Long-Term Tumor Control Following Targeted Alpha Therapy (TAT) of Low-Grade Gliomas (LGGs): A New Treatment Paradigm?
Abstract
1. Introduction
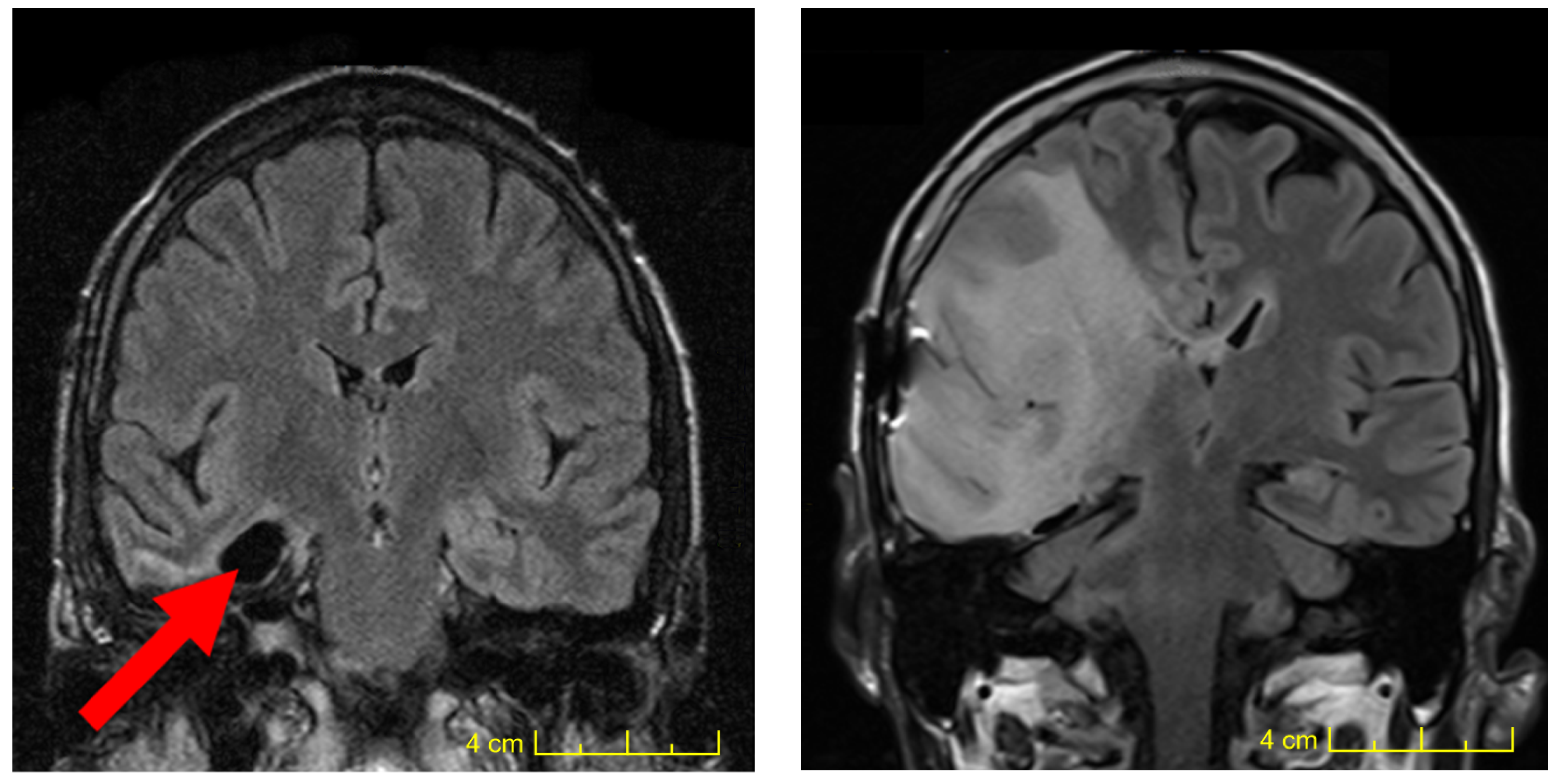
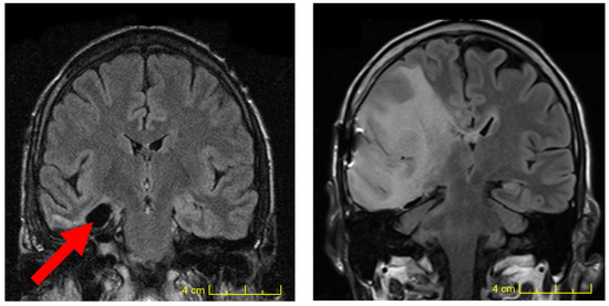
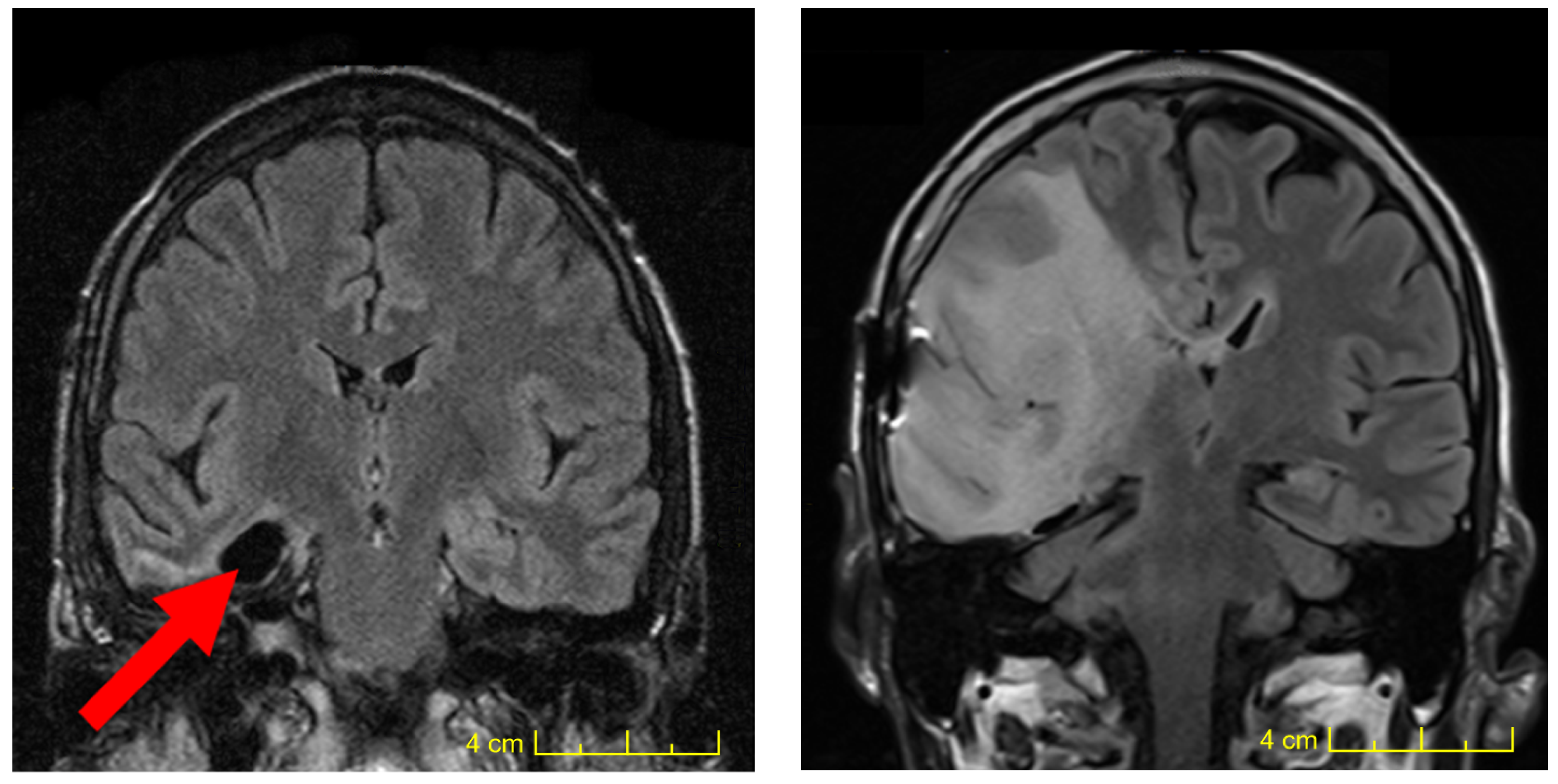
2. Results
3. Discussion
4. Methods and Materials
Author Contributions
Funding
Institutional Review Board Statement
Informed Consent Statement
Data Availability Statement
Acknowledgments
Conflicts of Interest
References
- Wang, L.M.; Englander, Z.K.; Miller, M.L.; Bruce, J.N. Malignant Glioma. Adv. Exp. Med. Biol. 2023, 1405, 1–30. [Google Scholar] [PubMed]
- Dong, X.; Noorbakhsh, A.; Hirshman, B.R.; Zhou, T.; Tang, J.A.; Chang, D.C.; Carter, B.S.; Chen, C.C. Survival trends of grade I, II, and III astrocytoma patients and associated clinical practice patterns between 1999 and 2010: A SEER-based analysis. Neurooncol. Pract. 2016, 3, 29–38. [Google Scholar] [CrossRef] [PubMed]
- Kinslow, C.J.; Garton, A.L.A.; Rae, A.I.; Marcus, L.P.; Adams, C.M.; McKhann, G.M.; Sisti, M.B.; Connolly, E.S.; Bruce, J.N.; Neugut, A.I.; et al. Extent of resection and survival for oligodendroglioma: A U.S. population-based study. J. Neurooncol. 2019, 144, 591–601. [Google Scholar] [CrossRef] [PubMed]
- Chen, L.; Ma, J.; Zou, Z.; Liu, H.; Liu, C.; Gong, S.; Gao, X.; Liang, G. Clinical characteristics and prognosis of patients with glioblastoma: A review of survival analysis of 1674 patients based on SEER database. Medicine 2022, 101, e32042. [Google Scholar] [CrossRef]
- Elsheikh, M.; Bridgman, E.; Lavrador, J.P.; Lammy, S.; Poon, M.T.C. Association of extent of resection and functional outcomes in diffuse low-grade glioma: Systematic review & meta-analysis. J. Neurooncol. 2022, 160, 717–724. [Google Scholar] [PubMed]
- Weller, M.; van den Bent, M.; Preusser, M.; Le Rhun, E.; Tonn, J.C.; Minniti, G.; Bendszus, M.; Balana, C.; Chinot, O.; Dirven, L.; et al. EANO guidelines on the diagnosis and treatment of diffuse gliomas of adulthood. Nat. Rev. Clin. Oncol. 2021, 18, 170–186. [Google Scholar] [CrossRef] [PubMed]
- Oberheim Bush, N.A.; Chang, S. Treatment Strategies for Low-Grade Glioma in Adults. J. Oncol. Pract. 2016, 12, 1235–1241. [Google Scholar] [CrossRef]
- Berger, M.S.; Hervey-Jumper, S.; Wick, W. Astrocytic gliomas WHO grades II and III. Handb. Clin. Neurol. 2016, 134, 345–360. [Google Scholar]
- Duffau, H.; Mandonnet, E. The “onco-functional balance” in surgery for diffuse low-grade glioma: Integrating the extent of resection with quality of life. Acta Neurochir. 2013, 155, 951–957. [Google Scholar] [CrossRef]
- Claus, E.B.; Walsh, K.M.; Wiencke, J.K.; Molinaro, A.M.; Wiemels, J.L.; Schildkraut, J.M.; Bondy, M.L.; Berger, M.; Jenkins, R.; Wrensch, M. Survival and low-grade glioma: The emergence of genetic information. Neurosurg. Focus 2015, 38, E6. [Google Scholar] [CrossRef]
- Duffau, H. Early and Maximal Personalized Surgical Resection Improves Survival and Quality of Life in Low-grade Gliomas Patients. Neurol. India 2020, 68, 813–814. [Google Scholar] [CrossRef]
- Wank, M.; Schilling, D.; Schmid, T.E.; Meyer, B.; Gempt, J.; Barz, M.; Schlegel, J.; Liesche, F.; Kessel, K.A.; Wiestler, B.; et al. Human Glioma Migration and Infiltration Properties as a Target for Personalized Radiation Medicine. Cancers 2018, 10, 456. [Google Scholar] [CrossRef] [PubMed]
- Douw, L.; Klein, M.; Fagel, S.S.; van den Heuvel, J.; Taphoorn, M.J.; Aaronson, N.K.; Postma, T.J.; Vandertop, W.P.; Mooij, J.J.; Boerman, R.H.; et al. Cognitive and radiological effects of radiotherapy in patients with low-grade glioma: Long-term follow-up. Lancet Neurol. 2009, 8, 810–818. [Google Scholar] [CrossRef] [PubMed]
- Touat, M.; Li, Y.Y.; Boynton, A.N.; Spurr, L.F.; Iorgulescu, J.B.; Bohrson, C.L.; Cortes-Ciriano, I.; Birzu, C.; Geduldig, J.E.; Pelton, K.; et al. Mechanisms and therapeutic implications of hypermutation in gliomas. Nature 2020, 580, 517–523. [Google Scholar] [CrossRef] [PubMed]
- Perry, A.; Wesseling, P. Histologic classification of gliomas. Handb. Clin. Neurol. 2016, 134, 71–95. [Google Scholar] [PubMed]
- Frieboes, H.B.; Lowengrub, J.S.; Wise, S.; Zheng, X.; Macklin, P.; Bearer, E.L.; Cristini, V. Computer simulation of glioma growth and morphology. Neuroimage 2007, 37 (Suppl. S1), S59–S70. [Google Scholar] [CrossRef] [PubMed]
- Das, A.; Ding, S.; Liu, R.; Huang, C. Quantifying the Growth of Glioblastoma Tumors Using Multimodal MRI Brain Images. Cancers 2023, 15, 3614. [Google Scholar] [CrossRef] [PubMed]
- Hennig, I.M.; Laissue, J.A.; Horisberger, U.; Reubi, J.C. Substance-P receptors in human primary neoplasms: Tumoral and vascular localization. Int. J. Cancer 1995, 61, 786–792. [Google Scholar] [CrossRef] [PubMed]
- Kneifel, S.; Cordier, D.; Good, S.; Ionescu, M.C.; Ghaffari, A.; Hofer, S.; Kretzschmar, M.; Tolnay, M.; Apostolidis, C.; Waser, B.; et al. Local targeting of malignant gliomas by the diffusible peptidic vector 1,4,7,10-tetraazacyclododecane-1-glutaric acid-4,7,10-triacetic acid-substance p. Clin. Cancer Res. 2006, 12, 3843–3850. [Google Scholar] [CrossRef]
- Todd, A.J. Anatomy of primary afferents and projection neurones in the rat spinal dorsal horn with particular emphasis on substance P and the neurokinin 1 receptor. Exp. Physiol. 2002, 87, 245–249. [Google Scholar] [CrossRef]
- Merlo, A.; Hausmann, O.; Wasner, M.; Steiner, P.; Otte, A.; Jermann, E.; Freitag, P.; Reubi, J.C.; Muller-Brand, J.; Gratzl, O.; et al. Locoregional regulatory peptide receptor targeting with the diffusible somatostatin analogue 90Y-labeled DOTA0-D-Phe1-Tyr3-octreotide (DOTATOC): A pilot study in human gliomas. Clin. Cancer Res. 1999, 5, 1025–1033. [Google Scholar]
- Netti, P.A.; Berk, D.A.; Swartz, M.A.; Grodzinsky, A.J.; Jain, R.K. Role of extracellular matrix assembly in interstitial transport in solid tumors. Cancer Res. 2000, 60, 2497–2503. [Google Scholar] [PubMed]
- Stylianopoulos, T.; Munn, L.L.; Jain, R.K. Reengineering the Physical Microenvironment of Tumors to Improve Drug Delivery and Efficacy: From Mathematical Modeling to Bench to Bedside. Trends Cancer 2018, 4, 292–319. [Google Scholar] [CrossRef] [PubMed]
- Merlo, A.; Jermann, E.; Hausmann, O.; Chiquet-Ehrismann, R.; Probst, A.; Landolt, H.; Maecke, H.R.; Mueller-Brand, J.; Gratzl, O. Biodistribution of 111In-labelled SCN-bz-DTPA-BC-2 MAb following loco-regional injection into glioblastomas. Int. J. Cancer 1997, 71, 810–816. [Google Scholar] [PubMed]
- Merlo, A.; Mueller-Brand, J.; Maecke, H.R. Comparing monoclonal antibodies and small peptidic hormones for local targeting of malignant gliomas. Acta Neurochir. Suppl. 2003, 88, 83–91. [Google Scholar] [PubMed]
- Schumacher, T.; Hofer, S.; Eichhorn, K.; Wasner, M.; Zimmerer, S.; Freitag, P.; Probst, A.; Gratzl, O.; Reubi, J.C.; Maecke, R.; et al. Local injection of the 90Y-labelled peptidic vector DOTATOC to control gliomas of WHO grades II and III: An extended pilot study. Eur. J. Nucl. Med. Mol. Imaging 2002, 29, 486–493. [Google Scholar] [CrossRef]
- Guerra Liberal, F.D.C.; O’Sullivan, J.M.; McMahon, S.J.; Prise, K.M. Targeted Alpha Therapy: Current Clinical Applications. Cancer Biother. Radiopharm. 2020, 35, 404–417. [Google Scholar] [CrossRef] [PubMed]
- Krolicki, L.; Bruchertseifer, F.; Kunikowska, J.; Koziara, H.; Krolicki, B.; Jakucinski, M.; Pawlak, D.; Apostolidis, C.; Mirzadeh, S.; Rola, R.; et al. Prolonged survival in secondary glioblastoma following local injection of targeted alpha therapy with 213Bi-substance P analogue. Eur. J. Nucl. Med. Mol. Imaging 2018, 45, 1636–1644. [Google Scholar] [CrossRef] [PubMed]
- Krolicki, L.; Bruchertseifer, F.; Kunikowska, J.; Koziara, H.; Krolicki, B.; Jakucinski, M.; Pawlak, D.; Apostolidis, C.; Mirzadeh, S.; Rola, R.; et al. Safety and efficacy of targeted alpha therapy with 213Bi-DOTA-substance P in recurrent glioblastoma. Eur. J. Nucl. Med. Mol. Imaging 2019, 46, 614–622. [Google Scholar] [CrossRef]
- Krolicki, L.; Bruchertseifer, F.; Kunikowska, J.; Koziara, H.; Pawlak, D.; Kulinski, R.; Rola, R.; Merlo, A.; Morgenstern, A. Dose escalation study of targeted alpha therapy with [225Ac]Ac-DOTA-substance P in recurrence glioblastoma—Safety and efficacy. Eur. J. Nucl. Med. Mol. Imaging 2021, 48, 3595–3605. [Google Scholar] [CrossRef]
- Weinstein, M.C.; Torrance, G.; McGuire, A. QALYs: The basics. Value Health 2009, 12 (Suppl. S1), S5–S9. [Google Scholar] [CrossRef] [PubMed]
- Cordier, D.; Forrer, F.; Kneifel, S.; Sailer, M.; Mariani, L.; Macke, H.; Muller-Brand, J.; Merlo, A. Neoadjuvant targeting of glioblastoma multiforme with radiolabeled DOTAGA-substance P—results from a phase I study. J. Neurooncol. 2010, 100, 129–136. [Google Scholar] [CrossRef] [PubMed]
- Kneifel, S.; Bernhardt, P.; Uusijarvi, H.; Good, S.; Plasswilm, L.; Buitrago-Tellez, C.; Muller-Brand, J.; Macke, H.; Merlo, A. Individual voxelwise dosimetry of targeted 90Y-labelled substance P radiotherapy for malignant gliomas. Eur. J. Nucl. Med. Mol. Imaging 2007, 34, 1388–1395. [Google Scholar] [CrossRef] [PubMed]
- Minguez, P.; Flux, G.; Genolla, J.; Delgado, A.; Rodeno, E.; Sjogreen Gleisner, K. Whole-remnant and maximum-voxel SPECT/CT dosimetry in 131I-NaI treatments of differentiated thyroid cancer. Med. Phys. 2016, 43, 5279. [Google Scholar] [CrossRef] [PubMed]
- GBD 2016 Brain and Other CNS Cancer Collaborators. Global, regional, and national burden of brain and other CNS cancer, 1990-2016: A systematic analysis for the Global Burden of Disease Study 2016. Lancet Neurol. 2019, 18, 376–393. [Google Scholar] [CrossRef] [PubMed]
- Hanly, P.A.; Sharp, L. The cost of lost productivity due to premature cancer-related mortality: An economic measure of the cancer burden. BMC Cancer 2014, 14, 224. [Google Scholar] [CrossRef] [PubMed]
- Konski, A.; Bracy, P.; Weiss, S.; Grigsby, P. Cost-utility analysis of a malignant glioma protocol. Int. J. Radiat. Oncol. Biol. Phys. 1997, 39, 575–578. [Google Scholar] [CrossRef]
- Martino, J.; Gomez, E.; Bilbao, J.L.; Duenas, J.C.; Vazquez-Barquero, A. Cost-utility of maximal safe resection of WHO grade II gliomas within eloquent areas. Acta Neurochir. 2013, 155, 41–50. [Google Scholar] [CrossRef]
- Qian, Y.; Maruyama, S.; Kim, H.; Pollom, E.L.; Kumar, K.A.; Chin, A.L.; Harris, J.P.; Chang, D.T.; Pitt, A.; Bendavid, E.; et al. Cost-effectiveness of radiation and chemotherapy for high-risk low-grade glioma. Neuro-Oncology 2017, 19, 1651–1660. [Google Scholar] [CrossRef][Green Version]
- Cordier, D.; Forrer, F.; Bruchertseifer, F.; Morgenstern, A.; Apostolidis, C.; Good, S.; Muller-Brand, J.; Macke, H.; Reubi, J.C.; Merlo, A. Targeted alpha-radionuclide therapy of functionally critically located gliomas with 213Bi-DOTA-[Thi8,Met(O2)11]-substance P: A pilot trial. Eur. J. Nucl. Med. Mol. Imaging 2010, 37, 1335–1344. [Google Scholar] [CrossRef]




| Case | Age&Year Dx | Histology/ | Genetics | Pre-/Post-a | Activity/ | Karnofsky | PS after | QALY |
|---|---|---|---|---|---|---|---|---|
| # | /Gender | Location | therapies | nuclide(cycle) | Performance | TAT /OS | ||
| First-line TAT for LGG | ||||||||
| 1 | 43(2000)m | oligo 2/pR | ND | S&Y-90SP/CT | 2 GBq Bi-213(1) | 90 | 288+/286+ | 23 |
| 2 | 33(2007)f | astro 2/fR | ND | none/S | 2 GBq Bi-213(1) | 100 | 192+/194+ | 16 |
| 3 | 39(2008)m | astro 2/oR | ND | none/S | 2 GBq Bi-213(1) | 100 | 180+/182+ | 15 |
| 4 | 64(2011)m | astro 2/centralR | IDH mut, 1p/19q wt | S/S | 2 GBq Bi-213(1) | 90 | 132+/150+ | 10 |
| 5 | 25(2011)m | astro 2/tL | IDH-1-R132H, ATRX mut | S/S | 35 MBq Ac-225(2) | 80 | 48+/144+ | 3.2 |
| 6 | 31(2013)f | astro 2/tL | IDH-1 mut, 1p/19qwt | S&RT/S | 2 GBq Bi-213(1) | 90 | 52+/120+ | 4 |
| 7 | 24(2015)m | astro 2/fL | IDH2 Exon4 R172M | none/S | 2 GBq Bi-213(1) | 100 | 96+/100+ | 8 |
| 8 | 32(2018)m | astro 2/fR | IDH-1 R132H, ATRX mut | S/none | 20 MBq Ac-225(1) | 100 | 22+/66+ | 1.8 |
| 9 | 30(2019)m | astro II/tL | IDH R132H, ATRX mut | S/none | 17 MBq Ac-225(2) | 100 | 18+/54+ | 1.5 |
| Second-line TAT for recurrent OG2 after Y-90 SP | ||||||||
| 10 | SK43(2003)m | oligo 2/pR | ND | S&Y-90SP | 2.5 GBq Bi-213(3) | 90 | 48/224 | 3.6 |
| 11 | BW31(2003)f | oligo 2/pL | ND | S&Y-90SP/CT | 2 GBq Bi-213(1) | 70 | 64/186 | 3.7 |
Disclaimer/Publisher’s Note: The statements, opinions and data contained in all publications are solely those of the individual author(s) and contributor(s) and not of MDPI and/or the editor(s). MDPI and/or the editor(s) disclaim responsibility for any injury to people or property resulting from any ideas, methods, instructions or products referred to in the content. |
© 2023 by the authors. Licensee MDPI, Basel, Switzerland. This article is an open access article distributed under the terms and conditions of the Creative Commons Attribution (CC BY) license (https://creativecommons.org/licenses/by/4.0/).
Share and Cite
Krolicki, L.; Kunikowska, J.; Cordier, D.; Slavova, N.; Koziara, H.; Bruchertseifer, F.; Maecke, H.R.; Morgenstern, A.; Merlo, A. Long-Term Tumor Control Following Targeted Alpha Therapy (TAT) of Low-Grade Gliomas (LGGs): A New Treatment Paradigm? Int. J. Mol. Sci. 2023, 24, 15701. https://doi.org/10.3390/ijms242115701
Krolicki L, Kunikowska J, Cordier D, Slavova N, Koziara H, Bruchertseifer F, Maecke HR, Morgenstern A, Merlo A. Long-Term Tumor Control Following Targeted Alpha Therapy (TAT) of Low-Grade Gliomas (LGGs): A New Treatment Paradigm? International Journal of Molecular Sciences. 2023; 24(21):15701. https://doi.org/10.3390/ijms242115701
Chicago/Turabian StyleKrolicki, Leszek, Jolanta Kunikowska, Dominik Cordier, Nedelina Slavova, Henryk Koziara, Frank Bruchertseifer, Helmut R. Maecke, Alfred Morgenstern, and Adrian Merlo. 2023. "Long-Term Tumor Control Following Targeted Alpha Therapy (TAT) of Low-Grade Gliomas (LGGs): A New Treatment Paradigm?" International Journal of Molecular Sciences 24, no. 21: 15701. https://doi.org/10.3390/ijms242115701
APA StyleKrolicki, L., Kunikowska, J., Cordier, D., Slavova, N., Koziara, H., Bruchertseifer, F., Maecke, H. R., Morgenstern, A., & Merlo, A. (2023). Long-Term Tumor Control Following Targeted Alpha Therapy (TAT) of Low-Grade Gliomas (LGGs): A New Treatment Paradigm? International Journal of Molecular Sciences, 24(21), 15701. https://doi.org/10.3390/ijms242115701

