Phosphatases Decrease Water and Urea Permeability in Rat Inner Medullary Collecting Ducts
Abstract
1. Introduction
2. Results
2.1. Inhibition of Calcineurin Increased Urea and Osmotic Water Permeability
2.2. Inhibition of Calcineurin Increased Vasopressin-Stimulated Osmotic Water Permeability
2.3. Inhibition of Calcineurin Did Not Change Aldosterone-Reduced Osmotic Water Permeability
2.4. Inhibition of PP2A Increased Osmotic Water Permeability
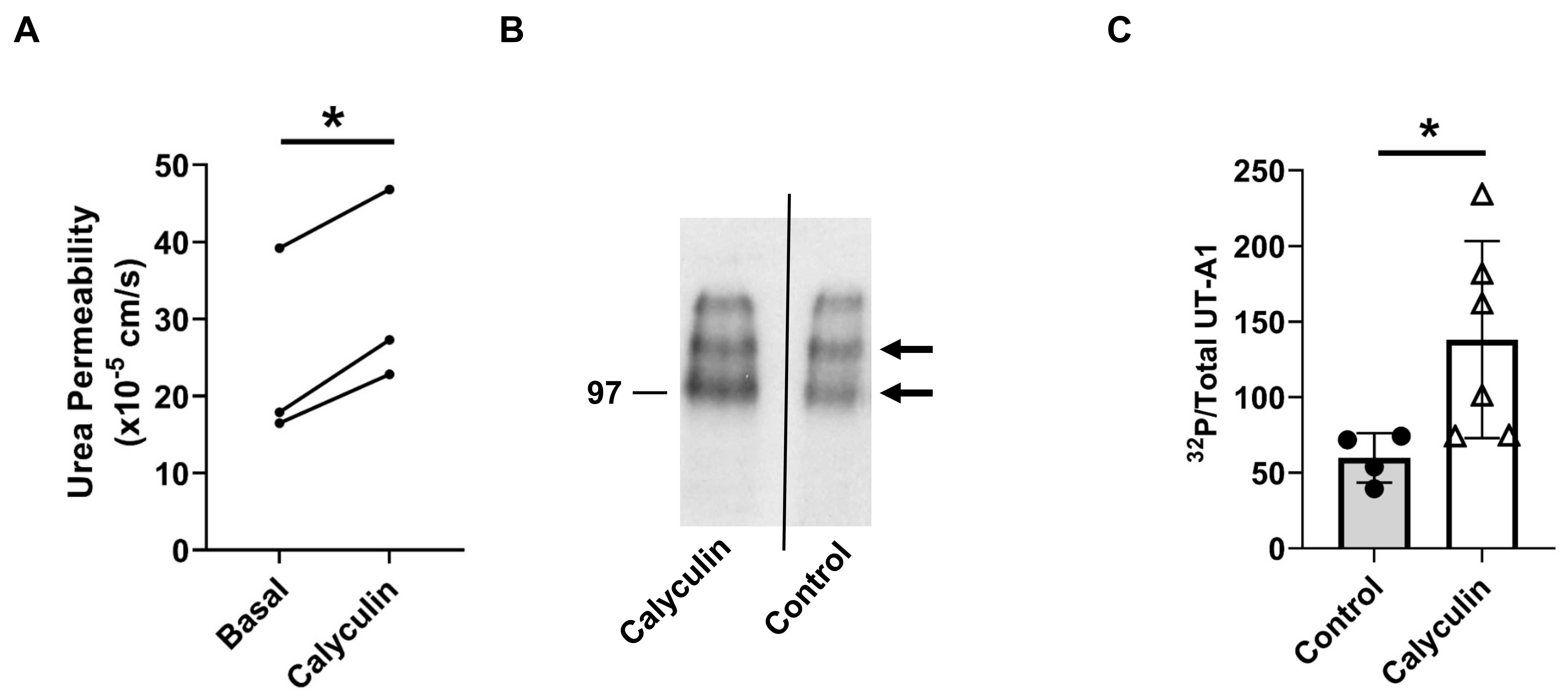
2.5. Inhibition of PP2A Increased Urea Permeability and UT-A1 Phosphorylation
2.6. Inhibition of PP2A Prevented the Decrease in Osmotic Water Permeability by ADM
2.7. ADM Mediates Phosphorylation of AQP2
3. Discussion
4. Materials and Methods
4.1. Animals
4.2. Tubule Perfusion
4.3. Tissue Incubation
4.4. Western Blot Analysis
4.5. Phosphorylation
4.6. Statistics
5. Conclusions
Author Contributions
Funding
Institutional Review Board Statement
Informed Consent Statement
Data Availability Statement
Conflicts of Interest
References
- Sands, J.M.; Nonoguchi, H.; Knepper, M.A. Vasopressin effects on urea and H2O transport in inner medullary collecting duct subsegments. Am. J. Physiol. Physiol. 1987, 253, F823–F832. [Google Scholar] [CrossRef]
- Chou, C.L.; Yip, K.P.; Michea, L.; Kador, K.; Ferraris, J.D.; Wade, J.B.; Knepper, M.A. Regulation of aquaporin-2 trafficking by vasopressin in the renal collecting duct—Roles of ryanodine-sensitive Ca2+ stores and calmodulin. J. Biol. Chem. 2000, 275, 36839–36846. [Google Scholar] [CrossRef]
- Knepper, M.A.; Inoue, T. Regulation of aquaporin-2 water channel trafficking by vasopressin. Curr. Opin. Cell Biol. 1997, 9, 560–564. [Google Scholar] [CrossRef] [PubMed]
- Ilori, T.O.; Blount, M.A.; Martin, C.F.; Sands, J.M.; Klein, J.D. Urine Concentration in the Diabetic Mouse Requires Both Water and Urea Transporters. Am. J. Physiol. Ren. Physiol. 2013, 304, F103–F111. [Google Scholar] [CrossRef] [PubMed][Green Version]
- Sands, J.M.; Layton, H.E.; Fenton, R.A. Brenner and Rector’s the Kidney; Skorecki, K., Chertow, G.M., Marsden, P.A., Taal, M.W., Yu, A.S.L., Eds.; Elsevier: Philadelphia, PA, USA, 2016; pp. 258–280. [Google Scholar]
- Terker, A.S.; Ellison, D.H. Renal mineralocorticoid receptor and electrolyte homeostasis. Am. J. Physiol. Integr. Comp. Physiol. 2015, 309, R1068–R1070. [Google Scholar] [CrossRef] [PubMed]
- Fuller, P.J.; Young, M.J. Mechanisms of Mineralocorticoid Action. Hypertension 2005, 46, 1227–1235. [Google Scholar] [CrossRef]
- Scott, J.H.; Menouar, M.A.; Dunn, R.J. Physiology, Aldosterone; StatPearls: Treasure Island, FL, USA, 2019. [Google Scholar]
- Tumlin, J.A.; Lea, J.P.; Swanson, C.E.; Smith, C.L.; Edge, S.S.; Someren, J.S. Aldosterone and dexamethasone stimulate calcineurin activity through a transcription-independent mechanism involving steroid receptor-associated heat shock proteins. J. Clin. Investig. 1997, 99, 1217–1223. [Google Scholar] [CrossRef]
- Good, D.W. Nongenomic Actions of Aldosterone on the Renal Tubule. Hypertension 2007, 49, 728–739. [Google Scholar] [CrossRef]
- Ilori, T.O.; Wang, Y.; Blount, M.A.; Martin, C.F.; Sands, J.M.; Klein, J.D. Acute calcineurin inhibition with tacrolimus increases phosphorylated UT-A1. Am. J. Physiol. Ren. Physiol. 2012, 302, F998–F1004. [Google Scholar] [CrossRef]
- Ren, H.; Yang, B.; Ruiz, J.A.; Efe, O.; Ilori, T.O.; Sands, J.M.; Klein, J.D. Phosphatase inhibition increases AQP2 accumulation in the rat IMCD apical plasma membrane. Am. J. Physiol. Ren. Physiol. 2016, 311, F1189–F1197. [Google Scholar] [CrossRef]
- Wang, Y.; Ma, F.; Rodriguez, E.L.; Klein, J.D.; Sands, J.M. Aldosterone Decreases Vasopressin-Stimulated Water Reabsorption in Rat Inner Medullary Collecting Ducts. Cells 2020, 9, 967. [Google Scholar] [CrossRef]
- LeMaire, S.M.; Raghuram, V.; Grady, C.R.; Pickering, C.M.; Chou, C.-L.; Umejiego, E.N.; Knepper, M.A. Serine/threonine phosphatases and aquaporin-2 regulation in renal collecting duct. Am. J. Physiol. Ren. Physiol. 2016, 312, F84–F95. [Google Scholar] [CrossRef]
- Chou, C.-L.; Hwang, G.; Hageman, D.J.; Han, L.; Agrawal, P.; Pisitkun, T.; Knepper, M.A. Identification of UT-A1- and AQP2-interacting proteins in rat inner medullary collecting duct. Am. J. Physiol. Physiol. 2018, 314, C99–C117. [Google Scholar] [CrossRef]
- Parameswaran, N.; Nambi, P.; Hall, C.S.; Brooks, D.P.; Spielman, W.S. Adrenomedullin decreases extracellular signal-regulated kinase activity through an increase in protein phosphatase-2A activity in mesangial cells. Eur. J. Pharmacol. 2000, 388, 133–138. [Google Scholar] [CrossRef]
- Xu, Y.; Krukoff, T.L. Adrenomedullin Stimulates Nitric Oxide Production from Primary Rat Hypothalamic Neurons: Roles of Calcium and Phosphatases. Mol. Pharmacol. 2007, 72, 112–120. [Google Scholar] [CrossRef]
- Ma, F.; Chen, G.; Rodriguez, E.L.; Klein, J.D.; Sands, J.M.; Wang, Y. Adrenomedullin Inhibits Osmotic Water Permeability in Rat Inner Medullary Collecting Ducts. Cells 2020, 9, 2533. [Google Scholar] [CrossRef]
- Wong, K.Y.; Wang, W.-L.; Su, S.-H.; Liu, C.-F.; Yu, M.-J. Intracellular location of aquaporin-2 serine 269 phosphorylation and dephosphorylation in kidney collecting duct cells. Am. J. Physiol. Ren. Physiol. 2020, 319, F592–F602. [Google Scholar] [CrossRef]
- Moeller, H.B.; Knepper, M.A.; Fenton, R.A. Serine 269 phosphorylated aquaporin-2 is targeted to the apical membrane of collecting duct principal cells. Kidney Int. 2009, 75, 295–303. [Google Scholar] [CrossRef]
- Song, J.; Hu, X.; Khan, O.; Tian, Y.; Verbalis, J.G.; Ecelbarger, C.A. Increased blood pressure, aldosterone activity, and regional differences in renal ENaC protein during vasopressin escape. Am. J. Physiol. Ren. Physiol. 2004, 287, F1076–F1083. [Google Scholar] [CrossRef]
- Tiwari, S.; Packer, R.K.; Hu, X.Q.; Sugimura, Y.; Verbalis, J.G.; Ecelbarger, C.A. Increased renal alpha-ENaC and NCC abundance and elevated blood pressure are independent of hyperaldosteronism in vasopressin escape. Am. J. Physiol. Ren. Physiol. 2006, 291, F49–F57. [Google Scholar] [CrossRef]
- Hinson, J.P.; Kapas, S.; Smith, D.M. Adrenomedullin, a Multifunctional Regulatory Peptide*. Endocr. Rev. 2000, 21, 138–167. [Google Scholar]
- Cheng, L.; Poulsen, S.B.; Wu, Q.; Esteva-Font, C.; Olesen, E.T.B.; Peng, L.; Olde, B.; Leeb-Lundberg, L.M.F.; Pisitkun, T.; Rieg, T.; et al. Rapid Aldosterone-Mediated Signaling in the DCT Increases Activity of the Thiazide-Sensitive NaCl Cotransporter. J. Am. Soc. Nephrol. 2019, 30, 1454–1470. [Google Scholar] [CrossRef] [PubMed]
- Pergher, P.S.; Leite-Dellova, D.; de Mello-Aires, M. Direct action of aldosterone on bicarbonate reabsorption in in vivo cortical proximal tubule. Am. J. Physiol. Ren. Physiol. 2009, 296, F1185–F1193. [Google Scholar] [CrossRef] [PubMed]
- Aboudehen, K.; Noureddine, L.; Cobo-Stark, P.; Avdulov, S.; Farahani, S.; Gearhart, M.D.; Bichet, D.G.; Pontoglio, M.; Patel, V.; Igarashi, P. Hepatocyte Nuclear Factor-1beta Regulates Urinary Concentration and Response to Hypertonicity. J. Am. Soc. Nephrol. 2017, 28, 2887–2900. [Google Scholar] [CrossRef] [PubMed]
- Rusnak, F.; Mertz, P. Calcineurin: Form and Function. Physiol. Rev. 2000, 80, 1483–1521. [Google Scholar] [CrossRef]
- Fagerholm, A.E.; Habrant, D.; Koskinen, A.M.P. Calyculins and Related Marine Natural Products as Serine- Threonine Protein Phosphatase PP1 and PP2A Inhibitors and Total Syntheses of Calyculin A, B, and C. Mar. Drugs 2010, 8, 122–172. [Google Scholar] [CrossRef]
- Kreienbühl, P.; Keller, H.; Niggli, V. Protein phosphatase inhibitors okadaic acid and calyculin A alter cell shape and F-actin distribution and inhibit stimulus-dependent increases in cytoskeletal actin of human neutrophils. Blood 1992, 80, 2911–2919. [Google Scholar] [CrossRef]
- Nadler, S.P. Effects of hypertonicity on ADH-stimulated water permeability in rat inner medullary collecting duct. Am. J. Physiol. 1990, 258, F266–F272. [Google Scholar] [CrossRef]
- Knepper, M.A.; Good, D.W.; Burg, M.B. Ammonia and bicarbonate transport by rat cortical collecting ducts perfused in vitro. Am. J. Physiol. 1985, 249, F870–F877. [Google Scholar] [CrossRef]
- Sands, J.M.; A Knepper, M. Urea permeability of mammalian inner medullary collecting duct system and papillary surface epithelium. J. Clin. Investig. 1987, 79, 138–147. [Google Scholar] [CrossRef]
- Lankford, S.P.; Chou, C.-L.; Terada, Y.; Wall, S.M.; Wade, J.B.; Knepper, M.A. Regulation of collecting duct water permeability independent of cAMP-mediated AVP response. Am. J. Physiol. Ren. Fluid Electrolyte Physiol. 1991, 261, F554–F566. [Google Scholar] [CrossRef]
- Klein, J.D.; Price, S.R.; Bailey, J.L.; Jacobs, J.D.; Sands, J.M. Glucocorticoids mediate a decrease in the AVP-regulated urea transporter in diabetic rat inner medulla. Am. J. Physiol. 1997, 273, F949–F953. [Google Scholar] [CrossRef]
- Zhang, C.; Sands, J.M.; Klein, J.D. Vasopressin rapidly increases phosphorylation of UT-A1 urea transporter in rat IMCDs through PKA. Am. J. Physiol. Physiol. 2002, 282, F85–F90. [Google Scholar] [CrossRef]
- Kato, A.; Klein, J.D.; Zhang, C.; Sands, J.M. Angiotensin II increases vasopressin-stimulated facilitated urea permeability in rat terminal IMCDs. Am. J. Physiol. Ren. Physiol. 2000, 279, F835–F840. [Google Scholar] [CrossRef]
- Snedecor, G.W.; Cochran, W.G. Statistical Methods; Iowa State University Press: Ames, IA, USA, 1980. [Google Scholar]






Disclaimer/Publisher’s Note: The statements, opinions and data contained in all publications are solely those of the individual author(s) and contributor(s) and not of MDPI and/or the editor(s). MDPI and/or the editor(s) disclaim responsibility for any injury to people or property resulting from any ideas, methods, instructions or products referred to in the content. |
© 2023 by the authors. Licensee MDPI, Basel, Switzerland. This article is an open access article distributed under the terms and conditions of the Creative Commons Attribution (CC BY) license (https://creativecommons.org/licenses/by/4.0/).
Share and Cite
Wang, Y.; Klein, J.D.; Sands, J.M. Phosphatases Decrease Water and Urea Permeability in Rat Inner Medullary Collecting Ducts. Int. J. Mol. Sci. 2023, 24, 6537. https://doi.org/10.3390/ijms24076537
Wang Y, Klein JD, Sands JM. Phosphatases Decrease Water and Urea Permeability in Rat Inner Medullary Collecting Ducts. International Journal of Molecular Sciences. 2023; 24(7):6537. https://doi.org/10.3390/ijms24076537
Chicago/Turabian StyleWang, Yanhua, Janet D. Klein, and Jeff M. Sands. 2023. "Phosphatases Decrease Water and Urea Permeability in Rat Inner Medullary Collecting Ducts" International Journal of Molecular Sciences 24, no. 7: 6537. https://doi.org/10.3390/ijms24076537
APA StyleWang, Y., Klein, J. D., & Sands, J. M. (2023). Phosphatases Decrease Water and Urea Permeability in Rat Inner Medullary Collecting Ducts. International Journal of Molecular Sciences, 24(7), 6537. https://doi.org/10.3390/ijms24076537

