 | 42% | |
| III | 29 | 58% | |
| Size (primary lesion) | <2 cm | 1 | 2% |
| 2–5 cm | 33 | 66% | |
| >5 cm | 16 | 32% | |
| Lymph node involvement | N1 N2 | 30 20 | 60% 40% |
| Immunohistochemical properties | ER ** | 18 pos/32 neg | 36%/64% |
| PR ** | 8 pos/40 neg | 16%/80% | |
| HER2 *** | 20 pos/30 neg | 40%/60% | |
| Ki67 **** | 8 high/38 low | 16%/76% | |
| Entotic structures | at least 1/sq mm | 47/sq mm | 100% of NOS |
| of cancer tissue |
| Statistics of Entosis | All NOS | ||
|---|---|---|---|
| Characteristic | Samples | Primary | Metastatic |
| Age (correlation) * | 0.8402 | 0.6403 | 0.7603 |
| ρ = −0.02 | ρ = −0.06 | ρ = 0.04 | |
| Age (groups < 50 and >50 years old) ** | 0.8065 | 0.5733 | 0.6692 |
| Primary vs. metastasis ** | 0.4927 | ||
| Primary vs. metastasis (paired test) *** | 0.2839 | ||
| TNM **** | 0.6743 | 0.8303 | 0.7729 |
| T (from TNM) **** | 0.9845 | 0.8232 | 0.8397 |
| N (from TNM) **** | 0.0517 | 0.1657 | 0.1812 |
| Grade | 0.2902 | 0.9562 | 0.2631 |
| ER (2 grades) **,# | 0.2058 | 0.8005 | 0.1569 |
| PR (2 grades) **,# | 0.0645 | 0.5428 | 0.0372 |
| HER2 (2 grades) **,# | 0.0091 | 0.2467 | 0.0133 |
| Ki67 (correlation) * | 0.0024 | 0.0051 | 0.0635 |
| ρ = 0.32 | ρ = 0.41 | ρ = 0.28 |
| Entotic Figures | Primary Tumor | Metastasis |
|---|---|---|
| Mean (%) | 2.68% | 5.79% |
| Std. Error | 0.2792 | 0.6178 |
| p value | <0.0001 | |
| Median | 2.36% | 5.16% |
| Minimum | 0.78 | 0.49 |
| Maximum | 5.83 | 20.83 |
| Total entosis counted | 188 | 531 |
| Total cells counted | 7418 | 10,069 |
| Number of fields | 19 | 40 |
| Antigen | Type (Clone) | Colocalization | Source and Procedure |
|---|---|---|---|
| Ki67 | Rabbit Monoclonal (30-9) | Nuclear | For all, Roche Diagnostics |
| E-cadherin | Mouse Monoclonal (36) | Membranous | Standard histochemical routine using the BenchMark ULTRA system (Roche) and standard buffers and solutions |
| Vimentin | Mouse Monoclonal (V9) | Cytoplasmic | |
| HER2 | Mouse Monoclonal (4B5) | Membranous | |
| ER | Rabbit Monoclonal (SP1) | Nuclear | |
| PR | Rabbit Monoclonal (1E2) | Nuclear | |
| CD31 | Mouse Monoclonal (JC70) | Membranous/Cytoplasmic | |
| Actin, Smooth Muscle (SMA) | Mouse Monoclonal (1A4) | Cytoplasmic | |
| Podoplanin | Mouse Monoclonal (D2-40) | Membranous |
Disclaimer/Publisher’s Note: The statements, opinions and data contained in all publications are solely those of the individual author(s) and contributor(s) and not of MDPI and/or the editor(s). MDPI and/or the editor(s) disclaim responsibility for any injury to people or property resulting from any ideas, methods, instructions or products referred to in the content. |
© 2023 by the authors. Licensee MDPI, Basel, Switzerland. This article is an open access article distributed under the terms and conditions of the Creative Commons Attribution (CC BY) license (https://creativecommons.org/licenses/by/4.0/).
Share and Cite
Dziuba, I.; Gawel, A.M.; Tyrna, P.; Machtyl, J.; Olszanecka, M.; Pawlik, A.; Wójcik, C.; Bialy, L.P.; Mlynarczuk-Bialy, I. Homotypic Entosis as a Potential Novel Diagnostic Marker in Breast Cancer. Int. J. Mol. Sci. 2023, 24, 6819. https://doi.org/10.3390/ijms24076819
Dziuba I, Gawel AM, Tyrna P, Machtyl J, Olszanecka M, Pawlik A, Wójcik C, Bialy LP, Mlynarczuk-Bialy I. Homotypic Entosis as a Potential Novel Diagnostic Marker in Breast Cancer. International Journal of Molecular Sciences. 2023; 24(7):6819. https://doi.org/10.3390/ijms24076819
Chicago/Turabian StyleDziuba, Ireneusz, Agata M. Gawel, Paweł Tyrna, Jędrzej Machtyl, Monika Olszanecka, Andrzej Pawlik, Cezary Wójcik, Lukasz P. Bialy, and Izabela Mlynarczuk-Bialy. 2023. "Homotypic Entosis as a Potential Novel Diagnostic Marker in Breast Cancer" International Journal of Molecular Sciences 24, no. 7: 6819. https://doi.org/10.3390/ijms24076819
APA StyleDziuba, I., Gawel, A. M., Tyrna, P., Machtyl, J., Olszanecka, M., Pawlik, A., Wójcik, C., Bialy, L. P., & Mlynarczuk-Bialy, I. (2023). Homotypic Entosis as a Potential Novel Diagnostic Marker in Breast Cancer. International Journal of Molecular Sciences, 24(7), 6819. https://doi.org/10.3390/ijms24076819

