Malignant Transformation of Giant Cell Tumour of Bone: A Review of Literature and the Experience of a Referral Centre
Abstract
:1. Introduction
1.1. GCTB: Natural History and Therapeutic Approaches
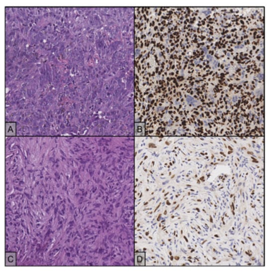
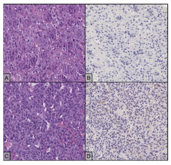
1.2. GCBT and Malignant Transformation: Histopathology and Genetics Aspects
1.3. The Challenge of Imaging: What Change? Radiological Evaluations
1.4. Malignant GCBT: Current Available Data from Clinical Series
1.5. Malignant GCBT and Denosumab
2. Materials and Methods
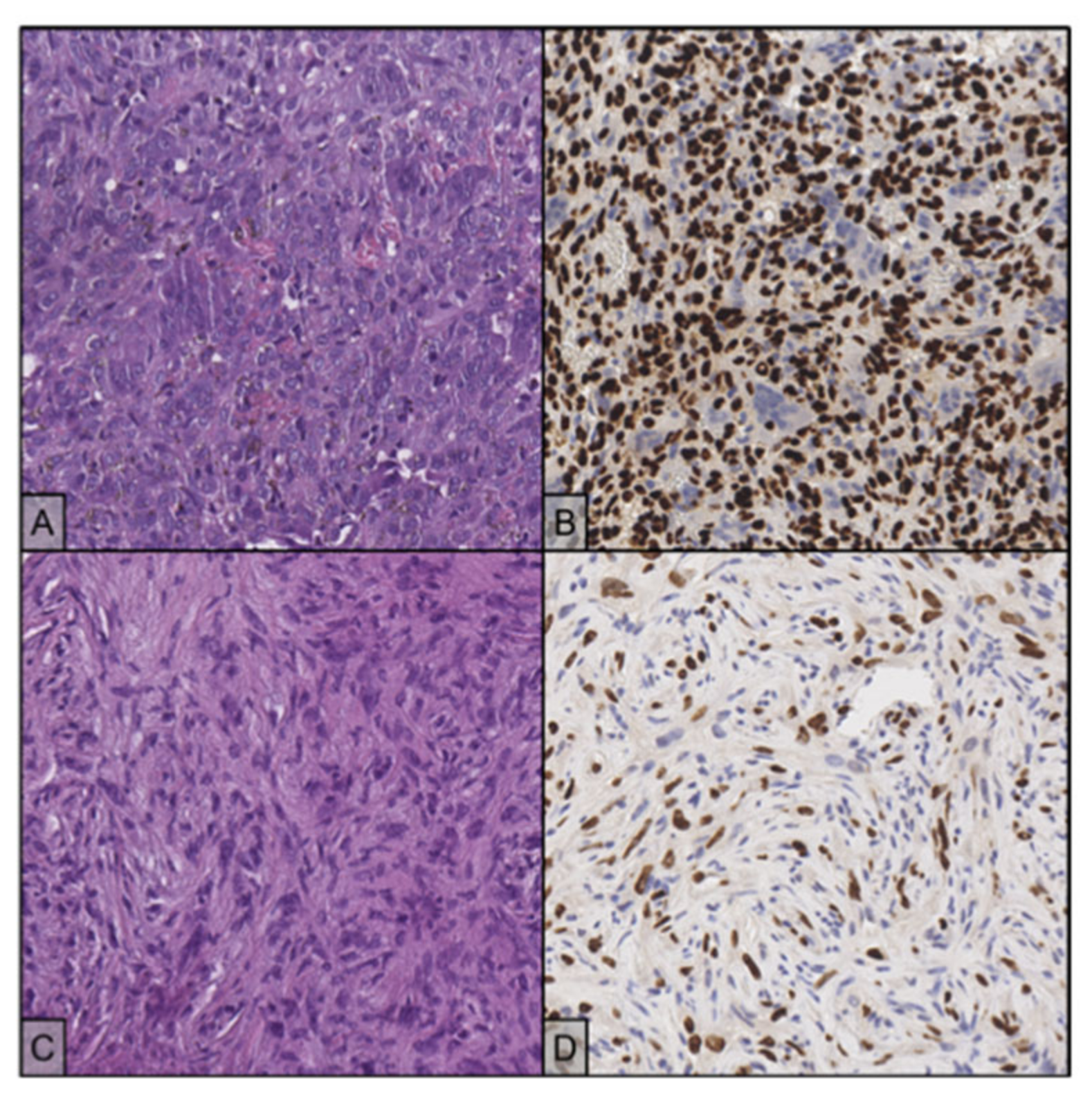
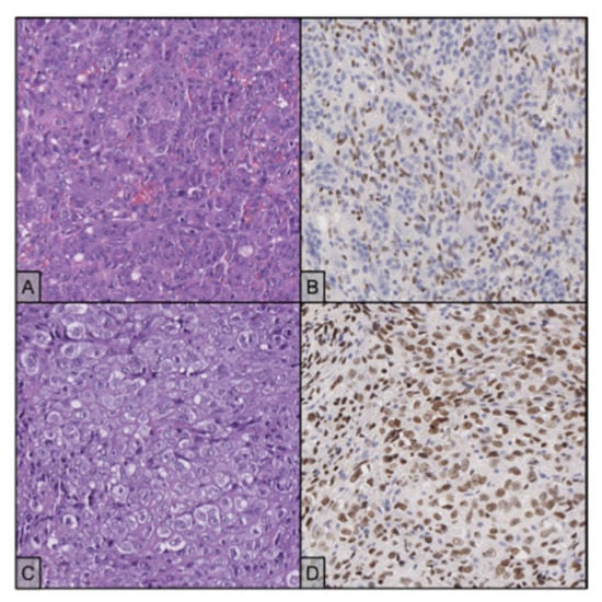
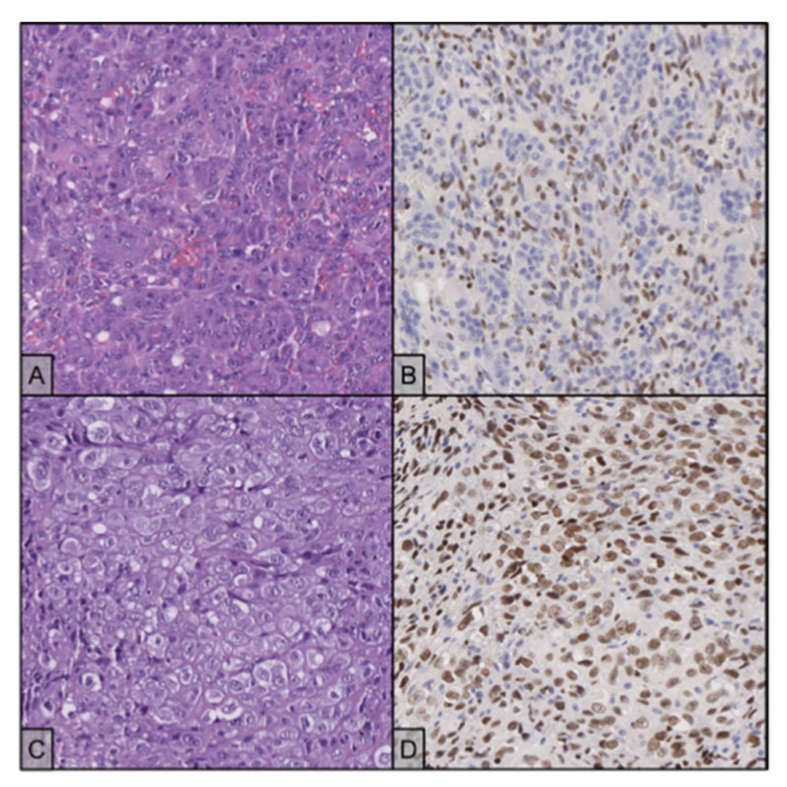
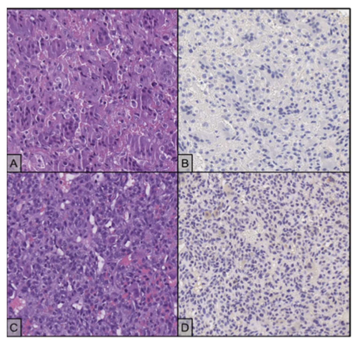
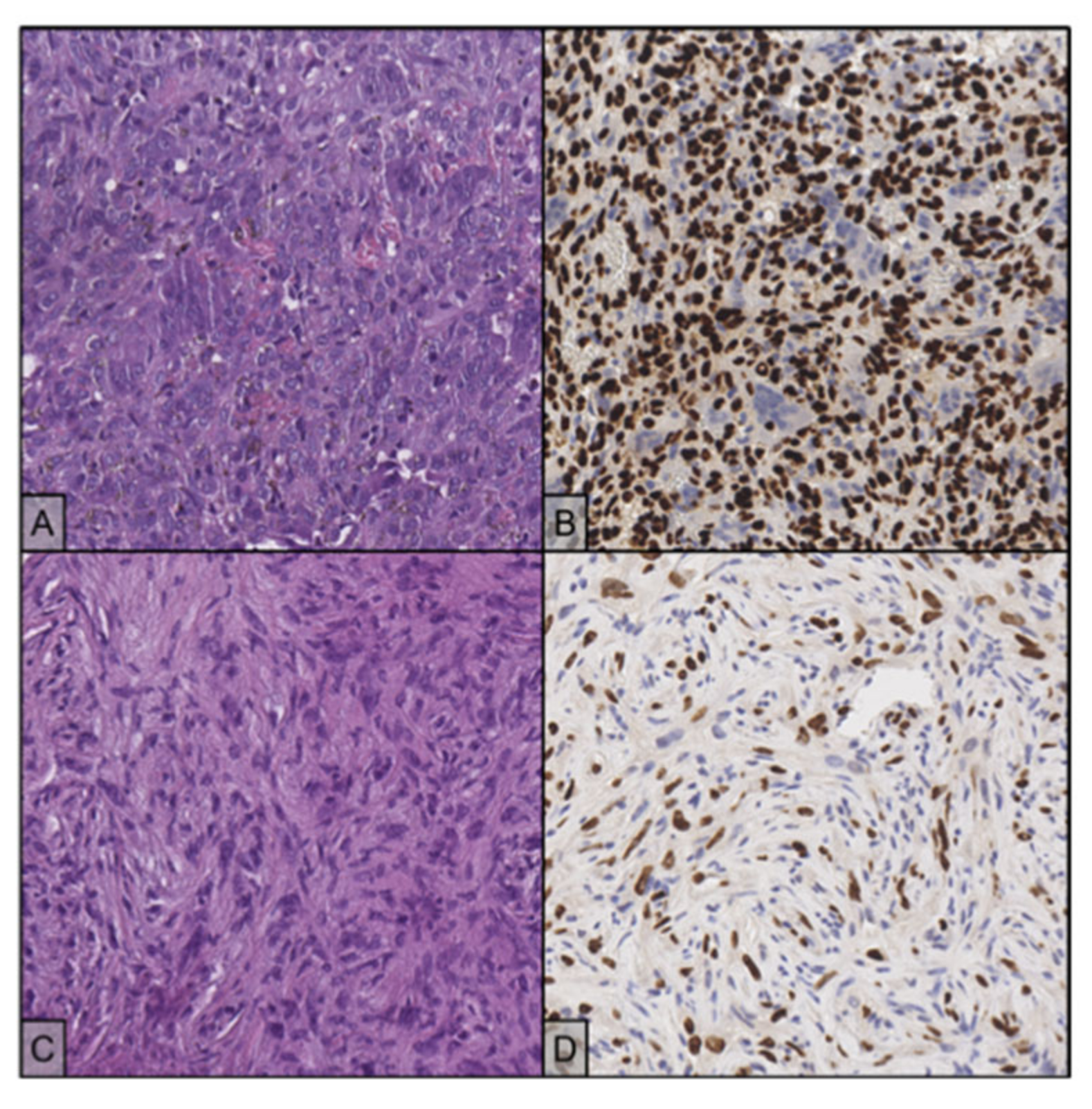
2.1. Patient 1
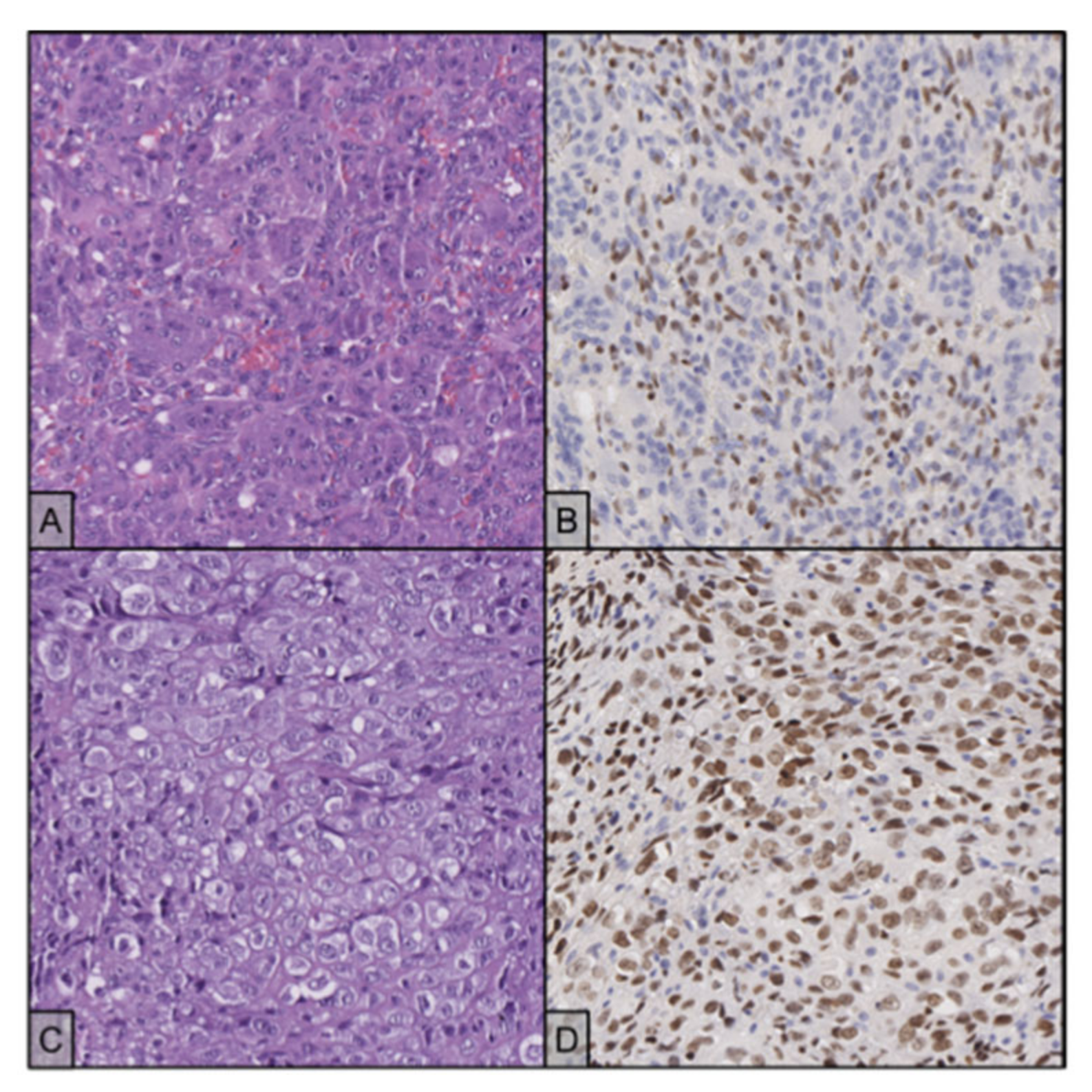
2.2. Patient 2
2.3. Patient 3
3. Discussion
4. Conclusions
Author Contributions
Funding
Institutional Review Board Statement
Informed Consent Statement
Data Availability Statement
Conflicts of Interest
References
- Flanagan, A.M.; Larousserie, F.; O’Donnell, P.G.; Yoshida, A. Giant cell tumour of bone. In Soft Tissue and Bone Tumours; WHO Classification of Tumours, 5th ed.; WHO: Geneva, Switzerland, 2020; pp. 440–446. [Google Scholar]
- Palmerini, E.; Picci, P.; Reichardt, P.; Downey, G. Malignancy in Giant Cell Tumor of Bone: A Review of the Literature. Technol. Cancer Res. Treat. 2019, 18, 1533033819840000. [Google Scholar] [CrossRef] [PubMed]
- Rutkowski, P.; Ferrari, S.; Grimer, R.J.; Stalley, P.D.; Dijkstra, S.P.; Pienkowski, A.; Vaz, G.; Wunder, J.S.; Seeger, L.L.; Feng, A.; et al. Surgical downstaging in an open-label phase II trial of denosumab in patients with giant cell tumour of bone. Ann. Surg. Oncol. 2015, 22, 2860–2868. [Google Scholar] [CrossRef] [PubMed]
- Bertoni, F.; Bacchini, P.; Staals, E.L. Malignancy in giant cell tumour of bone. Cancer 2003, 97, 2520–2529. [Google Scholar] [CrossRef] [PubMed]
- Domovitov, S.V.; Healey, J.H. Primary malignant giant-cell tumour of bone has high survival rate. Ann. Surg. Oncol. 2009, 17, 694–701. [Google Scholar] [CrossRef] [PubMed]
- Liu, W.; Chan, C.M.; Gong, L.; Bui, M.M.; Han, G.; Letson, G.D.; Yang, Y.; Niu, X. Malignancy in giant cell tumour of bone in the extremities. J. Bone Oncol. 2020, 26, 100334. [Google Scholar] [CrossRef] [PubMed]
- Chawla, S.; Henshaw, R.; Seeger, L.; Choy, E.; Blay, J.Y.; Ferrari, S.; Kroep, J.; Grimer, R.; Reichardt, P.; Rutkowski, P.; et al. Safety and efficacy of denosumab for adults and skeletally mature adolescents with giant cell tumour of bone: Interim analysis of an open-label, parallel-group, phase 2 study. Lancet Oncol. 2013, 14, 901–908. [Google Scholar] [CrossRef]
- Chawla, S.; Blay, J.Y.; Rutkowski, P.; Le Cesne, A.; Reichardt, P.; Gelderblom, H.; Grimer, R.J.; Choy, E.; Skubitz, K.; Seeger, L.; et al. Denosumab in patients with giant-cell tumour of bone: A multicentre, open-label, phase 2 study. Lancet Oncol. 2019, 20, 1719–1729. [Google Scholar] [CrossRef]
- Agarwal, M.G.; Gundavda, M.K.; Gupta, R.; Reddy, R. Does Denosumab Change the Giant Cell Tumor Treatment Strategy? Lessons Learned From Early Experience. Clin. Orthop. Relat. Res. 2018, 476, 1773–1782. [Google Scholar] [CrossRef]
- Treffel, M.; Lardenois, E.; Larousserie, F.; Karanian, M.; Gomez-Brouchet, A.; Bouvier, C.; Le Loarer, F.; Aubert, S.; de Pinieux, G.; Audard, V.; et al. Denosumab-treated Giant Cell Tumors of Bone: A Clinicopathologic Analysis of 35 Cases From the French Group of Bone Pathology. Am. J. Surg. Pathol. 2019, 44, 1–10. [Google Scholar] [CrossRef]
- Perrin, D.L.; Visgauss, J.D.; Wilson, D.A.; Griffin, A.M.; Abdul Razak, A.R.; Ferguson, P.C.; Wunder, J.S. The role of Denosumab in joint preservation for patients with giant cell tumour of bone. Bone Jt. J. 2021, 103-B, 184–191. [Google Scholar] [CrossRef]
- Palmerini, E.; Seeger, L.L.; Gambarotti, M.; Righi, A.; Reichardt, P.; Bukata, S.; Blay, J.Y.; Dai, T.; Jandial, D.; Picci, P. Malignancy in giant cell tumor of bone: Analysis of an open-label phase 2 study of denosumab. BMC Cancer 2021, 21, 89. [Google Scholar] [CrossRef]
- Soares do Brito, J.; Spranger, A.; Almeida, P.; Portela, J.; Barrientos-Ruiz, I. Giant cell tumour of bone around the knee: A systematic review of the functional and oncological outcomes. EFORT Open Rev. 2021, 6, 641–650. [Google Scholar] [CrossRef]
- Algawahmed, H.; Turcotte, R.; Farrokhyar, F.; Ghert, M. High-Speed Burring with and without the Use of Surgical Adjuvants in the Intralesional Management of Giant Cell Tumor of Bone: A Systematic Review and Meta-Analysis. Sarcoma 2010, 2010, 586090. [Google Scholar] [CrossRef]
- Arbeitsgemeinschaft Knochentumoren Becker, W.T.; Dohle, J.; Bernd, L.; Braun, A.; Cserhati, M.; Enderle, A.; Hovy, L.; Matejovsky, Z.; Szendroi, M.; Trieb, K.; et al. Local recurrence of giant cell tumour of bone after intralesional treatment with and without adjuvant therapy. J. Bone Jt. Surg. 2008, 90, 1060–1067. [Google Scholar] [CrossRef]
- Li, H.; Gao, J.; Gao, Y.; Lin, N.; Zheng, M.; Ye, Z. Denosumab in Giant Cell Tumor of Bone: Current Status and Pitfalls. Front. Oncol. 2020, 10, 580605. [Google Scholar] [CrossRef]
- Chakravarti, A.; Spiro, I.J.; Hug, E.B.; Mankin, H.J.; Efird, J.T.; Suit, H.D. Megavoltage radiation therapy for axial and inoperable giant-cell tumour of bone. J. Bone Jt. Surg. 1999, 81, 1566–1573. [Google Scholar] [CrossRef]
- Malone, S.; O’Sullivan, B.; Catton, C.; Bell, R.; Fornasier, V.; Davis, A. Long-term follow-up of efficacy and safety of megavoltage radiotherapy in high-risk giant cell tumours of bone. Int. J. Radiat. Oncol. 1995, 33, 689–694. [Google Scholar] [CrossRef]
- Ruka, W.; Rutkowski, P.; Morysiński, T.; Nowecki, Z.; Zdzienicki, M.; Makula, D.; Ptaszyński, K.; Bylina, E.; Grzesiakowska, U. The megavoltage radiation therapy in treatment of patients with advanced or difficult giant cell tumours of bone. Int. J. Radiat. Oncol. 2010, 78, 494–498. [Google Scholar] [CrossRef]
- Rock, M.G.; Sim, F.H.; Unni, K.K.; Witrak, G.A.; Frassica, F.J.; Schray, M.F.; Beabout, J.W.; Dahlin, D.C. Secondary malignant giant-cell tumour of bone. Clinicopathological assessment of nineteen patients. J. Bone Jt. Surg. 1986, 68, 1073–1079. [Google Scholar] [CrossRef]
- Dominkus, M.; Ruggieri, P.; Bertoni, F.; Briccoli, A.; Picci, P.; Rocca, M.; Mercuri, M. Histologically verified lung metastases in benign giant cell tumours--14 cases from a single institution. Int. Orthop. 2006, 30, 499–504. [Google Scholar] [CrossRef] [Green Version]
- Siebenrock, K.A.; Unni, K.K.; Rock, M.G. Giant-cell tumour of bone metastasising to the lungs. A long-term follow-up. J. Bone Jt. Surgery. Br. Vol. 1998, 80, 43–47. [Google Scholar] [CrossRef]
- Tubbs, W.S.; Brown, L.R.; Beabout, J.W.; Rock, M.G.; Unni, K.K. Benign giant-cell tumour of bone with pulmonary metastases: Clinical findings and radiologic appearance of metastases in 13 cases. Am. J. Roentgenol. 1992, 158, 331–334. [Google Scholar] [CrossRef] [PubMed]
- López-Pousa, A.; Martín Broto, J.; Garrido, T.; Vázquez, J. Giant cell tumour of bone: New treatments in development. Clin. Transl. Oncol. 2015, 17, 419–430. [Google Scholar] [CrossRef]
- Itkin, B.; Straminsky, S.; De Ronato, G.; Lewi, D.; Marantz, A.; Bardach, A. Prognosis of metastatic giant cell tumour of bone in the pre-denosumab era. A systematic review and a meta-analysis. Jpn. J. Clin. Oncol. 2018, 48, 640–652. [Google Scholar] [CrossRef]
- Tsukamoto, S.; Ciani, G.; Mavrogenis, A.F.; Ferrari, C.; Akahane, M.; Tanaka, Y.; Rocca, M.; Longhi, A.; Errani, C. Outcome of lung metastases due to bone giant cell tumour initially managed with observation. J. Orthop. Surg. Res. 2020, 15, 510. [Google Scholar] [CrossRef]
- Rosario, M.; Kim, H.S.; Yun, J.Y.; Han, I. Surveillance for lung metastasis from giant cell tumour of bone. J. Surg. Oncol. 2017, 116, 907–913. [Google Scholar] [CrossRef] [PubMed]
- Thomas, D.; Carriere, P.; Jacobs, I. Safety of denosumab in giant-cell tumour of bone. Lancet Oncol. 2010, 11, 815. [Google Scholar] [CrossRef]
- Traub, F.; Singh, J.; Dickson, B.C.; Leung, S.; Mohankumar, R.; Blackstein, M.E.; Razak, A.R.; Griffin, A.M.; Ferguson, P.C.; Wunder, J.S. Efficacy of denosumab in joint preservation for patients with giant cell tumour of the bone. Eur. J. Cancer 2016, 59, 1–12. [Google Scholar] [CrossRef]
- Ogura, K.; Hosoda, F.; Nakamura, H.; Hama, N.; Totoki, Y.; Yoshida, A.; Ohashi, S.; Rokutan, H.; Takai, E.; Yachida, S.; et al. Highly recurrent H3F3A mutations with additional epigenetic regulator alterations in giant cell tumour of bone. Genes Chromosom. Cancer 2017, 56, 711–718. [Google Scholar] [CrossRef]
- Yamamoto, H.; Iwasaki, T.; Yamada, Y.; Matsumoto, Y.; Otsuka, H.; Yoshimoto, M.; Kohashi, K.; Taguchi, K.; Yokoyama, R.; Nakashima, Y.; et al. Diagnostic utility of histone H3.3 G34W, G34R, and G34V mutant-specific antibodies for giant cell tumours of bone. Hum. Pathol. 2017, 73, 41–50. [Google Scholar] [CrossRef]
- Hutter, R.V.; Worcester, J.N., Jr.; Francis, K.C.; Foote, F.W., Jr.; Stewart, F.W. Benign and malignant giant cell tumours of bone. A clinicopathological analysis of the natural history of the disease. Cancer 1962, 15, 653–690. [Google Scholar] [CrossRef]
- Yoshida, K.I.; Nakano, Y.; Honda-Kitahara, M.; Wakai, S.; Motoi, T.; Ogura, K.; Sano, N.; Shibata, T.; Okuma, T.; Iwata, S.; et al. Absence of H3F3A mutation in a subset of malignant giant cell tumour of bone. Mod. Pathol. 2019, 32, 1751–1761. [Google Scholar] [CrossRef] [PubMed]
- Roitman, P.D.; Jauk, F.; Farfalli, G.L.; Albergo, J.I.; Aponte-Tinao, L.A. Denosumab-treated giant cell tumour of bone. Its histologic spectrum and potential diagnostic pitfalls. Hum. Pathol. 2017, 63, 89–97. [Google Scholar] [CrossRef] [PubMed]
- Campanacci, M.; Baldini, N.; Boriani, S.; Sudanese, A.A. Giant-cell tumour of bone. J. Bone Jt. Surg. Ser. A 1987, 69, 106–114. [Google Scholar] [CrossRef]
- Gong, L.; Liu, W.; Sun, X.; Sajdik, C.; Tian, X.; Niu, X.; Huang, X. Histological and clinical characteristics of malignant giant cell tumour of bone. Virchows Arch. 2012, 460, 327–334. [Google Scholar] [CrossRef]
- Van Langevelde, K.; McCarthy, C.L. Radiological findings of denosumab treatment for giant cell tumours of bone. Skelet. Radiol. 2020, 49, 1345–1358. [Google Scholar] [CrossRef]
- Hayashida, K.; Kawabata, Y.; Kato, I.; Kamiishi, T.; Matsuo, K.; Takeyama, M.; Inaba, Y. Clinical and pathological analysis of giant cell tumour of bone with denosumab treatment and local recurrence. J. Orthop. Sci. 2020, 27, 215–221. [Google Scholar] [CrossRef]
- Engellau, J.; Seeger, L.; Grimer, R.; Henshaw, R.; Gelderblom, H.; Choy, E.; Chawla, S.; Reichardt, P.; O’Neal, M.; Feng, A.; et al. Assessment of denosumab treatment effects and imaging response in patients with giant cell tumour of bone. World J. Surg. Oncol. 2018, 16, 191. [Google Scholar] [CrossRef]
- Ueda, T.; Morioka, H.; Nishida, Y.; Kakunaga, S.; Tsuchiya, H.; Matsumoto, Y.; Asami, Y.; Inoue, T.; Yoneda, T. Objective tumour response to denosumab in patients with giant cell tumour of bone: A multicenter phase II trial. Ann. Oncol. 2015, 26, 2149–2154. [Google Scholar] [CrossRef]
- Tsukamoto, S.; Righi, A.; Vanel, D.; Honoki, K.; Donati, D.M.; Errani, C. Development of high-grade osteosarcoma in a patient with recurrent giant cell tumour of the ischium while receiving treatment with denosumab. Jpn. J. Clin. Oncol. 2017, 47, 1090–1096. [Google Scholar] [CrossRef] [Green Version]
- Ferrari-Lacraz, S.; Ferrari, S. Do RANKL inhibitors (denosumab) affect inflammation and immunity? Osteoporos. Int. 2010, 22, 435–446. [Google Scholar] [CrossRef]
- Kong, Y.Y.; Yoshida, H.; Sarosi, I.; Tan, H.L.; Timms, E.; Capparelli, C.; Morony, S.; Oliveira-Dos-Santos, A.J.; Van, G.; Itie, A.; et al. OPGL is a key regulator of osteoclastogenesis, lymphocyte development and lymph-node organogenesis. Nature 1999, 397, 315–323. [Google Scholar] [CrossRef]
- Smith, M.R.; Egerdie, B.; Toriz, N.H.; Feldman, R.; Tammela, T.L.; Saad, F.; Heracek, J.; Szwedowski, M.; Ke, C.; Kupic, A.; et al. Denosumab in men receiving androgen-deprivation therapy for prostate cancer. N. Engl. J. Med. 2009, 361, 745–755. [Google Scholar] [CrossRef]
- Mori, K.; Berreur, M.; Blanchard, F.; Chevalier, C.; Guisle-Marsollier, I.; Masson, M.; Rédini, F.; Heymann, D. Receptor activator of nuclear factor-kappaB ligand (RANKL) directly modulates the gene expression profile of RANK-positive Saos-2 human osteosarcoma cells. Oncol. Rep. 2007, 18, 1365–1371. [Google Scholar]
- Becker-Santos, D.D.; Lonergan, K.M.; Gronostajski, R.M.; Lam, W.L. Nuclear factor I/B: A master regulator of cell differentiation with paradoxical roles in cancer. eBioMedicine 2017, 22, 2–9. [Google Scholar] [CrossRef]
- Hayashi, M.; Nakashima, T.; Taniguchi, M.; Kodama, T.; Kumanogoh, A.; Takayanagi, H. Osteoprotection by semaphorin 3A. Nature 2012, 485, 69–74. [Google Scholar] [CrossRef]
- Behar, O.; Golden, J.A.; Mashimo, H.; Schoen, F.J.; Fishman, M.C. Semaphorin III is needed for normal patterning and growth of nerves, bones and heart. Nature 1996, 383, 525–528. [Google Scholar] [CrossRef]
- Palmerini, E.; Meazza, C.; Tamburini, A.; Bisogno, G.; Ferraresi, V.; Asaftei, S.D.; Milano, G.M.; Coccoli, L.; Manzitti, C.; Luksch, R.; et al. Phase 2 study for nonmetastatic extremity high-grade osteosarcoma in pediatric and adolescent and young adult patients with a risk-adapted strategy based on ABCB1/P-glycoprotein expression: An Italian Sarcoma Group trial (ISG/OS-2). Cancer 2022, 128, 1958–1966. [Google Scholar] [CrossRef]
- Palmerini, E.; Setola, E.; Grignani, G.; D’Ambrosio, L.; Comandone, A.; Righi, A.; Longhi, A.; Cesari, M.; Paioli, A.; Hakim, R.; et al. High Dose Ifosfamide in Relapsed and Unresectable High-Grade Osteosarcoma Patients: A Retrospective Series. Cells 2020, 9, 2389. [Google Scholar] [CrossRef]
- Navid, F.; Willert, J.R.; McCarville, M.B.; Furman, W.; Watkins, A.; Roberts, W.; Daw, N.C. Combination of gemcitabine and docetaxel in the treatment of children and young adults with refractory bone sarcoma. Cancer 2008, 113, 419–425. [Google Scholar] [CrossRef]
- Aggerholm-Pedersen, N.; Rossen, P.; Rose, H.; Safwat, A. Pazopanib in the Treatment of Bone Sarcomas: Clinical Experience. Transl. Oncol. 2020, 13, 295–299. [Google Scholar] [CrossRef]
- Van der Graaf, W.T.; Blay, J.Y.; Chawla, S.P.; Kim, D.W.; Bui-Nguyen, B.; Casali, P.G.; Schöffski, P.; Aglietta, M.; Staddon, A.P.; Beppu, Y.; et al. Pazopanib for metastatic soft-tissue sarcoma (PALETTE): A randomised, double-blind, placebo-controlled phase 3 trial. Lancet 2012, 379, 1879–1886. [Google Scholar] [CrossRef]
- Ferrari, S.; Bielack, S.S.; Smeland, S.; Longhi, A.; Egerer, G.; Sundby Hall, K.; Donati, D.; Kevric, M.; Brosjö, O.; Comandone, A.; et al. EURO-B.O.S.S.: A European study on chemotherapy in bone-sarcoma patients aged over 40: Outcome in primary high-grade osteosarcoma. Tumori J. 2018, 104, 30–36. [Google Scholar] [CrossRef]
- Leidinger, B.; Bielack, S.; Koehler, G.; Vieth, V.; Winkelmann, W.; Gosheger, G. High level of beta-hCG simulating pregnancy in recurrent osteosarcoma: Case report and review of literature. J. Cancer Res. Clin. Oncol. 2004, 130, 357–361. [Google Scholar] [CrossRef]
- Glass, R.; Asirvatham, J.R.; Kahn, L.; Aziz, M. Beta-human chorionic gonadotropin producing osteosarcoma of the sacrum in a 26-year-old woman: A case report and review of the literature. Case Rep. Pathol. 2015, 2015, 897230. [Google Scholar] [CrossRef]
- Masrouha, K.Z.; Khattab, R.; Tawil, A.; Abdallah, A.; Saghieh, S.; Haidar, R.; Abboud, M.; Khoury, N.J. A preliminary investigation of Beta-hCG expression in patients with osteosarcoma. J. Bone Jt. Surg. 2012, 94, 419–424. [Google Scholar] [CrossRef]
- Ordóñez, N.G.; Ayala, A.G.; Raymond, A.K.; Plager, C.; Benjamin, R.S.; Samaan, N.A. Ectopic production of the beta-subunit of human chorionic gonadotropin in osteosarcoma. Arch. Pathol. Lab. Med. 1989, 113, 416–419. [Google Scholar]
- Ferrari, S.; Ruggieri, P.; Cefalo, G.; Tamburini, A.; Capanna, R.; Fagioli, F.; Comandone, A.; Bertulli, R.; Bisogno, G.; Palmerini, E.; et al. Neoadjuvant chemotherapy with methotrexate, cisplatin, and doxorubicin with or without ifosfamide in nonmetastatic osteosarcoma of the extremity: An Italian sarcoma group trial ISG/OS-1. J. Clin. Oncol. 2012, 30, 2112–2118. [Google Scholar] [CrossRef]
- Mori, F.; Sacconi, A.; Canu, V.; Ganci, F.; Novello, M.; Anelli, V.; Covello, R.; Ferraresi, V.; Muti, P.; Biagini, R.; et al. miR-181c associates with tumour relapse of high grade osteosarcoma. Oncotarget 2015, 6, 13946–13961. [Google Scholar] [CrossRef] [Green Version]








| Ref. | NoP | Malignancies n (%) | Primary | Secondary | Time to Malignant Transformation | FU |
|---|---|---|---|---|---|---|
| Rutkowski et al. [3] | 222 | 4 (1.8%) | - | 4 | 3.5 yr | Median 13 mo |
| Bertoni F. et al. [4] | 924 | 17 (1.8%) | 5 | 12 | Average l9 yr | NR |
| Domovitov SV et al. [5] | 275 | 31 (11.3%) | 26 | 5 | NR | 31 yr |
| Liu W et al. [6] | 1365 | 32 (2.3%) | 12 | 20 | Secondary 7.9 yr Primary: NR | 9.5 yr |
| Chawla et al. [7,8] | 526 | 5 (1%) | 4 | 1 | 74.5 mo | Median 58.1 mo |
| Agarwal et al. [9] | 25 | 1 (4%) | - | 1 | 8 mo | 27 mo |
| Treffel et al. [10] | 35 | 1 (2.9%) | - | 1 | 18 mo | NR |
| Perrin et al. [11] | 25 | 1 (4%) | - | 1 | 55 mo | Median 57 mo |
| Palmerini et al. [12] | 532 | 14 (2.6%) | 5 | 9 | 7.8 yr | 58 mo |
| Ref. | NoP | Transformation n (%) | Time to Malignant Transformation From GCTB | FU |
|---|---|---|---|---|
| Rutkowski et al. [3] | 222 | 2 (0.9%) | 8.6 mo | Median 13.0 mo |
| Chawla et al. [7,8] | 526 | 5 (<1%) | Range, 17 mo–11 yr | Median 58.1 mo |
| Agarwal et al. [9] | 25 | 1 (4%) | 8 mo | 27 mo |
| Treffel et al. [10] | 35 | 1 (2.9%) | 18 mo | NR |
| Perrin et al. [11] | 25 | 1 (4%) | 55 mo | Median 57 mo |
| Palmerini et al. [12] | 526 | 14 (2.6%) | 7.8 yr | 58 mo |
| Age | Sex | ECOG PS | Diagnosis (Date) | Site of Primary GCTB | Surgery | Rec. Date | Treat. Management | Malignant Transformation (Date/Surgery or Biopsy) | Treat. | Evolution | Subsequent CHT Lines | FU/D | Time to MT (Months) | OS from GCTB Diagnosis (Months) | OS from MT (Months) | |
|---|---|---|---|---|---|---|---|---|---|---|---|---|---|---|---|---|
| Pt 1 | 29 | F | 0 | 17 July | Right femur | Curettage and bone grafts | 18 February | Neoadj denosumab (7 cycles) | 18 July Extraarticular resection: high-grade fibroblastic osteosarcoma | ISG/OS-2 | PD | I: IFO II: GEM.TXT III: PAZO | D 22 January | 9 | 53 | 43 |
| Pt 2 | 48 | M | 0 | 16 November | Right tibia | Curettage and bone grafts | 20 October | Neoadj denosumab (6 cycles) | 21 February Extraarticular resection: malignant transformation of GCTB | EURO BOSS | NED | - | FU 21 December | 51 | 64 | 13 |
| Pt 3 | 20 | F | 0 | 10 September | Left femur | Resection of the femoral head, curettage and bone grafts | 11 March | Biopsy | 11 June Biopsy: high-grade osteosarcoma G3 with aberrant expression of beta-HCG | ISG/OS-1 | PD | - | D 11 November | 9 | 14 | 5 |
Publisher’s Note: MDPI stays neutral with regard to jurisdictional claims in published maps and institutional affiliations. |
© 2022 by the authors. Licensee MDPI, Basel, Switzerland. This article is an open access article distributed under the terms and conditions of the Creative Commons Attribution (CC BY) license (https://creativecommons.org/licenses/by/4.0/).
Share and Cite
Vari, S.; Riva, F.; Onesti, C.E.; Cosimati, A.; Renna, D.; Biagini, R.; Baldi, J.; Zoccali, C.; Anelli, V.; Annovazzi, A.; et al. Malignant Transformation of Giant Cell Tumour of Bone: A Review of Literature and the Experience of a Referral Centre. Int. J. Mol. Sci. 2022, 23, 10721. https://doi.org/10.3390/ijms231810721
Vari S, Riva F, Onesti CE, Cosimati A, Renna D, Biagini R, Baldi J, Zoccali C, Anelli V, Annovazzi A, et al. Malignant Transformation of Giant Cell Tumour of Bone: A Review of Literature and the Experience of a Referral Centre. International Journal of Molecular Sciences. 2022; 23(18):10721. https://doi.org/10.3390/ijms231810721
Chicago/Turabian StyleVari, Sabrina, Federica Riva, Concetta Elisa Onesti, Antonella Cosimati, Davide Renna, Roberto Biagini, Jacopo Baldi, Carmine Zoccali, Vincenzo Anelli, Alessio Annovazzi, and et al. 2022. "Malignant Transformation of Giant Cell Tumour of Bone: A Review of Literature and the Experience of a Referral Centre" International Journal of Molecular Sciences 23, no. 18: 10721. https://doi.org/10.3390/ijms231810721
APA StyleVari, S., Riva, F., Onesti, C. E., Cosimati, A., Renna, D., Biagini, R., Baldi, J., Zoccali, C., Anelli, V., Annovazzi, A., Covello, R., Ascione, A., Casini, B., & Ferraresi, V. (2022). Malignant Transformation of Giant Cell Tumour of Bone: A Review of Literature and the Experience of a Referral Centre. International Journal of Molecular Sciences, 23(18), 10721. https://doi.org/10.3390/ijms231810721

