Brain Neurons during Physiological Aging: Morphological Features, Autophagic and Mitochondrial Contribution
Abstract
:1. Introduction
2. Results
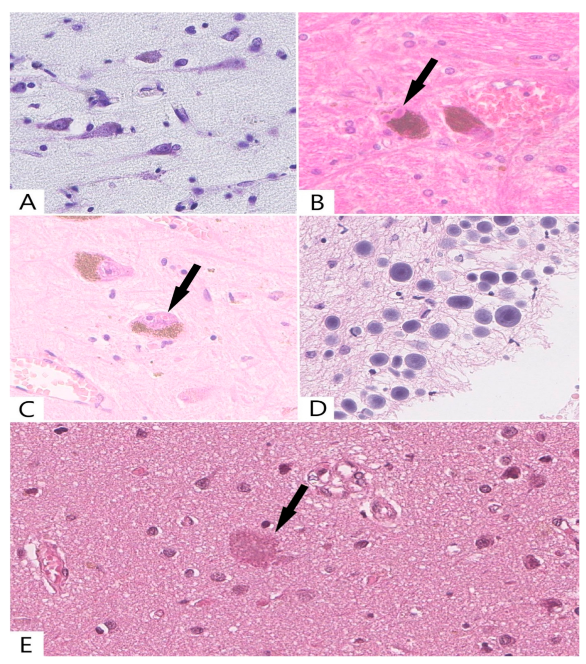
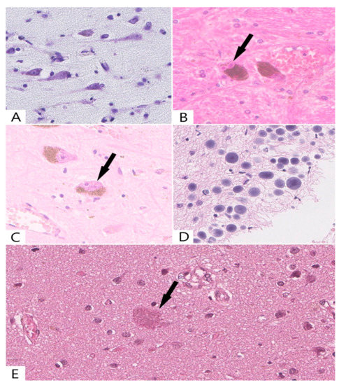
2.1. Common Histological Methods
2.2. Immunohistochemical Analysis of Chaperone-Mediated Autophagy (CMA) Markers
2.3. Immunohistochemical Analysis of Macroautophagy Marker LC3B
2.4. Immunohistochemical Analysis of Marker of Complex V (ATP5A)
2.5. Immunohistochemical Analysis of the Redox-Sensitive Protein DJ1
3. Discussion
4. Materials and Methods
4.1. Brain Samples
4.2. Histological Analysis and Morphometry
4.3. Immunohistochemistry Assay
4.4. Statistical Analysis
5. Conclusions
Author Contributions
Funding
Institutional Review Board Statement
Informed Consent Statement
Data Availability Statement
Conflicts of Interest
References
- Hou, Y.; Dan, X.; Babbar, M.; Wei, Y.; Hasselbalch, S.G.; Croteau, D.L.; Bohr, V.A. Ageing as a risk factor for neurodegenerative disease. Nat. Rev. Neurol. 2019, 15, 565–581. [Google Scholar] [CrossRef]
- Blinkouskaya, Y.; Caçoilo, A.; Gollamudi, T.; Jalalian, S.; Weickenmeier, J. Brain aging mechanisms with mechanical manifestations. Mech. Ageing Dev. 2021, 200, 111575. [Google Scholar] [CrossRef] [PubMed]
- Sikora, E.; Bielak-Zmijewska, A.; Dudkowska, M.; Krzystyniak, A.; Mosieniak, G.; Wesierska, M.; Wlodarczyk, J. Cellular Senescence in Brain Aging. Front. Aging Neurosci. 2021, 13, 646924. [Google Scholar] [CrossRef] [PubMed]
- López-Otín, C.; Galluzzi, L.; Freije, J.M.; Madeo, F.; Kroemer, G. Metabolic Control of Longevity. Cell 2016, 166, 802–821. [Google Scholar] [CrossRef] [PubMed]
- Mattson, M.P.; Arumugam, T.V. Hallmarks of Brain Aging: Adaptive and Pathological Modification by Metabolic States. Cell Metab. 2018, 27, 1176–1199. [Google Scholar] [CrossRef]
- Yang, Y.; Coleman, M.; Zhang, L.; Zheng, X.; Yue, Z. Autophagy in axonal and dendritic degeneration. Trends Neurosci. 2013, 36, 418–428. [Google Scholar] [CrossRef]
- Yim, W.W.-Y.; Mizushima, N. Lysosome biology in autophagy. Cell Discov. 2020, 6, 6. [Google Scholar] [CrossRef]
- Liao, Z.; Wang, B.; Liu, W.; Xu, Q.; Hou, L.; Song, J.; Guo, Q.; Li, N. Dysfunction of chaperone-mediated autophagy in human diseases. Mol. Cell. Biochem. 2021, 476, 1439–1454. [Google Scholar] [CrossRef]
- Corti, O.; Blomgren, K.; Poletti, A.; Beart, P.M. Autophagy in neurodegeneration: New insights underpinning therapy for neurological diseases. J. Neurochem. 2020, 154, 354–371. [Google Scholar] [CrossRef]
- Alfaro, I.E.; Albornoz, A.; Molina, A.; Moreno, J.; Cordero, K.; Criollo, A.; Budini, M. Chaperone Mediated Autophagy in the Crosstalk of Neurodegenerative Diseases and Metabolic Disorders. Front. Endocrinol. 2019, 9, 778. [Google Scholar] [CrossRef] [Green Version]
- Wang, X.-L.; Feng, S.-T.; Wang, Y.-T.; Yuan, Y.-H.; Li, Z.-P.; Chen, N.-H.; Wang, Z.-Z.; Zhang, Y. Mitophagy, a Form of Selective Autophagy, Plays an Essential Role in Mitochondrial Dynamics of Parkinson’s Disease. Cell. Mol. Neurobiol. 2022, 42, 1321–1339. [Google Scholar] [CrossRef]
- Tanaka, K. The PINK1–Parkin axis: An Overview. Neurosci. Res. 2020, 159, 9–15. [Google Scholar] [CrossRef]
- Ge, P.; Dawson, V.L.; Dawson, T.M. PINK1 and Parkin mitochondrial quality control: A source of regional vulnerability in Parkinson’s disease. Mol. Neurodegener. 2020, 15, 20. [Google Scholar] [CrossRef] [PubMed]
- Wang, Y.; Liu, N.; Lu, B. Mechanisms and roles of mitophagy in neurodegenerative diseases. CNS Neurosci. Ther. 2019, 25, 859–875. [Google Scholar] [CrossRef] [PubMed]
- Annesley, S.J.; Fisher, P.R. Mitochondria in Health and Disease. Cells 2019, 8, 680. [Google Scholar] [CrossRef] [PubMed]
- Abate, M.; Festa, A.; Falco, M.; Lombardi, A.; Luce, A.; Grimaldi, A.; Zappavigna, S.; Sperlongano, P.; Irace, C.; Caraglia, M.; et al. Mitochondria as playmakers of apoptosis, autophagy and senescence. Semin. Cell Dev. Biol. 2020, 98, 139–153. [Google Scholar] [CrossRef]
- Faitg, J.; Lacefield, C.; Davey, T.; White, K.; Laws, R.; Kosmidis, S.; Reeve, A.K.; Kandel, E.R.; Vincent, A.E.; Picard, M. 3D neuronal mitochondrial morphology in axons, dendrites, and somata of the aging mouse hippocampus. Cell Rep. 2021, 36, 109509. [Google Scholar] [CrossRef]
- Schiavi, A.; Ventura, N. The interplay between mitochondria and autophagy and its role in the aging process. Exp. Gerontol. 2014, 56, 147–153. [Google Scholar] [CrossRef]
- Magnaeva, A.; Gulevskaya, T.; Anufriev, P.; Baranich, T.; Sukhorukov, V. Morphological characteristics of the brain nervous tissue during aging. Arkhiv Patol. 2022, 84, 20–28. (In Russia) [Google Scholar] [CrossRef]
- Peters, A. The absence of significant neuronal loss from cerebral cortex with age. Neurobiol. Aging 1993, 14, 657–658. [Google Scholar] [CrossRef]
- Kase, Y.; Shimazaki, T.; Okano, H. Current understanding of adult neurogenesis in the mammalian brain: How does adult neurogenesis decrease with age? Inflamm. Regen. 2020, 40, 10. [Google Scholar] [CrossRef] [PubMed]
- Costa, K.M. The Effects of Aging on Substantia Nigra Dopamine Neurons. J. Neurosci. 2014, 34, 15133–15134. [Google Scholar] [CrossRef] [PubMed]
- Cabello, C.R.; Thune, J.J.; Pakkenberg, H.; Pakkenberg, B. Ageing of substantia nigra in humans: Cell loss may be compensated by hypertrophy. Neuropathol. Appl. Neurobiol. 2002, 28, 283–291. [Google Scholar] [CrossRef] [PubMed]
- Martinez-Pinilla, E.; Ordóñez, C.; del Valle, E.; Navarro, A.; Tolivia, J. Regional and Gender Study of Neuronal Density in Brain during Aging and in Alzheimer's Disease. Front. Aging Neurosci. 2016, 8, 213. [Google Scholar] [CrossRef] [PubMed]
- Lowe, J. Ageing of the brain. In Greenfield’s Neuropathology, 9th ed.; Love, S., Budka, H., Ironside, J.W., Perry, A., Eds.; CRC Press: Boca Raton, FL, USA; Taylor & Francis Group: Oxfordshire, UK, 2015; pp. 849–857. [Google Scholar]
- Loeffler, D.A.; Loeffler, D.A. Influence of Normal Aging on Brain Autophagy: A Complex Scenario. Front. Aging Neurosci. 2019, 11, 49. [Google Scholar] [CrossRef]
- Kanno, H.; Handa, K.; Murakami, T.; Aizawa, T.; Ozawa, H. Chaperone-Mediated Autophagy in Neurodegenerative Diseases and Acute Neurological Insults in the Central Nervous System. Cells 2022, 11, 1205. [Google Scholar] [CrossRef] [PubMed]
- Sukhorukov, V.; Voronkov, D.; Baranich, T.; Mudzhiri, N.; Magnaeva, A.; Illarioshkin, S. Impaired Mitophagy in Neurons and Glial Cells during Aging and Age-Related Disorders. Int. J. Mol. Sci. 2021, 22, 10251. [Google Scholar] [CrossRef]
- Bourdenx, M.; Martín-Segura, A.; Scrivo, A.; Rodriguez-Navarro, J.A.; Kaushik, S.; Tasset, I.; Diaz, A.; Storm, N.J.; Xin, Q.; Juste, Y.R.; et al. Chaperone-mediated autophagy prevents collapse of the neuronal metastable proteome. Cell 2021, 184, 2696–2714.e25. [Google Scholar] [CrossRef]
- Ye, W.; Xu, K.; Huang, D.; Liang, A.; Peng, Y.; Zhu, W.; Li, C. Age-Related Increases of Macroautophagy and Chaperone-Mediated Autophagy in Rat Nucleus Pulposus. Connect. Tissue Res. 2011, 52, 472–478. [Google Scholar] [CrossRef]
- Gleixner, A.; Pulugulla, S.H.; Pant, D.B.; Posimo, J.M.; Crum, T.S.; Leak, R.K. Impact of aging on heat shock protein expression in the substantia nigra and striatum of the female rat. Cell Tissue Res. 2014, 357, 43–54. [Google Scholar] [CrossRef]
- Salway, K.D.; Gallagher, E.J.; Page, M.M.; Stuart, J.A. Higher levels of heat shock proteins in longer-lived mammals and birds. Mech. Ageing Dev. 2011, 132, 287–297. [Google Scholar] [CrossRef] [PubMed]
- Joseph, A.-M.; Adhihetty, P.J.; Buford, T.W.; Wohlgemuth, S.E.; Lees, H.A.; Nguyen, L.M.-D.; Aranda, J.M.; Sandesara, B.D.; Pahor, M.; Manini, T.M.; et al. The impact of aging on mitochondrial function and biogenesis pathways in skeletal muscle of sedentary high- and low-functioning elderly individuals. Aging Cell 2012, 11, 801–809. [Google Scholar] [CrossRef] [PubMed]
- Calabrese, V.; Scapagnini, G.; Ravagna, A.; Colombrita, C.; Spadaro, F.; Butterfield, D.A.; Giuffrida Stella, A.M. Increased expression of heat shock proteins in rat brain during aging: Relationship with mitochondrial function and glutathione redox state. Mech. Ageing Dev. 2004, 125, 325–335. [Google Scholar] [CrossRef] [PubMed]
- Deus, C.M.; Yambire, K.F.; Oliveira, P.J.; Raimundo, N. Mitochondria–Lysosome Crosstalk: From Physiology to Neurodegeneration. Trends Mol. Med. 2020, 26, 71–88. [Google Scholar] [CrossRef]
- Natarajan, V.; Chawla, R.; Mah, T.; Vivekanandan, R.; Tan, S.Y.; Sato, P.Y.; Mallilankaraman, K. Mitochondrial Dysfunction in Age-Related Metabolic Disorders. Proteomics 2020, 20, e1800404. [Google Scholar] [CrossRef]






| Area of the Brain | Age (Years) | Number of Neurons | p-Value | |
|---|---|---|---|---|
| M ± SD/ Me | SE/ Q1–Q3 | |||
| Substantia nigra pars compacta | 35–45 | 346 | 328–442 | <0.001 * |
| ≥75 | 260 | 282–334 | ||
| Corpus striatum | 35–45 | 145 | 134–193 | <0.001 * |
| ≥75 | 74 | 99–125 | ||
| Pyramidal layer of the hippocampus | 35–45 | 698 ± 109 | 34.43 | <0.001 * |
| ≥75 | 387 ± 116 | 21.19 | ||
| Layer V of the precentral gyrus cortex | 35–45 | 220 | 188–250 | <0.001 * |
| ≥75 | 104 | 123–162 | ||
| Antibody | Manufacture | Dilution | Biomarkers Function |
|---|---|---|---|
| HSP70 | Invitrogen Cat.#MA3-028 | 1:100 | Heat shock protein 70 involved in chaperone-induced autophagy through protein binding to the KFERQ motif. |
| LAMP2A | Sigma Aldrich Cat.#HPA029100 | 1:750 | Lysosome-associated membrane protein type 2A, which promotes substrate translocation into the lysosome lumen in chaperone-mediated autophagy. |
| LC3B | Abcam Cat.#ab192890 | 1:3000 | Microtubule-associated proteins 1A/1B light chain 3B, which is a part of the ubiquitin-like conjugation system and participates in phagophore elongation and autophagosome membrane formation. |
| ATP5A1 | Invitrogen Cat.#43-9800 | 1:100 | Alpha subunit of ATP synthase (V enzyme complex of the inner mitochondrial membrane). |
| DJ1/PARK7 | Invitrogen Cat.#PA5-78362 | 1:500 | Redox-sensitive protein that controls mitochondrial biogenesis and protects mitochondria from damage during oxidative stress. |
Publisher’s Note: MDPI stays neutral with regard to jurisdictional claims in published maps and institutional affiliations. |
© 2022 by the authors. Licensee MDPI, Basel, Switzerland. This article is an open access article distributed under the terms and conditions of the Creative Commons Attribution (CC BY) license (https://creativecommons.org/licenses/by/4.0/).
Share and Cite
Sukhorukov, V.; Magnaeva, A.; Baranich, T.; Gofman, A.; Voronkov, D.; Gulevskaya, T.; Glinkina, V.; Illarioshkin, S. Brain Neurons during Physiological Aging: Morphological Features, Autophagic and Mitochondrial Contribution. Int. J. Mol. Sci. 2022, 23, 10695. https://doi.org/10.3390/ijms231810695
Sukhorukov V, Magnaeva A, Baranich T, Gofman A, Voronkov D, Gulevskaya T, Glinkina V, Illarioshkin S. Brain Neurons during Physiological Aging: Morphological Features, Autophagic and Mitochondrial Contribution. International Journal of Molecular Sciences. 2022; 23(18):10695. https://doi.org/10.3390/ijms231810695
Chicago/Turabian StyleSukhorukov, Vladimir, Alina Magnaeva, Tatiana Baranich, Anna Gofman, Dmitry Voronkov, Tatiana Gulevskaya, Valeria Glinkina, and Sergey Illarioshkin. 2022. "Brain Neurons during Physiological Aging: Morphological Features, Autophagic and Mitochondrial Contribution" International Journal of Molecular Sciences 23, no. 18: 10695. https://doi.org/10.3390/ijms231810695
APA StyleSukhorukov, V., Magnaeva, A., Baranich, T., Gofman, A., Voronkov, D., Gulevskaya, T., Glinkina, V., & Illarioshkin, S. (2022). Brain Neurons during Physiological Aging: Morphological Features, Autophagic and Mitochondrial Contribution. International Journal of Molecular Sciences, 23(18), 10695. https://doi.org/10.3390/ijms231810695

