Impacts of Subchronic and Mild Social Defeat Stress on Plasma Putrefactive Metabolites and Cardiovascular Structure in Male Mice
Abstract
1. Introduction
2. Results
2.1. Feed and Water Intake and Body Weight Gain
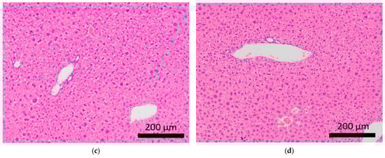
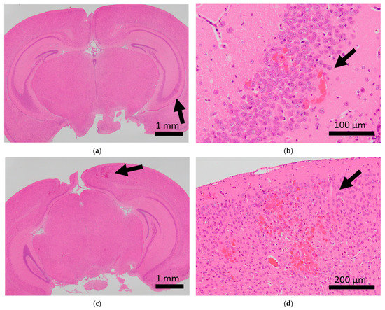
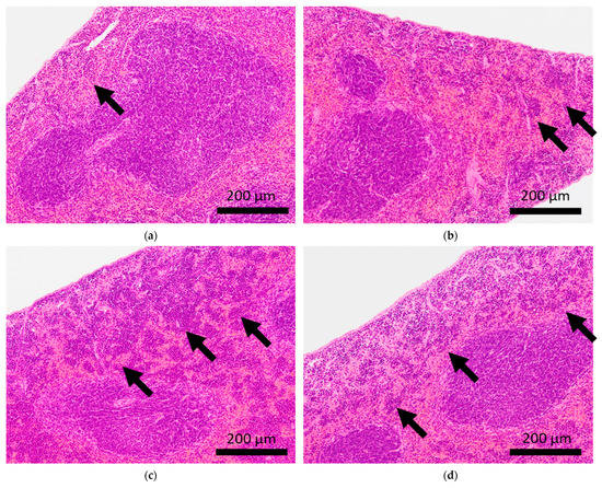
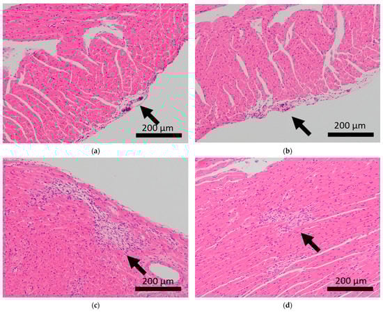
2.2. Pathological Findings in Tissues
2.3. Putrefactive Metabolites in Blood Plasma
3. Discussion
3.1. Brain
3.2. Heart
3.3. Liver
3.4. Spleen and Lung
3.5. Putrefactive Metabolites in Blood Plasma
4. Materials and Methods
4.1. Animals
4.2. Experimental Design
4.3. sCSDS Paradigm
4.4. Tissue Sampling
4.5. Histopathological Analysis
4.6. Analysis of Putrefactive Metabolites
4.7. Statistical Analysis
5. Conclusions
Supplementary Materials
Author Contributions
Funding
Institutional Review Board Statement
Informed Consent Statement
Data Availability Statement
Acknowledgments
Conflicts of Interest
References
- Institute of Health Metrics and Evaluation. Global Health Data Exchange (GHDx). Available online: http://ghdx.healthdata.org/gbd-results-tool?params=gbd-api-2019-permalink/d780dffbe8a381b25e1416884959e88b (accessed on 21 November 2022).
- Hare, D.L.; Toukhsati, S.R.; Johansson, P.; Jaarsma, T. Depression and Cardiovascular Disease: A Clinical Review. Eur. Heart J. 2014, 35, 1365–1372. [Google Scholar] [CrossRef]
- Nicholson, A.; Kuper, H.; Hemingway, H. Depression as an Aetiologic and Prognostic Factor in Coronary Heart Disease: A Meta-analysis of 6362 Events Among 146 538 Participants in 54 Observational Studies. Eur. Heart J. 2006, 27, 2763–2774. [Google Scholar] [CrossRef] [PubMed]
- Pan, A.; Sun, Q.; Okereke, O.I.; Rexrode, K.M.; Hu, F.B. Depression and Risk of Stroke Morbidity and Mortality: A Meta-analysis and Systematic Review. JAMA 2011, 306, 1241–1249. [Google Scholar] [CrossRef]
- Burrage, E.; Marshall, K.L.; Santanam, N.; Chantler, P.D. Cerebrovascular Dysfunction with Stress and Depression. Brain Circ. 2018, 4, 43–53. [Google Scholar] [CrossRef] [PubMed]
- Everson-Rose, S.A.; Roetker, N.S.; Lutsey, P.L.; Kershaw, K.N.; Longstreth, W.T.; Sacco, R.L.; Diez Roux, A.V.; Alonso, A. Chronic Stress, Depressive Symptoms, Anger, Hostility, and Risk of Stroke and Transient Ischemic Attack in the Multi-ethnic Study of Atherosclerosis. Stroke 2014, 45, 2318–2323. [Google Scholar] [CrossRef]
- Rosengren, A.; Hawken, S.; Ôunpuu, S.; Sliwa, K.; Zubaid, M.; Almahmeed, W.A.; Blackett, K.N.; Sitthi-amorn, C.; Sato, H.; Yusuf, S. Association of Psychosocial Risk Factors with Risk of Acute Myocardial Infarction in 11 119 Cases and 13 648 Controls from 52 Countries (the INTERHEART Study): Case-Control Study. Lancet 2004, 364, 953–962. [Google Scholar] [CrossRef] [PubMed]
- Golden, S.A.; Covington, H.E.; Berton, O.; Russo, S.J. A Standardized Protocol for Repeated Social Defeat Stress in Mice. Nat. Protoc. 2011, 6, 1183–1191. [Google Scholar] [CrossRef]
- Goto, T.; Kubota, Y.; Tanaka, Y.; Iio, W.; Moriya, N.; Toyoda, A. Subchronic and Mild Social Defeat Stress Accelerates Food Intake and Body Weight Gain with Polydipsia-Like Features in Mice. Behav. Brain Res. 2014, 270, 339–348. [Google Scholar] [CrossRef]
- Newman, E.L.; Leonard, M.Z.; Arena, D.T.; de Almeida, R.M.M.; Miczek, K.A. Social Defeat Stress and Escalation of Cocaine and Alcohol Consumption: Focus on CRF. Neurobiol. Stress 2018, 9, 151–156. [Google Scholar] [CrossRef]
- Krishnan, V.; Han, M.H.; Graham, D.L.; Berton, O.; Renthal, W.; Russo, S.J.; LaPlant, Q.; Graham, A.; Lutter, M.; Lagace, D.C.; et al. Molecular Adaptations Underlying Susceptibility and Resistance to Social Defeat in Brain Reward Regions. Cell 2007, 131, 391–404. [Google Scholar] [CrossRef]
- Otabi, H.; Goto, T.; Okayama, T.; Kohari, D.; Toyoda, A. Subchronic and Mild Social Defeat Stress Alter Mouse Nest Building Behavior. Behav. Processes 2016, 122, 21–25. [Google Scholar] [CrossRef]
- Savignac, H.M.; Finger, B.C.; Pizzo, R.C.; O’Leary, O.F.; Dinan, T.G.; Cryan, J.F. Increased Sensitivity to the Effects of Chronic Social Defeat Stress in an Innately Anxious Mouse Strain. Neuroscience 2011, 192, 524–536. [Google Scholar] [CrossRef]
- Yamagishi, N.; Omata, Y.; Aoki-Yoshida, A.; Moriya, N.; Goto, T.; Toyoda, A.; Aoki, R.; Suzuki, C.; Takayama, Y. Comparison of Gut Tight Junction Gene Expression in C57BL/6J and BALB/C Mice After Chronic Social Defeat Stress. Jpn. Agric. Res. Q. 2019, 53, 41–46. [Google Scholar] [CrossRef]
- Aoki-Yoshida, A.; Aoki, R.; Moriya, N.; Goto, T.; Kubota, Y.; Toyoda, A.; Takayama, Y.; Suzuki, C. Omics Studies of the Murine Intestinal Ecosystem Exposed to Subchronic and Mild Social Defeat Stress. J. Proteome Res. 2016, 15, 3126–3138. [Google Scholar] [CrossRef]
- Goto, T.; Kubota, Y.; Toyoda, A. Plasma and Liver Metabolic Profiles in Mice Subjected to Subchronic and Mild Social Defeat Stress. J. Proteome Res. 2015, 14, 1025–1032. [Google Scholar] [CrossRef] [PubMed]
- Goto, T.; Tomonaga, S.; Toyoda, A. Effects of Diet Quality and Psychosocial Stress on the Metabolic Profiles of Mice. J. Proteome Res. 2017, 16, 1857–1867. [Google Scholar] [CrossRef] [PubMed]
- Kubota, Y.; Goto, T.; Hagiya, Y.; Chohnan, S.; Toyoda, A. Decreased Hepatic Contents of Coenzyme A Molecular Species in Mice After Subchronic Mild Social Defeat Stress. Stress 2016, 19, 192–197. [Google Scholar] [CrossRef] [PubMed]
- Sgoifo, A.; Carnevali, L.; Grippo, A.J. The Socially Stressed Heart. Insights from Studies in Rodents. Neurosci. Biobehav. Rev. 2014, 39, 51–60. [Google Scholar] [CrossRef] [PubMed]
- Verbeke, K.A.; Boobis, A.R.; Chiodini, A.; Edwards, C.A.; Franck, A.; Kleerebezem, M.; Nauta, A.; Raes, J.; van Tol, E.A.; Tuohy, K.M. Towards microbial fermentation metabolites as markers for health benefits of prebiotics. Nutr. Res. Rev. 2015, 28, 42–66. [Google Scholar] [CrossRef] [PubMed]
- Wang, Z.; Bergeron, N.; Levison, B.S.; Li, X.S.; Chiu, S.; Jia, X.; Koeth, R.A.; Li, L.; Wu, Y.; Tang, W.H.W.; et al. Impact of chronic dietary red meat, white meat, or non-meat protein on trimethylamine N-oxide metabolism and renal excretion in healthy men and women. Eur. Heart J. 2019, 40, 583–594. [Google Scholar] [CrossRef]
- Schepers, E.; Glorieux, G.; Vanholder, R. The Gut: The Forgotten Organ in Uremia? Blood Purif. 2010, 29, 130–136. [Google Scholar] [CrossRef] [PubMed]
- Chen, M.L.; Yi, L.; Zhang, Y.; Zhou, X.; Ran, L.; Yang, J.; Zhu, J.D.; Zhang, Q.Y.; Mi, M.T. Resveratrol Attenuates Trimethylamine-N-oxide (TMAO)-Induced Atherosclerosis by Regulating TMAO Synthesis and Bile Acid Metabolism via Remodeling of the Gut Microbiota. mBio 2016, 7, e02210-15. [Google Scholar] [CrossRef] [PubMed]
- Croci, S.; D’Apolito, L.I.; Gasperi, V.; Catani, M.V.; Savini, I. Dietary Strategies for Management of Metabolic Syndrome: Role of Gut Microbiota Metabolites. Nutrients 2021, 13, 1389. [Google Scholar] [CrossRef] [PubMed]
- Janeiro, M.H.; Ramírez, M.J.; Milagro, F.I.; Martínez, J.A.; Solas, M. Implication of Trimethylamine N-oxide (TMAO) in Disease: Potential Biomarker or New Therapeutic Target. Nutrients 2018, 10, 1398. [Google Scholar] [CrossRef] [PubMed]
- de Loor, H.; Poesen, R.; De Leger, W.; Dehaen, W.; Augustijns, P.; Evenepoel, P.; Meijers, B.A. Liquid Chromatography—Tandem Mass Spectrometry Method to Measure a Selected Panel of Uremic Retention Solutes Derived from Endogenous and Colonic Microbial Metabolism. Anal. Chim. Acta. 2016, 936, 149–156. [Google Scholar] [CrossRef] [PubMed]
- Tomlinson, J.A.P.; Wheeler, D.C. The Role of Trimethylamine N-oxide as a Mediator of Cardiovascular Complications in Chronic Kidney Disease. Kidney Int. 2017, 92, 809–815. [Google Scholar] [CrossRef] [PubMed]
- Menard, C.; Pfau, M.L.; Hodes, G.E.; Kana, V.; Wang, V.X.; Bouchard, S.; Takahashi, A.; Flanigan, M.E.; Aleyasin, H.; Leclair, K.B.; et al. Social Stress Induces Neurovascular Pathology Promoting Depression. Nat. Neurosci. 2017, 20, 1752–1760. [Google Scholar] [CrossRef]
- Lehmann, M.L.; Poffenberger, C.N.; Elkahloun, A.G.; Herkenham, M. Analysis of Cerebrovascular Dysfunction Caused by Chronic Social Defeat in Mice. Brain Behav. Immun. 2020, 88, 735–747. [Google Scholar] [CrossRef]
- Glass, A.M.; Coombs, W.; Taffet, S.M. Spontaneous Cardiac Calcinosis in BALB/cByJ Mice. Comp. Med. 2013, 63, 29–37. [Google Scholar]
- Costoli, T.; Bartolomucci, A.; Graiani, G.; Stilli, D.; Laviola, G.; Sgoifo, A.; Stilli, D.N. Effects of Chronic Psychosocial Stress on Cardiac Autonomic Responsiveness and Myocardial Structure in Mice. Am. J. Physiol. Heart Circ. Physiol. 2004, 286, 2133–2140. [Google Scholar] [CrossRef]
- Hammamieh, R.; Chakraborty, N.; de Lima, T.C.M.; Meyerhoff, J.; Gautam, A.; Muhie, S.; D’Arpa, P.; Lumley, L.; Carroll, E.; Jett, M. Murine Model of Repeated Exposures to Conspecific Trained Aggressors Simulates Features of Post-traumatic Stress Disorder. Behav. Brain Res. 2012, 235, 55–66. [Google Scholar] [CrossRef]
- Eliot, R.S.; Buell, J.C. Role of Emotions and Stress in the Genesis of Sudden Death. J. Am. Coll. Cardiol. 1985, 5 (Suppl. 6), 95B–98B. [Google Scholar] [CrossRef] [PubMed]
- Frangogiannis, N.G. Cardiac Fibrosis. Cardiovasc. Res. 2021, 117, 1450–1488. [Google Scholar] [CrossRef] [PubMed]
- Thoolen, B.; Maronpot, R.R.; Harada, T.; Nyska, A.; Rousseaux, C.; Nolte, T.; Malarkey, D.E.; Kaufmann, W.; Küttler, K.; Deschl, U.; et al. Proliferative and Nonproliferative Lesions of the Rat and Mouse Hepatobiliary System. Toxicol. Pathol. 2010, 38 (Suppl. 7), 5S–81S. [Google Scholar] [CrossRef] [PubMed]
- McKim, D.B.; Yin, W.; Wang, Y.; Cole, S.W.; Godbout, J.P.; Sheridan, J.F. Social Stress Mobilizes Hematopoietic Stem Cells to Establish Persistent Splenic Myelopoiesis. Cell Rep. 2018, 25, 2552–2562.e3. [Google Scholar] [CrossRef]
- Rysz, J.; Franczyk, B.; Ławiński, J.; Olszewski, R.; Ciałkowska-Rysz, A.; Gluba-Brzózka, A. The Impact of CKD on Uremic Toxins and Gut Microbiota. Toxins 2021, 13, 252. [Google Scholar] [CrossRef]
- Watanabe, H.; Miyamoto, Y.; Honda, D.; Tanaka, H.; Wu, Q.; Endo, M.; Noguchi, T.; Kadowaki, D.; Ishima, Y.; Kotani, S.; et al. P-Cresyl Sulfate Causes Renal Tubular Cell Damage by Inducing Oxidative Stress by Activation of NADPH Oxidase. Kidney Int. 2013, 83, 582–592. [Google Scholar] [CrossRef]
- Glorieux, G.; Vanholder, R.; van Biesen, W.; Pletinck, A.; Schepers, E.; Neirynck, N.; Speeckaert, M.; De Bacquer, D.; Verbeke, F. Free p-Cresyl Sulfate Shows the Highest Association with Cardiovascular Outcome in Chronic Kidney Disease. Nephrol. Dial. Transplant. 2021, 36, 998–1005. [Google Scholar] [CrossRef]
- Han, H.; Zhu, J.; Zhu, Z.; Ni, J.; Du, R.; Dai, Y.; Chen, Y.; Wu, Z.; Lu, L.; Zhang, R. P-Cresyl Sulfate Aggravates Cardiac Dysfunction Associated with Chronic Kidney Disease by Enhancing Apoptosis of Cardiomyocytes. J. Am. Heart Assoc. 2015, 4, e001852. [Google Scholar] [CrossRef]
- Goto, T.; Toyoda, A. A Mouse Model of Subchronic and Mild Social Defeat Stress for Understanding Stress-Induced Behavioral and Physiological Deficits. J. Vis. Exp. 2015, 105, 52973. [Google Scholar] [CrossRef] [PubMed]
- Schafer, K.A.; Eighmy, J.; Fikes, J.D.; Halpern, W.G.; Hukkanen, R.R.; Long, G.G.; Meseck, E.K.; Patrick, D.J.; Thibodeau, M.S.; Wood, C.E.; et al. Use of Severity Grades to Characterize Histopathologic Changes. Toxicol. Pathol. 2018, 46, 256–265. [Google Scholar] [CrossRef] [PubMed]
- Kawase, T.; Kawakami, K.; Harada, K.; Chonan, O.; Tsukahara, T. Simultaneous Analysis of Glucuronyl- and Sulpho-Conjugates of Intestinal Putrefactive Compounds in Human Urine by Ultra-Performance Liquid Chromatography Tandem Mass Spectrometry. Chromatography 2019, 40, 9–18. [Google Scholar] [CrossRef]
- Shirouchi, B.; Fukuda, A.; Akasaka, T. Unlike Glycerophosphocholine or Choline Chloride, Dietary Phosphatidylcholine Does Not Increase Plasma Trimethylamine-N-oxide Levels in Sprague-Dawley Rats. Metabolites 2022, 12, 64. [Google Scholar] [CrossRef] [PubMed]






| Control | sCSDS | p-Value | |
|---|---|---|---|
| Total feed intake (g) | 31.36 ± 0.61 | 32.37 ± 0.85 | 0.36 |
| Total water intake (g) | 30.55 ± 0.76 | 31.85 ± 1.94 | 0.55 |
| Body weight gain (g) | 0.74 ± 0.33 | −0.10 ± 0.66 | 0.29 |
| Brain | Heart | Liver | Spleen | Lung | |
|---|---|---|---|---|---|
| Control 1 | — | Calcification of the epicardium (++) | Focal necrosis (++) | Extramedullary hematopoiesis (+) | Hemorrhage (+) |
| Control 2 | — | Calcification of the epicardium (+) | Focal necrosis (++) | — | Hemorrhage (+) |
| Control 3 | — | Calcification of the epicardium (+) | Focal necrosis (++) | Extramedullary hematopoiesis (+) | Hemorrhage (+) |
| Control 4 | — | Calcification of the epicardium (++) | Focal necrosis (+) | Extramedullary hematopoiesis (+) | Hemorrhage (+) |
| Control 5 | — | — | Focal necrosis (+) | — | — |
| sCSDS 1 | — | Calcification of the epicardium (+) | — | Extramedullary hematopoiesis (+++) | — |
| sCSDS 2 | — | Fibrosis (+), Calcification of the epicardium (+) | — | Extramedullary hematopoiesis (+++) | — |
| sCSDS 3 | — | Calcification of the epicardium (+) | — | Extramedullary hematopoiesis (++) | Hemorrhage (+) |
| sCSDS 4 | Microhemorrhage (+) | Fibrosis (+) | — | Extramedullary hematopoiesis (+) | Pulmonary edema, Hemorrhage (+) |
| sCSDS 5 | Microhemorrhage (+) | Fibrosis (++) | — | Extramedullary hematopoiesis (+++) | Hemorrhage (+) |
| sCSDS 6 | — | Fibrosis (+) | — | Extramedullary hematopoiesis (+) | — |
| sCSDS 7 | — | Fibrosis (+), Calcification of the epicardium (+) | — | Extramedullary hematopoiesis (+) | Hemorrhage (+) |
| sCSDS 8 | Microhemorrhage (+) | Fibrosis (+) | — | Extramedullary hematopoiesis (+) | Edema (+) |
| sCSDS 9 | Fibrosis (+) | — | Extramedullary hematopoiesis (+) | Hemorrhage (+) |
| Control | sCSDS | p-Value | |
|---|---|---|---|
| TMAO | 1.46 ± 0.34 | 1.00 ± 0.20 | 0.30 |
| p-Cresyl glucuronide | 0.00 ± 0.00 | 0.64 ± 0.21 | 0.02 |
| Indoxyl sulfate | 5.34 ± 0.64 | 3.75 ± 0.64 | 0.12 |
| p-Cresyl sulfate | 0.00 ± 0.00 | 3.60 ± 1.15 | 0.02 |
Disclaimer/Publisher’s Note: The statements, opinions and data contained in all publications are solely those of the individual author(s) and contributor(s) and not of MDPI and/or the editor(s). MDPI and/or the editor(s) disclaim responsibility for any injury to people or property resulting from any ideas, methods, instructions or products referred to in the content. |
© 2023 by the authors. Licensee MDPI, Basel, Switzerland. This article is an open access article distributed under the terms and conditions of the Creative Commons Attribution (CC BY) license (https://creativecommons.org/licenses/by/4.0/).
Share and Cite
Toyoda, A.; Kawakami, K.; Amano, Y.; Nishizawa, H.; Nakamura, S.-i.; Kawase, T.; Yoshida, Y.; Suzuki, H.; Tsukahara, T. Impacts of Subchronic and Mild Social Defeat Stress on Plasma Putrefactive Metabolites and Cardiovascular Structure in Male Mice. Int. J. Mol. Sci. 2023, 24, 1237. https://doi.org/10.3390/ijms24021237
Toyoda A, Kawakami K, Amano Y, Nishizawa H, Nakamura S-i, Kawase T, Yoshida Y, Suzuki H, Tsukahara T. Impacts of Subchronic and Mild Social Defeat Stress on Plasma Putrefactive Metabolites and Cardiovascular Structure in Male Mice. International Journal of Molecular Sciences. 2023; 24(2):1237. https://doi.org/10.3390/ijms24021237
Chicago/Turabian StyleToyoda, Atsushi, Kina Kawakami, Yuto Amano, Hideaki Nishizawa, Shin-ichi Nakamura, Takahiro Kawase, Yuta Yoshida, Hodaka Suzuki, and Takamitsu Tsukahara. 2023. "Impacts of Subchronic and Mild Social Defeat Stress on Plasma Putrefactive Metabolites and Cardiovascular Structure in Male Mice" International Journal of Molecular Sciences 24, no. 2: 1237. https://doi.org/10.3390/ijms24021237
APA StyleToyoda, A., Kawakami, K., Amano, Y., Nishizawa, H., Nakamura, S.-i., Kawase, T., Yoshida, Y., Suzuki, H., & Tsukahara, T. (2023). Impacts of Subchronic and Mild Social Defeat Stress on Plasma Putrefactive Metabolites and Cardiovascular Structure in Male Mice. International Journal of Molecular Sciences, 24(2), 1237. https://doi.org/10.3390/ijms24021237

