In Vitro Analysis of SARS-CoV-2 Spike Protein and Ivermectin Interaction
Abstract
:1. Introduction
2. Results
2.1. Equilibrium Dialysis Assays by UV–Vis
2.1.1. Linearity of the Method
2.1.2. Protein–Ligand Binding
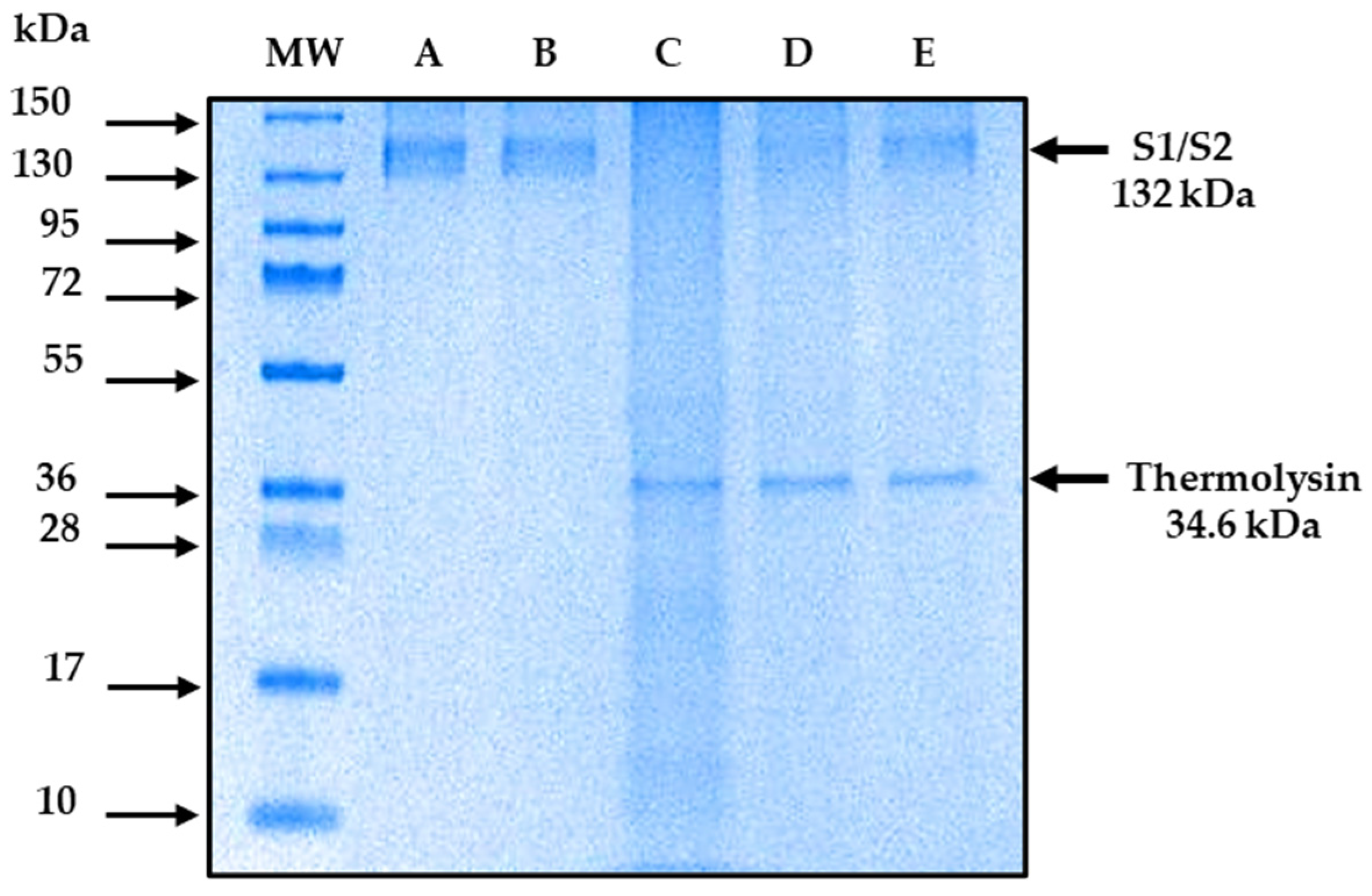
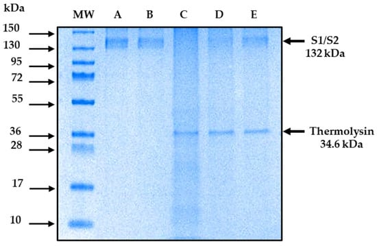
2.2. Detection of S1/S2 Protein and Ivermectin Interaction by the DARTS Method
3. Discussion
4. Materials and Methods
4.1. Protein–Ligand Interaction
4.1.1. Spike Protein
4.1.2. Drug and Reagents
4.2. Equilibrium Dialysis Technique
Determination of Dissociation and Association Constants
4.3. DARTS Technique with S1/S2 Protein and Ivermectin
5. Conclusions
Supplementary Materials
Author Contributions
Funding
Institutional Review Board Statement
Informed Consent Statement
Data Availability Statement
Acknowledgments
Conflicts of Interest
References
- Wang, M.Y.; Zhao, R.; Gao, L.J.; Gao, X.F.; Wang, D.P.; Cao, J.M. SARS-CoV-2: Structure, Biology, and Structure-Based Therapeutics Development. Front. Cell Infect. Microbiol. 2020, 10, 587269. [Google Scholar] [CrossRef] [PubMed]
- Polak, S.B.; Van Gool, I.C.; Cohen, D.; von der Thusen, J.H.; van Paassen, J. A systematic review of pathological findings in COVID-19: A pathophysiological timeline and possible mechanisms of disease progression. Mod. Pathol. 2020, 33, 2128–2138. [Google Scholar] [CrossRef] [PubMed]
- Raman, R.; Patel, K.J.; Ranjan, K. COVID-19: Unmasking Emerging SARS-CoV-2 Variants, Vaccines and Therapeutic Strategies. Biomolecules 2021, 11, 993. [Google Scholar] [CrossRef]
- Malone, B.; Urakova, N.; Snijder, E.J.; Campbell, E.A. Structures and functions of coronavirus replication-transcription complexes and their relevance for SARS-CoV-2 drug design. Nat. Rev. Mol. Cell Biol. 2022, 23, 21–39. [Google Scholar] [CrossRef]
- Jamalipour Soufi, G.; Iravani, S. Potential inhibitors of SARS-CoV-2: Recent advances. J. Drug Target. 2021, 29, 349–364. [Google Scholar] [CrossRef] [PubMed]
- Asselah, T.; Durantel, D.; Pasmant, E.; Lau, G.; Schinazi, R.F. COVID-19: Discovery, diagnostics and drug development. J. Hepatol. 2021, 74, 168–184. [Google Scholar] [CrossRef]
- Kim, S. COVID-19 Drug Development. J. Microbiol. Biotechnol. 2022, 32, 1–5. [Google Scholar] [CrossRef]
- Gordon, C.J.; Tchesnokov, E.P.; Woolner, E.; Perry, J.K.; Feng, J.Y.; Porter, D.P.; Gotte, M. Remdesivir is a direct-acting antiviral that inhibits RNA-dependent RNA polymerase from severe acute respiratory syndrome coronavirus 2 with high potency. J. Biol. Chem. 2020, 295, 6785–6797. [Google Scholar] [CrossRef]
- Agostini, M.L.; Andres, E.L.; Sims, A.C.; Graham, R.L.; Sheahan, T.P.; Lu, X.; Smith, E.C.; Case, J.B.; Feng, J.Y.; Jordan, R.; et al. Coronavirus Susceptibility to the Antiviral Remdesivir (GS-5734) Is Mediated by the Viral Polymerase and the Proofreading Exoribonuclease. mBio 2018, 9, 00221-18. [Google Scholar] [CrossRef]
- GILEAD. European Commission Expands Indication for Veklury (Remdesivir) for the Treatment of Adults Not on Supplemental Oxygen and Considered High Risk for COVID-19 Disease Progression; GILEAD: Foster City, CA, USA, 2021. [Google Scholar]
- Sheppard, M.; Laskou, F.; Stapleton, P.P.; Hadavi, S.; Dasgupta, B. Tocilizumab (Actemra). Hum. Vaccin. Immunother. 2017, 13, 1972–1988. [Google Scholar] [CrossRef]
- Food and Drug Administration. Actualización Sobre El Coronavirus (COVID-19): La FDA Autoriza Un Medicamento Para el Tratamiento del COVID-19. Available online: https://www.fda.gov/news-events/press-announcements/actualizacion-sobre-el-coronavirus-covid-19-la-fda-autoriza-un-medicamento-para-el-tratamiento-del (accessed on 21 August 2022).
- Pfizer. Pfizer’s Novel COVID-19 Oral Antiviral Treatment Candidate Reduced Risk of Hospitalization or Death by 89% in Interim Analysis of Phase 2/3 EPIC-HR Study. Available online: https://www.pfizer.com/news/press-release/press-release-detail/pfizers-novel-covid-19-oral-antiviral-treatment-candidate (accessed on 23 May 2022).
- Reina, J.; Iglesias, C. Nirmatrelvir plus ritonavir (Paxlovid) a potent SARS-CoV-2 3CLpro protease inhibitor combination. Rev. Esp. Quim. 2022, 35, 236–240. [Google Scholar] [CrossRef] [PubMed]
- FDA. Fact Sheet for Healthcare Providers: Emergency Use Authorization for Paxlovid. Available online: https://www.covid19oralrx.com/files/PP-PAX-USA-0007-EUA-Full-Prescribing-Info-HCP-Fact-Sheet-COVID-19-Oral-Antiviral-Combined.pdf (accessed on 3 February 2022).
- Food and Drug Administration. Autorización de Uso de Emergencia de Paxlovid Para la Enfermedad por Coronavirus 2019 (COVID-19). Available online: https://www.fda.gov/media/155075/download (accessed on 15 May 2022).
- Malone, B.; Campbell, E.A. Molnupiravir: Coding for catastrophe. Nat. Struct. Mol. Biol. 2021, 28, 706–708. [Google Scholar] [CrossRef] [PubMed]
- FDA. Actualización Sobre El Coronavirus (COVID-19): La FDA Autoriza un Antiviral Oral Adicional Para El Tratamiento Contra el COVID-19 en Ciertos Adultos. Available online: https://www.fda.gov/news-events/press-announcements/actualizacion-sobre-el-coronavirus-covid-19-la-fda-autoriza-un-antiviral-oral-adicional-para-el (accessed on 21 February 2022).
- MERCK. Merck and Ridgeback’s Investigational Oral Antiviral Molnupiravir Reduced the Risk of Hospitalization or Death by Approximately 50 Percent Compared to Placebo for Patients with Mild or Moderate COVID-19 in Positive Interim Analysis of Phase 3 Study. Available online: https://www.merck.com/news/merck-and-ridgebacks-investigational-oral-antiviral-molnupiravir-reduced-the-risk-of-hospitalization-or-death-by-approximately-50-percent-compared-to-placebo-for-patients-with-mild-or-moderat/ (accessed on 11 February 2022).
- Cevik, M.; Grubaugh, N.D.; Iwasaki, A.; Openshaw, P. COVID-19 vaccines: Keeping pace with SARS-CoV-2 variants. Cell 2021, 184, 5077–5081. [Google Scholar] [CrossRef] [PubMed]
- Tregoning, J.S.; Flight, K.E.; Higham, S.L.; Wang, Z.; Pierce, B.F. Progress of the COVID-19 vaccine effort: Viruses, vaccines and variants versus efficacy, effectiveness and escape. Nat. Rev. Immunol. 2021, 21, 626–636. [Google Scholar] [CrossRef]
- Saravolatz, L.D.; Depcinski, S.; Sharma, M. Molnupiravir and Nirmatrelvir-Ritonavir: Oral Coronavirus Disease 2019 Antiviral Drugs. Clin. Infect. Dis. 2023, 76, 165–171. [Google Scholar] [CrossRef]
- Niraj, N.; Mahajan, S.S.; Prakash, A.; Sarma, P.; Medhi, B. Paxlovid: A promising drug for the challenging treatment of SARS-COV-2 in the pandemic era. Indian J. Pharmacol. 2022, 54, 452–458. [Google Scholar]
- Mali, K.R.; Eerike, M.; Raj, G.M.; Bisoi, D.; Priyadarshini, R.; Ravi, G.; Chaliserry, L.F.; Janti, S.S. Efficacy and safety of Molnupiravir in COVID-19 patients: A systematic review. Ir. J. Med. Sci. 2023, 192, 1665–1678. [Google Scholar] [CrossRef]
- Kong, K.; Chang, Y.; Qiao, H.; Zhao, C.; Chen, X.; Rong, K.; Zhang, P.; Jin, M.; Zhang, J.; Li, H.; et al. Paxlovid accelerates cartilage degeneration and senescence through activating endoplasmic reticulum stress and interfering redox homeostasis. J. Transl. Med. 2022, 20, 549. [Google Scholar] [CrossRef]
- Zhou, L.; Wang, J.; Liu, G.; Lu, Q.; Dong, R.; Tian, G.; Yang, J.; Peng, L. Probing antiviral drugs against SARS-CoV-2 through virus-drug association prediction based on the KATZ method. Genomics 2020, 112, 4427–4434. [Google Scholar] [CrossRef]
- Deshpande, R.R.; Tiwari, A.P.; Nyayanit, N.; Modak, M. In silico molecular docking analysis for repurposing therapeutics against multiple proteins from SARS-CoV-2. Eur. J. Pharmacol. 2020, 886, 173430. [Google Scholar] [CrossRef]
- Ramirez-Salinas, G.L.; Martinez-Archundia, M.; Correa-Basurto, J.; Garcia-Machorro, J. Repositioning of Ligands That Target the Spike Glycoprotein as Potential Drugs for SARS-CoV-2 in an In Silico Study. Molecules 2020, 25, 5615. [Google Scholar] [CrossRef] [PubMed]
- Moctezuma, I.V. La glucoproteína spike. Rev. Mex. Mastol. 2021, 11, 18–21. [Google Scholar]
- Tang, T.; Bidon, M.; Jaimes, J.A.; Whittaker, G.R.; Daniel, S. Coronavirus membrane fusion mechanism offers a potential target for antiviral development. Antivir. Res. 2020, 178, 104792. [Google Scholar] [CrossRef]
- Huang, Y.; Yang, C.; Xu, X.F.; Xu, W.; Liu, S.W. Structural and functional properties of SARS-CoV-2 spike protein: Potential antivirus drug development for COVID-19. Acta Pharmacol. Sin. 2020, 41, 1141–1149. [Google Scholar] [CrossRef] [PubMed]
- Choudhury, A.; Das, N.C.; Patra, R.; Bhattacharya, M.; Ghosh, P.; Patra, B.C.; Mukherjee, S. Exploring the binding efficacy of ivermectin against the key proteins of SARS-CoV-2 pathogenesis: An in silico approach. Future Virol. 2021, 16, 277–291. [Google Scholar] [CrossRef]
- Lehrer, S.; Rheinstein, P.H. Ivermectin Docks to the SARS-CoV-2 Spike Receptor-binding Domain Attached to ACE2. In Vivo 2020, 34, 3023–3026. [Google Scholar] [CrossRef]
- Sanchezruiz, W.L.; Nuzum, D.S.; Kouzi, S.A. Oral ivermectin for the treatment of head lice infestation. Am. J. Health-Syst. Pharm. 2018, 75, 937–943. [Google Scholar] [CrossRef]
- Conterno, L.O.; Turchi, M.D.; Corrêa, I. Monteiro de Barros Almeida, R.A. Anthelmintic drugs for treating ascariasis. Cochrane Database Syst. Rev. 2020, 4, CD010599. [Google Scholar] [CrossRef]
- Wen, L.-Y.; Yan, X.-L.; Sun, F.-H.; Fang, Y.-Y.; Yang, M.-J.; Lou, L.-J. A randomized, double-blind, multicenter clinical trial on the efficacy of ivermectin against intestinal nematode infections in China. Acta Trop. 2008, 106, 190–194. [Google Scholar] [CrossRef]
- Gonzalez, P.; Gonzalez, A.F.; Ueno, K. Ivermectin in Human Medicine, An Overview of the Current Status of Its Clinical Applications. Curr. Pharm. Biotechnol. 2012, 13, 1103–1109. [Google Scholar] [CrossRef]
- Mathachan, S.R.; Sardana, K.; Khurana, A. Current Use of Ivermectin in Dermatology, Tropical Medicine, and COVID-19: An Update on Pharmacology, Uses, Proven and Varied Proposed Mechanistic Action. Indian Dermatol. Online J. 2021, 12, 500–514. [Google Scholar] [PubMed]
- Jans, D.A.; Wagstaff, K.M. The broad spectrum host-directed agent ivermectin as an antiviral for SARS-CoV-2? Biochem. Biophys. Res. Commun. 2021, 538, 163–172. [Google Scholar] [CrossRef] [PubMed]
- Heidary, F.; Gharebaghi, R. Ivermectin: A systematic review from antiviral effects to COVID-19 complementary regimen. J. Antibiot. 2020, 73, 593–602. [Google Scholar] [CrossRef] [PubMed]
- Azam, F.; Taban, I.M.; Eid, E.E.M.; Iqbal, M.; Alam, O.; Khan, S.; Mahmood, D.; Anwar, M.J.; Khalilullah, H.; Khan, M.U. An in-silico analysis of ivermectin interaction with potential SARS-CoV-2 targets and host nuclear importin alpha. J. Biomol. Struct. Dyn. 2022, 40, 2851–2864. [Google Scholar] [CrossRef]
- República Del Perú Ministerio de Salud. Resolución Ministerial; Ministerio de Salud: Lima, Peru, 2020. Available online: https://cdn.www.gob.pe/uploads/document/file/694719/RM_270-2020-MINSA.PDF?v=1588984025 (accessed on 3 February 2022).
- Estado Plurinacional de Bolivia Ministerio de Salud y Deportes. Minesterio de Salud Autoriza uso de Ivermectina Contra el COVID-19 Bajo Protocolo: La Paz, Bolivia, 2020. Available online: https://www.minsalud.gob.bo/4157-ministerio-de-salud-autoriza-uso-de-ivermectina-contra-el-covid-19-bajo-protocolo (accessed on 20 July 2023).
- ClinicalTrials.gov. Ivermectin for Severe COVID-19 Management. Available online: https://clinicaltrials.gov/ct2/show/results/NCT04646109?recrs=eh&rslt=With&cond=Covid-19+and+ivermectin&draw=2.&view=results (accessed on 10 February 2022).
- ClinicalTrials.gov. Clinical Trial of Ivermectin Plus Doxycycline for the Treatment of Confirmed Covid-19 Infection. Available online: https://clinicaltrials.gov/ct2/show/results/NCT04523831?recrs=eh&rslt=With&cond=Covid&view=results (accessed on 15 May 2022).
- Chaccour, C.; Casellas, A.; Blanco-Di Matteo, A.; Pineda, I.; Fernandez-Montero, A.; Ruiz-Castillo, P.; Richardson, M.A.; Rodriguez-Mateos, M.; Jordan-Iborra, C.; Brew, J.; et al. The effect of early treatment with ivermectin on viral load, symptoms and humoral response in patients with non-severe COVID-19: A pilot, double-blind, placebo-controlled, randomized clinical trial. EClinicalMedicine 2021, 32, 100720. [Google Scholar] [CrossRef]
- ClinicalTrials.gov. Sars-CoV-2/COVID-19 Ivermectin Navarra-ISGlobal Trial (SAINT). Available online: https://clinicaltrials.gov/ct2/show/results/NCT04390022?recrs=eh&rslt=With&cond=COVID-19+and+ivermectin&draw=2&rank=4&view=results (accessed on 21 January 2022).
- World Health Organization. Statement on the Fifteenth Meeting of the IHR (2005) Emergency Committee on the COVID-19 Pandemic. Available online: https://www.who.int/news/item/05-05-2023-statement-on-the-fifteenth-meeting-of-the-international-health-regulations-(2005)-emergency-committee-regarding-the-coronavirus-disease-(covid-19)-pandemic (accessed on 13 August 2023).
- Vuignier, K.; Schappler, J.; Veuthey, J.L.; Carrupt, P.A.; Martel, S. Drug-protein binding: A critical review of analytical tools. Anal. Bioanal. Chem. 2010, 398, 53–66. [Google Scholar] [CrossRef]
- Lomenick, B.; Olsen, R.W.; Huang, J. Identification of direct protein targets of small molecules. ACS Chem. Biol. 2011, 6, 34–46. [Google Scholar] [CrossRef]
- World Health Organization. WHO Coronavirus (COVID-19) Dashboard. Available online: https://covid19.who.int/ (accessed on 20 July 2023).
- CONACYT-CentroGeo-GeoInt-DataLab. COVID-19 Tablero México-CONACYT-CentroGeo-GeoInt-DataLab. Available online: https://datos.covid-19.conacyt.mx/ (accessed on 15 August 2023).
- Awad, H.; Hassan, B.; Dweek, S.; Aboelata, Y.; Rawas-Qalaji, M.; Ahmed, I.S. Repurposing Potential of the Antiparasitic Agent Ivermectin for the Treatment and/or Prophylaxis of COVID-19. Pharmaceuticals 2022, 15, 1068. [Google Scholar] [CrossRef]
- ClinicalTrials.gov. Efficacy, Safety and Tolerability of Ivermectin in Subjects Infected with SARS-CoV-2 with or without Symptoms (SILVERBULLET). 2021 May. Available online: https://clinicaltrials.gov/ct2/show/results/NCT04407507?recrs=eh&rslt=With&cond=Covid-19+and+ivermectin&draw=2 (accessed on 12 December 2022).
- Sanderson, T.; Hisner, R.; Donovan-Banfield, I.; Hartman, H.; Lochen, A.; Peacock, T.P.; Ruis, C. A molnupiravir-associated mutational signature in global SARS-CoV-2 genomes. Nature 2023, 25, 1–19. [Google Scholar] [CrossRef]
- Bell, E. Ligand Binding Module; Cures, M.D.C., Ed.; CourseSource; University of San Diego: San Diego, CA, USA, 2021; pp. 1–30. [Google Scholar]
- Correa-Basurto, A.M.; Romero-Castro, A.; Correa-Basurto, J.; Hernandez-Rodriguez, M.; Soriano-Ursua, M.A.; Garcia-Machorro, J.; Tolentino-Lopez, L.E.; Rosales-Hernandez, M.C.; Mendieta-Wejebe, J.E. Pharmacokinetics and tissue distribution of N-(2-hydroxyphenyl)-2-propylpentanamide in Wistar Rats and its binding properties to human serum albumin. J. Pharm. Biomed. Anal. 2019, 162, 130–139. [Google Scholar] [CrossRef]
- Luis, J.; García, L.J.M. Unión a proteínas plasmáticas de la DL-3-hidroxi-3-etil-3-fenil-propionamida (HEPP). Un nuevo anticonvulsivante. J. Mex. Chem. Soc. 1999, 43, 39–42. [Google Scholar]
- Nafisi, S.; Vishkaee, T.S. Study on the interaction of tamiflu and oseltamivir carboxylate with human serum albumin. J. Photochem. Photobiol. B 2011, 105, 34–39. [Google Scholar] [CrossRef] [PubMed]
- Lomenick, B.; Jung, G.; Wohlschlegel, J.A.; Huang, J. Target identification using drug affinity responsive target stability (DARTS). Curr. Protoc. Chem. Biol. 2011, 3, 163–180. [Google Scholar] [CrossRef] [PubMed]
- Lomenick, B.; Hao, R.; Jonai, N.; Chin, R.M.; Aghajan, M.; Warburton, S.; Wang, J.; Wu, R.P.; Gomez, F.; Loo, J.A.; et al. Target identification using drug affinity responsive target stability (DARTS). Proc. Natl. Acad. Sci. USA 2009, 106, 21984–21989. [Google Scholar] [CrossRef] [PubMed]




| Drug | Mechanism of Action | Route of Administration | Recommendations | References |
|---|---|---|---|---|
| Remdesivir | Inhibition of RNA polymerase, blocking viral replication | I.V. | For hospital use For adult and pediatric patients older than 12 years and weighing > 40 kg | [8,9,10] |
| Tocilizumab | Recombinant humanized monoclonal IgG1 anti-IL6 receptor antibody | I.V. | For hospital use For adult and pediatric patients 2 years and older under treatment with systemic corticosteroids and supplemental oxygen | [11,12] |
| Nirmatrelvir/ritonavir | Nirmatrelvir: Inhibits * 3CLpro of SARS-CoV-2 Ritonavir: ** CYP3A inhibitor | V.O. | For use in patients with mild to moderate COVID-19, in adults and pediatric patients over 12 years of age and weighing > 40 kg and testing positive for SARS-CoV-2 | [13,14,15,16] |
| Molnupiravir | Introduces errors in the genetic code of SARS-CoV-2, preventing its replication | V.O. | For adult patients testing positive for SARS-CoV-2 and at risk of developing severe COVID-19 | [17,18,19] |
| Reciprocal Absorbance Ligand Bound 1/(A − A0) | Reciprocal 1 Ligand Bound (µM) 1/(Bound) | Reciprocal 1 Ligand Unbound (µM) 1/(Unbound) |
|---|---|---|
| 1.3882 | 0.0166 | 0.0988 |
| 1.8891 | 0.0222 | 0.0525 |
| 2.2438 | 0.0260 | 0.1048 |
| 3.0150 | 0.0338 | 0.4108 |
| 6.8493 | 0.0662 | 1.0910 |
| 12.8755 | 0.1025 | 4.0526 |
Disclaimer/Publisher’s Note: The statements, opinions and data contained in all publications are solely those of the individual author(s) and contributor(s) and not of MDPI and/or the editor(s). MDPI and/or the editor(s) disclaim responsibility for any injury to people or property resulting from any ideas, methods, instructions or products referred to in the content. |
© 2023 by the authors. Licensee MDPI, Basel, Switzerland. This article is an open access article distributed under the terms and conditions of the Creative Commons Attribution (CC BY) license (https://creativecommons.org/licenses/by/4.0/).
Share and Cite
García-Aguilar, A.; Campi-Caballero, R.; Visoso-Carvajal, G.; García-Sánchez, J.R.; Correa-Basurto, J.; García-Machorro, J.; Espinosa-Raya, J. In Vitro Analysis of SARS-CoV-2 Spike Protein and Ivermectin Interaction. Int. J. Mol. Sci. 2023, 24, 16392. https://doi.org/10.3390/ijms242216392
García-Aguilar A, Campi-Caballero R, Visoso-Carvajal G, García-Sánchez JR, Correa-Basurto J, García-Machorro J, Espinosa-Raya J. In Vitro Analysis of SARS-CoV-2 Spike Protein and Ivermectin Interaction. International Journal of Molecular Sciences. 2023; 24(22):16392. https://doi.org/10.3390/ijms242216392
Chicago/Turabian StyleGarcía-Aguilar, Alejandra, Rebeca Campi-Caballero, Giovani Visoso-Carvajal, José Rubén García-Sánchez, José Correa-Basurto, Jazmín García-Machorro, and Judith Espinosa-Raya. 2023. "In Vitro Analysis of SARS-CoV-2 Spike Protein and Ivermectin Interaction" International Journal of Molecular Sciences 24, no. 22: 16392. https://doi.org/10.3390/ijms242216392
APA StyleGarcía-Aguilar, A., Campi-Caballero, R., Visoso-Carvajal, G., García-Sánchez, J. R., Correa-Basurto, J., García-Machorro, J., & Espinosa-Raya, J. (2023). In Vitro Analysis of SARS-CoV-2 Spike Protein and Ivermectin Interaction. International Journal of Molecular Sciences, 24(22), 16392. https://doi.org/10.3390/ijms242216392

