ApoA1 Deficiency Reshapes the Phenotypic and Molecular Characteristics of Bone Marrow Adipocytes in Mice
Abstract
1. Introduction
2. Results
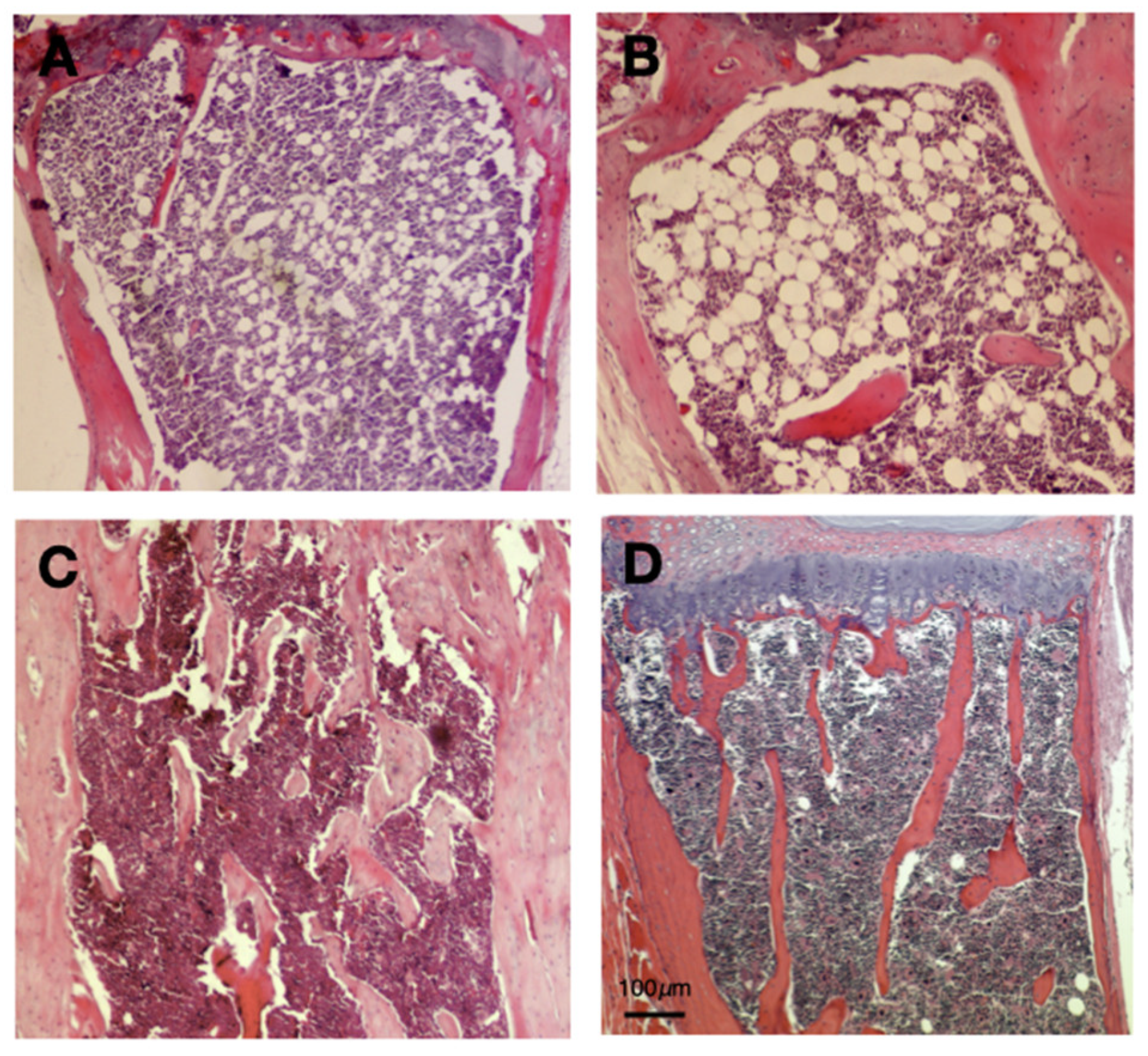
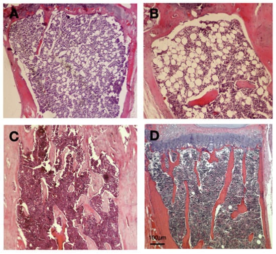
2.1. Microscopic Characteristics of Bone Marrow Adipocytes of ApoA1 Knockout Mice
2.2. ApoA1 Deficiency Is Associated with Reduced Expression of the BAT-Specific Genes and Differential Expression of the Two Major Adipokines Leptin and Adiponectin
2.3. ApoA1 Paucity Affects the Hematopoietic Stem Cells and the Common Myeloid, but Not the Common Lymphoid Progenitors
2.4. ApoA1 Deficiency Reduces the Expression of Opn and Vegf, Genes Implicated in the WAT–BAT Switch
3. Discussion
4. Materials and Methods
4.1. Experimental Animals
4.2. Histology
4.3. Whole Bone Marrow Cell Isolation
4.4. RNA Extraction, cDNA Synthesis, and Real-Time-PCR
4.5. Flow Cytometry
4.6. Statistical Analysis
Author Contributions
Funding
Institutional Review Board Statement
Informed Consent Statement
Data Availability Statement
Conflicts of Interest
References
- Sanchez-Gurmaches, J.; Hung, C.M.; Guertin, D.A. Emerging Complexities in Adipocyte Origins and Identity. Trends Cell Biol. 2016, 26, 313–326. [Google Scholar] [CrossRef] [PubMed]
- Betz, M.J.; Enerbäck, S. Human Brown Adipose Tissue: What We Have Learned So Far. Diabetes 2015, 64, 2352–2360. [Google Scholar] [CrossRef] [PubMed]
- De Jesus, L.A.; Carvalho, S.D.; Ribeiro, M.O.; Schneider, M.; Kim, S.W.; Harney, J.W.; Larsen, P.R.; Bianco, A.C. The type 2 iodothyronine deiodinase is essential for adaptive thermogenesis in brown adipose tissue. J. Clin. Investig. 2001, 108, 1379–1385. [Google Scholar] [CrossRef] [PubMed][Green Version]
- Gesta, S.; Tseng, Y.H.; Kahn, C.R. Developmental origin of fat: Tracking obesity to its source. Cell 2007, 131, 242–256. [Google Scholar] [CrossRef]
- Harms, M.; Seale, P. Brown and beige fat: Development, function and therapeutic potential. Nat. Med. 2013, 19, 1252–1263. [Google Scholar] [CrossRef]
- Lanske, B.; Rosen, C. Bone Marrow Adipose Tissue: The First 40 Years. J. Bone Miner. Res. 2017, 32, 1153–1156. [Google Scholar] [CrossRef]
- Scheller, E.L.; Rosen, C.J. What’s the matter with MAT? Marrow adipose tissue, metabolism, and skeletal health. Ann. N. Y. Acad. Sci. 2014, 1311, 14–30. [Google Scholar] [CrossRef]
- Krings, A.; Rahman, S.; Huang, S.; Lu, Y.; Czernik, P.J.; Lecka-Czernik, B. Bone marrow fat has brown adipose tissue characteristics, which are attenuated with aging and diabetes. Bone 2012, 50, 546–552. [Google Scholar] [CrossRef]
- Blair, H.C.; Kalyvioti, E.; Papachristou, N.I.; Tourkova, I.L.; Syggelos, S.A.; Deligianni, D.; Orkoula, M.G.; Kontoyannis, C.G.; Karavia, E.A.; Kypreos, K.E.; et al. Apolipoprotein A-1 regulates osteoblast and lipoblast precursor cells in mice. Lab. Investig. 2016, 96, 763–772. [Google Scholar] [CrossRef]
- Song, N.J.; Chang, S.H.; Kim, S.; Panic, V.; Jang, B.H.; Yun, U.J.; Choi, J.H.; Li, Z.; Park, K.M.; Yoon, J.H.; et al. PI3Ka-Akt1-mediated Prdm4 induction in adipose tissue increases energy expenditure, inhibits weight gain, and improves insulin resistance in diet-induced obese mice. Cell Death Dis. 2018, 9, 876. [Google Scholar] [CrossRef]
- Olsson, A.K.; Dimberg, A.; Kreuger, J.; Claesson-Welsh, L. VEGF receptor signalling-in control of vascular function. Nat. Rev. Mol. Cell Biol. 2006, 7, 359–371. [Google Scholar] [CrossRef] [PubMed]
- Sun, K.; Wernstedt Asterholm, I.; Kusminski, C.M.; Bueno, A.C.; Wang, Z.V.; Pollard, J.W.; Brekken, R.A.; Scherer, P.E. Dichotomous effects of VEGF-A on adipose tissue dysfunction. Proc. Natl. Acad. Sci. USA 2012, 109, 5874–5879. [Google Scholar] [CrossRef] [PubMed]
- Scheller, E.L.; Doucette, C.R.; Learman, B.S.; Cawthorn, W.P.; Khandaker, S.; Schell, B.; Wu, B.; Ding, S.Y.; Bredella, M.A.; Fazeli, P.K.; et al. Region-specific variation in the properties of skeletal adipocytes reveals regulated and constitutive marrow adipose tissues. Nat. Commun. 2015, 6, 7808. [Google Scholar] [CrossRef] [PubMed]
- Li, Y.; Meng, Y.; Yu, X. The Unique Metabolic Characteristics of Bone Marrow Adipose Tissue. Front. Endocrinol. 2019, 10, 69. [Google Scholar] [CrossRef]
- Naveiras, O.; Nardi, V.; Wenzel, P.; Hauschka, P.; Fahey, F.; Daley, G. Bone-marrow adipocytes as negative regulators of the haematopoietic microenvironment. Nature 2009, 460, 259–263. [Google Scholar] [CrossRef]
- Cortés, F.; Deschaseaux, F.; Uchida, N.; Labastie, M.C.; Friera, A.M.; He, D.; Charbord, P.; Péault, B. HCA, an immunoglobulin-like adhesion molecule present on the earliest human hematopoietic precursor cells, is also expressed by stromal cells in blood-forming tissues. Blood 1999, 93, 826–837. [Google Scholar] [CrossRef]
- Jeannet, R.; Cai, Q.; Liu, H.; Vu, H.; Kuo, Y.H. Alcam regulates long-term hematopoietic stem cell engraftment and self-renewal. Stem Cells 2013, 31, 560–571. [Google Scholar] [CrossRef]
- Liu, L.F.; Shen, W.J.; Ueno, M.; Patel, S.; Kraemer, F.B. Characterization of age-related gene expression profiling in bone marrow and epididymal adipocytes. BMC Genom. 2011, 12, 212. [Google Scholar] [CrossRef]
- Commins, S.P.; Watson, P.M.; Frampton, I.C.; Gettys, T.W. Leptin selectively reduces white adipose tissue in mice via a UCP1-dependent mechanism in brown adipose tissue. Am. J. Physiol. Endocrinol. Metab. 2001, 280, E372–E377. [Google Scholar] [CrossRef]
- Wang, J.; Ge, J.; Cao, H.; Zhang, X.; Guo, Y.; Li, X.; Xia, B.; Yang, G.; Shi, X. Leptin Promotes White Adipocyte Browning by Inhibiting the Hh Signaling Pathway. Cells 2019, 8, 372. [Google Scholar] [CrossRef]
- Arita, Y.; Kihara, S.; Ouchi, N.; Takahashi, M.; Maeda, K.; Miyagawa, J.; Hotta, K.; Shimomura, I.; Nakamura, T.; Miyaoka, K.; et al. Paradoxical decrease of an adipose-specific protein, adiponectin, in obesity. Biochem. Biophys. Res. Commun. 1999, 257, 79–83. [Google Scholar] [CrossRef] [PubMed]
- Poloni, A.; Maurizi, G.; Serrani, F.; Mancini, S.; Zingaretti, M.C.; Frontini, A.; Cinti, S.; Olivieri, A.; Leoni, P. Molecular and functional characterization of human bone marrow adipocytes. Exp. Hematol. 2013, 41, 558–566.e2. [Google Scholar] [CrossRef] [PubMed]
- Cawthorn, W.P.; Scheller, E.L.; Learman, B.S.; Parlee, S.D.; Simon, B.R.; Mori, H.; Ning, X.; Bree, A.J.; Schell, B.; Broome, D.T.; et al. Bone marrow adipose tissue is an endocrine organ that contributes to increased circulating adiponectin during caloric restriction. Cell Metab. 2014, 20, 368–375. [Google Scholar] [CrossRef]
- Qiao, L.; Yoo, H.; Bosco, C.; Lee, B.; Feng, G.S.; Schaack, J.; Chi, N.W.; Shao, J. Adiponectin reduces thermogenesis by inhibiting brown adipose tissue activation in mice. Diabetologia 2014, 57, 1027–1036. [Google Scholar] [CrossRef] [PubMed]
- Zhong, X.J.; Shen, X.D.; Wen, J.B.; Kong, Y.; Chu, J.J.; Yan, G.Q.; Li, T.; Liu, D.; Wu, M.Q.; Zeng, G.H.; et al. Osteopontin-induced brown adipogenesis from white preadipocytes through a PI3K-AKT dependent signaling. Biochem. Biophys. Res. Commun. 2015, 459, 553–559. [Google Scholar] [CrossRef] [PubMed]
- Bagchi, M.; Kim, L.A.; Boucher, J.; Walshe, T.E.; Kahn, C.R.; D’Amore, P.A. Vascular endothelial growth factor is important for brown adipose tissue development and maintenance. FASEB J. 2013, 27, 3257–3271. [Google Scholar] [CrossRef]
- Olsson, A.; Venkatasubramanian, M.; Chaudhri, V.K.; Aronow, B.J.; Salomonis, N.; Singh, H.; Grimes, H.L. Single-cell analysis of mixed-lineage states leading to a binary cell fate choice. Nature 2016, 537, 698–702. [Google Scholar] [CrossRef]
- Shimizu, I.; Aprahamian, T.; Kikuchi, R.; Shimizu, A.; Papanicolaou, K.N.; MacLauchlan, S.; Maruyama, S.; Walsh, K. Vascular rarefaction mediates whitening of brown fat in obesity. J. Clin. Investig. 2014, 124, 2099–2112. [Google Scholar] [CrossRef]
- During, M.J.; Liu, X.; Huang, W.; Magee, D.; Slater, A.; McMurphy, T.; Wang, C.; Cao, L. Adipose VEGF Links the White-to-Brown Fat Switch With Environmental, Genetic, and Pharmacological Stimuli in Male Mice. Endocrinology 2015, 156, 2059–2073. [Google Scholar] [CrossRef]
- Karavia, E.A.; Papachristou, D.J.; Liopeta, K.; Triantaphyllidou, I.E.; Dimitrakopoulos, O.; Kypreos, K.E. Apolipoprotein A-I modulates processes associated with diet-induced nonalcoholic fatty liver disease in mice. Mol. Med. 2012, 18, 901–912. [Google Scholar] [CrossRef]
- Triantaphyllidou, I.E.; Kalyvioti, E.; Karavia, E.; Lilis, I.; Kypreos, K.E.; Papachristou, D.J. Perturbations in the HDL metabolic pathway predispose to the development of osteoarthritis in mice following long-term exposure to western-type diet. Osteoarthr. Cartil. 2013, 21, 322–330. [Google Scholar] [CrossRef] [PubMed]
- Dempster, D.W.; Compston, J.E.; Drezner, M.K.; Glorieux, F.H.; Kanis, J.A.; Malluche, H.; Meunier, P.J.; Ott, S.M.; Recker, R.R.; Parfitt, A.M. Standardized nomenclature, symbols, and units for bone histomorphometry: A 2012 update of the report of the ASBMR Histomorphometry Nomenclature Committee. J. Bone Miner. Res. 2013, 28, 2–17. [Google Scholar] [CrossRef] [PubMed]
- Papachristou, N.I.; Blair, H.C.; Kalyvioti, E.S.; Syggelos, S.A.; Karavia, E.A.; Kontogeorgakos, V.; Nikitovic, D.; Tzanakakis, G.N.; Kypreos, K.E.; Papachristou, D.J. Western-type diet differentially modulates osteoblast, osteoclast, and lipoblast differentiation and activation in a background of APOE deficiency. Lab. Investig. 2018, 98, 1516–1526. [Google Scholar] [CrossRef] [PubMed]
- Akashi, K.; Traver, D.; Miyamoto, T.; Weissman, I.L. A clonogenic common myeloid progenitor that gives rise to all myeloid lineages. Nature 2000, 404, 193–197. [Google Scholar] [CrossRef]




| PRIMERS | SEQUENCE (5′ -> 3′) |
|---|---|
| mCEBP f | CGC-AAG-AGC-CGA-GAT-AAA-GC |
| mCEBP r | CGG-TCA-TTG-TCA-CTG-GTC-AAC-T |
| mPPAR f | CGC-TGA-TGC-ACT-GCC-TAT-GA |
| mPPAR r | AGA-GGT-CCA-CAG-AGC-TGA-TTC-C |
| mAdipoq f | TCA-GTG-GAT-CTG-ACG-ACA-CC |
| mAdipoq r | AAC-GTC-ATC-TTC-GGC-ATG-ACT |
| mUCP1 f | TCT-CAG-CCG-GCT-TAA-TGA-CT |
| mUCP1 r | TGC-ATT-CTG-ACC-TTC-ACG-AC |
| mDIO2 f | TTC-CTG-GCG-CTC-TAT-GAC-TC |
| mDIO2 r | TGG-GAG-CAT-CTT-CAC-CCA-GT |
| mPAT2 f | GGC-TTC-CCA-ACC-ATT-CTG-TC |
| mPAT2 r | TAC-CGA-CGA-CAT-ACA-GGA-GC |
| mPGC1a f | ATG-TGT-CGC-CTT-CTT-GCT-CT |
| mPGC1a r | CGG-TGT-CTG-TAG-TGG-CTT-GA |
| mLeptin f | CTG-TCT-CCC-ACC-CAT-TCT-GT |
| mLeptin r | CCA-AGC-CCC-TTT-GTT-CAT-CC |
| mVEGF f | CCT-GGT-GGA-CAT-CTT-CCA-GGA-GTA-CC |
| mVEGF r | GAA-GCT-CAT-CTC-TCC-TAT-GTG-CTG-GC |
| mRBS18 f | GTA-ACC-CGT-TGA-ACC-CCA-TT |
| mRBS18 r | CCA-TCC-AAT-CGG-TAG-TAG-CG |
| mOSTEOPONTIN f | GAT-GAT-GAT-GAC-GAT-GGA-GAC-C |
| mOSTEOPONTIN r | CGA-CTG-TAG-GGA-CGA-TTG-GAG |
| mPI3K f | AGC-GGA-GAA-CCT-ATT-GCG-AG |
| mPI3K r | CTT-CGC-CGT-CTA-CCA-CTA-CG |
| mAKT f | TCA-TTG-AGC-GCA-CCT-TCC-AT |
| mAKT r | TTC-ATG-GTC-ACA-CGG-TGC-TT |
| mALCAM f | CCA-TGG-AAC-CGA-TCA-GTG-TGA |
| mALCAM r | TGC-CGA-CTA-TGC-CAG-TCA-AG |
Publisher’s Note: MDPI stays neutral with regard to jurisdictional claims in published maps and institutional affiliations. |
© 2022 by the authors. Licensee MDPI, Basel, Switzerland. This article is an open access article distributed under the terms and conditions of the Creative Commons Attribution (CC BY) license (https://creativecommons.org/licenses/by/4.0/).
Share and Cite
Kastrenopoulou, A.; Kypreos, K.E.; Papachristou, N.I.; Georgopoulos, S.; Mastora, I.; Papadimitriou-Olivgeri, I.; Spentzopoulou, A.; Nikitovic, D.; Kontogeorgakos, V.; Blair, H.C.; et al. ApoA1 Deficiency Reshapes the Phenotypic and Molecular Characteristics of Bone Marrow Adipocytes in Mice. Int. J. Mol. Sci. 2022, 23, 4834. https://doi.org/10.3390/ijms23094834
Kastrenopoulou A, Kypreos KE, Papachristou NI, Georgopoulos S, Mastora I, Papadimitriou-Olivgeri I, Spentzopoulou A, Nikitovic D, Kontogeorgakos V, Blair HC, et al. ApoA1 Deficiency Reshapes the Phenotypic and Molecular Characteristics of Bone Marrow Adipocytes in Mice. International Journal of Molecular Sciences. 2022; 23(9):4834. https://doi.org/10.3390/ijms23094834
Chicago/Turabian StyleKastrenopoulou, Afroditi, Kyriakos E. Kypreos, Nicholaos I. Papachristou, Stavros Georgopoulos, Ioulia Mastora, Ioanna Papadimitriou-Olivgeri, Argyro Spentzopoulou, Dragana Nikitovic, Vassilios Kontogeorgakos, Harry C. Blair, and et al. 2022. "ApoA1 Deficiency Reshapes the Phenotypic and Molecular Characteristics of Bone Marrow Adipocytes in Mice" International Journal of Molecular Sciences 23, no. 9: 4834. https://doi.org/10.3390/ijms23094834
APA StyleKastrenopoulou, A., Kypreos, K. E., Papachristou, N. I., Georgopoulos, S., Mastora, I., Papadimitriou-Olivgeri, I., Spentzopoulou, A., Nikitovic, D., Kontogeorgakos, V., Blair, H. C., & Papachristou, D. J. (2022). ApoA1 Deficiency Reshapes the Phenotypic and Molecular Characteristics of Bone Marrow Adipocytes in Mice. International Journal of Molecular Sciences, 23(9), 4834. https://doi.org/10.3390/ijms23094834

