Antifungal Efficacy of Antimicrobial Peptide Octominin II against Candida albicans
Abstract
1. Introduction
2. Results
2.1. Physiochemical Characteristics of Octominin II
2.2. Anticandidal and pH Dependent Activity of Octominin II against Candida spp.
2.3. Ultrastructural Changes in C. albicans Caused by Octominin II
2.4. Effect of Octominin II on Cell Membrane Permeability of C. albicans
2.5. Elevated Intracellular Oxidative Stress upon Treatment with Octominin II
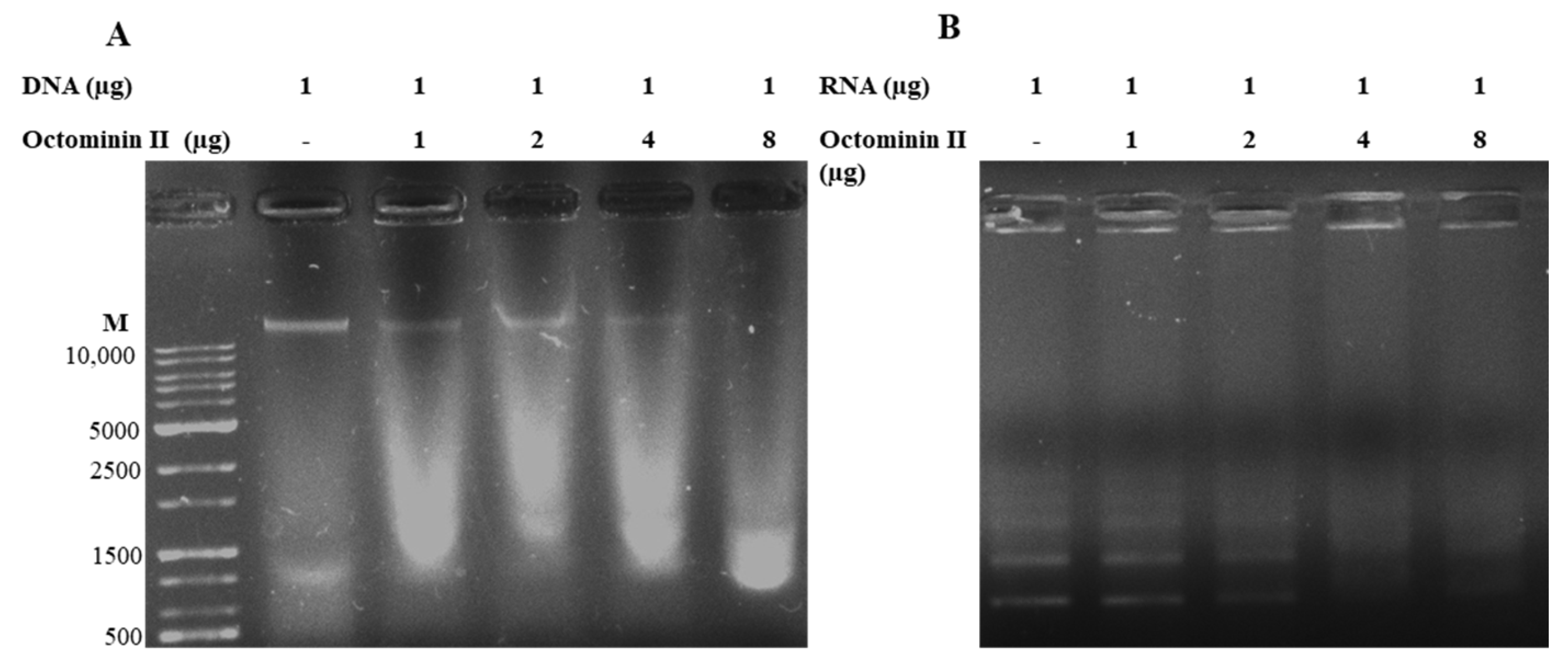
2.6. Interaction of Octominin II with Genomic DNA of C. albicans
2.7. Antibiofilm Activity of Octominin II
2.8. Effect of Octominin II on the Expression Pattern of Selected Virulence Genes of C. albicans
2.9. In Vivo and In Vitro Cytotoxicity and Hemolysis Activity of Octominin II
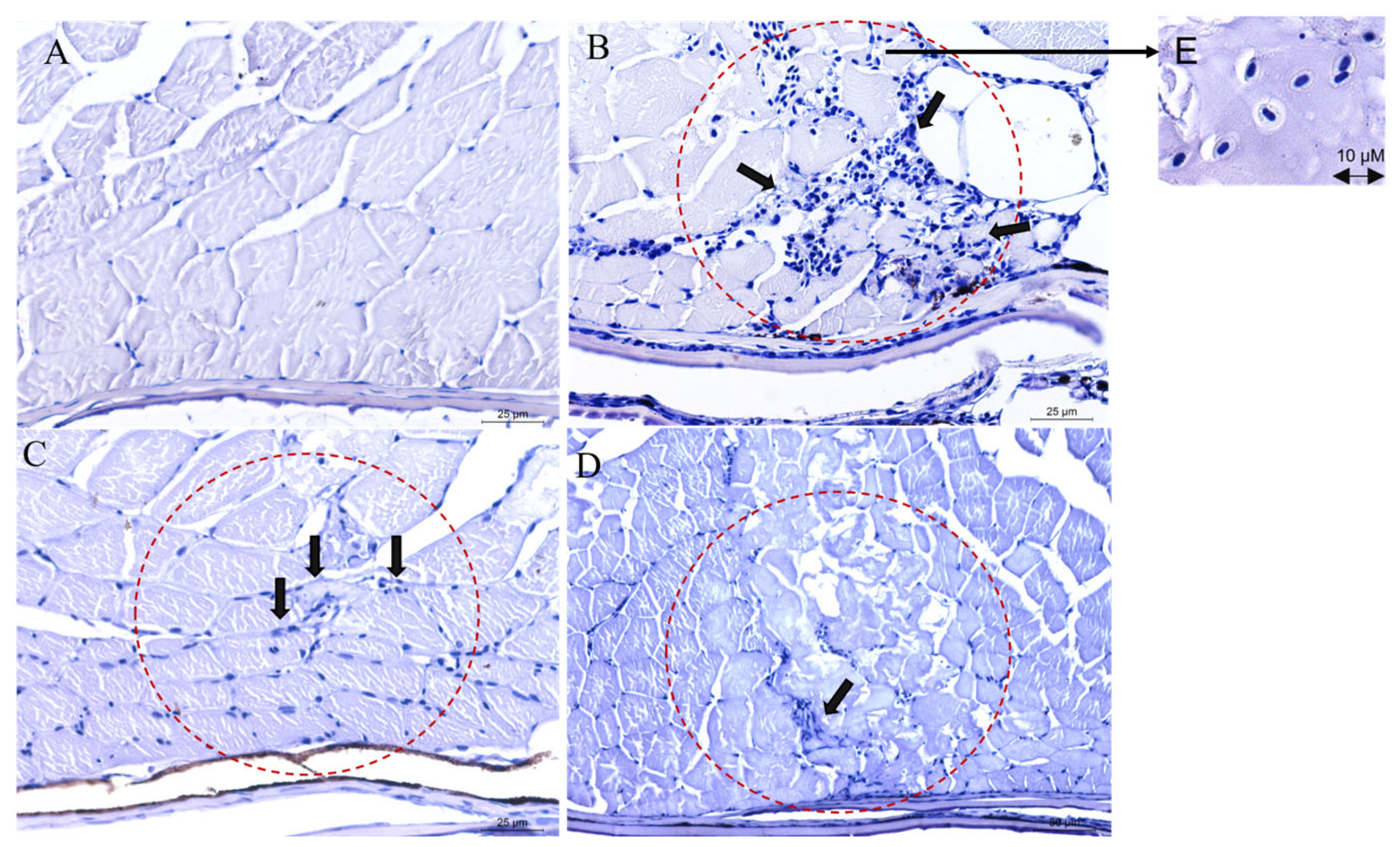
2.10. In Vivo Efficacy of Octominin II against C. albicans Infection in Zebrafish Model
3. Discussion
4. Materials and Methods
4.1. Designing and Synthesis of the Octominin II
4.2. Determination of Minimum Inhibitory Concentration (MIC), Minimum Fungicidal Concentration (MFC), Time-Kill Kinetics, and pH Dependent Inhibitory Activity of Octominin II
4.3. FE-SEM for Morphological and Structural Analysis of Octominin II Treated C. albicans
4.4. Propidium Iodide Uptake Assay (PI/FDA) and Reactive Oxygen Species (ROS) Generation
4.5. DNA and RNA Mobility Shift Assay
4.6. Transcriptional Analysis of C. albicans after Octominin II Treatment
4.7. Antibiofilm Activity Assays
4.8. In Vitro and In Vivo Toxicity Analysis and Hemolysis Activity of Octominin II
4.9. In Vivo Anticanidal Activity of Octominin II against C. albicans in Zebrafish
4.10. Statistical Analysis
5. Conclusions
Supplementary Materials
Author Contributions
Funding
Institutional Review Board Statement
Data Availability Statement
Conflicts of Interest
References
- Pristov, K.E.; Ghannoum, M.A. Resistance of Candida to azoles and echinocandins worldwide. Clin. Microbiol. Infect. 2019, 25, 792–798. [Google Scholar] [CrossRef]
- Lohse, M.B.; Gulati, M.; Johnson, A.D.; Nobile, C.J. Development and regulation of single- and multi-species Candida albicans biofilms. Nat. Rev. Microbiol. 2018, 16, 19–31. [Google Scholar] [CrossRef] [PubMed]
- De Oliveira Santos, G.C.; Vasconcelos, C.C.; Lopes, A.J.; de Sousa Cartágenes, M.D.S.; Filho, A.K.; do Nascimento, F.R.; Ramos, R.M.; Pires, E.R.; de Andrade, M.S.; Rocha, F.M.; et al. Candida infections and therapeutic strategies: Mechanisms of action for traditional and alternative agents. Front. Microbiol. 2018, 9, 1351. [Google Scholar] [CrossRef] [PubMed]
- Arendrup, M.C.; Patterson, T.F. Multidrug-Resistant Candida: Epidemiology, Molecular mechanisms, and treatment. J. Infect. Dis. 2017, 216, 445–451. [Google Scholar] [CrossRef] [PubMed]
- Jahagirdar, V.L.; Davane, M.S.; Aradhye, S.C.; Nagoba, B.S. Candida species as potential nosocomial pathogens—A review. Electron. J. Gen. Med. 2018, 15, 74–78. [Google Scholar]
- Lee, Y.; Puumala, E.; Robbins, N.; Cowen, L.E. Antifungal Drug Resistance: Molecular Mechanisms in Candida albicans and Beyond. Chem. Rev. 2021, 121, 3390–3411. [Google Scholar] [CrossRef] [PubMed]
- Silva, S.; Negri, M.; Henriques, M.; Oliveira, R.; Williams, D.W.; Azeredo, J. Candida glabrata, Candida parapsilosis and Candida tropicalis: Biology, epidemiology, pathogenicity and antifungal resistance. FEMS Microbiol. Rev. 2012, 36, 288–305. [Google Scholar] [CrossRef] [PubMed]
- Luo, Y.; Song, Y. Mechanism of antimicrobial peptides: Antimicrobial, anti-inflammatory and antibiofilm activities. Int. J. Mol. Sci. 2021, 22, 11401. [Google Scholar] [CrossRef]
- Bin Hafeez, A.; Jiang, X.; Bergen, P.J.; Zhu, Y. Antimicrobial Peptides: An Update on Classifications and Databases. Int. J. Mol. Sci. 2021, 22, 11691. [Google Scholar] [CrossRef]
- Lazzaro, B.P.; Zasloff, M.; Rolff, J. Antimicrobial peptides: Application informed by evolution. Science 2020, 368, eaau5480. [Google Scholar] [CrossRef]
- Nikapitiya, C.; Dananjaya, S.; Chandrarathna, H.; De Zoysa, M.; Whang, I. Octominin: A Novel Synthetic Anticandidal Peptide Derived from Defense Protein of Octopus minor. Mar. Drugs 2020, 18, 56. [Google Scholar] [CrossRef] [PubMed]
- Diehnelt, C.W. Peptide array based discovery of synthetic antimicrobial peptides. Front. Microbiol. 2013, 4, 402. [Google Scholar] [CrossRef] [PubMed]
- Ciociola, T.; Giovati, L.; De Simone, T.; Bergamaschi, G.; Gori, A.; Consalvi, V.; Conti, S.; Vitali, A. Novel arginine - and proline - rich candidacidal peptides obtained through a bioinformatic approach. Antibiotics 2023, 12, 472. [Google Scholar] [CrossRef] [PubMed]
- Al-Khdhairawi, A.; Sanuri, D.; Akbar, R.; Lam, S.D.; Sugumar, S.; Ibrahim, N.; Chieng, S.; Sairi, F. Machine learning and molecular simulation ascertain antimicrobial peptide against Klebsiella pneumoniae from public database. Comput. Biol. Chem. 2023, 102, 107800. [Google Scholar] [CrossRef] [PubMed]
- Kim, I.-W.; Markkandan, K.; Lee, J.H.; Subramaniyam, S.; Yoo, S.; Park, J.; Hwang, J.S. Transcriptome Profiling and In Silico Analysis of the Antimicrobial Peptides of the Grasshopper Oxya chinensis sinuosa. J. Microbiol. Biotechnol. 2016, 26, 1863–1870. [Google Scholar] [CrossRef] [PubMed]
- Wei, D.; Tian, C.-B.; Liu, S.-H.; Wang, T.; Smagghe, G.; Jia, F.-X.; Dou, W.; Wang, J.-J. Transcriptome analysis to identify genes for peptides and proteins involved in immunity and reproduction from male accessory glands and ejaculatory duct of Bactrocera dorsalis. Peptides 2016, 80, 48–60. [Google Scholar] [CrossRef]
- Lee, J.H.; Chung, H.; Shin, Y.P.; Kim, I.-W.; Natarajan, S.; Veerappan, K.; Seo, M.; Park, J.; Hwang, J.S. Transcriptome Analysis of Psacothea hilaris: De Novo Assembly and Antimicrobial Peptide Prediction. Insects 2020, 11, 676. [Google Scholar] [CrossRef]
- Yakovlev, I.A.; Lysøe, E.; Heldal, I.; Steen, H.; Hagen, S.B.; Clarke, J.L. Transcriptome profiling and in silico detection of the antimicrobial peptides of red king crab Paralithodes camtschaticus. Sci. Rep. 2020, 10, 12679. [Google Scholar] [CrossRef]
- Amparyup, P.; Charoensapsri, W.; Samaluka, N.; Chumtong, P.; Yocawibun, P.; Imjongjirak, C. Transcriptome analysis identifies immune-related genes and antimicrobial peptides in Siamese fighting fish (Betta splendens). Fish Shellfish Immunol. 2020, 99, 403–413. [Google Scholar] [CrossRef]
- Jayathilaka, E.T.; Liyanage, T.; Rajapaksha, D.; Dananjaya, S.; Nikapitiya, C.; Whang, I.; De Zoysa, M. Octominin: An antibacterial and anti-biofilm peptide for controlling the multidrug resistance and pathogenic Streptococcus parauberis. Fish Shellfish Immunol. 2021, 110, 23–34. [Google Scholar] [CrossRef]
- Jayathilaka, E.H.T.T.; Rajapaksha, D.C.; Nikapitiya, C.; De Zoysa, M.; Whang, I. Antimicrobial and Anti-Biofilm Peptide Octominin for Controlling Multidrug-Resistant Acinetobacter baumannii. Int. J. Mol. Sci. 2021, 22, 5353. [Google Scholar] [CrossRef] [PubMed]
- Sanjeewa, K.K.A.; Nagahawatta, D.P.; Yang, H.-W.; Oh, J.Y.; Jayawardena, T.U.; Jeon, Y.-J.; De Zoysa, M.; Whang, I.; Ryu, B. Octominin inhibits LPS-induced chemokine and pro-inflammatory cytokine secretion from raw 264.7 macrophages via blocking TLRS/nf-κb signal transduction. Biomolecules 2020, 10, 511. [Google Scholar] [CrossRef]
- Hube, B. From commensal to pathogen: Stage- and tissue-specific gene expression of Candida albicans. Curr. Opin. Microbiol. 2004, 7, 336–341. [Google Scholar] [CrossRef]
- Ksiezopolska, E.; Gabaldón, T. Evolutionary Emergence of Drug Resistance in Candida Opportunistic Pathogens. Genes 2018, 9, 461. [Google Scholar] [CrossRef] [PubMed]
- Swidergall, M.; Ernst, J.F. Interplay between Candida albicans and the Antimicrobial Peptide Armory. Eukaryot. Cell 2014, 13, 950–957. [Google Scholar] [CrossRef] [PubMed]
- Den Hertog, A.L.; Van Marle, J.; Van Veen, H.A.; Van’t Hof, W.; Bolscher, J.G.M.; Veerman, E.C.I.; Amerongen, A.V.N. Candidacidal effects of two antimicrobial peptides: Histatin 5 causes small membrane defects, but LL-37 causes massive disruption of the cell membrane. Biochem. J. 2005, 388, 689–695. [Google Scholar] [CrossRef] [PubMed]
- Dracatos, P.M.; Payne, J.; Di Pietro, A.; Anderson, M.A.; Plummer, K.M. Plant Defensins NaD1 and NaD2 Induce Different Stress Response Pathways in Fungi. Int. J. Mol. Sci. 2016, 17, 1473. [Google Scholar] [CrossRef] [PubMed]
- Cabral, K.M.; Almeida, M.S.; Valente, A.P.; Almeida, F.C.; Kurtenbach, E. Production of the active antifungal Pisum sativum defensin 1 (Psd1) in Pichia pastoris: Overcoming the inefficiency of the STE13 protease. Protein Expr. Purif. 2003, 31, 115–122. [Google Scholar] [CrossRef]
- Rodriguez, A.; Martell-Huguet, E.M.; González-García, M.; Alpízar-Pedraza, D.; Alba, A.; Vazquez, A.A.; Grieshober, M.; Spellerberg, B.; Stenger, S.; Münch, J.; et al. Identification and characterization of three new antimicrobial peptides from the marine mollusk Nerita versicolor (Gmelin, 1791). Int. J. Mol. Sci. 2023, 24, 3852. [Google Scholar] [CrossRef]
- Silva, P.I.; Daffre, S.; Bulet, P. Isolation and Characterization of Gomesin, an 18-Residue Cysteine-rich Defense Peptide from the Spider Acanthoscurria gomesiana Hemocytes with Sequence Similarities to Horseshoe Crab Antimicrobial Peptides of the Tachyplesin Family. J. Biol. Chem. 2000, 275, 33464–33470. [Google Scholar] [CrossRef]
- Cascales, J.J.L.; Zenak, S.; de la Torre, J.G.; Lezama, O.G.; Garro, A.; Enriz, R.D. Small Cationic Peptides: Influence of Charge on Their Antimicrobial Activity. ACS Omega 2018, 3, 5390–5398. [Google Scholar] [CrossRef] [PubMed]
- Free, S.J. Fungal Cell Wall Organization and Biosynthesis, 1st ed.; Advances in Genetics; Elsevier Inc.: Philadelphia, PA, USA, 2013; Volume 81, pp. 33–82. [Google Scholar]
- Garcia-Rubio, R.; de Oliveira, H.C.; Rivera, J.; Trevijano-Contador, N. The Fungal Cell Wall: Candida, Cryptococcus, and Aspergillus Species. Front. Microbiol. 2020, 10, 2993. [Google Scholar] [CrossRef]
- Ruiz-Herrera, J.; Victoria Elorza, M.; Valentín, E.; Sentandreu, R. Molecular organization of the cell wall of Candida albicans and its relation to pathogenicity. FEMS Yeast Res. 2006, 6, 14–29. [Google Scholar] [CrossRef] [PubMed]
- Chen, Y.; Guarnieri, M.T.; Vasil, A.I.; Vasil, M.L.; Mant, C.T.; Hodges, R.S. Role of Peptide Hydrophobicity in the Mechanism of Action of α-Helical Antimicrobial Peptides. Antimicrob. Agents Chemother. 2007, 51, 1398–1406. [Google Scholar] [CrossRef] [PubMed]
- Wang, K.; Dang, W.; Xie, J.; Zhu, R.; Sun, M.; Jia, F.; Zhao, Y.; An, X.; Qiu, S.; Li, X.; et al. Antimicrobial peptide protonectin disturbs the membrane integrity and induces ROS production in yeast cells. Biochim. Biophys. Acta Biomembr. 2015, 1848, 2365–2373. [Google Scholar] [CrossRef] [PubMed]
- Dias, L.P.; Santos, A.L.; Araújo, N.M.; Silva, R.R.; Santos, M.H.; Roma, R.R.; Rocha, B.A.; Oliveira, J.T.; Teixeira, C.S. Machaerium acutifolium lectin alters membrane structure and induces ROS production in Candida parapsilosis. Int. J. Biol. Macromol. 2020, 163, 19–25. [Google Scholar] [CrossRef] [PubMed]
- Rosenberg, M.; Azevedo, N.F.; Ivask, A. Propidium iodide staining underestimates viability of adherent bacterial cells. Sci. Rep. 2019, 9, 6483. [Google Scholar] [CrossRef]
- Maurya, I.K.; Pathak, S.; Sharma, M.; Sanwal, H.; Chaudhary, P.; Tupe, S.G.; Deshpande, M.; Chauhan, V.S.; Prasad, R. Antifungal activity of novel synthetic peptides by accumulation of reactive oxygen species (ROS) and disruption of cell wall against Candida albicans. Peptides 2011, 32, 1732–1740. [Google Scholar] [CrossRef]
- Khani, S.; Seyedjavadi, S.S.; Hosseini, H.M.; Goudarzi, M.; Valadbeigi, S.; Khatami, S.; Ajdary, S.; Eslamifar, A.; Amani, J.; Fooladi, A.A.I.; et al. Effects of the antifungal peptide Skh-AMP1 derived from Satureja khuzistanica on cell membrane permeability, ROS production, and cell morphology of conidia and hyphae of Aspergillus fumigatus. Peptides 2020, 123, 170195. [Google Scholar] [CrossRef]
- Seyedjavadi, S.S.; Khani, S.; Eslamifar, A.; Ajdary, S.; Goudarzi, M.; Halabian, R.; Akbari, R.; Zare-Zardini, H.; Fooladi, A.A.I.; Amani, J.; et al. The Antifungal Peptide MCh-AMP1 Derived From Matricaria chamomilla Inhibits Candida albicans Growth via Inducing ROS Generation and Altering Fungal Cell Membrane Permeability. Front. Microbiol. 2020, 10, 3150. [Google Scholar] [CrossRef]
- Chang, C.-K.; Kao, M.-C.; Lan, C.-Y. Antimicrobial Activity of the Peptide LfcinB15 against Candida albicans. J. Fungi 2021, 7, 519. [Google Scholar] [CrossRef] [PubMed]
- Hou, X.; Li, J.; Tang, H.; Li, Q.; Shen, G.; Li, S.; Chen, A.; Peng, Z.; Zhang, Y.; Li, C.; et al. Antibacterial Peptide NP-6 Affects Staphylococcus aureus by Multiple Modes of Action. Int. J. Mol. Sci. 2022, 23, 7812. [Google Scholar] [CrossRef] [PubMed]
- Uyterhoeven, E.T.; Butler, C.H.; Ko, D.; Elmore, D.E. Investigating the nucleic acid interactions and antimicrobial mechanism of buforin II. FEBS Lett. 2008, 582, 1715–1718. [Google Scholar] [CrossRef] [PubMed]
- Yan, J.; Wang, K.; Dang, W.; Chen, R.; Xie, J.; Zhang, B.; Song, J.; Wang, R. Two Hits Are Better than One: Membrane-Active and DNA Binding-Related Double-Action Mechanism of NK-18, a Novel Antimicrobial Peptide Derived from Mammalian NK-Lysin. Antimicrob. Agents Chemother. 2013, 57, 220–228. [Google Scholar] [CrossRef] [PubMed]
- Sandgren, S.; Wittrup, A.; Cheng, F.; Jönsson, M.; Eklund, E.; Busch, S.; Belting, M. The human antimicrobial peptide LL-37 transfers extracellular DNA plasmid to the nuclear compartment of mammalian cells via lipid rafts and proteoglycan-dependent endocytosis. J. Biol. Chem. 2004, 279, 17951–17956. [Google Scholar] [CrossRef] [PubMed]
- Liu, D.; Liu, J.; Li, J.; Xia, L.; Yang, J.; Sun, S.; Ma, J.; Zhang, F. A potential food biopreservative, CecXJ-37N, non-covalently intercalates into the nucleotides of bacterial genomic DNA beyond membrane attack. Food Chem. 2017, 217, 576–584. [Google Scholar] [CrossRef] [PubMed]
- Jayathilaka, E.H.T.T.; Rajapaksha, D.C.; Nikapitiya, C.; Lee, J.; De Zoysa, M.; Whang, I. Novel antimicrobial peptide “Octoprohibitin” against multidrug resistant Acinetobacter baumannii. Pharmaceuticals 2022, 15, 928. [Google Scholar] [CrossRef]
- Tanida, T.; Okamoto, T.; Ueta, E.; Yamamoto, T.; Osaki, T. Antimicrobial peptides enhance the candidacidal activity of antifungal drugs by promoting the efflux of ATP from Candida cells. J. Antimicrob. Chemother. 2005, 57, 94–103. [Google Scholar] [CrossRef]
- Mao, X.; Li, Y.; Wang, H.; Cao, F.; Chen, J. Antagonistic interplay of Swi1 and Tup1 on filamentous growth of Candida albicans. FEMS Microbiol. Lett. 2008, 285, 233–241. [Google Scholar] [CrossRef][Green Version]
- Ruben, S.; Garbe, E.; Mogavero, S.; Albrecht-Eckardt, D.; Hellwig, D.; Häder, A.; Krüger, T.; Gerth, K.; Jacobsen, I.D.; Elshafee, O.; et al. Ahr1 and Tup1 Contribute to the Transcriptional Control of Virulence-Associated Genes in Candida albicans. mBio 2020, 11, 1–15. [Google Scholar] [CrossRef]
- Epp, E.; Vanier, G.; Harcus, D.; Lee, A.Y.; Jansen, G.; Hallett, M.; Sheppard, D.C.; Thomas, D.Y.; Munro, C.A.; Mullick, A.; et al. Reverse Genetics in Candida albicans Predicts ARF Cycling Is Essential for Drug Resistance and Virulence. PLoS Pathog. 2010, 6, e1000753. [Google Scholar] [CrossRef] [PubMed]
- Spettel, K.; Barousch, W.; Makristathis, A.; Zeller, I.; Nehr, M.; Selitsch, B.; Lackner, M.; Rath, P.-M.; Steinmann, J.; Willinger, B. Analysis of antifungal resistance genes in Candida albicans and Candida glabrata using next generation sequencing. PLoS ONE 2019, 14, e0210397. [Google Scholar] [CrossRef]
- Naglik, J.R.; Challacombe, S.J.; Hube, B. Candida albicans secreted aspartyl proteinases in virulence and pathogenesis. Microbiol. Mol. Biol. Rev. 2003, 67, 400–428. [Google Scholar] [CrossRef] [PubMed]
- Atiencia-Carrera, M.B.; Cabezas-Mera, F.S.; Tejera, E.; Machado, A. Prevalence of biofilms in Candida spp. bloodstream infections: A meta-analysis. PLoS ONE 2022, 17, e0263522. [Google Scholar] [CrossRef] [PubMed]
- Cavalheiro, M.; Teixeira, M.C. Candida Biofilms: Threats, challenges, and promising strategies. Front. Med. 2018, 5, 28. [Google Scholar] [CrossRef] [PubMed]
- Drummond, R.A.; Collar, A.L.; Swamydas, M.; Rodriguez, C.A.; Lim, J.K.; Mendez, L.M.; Fink, D.L.; Hsu, A.P.; Zhai, B.; Karauzum, H.; et al. CARD9-dependent neutrophil recruitment protects against fungal invasion of the central nervous system. PLoS Pathog. 2015, 11, e1005293. [Google Scholar] [CrossRef]
- Ebrahimi-Shaghaghi, F.; Noormohammadi, Z.; Atyabi, S.-M.; Razzaghi-Abyaneh, M. Inhibitory effects of cold atmospheric plasma on the growth, virulence factors and HSP90 gene expression in Candida albicans. Arch. Biochem. Biophys. 2021, 700, 108772. [Google Scholar] [CrossRef] [PubMed]
- Osorio, D.; Rondón-Villarreal, P.; Torres, R. Peptides: A package for data mining of antimicrobial peptides. Small 2015, 12, 44–444. [Google Scholar] [CrossRef]
- Lõoke, M.; Kristjuhan, K.; Kristjuhan, A. Extraction of genomic DNA from yeasts for PCR-based applications. Biotechniques 2011, 50, 325–328. [Google Scholar] [CrossRef]
- Livak, K.J.; Schmittgen, T.D. Analysis of relative gene expression data using real-time quantitative PCR and the 2-ΔΔCT method. Methods 2001, 25, 402–408. [Google Scholar] [CrossRef]
- Lee, J.H.; Kim, Y.G.; Khadke, S.K.; Yamano, A.; Watanabe, A.; Lee, J. Inhibition of biofilm formation by Candida albicans and polymicrobial microorganisms by nepodin via hyphal-growth suppression. ACS Infect. Dis. 2019, 55, 1177–1187. [Google Scholar] [CrossRef]
- Heydorn, A.; Toftgaard, A.N.; Hentzer, M.; Sternberg, C.; Givskov, M.; Ersbøll, B.K.; Molin, S. Quantification of biofilm structures by the novel computer program COMSTAT. Microbiology 2000, 146, 2395–2407. [Google Scholar] [CrossRef]
- Kulatunga, D.C.M.; Dananjaya, S.H.S.; Nikapitiya, C.; Kim, C.H.; Lee, J.; De Zoysa, M. Candida albicans Infection model in zebrafish (Danio rerio) for screening anticandidal drugs. Mycopathologia 2019, 184, 559–572. [Google Scholar] [CrossRef]










| Property | Octominin (Value/Units) | Octominin II (Value/Units) | Measurement |
|---|---|---|---|
| Net charge | +5.00 | +2.46 | Sum of the charges of a peptide amino acid |
| Isoelectric point | 12.48 | 11.66 | pH value that a molecule carries no or neutral net electrical charge |
| Aliphatic index | 114.78 | 134.38 | Relative volume of a peptide occupied by the aliphatic side chains |
| Instability index | 78.99 | 12.51 | Stability of a peptide |
| Boman index | 1.86 kcal/mol | −0.28 kcal/mol | Potential peptide-interaction of a peptide |
| Hydrophobicity index | 0.43 | 0.46 | Relative solubility of the peptide |
| Name of the Gene | Forward Sequence (5′-3′) | Reverse Sequence (3′-5′) | Accession Number |
|---|---|---|---|
| Multidrug resistance protein-CDR1 | ACAATACAAGACCAGCATCTCC | AGACCCATTACAAGTTGACCG | XM_718116.2 |
| Chromatin-silencing transcriptional regulator-TUP1 | ATACATTGTCAACCCCACCC | AGTCTTTGGAGAACGCTGG | XM_713975.2 |
| ADP-ribosylation factor GTPase-activating, protein encoding gene/ARF-GAP-encoding gene AGE3 | TCCATGATCCAGAAACTCGTAG | ACTCCACACATTCTAAACAAATG | XM_708684.2 |
| Beta-1,3-glucan synthase catalytic subunit-GSC1 | ACTGCTTACAACTCCCCAAC | CCATTCGAAAAGTGTGGCAAG | XM_716336.2 |
| Secreted aspartyl proteinase-2-SAP2 | CAAGGAGTCATTGCTAAGAATGC | AGCATTATCAACCCCACCG | XM_705955.2 |
| Secreted aspartyl proteinase-9-SAP9 | CATCTTCATCTGGCACCTCTAC | CGAAAGCAACAACCCATACAC | XM_707636.2 |
| Actin 1 | TGAAGCCCAATCCAAAAGAGG | TTTCCATATCGTCCCAGTTGG | XM_019475182.1 |
Disclaimer/Publisher’s Note: The statements, opinions and data contained in all publications are solely those of the individual author(s) and contributor(s) and not of MDPI and/or the editor(s). MDPI and/or the editor(s) disclaim responsibility for any injury to people or property resulting from any ideas, methods, instructions or products referred to in the content. |
© 2023 by the authors. Licensee MDPI, Basel, Switzerland. This article is an open access article distributed under the terms and conditions of the Creative Commons Attribution (CC BY) license (https://creativecommons.org/licenses/by/4.0/).
Share and Cite
Jayasinghe, J.N.C.; Whang, I.; De Zoysa, M. Antifungal Efficacy of Antimicrobial Peptide Octominin II against Candida albicans. Int. J. Mol. Sci. 2023, 24, 14053. https://doi.org/10.3390/ijms241814053
Jayasinghe JNC, Whang I, De Zoysa M. Antifungal Efficacy of Antimicrobial Peptide Octominin II against Candida albicans. International Journal of Molecular Sciences. 2023; 24(18):14053. https://doi.org/10.3390/ijms241814053
Chicago/Turabian StyleJayasinghe, J. N. C., Ilson Whang, and Mahanama De Zoysa. 2023. "Antifungal Efficacy of Antimicrobial Peptide Octominin II against Candida albicans" International Journal of Molecular Sciences 24, no. 18: 14053. https://doi.org/10.3390/ijms241814053
APA StyleJayasinghe, J. N. C., Whang, I., & De Zoysa, M. (2023). Antifungal Efficacy of Antimicrobial Peptide Octominin II against Candida albicans. International Journal of Molecular Sciences, 24(18), 14053. https://doi.org/10.3390/ijms241814053

