From Dukes-MAC Staging System to Molecular Classification: Evolving Concepts in Colorectal Cancer
Abstract
:1. Introduction
2. Methodology
3. Dukes-MAC Era
4. TNM-Based Staging System
5. Macroscopic Assessment-Mesorectal Fascia
6. Preoperative Imagistic Assessment-Particular Issues
7. Molecular Classification
7.1. Consensus Molecular Subtype Classification
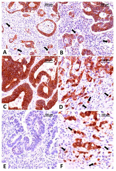
7.2. Immunohistochemical-Based Molecular Classification
7.3. Precision Medicine
8. Summary and Future Perspectives
Author Contributions
Funding
Institutional Review Board Statement
Informed Consent Statement
Acknowledgments
Conflicts of Interest
References
- Sung, H.; Ferlay, J.; Siegel, R.L.; Laversanne, M.; Soerjomataram, I.; Jemal, A.; Bray, F. Global Cancer Statistics 2020: GLOBOCAN Estimates of Incidence and Mortality Worldwide for 36 Cancers in 185 Countries. CA Cancer J. Clin. 2021, 71, 209–249. [Google Scholar] [CrossRef] [PubMed]
- Ogunwobi, O.O.; Mahmood, F.; Akingboye, A. Biomarkers in Colorectal Cancer: Current Research and Future Prospects. Int. J. Mol. Sci. 2020, 21, 5311. [Google Scholar] [CrossRef] [PubMed]
- Dekker, E.; Tanis, P.J.; Vleugels, J.L.A.; Kasi, P.M.; Wallace, M.B. Colorectal cancer. Lancet 2019, 394(10207), 1467–1480. [Google Scholar] [CrossRef]
- Xie, Y.-H.; Chen, Y.-X.; Fang, J.-Y. Comprehensive review of targeted therapy for colorectal cancer. Signal Transduct. Target. Ther. 2020, 5, 1–30. [Google Scholar] [CrossRef]
- Dukes, C.E. The classification of cancer of the rectum. J. Pathol. Bacteriol. 1932, 35, 323–332. [Google Scholar] [CrossRef]
- I Haq, A.; Schneeweiss, J.; Kalsi, V.; Arya, M. The Dukes staging system: A cornerstone in the clinical management of colorectal cancer. Lancet Oncol. 2009, 10, 1128. [Google Scholar] [CrossRef]
- Horton, J.K.; Tepper, J.E. Staging of Colorectal Cancer: Past, Present, and Future. Clin. Color. Cancer 2005, 4, 302–312. [Google Scholar] [CrossRef]
- Williams, S.T.; Beart, R.W., Jr. Staging of colorectal cancer. Semin. Surg. Oncol. 1992, 8(2), 89–93. [Google Scholar] [CrossRef]
- Astler, V.B.; Coller, F.A. The Prognostic Significance Of Direct Extension Of Carcinoma Of The Colon And Rectum. Ann. Surg. 1954, 139, 846–852. [Google Scholar] [CrossRef]
- Turnbull, R.B.; Kyle, K.; Watson, F.R.; Spratt, J. Cancer of the colon: The influence of the no-touch isolation technic on survival rates. Ann. Surg. 1967, 166, 420–427. [Google Scholar] [CrossRef]
- Amin, M.B.; Edge, S.; Greene, F.; Byrd, D.R.; Brookland, R.K.; Washington, M.K.; Gershenwald, J.E.; Compton, C.C.; Hess, K.R.; Sullivan, D.C.; et al. AJCC Cancer Staging Manual, 8th ed.; Springer: Cham, Switzerland, 2017; pp. 251–274. [Google Scholar]
- Gunderson, L.L.; Sosin, H. Areas of failure found at reoperation (second or symptomatic look) following “curative resection” for adenocarcinoma of the rectum. Cancer 1974, 34, 1278–1292. [Google Scholar] [CrossRef]
- Abdel-Rahman, O. Revisiting Dukes’ paradigm; some node positive colon cancer patients have better prognosis than some node negative patients. Clin. Transl. Oncol. 2017, 20, 794–800. [Google Scholar] [CrossRef] [PubMed]
- Compton, C.C.; Greene, F.L. The Staging of Colorectal Cancer: 2004 and Beyond. CA A Cancer J. Clin. 2004, 54, 295–308. [Google Scholar] [CrossRef] [PubMed]
- Obrocea, F.L.; Sajin, M.; Marinescu, E.C.; Stoica, D. Colorectal cancer and the 7th revision of the TNM staging system: Review of changes and suggestions for uniform pathologic reporting. Romanian J. Morphol. Embryol. 2011, 52. [Google Scholar]
- Tong, G.J.; Zhang, G.Y.; Liu, J.; Zheng, Z.Z.; Chen, Y.; Niu, P.P.; Xu, X.T. Comparison of the eighth version of the American Joint Com-mittee on Cancer manual to the seventh version for colorectal cancer: A retrospective review of our data. World J. Clin. Oncol. 2018, 9(7), 148–161. [Google Scholar] [CrossRef] [PubMed]
- Sun, C.; Li, B.; Wei, G.; Qiu, W.; Li, D.; Li, X.; Liu, X.; Wei, W.; Wang, S.; Liu, Z.; et al. Deep learning with whole slide images can improve the prognostic risk stratification with stage III colorectal cancer. Comput. Methods Programs Biomed. 2022, 221. [Google Scholar] [CrossRef]
- Ryan, R.; Gibbons, D.; Hyland, J.M.P.; Treanor, D.; White, A.; E Mulcahy, H.; O’Donoghue, D.P.; Moriarty, M.; Fennelly, D.; Sheahan, K. Pathological response following long-course neoadjuvant chemoradiotherapy for locally advanced rectal cancer. Histopathology 2005, 47, 141–146. [Google Scholar] [CrossRef]
- Washington, M.K.; Berlin, J.; Branton, P.; Burgart, L.J.; Carter, D.K.; Fitzgibbons, P.L.; Halling, K.; Frankel, W.; Jessup, J.; Kakar, S.; et al. Protocol for the Examination of Specimens From Patients With Primary Carcinoma of the Colon and Rectum. Arch. Pathol. Lab. Med. 2009, 133, 1539–1551. [Google Scholar] [CrossRef]
- Tong, L.L.; Gao, P.; Wang, Z.N.; Song, Y.X.; Xu, Y.Y.; Sun, Z.; Xing, C.Z.; Xu, H.M. Is the seventh edition of the UICC/AJCC TNM staging system reasonable for patients with tumor deposits in colorectal cancer? Ann. Surg. 2012, 255(2), 208–213. [Google Scholar] [CrossRef]
- Jin, M.; Roth, R.; Rock, J.B.; Washington, M.K.; Lehman, A.; Frankel, W.L. The Impact of Tumor Deposits on Colonic Adenocarcinoma AJCC TNM Staging and Outcome. Am. J. Surg. Pathol. 2015, 39, 109–115. [Google Scholar] [CrossRef] [Green Version]
- Franko, J.; Shi, Q.; Goldman, C.D.; Pockaj, B.A.; Nelson, G.D.; Goldberg, R.M.; Pitot, H.C.; Grothey, A.; Alberts, S.R.; Sargent, D. Treatment of Colorectal Peritoneal Carcinomatosis With Systemic Chemotherapy: A Pooled Analysis of North Central Cancer Treatment Group Phase III Trials N9741 and N9841. J. Clin. Oncol. 2012, 30, 263–267. [Google Scholar] [CrossRef] [PubMed]
- Kang, J.H.; Son, I.T.; Kim, B.C.; Park, J.H.; Kim, J.Y.; Kim, J.W. Recurrence-Free Survival Outcomes Based on Novel Classification Combining Lymphovascular Invasion, Perineural Invasion, and T4 Status in Stage II–III Colon Cancer. Cancer Manag. Res. 2022, ume 14, 2031–2040. [Google Scholar] [CrossRef]
- Fülöp, Z.Z.; Gurzu, S.; Fülöp, R.L.; Bara, J.T.; Tímár, J.; Drágus, E.; Jung, I. Prognostic Impact of the Neutrophil-to-Lymphocyte and Lymphocyte-to-Monocyte Ratio, in Patients with Rectal Cancer: A Retrospective Study of 1052 Patients. J. Pers. Med. 2020, 10, 173. [Google Scholar] [CrossRef] [PubMed]
- Facciorusso, A.; Del Prete, V.; Crucinio, N.; Serviddio, G.; Vendemiale, G.; Muscatiello, N. Lymphocyte-to-monocyte ratio predicts survival after radiofrequency ablation for colorectal liver metastases. World J. Gastroenterol. 2016, 22, 4211–4218. [Google Scholar] [CrossRef] [PubMed]
- Parfitt, J.R.; Driman, D.K. The total mesorectal excision specimen for rectal cancer: A review of its pathological assessment. J. Clin. Pathol. 2007, 60, 849–855. [Google Scholar] [CrossRef]
- Ferko, A.; Orhalmi, J.; Dusek, T.; Chobola, M.; Hovorková, E.; Nikolov, D.H. Higher risk of incomplete mesorectal excision and positive circumferential margin in low rectal cancer regardless of surgical technique. Videosurg. Other Miniinvasive Tech. 2014, 9, 569–577. [Google Scholar] [CrossRef] [Green Version]
- Garlipp, B.; Ptok, H.; Schmidt, U.; Stübs, P.; Scheidbach, H.; Meyer, F.; Gastinger, I.; Lippert, H. Factors influencing the quality of total mesorectal excision. Br. J. Surg. 2012, 99, 714–720. [Google Scholar] [CrossRef]
- Mirshahvalad, S.A.; Hinzpeter, R.; Kohan, A.; Anconina, R.; Kulanthaivelu, R.; Ortega, C.; Metser, U.; Veit-Haibach, P. Diagnostic performance of [18F]-FDG PET/MR in evaluating colorectal cancer: A systematic review and meta-analysis. Eur. J. Pediatr. 2022, 1–13. [Google Scholar] [CrossRef]
- Simu, P.; Jung, I.; Banias, L.; Kovacs, Z.; Fulop, Z.; Bara, T.; Simu, I.; Gurzu, S. Synchronous Colorectal Cancer: Improving Accuracy of Detection and Analyzing Molecular Heterogeneity—The Main Keys for Optimal Approach. Diagnostics 2021, 11, 314. [Google Scholar] [CrossRef]
- Japanese Society for Cancer of the Colon and Rectum. Japanese Classification of Colorectal, Appendiceal, and Anal Carcinoma: The 3d English Edition [Secondary Publication]. J. Anus. Rectum. Colon. 2019, 3, 175–195. [Google Scholar] [CrossRef] [Green Version]
- Dawson, H.; Kirsch, R.; Messenger, D.; Driman, D. A Review of Current Challenges in Colorectal Cancer Reporting. Arch. Pathol. Lab. Med. 2019, 143, 869–882. [Google Scholar] [CrossRef] [PubMed] [Green Version]
- Wang, S.; Guan, X.; Ma, M.; Zhuang, M.; Ma, T.; Liu, Z.; Chen, H.; Jiang, Z.; Chen, Y.; Wang, G.; et al. Reconsidering the prognostic significance of tumour deposit count in the TNM staging system for colorectal cancer. Sci. Rep. 2020, 10, 1–8. [Google Scholar] [CrossRef] [PubMed]
- Aldecoa, I.; Atares, B.; Tarragona, J.; Bernet, L.; Sardon, J.D.; Pereda, T.; Villar, C.; Mendez, M.C.; Gonzalez-Obeso, E.; Elorriaga, K.; et al. Molecularly determined total tumour load in lymph nodes of stage I-II colon cancer patients correlates with high-risk factors. A multicentre prospective study. Virchows Arch. 2016, 469, 385–394. [Google Scholar] [CrossRef] [PubMed] [Green Version]
- Rokan, Z.; Simillis, C.; Kontovounisios, C.; Moran, B.; Tekkis, P.; Brown, G. Locally Recurrent Rectal Cancer According to a Standardized MRI Classification System: A Systematic Review of the Literature. J. Clin. Med. 2022, 11, 3511. [Google Scholar] [CrossRef] [PubMed]
- García-Alfonso, P.; García-Carbonero, R.; Garcia-Foncillas, J.; Pérez-Segura, P.; Salazar, R.; Vera, R.; Ramón, Y.; Cajal, S.; Hernán-dez-Losa, J.; Landolfi, S.; et al. Update of the recommendations for the determination of bi-omarkers in colorectal carcinoma: National Consensus of the Spanish Society of Medical Oncology and the Spanish Society of Pathology. Clin. Transl. Oncol. 2020, 22, 1976–1991. [Google Scholar] [CrossRef]
- Martini, G.; Dienstmann, R.; Ros, J.; Baraibar, I.; Cuadra-Urteaga, J.L.; Salva, F.; Ciardiello, D.; Mulet, N.; Argiles, G.; Tabernero, J.; et al. Molecular subtypes and the evolution of treatment management in metastatic colorectal cancer. Ther. Adv. Med. Oncol. 2020, 12. [Google Scholar] [CrossRef] [PubMed]
- Wang, W.; Kandimalla, R.; Huang, H.; Zhu, L.; Li, Y.; Gao, F.; Goel, A.; Wang, X. Molecular subtyping of colorectal cancer: Recent progress, new challenges and emerging opportunities. Semin. Cancer Biol. 2018, 55, 37–52. [Google Scholar] [CrossRef]
- Guinney, J.; Dienstmann, R.; Wang, X.; de Reyniès, A.; Schlicker, A.; Soneson, C.; Marisa, L.; Roepman, P.; Nyamundanda, G.; Angelino, P.; et al. The consensus molecular subtypes of colorectal cancer. Nat. Med. 2015, 21, 1350–1356. [Google Scholar] [CrossRef]
- Khaliq, A.M.; Erdogan, C.; Kurt, Z.; Turgut, S.S.; Grunvald, M.W.; Rand, T.; Khare, S.; Borgia, J.A.; Hayden, D.M.; Pappas, S.G.; et al. Refining colorectal cancer classification and clinical stratification through a single-cell atlas. Genome Biol. 2022, 23, 1–30. [Google Scholar] [CrossRef]
- Joanito, I.; Wirapati, P.; Zhao, N.; Nawaz, Z.; Yeo, G.; Lee, F.; Eng, C.L.P.; Macalinao, D.C.; Kahraman, M.; Srinivasan, H.; et al. Single-cell and bulk transcriptome sequencing identifies two epithelial tumor cell states and refines the consensus molecular classification of colorectal cancer. Nat. Genet. 2022, 54, 963–975. [Google Scholar] [CrossRef]
- Fessler, E.; Jansen, M.; Melo, F.D.S.E.; Zhao, L.; Prasetyanti, P.R.; Rodermond, H.; Kandimalla, R.; Linnekamp, J.F.; Franitza, M.; Van Hooff, S.R.; et al. A multidimensional network approach reveals microRNAs as determinants of the mesenchymal colorectal cancer subtype. Oncogene 2016, 35, 6026–6037. [Google Scholar] [CrossRef] [PubMed] [Green Version]
- Zhang, B.; Wang, L.; Liu, Z.; Shao, B.; Jiang, W.; Shu, P. Integrated analysis identifies an immune-based prognostic signature for the mesenchymal identity in colorectal cancer. Medicine 2020, 99, e20617. [Google Scholar] [CrossRef] [PubMed]
- Lenz, H.J.; Ou, F.S.; Venook, A.P.; Hochster, H.S.; Niedzwiecki, D.; Goldberg, R.M.; Mayer, R.J.; Bertagnolli, M.M.; Blanke, C.D.; Zemla, T.; et al. Impact of Consensus Molecular Subtype on Survival in Patients With Metastatic Colorectal Cancer: Results From CALGB/SWOG 80405 (Alliance). J. Clin. Oncol. 2019, 37, 1876–1885. [Google Scholar] [CrossRef] [PubMed]
- Mooi, J.; Wirapati, P.; Asher, R.; Lee, C.; Savas, P.S.; Price, T.; Townsend, A.; Hardingham, J.; Buchanan, D.; Williams, D.; et al. The prognostic impact of consensus molecular subtypes (CMS) and its predictive effects for bevacizumab benefit in metastatic colorectal cancer: Molecular analysis of the AGITG MAX clinical trial. Ann. Oncol. 2018, 29, 2240–2246. [Google Scholar] [CrossRef] [PubMed]
- Benavides, M.; Díaz-Rubio, E.; Carrato, A.; Abad, A.; Guillén, C.; Garcia-Alfonso, P.; Gil, S.; Cano, M.T.; Safont, M.J.; Gravalos, C.; et al. Tumour location and efficacy of first-line EGFR inhibitors in KRAS/RAS wild-type metastatic colorectal cancer: Retrospective analyses of two phase II randomised Spanish TTD trials. ESMO Open 2019, 4, e000599. [Google Scholar] [CrossRef]
- Stintzing, S.; Wirapati, P.; Lenz, H.J.; Neureiter, D.; Fischer von Weikersthal, L.; Decker, T.; Kiani, A.; Kaiser, F.; Al-Batran, S.; Heintges, T.; et al. Consensus molecular subgroups (CMS) of colorectal cancer (CRC) and first-line efficacy of FOLFIRI plus cetuximab or bevacizumab in the FIRE3 (AIO KRK-0306) trial. Ann. Oncol. 2019, 30, 1796–1803. [Google Scholar] [CrossRef] [Green Version]
- Okita, A.; Takahashi, S.; Ouchi, K.; Inoue, M.; Watanabe, M.; Endo, M.; Honda, H.; Yamada, Y.; Ishioka, C. Consensus molecular subtypes classification of colorectal cancer as a predictive factor for chemotherapeutic efficacy against metastatic colorectal cancer. Oncotarget 2018, 9, 18698–18711. [Google Scholar] [CrossRef]
- Li, X.; Larsson, P.; Ljuslinder, I.; Ling, A.; Löfgren-Burström, A.; Zingmark, C.; Edin, S.; Palmqvist, R. A modified protein marker panel to identify four consensus molecular subtypes in colorectal cancer using immunohistochemistry. Pathol. Res. Pract. 2021, 220, 153379. [Google Scholar] [CrossRef]
- Li, Y.; Yao, Q.; Zhang, L.; Mo, S.; Cai, S.; Huang, D.; Peng, J. Immunohistochemistry-Based Consensus Molecular Subtypes as a Prognostic and Predictive Biomarker for Adjuvant Chemotherapy in Patients with Stage II Colorectal Cancer. Oncologist 2020, 25, e1968–e1979. [Google Scholar] [CrossRef]
- Banias, L.; Jung, I.; Bara, T.; Fulop, Z.; Simu, P.; Simu, I.; Satala, C.; Gurzu, S. Immunohistochemical-based molecular subtyping of colorectal carcinoma using maspin and markers of epithelial-mesenchymal transition. Oncol. Lett. 2019, 19, 1487–1495. [Google Scholar] [CrossRef] [Green Version]
- Ten Hoorn, S.; Trinh, A.; de Jong, J.; Koens, L.; Vermeulen, L. Classification of Colorectal Cancer in Molecular Subtypes by Im-munohistochemistry. Methods Mol. Biol. 2018, 1765, 179–191. [Google Scholar] [PubMed]
- Trinh, A.; Trumpi, K.; De Sousa, E.; Melo, F.; Wang, X.; de Jong, J.H.; Fessler, E.; Kuppen, P.J.; Reimers, M.S.; Swets, M.; et al. Practical and Robust Identification of Molecular Subtypes in Colorectal Cancer by Immunohistochemistry. Clin. Cancer Res. 2017, 23, 387–398. [Google Scholar] [CrossRef] [PubMed] [Green Version]
- Roseweir, A.; Kong, C.Y.; Park, J.; Bennett, L.; Powell, A.; Quinn, J.; Van Wyk, H.; Horgan, P.; McMillan, D.; Edwards, J.; et al. A novel tumor-based epithelial-to-mesenchymal transition score that associates with prognosis and metastasis in patients with Stage II/III colorectal cancer. Int. J. Cancer 2018, 144, 150–159. [Google Scholar] [CrossRef] [PubMed]
- Gurzu, S.; Silveanu, C.; Fetyko, A.; Butiurca, V.; Kovacs, Z.; Jung, I. Systematic review of the old and new concepts in the epitheli-al-mesenchymal transition of colorectal cancer. World J. Gastroenterol. 2016, 22, 6764–6775. [Google Scholar] [CrossRef]
- Gurzu, S.; Jung, I. Subcellular Expression of Maspin in Colorectal Cancer: Friend or Foe. Cancers 2021, 13, 366. [Google Scholar] [CrossRef]
- Lugli, A.; Kirsch, R.; Ajioka, Y.; Bosman, F.; Cathomas, G.; Dawson, H.; El Zimaity, H.; Fléjou, J.F.; Hansen, T.P.; Hartmann, A.; et al. Recommendations for reporting tumor budding in colorectal cancer based on the International Tumor Budding Consensus Conference (ITBCC) 2016. Mod. Pathol. 2017, 30, 1299–1311. [Google Scholar] [CrossRef]
- Mesina, C.; Stoean, C.L.; Stoean, R.; Sandita, A.V.; Dumitrescu, T.V.; Mogoantă, S.S.; Cristian, D.A.; Mesina-Botoran, M.I.; Mitroi, G.; Gruia, C.L.; et al. Immunohistochemical evaluation of tumor budding in colorectal cancer: An important parameter with prognostic value. Rom. J. Morphol. Embryol. 2019, 60, 841–846. [Google Scholar]
- Zlobec, I.; Berger, M.D.; Lugli, A. Tumour budding and its clinical implications in gastrointestinal cancers. Br. J. Cancer 2020, 123, 700–708. [Google Scholar] [CrossRef]
- Argilés, G.; Tabernero, J.; Labianca, R.; Hochhauser, D.; Salazar, R.; Iveson, T.; Laurent-Puig, P.; Quirke, P.; Yoshino, T.; Taieb, J.; et al. Localised colon cancer: ESMO Clinical Practice Guidelines for diagnosis, treatment and follow-up. Ann. Oncol. 2020, 31, 1291–1305. [Google Scholar] [CrossRef]
- Glynne-Jones, R.; Wyrwicz, L.; Tiret, E.; Brown, G.; Rödel, C.; Cervantes, A.; Arnold, D. Rectal cancer: ESMO Clinical Practice Guidelines for diagnosis, treatment and follow-up. Ann. Oncol. 2017, 28, iv22–iv40. [Google Scholar] [CrossRef]
- Banias, L.; Jung, I.; Gurzu, S. Subcellular expression of maspin – from normal tissue to tumor cells. World J. Meta-Analysis 2019, 7, 142–155. [Google Scholar] [CrossRef]
- Banias, L.; Gurzu, S.; Kovacs, Z.; Bara, T.; Jung, I. Nuclear maspin expression: A biomarker for budding assessment in colorectal cancer specimens. Pathol.-Res. Pr. 2017, 213, 1227–1230. [Google Scholar] [CrossRef] [PubMed]
- Tanaka, A.; Wang, J.Y.; Shia, J.; Zhou, Y.; Ogawa, M.; Hendrickson, R.C.; Klimstra, D.S.; Roehrl, M.H.A. Maspin as a Prognostic Marker for Early Stage Colorectal Cancer With Microsatellite Instability. Front. Oncol. 2020, 10. [Google Scholar] [CrossRef] [PubMed]
- Kovacs, Z.; Jung, I.; Szalman, K.; Banias, L.; Bara, T.J.; Gurzu, S. Interaction of arylsulfatases A and B with maspin: A possible ex-planation for dysregulation of tumor cell metabolism and invasive potential of colorectal cancer. World J. Clin. Cases. 2019, 7(23), 3990–4003. [Google Scholar] [CrossRef]
- Gurzu, S.; Jung, J.; Azamfirei, L.; Mezei, T.; Cimpean, A.M.; Szentirmay, Z. The angiogenesis in colorectal carcinomas with and without lymph node metastases. Romanian J. Morphol. Embryol. 2008, 49. [Google Scholar]
- Chen, G.; Yang, Z.; Eshleman, J.R.; Netto, G.J.; Lin, M.-T. Molecular Diagnostics for Precision Medicine in Colorectal Cancer: Current Status and Future Perspective. BioMed Res. Int. 2016, 2016, 9850690. [Google Scholar] [CrossRef]


| Dukes | MAC (Modified Astler–Coller) | Stages According to the 8th Edition of AJCC | |
|---|---|---|---|
| - | - | 0 (Tis, N0) | M0 |
| A = tumor confined to the rectal wall (1932) | A = limited to the mucosa | I (T1-2, N0) | |
| B1 = infiltration of the submucosa, but not through muscularis propria, without LN metastases | II A (T3, N0) | ||
| B = tumor infiltrates extra-rectal tissues (1932) | B2 = crossing muscularis propria, without LN metastases | II B (T4a, N0) | M0 |
| B3 = lesions invading through the colorectal wall, adhered to/invading adjacent structures/organs, without LN metastases (Gunderson and Sosin, 1974) | II C (T4b, N0) |
| Dukes | MAC (Modified Astler–Coller) | Stages According to the 8th Edition of AJCC | ||
|---|---|---|---|---|
| C = tumor with regional lymph nodes metastases (1932) | C1 = B1 + LN metastases | IIIA | T1-2, N1/N1c | M0 |
| T1, N2a | ||||
| C1 = metastasis in lymph nodes (LN) close to the primary tumor (1935) | C2 = B2 + LN metastases | IIIB | T3-4a, N1/N1c | |
| C1 | T2-3, N2a | |||
| C2 | T1-2, N2b | |||
| C2 = involvement of the LN stations up to the main ligature of the superior hemorrhoidal/inferior mesenteric vessels (1935) | C2 | IIIC | T4a, N2a | |
| C2 | T3-4a, N2b | |||
| C3 = B3 + LN metastases (Gunderson and Sosin, 1974) | T4b, N1-2 | |||
| - | D = distant spread/peritoneal invasion/infiltration of adjacent organs (Turnbull, 1967) | IV A (any T, any N, M1a) | ||
| IV B (any T, any N, M1b) | ||||
| IV C (any T, any N, M1c) | ||||
| AJCC Editions (Year of Publication) | ||||||
|---|---|---|---|---|---|---|
| 1st (1977) | 2nd (1983) | 3rd (1988) | 4th (1992), 5th (1997), 6th (2002) | 7th (2009) | 8th (2016) | |
| T—primary tumor | Tx = the tumor cannot be evaluated | |||||
| T0 = no evidence of primary tumor | ||||||
| Tis = no invasion in lamina propria | Tis = intraepithelial tumor or invasion of the lamina propria, no extension through the muscularis mucosae | |||||
| T1 = confined to the mucosa or submucosa | T1 = tumor invades submucosa | |||||
| T2 = infiltration of the muscle wall or serosa, but no extension beyond | T2a = invasion of muscularis propria | T2 = tumor invades muscularis propria | ||||
| T2b = complete penetration of the muscularis propria | ||||||
| T3 = invasion of all the layers, with extension to adjacent structures or organs, but without fistula | T3 = invasion of all the walls layers, including serosa, +/− extension in the nearby organs, +/− fistula | T3 = invasion of the subserosa or the nonperitonealized pericolic or perirectal tissues | ||||
| T4 = presence of a fistula | T4 = direct extension beyond contiguous tissue or the adjacent organs | T4 = invasion of the visceral peritoneum and/or direct spread to other organs or structures (including other colorectal segments) | T4a = invasion of the visceral peritoneum | T4a = invasion of the visceral peritoneum, including cases with perforation | ||
| T5 = tumor which has spread beyond the adjacent organs | T4b = direct invasion/adherence to other organs or structures | |||||
| AJCC Editions (Year of Publication) | ||||||
|---|---|---|---|---|---|---|
| 1st (1977) | 2nd (1983) | 3rd (1988) | 4th (1992), 5th (1997), 6th (2002) | 7th (2009) | 8th (2016) | |
| N—regional lymph nodes (LN) | Nx = regional lymph nodes cannot be assessed | |||||
| N0 = no metastasis in the regional LN | ||||||
| N1 = regional LN involved, those distal to inferior mesenteric artery | N1 = 1-3 LN adjacent to the primary tumor | N1 = 1–3 pericolic or perirectal LN | N1a = one regional LN | |||
| N1b = 2–3 regional LN | ||||||
| N1c = no LN metastases, but tumor deposits identified | ||||||
| N2 = LN involved extending to the line of resection or ligature of blood vessels | N2 = 4 or more pericolic or perirectal LN | N2a = 4–6 regional LN | ||||
| N2b = 7 or more regional LN | ||||||
| N3 = LN with metastasis, but location not identified | N3 = metastasis in any LN along the course of a vascular trunk | N3 = in any LN along the course of a vascular trunk or apical node (if marked by the surgeon)—removed in 5th edition | ||||
| M—distant metastasis | Mx = not assessed | |||||
| M0 = no distant metastasis | ||||||
| M1 = distant metastasis (including other LN than the regional ones and carcinomatosis) | M1a = in one organ/site | M1a = in one organ/site, without peritoneal metastases | ||||
| M1b = multiple distant metastatic sites or to the peritoneum | M1b = in 2 or more distant sites/organs, without peritoneal metastases | |||||
| M1c = peritoneal carcinomatosis | ||||||
Publisher’s Note: MDPI stays neutral with regard to jurisdictional claims in published maps and institutional affiliations. |
© 2022 by the authors. Licensee MDPI, Basel, Switzerland. This article is an open access article distributed under the terms and conditions of the Creative Commons Attribution (CC BY) license (https://creativecommons.org/licenses/by/4.0/).
Share and Cite
Banias, L.; Jung, I.; Chiciudean, R.; Gurzu, S. From Dukes-MAC Staging System to Molecular Classification: Evolving Concepts in Colorectal Cancer. Int. J. Mol. Sci. 2022, 23, 9455. https://doi.org/10.3390/ijms23169455
Banias L, Jung I, Chiciudean R, Gurzu S. From Dukes-MAC Staging System to Molecular Classification: Evolving Concepts in Colorectal Cancer. International Journal of Molecular Sciences. 2022; 23(16):9455. https://doi.org/10.3390/ijms23169455
Chicago/Turabian StyleBanias, Laura, Ioan Jung, Rebeca Chiciudean, and Simona Gurzu. 2022. "From Dukes-MAC Staging System to Molecular Classification: Evolving Concepts in Colorectal Cancer" International Journal of Molecular Sciences 23, no. 16: 9455. https://doi.org/10.3390/ijms23169455
APA StyleBanias, L., Jung, I., Chiciudean, R., & Gurzu, S. (2022). From Dukes-MAC Staging System to Molecular Classification: Evolving Concepts in Colorectal Cancer. International Journal of Molecular Sciences, 23(16), 9455. https://doi.org/10.3390/ijms23169455

