E8002 Reduces Adhesion Formation and Improves Joint Mobility in a Rat Model of Knee Arthrofibrosis
Abstract
1. Introduction
2. Results
2.1. E8002 Treatment Reduces the Post-Injury Limitation of Joint Flexion
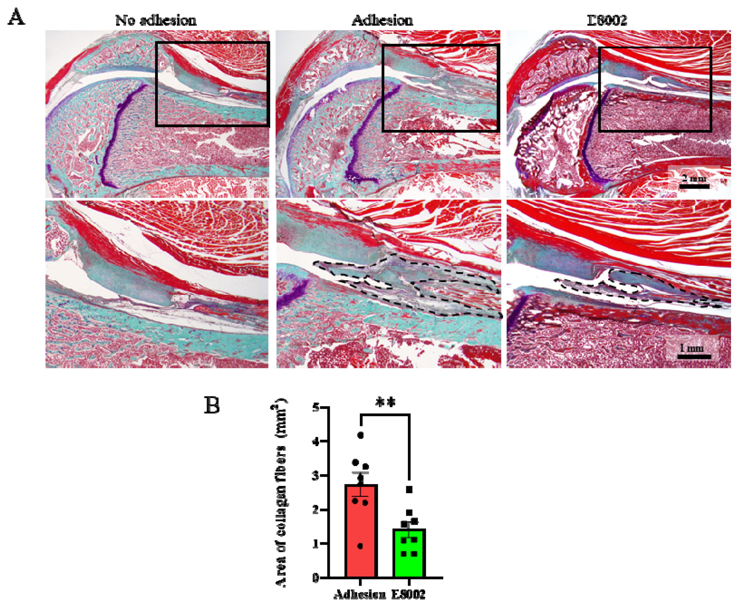
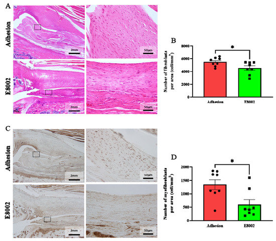
2.2. E8002 Inhibits Myofibroblast Proliferation and Scar Tissue Formation
3. Discussion
4. Materials and Methods
4.1. Animals and Experimental Groups
4.2. Knee Arthrofibrosis Model
4.3. Joint Angle Measurement
4.4. Histological and Immunohistochemical Evaluation
4.5. Quantitative Analysis
4.6. Statistical Analysis
Author Contributions
Funding
Institutional Review Board Statement
Informed Consent Statement
Data Availability Statement
Acknowledgments
Conflicts of Interest
References
- Millett, P.J.; Johnson, B.; Carlson, J.; Krishnan, S.; Steadman, J.R. Rehabilitation of the arthrofibrotic knee. Am. J. Orthop. 2003, 32, 531–538. [Google Scholar] [PubMed]
- Egol, K.A.; Tejwani, N.C.; Capla, E.L.; Wolinsky, P.L.; Koval, K.J. Staged management of high-energy proximal tibia fractures (OTA types 41): The results of a prospective, standardized protocol. J. Orthop. Trauma 2005, 19, 448–455. [Google Scholar] [CrossRef]
- Laskin, R.S.; Beksac, B. Stiffness after total knee arthroplasty. J. Arthroplast. 2004, 19 (Suppl. 1), 41–46. [Google Scholar] [CrossRef] [PubMed]
- Fisher, S.E.; Shelbourne, K.D. Arthroscopic treatment of symptomatic extension block complicating anterior cruciate ligament reconstruction. Am. J. Sports Med. 1993, 21, 558–564. [Google Scholar] [CrossRef] [PubMed]
- Bong, M.R.; Di Cesare, P.E. Stiffness after total knee arthroplasty. J. Am. Acad. Orthop. Surg. 2004, 12, 164–171. [Google Scholar] [CrossRef]
- Bhave, A.; Mont, M.; Tennis, S.; Nickey, M.; Starr, R.; Etienne, G. Functional problems and treatment solutions after total hip and knee joint arthroplasty. J. Bone Joint Surg Am. 2005, 87 (Suppl. 2), 9–21. [Google Scholar]
- Seyler, T.M.; Marker, D.R.; Bhave, A.; Plate, J.F.; Marulanda, G.A.; Bonutti, P.M.; Delanois, R.E.; Mont, M.A. Functional problems and arthrofibrosis following total knee arthroplasty. J. Bone Joint Surg. Am. 2007, 89 (Suppl. 3), 59–69. [Google Scholar]
- Scheffler, S.U.; Unterhauser, F.N.; Weiler, A. Graft remodeling and ligamentization after cruciate ligament reconstruction. Knee Surg. Sports Traumatol. Arthrosc. 2008, 16, 834–842. [Google Scholar] [CrossRef] [PubMed]
- Usher, K.M.; Zhu, S.; Mavropalias, G.; Carrino, J.A.; Zhao, J.; Xu, J. Pathological mechanisms and therapeutic outlooks for arthrofibrosis. Bone Res. 2019, 7, 9. [Google Scholar] [CrossRef]
- Watson, R.S.; Gouze, E.; Levings, P.P.; Bush, M.L.; Kay, J.D.; Jorgensen, M.S.; Dacanay, E.A.; Reith, J.W.; Wright, T.W.; Ghivizzani, S.C. Gene delivery of TGF-β1 induces arthrofibrosis and chondrometaplasia of synovium in vivo. Lab. Investig. 2010, 90, 1615–1627. [Google Scholar] [CrossRef]
- Luo, Y.; Xie, X.; Luo, D.; Wang, Y.; Gao, Y. The role of halofuginone in fibrosis: More to be explored? J. Leukoc. Biol. 2017, 102, 1333–1345. [Google Scholar] [CrossRef] [PubMed]
- Cheuy, V.A.; Foran, J.R.H.; Paxton, R.J.; Bade, M.J.; Zeni, J.A.; Stevens-Lapsley, J.E. Arthrofibrosis associated with total knee arthroplasty. J. Arthroplast. 2017, 32, 2604–2611. [Google Scholar] [CrossRef] [PubMed]
- Han, Y.; Yang, J.; Zhao, W.; Wang, H.; Sun, Y.; Chen, Y.; Luo, J.; Deng, L.; Xu, X.; Cui, W.; et al. Biomimetic injectable hydrogel microspheres with enhanced lubrication and controllable drug release for the treatment of osteoarthritis. Bioact. Mater. 2021, 6, 3596–3607. [Google Scholar] [CrossRef] [PubMed]
- Kim, J.K.; Park, J.Y.; Lee, D.W.; Ro, D.H.; Lee, M.C.; Han, H.S. Temperature-sensitive anti-adhesive poloxamer hydrogel decreases fascial adhesion in total knee arthroplasty: A prospective randomized controlled study. J. Biomater. Appl. 2019, 34, 386–395. [Google Scholar] [CrossRef] [PubMed]
- Hayashi, M.; Sekiya, H.; Takatoku, K.; Kariya, Y.; Hoshino, Y. Experimental model of knee contracture in extension: Its prevention using a sheet made from hyaluronic acid and carboxymethylcellulose. Knee Surg. Sports Traumatol. Arthrosc. 2004, 12, 545–551. [Google Scholar] [CrossRef] [PubMed]
- Fukui, N.; Fukuda, A.; Kojima, K.; Nakajima, K.; Oda, H.; Nakamura, K. Suppression of fibrous adhesion by proteoglycan decorin. J. Orthop. Res. 2001, 19, 456–462. [Google Scholar] [CrossRef]
- Xu, R.S.; Hou, C.L.; Yin, C.H.; Wang, Y.S.; Chen, A.M. Clinical study on chitosan in prevention of knee adhesion after patellar operation. Zhongguo Xiu Fu Chong Jian Wai Ke Za Zhi 2002, 16, 240–241. [Google Scholar]
- Li, X.; Sun, Y.; Chen, H.; Zhu, G.; Liang, Y.; Wang, Q.; Wang, J.; Yan, L. Hydroxycamptothecin induces apoptosis of fibroblasts and prevents intraarticular scar adhesion in rabbits by activating the IRE-1 signal pathway. Eur. J. Pharmacol. 2016, 781, 139–147. [Google Scholar] [CrossRef]
- Zhao, S.; Sun, Y.; Li, X.; Wang, J.; Yan, L.; Chen, H.; Wang, D.; Dai, J.; He, J. Reduction of intraarticular adhesion of knee by local application of rapamycin in rabbits via inhibition of fibroblast proliferation and collagen synthesis. J. Orthop. Surg. Res. 2016, 11, 45. [Google Scholar] [CrossRef][Green Version]
- Wu, H.; Germanov, A.V.; Goryaeva, G.L.; Yachmenev, A.N.; Gordienko, D.I.; Kuzin, V.V.; Skoroglyadov, A.V. The Topical Application of Rosuvastatin in Preventing Knee Intra-Articular Adhesion in Rats. Med. Sci. Monit. 2016, 22, 1403–1409. [Google Scholar] [CrossRef][Green Version]
- Mukai, T.; Kamitani, S.; Shimizu, T.; Fujino, M.; Tsutamoto, Y.; Endo, Y.; Hanasawa, K.; Tani, T. Development of a novel, nearly insoluble antiadhesive membrane. Eur. Surg. Res. 2011, 47, 248–253. [Google Scholar] [CrossRef] [PubMed]
- Kikuchi, K.; Setoyama, K.; Terashi, T.; Sumizono, M.; Tancharoen, S.; Otsuka, S.; Takada, S.; Nakanishi, K.; Ueda, K.; Sakakima, H.; et al. Application of a novel anti-adhesive membrane, E8002, in a rat laminectomy model. Int. J. Mol. Sci. 2018, 19, 1513. [Google Scholar] [CrossRef] [PubMed]
- Kikuchi, K.; Setoyama, K.; Takada, S.; Otsuka, S.; Nakanishi, K.; Norimatsu, K.; Tani, A.; Sakakima, H.; Kawahara, K.I.; Hosokawa, K.; et al. E8002 inhibits peripheral nerve adhesion by enhancing fibrinolysis of l-ascorbic acid in a rat sciatic nerve model. Int. J. Mol. Sci. 2020, 21, 3972. [Google Scholar] [CrossRef] [PubMed]
- Wynn, T.A.; Ramalingam, T.R. Mechanisms of fibrosis: Therapeutic translation for fibrotic disease. Nat. Med. 2012, 18, 1028–1040. [Google Scholar] [CrossRef] [PubMed]
- Monument, M.J.; Hart, D.A.; Salo, P.T.; Befus, A.D.; Hildebrand, K.A. Neuroinflammatory mechanisms of connective tissue fibrosis: Targeting neurogenic and mast cell contributions. Adv. Wound Care 2015, 4, 137–151. [Google Scholar] [CrossRef]
- Daluga, D.; Lombardi, A.V., Jr.; Mallory, T.H.; Vaughn, B.K. Knee manipulation following total knee arthroplasty. Analysis of prognostic variables. J. Arthroplast. 1991, 6, 119–128. [Google Scholar] [CrossRef]
- Kurosaka, M.; Yoshiya, S.; Mizuno, K.; Yamamoto, T. Maximizing flexion after total knee arthroplasty: The need and the pitfalls. J. Arthroplast. 2002, 17 (Suppl. 1), 59–62. [Google Scholar] [CrossRef]
- Kendall, R.T.; Feghali-Bostwick, C.A. Fibroblasts in fibrosis: Novel roles and mediators. Front. Pharmacol. 2014, 5, 123. [Google Scholar] [CrossRef]
- Pines, M. Halofuginone for fibrosis, regeneration and cancer in the gastrointestinal tract. World J. Gastroenterol. 2014, 20, 14778–14786. [Google Scholar] [CrossRef]
- Hinz, B.; Phan, S.H.; Thannickal, V.J.; Galli, A.; Bochaton-Piallat, M.L.; Gabbiani, G. The myofibroblast: One function, multiple origins. Am. J. Pathol. 2007, 170, 1807–1816. [Google Scholar] [CrossRef]
- Njus, D.; Kelley, P.M.; Tu, Y.J.; Schlegel, H.B. Ascorbic acid: The chemistry underlying its antioxidant properties. Free Radic. Biol. Med. 2020, 159, 37–43. [Google Scholar] [CrossRef] [PubMed]
- Conway, F.J.; Talwar, D.; McMillan, D.C. The relationship between acute changes in the systemic inflammatory response and plasma ascorbic acid, alpha-tocopherol and lipid peroxidation after elective hip arthroplasty. Clin. Nutr. 2015, 34, 642–646. [Google Scholar] [CrossRef] [PubMed]
- Piersma, B.; Wouters, O.Y.; de Rond, S.; Boersema, M.; Gjaltema, R.A.F.; Bank, R.A. Ascorbic acid promotes a TGFβ1-induced myofibroblast phenotype switch. Physiol. Rep. 2017, 5, e13324. [Google Scholar] [CrossRef]
- Behrend, H.; Lengnick, H.; Zdravkovic, V.; Ladurner, A.; Rudin, D.; Erschbamer, M.; Joerger, M.; Kuster, M. Vitamin C demand is increased after total knee arthroplasty: A double-blind placebo-controlled-randomized study. Knee Surg. Sports Traumatol. Arthrosc. 2019, 27, 1182–1188. [Google Scholar] [CrossRef] [PubMed]
- Jacques, H.; Jérôme, V.; Antoine, C.; Lucile, S.; Valérie, D.; Amandine, L.; Theofylaktos, K.; Olivier, B. Prospective randomized study of the vitamin C effect on pain and complex pain regional syndrome after total knee arthroplasty. Int. Orthop. 2021, 45, 1155–1162. [Google Scholar] [CrossRef]
- Gao, Z.Y.; Wu, J.X.; Liu, W.B.; Sun, J.K. Reduction of adhesion formation after knee surgery in a rat model by botulinum toxin A. Biosci. Rep. 2017, 37, BSR20160460. [Google Scholar] [CrossRef] [PubMed]
- Karahan, N.; Kaya, M.; Yılmaz, B.; Pepele Kurdal, D.; Midi, A.; Vurucu, O. The effect of collagenase clostridium histolyticum on adhesion reduction in a rat knee arthrofibrosis model. Acta Orthop. Traumatol. Turc. 2021, 55, 385–390. [Google Scholar] [CrossRef] [PubMed]




Publisher’s Note: MDPI stays neutral with regard to jurisdictional claims in published maps and institutional affiliations. |
© 2022 by the authors. Licensee MDPI, Basel, Switzerland. This article is an open access article distributed under the terms and conditions of the Creative Commons Attribution (CC BY) license (https://creativecommons.org/licenses/by/4.0/).
Share and Cite
Takada, S.; Setoyama, K.; Norimatsu, K.; Otsuka, S.; Nakanishi, K.; Tani, A.; Nakakogawa, T.; Matsuzaki, R.; Matsuoka, T.; Sakakima, H.; et al. E8002 Reduces Adhesion Formation and Improves Joint Mobility in a Rat Model of Knee Arthrofibrosis. Int. J. Mol. Sci. 2022, 23, 1239. https://doi.org/10.3390/ijms23031239
Takada S, Setoyama K, Norimatsu K, Otsuka S, Nakanishi K, Tani A, Nakakogawa T, Matsuzaki R, Matsuoka T, Sakakima H, et al. E8002 Reduces Adhesion Formation and Improves Joint Mobility in a Rat Model of Knee Arthrofibrosis. International Journal of Molecular Sciences. 2022; 23(3):1239. https://doi.org/10.3390/ijms23031239
Chicago/Turabian StyleTakada, Seiya, Kentaro Setoyama, Kosuke Norimatsu, Shotaro Otsuka, Kazuki Nakanishi, Akira Tani, Tomomi Nakakogawa, Ryoma Matsuzaki, Teruki Matsuoka, Harutoshi Sakakima, and et al. 2022. "E8002 Reduces Adhesion Formation and Improves Joint Mobility in a Rat Model of Knee Arthrofibrosis" International Journal of Molecular Sciences 23, no. 3: 1239. https://doi.org/10.3390/ijms23031239
APA StyleTakada, S., Setoyama, K., Norimatsu, K., Otsuka, S., Nakanishi, K., Tani, A., Nakakogawa, T., Matsuzaki, R., Matsuoka, T., Sakakima, H., Tancharoen, S., Maruyama, I., Tanaka, E., Kikuchi, K., & Uchikado, H. (2022). E8002 Reduces Adhesion Formation and Improves Joint Mobility in a Rat Model of Knee Arthrofibrosis. International Journal of Molecular Sciences, 23(3), 1239. https://doi.org/10.3390/ijms23031239

