Cirsium Setidens Water Extracts Containing Linarin Block Estrogen Deprivation-Induced Bone Loss in Mice
Abstract
1. Introduction
2. Results
2.1. Effects of CSEs on OVX-Induced Uterine Atrophy
2.2. Elevation of Osteoclastic Activation Induced by CSEs in OVX Mice
2.3. Effects of CSEs on Tartrate-Resistant Acid Phosphate (TRAP) Activity and Bone Mineral Density (BMD) in OVX Mouse Bone
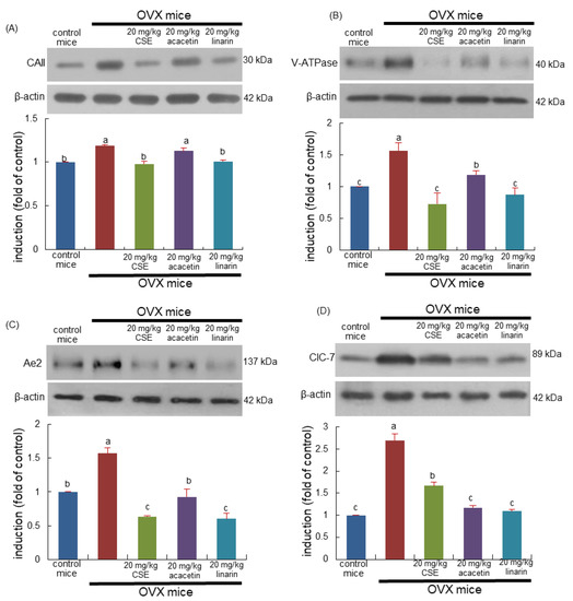
2.4. Inhibitory Effects of CSEs on Acidification of the Resorption Lacunae
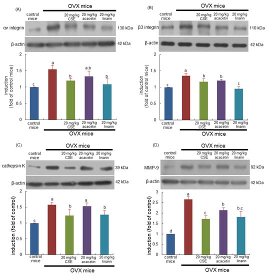
2.5. Inhibition of Sealing Zone Formation and Lysosomal Enzyme Secretion Induced by CSEs
2.6. Formation of Trabecular Bone Induced by CSEs in OVX Mice
2.7. Effects of CSEs on Collagen Metabolism
2.8. Effects of CSEs on Mineralization of Collagen Bone Matrix
3. Discussion
4. Materials and Methods
4.1. Materials
4.2. Preparation of CSEs
4.3. Animals and Ovariectomy
4.4. Biochemical Analyses in Serum and Bone
4.5. Histological Examination of Uterus and Bone
4.6. TRAP Staining
4.7. Western Blot Analysis
4.8. Enzyme-Linked Immunosorbent Assay (ELISA)
4.9. Collagen Fiber Staining of Bones
4.10. Statistical Analyses
5. Conclusions
Author Contributions
Funding
Institutional Review Board Statement
Informed Consent Statement
Data Availability Statement
Conflicts of Interest
Abbreviations
References
- Lane, J.M.; Russell, L.; Khan, S.N. Osteoporosis. Clin. Orthop. Relat. Res. 2000, 372, 139–150. [Google Scholar] [CrossRef]
- Rachner, T.D.; Khosla, S.; Hofbauer, L.C. Osteoporosis: Now and the future. Lancet 2011, 377, 1276–1287. [Google Scholar] [CrossRef]
- Eastell, R.; O’Neill, T.W.; Hofbauer, L.C.; Langdahl, B.; Reid, I.R.; Gold, D.T.; Cummings, S.R. Postmenopausal osteoporosis. Nat. Rev. Dis. Prim. 2016, 2, 16069. [Google Scholar] [CrossRef] [PubMed]
- Black, D.M.; Rosen, C.J. Clinical practice. Postmenopausal osteoporosis. N. Engl. J. Med. 2016, 374, 254–262. [Google Scholar] [CrossRef] [PubMed]
- Li, L.; Wang, Z. Ovarian aging and osteoporosis. Adv. Exp. Med. Biol. 2018, 1086, 199–215. [Google Scholar] [PubMed]
- Levin, V.A.; Jiang, X.; Kagan, R. Estrogen therapy for osteoporosis in the modern era. Osteoporos. Int. 2018, 29, 1049–1055. [Google Scholar] [CrossRef] [PubMed]
- Tella, S.H.; Gallagher, J.C. Prevention and treatment of postmenopausal osteoporosis. J. Steroid. Biochem. Mol. Biol. 2014, 142, 155–170. [Google Scholar] [CrossRef] [PubMed]
- Słupski, W.; Jawień, P.; Nowak, B. Botanicals in postmenopausal osteoporosis. Nutrients 2021, 13, 1609. [Google Scholar] [CrossRef] [PubMed]
- Dimai, H.P.; Fahrleitner-Pammer, A. Osteoporosis and fragility fractures: Currently available pharmacological options and future directions. Best Pract. Res. Clin. Rheumatol. 2022, 36, 101780. [Google Scholar] [CrossRef] [PubMed]
- Maeda, S.S.; Lazaretti-Castro, M. An overview on the treatment of postmenopausal osteoporosis. Arq. Bras. Endocrinol. Metabol. 2014, 58, 162–171. [Google Scholar] [CrossRef]
- Christianson, M.S.; Shen, W. Osteoporosis prevention and management: Nonpharmacologic and lifestyle options. Clin. Obstet. Gynecol. 2013, 56, 703–710. [Google Scholar] [CrossRef]
- Molla, M.D.; Hidalgo-Mora, J.J.; Soteras, M.G. Phytotherapy as alternative to hormone replacement therapy. Front. Biosci. (Sch. Ed.) 2011, 3, 191–204. [Google Scholar] [CrossRef]
- Vitale, D.C.; Piazza, C.; Melilli, B.; Drago, F.; Salomone, S. Isoflavones: Estrogenic activity, biological effect and bioavailability. Eur. J. Drug Metab. Pharmacokinet. 2013, 38, 15–25. [Google Scholar] [CrossRef] [PubMed]
- Pilšáková, L.; Riečanský, I.; Jagla, F. The physiological actions of isoflavone phytoestrogens. Physiol. Res. 2010, 59, 651–664. [Google Scholar] [CrossRef] [PubMed]
- Scheiber, M.D.; Rebar, R.W. Isoflavones and postmenopausal bone health: A viable alternative to estrogen therapy? Menopause 1999, 6, 233–241. [Google Scholar] [CrossRef] [PubMed]
- Usui, T. Pharmaceutical prospects of phytoestrogens. Endocr. J. 2006, 53, 7–20. [Google Scholar] [CrossRef]
- Branca, F.; Lorenzetti, S. Health effects of phytoestrogens. Forum Nutr. 2005, 57, 100–111. [Google Scholar]
- Valachovicova, T.; Slivova, V.; Sliva, D. Cellular and physiological effects of soy flavonoids. Mini Rev. Med. Chem. 2004, 4, 881–887. [Google Scholar] [CrossRef]
- Stevens, J.F.; Page, J.E. Xanthohumol and related prenylflavonoids from hops and beer: To your good health. Phytochemistry 2004, 65, 1317–1330. [Google Scholar] [CrossRef]
- Pandey, M.K.; Gupta, S.C.; Karelia, D.; Gilhooley, P.J.; Shakibaei, M.; Aggarwal, B.B. Dietary nutraceuticals as backbone for bone health. Biotechnol. Adv. 2018, 36, 1633–1648. [Google Scholar] [CrossRef]
- Tyagi, A.M.; Srivastava, K.; Sharan, K.; Yadav, D.; Maurya, R.; Singh, D. Daidzein prevents the increase in CD4+CD28null T cells and B lymphopoesis in ovariectomized mice: A key mechanism for anti-osteoclastogenic effect. PLoS ONE 2011, 6, e21216. [Google Scholar] [CrossRef]
- Ali, D.; Chen, L.; Kowal, J.M.; Okla, M.; Manikandan, M.; AlShehri, M.; AlMana, Y.; AlObaidan, R.; AlOtaibi, N.; Hamam, R.; et al. Resveratrol inhibits adipocyte differentiation and cellular senescence of human bone marrow stromal stem cells. Bone 2020, 133, 115252. [Google Scholar] [CrossRef] [PubMed]
- Tseng, P.C.; Hou, S.M.; Chen, R.J.; Peng, H.W.; Hsieh, C.F.; Kuo, M.L.; Yen, M.L. Resveratrol promotes osteogenesis of human mesenchymal stem cells by upregulating RUNX2 gene expression via the SIRT1/FOXO3A axis. J. Bone Miner. Res. 2011, 26, 2552–2563. [Google Scholar] [CrossRef] [PubMed]
- Ha, H.; Lee, H.Y.; Lee, J.H.; Jung, D.; Choi, J.; Song, K.Y.; Jung, H.J.; Choi, J.S.; Chang, S.I.; Kim, C. Formononetin prevents ovariectomy-induced bone loss in rats. Arch. Pharm. Res. 2010, 33, 625–632. [Google Scholar] [CrossRef] [PubMed]
- Lee, E.J.; Kim, J.L.; Kim, Y.H.; Kang, M.K.; Gong, J.H.; Kang, Y.H. Phloretin promotes osteoclast apoptosis in murine macrophages and inhibits estrogen deficiency-induced osteoporosis in mice. Phytomedicine 2014, 21, 1208–1215. [Google Scholar] [CrossRef]
- Kim, J.L.; Kim, Y.H.; Kang, M.K.; Gong, J.H.; Han, S.J.; Kang, Y.H. Antiosteoclastic activity of milk thistle extract after ovariectomy to suppress estrogen deficiency-induced osteoporosis. BioMed Res. Int. 2013, 2013, 919374. [Google Scholar] [CrossRef]
- Kim, S.I.; Kim, Y.H.; Kang, B.G.; Kang, M.K.; Lee, E.J.; Kim, D.Y.; Oh, H.; Oh, S.Y.; Na, W.; Lim, S.S.; et al. Linarin and its aglycone acacetin abrogate actin ring formation and focal contact to bone matrix of bone-resorbing osteoclasts through inhibition of αvβ3 integrin and core-linked CD44. Phytomedicine 2020, 79, 153351. [Google Scholar] [CrossRef] [PubMed]
- Yang, L.; Liu, S.; Mu, S.; Guo, R.; Zhou, L.; Fu, Q. Paeoniflorin attenuates dexamethasone-induced apoptosis of osteoblast cells and promotes bone formation via regulating akt/mtor/autophagy signaling pathway. Evid. Based Complement. Alternat. Med. 2021, 2021, 6623464. [Google Scholar] [CrossRef]
- Wang, D.; Ma, W.; Wang, F.; Dong, J.; Wang, D.; Sun, B.; Wang, B. Stimulation of Wnt/β-catenin signaling to improve bone development by naringin via interacting with AMPK and Akt. Cell. Physiol. Biochem. 2015, 36, 1563–1576. [Google Scholar] [CrossRef] [PubMed]
- Karadeniz, F.; Oh, J.H.; Jo, H.J.; Seo, Y.; Kong, C.S. Myricetin 3-O-β-D-galactopyranoside exhibits potential anti-osteoporotic properties in human bone marrow-derived mesenchymal stromal cells via stimulation of osteoblastogenesis and suppression of adipogenesis. Cells 2021, 10, 2690. [Google Scholar] [CrossRef] [PubMed]
- Leeming, D.J.; Henriksen, K.; Byrjalsen, I.; Qvist, P.; Madsen, S.H.; Garnero, P.; Karsdal, M.A. Is bone quality associated with collagen age? Osteoporos. Int. 2009, 20, 1461–1470. [Google Scholar] [CrossRef] [PubMed]
- El-Gazzar, A.; Högler, W. Mechanisms of bone fragility: From osteogenesis imperfecta to secondary osteoporosis. Int. J. Mol. Sci. 2021, 22, 625. [Google Scholar] [CrossRef] [PubMed]
- Wang, Z.; Wang, D.; Yang, D.; Zhen, W.; Zhang, J.; Peng, S. The effect of icariin on bone metabolism and its potential clinical application. Osteoporos. Int. 2018, 29, 535–544. [Google Scholar] [CrossRef] [PubMed]
- Zhang, Y.; Han, B.; Wei, Y.; Jing, J.; Li, J. Icariin promotes fracture healing in ovariectomized rats. Med. Sci. Monit. 2020, 26, e924554. [Google Scholar] [CrossRef] [PubMed]
- Mukai, K.; Urai, T.; Asano, K.; Nakajima, Y.; Nakatani, T. Evaluation of effects of topical estradiol benzoate application on cutaneous wound healing in ovariectomized female mice. PLoS ONE 2016, 11, e0163560. [Google Scholar] [CrossRef] [PubMed]
- Jiang, A.; Gao, S.; Zhao, Z.; Tan, Q.; Sun, S.; Song, C.; Leng, H. Phenotype changes of subchondral plate osteoblasts based on a rat model of ovariectomy-induced osteoarthritis. Ann. Transl. Med. 2020, 8, 476. [Google Scholar] [CrossRef] [PubMed]







| Animals | Control Mice | OVX Mice | OVX Mice | |||
|---|---|---|---|---|---|---|
| Parameters | 20 mg/kg CSE | 20 mg/kg Acacetin | 20 mg/kg Linarin | |||
| Femur | BMD | 82.53 ± 0.54 a | 71.43 ± 0.41 c | 78.77 ± 0.58 b | 74.72 ± 0.63 b | 78.22 ± 0.59 b |
| BMC | 18.83 ± 0.48 a | 17.14 ± 0.40 b | 18.50 ± 0.22 a | 17.33 ± 0.33 b | 18.33 ± 0.33 a | |
| area | 0.19 ± 0.002 a | 0.20 ± 0.003 a | 0.20 ± 0.003 a | 0.19 ± 0.003 a | 0.20 ± 0.005 a | |
| Tibia | BMD | 64.07 ± 0.32 a | 55.84 ± 0.26 c | 61.70 ± 0.31 b | 56.98 ± 0.42 c | 59.22 ± 0.35 b |
| BMC | 10.17 ± 0.31 a | 9.57 ± 0.20 b | 9.83 ± 0.31 a,b | 9.50 ± 0.22 b | 9.80 ± 0.17 a,b | |
| area | 0.15 ± 0.002 a | 0.15 ± 0.003 a | 0.15 ± 0.003 a | 0.15 ± 0.002 a | 0.15 ± 0.004 a | |
| Animals | Control Mice | OVX Mice | OVX Mice | |||
|---|---|---|---|---|---|---|
| Parameters | 20 mg/kg CSE | 20 mg/kg Acacetin | 20 mg/kg Linarin | |||
| Initial body weight (BW; g) | 21.85 ± 0.34 a | 21.80 ± 0.29 a | 21.70 ± 0.30 a | 21.87 ± 0.19 a | 21.92 ± 0.28 a | |
| Final BW (g) | 23.40 ± 0.36 c | 26.52 ± 0.29 a | 25.03 ± 0.45 b | 24.92 ± 0.31 b | 24.89 ± 0.42 b | |
| ADG (mg/d) | 21.53 ± 0.64 c | 65.56 ± 0.54 a | 46.30 ± 3.87 b | 42.20 ± 1.80 b | 41.34 ± 2.40 b | |
| ADFI (g/d) | 3.33 ± 0.06 a | 3.16 ± 0.10 a | 3.11 ± 0.06 a | 3.14 ± 0.06 a | 3.17 ± 0.06 a | |
| FER | 0.47 ± 0.01 c | 4.37 ± 2.88 a | 1.08 ± 0.10 b | 1.00 ± 0.04 b | 0.94 ± 0.05 b | |
| LW | 1.56 ± 0.05 a | 1.06 ± 0.07 b | 1.12 ± 0.04 b | 1.12 ± 0.03 b | 1.11 ± 0.04 b | |
| LW/BW(%) | 6.66 ± 0.10 a | 4.04 ± 0.04 c | 4.49 ± 0.08 b | 4.51 ± 0.06 b | 4.47 ± 0.08 b | |
| GPT | 22.25 ± 0.75 a | 22.29 ± 0.70 a | 21.50 ± 0.56 a | 21.33 ± 0.33 a | 21.67 ± 0.80 a | |
| GOP | 49.25 ± 1.11 a | 49.29 ± 0.87 a | 50.00 ± 1.06 a | 49.80 ± 0.97 a | 49.50 ± 0.56 a | |
| Animals | Control Mice | OVX Mice | OVX Mice | |||
|---|---|---|---|---|---|---|
| Parameters | 20 mg/kg CSE | 20 mg/kg Acacetin | 20 mg/kg Linarin | |||
| TC | 77.00 ± 0.91 d | 101.14 ± 1.65 a | 88.17 ± 2.09 c | 96.17 ± 0.95 b | 87.67 ± 5.58 c | |
| TG | 54.86 ± 3.62 b,c | 75.25 ± 5.30 a | 62.67 ± 4.12 b | 57.60 ± 3.22 b,c | 53.17 ± 3.85 c | |
| HDL-C | 41.71 ± 1.55 a | 31.00 ± 3.34 c | 36.67 ± 1.02 b | 44.50 ± 1.73 a | 39.33 ± 1.63 a,b | |
| LDL-C | 30.95 ± 2.88 c | 58.46 ± 2.63 a | 38.97 ± 2.68 b | 40.15 ± 0.96 b | 37.70 ± 4.83 b | |
Disclaimer/Publisher’s Note: The statements, opinions and data contained in all publications are solely those of the individual author(s) and contributor(s) and not of MDPI and/or the editor(s). MDPI and/or the editor(s) disclaim responsibility for any injury to people or property resulting from any ideas, methods, instructions or products referred to in the content. |
© 2023 by the authors. Licensee MDPI, Basel, Switzerland. This article is an open access article distributed under the terms and conditions of the Creative Commons Attribution (CC BY) license (https://creativecommons.org/licenses/by/4.0/).
Share and Cite
Oh, M.-S.; Kim, S.-I.; Sim, Y.E.; Park, S.-H.; Kang, M.-K.; Kang, I.-J.; Lim, S.S.; Kang, Y.-H. Cirsium Setidens Water Extracts Containing Linarin Block Estrogen Deprivation-Induced Bone Loss in Mice. Int. J. Mol. Sci. 2023, 24, 1620. https://doi.org/10.3390/ijms24021620
Oh M-S, Kim S-I, Sim YE, Park S-H, Kang M-K, Kang I-J, Lim SS, Kang Y-H. Cirsium Setidens Water Extracts Containing Linarin Block Estrogen Deprivation-Induced Bone Loss in Mice. International Journal of Molecular Sciences. 2023; 24(2):1620. https://doi.org/10.3390/ijms24021620
Chicago/Turabian StyleOh, Moon-Sik, Soo-Il Kim, Young Eun Sim, Sin-Hye Park, Min-Kyung Kang, Il-Jun Kang, Soon Sung Lim, and Young-Hee Kang. 2023. "Cirsium Setidens Water Extracts Containing Linarin Block Estrogen Deprivation-Induced Bone Loss in Mice" International Journal of Molecular Sciences 24, no. 2: 1620. https://doi.org/10.3390/ijms24021620
APA StyleOh, M.-S., Kim, S.-I., Sim, Y. E., Park, S.-H., Kang, M.-K., Kang, I.-J., Lim, S. S., & Kang, Y.-H. (2023). Cirsium Setidens Water Extracts Containing Linarin Block Estrogen Deprivation-Induced Bone Loss in Mice. International Journal of Molecular Sciences, 24(2), 1620. https://doi.org/10.3390/ijms24021620

