R17C Mutation in Photoreceptor Disc-Specific Protein, PRCD, Results in Additional Lipidation Altering Protein Stability and Subcellular Localization
Abstract
1. Introduction
2. Results
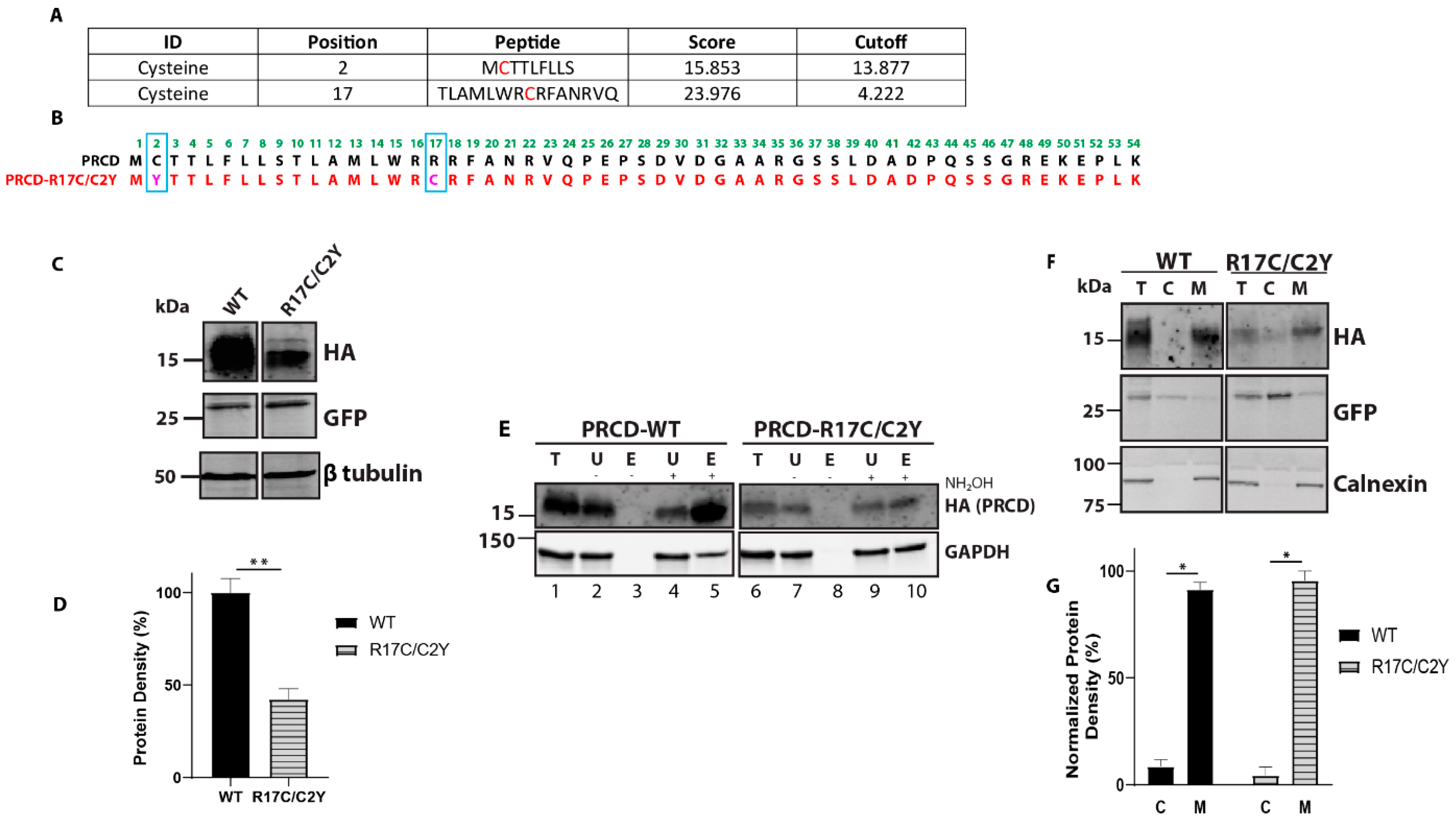
2.1. Mutation in the Polybasic Region (R17C) Significantly Destabilizes PRCD Protein
2.2. The Addition of a Cysteine in the PBR Does Not Prohibit Protein Lipidation and Membrane Association
2.3. Mutant Cysteine in the PBR Is Palmitoylated and Does Not Rescue Protein Stability despite Having a Strong Membrane Association
2.4. Palmitoylation in the Cysteine-2 Position Is Indispensable for the Proper Localization of PRCD in hRPE1 Cells
2.5. Subretinal Injection Followed by Electroporation in Murine Retina Unveils PRCD-R17C Mutant Protein Mislocalized to the Inner Segments
3. Discussion
4. Materials and Methods
4.1. Reagents and Antibodies
4.2. Animals
4.3. Cloning and Cell Transfection
4.4. Immunoblotting
4.5. Acyl-RAC Purification (Palmitoylation Assay)
4.6. Subcellular Protein Fractionation
4.7. Immunocytochemistry
4.8. Immunohistochemistry
4.9. Subretinal Injection
4.10. Statistical Analysis
Author Contributions
Funding
Institutional Review Board Statement
Informed Consent Statement
Data Availability Statement
Acknowledgments
Conflicts of Interest
Abbreviations
References
- Daiger, S.P.; Bowne, S.J.; Sullivan, L.S. Perspective on Genes and Mutations Causing Retinitis Pigmentosa. Arch. Ophthalmol. 2007, 125, 151–158. [Google Scholar] [CrossRef] [PubMed]
- Guadagni, V.; Novelli, E.; Piano, I.; Gargini, C.; Strettoi, E. Pharmacological approaches to retinitis pigmentosa: A laboratory perspective. Prog. Retin. Eye Res. 2015, 48, 62–81. [Google Scholar] [CrossRef] [PubMed]
- Gil, N.B.; del Pozo, M.G.; Martín-Sánchez, M.; Méndez-Vidal, C.; de la Rua, E.R.; Borrego, S.; Gil, G.A. Unravelling the genetic basis of simplex Retinitis Pigmentosa cases. Sci. Rep. 2017, 7, 41937. [Google Scholar] [CrossRef]
- Goldstein, O.; Zangerl, B.; Pearce-Kelling, S.; Sidjanin, D.J.; Kijas, J.W.; Felix, J.; Acland, G.M.; Aguirre, G.D. Linkage disequilibrium mapping in domestic dog breeds narrows the progressive rod-cone degeneration interval and identifies ancestral disease-transmitting chromosome. Genomics 2006, 88, 541–550. [Google Scholar] [CrossRef] [PubMed]
- Zangerl, B.; Goldstein, O.; Philp, A.R.; Lindauer, S.J.; Pearce-Kelling, S.E.; Mullins, R.F.; Graphodatsky, A.S.; Ripoll, D.; Felix, J.S.; Stone, E.M.; et al. Identical mutation in a novel retinal gene causes progressive rod-cone degeneration in dogs and retinitis pigmentosa in humans. Genomics 2006, 88, 551–563. [Google Scholar] [CrossRef]
- El-Asrag, M.E.; Corton, M.; McKibbin, M.; Avila-Fernandez, A.; Mohamed, M.D.; Blanco-Kelly, F.; Toomes, C.; Inglehearn, C.F.; Ayuso, C.; Ali, M. Novel homozygous mutations in the transcription factor NRL cause non-syndromic retinitis pigmentosa. Mol. Vis. 2022, 22, 48–56. [Google Scholar]
- Spencer, W.J.; Ding, J.-D.; Lewis, T.R.; Yu, C.; Phan, S.; Pearring, J.N.; Kim, K.-Y.; Thor, A.; Mathew, R.; Kalnitsky, J.; et al. PRCD is essential for high-fidelity photoreceptor disc formation. Proc. Natl. Acad. Sci. USA 2019, 116, 13087–13096. [Google Scholar] [CrossRef]
- Sechrest, E.R.; Murphy, J.; Senapati, S.; Goldberg, A.F.X.; Park, P.S.-H.; Kolandaivelu, S. Loss of PRCD alters number and packaging density of rhodopsin in rod photoreceptor disc membranes. Sci. Rep. 2020, 10, 17885. [Google Scholar] [CrossRef]
- Allon, G.; Mann, I.; Remez, L.; Sehn, E.; Rizel, L.; Nevet, M.J.; Perlman, I.; Wolfrum, U.; Ben-Yosef, T. PRCD is Concentrated at the Base of Photoreceptor Outer Segments and is Involved in Outer Segment Disc Formation. Hum. Mol. Genet. 2019, 28, 4078–4088. [Google Scholar] [CrossRef]
- Skiba, N.P.; Spencer, W.J.; Salinas, R.Y.; Lieu, E.C.; Thompson, J.W.; Arshavsky, V.Y. Proteomic identification of unique photoreceptor disc components reveals the presence of PRCD, a protein linked to retinal degeneration. J. Proteome Res. 2013, 12, 3010–3018. [Google Scholar] [CrossRef]
- Spencer, W.; Pearring, J.; Salinas, R.; Loiselle, D.R.; Skiba, N.P.; Arshavsky, V.Y. Progressive Rod–Cone Degeneration (PRCD) Protein Requires N-Terminal S-Acylation and Rhodopsin Binding for Photoreceptor Outer Segment Localization and Maintaining Intracellular Stability. Biochemistry 2016, 55, 5028–5037. [Google Scholar] [CrossRef] [PubMed]
- Murphy, J.; Kolandaivelu, S. Palmitoylation of Progressive Rod-Cone Degeneration (PRCD) Regulates Protein Stability and Localization. J. Biol. Chem. 2016, 291, 23036–23046. [Google Scholar] [CrossRef] [PubMed]
- Nevet, M.J.; Shalev, S.A.; Zlotogora, J.; Mazzawi, N.; Ben-Yosef, T. Identification of a prevalent founder mutation in an Israeli Muslim Arab village confirms the role of PRCD in the aetiology of retinitis pigmentosa in humans. J. Med. Genet. 2010, 47, 533–537. [Google Scholar] [CrossRef]
- Pach, J.; Kohl, S.; Gekeler, F.; Zobor, D. Identification of a novel mutation in the PRCD gene causing autosomal recessive retinitis pigmentosa in a Turkish family. Mol. Vis. 2013, 19, 1350–1355. [Google Scholar] [PubMed]
- Remez, L.; Zobor, D.; Kohl, S.; Ben-Yosef, T. The progressive rod-cone degeneration (PRCD) protein is secreted through the conventional ER/Golgi-dependent pathway. Exp. Eye Res. 2014, 125, 217–225. [Google Scholar] [CrossRef]
- Wang, F.; Wang, H.; Tuan, H.-F.; Nguyen, D.H.; Sun, V.; Keser, V.; Bowne, S.J.; Sullivan, L.S.; Luo, H.; Zhao, L.; et al. Next generation sequencing-based molecular diagnosis of retinitis pigmentosa: Identification of a novel genotype-phenotype correlation and clinical refinements. Qual. Life Res. 2014, 133, 331–345. [Google Scholar] [CrossRef]
- Williams, C.L. The polybasic region of Ras and Rho family small GTPases: A regulator of protein interactions and membrane association and a site of nuclear localization signal sequences. Cell. Signal. 2003, 15, 1071–1080. [Google Scholar] [CrossRef]
- Uppal, S.; Liu, T.; Poliakov, E.; Gentleman, S.; Redmond, T.M. The dual roles of RPE65 S-palmitoylation in mem-brane association and visual cycle function. Sci. Rep. 2019, 9, 5218. [Google Scholar] [CrossRef]
- Dunphy, J.T.; Linder, M.E. Signalling functions of protein palmitoylation. Biochim. Biophys. Acta 1998, 1436, 245–261. [Google Scholar] [CrossRef]
- Beltran, W.A.; Boye, S.L.; Boye, S.E.; Chiodo, V.A.; Lewin, A.S.; Hauswirth, W.W.; Aguirre, G.D. rAAV2/5 gene-targeting to rods:dose-dependent efficiency and complications associated with different promoters. Gene Ther. 2010, 17, 1162–1174. [Google Scholar] [CrossRef]
- Khani, S.C.; Pawlyk, B.S.; Bulgakov, O.V.; Kasperek, E.; Young, J.E.; Adamian, M.; Sun, X.; Smith, A.J.; Ali, R.; Li, T. AAV-mediated expression targeting of rod and cone photoreceptors with a human rhodopsin kinase promoter. Investig. Opthalmol. Vis. Sci. 2007, 48, 3954–3961. [Google Scholar] [CrossRef] [PubMed]
- Maeda, A.; Okano, K.; Park, P.S.; Lem, J.; Crouch, R.K.; Maeda, T.; Palczewski, K. Palmitoylation stabilizes un-liganded rod opsin. Proc. Natl. Acad. Sci. USA 2010, 107, 8428–8433. [Google Scholar] [CrossRef] [PubMed]
- Wang, Z.; Wen, X.-H.; Ablonczy, Z.; Crouch, R.K.; Makino, C.; Lem, J. Enhanced Shutoff of Phototransduction in Transgenic Mice Expressing Palmitoylation-deficient Rhodopsin. J. Biol. Chem. 2005, 280, 24293–24300. [Google Scholar] [CrossRef] [PubMed]
- Seno, K.; Hayashi, F. Palmitoylation is a prerequisite for dimerization-dependent raftophilicity of rhodopsin. J. Biol. Chem. 2017, 292, 15321–15328. [Google Scholar] [CrossRef] [PubMed]
- Weise, K.; Triola, G.; Brunsveld, L.; Waldmann, H.; Winter, R. Influence of the Lipidation Motif on the Partitioning and Association of N-Ras in Model Membrane Subdomains. J. Am. Chem. Soc. 2009, 131, 1557–1564. [Google Scholar] [CrossRef]
- Weise, K.; Kapoor, S.; Denter, C.; Nikolaus, J.; Opitz, N.; Koch, S.; Triola, G.; Herrmann, A.; Waldmann, H.; Winter, R. Membrane-Mediated Induction and Sorting of K-Ras Microdomain Signaling Platforms. J. Am. Chem. Soc. 2010, 133, 880–887. [Google Scholar] [CrossRef]
- Cadwallader, K.A.; Paterson, H.; Macdonald, S.G.; Hancock, J.F. N-terminally myristoylated Ras proteins re-quire palmitoylation or a polybasic domain for plasma membrane localization. Mol. Cell. Biol. 1994, 14, 4722–4730. [Google Scholar]
- Forrester, M.T.; Hess, D.T.; Thompson, J.W.; Hultman, R.; Moseley, M.A.; Stamler, J.S.; Casey, P.J. Site-specific analysis of protein S-acylation by resin-assisted capture. J. Lipid Res. 2011, 52, 393–398. [Google Scholar] [CrossRef]





| Antibody | Dilution and Application | Animal Raised In | Source | Identifiers | |
|---|---|---|---|---|---|
| WB | ICC/IHC | ||||
| Anti-HA High Affinity | 1:2000 | 1:1000 | Rat | Sigma-Aldrich | Cat# 11867423001 RRID: AB_390918 |
| GFP tag | 1:2000 | 1:1000 | Mouse | Protein Tech | Cat# 66002-1-Ig RRID: AB_11182611 |
| Anti-β- Tubulin | 1:3000 | N/A | Mouse | Sigma-Aldrich | Cat# T5201 RRID: AB_609915 |
| GAPDH | 1:10,000 | N/A | Mouse | Protein Tech | Cat# 10494-1-AP RRID: AB_2263076 |
| Anti- Calnexin (TO-5) | 1:200 | N/A | Mouse | Santa Cruz Biotechnology | Cat# sc-80645 RRID: AB_1119919 |
| Anti-GM130 | N/A | 1:200 | Mouse | BD Sciences | Cat# 610822 RRID: AB_398142 |
| HSP60 | N/A | 1:500 | Mouse | Protein Tech | Cat# 66041-1-Ig RRID: AB_11041709 |
| Alexa Fluor™ 568 goat anti-rat IgG | 1:50,000 | 1:500 | Goat | Invitrogen | Cat# A11077 RRID: AB_2534121 |
| Alexa Fluor™ 680 goat anti-rat IgG | 1:50,000 | 1:500 | Goat | Invitrogen | Cat# A21096 RRID: AB_2535750 |
| Alexa Fluor™ 680 goat anti-mouse IgG | 1:50,000 | 1:500 | Goat | Invitrogen | Cat# A21058 RRID: AB_2535724 |
| IRDye® 800CW Goat anti-Mouse | 1:50,000 | 1:500 | Goat | Li-Cor | Cat# 926-32210 RRID: AB621842 |
| 4′,6-diamidino-2-phenylindole (DAPI) | N/A | 1:1000 | N/A | Thermo Fisher | Cat# D1306, RRID: AB_2629482 |
Publisher’s Note: MDPI stays neutral with regard to jurisdictional claims in published maps and institutional affiliations. |
© 2022 by the authors. Licensee MDPI, Basel, Switzerland. This article is an open access article distributed under the terms and conditions of the Creative Commons Attribution (CC BY) license (https://creativecommons.org/licenses/by/4.0/).
Share and Cite
Myers, B.; Sechrest, E.R.; Hamner, G.; Motipally, S.I.; Murphy, J.; Kolandaivelu, S. R17C Mutation in Photoreceptor Disc-Specific Protein, PRCD, Results in Additional Lipidation Altering Protein Stability and Subcellular Localization. Int. J. Mol. Sci. 2022, 23, 10802. https://doi.org/10.3390/ijms231810802
Myers B, Sechrest ER, Hamner G, Motipally SI, Murphy J, Kolandaivelu S. R17C Mutation in Photoreceptor Disc-Specific Protein, PRCD, Results in Additional Lipidation Altering Protein Stability and Subcellular Localization. International Journal of Molecular Sciences. 2022; 23(18):10802. https://doi.org/10.3390/ijms231810802
Chicago/Turabian StyleMyers, Boyden, Emily R. Sechrest, Gabrielle Hamner, Sree I. Motipally, Joseph Murphy, and Saravanan Kolandaivelu. 2022. "R17C Mutation in Photoreceptor Disc-Specific Protein, PRCD, Results in Additional Lipidation Altering Protein Stability and Subcellular Localization" International Journal of Molecular Sciences 23, no. 18: 10802. https://doi.org/10.3390/ijms231810802
APA StyleMyers, B., Sechrest, E. R., Hamner, G., Motipally, S. I., Murphy, J., & Kolandaivelu, S. (2022). R17C Mutation in Photoreceptor Disc-Specific Protein, PRCD, Results in Additional Lipidation Altering Protein Stability and Subcellular Localization. International Journal of Molecular Sciences, 23(18), 10802. https://doi.org/10.3390/ijms231810802

