The Prognostic Value of Cancer Stem Cell Markers (CSCs) Expression—ALDH1A1, CD133, CD44—For Survival and Long-Term Follow-Up of Ovarian Cancer Patients
Abstract
1. Introduction
2. Results
2.1. Clinicopathological Characteristics
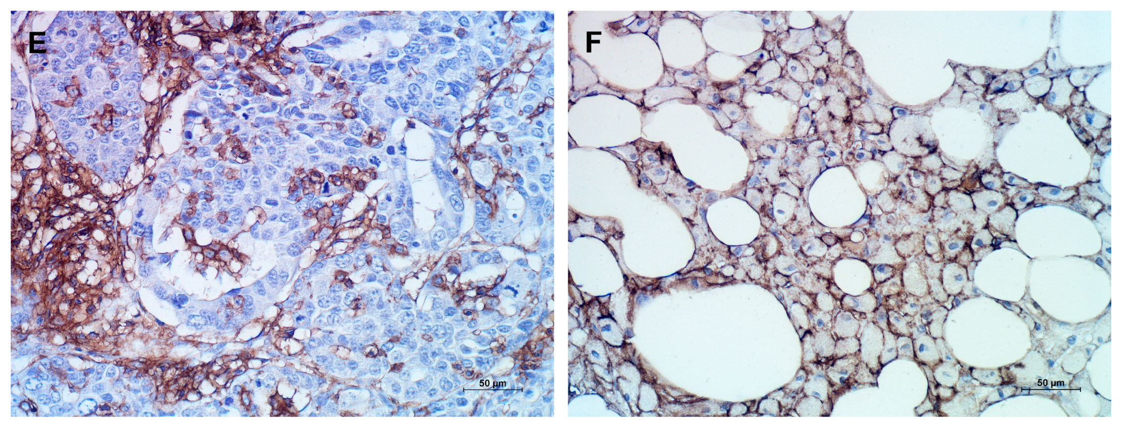
2.2. Immunohistochemical Analysis
2.3. Survival Analysis
3. Discussion
4. Materials and Methods
4.1. Patient Characteristics
4.2. Immunohistochemical Analysis
4.3. Statistical Analysis
5. Conclusions
Author Contributions
Funding
Institutional Review Board Statement
Informed Consent Statement
Data Availability Statement
Conflicts of Interest
References
- Siegel, R.L.; Miller, K.D.; Fuchs, H.E.; Jemal, A. Cancer Statistics. CA Cancer J. Clin. 2022, 72, 7–33. [Google Scholar] [CrossRef] [PubMed]
- Thigpen, T. First-line chemotherapy for ovarian carcinoma; what’s next? Cancer Investig. 2004, 22, 21–28. [Google Scholar] [CrossRef] [PubMed]
- Lim, H.J.; Ledger, W. Targeted Therapy in Ovarian cancer. Women’s Health 2016, 12, 363–378. [Google Scholar] [CrossRef] [PubMed]
- Wernyj, R.P.; Morin, P.J. Molecular mechanisms of platinum resistance: Still searching for the Achilles’ heel. Drug Resist. Updat. 2004, 7, 227–232. [Google Scholar] [CrossRef] [PubMed]
- Tsibulak, I.; Zeimet, A.G.; Marth, C. Hopes and failures in front-line ovarian cancer therapy. Crit. Rev. Oncol. Hematol. 2019, 143, 14–19. [Google Scholar] [CrossRef] [PubMed]
- Sterzynska, K.; Klejewski, A.; Wojtowicz, K.; Świerczewska, M.; Nowacka, M.; Kaźmierczak, D.; Andrzejewska, M.; Rusek, D.; Brązert, M.; Brązert, J.; et al. Mutual expression of ALDH1A1, LOX and Collagens in ovarian cancer cell lines as combined CSCs and ECM-related models of drug resistance development. Int. J. Mol. Sci. 2018, 20, 54. [Google Scholar] [CrossRef] [PubMed]
- Sugihara, E.; Saya, H. Complexity of cancer stem cells. Int. J. Cancer. 2013, 6, 1249–1259. [Google Scholar] [CrossRef] [PubMed]
- Parte, S.C.; Batra, S.K.; Kakar, S.S. Characterization of stem cell and cancer stem cell populations in ovary and ovarian tumors. J. Ovarian Res. 2018, 11, 69. [Google Scholar] [CrossRef]
- Al-Alem, L.F.; Pandya, U.M.; Baker, A.T.; Bellio, C.; Zarrella, B.D.; Clark, J.; DiGloria, C.M.; Rueda, B.R. Ovarian cancer stem cells: What progress have we made? Int. J. Biochem. Cell. Biol. 2019, 107, 92–103. [Google Scholar] [CrossRef]
- Burgos-Ojeda, D.; Rueda, B.R.; Buckanovich, R.J. Ovarian cancer stem cell markers: Prognostic and therapeutic implications. Cancer Lett. 2012, 322, 1–7. [Google Scholar] [CrossRef]
- Clevers, H. The cancer stem cell: Premises, promises and challenges. Nat. Med. 2011, 17, 313–319. [Google Scholar] [CrossRef] [PubMed]
- Yang, W.; Kim, D.; Kim, D.K.; Choi, K.U.; Suh, D.S.; Kim, J.H. Therapeutic strategies for targeting ovarian cancer stem cells. Int. J. Mol. Sci. 2021, 22, 5059. [Google Scholar] [CrossRef]
- Alvero, A.B.; Chen, R.; Fu, H.H.; Montagna, M.; Schwartz, P.E.; Rutherford, T.; Silasi, D.A.; Steffensen, K.D.; Waldstrom, M.; Visintin, I.; et al. Molecular phenotyping of human ovarian cancer stem cells unravels the mechanisms for repair and chemoresistance. Cell Cycle 2009, 8, 158–166. [Google Scholar] [CrossRef] [PubMed]
- Zhang, S.; Balch, C.; Chan, M.W.; Lai, H.C.; Matei, D.; Schilder, J.M.; Yan, P.S.; Huang, T.H.M.; Nephew, K.P. Identification and characterization of ovarian cancer-initiating cells from primary human tumors. Cancer Res. 2008, 68, 4311–4320. [Google Scholar] [CrossRef] [PubMed]
- Lupia, M.; Cavallaro, U. Ovarian cancer stem cells: Still an elusive entity? Mol. Cancer 2017, 16, 64. [Google Scholar] [CrossRef] [PubMed]
- Suster, N.K.; Virant-Klun, I. Presence and role of stem cells in ovarian cancer. World J. Stem Cells 2019, 11, 383–397. [Google Scholar] [CrossRef]
- Iżycka, N.; Nowak-Markwitz, E.; Sterzyńska, K. Wybrane markery nowotworowych komórek macierzystych (CSC) w raku jajnika/Selected cancer stem cells (CSC’s) markers in ovarian cancer. Postępy Biologii Komórki 2020, 47, 353–364. [Google Scholar]
- Clark, D.W.; Palle, K. Aldehyde dehydrogenases in cancer stem cells: Potential as therapeutic targets. Ann. Trans. Med. 2016, 24, 518. [Google Scholar] [CrossRef]
- Sladek, N.E. Human aldehyde dehydrogenases: Potential pathological, pharmacological and toxicological impact. J. Biochem. Mol. Toxicol. 2003, 17, 7–23. [Google Scholar] [CrossRef]
- Wang, Y.; Shao, F.; Chen, L. ALDH1A2 suppresses epithelial ovarian cancer cell proliferation and migration by downregulating STAT3. OncoTargets Ther. 2018, 11, 599–608. [Google Scholar] [CrossRef]
- Wang, Y.C.; Yo, Y.T.; Lee, H.Y.; Liao, Y.P.; Chao, T.K.; Su, P.H.; Lai, H.C. ALDH1-bright epithelial ovarian cancer cells are associated with CD44 expression, drug resistance, and poor clinical outcome. Am. J. Pathol. 2012, 180, 1159–1169. [Google Scholar] [CrossRef] [PubMed]
- Januchowski, R.; Wojtowicz, K.; Sterzynska, K.; Sosinska, P.; Andrzejewska, M.; Zawierucha, P.; Nowicki, M.; Zabel, M. Inhibition of ALDH1A1 activity decreases expression of drug transporters and reduces chemotherapy resistance in ovarian cancer cell lines. Int. J. Biochem. Cell. Biol. 2016, 78, 248–259. [Google Scholar] [CrossRef] [PubMed]
- Januchowski, R.; Wojtowicz, K.; Zabel, M. The role of aldehyde dehydrogenase (ALDH) in cancer drug resistance. Biomed. Pharmacother. 2013, 67, 669–680. [Google Scholar] [CrossRef] [PubMed]
- Nowacka, M.; Ginter-Matuszewska, B.; Świerczewska, M.; Sterzyńska, K.; Nowicki, M.; Januchowski, R. Effect of ALDH1A1 Gene Knockout on Drug Resistance in Paclitaxel and Topotecan Resistant Human Ovarian Cancer Cell Lines in 2D and 3D Model. Int. J. Mol. Sci. 2022, 23, 3036. [Google Scholar] [CrossRef]
- Corbeil, D.; Roper, K.; Weigmann, A.; Huttner, W.B. AC133 hematopoietic stem cell antigen: Human homologue of mouse kidney prominin or distinct member of a novel protein family? Blood 1998, 7, 2625–2626. [Google Scholar] [CrossRef]
- Mizrak, D.; Brittan, M.; Alison, M.R. CD133: Molecule of the moment. J. Pathol. 2008, 214, 3–9. [Google Scholar] [CrossRef] [PubMed]
- Curley, M.D.; Therrien, V.A.; Cummings, C.L.; Sergent, P.A.; Koulouris, C.R.; Friel, A.M.; Roberts, D.J.; Seiden, M.V.; Scadden, D.T.; Rueda, B.R.; et al. CD133 expression defines a tumor initiating cell population in primary human ovarian cancer. Stem Cells 2009, 27, 2875–2883. [Google Scholar] [CrossRef]
- Skubitz, A.P.; Taras, E.P.; Boylan, K.L.; Waldron, N.N.; Oh, S.; Panoskaltsis-Mortari, A.; Vallera, D.A. Targeting CD133 in an in vivo ovarian cancer model reduces ovarian cancer progression. Gynecol. Oncol. 2013, 130, 579–587. [Google Scholar] [CrossRef]
- Zhang, J.; Guo, X.; Chang, D.Y.; Rosen, D.G.; Mercado-Uribe, I.; Liu, J. CD133 expression associated with poor prognosis in ovarian cancer. Mod. Pathol. 2012, 25, 456–464. [Google Scholar] [CrossRef]
- Meng, E.; Long, B.; Sullivan, P.; McClellan, S.; Finan, M.A.; Reed, E.; Shevde, L.; Rocconi, R.P. CD44+/CD24- ovarian cancer cells demonstrate cancer stem cell properties and correlate to survival. Clin. Exp. Metastasis 2012, 29, 939–948. [Google Scholar] [CrossRef]
- Zhang, J.; Chang, B.; Liu, J. CD44 standard form expression is correlated with high-grade and advanced-stage ovarian carcinoma but not prognosis. Hum. Pathol. 2013, 44, 1882–1889. [Google Scholar] [CrossRef] [PubMed]
- Liu, M.; Mor, G.; Cheng, H.; Xiang, X.; Hui, P.; Rutherford, T.; Yin, G.; Rimm, D.L.; Holmberg, J.; Alvero, A.; et al. High frequency of putative ovarian cancer stem cells with CD44/CK19 coexpression is associated with decreased progression-free intervals in patients with recurrent epithelial ovarian cancer. Reprod. Sci. 2013, 20, 605–615. [Google Scholar] [CrossRef] [PubMed]
- Bajaj, J.; Diaz, E.; Reya, T. Stem cells in cancer initiation and progression. J. Cell. Biol. 2020, 219, e201911053. [Google Scholar] [CrossRef] [PubMed]
- Królewska-Daszczyńska, P.; Wendlocha, D.; Smycz-Kubańska, M.; Stępień, S.; Mielczarek-Palacz, A. Cancer stem cells markers in ovarian cancer: Clinical and therapeutic significance (Review). Oncol. Lett. 2022, 24, 465. [Google Scholar] [CrossRef] [PubMed]
- Li, S.S.; Ma, J.; Wong, A.S.T. Chemoresistance in ovarian cancer: Exploiting cancer stem cell metabolism. J. Gynecol. Oncol. 2018, 29, e32. [Google Scholar] [CrossRef] [PubMed]
- Pokhriyal, R.; Hariprasad, R.; Kumar, L.; Hariprasad, G. Chemotherapy Resistance in advanced ovarian cancer patients. Biomark. Cancer 2019, 11, 1179299X19860815. [Google Scholar] [CrossRef]
- Zhou, Q.; Chen, A.; Song, H.; Tao, J.; Yang, H.; Zuo, M. Prognostic value of cancer stem cell marker CD133 in ovarian cancer: A meta-analysis. Int. J. Clin. Exp. Med. 2015, 8, 3080–3088. [Google Scholar] [CrossRef] [PubMed]
- Tao, Y.; Li, H.; Huang, R.; Mo, D.; Zeng, T.; Fang, M.; Li, M. Clinicopathological and prognostic significance of cancer stem cell markers in ovarian cancer patients: Evidence from 52 studies. Cell. Physiol. Biochem. 2018, 46, 1716–1726. [Google Scholar] [CrossRef]
- Ferrandina, G.; Martinelli, E.; Petrillo, M.; Prisco, M.G.; Zannoni, G.; Sioletic, S.; Scambia, G. CD133 antigen expression in ovarian cancer. BMC Cancer 2009, 9, 221. [Google Scholar] [CrossRef]
- Onisim, A.; Iancu, M.; Vlad, C.; Kubelac, P.; Fetica, B.; Fulop, A.; Achimas-Cadariu, A.; Achimas-Cadariu, P. Expression of Nestin and CD133 in serous ovarian carcinoma. J. BUON 2016, 21, 1168–1175. [Google Scholar] [CrossRef]
- Ween, M.P.; Oehler, M.K.; Ricciardelli, C. Role of versican, Hyaluronian and CD 44 in ovarian cancer metastasis. Int. J. Mol. Sci. 2011, 12, 1009–1029. [Google Scholar] [CrossRef] [PubMed]
- Sacks, J.D.; Barbolina, M.V. Expression and Function of CD 44 in Epithelial Ovarian carcinoma. Biomolecules 2015, 5, 3051–3066. [Google Scholar] [CrossRef] [PubMed]
- Zhou, D.X.; Liu, Y.X.; Xue, Y.H. Expression of CD44v6 and its association with prognosis in epithelial ovarian carcinomas. Pathol. Res. Int. 2012, 2012, 908206. [Google Scholar] [CrossRef]
- Gao, Y.; Foster, R.; Yang, X.; Feng, Y.; Shen, J.K.; Mankin, H.J.; Hornicek, F.J.; Amiji, M.M.; Duan, Z. Up-regulation of CD44 in the development of metastasis, recurrence and drug resistance of ovarian cancer. Oncotarget 2015, 6, 9313–9326. [Google Scholar] [CrossRef]
- Afify, A.M.; Ferguson, A.W.; Davila, R.M.; Werness, B.A. Expression of CD44s and CD44v5 is more common in stage III than in stage I serous ovarian carcinomas. Appl. Immunohistochem. Mol. Morphol. 2001, 9, 309–314. [Google Scholar] [CrossRef]
- Bartakova, A.; Michalova, K.; Presl, J.; Vlasak, P.; Kostun, J.; Bouda, J. CD44 as a cancer stem cell marker and its prognostic value in patients with ovarian carcinoma. J. Obstet. Gynaecol. 2018, 1, 110–114. [Google Scholar] [CrossRef]
- Rodriguez-Rodriguez, L.; Sancho-Torres, I.; Mesonero, C.; Gibbon, D.G.; Shih, W.J.; Zotalis, G. The CD44 receptor is a molecular predictor of survival in ovarian cancer. Med. Oncol. 2003, 20, 255–263. [Google Scholar] [CrossRef] [PubMed]
- Anttila, M.A.; Voutilainen, K.; Tammi, R.H.; Tammi, M.I.; Saarikoski, S.V.; Kosma, V.M. CD44 expression indicates favorable prognosis in epithelial ovarian cancer. Clin. Cancer Res. 2003, 9, 5318–5324. [Google Scholar]
- Deng, S.; Yang, X.; Lassus, H.; Liang, S.; Kaur, S.; Ye, Q.; Li, C.; Wang, L.P.; Roby, K.F.; Orsulic, S.; et al. Distinct expression levels and patterns of stem cell marker, aldehyde dehydrogenase isoform 1 (ALDH1), in human epithelial cancers. PLoS ONE 2010, 5, e10277. [Google Scholar] [CrossRef]
- Kuroda, T.; Hirohashi, Y.; Torigoe, T.; Yasuda, K.; Takahashi, A.; Asanuma, H.; Morita, R.; Mariya, T.; Asano, T.; Mizuuchi, M.; et al. ALDH1-high ovarian cancer stem-like cells can be isolated from serous and clear cell adenocarcinoma cells, and ALDH1 high expression is associated with poor prognosis. PLoS ONE 2013, 8, e65158. [Google Scholar] [CrossRef]
- Tomita, H.; Tanaka, K.; Tanaka, T.; Hara, A. Aldehyde dehydrogenase A1 in stem cells and cancer. Oncotarget 2016, 10, 11018–11032. [Google Scholar] [CrossRef] [PubMed]
- Steg, A.D.; Bevis, K.S.; Katre, A.A.; Ziebarth, A.; Alvarez, R.D.; Zhang, K.; Conner, M.; Landen, C.N. Stem cell pathways contribute to clinical chemoresistance in ovarian cancer. Clin. Cancer Res. 2012, 1, 869–881. [Google Scholar] [CrossRef] [PubMed]
- Uddin, M.H.; Kim, B.; Cho, U.; Azmi, A.S.; Song, Y.S. Association of ALDH1A1-NEK-2 axis in cisplatin resistance in ovarian cancer cells. Heliyon 2020, 6, e05442. [Google Scholar] [CrossRef] [PubMed]
- Kaipio, K.; Chen, P.; Roering, P.; Huhtinen, K.; Mikkonen, P.; Östling, P.; Lehtinen, L.; Mansuri, N.; Korpela, T.; Potdar, S.; et al. ALDH1A1-related stemness in high-grade serous ovarian cancer is a negative prognostic indicator but potentially targetable by EGFR/mTOR-PI3K/aurora kinase inhibitors. J. Pathol. 2020, 250, 159–169. [Google Scholar] [CrossRef]
- Chefetz, I.; Grimley, E.; Yang, K.; Hong, L.; Vinogradova, E.V.; Suciu, R.; Kovalenko, I.; Karnak, D.; Morgan, C.A.; Chtcherbinine, M.; et al. A Pan-ALDH1A Inhibitor Induces Necroptosis in Ovarian Cancer Stem-like Cells. Cell Rep. 2019, 26, 3061–3075.e6. [Google Scholar] [CrossRef]
- Wei, Y.; Li, Y.; Chen, Y.; Liu, P.; Huang, S.; Zhang, Y.; Sun, Y.; Wu, Z.; Hu, M.; Wu, Q.; et al. ALDH1: A potential therapeutic target for cancer stem cells in solid tumors. Front. Oncol. 2022, 28, 1026278. [Google Scholar] [CrossRef]
- NCCN Guidelines for Ovarian Cancer V.1.2022; NCCN: Plymouth Meeting, PA, USA, 2022.
- Querleu, D.; Planchamp, F.; Chiva, L.; Fotopoulou, C.; Barton, D.; Cibula, D.; Aletti, G.; Carinelli, S.; Creutzberg, C.; Davidson, B.; et al. European Society of Gynaecological Oncology (ESGO) Guidelines for Ovarian Cancer Surgery. Int. J. Gynecol. Cancer 2017, 27, 1534–1542. [Google Scholar] [CrossRef]
- Colombo, N.; Sessa, C.; du Bois, A.; Ledermann, J.; McCluggage, W.G.; McNeish, I.; Morice, P.; Pignata, S.; Ray-Coquard, I.; Vergote, I.; et al. ESMO-ESGO consensus conference recommendations on ovarian cancer: Pathology and molecular biology, early and advanced stages, borderline tumours and recurrent disease. Ann. Oncol. 2019, 30, 672–705. [Google Scholar] [CrossRef]



| Characteristics | Frequency |
|---|---|
| Age | |
| <65 | 66 (77%) |
| ≥65 | 20 (23%) |
| Residual tumor | |
| <1 | 32 (37%) |
| ≥1 | 54 (63%) |
| Grade | |
| G1 | 8 (9%) |
| G2 | 29 (34%) |
| G3 | 49 (57%) |
| FIGO | |
| I | 22 (26%) |
| II | 5 (6%) |
| III | 57 (66%) |
| IV | 2 (2%) |
| FIGO I–II | 26 (30%) |
| FIGO III–IV | 60 (70%) |
| Histological type | |
| serous | 69 (80%) |
| endometrioid | 7 (8%) |
| mucinous | 5 (6%) |
| clear cell | 5 (6%) |
| CA125 preoperative serum level | |
| <35 U/L | 7 (8%) |
| ≥35 U/L | 79 (92%) |
| PFS | |
| <6 | 15 (17%) |
| 6–12 | 11 (13%) |
| >12 | 60 (70%) |
| Response to treatment | |
| platinum-resistant | 16 (19%) |
| platinum-sensitive | 70 (81%) |
| Variable | N | ALDH1A1 Negative | ALDH1A1 Positive | p Value | CD44 Negative | CD44 Positive | p Value | CD133 Negative | CD133 Positive | p Value |
|---|---|---|---|---|---|---|---|---|---|---|
| Age < 65 | 66 | 47 (71%) | 19 (29%) | 0.41 | 43 (65%) | 23 (35%) | 0.590 | 46 (70%) | 20 (30%) | 0.570 |
| Age ≥ 65 | 20 | 12 (60%) | 8 (40%) | 15 (75%) | 5 (25%) | 16 (80%) | 4 (20%) | |||
| Residual tumor < 1 | 32 | 22 (69%) | 10 (31%) | 1.00 | 25 (78%) | 7 (22%) | 0.150 | 28 (88%) | 4 (12%) | 0.024 |
| Residual tumor ≥ 1 | 54 | 37 (69%) | 17 (31%) | 33 (61%) | 21 (39%) | 34 (63%) | 20 (37%) | |||
| G1 | 8 | 5 (62%) | 3 (38%) | 0.93 | 7 (88%) | 1 (12%) | 0.062 | 8 (100%) | 0 (0%) | 0.110 |
| G2 | 29 | 20 (69%) | 9 (31%) | 23 (79%) | 6 (21%) | 22 (76%) | 7 (24%) | |||
| G3 | 49 | 34 (69%) | 15 (31%) | 28 (57%) | 21 (43%) | 32 (65%) | 17 (35%) | |||
| FIGO I–II | 26 | 17 (65%) | 9 (35%) | 0.80 | 20 (77%) | 6 (23%) | 0.320 | 22 (85%) | 4 (15%) | 0.120 |
| FIGO III–IV | 60 | 42 (70%) | 18 (30%) | 38 (63%) | 22 (37%) | 40 (67%) | 20 (33%) | |||
| Ca125 < 35 U/L | 7 | 5 (71%) | 2 (29%) | 1.00 | 5 (71%) | 2 (29%) | 1.000 | 6 (86%) | 1 (14%) | 0.670 |
| Ca125 ≥ 35 U/L | 79 | 54 (68%) | 25 (32%) | 53 (67%) | 26 (33%) | 56 (71%) | 23 (29%) | |||
| PFS < 6 | 15 | 9 (60%) | 6 (40%) | 0.64 | 7 (47%) | 8 (53%) | 0.120 | 11 (73%) | 4 (27%) | 1.000 |
| PFS 6–12 | 11 | 7 (64%) | 4 (36%) | 7 (64%) | 4 (36%) | 8 (73%) | 3 (27%) | |||
| PFS ≥ 12 | 60 | 43 (72%) | 17 (28%) | 44 (73%) | 16 (27%) | 43 (72%) | 17 (28%) | |||
| Platinum-resistant | 16 | 9 (56%) | 7 (44%) | 0.25 | 8 (50%) | 8 (50%) | 0.140 | 12 (75%) | 4 (25%) | 1.000 |
| Platinum-sensitive | 70 | 50 (71%) | 20 (29%) | 50 (71%) | 20 (29%) | 50 (71%) | 20 (29%) |
| Overall Survival (OS) | ||
|---|---|---|
| HR (95% CI for HR) | p Value | |
| ALDH1A1 (positive) | 3.1 (1.6–6) | 0.0007 * |
| CD44 (positive) | 1 (0.5–2.1) | 0.9852 |
| CD133 (positive) | 0.7 (0.3–1.4) | 0.2952 |
| FIGO III–IV | 2.6 (1–6.5) | 0.0419 * |
| Grade | 1.7 (1–2.8) | 0.0628 |
| Suboptimal debulking or neoadjuvant chemotherapy | 2.7 (1.2–6.1) | 0.0206 * |
Disclaimer/Publisher’s Note: The statements, opinions and data contained in all publications are solely those of the individual author(s) and contributor(s) and not of MDPI and/or the editor(s). MDPI and/or the editor(s) disclaim responsibility for any injury to people or property resulting from any ideas, methods, instructions or products referred to in the content. |
© 2023 by the authors. Licensee MDPI, Basel, Switzerland. This article is an open access article distributed under the terms and conditions of the Creative Commons Attribution (CC BY) license (https://creativecommons.org/licenses/by/4.0/).
Share and Cite
Izycka, N.; Rucinski, M.; Andrzejewska, M.; Szubert, S.; Nowak-Markwitz, E.; Sterzynska, K. The Prognostic Value of Cancer Stem Cell Markers (CSCs) Expression—ALDH1A1, CD133, CD44—For Survival and Long-Term Follow-Up of Ovarian Cancer Patients. Int. J. Mol. Sci. 2023, 24, 2400. https://doi.org/10.3390/ijms24032400
Izycka N, Rucinski M, Andrzejewska M, Szubert S, Nowak-Markwitz E, Sterzynska K. The Prognostic Value of Cancer Stem Cell Markers (CSCs) Expression—ALDH1A1, CD133, CD44—For Survival and Long-Term Follow-Up of Ovarian Cancer Patients. International Journal of Molecular Sciences. 2023; 24(3):2400. https://doi.org/10.3390/ijms24032400
Chicago/Turabian StyleIzycka, Natalia, Marcin Rucinski, Malgorzata Andrzejewska, Sebastian Szubert, Ewa Nowak-Markwitz, and Karolina Sterzynska. 2023. "The Prognostic Value of Cancer Stem Cell Markers (CSCs) Expression—ALDH1A1, CD133, CD44—For Survival and Long-Term Follow-Up of Ovarian Cancer Patients" International Journal of Molecular Sciences 24, no. 3: 2400. https://doi.org/10.3390/ijms24032400
APA StyleIzycka, N., Rucinski, M., Andrzejewska, M., Szubert, S., Nowak-Markwitz, E., & Sterzynska, K. (2023). The Prognostic Value of Cancer Stem Cell Markers (CSCs) Expression—ALDH1A1, CD133, CD44—For Survival and Long-Term Follow-Up of Ovarian Cancer Patients. International Journal of Molecular Sciences, 24(3), 2400. https://doi.org/10.3390/ijms24032400

