Molecular Insights in Uterine Leiomyosarcoma: A Systematic Review
Abstract
1. Introduction
2. Methods
3. Results and Discussion
3.1. Genetic Changes Linked to Leiomyosarcomas Pathogenesis, Diagnosis and Prognosis
Epigenetic, Metabolomic and Proteomic Changes in Pathogenesis of Uterine Leiomyosarcoma
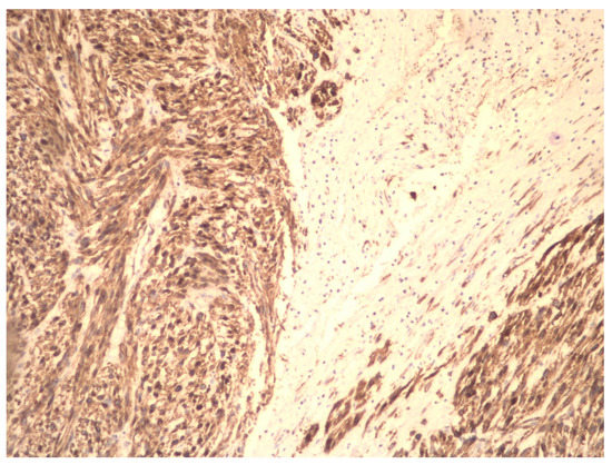
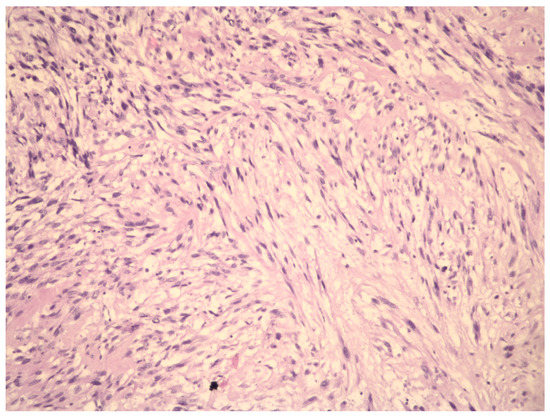
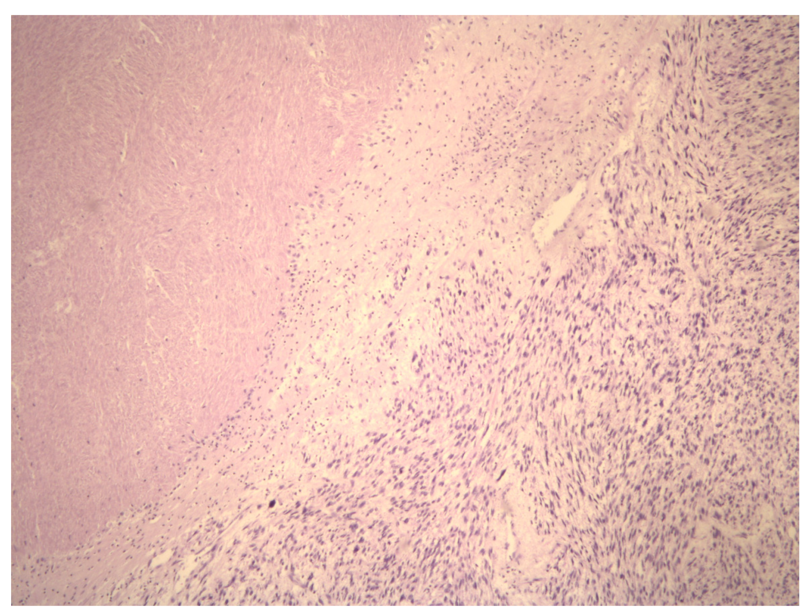
3.2. Molecular Basis of Differentiation Uterine Leiomyosarcoma vs. Uterine Leiomyoma
3.2.1. Genetic and Gene Expression Differences between Leiomyosarcoma and Uterine Leiomyoma
3.2.2. Micro RNAs as Potential Biomarkers for Differential Diagnosis between Uterine Leiomyosarcoma and Uterine Leiomyoma
4. Conclusions
Author Contributions
Funding
Institutional Review Board Statement
Informed Consent Statement
Data Availability Statement
Conflicts of Interest
References
- Giuliani, E.; As-Sanie, S.; Marsh, E.E. Epidemiology and management of UFs. Int. J. Gynecol. Obstet. 2020, 149, 3–9. [Google Scholar] [CrossRef]
- Baird, D.D.; Dunson, D.B.; Hill, M.C.; Cousins, D.; Schectman, J.M. High cumulative incidence of uterine leiomyoma in black and white women: Ultrasound evidence. Am. J. Obstet. Gynecol. 2003, 188, 100–107. [Google Scholar] [CrossRef]
- Pynnä, K.; Räsänen, P.; Roine, R.P.; Vuorela, P.; Sintonen, H. Where does the money go to? Cost analysis of gynecological patients with a benign condition. PLoS ONE 2021, 16, e0254124. [Google Scholar] [CrossRef]
- Rodriguez-Triana, V.M.; Kwan, L.; Kelly, M.; Olson, T.H.; Parker, W.H. Quality of Life after Laparoscopic and Open Abdominal Myomectomy. J. Minim. Invasive Gynecol. 2021, 28, 817–823. [Google Scholar] [CrossRef]
- Levens, E.D.; Wesley, R.; Premkumar, A.; Blocker, W.; Nieman, L.K. Magnetic resonance imaging and transvaginal ultrasound for determining fibroid burden: Implications for research and clinical care. Am. J. Obstet. Gynecol. 2009, 200, 537.e1–537.e7. [Google Scholar] [CrossRef]
- Marsh, E.E.; Al-Hendy, A.; Kappus, D.; Galitsky, A.; Stewart, E.A.; Kerolous, M. Burden, Prevalence, and Treatment of UFs: A Survey of U.S. Women. J. Women Health 2018, 27, 1359–1367. [Google Scholar] [CrossRef]
- Donnez, J.; Dolmans, M.M. UF management: From the present to the future. Hum. Reprod. Update 2016, 22, 665–686. [Google Scholar] [CrossRef]
- Al-Talib, A. Factors contributing to failure of laparoscopic myomectomy. Surg. Technol. Int. 2013, 23, 149–151. [Google Scholar]
- Buckley, V.A.; Nesbitt-Hawes, E.M.; Atkinson, P.; Won, H.R.; Deans, R.; Burton, A.; Lyons, S.D.; Abbott, J.A. Laparoscopic myomectomy: Clinical outcomes and comparative evidence. J. Minim. Invasive Gynecol. 2015, 22, 11–25. [Google Scholar] [CrossRef]
- Glaser, L.M.; Friedman, J.; Tsai, S.; Chaudhari, A.; Milad, M. Laparoscopic myomectomy and morcellation: A review of techniques; outcomes, and practice guidelines. Best Pract. Res. Clin. Obstet. Gynaecol. 2018, 46, 99–112. [Google Scholar] [CrossRef]
- AAGL Advancing Minimally Invasive Gynecology Worldwide. AAGL practice report: Morcellation during uterine tissue extraction. J. Minim. Invasive Gynecol. 2014, 21, 517–530. [Google Scholar] [CrossRef]
- Brower, V. FDA considers restricting or banning laparoscopic morcellation. J. Natl. Cancer Inst. 2014, 106, dju339. [Google Scholar] [CrossRef]
- Juhasz-Böss, I.; Gabriel, L.; Bohle, R.M.; Horn, L.C.; Solomayer, E.F.; Breitbach, G.P. Uterine LMS. Oncol. Res. Treat. 2018, 41, 680–686. [Google Scholar] [CrossRef]
- Zang, Y.; Gu, L.; Zhang, Y.; Wang, Y.; Xue, F. Identification of key genes and pathways in uterine LMS through bioinformatics analysis. Oncol. Lett. 2018, 15, 9361–9368. [Google Scholar]
- Chen, L.; Li, J.; Wu, X.; Zheng, Z. Identification of Somatic Genetic Alterations Using Whole-Exome Sequencing of Uterine LMS Tumors. Front. Oncol. 2021, 11, 687899. [Google Scholar]
- Hensley, M.L.; Chavan, S.S.; Solit, D.B.; Murali, R.; Soslow, R.; Chiang, S.; Jungbluth, A.A.; Bandlamudi, C.; Srinivasan, P.; Tap, W.D.; et al. Genomic Landscape of Uterine Sarcomas Defined Through Prospective Clinical Sequencing. Clin. Cancer Res. 2020, 26, 3881–3888. [Google Scholar] [CrossRef]
- Mäkinen, N.; Aavikko, M.; Heikkinen, T.; Taipale, M.; Taipale, J.; Koivisto-Korander, R.; Bützow, R.; Vahteristo, P. Exome Sequencing of Uterine LMSs Identifies Frequent Mutations in TP53, ATRX, and MED12. PLoS Genet. 2016, 12, e1005850. [Google Scholar] [CrossRef]
- Astolfi, A.; Nannini, M.; Indio, V.; Schipani, A.; Rizzo, A.; Perrone, A.M.; De Iaco, P.; Pirini, M.G.; De Leo, A.; Urbini, M.; et al. Genomic Database Analysis of Uterine LMS Mutational Profile. Cancers 2020, 12, 2126. [Google Scholar] [CrossRef]
- Lee, P.J.; Yoo, N.S.; Hagemann, I.S.; Pfeifer, J.D.; Cottrell, C.E.; Abel, H.J.; Duncavage, E.J. Spectrum of mutations in LMSs identified by clinical targeted next-generation sequencing. Exp. Mol. Pathol. 2017, 102, 156–161. [Google Scholar] [CrossRef]
- Choi, J.; Manzano, A.; Dong, W.; Bellone, S.; Bonazzoli, E.; Zammataro, L.; Yao, X.; Deshpande, A.; Zaidi, S.; Guglielmi, A.; et al. Integrated mutational landscape analysis of uterine LMSs. Proc. Natl. Acad. Sci. USA 2021, 118, e2025182118. [Google Scholar] [CrossRef]
- Cuppens, T.; Moisse, M.; Depreeuw, J.; Annibali, D.; Colas, E.; Gil-Moreno, A.; Huvila, J.; Carpén, O.; Zikán, M.; Matias-Guiu, X.; et al. Integrated genome analysis of uterine LMS to identify novel driver genes and targetable pathways. Int. J. Cancer. 2018, 142, 1230–1243. [Google Scholar] [CrossRef] [PubMed]
- Raish, M.; Khurshid, M.; Ansari, M.A.; Chaturvedi, P.K.; Bae, S.M.; Kim, J.H.; Park, E.K.; Park, D.C.; Ahn, W.S. Analysis of molecular cytogenetic alterations in uterine LMS by array-based comparative genomic hybridization. J. Cancer Res. Clin. Oncol. 2012, 138, 1173–1186. [Google Scholar] [CrossRef] [PubMed]
- Davidson, B.; Abeler, V.M.; Førsund, M.; Holth, A.; Yang, Y.; Kobayashi, Y.; Chen, L.; Kristensen, G.B.; Shih Ie, M.; Wang, T.L. Gene expression signatures of primary and metastatic uterine LMS. Hum. Pathol. 2014, 45, 691–700. [Google Scholar] [CrossRef] [PubMed]
- Braný, D.; Dvorská, D.; Grendár, M.; Ňachajová, M.; Szépe, P.; Lasabová, Z.; Žúbor, P.; Višňovský, J.; Halášová, E. Different methylation levels in the KLF4, ATF3 and DLEC1 genes in the myometrium and in corpus uteri mesenchymal tumours as assessed by MS-HRM. Pathol. Res. Pract. 2019, 215, 152465. [Google Scholar] [CrossRef]
- de Almeida, B.C.; Garcia, N.; Maffazioli, G.; dos Anjos, L.G.; Baracat, E.C.; Carvalho, K.C. Oncomirs Expression Profiling in Uterine Leiomyosarcoma Cells. Int. J. Mol. Sci. 2017, 19, 52. [Google Scholar] [CrossRef]
- Danielson, L.S.; Menendez, S.; Attolini, C.S.; Guijarro, M.V.; Bisogna, M.; Wei, J.; Socci, N.D.; Levine, D.A.; Michor, F.; Hernando, E. A differentiation-based microRNA signature identifies leiomyosarcoma as a mesenchymal stem cell-related malignancy. Am. J. Pathol. 2010, 177, 908–917. [Google Scholar] [CrossRef]
- Machado-Lopez, A.; Alonso, R.; Lago, V.; Jimenez-Almazan, J.; Garcia, M.; Monleon, J.; Lopez, S.; Barcelo, F.; Torroba, A.; Ortiz, S.; et al. Integrative Genomic and Transcriptomic Profiling Reveals a Differential Molecular Signature in Uterine Leiomyoma versus LMS. Int. J. Mol. Sci. 2022, 23, 2190. [Google Scholar] [CrossRef]
- Mas, A.; Alonso, R.; Garrido-Gómez, T.; Escorcia, P.; Montero, B.; Jiménez-Almazán, J.; Martín, J.; Pellicer, N.; Monleón, J.; Simón, C. The differential diagnoses of uterine leiomyomas and LMSs using DNA and RNA sequencing. Am. J. Obstet. Gynecol. 2019, 22, 320.e1–320.e23. [Google Scholar]
- Bertsch, E.; Qiang, W.; Zhang, Q.; Espona-Fiedler, M.; Druschitz, S.; Liu, Y.; Mittal, K.; Kong, B.; Kurita, T.; Wei, J.J. MED12 and HMGA2 mutations: Two independent genetic events in uterine leiomyoma and LMS. Mod. Pathol. 2014, 27, 1144–1153. [Google Scholar] [CrossRef]
- Sahly, N.N.; Banaganapalli, B.; Sahly, A.N.; Aligiraigri, A.H.; Nasser, K.K.; Shinawi, T.; Mohammed, A.; Alamri, A.S.; Bondagji, N.; Elango, R.; et al. Molecular differential analysis of uterine leiomyomas and LMSs through weighted gene network and pathway tracing approaches. Syst. Biol. Reprod. Med. 2021, 67, 209–220. [Google Scholar] [CrossRef]
- Zhang, Q.; Kanis, M.J.; Ubago, J.; Liu, D.; Scholtens, D.M.; Strohl, A.E.; Lurain, J.R.; Shahabi, S.; Kong, B.; Wei, J.J. The selected biomarker analysis in 5 types of uterine smooth muscle tumors. Hum. Pathol. 2018, 76, 17–27. [Google Scholar] [CrossRef] [PubMed]
- Baiocchi, G.; Poliseli, F.L.; De Brot, L.; Mantoan, H.; Schiavon, B.N.; Faloppa, C.C.; Vassallo, J.; Soares, F.A.; Cunha, I.W. TOP2A copy number and TOP2A expression in uterine benign smooth muscle tumours and LMS. J. Clin. Pathol. 2016, 69, 884–889. [Google Scholar] [CrossRef] [PubMed]
- Adams, C.L.; Dimitrova, I.; Post, M.D.; Gibson, L.; Spillman, M.A.; Behbakht, K.; Bradford, A.P. Identification of a novel diagnostic gene expression signature to discriminate uterine leiomyoma from LMS. Exp. Mol. Pathol. 2019, 110, 104284. [Google Scholar] [CrossRef] [PubMed]
- Banas, T.; Pitynski, K.; Okon, K.; Czerw, A. DNA fragmentation factors 40 and 45 (DFF40/DFF45) and B-cell lymphoma 2 (Bcl-2) protein are underexpressed in uterine LMSs and may predict survival. OncoTargets Ther. 2017, 10, 4579–4589. [Google Scholar] [CrossRef] [PubMed]
- Yokoi, A.; Matsuzaki, J.; Yamamoto, Y.; Tate, K.; Yoneoka, Y.; Shimizu, H.; Uehara, T.; Ishikawa, M.; Takizawa, S.; Aoki, Y.; et al. Serum microRNA profile enables preoperative diagnosis of uterine LMS. Cancer Sci. 2019, 110, 3718–3726. [Google Scholar] [CrossRef] [PubMed]
- Hu, X.; Zhang, H.; Zheng, X.; Lin, Z.; Feng, G.; Chen, Y.; Pan, Q.; Ni, F. STMN1 and MKI67 Are Upregulated in Uterine LMS and Are Potential Biomarkers for its Diagnosis. Med. Sci. Monit. 2020, 26, e923749. [Google Scholar] [CrossRef]
- de Almeida, B.C.; Dos Anjos, L.G.; Uno, M.; Cunha, I.W.D.; Soares, F.A.; Baiocchi, G.; Baracat, E.C.; Carvalho, K.C. Let-7 miRNA’s Expression Profile and Its Potential Prognostic Role in Uterine LMS. Cells 2019, 8, 1452. [Google Scholar] [CrossRef]
- Yehia, L.; Keel, E.; Eng, C. The Clinical Spectrum of PTEN Mutations. Annu. Rev. Med. 2020, 71, 103–116. [Google Scholar] [CrossRef]
- Fusco, N.; Sajjadi, E.; Venetis, K.; Gaudioso, G.; Lopez, G.; Corti, C.; Rocco, E.G.; Criscitiello, C.; Malapelle, U.; Invernizzi, M. PTEN Alterations and Their Role in Cancer Management: Are We Making Headway on Precision Medicine? Genes 2020, 11, 719. [Google Scholar] [CrossRef]
- Cetintas, V.B.; Batada, N.N. Is there a causal link between PTEN deficient tumors and immunosuppressive tumor microenvironment? J. Transl. Med. 2020, 18, 45. [Google Scholar] [CrossRef]
- Mondal, S.; Adhikari, N.; Banerjee, S.; Amin, S.A.; Jha, T. Matrix metalloproteinase-9 (MMP-9) and its inhibitors in cancer: A minireview. Eur. J. Med. Chem. 2020, 194, 112260. [Google Scholar] [CrossRef] [PubMed]
- Huang, H. Matrix Metalloproteinase-9 (MMP-9) as a Cancer Biomarker and MMP-9 Biosensors: Recent Advances. Sensors 2018, 18, 3249. [Google Scholar] [CrossRef]
- Purushothaman, A.; Babitz, S.K.; Sanderson, R.D. Heparanase enhances the insulin receptor signaling pathway to activate extracellular signal-regulated kinase in multiple myeloma. J. Biol. Chem. 2012, 287, 41288–41296. [Google Scholar] [CrossRef]
- Bauvois, B. New facets of matrix metalloproteinases MMP-2 and MMP-9 as cell surface transducers: Outside-in signaling and relationship to tumor progression. Biochim. Biophys. Acta 2012, 1825, 29–36. [Google Scholar] [CrossRef]
- Brule, S.; Charnaux, N.; Sutton, A.; Ledoux, D.; Chaigneau, T.; Saffar, L.; Gattegno, L. The shedding of syndecan-4 and syndecan-1 from HeLa cells and human primary macrophages is accelerated by SDF-1/CXCL12 and mediated by the matrix metalloproteinase-9. Glycobioloy 2006, 16, 488–501. [Google Scholar] [CrossRef] [PubMed]
- Asuthkar, S.; Velpula, K.K.; Nalla, A.K.; Gogineni, V.R.; Gondi, C.S.; Rao, J.S. Irradiation-induced angiogenesis is associated with an MMP-9-miR-494-syndecan-1 regulatory loop in medulloblastoma cells. Oncogene 2014, 33, 1922–1933. [Google Scholar] [CrossRef]
- Limoge, M.; Safina, A.; Beattie, A.; Kapus, L.; Truskinovsky, A.M.; Bakin, A.V. Tumor-fibroblast interactions stimulate tumor vascularization by enhancing cytokine-driven production of MMP9 by tumor cells. Oncotarget 2017, 8, 35592–35608. [Google Scholar] [CrossRef]
- De Pasquale, V.; Pavone, L.M. Heparan Sulfate Proteoglycan Signaling in Tumor Microenvironment. Int J Mol Sci. 2020, 21, 6588. [Google Scholar] [CrossRef]
- Guo, S.; Wu, X.; Lei, T.; Zhong, R.; Wang, Y.; Zhang, L.; Zhao, Q.; Huang, Y.; Shi, Y.; Wu, L. The Role and Therapeutic Value of Syndecan-1 in Cancer Metastasis and Drug Resistance. Front. Cell Dev. Biol. 2022, 9, 784983. [Google Scholar]
- Alexander, C.M.; Reichsman, F.; Hinkes, M.T.; Lincecum, J.; Becker, K.A.; Cumberledge, S.; Bernfield, M. Syndecan-1 is required for Wnt-1-induced mammary tumorigenesis in mice. Nat. Genet. 2000, 25, 329–332. [Google Scholar] [CrossRef]
- Kumar Katakam, S.; Tria, V.; Sim, W.C.; Yip, G.W.; Molgora, S.; Karnavas, T.; Elghonaimy, E.A.; Pelucchi, P.; Piscitelli, E.; Ibrahim, S.A.; et al. The heparan sulfate proteoglycan syndecan-1 regulates colon cancer stem cell function via a focal adhesion kinase-Wnt signaling axis. FEBS J. 2021, 288, 486–506. [Google Scholar] [CrossRef] [PubMed]
- Marinkovich, M.P. Tumor microenvironment: Laminin 332 in squamous-cell carcinoma. Nat. Rev. Cancer 2007, 7, 370–380. [Google Scholar] [CrossRef]
- Luo, J.; Song, J.; Feng, P.; Wang, Y.; Long, W.; Liu, M.; Li, L. Elevated serum apolipoprotein E is associated with metastasis and poor prognosis of non-small cell lung cancer. Tumor Biol. 2016, 37, 10715–10721. [Google Scholar] [CrossRef] [PubMed]
- Xu, X.; Wan, J.; Yuan, L.; Ba, J.; Feng, P.; Long, W.; Huang, H.; Liu, P.; Cai, Y.; Liu, M.; et al. Serum levels of apolipoprotein E correlates with disease progression and poor prognosis in breast cancer. Tumor Biol. 2016, 37, 15959–15966. [Google Scholar] [CrossRef] [PubMed]
- Fagundes, R.; Teixeira, L.K. Cyclin E/CDK2: DNA Replication, Replication Stress and Genomic Instability. Front. Cell Dev. Biol. 2021, 9, 774845. [Google Scholar] [CrossRef]
- Soe, Z.Y.; Park, E.J.; Shimaoka, M. Integrin Regulation in Immunological and Cancerous Cells and Exosomes. Int. J. Mol. Sci. 2021, 22, 2193. [Google Scholar] [CrossRef]
- Tanaka, Y.; Tateishi, R.; Nakatsuka, T.; Kudo, Y.; Takahashi, R.; Miyabayashi, K.; Yamamoto, K.; Asaoka, Y.; Ijichi, H.; Shibahara, J.; et al. Sharpin promotes hepatocellular carcinoma progression via transactivation of Versican expression. Oncogenesis 2016, 5, e277. [Google Scholar] [CrossRef]
- Tamiya, H.; Kim, H.; Klymenko, O.; Kim, H.; Feng, Y.; Zhang, T.; Han, J.Y.; Murao, A.; Snipas, S.J.; Jilaveanu, L.; et al. SHARPIN-mediated regulation of protein arginine methyltransferase 5 controls melanoma growth. J. Clin. Investig. 2017, 128, 517–530. [Google Scholar] [CrossRef]
- Yang, H.; Yu, S.; Wang, W.; Li, X.; Hou, Y.; Liu, Z.; Shi, Y.; Mu, K.; Niu, G.; Xu, J.; et al. SHARPIN Facilitates p53 Degradation in Breast Cancer Cells. Neoplasia 2017, 19, 84–92. [Google Scholar] [CrossRef]
- Zhou, S.; Liang, Y.; Zhang, X.; Liao, L.; Yang, Y.; Ouyang, W.; Xu, H. SHARPIN Promotes Melanoma Progression via Rap1 Signaling Pathway. J. Investig. Dermatol. 2020, 140, 395–403. [Google Scholar] [CrossRef]
- Zhang, L.; Liu, Q.; Liu, K.W.; Qin, Z.Y.; Zhu, G.X.; Shen, L.T.; Zhang, N.; Liu, B.Y.; Che, L.R.; Li, J.Y.; et al. SHARPIN stabilizes β-catenin through a linear ubiquitination-independent manner to support gastric tumorigenesis. Gastric Cancer 2021, 24, 402–416. [Google Scholar] [CrossRef] [PubMed]
- Nimmanon, T.; Ziliotto, S.; Morris, S.; Flanagan, L.; Taylor, K.M. Phosphorylation of Zinc Channel ZIP7 Drives MAPK, PI3K and Mtor Growth and Proliferation Signalling. Metallomics 2017, 9, 471–481. [Google Scholar] [CrossRef]
- Taylor, K.M.; Vichova, P.; Jordan, N.; Hiscox, S.; Hendley, R.; Nicholson, R.I. Zip7-Mediated Intracellular Zinc Transport Contributes to Aberrant Growth Factor Signaling in Antihormone-Resistant Breast Cancer Cells. Endocrinology 2008, 149, 4912–4920. [Google Scholar] [CrossRef]
- Wei, Y.; Dong, J.; Li, F.; Wei, Z.; Tian, Y. Knockdown of SLC39A7 Suppresses Cell Proliferation, Migration and Invasion in Cervical Cancer. EXCLI J. 2017, 16, 1165–1176. [Google Scholar] [PubMed]
- Liang, Y.; Jiang, L.; Zhong, X.; Hochwald, S.N.; Wang, Y.; Huang, L.; Nie, Q.; Huang, H.; Xu, J.F. Discovery of Aberrant Alteration of Genome in Colorectal Cancer by Exome Sequencing. Am. J. Med. Sci. 2019, 358, 340–349. [Google Scholar] [CrossRef] [PubMed]
- Chen, Y.; Wang, L.; Xu, H.; Liu, X.; Zhao, Y. Exome Capture Sequencing Reveals New Insights Into Hepatitis B Virus-Induced Hepatocellular Carcinoma at the Early Stage of Tumorigenesis. Oncol. Rep. 2013, 30, 1906–1912. [Google Scholar] [CrossRef] [PubMed][Green Version]
- Heaphy, C.M.; de Wilde, R.F.; Jiao, Y.; Klein, A.P.; Edil, B.H.; Shi, C.; Bettegowda, C.; Rodriguez, F.J.; Eberhart, C.G.; Herbar, S.; et al. Altered telomeres in tumors with ATRX and DAXX mutations. Science 2011, 333, 425. [Google Scholar] [CrossRef]
- Valenzuela, M.; Amato, R.; Sgura, A.; Antoccia, A.; Berardinelli, F. The Multiple Facets of ATRX Protein. Cancers 2021, 13, 2211. [Google Scholar] [CrossRef]
- Liang, J.; Liu, H.; Li, G.; Qian, J.; Gao, R.; Zhou, Y.; Wang, X. Global changes in chromatin accessibility and transcription following ATRX inactivation in human cancer cells. FEBS Lett. 2020, 594, 67–78. [Google Scholar] [CrossRef]
- Conaway, R.C.; Conaway, J.W. Function and regulation of the Mediator complex. Curr. Opin. Genet. Dev. 2011, 21, 225–230. [Google Scholar] [CrossRef]
- El Andaloussi, A.; Al-Hendy, A.; Ismail, N.; Boyer, T.G.; Halder, S.K. Introduction of Somatic Mutation in MED12 Induces Wnt4/β-Catenin and Disrupts Autophagy in Human Uterine Myometrial Cell. Reprod. Sci. 2020, 27, 823–832. [Google Scholar] [CrossRef] [PubMed]




| Molecular Biomarker | Reference |
|---|---|
| MED12 gene mutations in leiomyosarcoma | Bertch et al. [29] |
| Progesterone and estrogen receptor under-expression in uterine leiomyosarcoma | Zhang et al. [31] |
| TOP2A gene overexpression in leiomyosarcoma | Baiocchi et al. [32] |
| CHI3L1, MELK, PRC1, TOP2A andTPX2 gene overexpression In uterine leiomyosarcoma | Adams et al. [33] |
| DNA fragmentation factors 40 and 45 (DFF40 and DFF45 and Bcl-2 (B-cell lymphoma 2) under-expression in uterine leiomyosarcoma | Banas et al. [34] |
| miRNAs (miR-1246 and miR-191-5p) in leiomyosarcoma | Yokoi et al. [35] |
| STMN1 and MKI67 micro RNA are overexpressed in uterine LMS | Hu et al. [36] |
| let-7family micro RNA is downregulated in uterine leiomyosarcoma | De Almeida et al. [37] |
Publisher’s Note: MDPI stays neutral with regard to jurisdictional claims in published maps and institutional affiliations. |
© 2022 by the authors. Licensee MDPI, Basel, Switzerland. This article is an open access article distributed under the terms and conditions of the Creative Commons Attribution (CC BY) license (https://creativecommons.org/licenses/by/4.0/).
Share and Cite
Sparić, R.; Andjić, M.; Babović, I.; Nejković, L.; Mitrović, M.; Štulić, J.; Pupovac, M.; Tinelli, A. Molecular Insights in Uterine Leiomyosarcoma: A Systematic Review. Int. J. Mol. Sci. 2022, 23, 9728. https://doi.org/10.3390/ijms23179728
Sparić R, Andjić M, Babović I, Nejković L, Mitrović M, Štulić J, Pupovac M, Tinelli A. Molecular Insights in Uterine Leiomyosarcoma: A Systematic Review. International Journal of Molecular Sciences. 2022; 23(17):9728. https://doi.org/10.3390/ijms23179728
Chicago/Turabian StyleSparić, Radmila, Mladen Andjić, Ivana Babović, Lazar Nejković, Milena Mitrović, Jelena Štulić, Miljan Pupovac, and Andrea Tinelli. 2022. "Molecular Insights in Uterine Leiomyosarcoma: A Systematic Review" International Journal of Molecular Sciences 23, no. 17: 9728. https://doi.org/10.3390/ijms23179728
APA StyleSparić, R., Andjić, M., Babović, I., Nejković, L., Mitrović, M., Štulić, J., Pupovac, M., & Tinelli, A. (2022). Molecular Insights in Uterine Leiomyosarcoma: A Systematic Review. International Journal of Molecular Sciences, 23(17), 9728. https://doi.org/10.3390/ijms23179728

