mRNA and Protein Expression in Human Fetal Membrane Cells: Potential Biomarkers for Preterm Prelabor Rupture of the Fetal Membranes?
Abstract
1. Introduction
2. Results
2.1. Fetal Membrane mRNA Expression
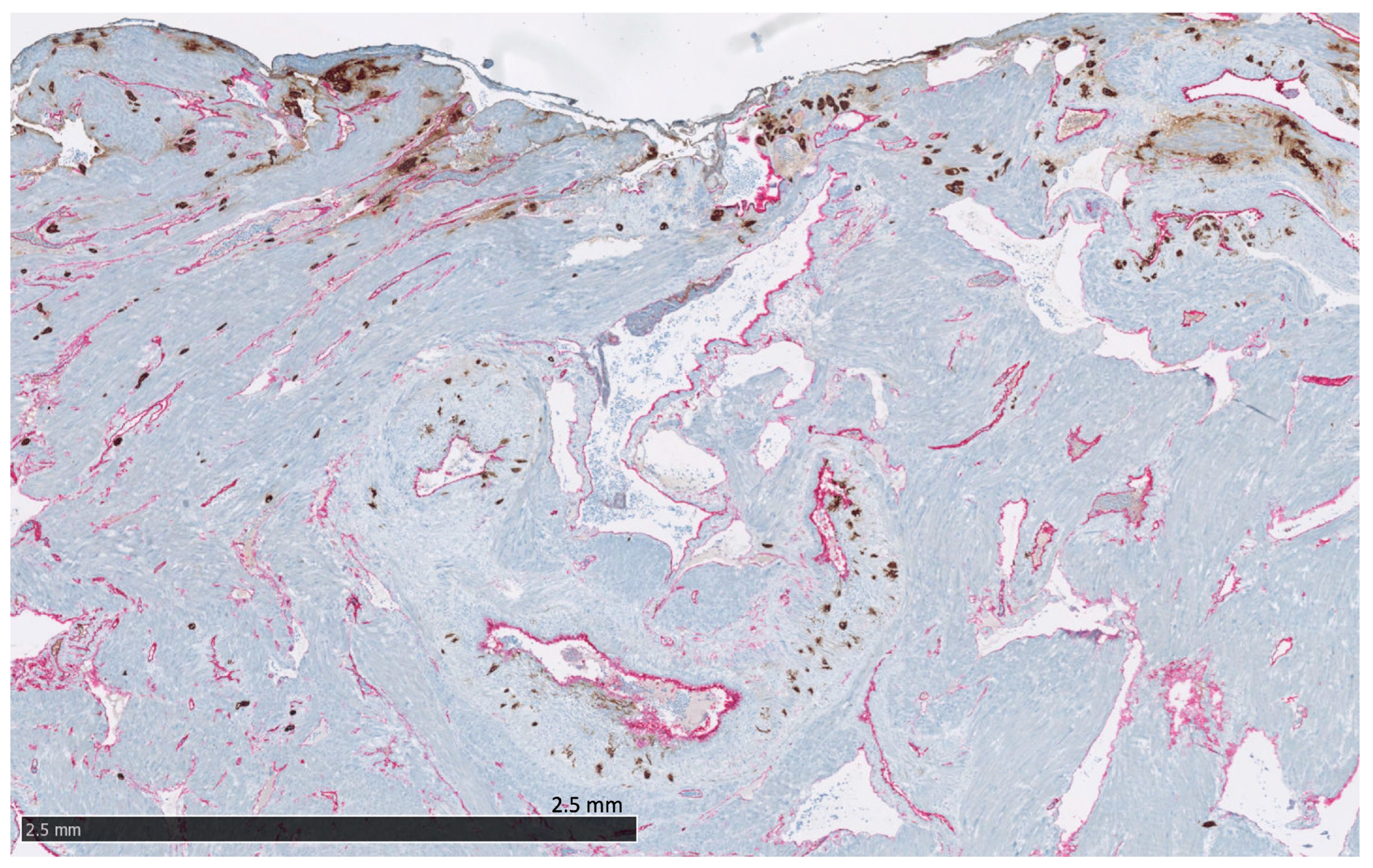
2.2. Protein Localization
- Amnion epithelial cells (AEC): Significant expression of AHNAK2, CK5, CK7, CK17, CNR1, DPYSL3, EMP1, FERMT2, FLT1, GPX8, MUC16, PRLR, PVRL4, RXFP1, UCHL1, UPK1B, and VIM.
- Amnion mesenchymal stromal cells (AMSC): Significant expression of AHNAK2, DPYSL3, EMP1, FLT1, GPX8, PRLR, RXFP1, UCHL1, and VIM.
- Chorion mesenchymal stromal cells (CMSC): Significant expression of AHNAK2, DPYSL3, EMP1, FLT1, GPX8, PDLIM4, PRLR, THY1, UCHL1, and VIM.
- Chorion trophoblast cells (CTC): Significant expression of CK7, CNR1, FLT1, GPX8, PRTG, PVRL4, UCHL1, and UPK1B.
- Decidual stromal cells (DSC): Significant expression of AHNAK2, DPYSL3, FERMT2, FLT1, GPX8, PDLIM4, PRTG, THY1, UCHL1, and VIM.
- Villous trophoblasts (VT), primarily the syncytiotrophoblast (Figure 4): Significant expression of CK7, CNR1, FERMT2, FLT1, PRTG, PVRL4, RXFP1, and UCHL1.
3. Discussion
4. Materials and Methods
4.1. RNA Sequencing
4.2. Immunohistochemistry
5. Patents
Supplementary Materials
Author Contributions
Funding
Institutional Review Board Statement
Informed Consent Statement
Data Availability Statement
Acknowledgments
Conflicts of Interest
References
- Chawanpaiboon, S.; Vogel, J.P.; Moller, A.-B.; Lumbiganon, P.; Petzold, M.; Hogan, D.; Landoulsi, S.; Jampathong, N.; Kongwattanakul, K.; Laopaiboon, M.; et al. Global, regional, and national estimates of levels of preterm birth in 2014: A systematic review and modelling analysis. Lancet Glob. Health 2019, 7, e37–e46. [Google Scholar] [CrossRef]
- Ohuma, E.O.; Moller, A.-B.; Bradley, E.; Chakwera, S.; Hussain-Alkhateeb, L.; Lewin, A.; Okwaraji, Y.B.; Mahanani, W.R.; Johansson, E.W.; Lavin, T.; et al. National, regional, and global estimates of preterm birth in 2020, with trends from 2010: A systematic analysis. Lancet 2023, 402, 1261–1271. [Google Scholar] [CrossRef]
- Perin, J.; Mulick, A.; Yeung, D.; Villavicencio, F.; Lopez, G.; Strong, K.L.; Prieto-Merino, D.; Cousens, S.; Black, R.E.; Liu, L. Global, regional, and national causes of under-5 mortality in 2000–2019: An updated systematic analysis with implications for the Sustainable Development Goals. Lancet Child Adolesc Health 2022, 6, 106–115. [Google Scholar] [CrossRef] [PubMed]
- Born too Soon: Decade of Action on Preterm Birth; World Health Organization: Geneva, Switzerland. 2023. Licence: CC BY-NC-SA 3.0 IGO. Available online: https://creativecommons.org/licenses/by-nc-sa/3.0/igo/ (accessed on 25 October 2023).
- Goldenberg, R.L.; Culhane, J.F.; Iams, J.D.; Romero, R. Epidemiology and causes of preterm birth. Lancet 2008, 371, 75–84. [Google Scholar] [CrossRef] [PubMed]
- Ghafoor, S. Current and Emerging Strategies for Prediction and Diagnosis of Prelabour Rupture of the Membranes: A Narrative Review. Malays. J. Med. Sci. 2021, 28, 5–17. [Google Scholar] [CrossRef] [PubMed]
- Lamont, R.F.; Richardson, L.S.; Boniface, J.J.; Cobo, T.; Exner, M.M.; Christensen, I.B.; Forslund, S.K.; Gaba, A.; Helmer, H.; Jørgensen, J.S.; et al. Commentary on a combined approach to the problem of developing biomarkers for the prediction of spontaneous preterm labor that leads to preterm birth. Placenta 2020, 98, 13–23. [Google Scholar] [CrossRef] [PubMed]
- Menon, R.; Boldogh, I.; Hawkins, H.K.; Woodson, M.; Polettini, J.; Syed, T.A.; Fortunato, S.J.; Saade, G.R.; Papaconstantinou, J.; Taylor, R.N. Histological evidence of oxidative stress and premature senescence in preterm premature rupture of the human fetal membranes recapitulated in vitro. Am. J. Pathol. 2014, 184, 1740–1751. [Google Scholar] [CrossRef] [PubMed]
- Dutta, E.H.; Behnia, F.; Boldogh, I.; Saade, G.R.; Taylor, B.D.; Kacerovský, M.; Menon, R. Oxidative stress damage-associated molecular signaling pathways differentiate spontaneous preterm birth and preterm premature rupture of the membranes. Mol. Hum. Reprod. 2016, 22, 143–157. [Google Scholar] [CrossRef]
- Lannon, S.M.; Vanderhoeven, J.P.; Eschenbach, D.A.; Gravett, M.G.; Adams Waldorf, K.M. Synergy and interactions among biological pathways leading to preterm premature rupture of membranes. Reprod. Sci. 2014, 21, 1215–1227. [Google Scholar] [CrossRef]
- Polettini, J.; da Silva, M.G. Telomere-Related Disorders in Fetal Membranes Associated With Birth and Adverse Pregnancy Outcomes. Front. Physiol. 2020, 11, 561771. [Google Scholar] [CrossRef]
- Canzoneri, B.J.; Feng, L.; Grotegut, C.A.; Bentley, R.C.; Heine, R.P.; Murtha, A.P. The Chorion Layer of Fetal Membranes Is Prematurely Destroyed in Women With Preterm Premature Rupture of the Membranes. Reprod. Sci. 2013, 20, 1246–1254. [Google Scholar] [CrossRef] [PubMed]
- Romero, R.; Miranda, J.; Chaemsaithong, P.; Chaiworapongsa, T.; Kusanovic, J.P.; Dong, Z.; Ahmed, A.I.; Shaman, M.; Lannaman, K.; Yoon, B.H.; et al. Sterile and microbial-associated intra-amniotic inflammation in preterm prelabor rupture of membranes. J. Matern. Fetal Neonatal Med. 2015, 28, 1394–1409. [Google Scholar] [CrossRef] [PubMed]
- Behnia, F.; Taylor, B.D.; Woodson, M.; Kacerovsky, M.; Hawkins, H.; Fortunato, S.J.; Saade, G.R.; Menon, R. Chorioamniotic membrane senescence: A signal for parturition? Am. J. Obstet. Gynecol. 2015, 213, 359.e1–359.e16. [Google Scholar] [CrossRef]
- Menon, R. Human fetal membranes at term: Dead tissue or signalers of parturition? Placenta 2016, 44, 1–5. [Google Scholar] [CrossRef] [PubMed]
- Richardson, L.S.; Vargas, G.; Brown, T.; Ochoa, L.; Sheller-Miller, S.; Saade, G.R.; Taylor, R.N.; Menon, R. Discovery and Characterization of Human Amniochorionic Membrane Microfractures. Am. J. Pathol. 2017, 187, 2821–2830. [Google Scholar] [CrossRef] [PubMed]
- Eichholz, H.M.; Cornelis, A.; Wolf, B.; Grubitzsch, H.; Friedrich, P.; Makky, A.; Aktas, B.; Käs, J.A.; Stepan, H. Anatomy of the fetal membranes: Insights from spinning disk confocal microscopy. Arch. Gynecol. Obstet. 2023. ahead of print. [Google Scholar] [CrossRef] [PubMed]
- Ockleford, C.D.; McCracken, S.A.; Rimmington, L.A.; Hubbard, A.R.; Bright, N.A.; Cockcroft, N.; Jefferson, T.B.; Waldron, E.; d’Lacey, C. Type VII collagen associated with the basement membrane of amniotic epithelium forms giant anchoring rivets which penetrate a massive lamina reticularis. Placenta 2013, 34, 727–737. [Google Scholar] [CrossRef]
- Menon, R.; Richardson, L.S. Preterm prelabor rupture of the membranes: A disease of the fetal membranes. Semin. Perinatol. 2017, 41, 409–419. [Google Scholar] [CrossRef]
- Silini, A.R.; Di Pietro, R.; Lang-Olip, I.; Alviano, F.; Banerjee, A.; Basile, M.; Borutinskaite, V.; Eissner, G.; Gellhaus, A.; Giebel, B.; et al. Perinatal Derivatives: Where Do We Stand? A Roadmap of the Human Placenta and Consensus for Tissue and Cell Nomenclature. Front. Bioeng. Biotechnol. 2020, 8, 610544. [Google Scholar] [CrossRef]
- Huppertz, B.; Kingdom, J. The Placenta and Fetal Membranes. In Dewhurst’s Textbook of Obstetrics & Gynaecology; Wiley-Blackwell: Hoboken, NJ, USA, 2018; pp. 18–28. [Google Scholar] [CrossRef]
- Sabbatinelli, G.; Fantasia, D.; Palka, C.; Morizio, E.; Alfonsi, M.; Calabrese, G. Isolation and Enrichment of Circulating Fetal Cells for NIPD: An Overview. Diagnostics 2021, 11, 2239. [Google Scholar] [CrossRef]
- Tang, Y.; Tang, Q.; Luo, H.; Zhang, X.; Chen, Q.; Tang, W.; Wang, T.; Yang, L.; Liao, H. Research Progress in Isolation and Enrichment of Fetal Cells from Maternal Blood. J. Chem. 2022, 2022, 7131241. [Google Scholar] [CrossRef]
- Singh, R.; Hatt, L.; Ravn, K.; Vogel, I.; Petersen, O.B.; Uldbjerg, N.; Schelde, P. Fetal cells in maternal blood for prenatal diagnosis: A love story rekindled. Biomark. Med. 2017, 11, 705–710. [Google Scholar] [CrossRef] [PubMed]
- O’Donoghue, K.; Choolani, M.; Chan, J.; de la Fuente, J.; Kumar, S.; Campagnoli, C.; Bennett, P.R.; Roberts, I.A.; Fisk, N.M. Identification of fetal mesenchymal stem cells in maternal blood: Implications for non-invasive prenatal diagnosis. Mol. Hum. Reprod. 2003, 9, 497–502. [Google Scholar] [CrossRef] [PubMed]
- Daneshmand, S.S.; Chmait, R.H.; Moore, T.R.; Bogic, L. Preterm premature rupture of membranes: Vascular endothelial growth factor and its association with histologic chorioamnionitis. Am. J. Obstet. Gynecol. 2002, 187, 1131–1136. [Google Scholar] [CrossRef] [PubMed]
- Romero, R.; Jung, E.; Chaiworapongsa, T.; Erez, O.; Gudicha, D.W.; Kim, Y.M.; Kim, J.S.; Kim, B.; Kusanovic, J.P.; Gotsch, F.; et al. Toward a new taxonomy of obstetrical disease: Improved performance of maternal blood biomarkers for the great obstetrical syndromes when classified according to placental pathology. Am. J. Obstet. Gynecol. 2022, 227, 615.e611–615.e615. [Google Scholar] [CrossRef] [PubMed]
- Jena, M.K.; Sharma, N.R.; Petitt, M.; Maulik, D.; Nayak, N.R. Pathogenesis of Preeclampsia and Therapeutic Approaches Targeting the Placenta. Biomolecules 2020, 10, 953. [Google Scholar] [CrossRef] [PubMed]
- Velegrakis, A.; Kouvidi, E.; Fragkiadaki, P.; Sifakis, S. Predictive value of the sFlt-1/PlGF ratio in women with suspected preeclampsia: An update (Review). Int. J. Mol. Med. 2023, 52, 13–22. [Google Scholar] [CrossRef]
- Huppertz, B. Biology of preeclampsia: Combined actions of angiogenic factors, their receptors and placental proteins. Biochim. Biophys. Acta Mol. Basis Dis. 2020, 1866, 165349. [Google Scholar] [CrossRef]
- Lowndes, K.; Amano, A.; Yamamoto, S.Y.; Bryant-Greenwood, G.D. The human relaxin receptor (LGR7): Expression in the fetal membranes and placenta. Placenta 2006, 27, 610–618. [Google Scholar] [CrossRef][Green Version]
- Bryant-Greenwood, G.D.; Kern, A.; Yamamoto, S.Y.; Sadowsky, D.W.; Novy, M.J. Relaxin and the human fetal membranes. Reprod. Sci. 2007, 14, 42–45. [Google Scholar] [CrossRef]
- Vogel, I.; Petersen, A.; Petersen, L.K.; Helmig, R.B.; Oxlund, H.; Uldbjerg, N. Biphasic effect of relaxin, inhibitable by a collagenase inhibitor, on the strength of human fetal membranes. Vivo 2004, 18, 581–584. [Google Scholar]
- Vogel, I.; Glavind-Kristensen, M.; Thorsen, P.; Armbruster, F.P.; Uldbjerg, N. S-relaxin as a predictor of preterm delivery in women with symptoms of preterm labour. BJOG Int. J. Obstet. Gynaecol. 2002, 109, 977–982. [Google Scholar] [CrossRef]
- Charkhchi, P.; Cybulski, C.; Gronwald, J.; Wong, F.O.; Narod, S.A.; Akbari, M.R. CA125 and Ovarian Cancer: A Comprehensive Review. Cancers 2020, 12, 3730. [Google Scholar] [CrossRef] [PubMed]
- Bischof, P. What do we know about the origin of CA 125? Eur. J. Obstet. Gynecol. Reprod. Biol. 1993, 49, 93–98. [Google Scholar] [CrossRef]
- Meden, H.; Fattahi-Meibodi, A. CA 125 in benign gynecological conditions. Int. J. Biol. Markers 1998, 13, 231–237. [Google Scholar] [CrossRef] [PubMed]
- Han, S.N.; Lotgerink, A.; Gziri, M.M.; Van Calsteren, K.; Hanssens, M.; Amant, F. Physiologic variations of serum tumor markers in gynecological malignancies during pregnancy: A systematic review. BMC Med. 2012, 10, 86. [Google Scholar] [CrossRef] [PubMed]
- Seong, W.J. Amniotic fluid CA-125 as a marker of intra-amniotic inflammation associated with preterm delivery: A preliminary single center study. Arch. Gynecol. Obstet. 2016, 293, 55–59. [Google Scholar] [CrossRef] [PubMed]
- bcl2fastq Version 2.20.0, Illumina Inc. Available online: https://support.illumina.com/sequencing/sequencing_software/bcl2fastq-conversion-software.html (accessed on 1 August 2017).
- UniProt. Available online: https://www.uniprot.org/ (accessed on 8 August 2022).
- The Human Protein Atlas. Available online: https://www.proteinatlas.org (accessed on 8 August 2022).
- OlyVIA Version 3.3, Olympus. Available online: https://www.olympus-lifescience.com/en/support/downloads/ (accessed on 1 February 2022).
- NDP.view2 Version 2.8, Hamamatsu. Available online: https://www.hamamatsu.com/eu/en/product/life-science-and-medical-systems/digital-slide-scanner/U12388-01.html (accessed on 1 June 2022).
- Fedchenko, N.; Reifenrath, J. Different approaches for interpretation and reporting of immunohistochemistry analysis results in the bone tissue—A review. Diagn. Pathol. 2014, 9, 221. [Google Scholar] [CrossRef]
- Remmele, W.; Stegner, H.E. Recommendation for uniform definition of an immunoreactive score (IRS) for immunohistochemical estrogen receptor detection (ER-ICA) in breast cancer tissue. Pathologe 1987, 8, 138–140. [Google Scholar]
- Knabl, J.; Hüttenbrenner, R.; Mahner, S.; Kainer, F.; Desoye, G.; Jeschke, U. Lower HLA-G levels in extravillous trophoblasts of human term placenta in gestational diabetes mellitus than in normal controls. Histochem. Cell Biol. 2023, 159, 527–535. [Google Scholar] [CrossRef]
- Hepp, P.; Unverdorben, L.; Hutter, S.; Kuhn, C.; Ditsch, N.; Groß, E.; Mahner, S.; Jeschke, U.; Knabl, J.; Heidegger, H.H. Placental Galectin-2 Expression in Gestational Diabetes: A Systematic, Histological Analysis. Int. J. Mol. Sci. 2020, 21, 2404. [Google Scholar] [CrossRef]







| Amnion Markers | Log2 Fold Change | Chorion Markers | Log2 Fold Change |
|---|---|---|---|
| IGF2 | 19.5 | IGF2 | 15.6 |
| MUC16 | 13.4 | THY1 | 14.1 |
| CK5 | 11.7 | DCN | 12.8 |
| TSPAN1 | 11.6 | DIO2 | 11.9 |
| IGFBP3 | 11.3 | IGFBP3 | 11.8 |
| SERPINB10 | 11.3 | IGFBP2 | 11.6 |
| UPK1B | 11.3 | SPARCL1 | 11.1 |
| CADPS2 | 11.2 | NNMT | 10.9 |
| LAMC2 | 11.2 | LPHN3 | 10.9 |
| AHNAK2 | 11.1 | CRYAB | 10.9 |
| EMP1 | 11.0 | PEG3 | 10.3 |
| FN1 | 10.8 | FLT1 | 10.2 |
| FBN1 | 10.7 | GPX8 | 9.9 |
| MET | 10.7 | FBN1 | 9.8 |
| PVRL4 | 10.6 | NPR3 | 9.8 |
| A2ML1 | 10.4 | AOC1 | 9.8 |
| DSP | 10.3 | ITGB8 | 9.7 |
| THSD4 | 10.2 | RXFP1 | 9.5 |
| CRYAB | 10.2 | SPOCK1 | 9.5 |
| CK17 | 10.1 | CYP11A1 | 9.5 |
| CK18 | 10.1 | COL4A2 | 9.4 |
| PDLIM4 | 10.1 | CK18 | 9.4 |
| COL17A1 | 10.0 | CNR1 | 9.4 |
| PRTG | 9.8 | SEMA3A | 9.4 |
| DKK3 | 9.8 | SERPINE1 | 9.4 |
| PLS3 | 9.8 | IL1R1 | 9.4 |
| COL1A2 | 9.7 | FBLN1 | 9.3 |
| GPX8 | 9.6 | COL1A2 | 9.3 |
| DPYSL3 | 9.5 | UCHL1 | 9.3 |
| TPPP3 | 9.5 | RAI2 | 9.2 |
| SHROOM3 | 9.4 | TGM2 | 9.2 |
| PRLR | 9.2 | ||
| FSTL3 | 9.1 | ||
| SERPINB10 | 9.1 | ||
| BCAR1 | 9.1 | ||
| THSD4 | 9.0 | ||
| PRTG | 9.0 | ||
| FERMT2 | 8.9 | ||
| PKP2 | 8.9 | ||
| P4HA2 | 8.8 | ||
| TEAD1 | 8.8 | ||
| AQPEP | 8.8 |
| Protein | Fetal Membrane | Subcellular Location | Antibody 1 | Pretreatment 2 | Dilution 3 |
|---|---|---|---|---|---|
| AHNAK2 (Protein AHNAK2) | Amnion | Cytoplasm | Abcam, ab224061 (rabbit, polyclonal) | CC2 32 min | 1:500 |
| AQPEP/LVRN (Aminopeptidase Q) | Chorion | Surface | Abcam, ab185345 (rabbit, polyclonal) | CC1 32 min | 1:500 |
| CD34 (Hematopoietic progenitor cell antigen CD34) | - | - | Ventana-Roche, 790-2927 (mouse, monoclonal QBEnd/10) | CC1 40 min | RTU |
| CNR1 (Cannabinoid receptor 1) | Chorion | Surface | Abcam, ab23703 (rabbit, polyclonal) | CC2 32 min | 1:200 |
| CK5/KRT5 (Keratin, type II cytoskeletal 5) | Amnion | Cytoplasm | Novocastra-Leica, NCL-L-CK5 (mouse, monoclonal XM26) | CC1 32 min | 1:100 |
| CK7/KRT7 (Keratin, type II cytoskeletal 7) | - | Cytoplasm | Ventana-Roche, 790-4462 (rabbit, monoclonal SP52) | CC1 40 min | RTU |
| CK17/KRT17 (Keratin, type I cytoskeletal 17) | Amnion | Cytoplasm | Ventana-Roche, 790-4560 (rabbit, monoclonal SP95) | CC1 32 min | RTU |
| DPYSL3/CRMP4 (Dihydropyrimidinase-related protein 3) | Amnion | Cytoplasm | Abcam, ab244319 (rabbit, polyclonal) | CC2 32 min | 1:1000 |
| EMP1 (Epithelial membrane protein 1) | Amnion | Surface | LSBio, LS-B12859 (rabbit, polyclonal) | CC1 32 min | 1:500 |
| FERMT2 (Fermitin family homolog 2) | Chorion | Surface | Abcam, ab254535 (mouse, monoclonal 3A3.5) | CC1 32 min | 1:500 |
| FLT1/VEGFR1 (Fms-like tyrosine kinase 1/Vascular endothelial growth factor receptor 1) | Chorion | Surface | Abcam, ab32152 (rabbit, monoclonal Y103) | CC2 32 min | 1:50 |
| GPX8 (Probable glutathione peroxidase 8) | Amnion Chorion | Surface | Abcam, ab183664 (rabbit, polyclonal) | CC1 32 min | 1:50 |
| LPHN3/ADGRL3 (Adhesion G protein-coupled receptor L3) | Chorion | Surface | Abcam, ab140843 (rabbit, polyclonal) | Failed to be stained | |
| MUC16/CA125 (Mucin-16) | Amnion | Surface | Ventana-Roche, 760-2610 (mouse, monoclonal OC125) | CC1 48 min | RTU |
| NPR3/NPRC (Atrial natriuretic peptide receptor 3) | Chorion | Surface | Abcam, ab97389 (rabbit, polyclonal) | CC1 32 min | 1:250 |
| PDLIM4/RIL (PDZ and LIM domain protein 4) | Amnion | Cytoplasm | Abcam, ab251701 (rabbit, polyclonal) | CC2 32 min | 1:20 |
| PRLR (Prolactin receptor) | Chorion | Surface | Abcam, ab2773 (mouse, monoclonal T6) | CC1 16 min | 1:500 |
| PRTG (Protogenin) | Amnion Chorion | Surface | LSBio, LS-C817053 (rabbit, polyclonal) | CC1 32 min | 1:100 |
| PVRL4 (Nectin-4) | Amnion | Surface | Abcam, ab155692 (rabbit, polyclonal) | CC1 32 min | 1:100 |
| RXFP1 (Relaxin receptor 1) | Chorion | Surface | Sigma-Aldrich, HPA027067 (rabbit, polyclonal) | CC1 32 min | 1:100 |
| SHROOM3 (Protein Shroom 3) | Amnion | Surface | Abcam, ab151009 (rabbit, polyclonal) | Failed to be stained | |
| THY1/CD90 (Thy-1 membrane glycoprotein) | Chorion | Surface | Abcam, ab133350 (rabbit, monoclonal EPR3133) | CC1 32 min | 1:250 |
| UCHL1 (Ubiquitin carboxyl-terminal hydrolase isozyme L1) | Chorion | Cytoplasm | Dako Agilent, Z0458 (rabbit, polyclonal) | CC1 40 min | 1:200 |
| UPK1B (Uroplakin-1b) | Amnion | Surface | Abcam, ab263454 (mouse, monoclonal UPK1B/3081) | CC2 32 min | 1:250 |
| VIM (Vimentin) | - | Cytoplasm | Ventana-Roche 790-2917(mouse, monoclonal V9) | CC1 24 min | RTU |
| Protein | AEC | AMSC | CMSC | CTC | VT | iEVT | vasEVT |
|---|---|---|---|---|---|---|---|
| N = 3 | N = 3 | N = 5 | N = 5 | N = 5 | N = 3 | N = 3 | |
| AHNAK2 | 12.0 | 12.0 | 12.0 | 4.4 | 0.0 | 4.7 | 1.0 |
| AQPEP | 0.0 | 2.3 | 1.2 | 4.0 | 7.2 | 11.0 | 12.0 |
| CK5 | 12.0 | 0.0 | 0.0 | 3.4 | 0.0 | 2.0 | 0.0 |
| CK7 | 10.0 | 0.0 | 0.0 | 12.0 | 12.0 | 12.0 | 12.0 |
| CK17 | 12.0 | 0.0 | 0.0 | 6.8 | 0.0 | 4.0 | 3.0 |
| CNR1 | 8.0 | 4.0 | 5.8 | 9.0 | 12.0 | 12.0 | 12.0 |
| DPYSL3 | 7.3 | 12.0 | 12.0 | 0.8 | 0.0 | 0.7 | 1.0 |
| EMP1 | 9.3 | 10.0 | 10.2 | 2.4 | 4.4 | 0.0 | 0.0 |
| FERMT2 | 8.0 | 5.3 | 6.2 | 6.4 | 10.4 | 6.7 | 12.0 |
| FLT1 | 8.0 | 12.0 | 11.2 | 11.4 | 12.0 | 11.0 | 8.0 |
| GPX8 | 10.7 | 7.0 | 8.4 | 10.6 | 0.6 | 9.0 | 10.7 |
| MUC16 | 12.0 | 0.0 | 0.0 | 1.4 | 0.0 | 0.0 | 0.0 |
| NPR3 | 1.7 | 3.0 | 3.0 | 2.2 | 2.6 | 1.3 | 1.7 |
| PDLIM4 | 1.3 | 4.3 | 7.6 | 3.0 | 0.0 | 2.0 | 1.0 |
| PRLR | 7.0 | 11.0 | 11.4 | 3.0 | 3.4 | 4.0 | 4.7 |
| PRTG | 5.3 | 2.3 | 4.6 | 10.8 | 11.2 | 11.0 | 12.0 |
| PVRL4 | 12.0 | 1.0 | 1.4 | 9.6 | 12.0 | 7.7 | 4.0 |
| RXFP1 | 12.0 | 6.0 | 5.4 | 4.0 | 10.4 | 5.0 | 5.3 |
| THY1 | 2.3 | 6.3 | 8.0 | 3.0 | 1.0 | 7.3 | 5.3 |
| UCHL1 | 12.0 | 12.0 | 12.0 | 12.0 | 12.0 | 12.0 | 12.0 |
| UPK1B | 12.0 | 0.0 | 0.0 | 9.0 | 0.0 | 7.0 | 9.0 |
| VIM | 11.0 | 12.0 | 12.0 | 0.0 | 0.0 | 0.0 | 0.0 |
Disclaimer/Publisher’s Note: The statements, opinions and data contained in all publications are solely those of the individual author(s) and contributor(s) and not of MDPI and/or the editor(s). MDPI and/or the editor(s) disclaim responsibility for any injury to people or property resulting from any ideas, methods, instructions or products referred to in the content. |
© 2023 by the authors. Licensee MDPI, Basel, Switzerland. This article is an open access article distributed under the terms and conditions of the Creative Commons Attribution (CC BY) license (https://creativecommons.org/licenses/by/4.0/).
Share and Cite
Mikkelsen, E.; Huppertz, B.; Singh, R.; Ravn, K.; Hatt, L.; Kruhøffer, M.; Urrabaz-Garza, R.; Uldbjerg, N.; Menon, R.; Steiniche, T. mRNA and Protein Expression in Human Fetal Membrane Cells: Potential Biomarkers for Preterm Prelabor Rupture of the Fetal Membranes? Int. J. Mol. Sci. 2023, 24, 15826. https://doi.org/10.3390/ijms242115826
Mikkelsen E, Huppertz B, Singh R, Ravn K, Hatt L, Kruhøffer M, Urrabaz-Garza R, Uldbjerg N, Menon R, Steiniche T. mRNA and Protein Expression in Human Fetal Membrane Cells: Potential Biomarkers for Preterm Prelabor Rupture of the Fetal Membranes? International Journal of Molecular Sciences. 2023; 24(21):15826. https://doi.org/10.3390/ijms242115826
Chicago/Turabian StyleMikkelsen, Emmeli, Berthold Huppertz, Ripudaman Singh, Katarina Ravn, Lotte Hatt, Mogens Kruhøffer, Rheanna Urrabaz-Garza, Niels Uldbjerg, Ramkumar Menon, and Torben Steiniche. 2023. "mRNA and Protein Expression in Human Fetal Membrane Cells: Potential Biomarkers for Preterm Prelabor Rupture of the Fetal Membranes?" International Journal of Molecular Sciences 24, no. 21: 15826. https://doi.org/10.3390/ijms242115826
APA StyleMikkelsen, E., Huppertz, B., Singh, R., Ravn, K., Hatt, L., Kruhøffer, M., Urrabaz-Garza, R., Uldbjerg, N., Menon, R., & Steiniche, T. (2023). mRNA and Protein Expression in Human Fetal Membrane Cells: Potential Biomarkers for Preterm Prelabor Rupture of the Fetal Membranes? International Journal of Molecular Sciences, 24(21), 15826. https://doi.org/10.3390/ijms242115826

