Abstract
Presenilin-2 (PSEN2) mutation Thr421Met was identified from a 57-years old patient with early onset Alzheimer’s disease (EOAD) for the first time in Korea. Previously, this mutation was discovered in an EOAD patient in Japan without a change on amyloid production from the cellular study. Both Korean and Japanese patients developed the disease in their 50s. Memory loss was prominent in both cases, but no additional clinical information was available on the Japanese patient. Magnetic resonance imaging (MRI) images of the Korean patient revealed asymmetric atrophies in both temporo-parietal lobes. In addition, amyloid positron emission tomography (PET) also revealed amyloid deposits in the gray matter of the temporo-parietal lobes asymmetrically. PSEN2 Thr421 was conserved among a majority of vertebrates (such as zebras, elephants, and giant pandas); hence, Thr421 could play an important role in its functions and any mutations could cause detrimental ramifications in its interactions. Interestingly, PSEN2 Thr421 could have homology with PSEN1 Thr440, as PSEN1 T440del mutations were reported from patients with AD or dementia with Lewy bodies. Hence, the changed amino acid from threonine to methionine of PSEN2 Thr421 could cause significant structural alterations in causing local protein dynamics, leading to its pathogenicity in EOAD. Lastly, PSEN2 Thr421Met may interact with other mutations in neurodegenerative disease related genes, which were found in the proband patient, such as ATP binding cassette subfamily A member 7 (ABCA7), Notch Receptor 3 (NOTCH3), or Leucine-rich repeat kinase 2 (LRRK2). These interactions of pathway networks among PSEN2 and other disease risk factors could be responsible for the disease phenotype through other pathways. For example, PSEN2 and ABCA7 may impact amyloid processing and reduce amyloid clearance. Interaction between PSEN2 and NOTCH3 variants may be associated with abnormal NOTCH signaling and a lower degree of neuroprotection. Along with LRRK2 variants, PSEN2 Thr421Met may impact neurodegeneration through Wnt related pathways. In the future, cellular studies of more than one mutation by CRISPR-Cas9 method along with biomarker profiles could be helpful to understand the complicated pathways.
1. Introduction
A majority of mutations from amyloid precursor protein (APP), Presenilin-1 (PSEN1), and Presenilin-2 (PSEN2) genes presented with the autosomal dominant pattern in families of patients with early onset Alzheimer’s disease (EOAD). Interestingly, over 300 mutations were reported from PSEN1 gene on chromosome 14, while mutations in PSEN2 on chromosome 1 were relatively rare with 87 mutations at the time of submission of this report. Structurally, PSEN2 shared approximately 60% homology with PSEN1 gene [1], which both contained nine transmembrane domains, connected with hydrophilic loops in cytosol and lumen and a long cytosolic loop between TM6 and TM7 [2,3].
PSEN1 and PSEN2 proteins participated as the core subunit of the γ-secretase complex for processing APP through two catalytic aspartates, the Asp263 in TM6 and the Asp366 TM7. Mutations in PSEN2 may alter the γ-secretase cleavages of APP and Notch proteins. Elevated Aβ42/40 productions were found in four PSEN2 mutations, including Thr122Pro, Asn144Ile, Met239Val, and Met239Ile. Cellular models of PSEN2 Arg62His, Ser130Leu, and Val148Ile did not reveal any significant change in Aβ42/40 ratio, suggesting these mutations to be non-pathogenic or not impacting the neurodegenerations through amyloid-beta independent mechanisms [4]. Besides amyloid production, PSEN2 may influence the disease through amyloid independent pathways [5]. Mouse models with PSEN2 Asn141Ile presented the elevated levels of oxidative stress and p53 in neurons, inducing neurodegenerations [5]. PSEN2 knockout mice were associated with impaired cytokine productions, such as complement components, glial fibrillary acetic protein, and cathepsin S, especially in the neuroinflammatory pathways of the brain [6]. PSEN2 mutations may also impair calcium homeostasis, where Thr122Arg or Met239Leu were associated with reduced calcium releases from intracellular compartments [7].
Clinically, PSEN2 presented with a wide range of age of onset from 40 to 75 years of age [8]. Disease phenotypes from PSEN2 mutations were diverse, such as late onset AD (LOAD), frontotemporal dementia (FTD), dementia with Lewy bodies (DLBs), breast cancer, and dilated cardiomyopathy (DCM) [9,10,11,12,13]. Even though the inheritance pattern of EOAD patients from PSEN2 mutations were autosomal dominant, the penetrance of mutations may be variable. Moreover, several variants were qualified as variant with unknown significance (VUS) or probably benign variants (https://www.alzforum.org/mutations/psen-2, accessed on 1 July 2022). Environmental factors were also suggested to play a significant role in AD and other neurodegenerative diseases through PSEN2 mutations [9].
In this study, a PSEN2 Thr421Met mutation was reported in a diagnosed patient with EOAD in Korea for the first time. Structure predictions, pathway, and biomarker analyses were performed to investigate the role of PSEN2 Thr421Met mutation in patient with EOAD. This study was approved by the Institutional Review Board of Soonchunhyang University College of Medicine, Cheonan Hospital (IRB number: 2021-05-034-015).
2. Case Presentation
2.1. Patient Clinical Phenotypes
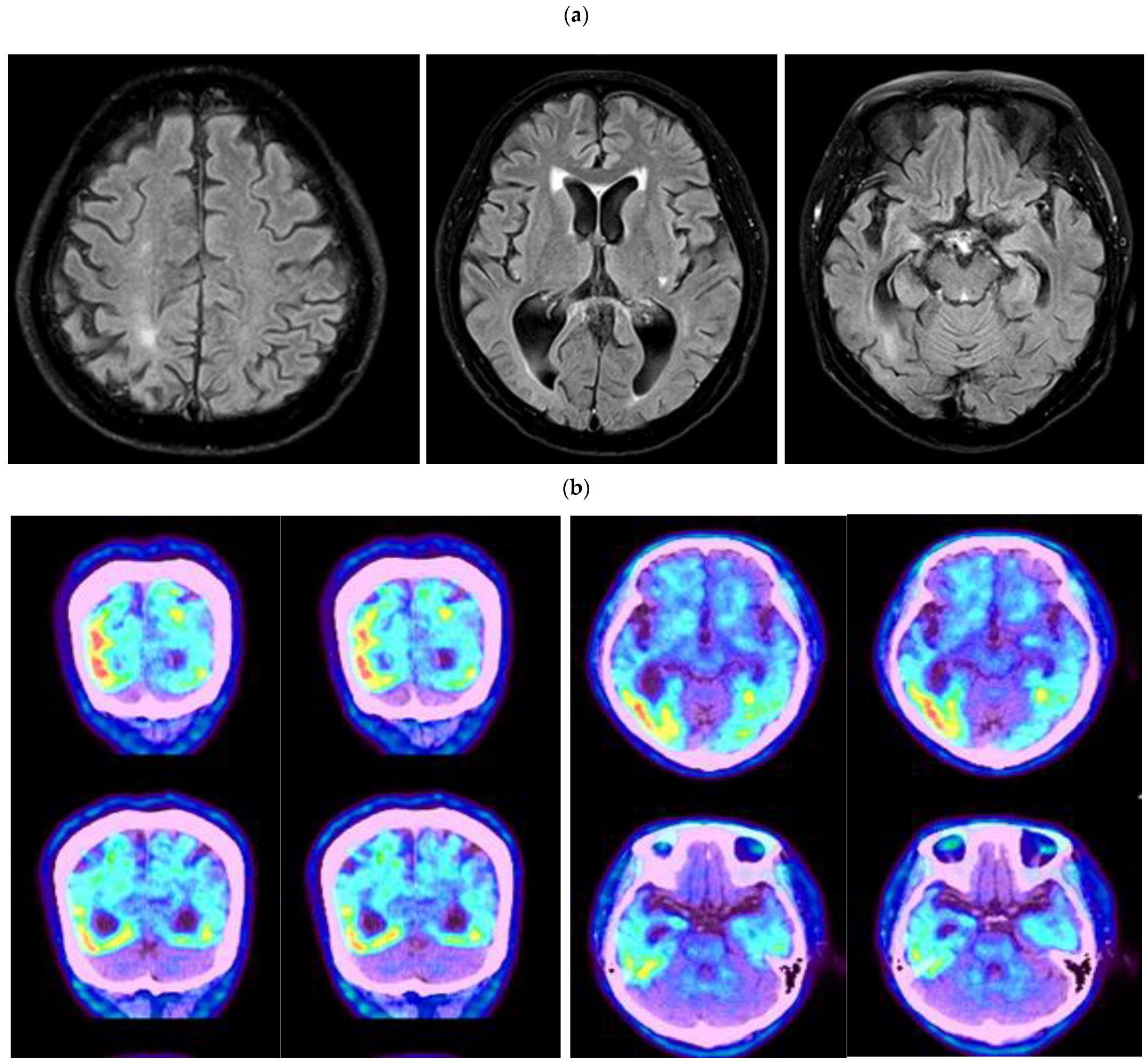
The proband patient was a 56-year-old female patient, who was admitted to the hospital for complaints of gradual memory loss. She was right-handed and a retiree from an office job with a high school diploma. Her cognitive decline began 4 years before the admission in 2021, and her symptoms gradually worsened 3 years before the admission and hospitalization through the outpatient clinic. The patient repeatedly asked the same questions, such as ‘Have you been to the market?’. On the day of the hospital visit, the patient claimed that she came to the hospital by bus, even though her children drove her to the clinic. A year after the first symptom, personality changes appeared. For example, she was often angry, denying what she had done, and lost interest in her hobbies (such as farming), and she became withdrawn from family members and friends. She had difficulties in her daily activities, such as washing, bathing herself, or changing her clothes by herself. However, depression did not appear in the patient. Neurological tests did not reveal any impairment in motor and sensory functions. Her tendon reflexes were normal without any pathological reflexes, and her cerebellar function tests and gait were also normal. From the neuropsychological test, she was able to regurgitate numbers up to three digits with speaking backwards with one digit at a time. In verbal memory, impairment was observed, but the verbal fluency and comprehension were generally good. Overall, she replied to questions with short answers. Tests for apraxia and left-right orientation were normal, but the frontal lobe dysfunction (fist-hand blade-palm disorder) was observed. Spatiotemporal abilities were maintained. Based on the overall neurological diagnose, her motor and sensory were intact without facial palsy or aphasia. Her MMSE score of 10 and GDS score of 5 confirmed her diagnosis after visiting the hospital. Brain fluid-attenuated inversion recovery (FLAIR) MRI showed asymmetric atrophies in the entire brain. Uneven brain loss was most prominent in both temporo-parietal lobes. From the amyloid PET-CT data [14], intense metabolic activity could be seen in the gray matter of both temporo-parietal lobes. Interestingly, the amyloid deposits were asymmetric; they were more prominent in the left side of the temporo-parietal region, compared to the right one (Figure 1a,b). Amyloid deposits were also noticeable in these areas without clear correlations with clinical symptoms.
Figure 1.
(a) Brain MRI of the patient, revealing asymmetric brain atrophies for the entire brain. Brain shrinkage was most prominent in the temporo-parietal lobe. (b) Amyloid PET-CT revealed intense amyloid deposits in the gray matter area asymmetrically. Amyloid deposits were prominent in both parietal and temporal lobes, but they were more prominent in the left temporo-parietal lobes.
The final diagnosis was EOAD, and she was prescribed with donepezil, cerebrolysin, and choline alfoscerate. Later, the patient was discharged from the hospital with a stable condition and recommended for the continuous medications and regular visits through the outpatient clinic. The patient had hypertension as an underlying disease, but she did not drink or smoke. The concentrations of cerebrospinal fluid (CSF) Aβ42 was quantified using commercial ELISA kits (INNOTEST β-AMYLOID (1–42), according to the manufacturer’s instructions. No significant reduction was observed in CSF-Aβ42 (906.3 pg/mL), compared to the normal controls (941.5–1238.2 pg/mL). Western blot for 14–3-3 protein, RT-QUIC for PrPSc and Tau quantification was performed by Korea Creutzfeldt-Jakob Disease (CJD) Diagnostic Center and Hallym University Medical Center (Seoul, Republic of Korea). The patient was negative for both 14–3-3 protein, and abnormal prion protein, which ruled out the possibility of sporadic CJD diagnosis. Total Tau levels were increased (379.9 p/mL) in the patient, compared to the healthy controls (below 200 pg/mL). Family history for any neurodegenerative diseases seemed to be negative, and no other affected family member was found. Segregation of mutation could not be proven since all relatives refused the genetic testing. Apolipoprotein E (APOE) genotype from whole exome sequencing (WES) and Sanger sequencing revealed E3/3 genotype.
2.2. Genetic Analysis
Whole blood sample from the patient was received, and DNA was extracted from white blood cells by Quiagen blood kit (Seoul, Korea). The WES analysis was performed with the patient’s genomic DNA sequencing results with Illumina platform by Novogene Inc. (https://en.novogene.com; accessed on 1 July 2021). The sequencing data was visualized by Integrative Genomics Viewer (IGV) software [15]. Sanger sequencing was performed to verify the mutation. Other causative mutations from other responsible genes for the neurodegenerative diseases, including AD risk factors, Parkinson’s disease, frontotemporal disease, amyotrophic lateral sclerosis, and vascular diseases, were searched (Supplementary Table S1). STRING and Cluego pathway analyses were also performed on the mutations from the patient to estimate its associations with other genetic factors [16].
PSEN2 Thr421Met mutation was analyzed by in silico bioinformatic tools, such as PolyPhen-2 (http://genetics.bwh.harvard.edu/pph2/, accessed on 1 July 2022), SIFT (http://sift.jcvi.org/, accessed on 1 July 2022), PROVEAN, and CADD (https://cadd.gs.washington.edu/, accessed on 1 July 2022) tools. The 3D protein structure predictions were performed on normal PSEN2 421Thr and 421Met mutation by Phyre2 tool (http://www.sbg.bio.ic.ac.uk/phyre2/html/page.cgi?id=index, accessed on 1 July 2022). The structural alterations between PSEN2 421Thr and 421Met were visualized by the Discovery Studio 3.5 Visualizer tool.
3. Results
The patient carried a previously reported PSEN2 mutation, c.1259C>T or p.Thr421Met (g.226895494.C>T, Figure 2), from Japan. PSEN2 Thr421Met was not updated in the 1000Genomes database (http://www.internationalgenome.org/; accessed on 1 July 2022), but it appeared among the GnomAD database (https://gnomad.broadinstitute.org/; accessed on 1 July 2022) with the allover frequency of 0.00002788. Thr421Met was found in seven unaffected individuals from GnomAD, five Asians and two non-Finnish European individuals. Among them, age range was known among five individuals: two of them were between 45 and 50 and 60 and 65, while one other carrier was between 65 and 70 years of age.
Figure 2.
Sanger sequencing data of heterozygous PSEN2 Thr421Met mutation, indicated with arrow.
Along with PSEN2 Thr421Met, additional common or rare variants appeared in the patient in a different neurodegenerative disease. Among AD risk genes, ATP Binding Cassette Subfamily A Member 7 (ABCA7) bound three relatively rare variants (Thr319Ala, His395Arg, and Arg463His). Furthermore, ABCA7 carried a common AD risk factor variant, Gly1527Ala [17]. Additional variants were found in Cas Scaffold Protein Family Member 4 (CASS4, Pro660Ser), Sialic acid binding Ig-like lectin 3 (CD33, Ala14Val), Ephrin Type-A Receptor A1 (EPHA1; Met900Val and Val160Ala), Solute Carrier Family 24 Member 4 (SLC24A4; Lys533Gln), and Sortilin Related Receptor 1 (SORL1; Gln1074Glu and Val1967Ile). Among the non-AD risk genes, such as Notch Receptor 3 (NOTCH3), Leucine-rich repeat kinase 2 (LRRK2), and microtubule-associated protein tau (MAPT), several variants appeared, too. A rare mutation, Leu1518Met, was observed in NOTCH3, but its role in neurodegenerative diseases remained unclear [18]. Additionally, a common variant was observed in MAPT (Tyr441His), and three common variants appeared in LRRK2 (Arg50His, Ser1647Thr, and Met2397Thr) (Supplementary Table S2). STRING pathway analysis (Figure 3a) suggested that PSEN2 could directly interact with other AD risk genes, such as ABCA7, SORL1, CD33, CASS4, and SLC24A4. STRING networking also revealed direct interactions with non-AD risk genes, such as MAPT, NOTCH3, and LRRK2. ClueGo analysis confirmed the PSEN2 association with AD risk genes, such as ABCA7 and SORL1 in amyloid processing, transport, and amyloid clearance. An additional direct association was found between PSEN2, Huntingtin Interacting Protein 1 Related (HIP1R), and low-density lipoprotein receptor-related protein 6 (LRP6), which could impact the protein transport. Additionally, PSEN2 could impact negative regulation of endocytosis through ABCA7 interactions by interacting ataxin-2 (ATXN2). In addition, between PSEN2 could play a role in lysosomal transport through SORL1 by interacting with different genes, such as MAPT, LRRK2, Senataxin (SETX), Cyclin G Associated Kinase (GAK), or VPS11 Core Subunit Of CORVET And HOPS Complexes (VPS11). Furthermore, between PSEN2 and Sacsin Molecular Chaperone (SACS) genes could interact indirectly through SORL1 and impact the protein aggregations. Indirect associations between PSEN2 and ATXN2 were also found through ABCA7, which may be related to negative regulation of endocytosis (Figure 3b, Supplementary Table S3b).
Figure 3.
(a) STRING pathway analysis on patient with PSEN2 Thr421Met mutation: PSEN2 may interact directly with different AD (such as EPHA1, ABCA7, and SORL1) and non-AD (NOTCH3, MAPT, and LRRK2) risk genes. (b) Pathway analysis by ClueGo confirmed that PSEN2 may interact with SORL1 and ABCA7 genes, involved in cargo receptor activity. Further indirect associations also appeared between PSEN2 and LRRK2, GAK, SETX, or SLC24A4, which may impact lysosomal transport.
The mutation was predicted as a damaging variant by PolyPhen2 and SIFT analyses with the score of 1.0 and 0.01, respectively. CADD prediction revealed relatively high scores (25.8), suggesting Thr421Met as a damaging variant. Multiple sequence alignment for PSEN2 Thr421 revealed that the majority of vertebrate species (zebras, elephants, and giant pandas) carried threonine at the homologous position in their presenilin-like sequences. However, phenylalanine was at Thr421 position in Nile tilapia and Japanese pufferfish. Alanine was found at homologous residue in purple sea urchin. No methionine at the homologous position was found in any animal species. Taken together, Thr421 was a conserved residue among all vertebrates, and any mutation at Thr421 could cause detrimental effects in its function. Structure predictions revealed that Thr421Met may result in disturbances of protein structure or in intramolecular interactions. Normally, Thr421 would form double hydrogen bonds with Leu424 and Pro417 and a single hydrogen bond with Ile418. In the case of Met421, all contacts remained, but one hydrogen bond may be lost with Pro417. This may result in extra stress and structural alterations inside the helix, causing abnormal motion of TM9. Threonine and methionine are polar and non-polar residues, respectively. Furthermore, the larger size of methionine could result in additional conformational stress inside the PSEN2 helix through the increased hydrophobicity. A lost hydroxyl group in the case of methionine may disturb the interactions between PSEN2 and its potential binding partner (Figure 4).
Figure 4.
Intramolecular interactions in case of Thr421 and Met421. Mutation may result in a loss of a hydrogen bond with Pro417.
4. Discussion
PSEN2 Thr421Met mutation was initially found in a Japanese EOAD patient. Limited information is available on clinical phenotype associated with the mutation. Previously, the Japanese patient developed memory impairment at the age of 55 and carried the homozygous APOE E4 allele. Inheritance pattern of the mutation remained unclear, since no sample could be obtained from any relative of the patient. No further details were described on the Japanese patient’s disease phenotype nor brain imaging data. The same Japanese study revealed that PSEN2 Thr421Met was not found in 112 unaffected Japanese individuals and in 147 non-AD patients. They suggested that PSEN2 Thr421Met could play an important role in disease process by interacting with other disease risk factors, such as homozygous APOE E4 allele [19]. No additional studies were found, which described the clinical phenotypes of AD patients with PSEN2 Thr421Met mutation.
The Korean patient with PSEN2 Thr421Met developed memory loss and personality changes at the age of 55. MRI of our patient revealed the asymmetric neural losses and atrophies in the temporo and parietal lobes, which were not typical in EOAD patients. The images from amyloid PET also revealed the asymmetric amyloid deposits in the gray matter of the temporo-parietal lobes, especially in the left lobes. Even though strong amyloid signal was seen in amyloid PET (and elevated levels of CSF-total Tau), the ELISA for CSF- Aβ42 did not reveal significant reduction. Inconsistence in amyloid PET and CSF-Aβ42 levels may be possible. CSF-amyloid positivity may be possible in normal controls (while they are negative for amyloid PET), suggesting that CSF-amyloids may be a more sensitive marker in pre-clinical or early disease stages, while amyloid PET may be a strong marker for more advanced disease stage [20]. Additionally, amyloid PET may be a stronger marker for AD diagnosis, compared to CSF Aβ42 in the case of differential diagnosis of neurodegenerative diseases [21]. AD patients were reported before, who were positive to amyloid PET and CSF-Tau, but no reduction was observed in CSF-amyloid levels. One of the explanations could be that CSF-amyloid only reflects the soluble pool of amyloid peptides, while amyloid PET may represent the fibrillar amyloid aggregations. Moreover, CSF Aβ42 and amyloid PET could be possibly related independently and differentially to the other, non-amyloid types of AD pathology (such as CSF-Tau, hippocampal atrophy, APOE E4 allele, or reduced cerebral blood flow) [22,23]. CSF amyloid may be strongly correlated with APOE E4 allele, while PET positivity may be associated with CSF-Tau positivity or Alzheimer’s Disease Assessment Scale-cognitive subscale (ADAS-cog). The strong relationship between Tau positivity and ADAS-cog also confirmed that amyloid PET may be a more effective diagnostic marker in later disease stages, compared to CSF-amyloid. PET-positivity and CSF Aβ42 negativity may also suggest that fibrillar amyloid or short amyloids, such as Aβ40, should also be considered as potential CSF markers [20,21,22,23]. Since our patient had APOE E3/3 genotype, other genetic risk factors may contribute strongly to the disease onset. Table 1 presents the comparison of the Korean and Japanese patients with PSEN2 Thr421Met mutation.
Table 1.
Comparison of PSEN2 Thr421Met cases from Japan and the newly discovered Korean case.
The second report, which mentioned PSEN2 Thr421Met mutation, investigated the genetic background of hidradenitis suppurativa (HS), which is a chronic inflammatory disease [24,25]. HS results from the abnormal and uncontrolled inflammatory processes in the cutaneous follicular unit, leading to pain in the sinus, abscess, and hypertrophic scarring. One Japanese patient with the PSEN2 Thr421Met was positive for HS, causing splice site mutation (c.582+1delG) in the nicastrin (NSCTN) gene. Affected individuals presented a scarring and fistulae, which were mostly located at the neck and perineal regions. Unfortunately, this study failed to perform phenotype-genotype correlation in the patient’s family, since all of the relatives refused the genetic testing. This study suggested that PSEN2 Thr421Met may not be a main causative factor for HS. Additionally, this study did not mention whether the HS patient had any neurodegenerative disease phenotype [24,25].
PSEN2 Thr421 shared homology with Thr440 in PSEN1 (Table 2). The patient with PSEN1 Th440 deletion developed a rapid progressive AD with Lewy bodies and cotton wool plaques [26]. Deletion of Thr440 could reduce the Aβ42 levels and fully eliminate the Aβ40 productions [27]. However, a cell study suggested that PSEN2 Thr421Met may be a non-damaging variant. Hsu et al. (2020) cloned PSEN2 Thr421Met into neuroblastoma cells without affecting the γ-secretase activity. The mutation reduced both Aβ42 and Aβ40 levels without the change in the Aβ42/Aβ40 ratio [28].
Table 2.
Comparison of PSEN1 Thr440del and PSEN2 Thr421Met.
Even though PSEN2 Thr421Met was suggested as a possible benign variant, it may be fully ruled out for its influence in the disease progression, especially when Thr421 residue was conserved among vertebrates and even between PSEN1 and PSEN2. This mutation received relatively high CADD scores (25.8), suggesting the damaging effects. Structure prediction showed that Met421 may alter the interactions with Pro417 by losing a hydrogen bond. Pro417 was part of the PALP (Pro414-Ala415-Leu416-Pro417) motif in PSEN2. The PALP motif in PSENs played a critical role in catalytic site formation and APP recognition by γ-secretase. Disturbance of intramolecular interactions of PALP residues and within any nearby residues may disturb the γ-secretase functions [29].
Mutant PSEN2 may interact with other mutant AD or non-AD risk factor genes (Figure 3a,b, Supplementary Table S3a,b). Presenilins may have multiple roles in cell functions by interacting with several proteins. It may be possible that variants in these genes could play a role in disease progression in the presence of PSEN2 Thr421Met [30]. Pathway analyses by ClueGo and STRING revealed that PSEN2 could interact with ABCA7 and SORL1. ABCA7 was originally involved in lipid metabolisms with its important role in the amyloid metabolism. PSEN2 mutations may impact amyloid pathology by altering the APP trafficking and availability of APP cleavage products [31]. ABCA7 deficiency revealed to increase the amyloid productions and accumulations through increasing β-secretase activity or reducing the amyloid clearance mechanisms [32]. It could be possible that ABCA7 and PSEN2 could interact and share the common pathways through amyloid-β processing [33]. SORL1 dysfunctions may also be important in AD pathogenesis. SORL1 may play an important role in endosomal degeneration and neuronal recycling process [34,35]. STRING revealed that PSEN2 may share common pathways with other AD risk genes, such as CASS4, EPHA1, and SLC24A4, but no detailed reports are available through which mechanisms they may interact. EPHA1 was verified to play a role in axon guidance, synaptic development, and plasticity. CD33 was verified to impact cell communication and also in the regulation of adaptive immune system. [36,37]. CASS4 may impact the cytoskeletal functions and also APP metabolism [37] SLC24A4 was verified as an ion transporter, and its dysfunctions may result in defects in calcium ion transport, leading to neurodegeneration [38]. ClueGo networking revealed a direct association between LRP6 and PSEN2. LRP6 is an AD risk factor, which may play a role in the endocytosis of lipoproteins and their ligands. Deficiency of LRP6 may significantly impact AD risk through Wnt signaling. Additionally, mutant LRP6 was suggested to increase amyloid processing and Aβ42 aggregation [39].
Among the non-AD related genes, STRING analysis supported the interactions between NOTCH3 and PSEN2. As part of γ-secretase, PSEN2 (as well as PSEN1) could impact the cleavage of other substrates, including Notch components [9]. Even though mutations in NOTCH3 were verified as causative factors for CADASIL, they may also impact AD pathology [40]. PSEN2 mutations, such as Arg62His and Arg71Trp, may destabilize the PSEN2 protein and impair the Notch signaling. In Caenorhabditis elegans and mouse fibroblast models, PSEN2 variants could result in the reduced Egl rescue in comparison to wild type [13]. Several AD causing mutations in PSEN1 may also reduce the cleavage of Notch proteins, such as Leu166Pro [41], Leu392Val [42], Cys410Tyr [43], Leu435Phe, and Pro436Ser [44]. Notch signaling played a crucial role in brain development, and its impairment could impact several neurodegenerative diseases significantly, including AD and PD. Notch impairment reduced the amyloid clearance, neuroprotection, or the self-renewal of nerve cells through creating disturbances in microtubule stability [45]. STRING indicated the direct associations between LRRK2 and PSEN2, since they both shared a common pathway through the Wnt signaling, such as beta catenin or low-density lipoprotein receptor-related protein 6 (LRP6). Hence, LRRK2 may serve as a bridge between the membrane and cytosolic components of Wnt proteins. Impairments in LRRK2 functions may result in reduced levels of Wnt signals, enhancing the neurodegenerations [46]. PSEN1 or PSEN2 mutations could also impact Wnt signaling. PSENs may control beta catenin stability, and their impaired or altered interactions could reduce the degree of Wnt signals [47]. ClueGo revealed a direct association between PSEN2 and HIP1R gene through receptor cargo activity. Association of HIP1R to AD or PSEN2 was not confirmed. However, HIP1R may impact signal transduction and control the transport of growth factor receptors, so the possible common mechanisms between PSEN2 and HIP1R may not be ruled out [48]. A limitation of this study is that these interactions could not be confirmed in vitro. Cellular studies will be carried out in the future in the presence and absence of potential AD risk modifiers. Furthermore, since the patient’s relatives refused the genetic test or giving any detailed information on their health status, the segregation analysis on PSEN2 Thr421Met of the Korean family could not be performed.
5. Conclusions
In summary, the significance of PSEN2 Thr421Met in neurodegeneration may not be overlooked. The mutation may interact with other genetic AD and non-AD risk factors, impacting the multiple disease related pathways, especially with ABCA7 for influencing the amyloid processing pathway. Furthermore, the amyloid-independent pathway in the neurodegeneration through the impaired Notch or Wnt signaling pathways should be investigated.
Supplementary Materials
The following supporting information can be downloaded at: https://www.mdpi.com/article/10.3390/ijms232113331/s1.
Author Contributions
Conceptualization, all authors; Methodology, E.B. and Y.Y.; Software, E.B.; Validation, E.B. and Y.Y.; Formal Analysis, all authors; Investigation, all authors; Resources, S.K. and S.S.A.A.; Data Curation, S.K. and S.S.A.A.; Writing—Original Draft Preparation, E.B. and Y.Y.; Writing—Review & Editing, S.S.A.A. and S.K.; Visualization, E.B. and Y.Y.; Supervision S.S.A.A. and S.K.; Project Administration, S.S.A.A. and S.K.; Funding Acquisition, S.S.A.A. and S.K. All authors have read and agreed to the published version of the manuscript.
Funding
This study was supported by Basic Science Research Program through the National Research Foundation of Korea (NRF), funded by the Ministry of Education NRF-2020R1A2B5B01002463, and 2021R1A6A1A03038996.
Institutional Review Board Statement
This study was approved by the Institutional Review Board of Soonchunhyang University College of Medicine, Cheonan Hospital (IRB number: 2021-05-034-015).
Informed Consent Statement
Informed consent was obtained from proband patient, involved in the study.
Data Availability Statement
Not applicable.
Acknowledgments
The authors would like to express their gratitude to the proband patient and her family members for their time and support. The authors would like to say special thanks to the experts in the Korea CJD Diagnostic Center in Hallym University for the 14-3-3, total-Tau, and RT-QIUC analysis on the patient, especially Yong-Sun Kim and Seok-Ju Park. The authors also would like to say thanks to Kyu-Hwan Shim and Danyeong Kim for the CSF Aβ42 test.
Conflicts of Interest
The authors declare no conflict of interests.
References
- Rogaev, E.I.; Sherrington, R.; Rogaeva, E.A.; Levesque, G.; Ikeda, M.; Liang, Y.; Chi, H.; Lin, C.; Holman, K.; Tsuda, T.; et al. Familial Alzheimer’s disease in kindreds with missense mutations in a gene on chromosome 1 related to the Alzheimer’s disease type 3 gene. Nature 1995, 376, 775–778. [Google Scholar] [CrossRef] [PubMed]
- Levy-Lahad, E.; Wijsman, E.M.; Nemens, E.; Anderson, L.; Goddard, K.A.; Weber, J.L.; Bird, T.D.; Schellenberg, G.D. A familial Alzheimer’s disease locus on chromosome 1. Science 1995, 269, 970–973. [Google Scholar] [CrossRef] [PubMed]
- Levy-Lahad, E.; Wasco, W.; Poorkaj, P.; Romano, D.M.; Oshima, J.; Pettingell, W.H.; Yu, C.E.; Jondro, P.D.; Schmidt, S.D.; Wang, K.; et al. Candidate gene for the chromosome 1 familial Alzheimer’s disease locus. Science 1995, 269, 973–977. [Google Scholar] [CrossRef] [PubMed]
- Walker, E.S.; Martinez, M.; Brunkan, A.L.; Goate, A. Presenilin 2 familial Alzheimer’s disease mutations result in partial loss of function and dramatic changes in Abeta 42/40 ratios. J. Neurochem. 2005, 92, 294–301. [Google Scholar] [CrossRef] [PubMed]
- Nguyen, H.N.; Lee, M.S.; Hwang, D.Y.; Kim, Y.K.; Lee, J.W.; Yun, Y.P.; Lee, M.K.; Oh, K.W.; Hong, J.T. Mutant presenilin 2 increased oxidative stress and p53 expression in neuronal cells. Biochem. Biophys. Res. Commun. 2007, 357, 174–180. [Google Scholar] [CrossRef] [PubMed]
- Beglopoulos, V.; Sun, X.; Saura, C.A.; Lemere, C.A.; Kim, R.D.; Shen, J. Reduced beta-amyloid production and increased inflammatory responses in presenilin conditional knock-out mice. J. Biol. Chem. 2004, 279, 46907–46914. [Google Scholar] [CrossRef] [PubMed]
- Zatti, G.; Burgo, A.; Giacomello, M.; Barbiero, L.; Ghidoni, R.; Sinigaglia, G.; Florean, C.; Bagnoli, S.; Binetti, G.; Sorbi, S.; et al. Presenilin mutations linked to familial Alzheimer’s disease reduce endoplasmic reticulum and Golgi apparatus calcium levels. Cell Calcium 2006, 39, 539–550. [Google Scholar] [CrossRef]
- Bagyinszky, E.; Youn, Y.C.; An, S.S.; Kim, S. The genetics of Alzheimer’s disease. Clin. Interv. Aging 2014, 9, 535–551. [Google Scholar] [CrossRef]
- Cai, Y.; An, S.S.; Kim, S. Mutations in presenilin 2 and its implications in Alzheimer’s disease and other dementia-associated disorders. Clin. Interv. Aging. 2015, 10, 1163–1172. [Google Scholar]
- Koriath, C.; Kenny, J.; Adamson, G.; Druyeh, R.; Taylor, W.; Beck, J.; Quinn, L.; Mok, T.H.; Dimitriadis, A.; Norsworthy, P.; et al. Predictors for a dementia gene mutation based on gene-panel next-generation sequencing of a large dementia referral series. Mol. Psychiatry 2020, 25, 3399–3412. [Google Scholar] [CrossRef]
- Piscopo, P.; Marcon, G.; Piras, M.R.; Crestini, A.; Campeggi, L.M.; Deiana, E.; Cherchi, R.; Tanda, F.; Deplano, A.; Vanacore, N.; et al. A novel PSEN2 mutation associated with a peculiar phenotype. Neurology 2008, 70, 1549–1554. [Google Scholar] [CrossRef] [PubMed]
- Li, D.; Parks, S.B.; Kushner, J.D.; Nauman, D.; Burgess, D.; Ludwigsen, S.; Partain, J.; Nixon, R.R.; Allen, C.N.; Irwin, R.P.; et al. Mutations of presenilin genes in dilated cardiomyopathy and heart failure. Am. J. Hum. Genet. 2006, 79, 1030–1039. [Google Scholar] [CrossRef] [PubMed]
- To, M.D.; Gokgoz, N.; Doyle, T.G.; Donoviel, D.B.; Knight, J.A.; Hyslop, P.S.; Bernstein, A.; Andrulis, I.L. Functional characterization of novel presenilin-2 variants identified in human breast cancers. Oncogene 2006, 25, 3557–3564. [Google Scholar] [CrossRef] [PubMed]
- Lee, B.S.; Chu, S.Y.; Kwon, H.R.; Park, C.; Sirion, U.; Brockschnieder, D.; Dyrks, T.; Oh, S.J.; Kim, J.S.; Chi, D.Y. Synthesis and evaluation of 6-(3-[(18)F]fluoro-2-hydroxypropyl)-substituted 2-pyridylbenzothiophenes and 2-pyridylbenzothiazoles as potential PET tracers for imaging Aβ plaques. Bioorg. Med. Chem. 2016, 24, 2043–2052. [Google Scholar] [CrossRef]
- Bagyinszky, E.; Kang, M.J.; Pyun, J.; Van Giau, V.; An, S.S.A.; Kim, S. Early-onset Alzheimer’s disease patient with prion (PRNP) p.Val180Ile mutation. Neuropsychiatr. Dis. Treat. 2019, 15, 2003–2013. [Google Scholar] [CrossRef]
- Bindea, G.; Mlecnik, B.; Hackl, H.; Charoentong, P.; Tosolini, M.; Kirilovsky, A.; Fridman, W.H.; Pagès, F.; Trajanoski, Z.; Galon, J. ClueGO: A Cytoscape plug-in to decipher functionally grouped gene ontology and pathway annotation networks. Bioinformatics 2009, 25, 1091–1093. [Google Scholar] [CrossRef]
- Bamji-Mirza, M.; Li, Y.; Najem, D.; Liu, Q.Y.; Walker, D.; Lue, L.F.; Stupak, J.; Chan, K.; Li, J.; Ghani, M.; et al. Genetic Variations in ABCA7 Can Increase Secreted Levels of Amyloid-β40 and Amyloid-β42 Peptides and ABCA7 Transcription in Cell Culture Models. J. Alzheimer’s Dis. 2016, 53, 875–892. [Google Scholar] [CrossRef]
- Dunn, P.J.; Maksemous, N.; Smith, R.A.; Sutherland, H.G.; Haupt, L.M.; Griffiths, L.R. Investigating diagnostic sequencing techniques for CADASIL diagnosis. Hum. Genom. 2020, 14, 2. [Google Scholar] [CrossRef]
- Yagi, R.; Miyamoto, R.; Morino, H.; Izumi, Y.; Kuramochi, M.; Kurashige, T.; Maruyama, H.; Mizuno, N.; Kurihara, H.; Kawakami, H. Detecting gene mutations in Japanese Alzheimer’s patients by semiconductor sequencing. Neurobiol. Aging 2014, 35, 1780.e1–1780.e5. [Google Scholar] [CrossRef]
- Mattsson, N.; Insel, P.S.; Donohue, M.; Landau, S.; Jagust, W.J.; Shaw, L.M.; Trojanowski, J.Q.; Zetterberg, H.; Blennow, K.; Weiner, M.W. Alzheimer’s Disease Neuroimaging Initiative. Independent information from cerebrospinal fluid amyloid-β and florbetapir imaging in Alzheimer’s disease. Brain J. Neurol. 2015, 138 Pt 3, 772–783. [Google Scholar] [CrossRef]
- Giacomucci, G.; Mazzeo, S.; Bagnoli, S.; Casini, M.; Padiglioni, S.; Polito, C.; Berti, V.; Balestrini, J.; Ferrari, C.; Lombardi, G.; et al. Matching Clinical Diagnosis and Amyloid Biomarkers in Alzheimer’s Disease and Frontotemporal Dementia. J. Pers. Med. 2021, 11, 47. [Google Scholar] [CrossRef] [PubMed]
- Zwan, M.D.; Rinne, J.O.; Hasselbalch, S.G.; Nordberg, A.; Lleó, A.; Herukka, S.K.; Soininen, H.; Law, I.; Bahl, J.M.; Carter, S.F.; et al. Use of amyloid-PET to determine cutpoints for CSF markers: A multicenter study. Neurology 2016, 86, 50–58. [Google Scholar] [CrossRef] [PubMed]
- Alcolea, D.; Pegueroles, J.; Muñoz, L.; Camacho, V.; López-Mora, D.; Fernández-León, A.; Le Bastard, N.; Huyck, E.; Nadal, A.; Olmedo, V.; et al. Agreement of amyloid PET and CSF biomarkers for Alzheimer’s disease on Lumipulse. Ann. Clin. Transl. Neurol. 2014, 6, 1815–1824. [Google Scholar] [CrossRef] [PubMed]
- Frew, J.W.; Vekic, D.A.; Woods, J.; Cains, G.D. A systematic review and critical evaluation of reported pathogenic sequence variants in hidradenitis suppurativa. Br. J. Dermatol. 2017, 177, 987–998. [Google Scholar] [CrossRef]
- Nomura, Y.; Nomura, T.; Sakai, K.; Sasaki, K.; Ohguchi, Y.; Mizuno, O.; Hata, H.; Aoyagi, S.; Abe, R.; Itaya, Y.; et al. A novel splice site mutation in NCSTN underlies a Japanese family with hidradenitis suppurativa. Br. J. Dermatol. 2013, 168, 206–209. [Google Scholar] [CrossRef]
- Ishikawa, A.; Piao, Y.S.; Miyashita, A.; Kuwano, R.; Onodera, O.; Ohtake, H.; Suzuki, M.; Nishizawa, M.; Takahashi, H. A mutant PSEN1 causes dementia with Lewy bodies and variant Alzheimer’s disease. Ann. Neurol. 2005, 57, 429–434. [Google Scholar] [CrossRef]
- Sun, L.; Zhou, R.; Yang, G.; Shi, Y. Analysis of 138 pathogenic mutations in presenilin-1 on the in vitro production of Aβ42 and Aβ40 peptides by γ-secretase. Proc. Natl. Acad. Sci. USA 2017, 114, E476–E485. [Google Scholar] [CrossRef]
- Hsu, S.; Pimenova, A.A.; Hayes, K.; Villa, J.A.; Rosene, M.J.; Jere, M.; Goate, A.M.; Karch, C.M. Systematic validation of variants of unknown significance in APP, PSEN1 and PSEN2. Neurobiol. Dis. 2020, 139, 104817. [Google Scholar] [CrossRef]
- Takeo, K.; Watanabe, N.; Tomita, T.; Iwatsubo, T. Contribution of the γ-secretase subunits to the formation of catalytic pore of presenilin 1 protein. J. Biol. Chem. 2012, 287, 25834–25843. [Google Scholar] [CrossRef]
- Vetrivel, K.S.; Zhang, Y.W.; Xu, H.; Thinakaran, G. Pathological and physiological functions of presenilins. Mol. Neurodegener. 2006, 1, 4. [Google Scholar] [CrossRef]
- Satoh, K.; Abe-Dohmae, S.; Yokoyama, S.; St. George-Hyslop, P.; Fraser, P.E. ATP-binding cassette transporter A7 (ABCA7) loss of function alters Alzheimer amyloid processing. J. Biol. Chem. 2015, 290, 24152–24165. [Google Scholar] [CrossRef] [PubMed]
- Sakae, N.; Liu, C.C.; Shinohara, M.; Frisch-Daiello, J.; Ma, L.; Yamazaki, Y.; Tachibana, M.; Younkin, L.; Kurti, A.; Carrasquillo, M.M.; et al. ABCA7 Deficiency Accelerates Amyloid-β Generation and Alzheimer’s Neuronal Pathology. J. Neurosci. 2016, 36, 3848–3859. [Google Scholar] [CrossRef] [PubMed]
- Giau, V.V.; Pyun, J.M.; Bagyinszky, E.; An, S.S.A.; Kim, S. A pathogenic PSEN2 p. His169Asn mutation associated with early-onset Alzheimer’s disease. Clin. Interv. Aging 2018, 13, 1321–1329. [Google Scholar] [CrossRef] [PubMed]
- Mishra, S.; Knupp, A.; Szabo, M.P.; Williams, C.A.; Kinoshita, C.; Hailey, D.W.; Wang, Y.; Andersen, O.M.; Young, J.E. The Alzheimer’s gene SORL1 is a regulator of endosomal traffic and recycling in human neurons. Cell. Mol. Life Sci. 2022, 79, 162. [Google Scholar] [CrossRef] [PubMed]
- Vardarajan, B.N.; Zhang, Y.; Lee, J.H.; Cheng, R.; Bohm, C.; Ghani, M.; Reitz, C.; Reyes-Dumeyer, D.; Shen, Y.; Rogaeva, E.; et al. Coding mutations in SORL1 and Alzheimer disease. Ann. Neurol. 2015, 77, 215–227. [Google Scholar] [CrossRef]
- Hollingworth, P.; Harold, D.; Sims, R.; Gerrish, A.; Lambert, J.C.; Carrasquillo, M.M.; Abraham, R.; Hamshere, M.L.; Pahwa, J.S.; Moskvina, V.; et al. Common variants at ABCA7, MS4A6A/MS4A4E, EPHA1, CD33 and CD2AP are associated with Alzheimer’s disease. Nat. Genet. 2011, 43, 429–435. [Google Scholar] [CrossRef]
- Karch, C.M.; Goate, A.M. Alzheimer’s disease risk genes and mechanisms of disease pathogenesis. Biol. Psychiatry 2015, 77, 43–51. [Google Scholar] [CrossRef]
- Akbor, M.M.; Kim, J.; Nomura, M.; Sugioka, J.; Kurosawa, N.; Isobe, M. A candidate gene of Alzheimer diseases was mutated in senescence-accelerated mouse prone (SAMP) 8 mice. Biochem. Biophys. Res. Commun. 2021, 572, 112–117. [Google Scholar] [CrossRef]
- Liu, C.C.; Tsai, C.W.; Deak, F.; Rogers, J.; Penuliar, M.; Sung, Y.M.; Maher, J.N.; Fu, Y.; Li, X.; Xu, H.; et al. Deficiency in LRP6-mediated Wnt signaling contributes to synaptic abnormalities and amyloid pathology in Alzheimer’s disease. Neuron 2014, 84, 63–77. [Google Scholar] [CrossRef]
- Guo, L.; Jiao, B.; Liao, X.; Xiao, X.; Zhang, W.; Yuan, Z.; Liu, X.; Zhou, L.; Wang, X.; Zhu, Y.; et al. The role of NOTCH3 variants in Alzheimer’s disease and subcortical vascular dementia in the Chinese population. CNS Neurosci. Ther. 2021, 27, 930–940. [Google Scholar] [CrossRef]
- Moehlmann, T.; Winkler, E.; Xia, X.; Edbauer, D.; Murrell, J.; Capell, A.; Kaether, C.; Zheng, H.; Ghetti, B.; Haass, C.; et al. Presenilin-1 mutations of leucine 166 equally affect the generation of the Notch and APP intracellular domains independent of their effect on Abeta 42 production. Proc. Natl. Acad. Sci. USA 2002, 99, 8025–8030. [Google Scholar] [CrossRef] [PubMed]
- Ikeuchi, T.; Kaneko, H.; Miyashita, A.; Nozaki, H.; Kasuga, K.; Tsukie, T.; Tsuchiya, M.; Imamura, T.; Ishizu, H.; Aoki, K.; et al. Mutational analysis in early-onset familial dementia in the Japanese population. The role of PSEN1 and MAPT R406W mutations. Dement. Geriatr. Cogn. Disord. 2008, 26, 43–49. [Google Scholar] [CrossRef] [PubMed]
- Song, W.; Nadeau, P.; Yuan, M.; Yang, X.; Shen, J.; Yankner, B.A. Proteolytic release and nuclear translocation of Notch-1 are induced by presenilin-1 and impaired by pathogenic presenilin-1 mutations. Proc. Natl. Acad. Sci. USA 1999, 96, 6959–6963. [Google Scholar] [CrossRef] [PubMed]
- Xia, D.; Kelleher, R.J.; Shen, J. Loss of Aβ43 Production Caused by Presenilin-1 Mutations in the Knockin Mouse Brain. Neuron 2016, 90, 417–422. [Google Scholar] [CrossRef] [PubMed][Green Version]
- Ho, D.M.; Artavanis-Tsakonas, S.; Louvi, A. The Notch pathway in CNS homeostasis and neurodegeneration. Wiley Interdiscip. Rev. Dev. Biol. 2020, 9, e358. [Google Scholar] [CrossRef] [PubMed]
- Berwick, D.C.; Harvey, K. LRRK2 functions as a Wnt signaling scaffold, bridging cytosolic proteins and membrane-localized LRP6. Hum. Mol. Genet. 2012, 21, 4966–4979. [Google Scholar] [CrossRef] [PubMed]
- Jia, L.; Piña-Crespo, J.; Li, Y. Restoring Wnt/β-catenin signaling is a promising therapeutic strategy for Alzheimer’s disease. Mol. Brain 2019, 12, 104. [Google Scholar] [CrossRef]
- Yang, Q.; Peng, L.; Wu, Y.; Li, Y.; Wang, L.; Luo, J.H.; Xu, J. Endocytic Adaptor Protein HIP1R Controls Intracellular Trafficking of Epidermal Growth Factor Receptor in Neuronal Dendritic Development. Front. Mol. Neurosci. 2018, 11, 447. [Google Scholar] [CrossRef]
Publisher’s Note: MDPI stays neutral with regard to jurisdictional claims in published maps and institutional affiliations. |
© 2022 by the authors. Licensee MDPI, Basel, Switzerland. This article is an open access article distributed under the terms and conditions of the Creative Commons Attribution (CC BY) license (https://creativecommons.org/licenses/by/4.0/).



