Protective Immunity against Listeria monocytogenes in Rats, Provided by HCl- and NaOH-Induced Listeria monocytogenes Bacterial Ghosts (LMGs) as Vaccine Candidates
Abstract
1. Introduction
2. Results and Discussion
2.1. Effects of Chemicals on Bacterial Cell Envelopes
2.2. Morphological Observation of Chemical-Induced LMGs by Scanning Electron Microscopy (SEM)
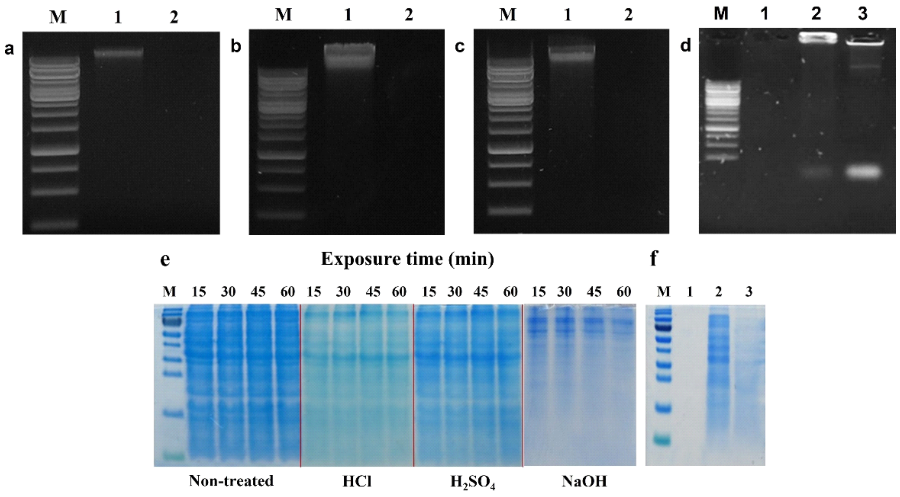
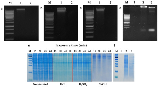
2.3. Analysis of DNA and Protein Profiles in Chemically Induced LMGs
2.4. Determination of DNA-Free LMGs by Real-Time qPCR
2.5. Comparison of In Vitro Cytotoxicity for LMGs
2.6. In Vitro Study of Cytokine mRNA Expression in Murine Macrophages-Exposed LMGs
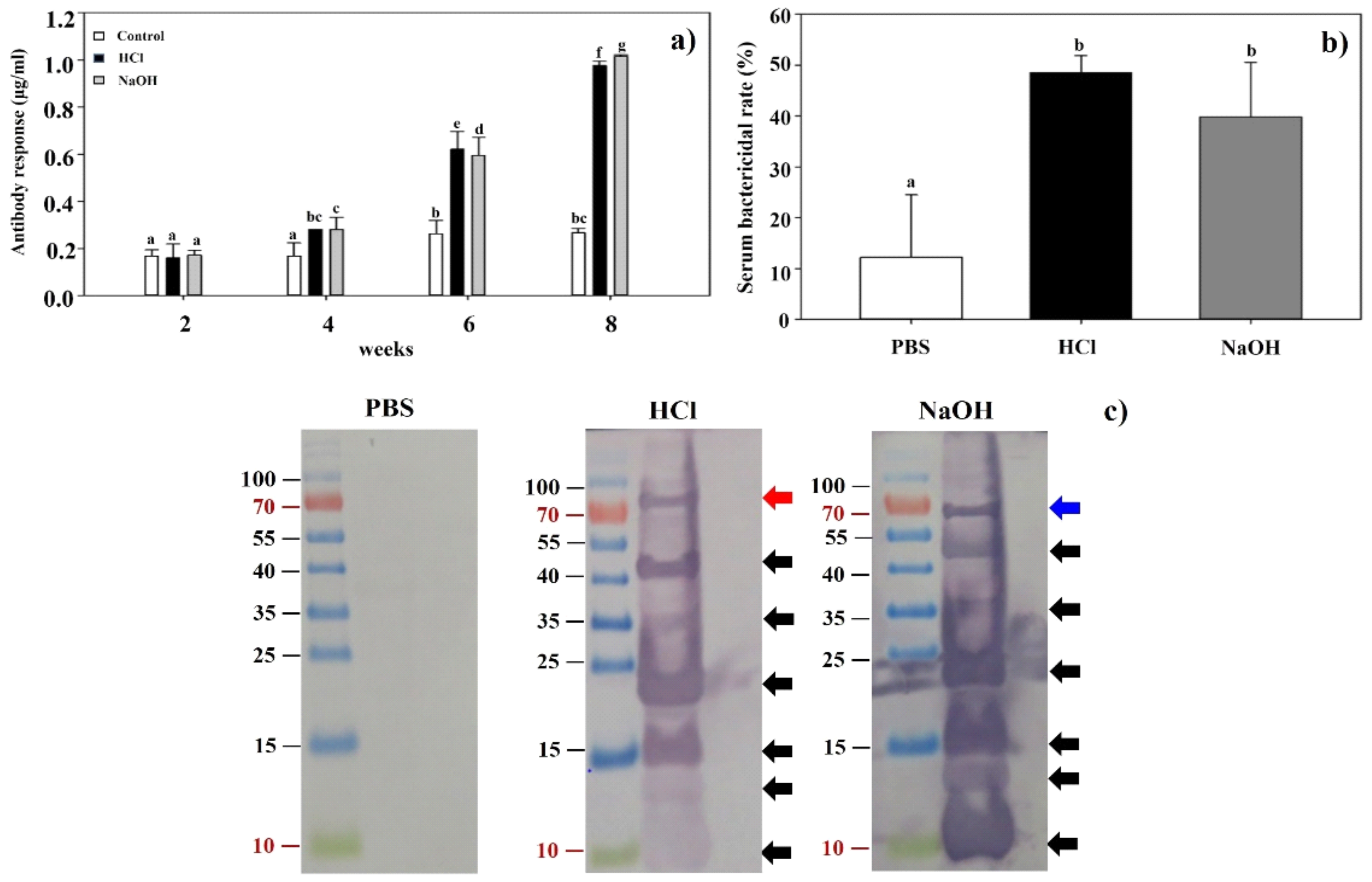
2.7. Induction of Humoral Immune Response in Serum and Serum Bactericidal Activity
2.8. Western Blot Analysis of Antibody Response
2.9. Mucosal and Cell-Mediated Immune Responses
2.10. Protective Efficacy of LMGs against Lm Challenge
3. Materials and Methods
3.1. Bacterial Strain and Culture Condition
3.2. Chemicals and Determination of Their MICs
3.3. Production of LMGs
3.4. SEM Analysis
3.5. Agarose Gel Electrophoresis and SDS-PAGE Analyses
3.6. TaqMan Probe-Based Real-Time qPCR
3.7. Assessment of Macrophage-Mediated Cytotoxicity
3.8. Quantitative Analysis of Cytokine mRNA by Reverse Transcription (RT)-qPCR
3.9. Experimental Animals, Vaccination, and Challenge
3.10. Measurement of Antibody Response by ELISA
3.11. Western Blot Analysis of Cell Envelope Proteins
3.12. Flow Cytometric Analysis
3.13. Determination of Serum Bactericidal Activity and Bacteriological Analysis
3.14. Statistical Analyses
4. Conclusions
Author Contributions
Funding
Institutional Review Board Statement
Informed Consent Statement
Conflicts of Interest
References
- Scallan, E.; Hoekstra, R.M.; Angulo, F.J.; Tauxe, R.V.; Widdowson, M.-A.; Roy, S.L.; Jones, J.L.; Griffin, P.M. Foodborne illness acquired in the United States-major pathogens. Emerg. Infect. Dis. 2011, 17, 715. [Google Scholar] [CrossRef] [PubMed]
- Tully, E.; Hearty, S.; Leonard, P.; O’Kennedy, R. The development of rapid fluorescence-based immunoassays, using quantum dot-labelled antibodies for the detection of Listeria monocytogenes cell surface proteins. Int. J. Biol. Macromol. 2006, 39, 127–134. [Google Scholar] [CrossRef] [PubMed]
- Schutte, C.-M.; van der Meyden, C.H.; Kakaza, M.; Lockhat, Z.; van der Walt, E. Life-threatening Listeria meningitis: Need for revision of South African acute bacterial meningitis treatment guidelines. S. Afr. Med. J. 2019, 109, 296–298. [Google Scholar] [CrossRef] [PubMed]
- Cossart, P. Illuminating the landscape of host-paathogen interactions with the bacterium Listeria monocytogenes. Proc. Natl. Acad. Sci. USA 2011, 108, 19484–19491. [Google Scholar] [CrossRef] [PubMed]
- Camejo, A.; Carvalho, F.; Reis, O.; Leitão, E.; Sousa, S.; Cabanes, D. The arsenal of virulence factors deployed by Listeria monocytogenes to promote its cell infection cycle. Virulence 2011, 2, 379–394. [Google Scholar] [CrossRef] [PubMed]
- Mitchell, G.; Cheng, M.I.; Chen, C.; Nguyen, B.N.; Whiteley, A.T.; Kianian, S.; Cox, J.S.; Green, D.R.; McDonald, K.L.; Portnoy, D.A. Listeria monocytogenes triggers noncanonical sutophagy upon phagocytosis, but avoids subsequent growth-restrcting xenophagy. Proc. Natl. Acad. Sci. USA 2018, 115, E210–E217. [Google Scholar] [CrossRef] [PubMed]
- Shaughnessy, L.M.; Swanson, J.A. The role of the activated macrophage in clearing Listeria monocytogenes infection. Front. Biosci. 2007, 12, 2683–2692. [Google Scholar] [CrossRef]
- Pizarro-Cerdá, J.; Charbit, A.; Enninga, J.; Lafont, F.; Cossart, P. Manipulation of host membranes by the bacterial pathogens Listeria, Francisella, Shigella and Yersinia. Semin. Cell Dev. Biol. 2016, 60, 155–167. [Google Scholar] [CrossRef]
- Uribe-Querol, E.; Rosales, C. Control of phagocytosis by microbial pathogens. Front. Immunol. 2017, 8, 1368. [Google Scholar] [CrossRef]
- Drolia, R.; Amalaradjou, M.A.R.; Ryan, V.; Tenguria, S.; Liu, D.; Bai, X.; Xu, L.; Singh, A.K.; Cox, A.D.; Bernal-Crespo, V.; et al. Receptor-targeted engineered probiotics mitigate lethal Listeria infection. Nat. Commun. 2020, 11, 6344. [Google Scholar] [CrossRef]
- Yoshikawa, Y.; Ogawa, M.; Hain, T.; Yoshida, M.; Fukumatsu, M.; Kim, M.; Mimuro, H.; Nakagawa, I.; Yanagawa, T.; Ishii, T.; et al. Listeria monocytogenes ActA-mediated escape from autophagic recognition. Nat. Cell Biol. 2009, 11, 1233–1240. [Google Scholar] [CrossRef] [PubMed]
- Disson, O.; Lecuit, M. In vitro and in vivo models to study human listeriosis: Mind the gap. Microbes Infect. 2013, 15, 971–980. [Google Scholar] [CrossRef] [PubMed]
- Hamon, M.; Bierne, H.; Cossart, P. Listeria monocytogenes: A multifaceted model. Nat. Rev. Microbiol. 2006, 4, 423–434. [Google Scholar] [CrossRef] [PubMed]
- Phelps, C.C.; Vadia, S.; Arnett, E.; Tan, Y.; Zhang, X.; Pathak-Sharma, S.; Gavrilln, M.A.; Seveau, S. Relative roles of listeriolysin O, InlA, and InlB in Listeria monocytogenes uptake by host cells. Infect. Immun. 2020, 86, e00555-18. [Google Scholar] [CrossRef]
- Nguyen, B.N.; Portnoy, D.A. An inducible cre-lox system to analyze the role of LLO in Listeria monocytogenes pathogenesis. Toxins 2020, 12, 38. [Google Scholar] [CrossRef]
- Bierne, H.; Cossart, P. Listeria monocytogenes surface proteins: From genome predictions to function. Microbiol. Mol. Biol. Rev. 2007, 71, 377–397. [Google Scholar] [CrossRef]
- Pentecost, M.; Kumaran, J.; Ghosh, P.; Amieva, M.R. Listeria monocytogenes internalin B activates junctional endocytosis to accelerate intestinal invasion. PLoS Pathog. 2010, 6, e1000900. [Google Scholar] [CrossRef]
- Camargo, A.C.; de Castilho, N.P.; da Silva, D.A.; Vallim, D.C.; Hofer, E.; Nero, L.A. Antibiotic resistance of Listeria monocytogenes isolated from meat-processing environments, beef products, and clinical cases in Brazil. Microb. Drug Resist. 2015, 21, 458–462. [Google Scholar] [CrossRef]
- Jahan, M.; Holley, R.A. Transfer of antibiotic resistance from Enterococcus faecium of fermented meat origin to Listeria monocytogenes and Listeria innocua. Lett. Appl. Microbiol. 2016, 62, 304–310. [Google Scholar] [CrossRef]
- Raschle, S.; Stephan, R.; Stevens, M.J.A.; Cernela, N.; Zurfluh, K.; Muchaamba, F.; Nȕesch-Inderbinen, M. Environmental dissemination of pathogenic Listeria monocytogenes in flowing surface waters in Switzerland. Sci. Rep. 2021, 11, 9066. [Google Scholar] [CrossRef]
- Meng, F.; Zhu, T.; Yao, H.; Ling, Z.; Feng, Y.; Li, G.; Li, J.; Sun, X.; Chen, J.; Meng, C.; et al. A cross-protective vaccine against 4b and 1/2b Listeria monocytogenes. Front. Microbiol. 2020, 11, 569544. [Google Scholar] [CrossRef] [PubMed]
- Qiu, Z.; Khairallah, C.; Sheridan, B.S. Listeria monocytogenes: A model pathogen continues to refine our knowledge of the CD8 T cell response. Pathogens 2018, 7, 55. [Google Scholar] [CrossRef] [PubMed]
- D’Orazio, S.E.F. Innate and adaptive immune responses during infection. Microbiol. Spectr. 2019, 7, GPP3-0065-2019. [Google Scholar] [CrossRef] [PubMed]
- Chávez-arroyo, A.; Portnoy, D.A. Why is Listeria monocytogenes such a potent inducer of CD8 + T-cells? Cell. Microbiol. 2020, 22, e13175. [Google Scholar] [CrossRef]
- Wood, L.M.; Paterson, Y. Attenuated Listeria monocytogenes: A powerful and versatile vector for the future of tumor immunotherapy. Front. Cell Infect. Microbiol. 2014, 12, 51. [Google Scholar] [CrossRef]
- Flickinger, J.C.; Rodeck, U.; Snook, A.E. Listeria monocytogenes as a vector for cancer immunotherapy: Current understanding and progress. Vaccine 2018, 6, 48. [Google Scholar] [CrossRef]
- Pownall, W.R.; Imhof, D.; Trigo, N.F.; Ganal-Vonarburg, S.C.; Plattet, P.; Monney, C.; Forterre, F.; Hemphill, A.; Oevermann, A. Safety of a novel Listeria monocytogenes-based vaccine vector expressing NcSAG1 (Neospora caninum surface antigen 1). Front. Cell. Infect. Microbiol. 2021, 11, 675219. [Google Scholar] [CrossRef]
- Kwon, S.R.; Nam, Y.K.; Kim, S.K.; Kim, D.S.; Kim, K.H. Generation of Edwardsiella tarda ghosts by bacteriophage PhiX174 lysis gene E. Aquaculture 2005, 250, 16–21. [Google Scholar] [CrossRef]
- Lubitz, P.; Mayr, U.B.; Lubitz, W. Applications of bacterial ghosts in biomedicine. Adv. Exp. Med. Biol. 2009, 655, 159–170. [Google Scholar]
- Eko, F.O.; Schukovskaya, T.; Lotzmanova, E.Y.; Firstova, V.V.; Emalyanova, N.V.; Klueva, S.N.; Kravtzov, A.L.; Livanova, L.F.; Kutyrev, V.V.; Igietseme, J.U.; et al. Evaluation of the protective efficacy of Vibrio cholerae ghost (VCG) candidate vaccines in rabbits. Vaccine 2003, 21, 3663–3674. [Google Scholar] [CrossRef]
- Paukner, S.; Kohl, G.; Jalava, K.; Lubitz, W. Sealed bacterial ghosts-novel targeting vehicles for advanced drug delivery of water-soluble substances. J. Drug Target. 2003, 11, 151–161. [Google Scholar]
- Haidinger, W.; Mayr, U.B.; Szostak, M.P.; Resch, S.; Lubitz, W. Escherichia coli ghost production by expression of lysis gene E and staphylococcal nuclease. Appl. Environ. Microbiol. 2003, 69, 6103–6113. [Google Scholar] [CrossRef]
- Wang, X.; Lu, C. Mice orally vaccinated with Edwardsiella tarda ghosts are significantly protected against infection. Vaccine 2009, 27, 1571–1578. [Google Scholar] [CrossRef]
- Langemann, T.; Koller, V.J.; Muhammad, A.; Kudela, P.; Mayr, U.B.; Lubitz, W. The bacterial ghost platform system: Production and applications. Bioeng. Bugs 2010, 1, 326–336. [Google Scholar] [CrossRef] [PubMed]
- Muhammad, A.; Champeimont, J.; Mayr, U.B.; Lubitz, W.; Kudela, P. Bacterial ghosts as carriers of protein subunit and DNA-encoded antigens for vaccine applications. Expert. Rev. Vaccines 2012, 11, 97–116. [Google Scholar] [CrossRef] [PubMed]
- Jawale, C.V.; Chaudhari, A.A.; Jeon, B.W.; Nandre, R.M.; Lee, J.H. Characterization of a novel inactivated Salmonella enterica serovar Enteritidis vaccine candidate generated using a modified cI857/λ PR/gene E expression system. Infect. Immun. 2012, 80, 1502–1509. [Google Scholar] [CrossRef] [PubMed]
- Panthel, K.; Jechlinger, W.; Matis, A.; Rohde, M.; Szostak, M.; Lubitz, W.; Haas, R. Generation of Helicobacter pylori ghosts by PhiX protein E-mediated inactivation and their evaluation as vaccine candidates. Infect. Immun. 2003, 71, 109–116. [Google Scholar] [CrossRef] [PubMed]
- Mayr, U.B.; Haller, C.; Haidinger, W.; Atrasheuskaya, A.; Bukin, E.; Lubitz, W.; Ignatyev, G. Bacterial ghosts as an oral vaccine: A single dose of Escherichia coli O157:H7 bacterial ghosts protects mice against lethal challenge. Infect. Immun. 2005, 73, 4810–4817. [Google Scholar] [CrossRef]
- Tu, F.P.; Chu, W.H.; Zhuang, X.Y.; Lu, C.P. Effect of oral immunization with Aeromonas hydrophila ghosts on protection against experimental fish infection. Lett. Appl. Microbiol. 2010, 50, 13–17. [Google Scholar] [CrossRef]
- Eko, F.O.; Mayr, U.B.; Attridge, S.R.; Lubitz, W. Characterization and immunogenicity of Vibrio cholera ghosts expressing toxin-coregulated pili. J. Biotechnol. 2000, 83, 115–123. [Google Scholar] [CrossRef]
- Amara, A.A.; Salem-Bekhit, M.M.; Alanazi, F.K. Sponge-Like: A new protocol for preparing bacterial ghosts. Sci. World J. 2013, 2013, 545741. [Google Scholar] [CrossRef]
- Vinod, N.; Oh, S.; Kim, S.; Choi, C.W.; Kim, S.C.; Jung, C.-H. Chemically induced Salmonella enteritidis ghosts as a novel vaccine candidate against virulent challenge in a rat model. Vaccine 2014, 32, 3249–3255. [Google Scholar] [CrossRef]
- El-Safty, M.M.; Mahmoud, H.; Zaki, E.S.; Abd-Alla, H.I. Preparation and evaluation of chemically inactivated Salmonella enteritidis vaccine in chickens. Asian J. Pharmaceut. Clin. Res. 2017, 10, 341–346. [Google Scholar] [CrossRef][Green Version]
- Amara, A.A.; Neama, A.J.; Hussein, A.; Hashish, E.A.; Sheweita, S.A. Evaluation the surface antigen of the Salmonella typhimurium ATCC 14028 ghosts prepared by “SLRP”. Sci. World J. 2014, 2014, 840863. [Google Scholar]
- Vinod, N.; Noh, H.B.; Oh, S.; Ji, S.; Park, H.J.; Lee, K.-S.; Kim, S.C.; Park, H.-O.; Yang, J.-S.; Choi, C.W. A Salmonella typhimurium ghost vaccine induces cytokine expression in vitro and immune responses in vivo and protects rats against homologous and heterologous challenges. PLoS ONE 2017, 12, e0185488. [Google Scholar] [CrossRef]
- Park, H.J.; Oh, S.; Vinod, N.; Ji, S.; Noh, H.B.; Koo, J.M.; Lee, S.H.; Kim, S.C.; Lee, K.-S.; Choi, C.W. Characterization of chemically-induced bacterial ghosts (BGs) using sodium hydroxide-induced Vibrio parahaemolyticus ghosts (VPGs). Int. J. Mol. Sci. 2016, 17, 1904. [Google Scholar] [CrossRef]
- Vinod, N.; Oh, S.; Park, H.J.; Koo, J.M.; Choi, C.W.; Kim, S.C. Generation of a Novel Staphylococcus aureus Ghost Vaccine and Examination of Its Immunogenicity against Virulent Challenge in Rats. Infect. Immun. 2015, 83, 2957–2965. [Google Scholar] [CrossRef]
- Wu, X.; Ju, X.; Du, L.; Yuan, J.; Wang, L.; He, R.; Chen, Z. Production of bacterial ghosts from Gram-positive pathogen Listeria monocytogenes. Foodborne Pathog. Dis. 2017, 14, 1–7. [Google Scholar] [CrossRef]
- Álvarez-Ordóñez, A.; Alvseike, O.; Omer, M.K.; Heir, E.; Axelsson, L.; Holck, A.; Prieto, M. Heterogeneity in resistance to food-related stresses and biofilm formation ability among verocytotoxigenic Escherichia coli strains. Int. J. Food Microbiol. 2013, 161, 220–230. [Google Scholar] [CrossRef]
- Ma, Y.; Cui, L.; Wang, M.; Sun, Q.; Liu, K.; Wang, J. A novel and efficient high-yield method for preparing bacterial ghosts. Toxins 2021, 13, 420. [Google Scholar] [CrossRef]
- Lim, J.; Koh, V.H.Q.; Cho, S.S.L.; Periaswamy, B.; Choi, D.P.S.; Vacca, M.; De Sessions, P.F.; Kudela, P.; Lubitz, W.; Pastorin, G.; et al. Harnessing the immunomodulatory properties of bacterial ghosts to boost the anti-mycobacterial protective immunity. Front. Immunol. 2019, 10, 2737. [Google Scholar] [CrossRef] [PubMed]
- Zhan, Y.; Cheers, C. Differential induction of macrophage-derived cytokines by live and dead intracellular bacteria in vitro. Infect. Immun. 1995, 63, 720–723. [Google Scholar] [CrossRef]
- Kuhn, M.; Goebel, W. Induction of cytokines in phagocytic mammalian cells infected with virulent and avirulent Listeria strains. Infect. Immun. 1994, 62, 348–356. [Google Scholar] [CrossRef]
- Peñaloza, H.F.; Noguera, L.P.; Riedel, C.A.; Bueno, S.M. Expanding the current knowledge about the role of interleukin-10 to major concerning bacteria. Front. Microbiol. 2018, 9, 2047. [Google Scholar] [CrossRef]
- Lee, C.-C.; Kung, J.T. Marginal zone B cell is a major source of Il-10 in Listeria monocytogenes susceptibility. J. Immunol. 2012, 189, 3319–3327. [Google Scholar] [CrossRef] [PubMed]
- Foulds, K.E.; Rotte, M.J.; Seder, R.A. IL-10 is required for optimal CD8 T cell memory following Listeria monocytogenes infection. J. Immunol. 2006, 177, 2565–2574. [Google Scholar] [CrossRef]
- Castro, F.; Cardoso, A.P.; Gonçalves, R.M.; Serre, K.; Oliveira, M.J. Interferon-Gamma at the Crossroads of Tumor Immune Surveillance or Evasion. Front. Immunol. 2018, 9, 847. [Google Scholar] [CrossRef]
- Bou Ghanem, E.N.; McElroy, D.S.; D’Orazio, S.E.F. Multiple mechanisms contribute to the robust rapid gamma interferon response by CD8 + T cells during Listeria monocytogenes infection. Infect. Immun. 2009, 77, 1492–1501. [Google Scholar] [CrossRef] [PubMed]
- Shi, C.; Pamer, E.G. Monocyte recruitment during infection and inflammation. Nat. Rev. Immunol. 2011, 11, 762–774. [Google Scholar] [CrossRef]
- Zenewicz, L.A.; Shen, H. Innate and adaptive immune responses to Listeria monocytogenes: A short overview. Microbes Infect. 2007, 9, 1208–1215. [Google Scholar] [CrossRef]
- Franciosa, G.; Maugliani, A.; Scalfaro, C.; Floridi, F.; Aureli, P. Expression of internalin A and biofilm formation among Listeria monocytogenes clinical isolates. Int. J. Immunopathol. Pharmacol. 2009, 22, 183–193. [Google Scholar] [CrossRef]
- Liu, D. Identification, subtyping and virulence determination of Listeria monocytogenes, an important foodborne pathogen. J. Med. Microbiol. 2006, 55, 645–659. [Google Scholar] [CrossRef]
- Jaradat, Z.W.; Wampler, J.W.L.; Bhunia, A.W.L.K. A Listeria adhesion protein-deficient Listeria monocytogenes strain shows reduced adhesion primarily to intestinal cell lines. Med. Microbiol. Immunol. 2003, 192, 85–91. [Google Scholar] [CrossRef]
- Niebuhr, K.; Chakraborty, T.; Rohde, M.; Gazlig, T.; Jansen, B.; Köllner, P.; Wehland, J. Localization of the ActA polypeptide of Listeria monocytogenes in infected tissue culture cell lines: ActA is not associated with actin “comets”. Infect. Immun. 1993, 61, 2793–2802. [Google Scholar] [CrossRef]
- Cousens, L.P.; Wing, E.J. Innate defenses in the liver during Listeia infection. Immunol. Rev. 2000, 174, 150–159. [Google Scholar] [CrossRef]
- Gregory, S.H.; Liu, C.C. CD8+ T-cell mediated response to Listeria monocytogenes taken up in the liver and replicating within hepatocytes. Immunol. Rev. 2000, 174, 112–122. [Google Scholar] [CrossRef]
- Mohamed, W.; Sethi, S.; Tchatalbachev, S.; Darji, A.; Chakraborty, T. Protective Immunity to Listeria Monocytogenes Infection Mediated by Recombinant Listeria innocua Harboring the VGC Locus. PLoS ONE 2012, 7, e35503. [Google Scholar] [CrossRef]
- Asano, K.; Sashinami, H.; Osanai, A.; Hirose, S.; Ono, H.; Narita, K.; Hu, D.-L.; Nakane, A. Passive immunization with anti-ActA and anti-listeriolysin O antibodies protects against Listeria monocytogenes infection in mice. Sci. Rep. 2016, 6, 39628. [Google Scholar] [CrossRef]
- Saul, A.; Fay, M.P. Human immunity and the design of multi-component, single target vaccines. PLoS ONE 2007, 2, e850. [Google Scholar] [CrossRef]
- Hein, I.; Klein, D.; Lehner, A.; Bubert, A.; Brandl, E.; Wagner, M. Detection and quantification of the iap gene of Listeria monocytogenes and Listeria innocua by a new real-time quantitative PCR assay. Res. Microbiol. 2001, 152, 37–46. [Google Scholar] [CrossRef]
- Wang, X.; Heazlewood, S.P.; Krause, D.O.; Florin, T.H.J. Molecular characterization of the microbial species that colonize human ileal and colonic mucosa by using 16S rDNA sequence analysis. J. Appl. Microbiol. 2004, 95, 508–520. [Google Scholar] [CrossRef]
- Pfaffl, M.W. Relative quantification. In Real-Time PCR; Dorak, T., Ed.; International University Line: La Jolla, CA, USA, 2006; pp. 63–82. [Google Scholar]
- Tharmalingam, N.; Rajmuthiah, R.; Kim, W.; Fuchs, B.B.; Jeyamani, E.; Kelso, M.J.; Eleftherios Mylonakis, E. Antibacterial properties of four novel hit compounds from a methicillin-resistant Staphylococcus aureus—Caenorhabditis elegans high-throughputs Screen. Microb. Drug Resist. 2018, 24, 666–674. [Google Scholar] [CrossRef]









| Chemicals | MIC (mg/mL) | MBC (mg/mL) |
|---|---|---|
| Hydrochloric Acid | 6.25 | 12.5 |
| Sulfuric Acid | 12.5 | 25.0 |
| Sodium Hydroxide | 6.25 | 12.5 |
| Target Gene | Primer | Sequences (5′–3′) | Method | Reference |
|---|---|---|---|---|
| 16s rRNA | L16Sq-F 1 | GGAATTCCACGTGTAGCGGTGAAAT | Taqman probe | This study |
| L16Sq-R | GACTACCAGGGTATCTAATCCTGTTTG | |||
| L16Sq-TM | AACACCAGTGGCGAAGGCGA | |||
| iap | LMIAPq-F | GTGCAAGTGCTATTATTGCTGAA | Taqman probe | This study |
| LMIAPq-R | AGATTGTACGTGGAAGGGAGATA | |||
| LIAPq-TM | ATGTAGTTGGTCCGTTACCACCC | |||
| TNF-α | TNq-F | ATGAGCACAGAAAGCATGATCCG | SYBR Green | This study |
| TNq-R | GCTGAGACATAGGCACCGC | |||
| Il-1β | IL1q-F | ATGGCAACTGTTCCTGAACTCAACT | SYBR Green | This study |
| IL1q-R | AGTAGCCCTTCATCTTTTGGGG | |||
| IL-6 | IL6q-F | ATGAAGTTCCTCTCTGCAAGAGACT | SYBR Green | This study |
| IL6q-R | GTCTCCTCTCCGGACTTGTGA | |||
| IL-10 | IL10q-F | ATGCCTGGCTCAGCACTGCTA | SYBR Green | This study |
| IL10q-R | CTGGGAAGTGGGTGCAGTTATTG | |||
| IL-12 | IL12q-F | ATGTGTCAATCACGCTACCTCCT | SYBR Green | This study |
| IL12q-R | GACTGGCTAAGACACCTGGC | |||
| iNOS | NOq-F | ATGAACCCCAAGAGTTTGACCAGA | SYBR Green | This study |
| NOq-R | GGAGCCATAATACTGGTTGATGAAC | |||
| GAPDH | GHq-F | ATGGTGAAGGTCGGTGTGAACG | SYBR Green | This study |
| GHq-R | CAATGAAGGGGTCGTTGATGGC |
Publisher’s Note: MDPI stays neutral with regard to jurisdictional claims in published maps and institutional affiliations. |
© 2022 by the authors. Licensee MDPI, Basel, Switzerland. This article is an open access article distributed under the terms and conditions of the Creative Commons Attribution (CC BY) license (https://creativecommons.org/licenses/by/4.0/).
Share and Cite
Ji, S.; Moon, E.S.; Noh, H.B.; Park, H.J.; Kim, S.; Oh, S.; Vinod, N.; Choi, C.W.; Kwak, K. Protective Immunity against Listeria monocytogenes in Rats, Provided by HCl- and NaOH-Induced Listeria monocytogenes Bacterial Ghosts (LMGs) as Vaccine Candidates. Int. J. Mol. Sci. 2022, 23, 1946. https://doi.org/10.3390/ijms23041946
Ji S, Moon ES, Noh HB, Park HJ, Kim S, Oh S, Vinod N, Choi CW, Kwak K. Protective Immunity against Listeria monocytogenes in Rats, Provided by HCl- and NaOH-Induced Listeria monocytogenes Bacterial Ghosts (LMGs) as Vaccine Candidates. International Journal of Molecular Sciences. 2022; 23(4):1946. https://doi.org/10.3390/ijms23041946
Chicago/Turabian StyleJi, Seongmi, Eun Sun Moon, Han Byul Noh, Hyun Jung Park, Seongdae Kim, Sung Oh, Nagarajan Vinod, Chang Won Choi, and Kilhan Kwak. 2022. "Protective Immunity against Listeria monocytogenes in Rats, Provided by HCl- and NaOH-Induced Listeria monocytogenes Bacterial Ghosts (LMGs) as Vaccine Candidates" International Journal of Molecular Sciences 23, no. 4: 1946. https://doi.org/10.3390/ijms23041946
APA StyleJi, S., Moon, E. S., Noh, H. B., Park, H. J., Kim, S., Oh, S., Vinod, N., Choi, C. W., & Kwak, K. (2022). Protective Immunity against Listeria monocytogenes in Rats, Provided by HCl- and NaOH-Induced Listeria monocytogenes Bacterial Ghosts (LMGs) as Vaccine Candidates. International Journal of Molecular Sciences, 23(4), 1946. https://doi.org/10.3390/ijms23041946

