Valproate Targets Mammalian Gastrulation Impairing Neural Tissue Differentiation and Development of the Placental Source In Vitro
Abstract
1. Introduction
2. Results
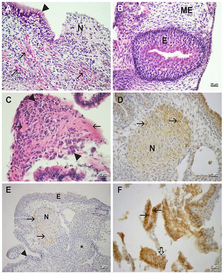
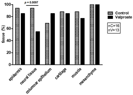
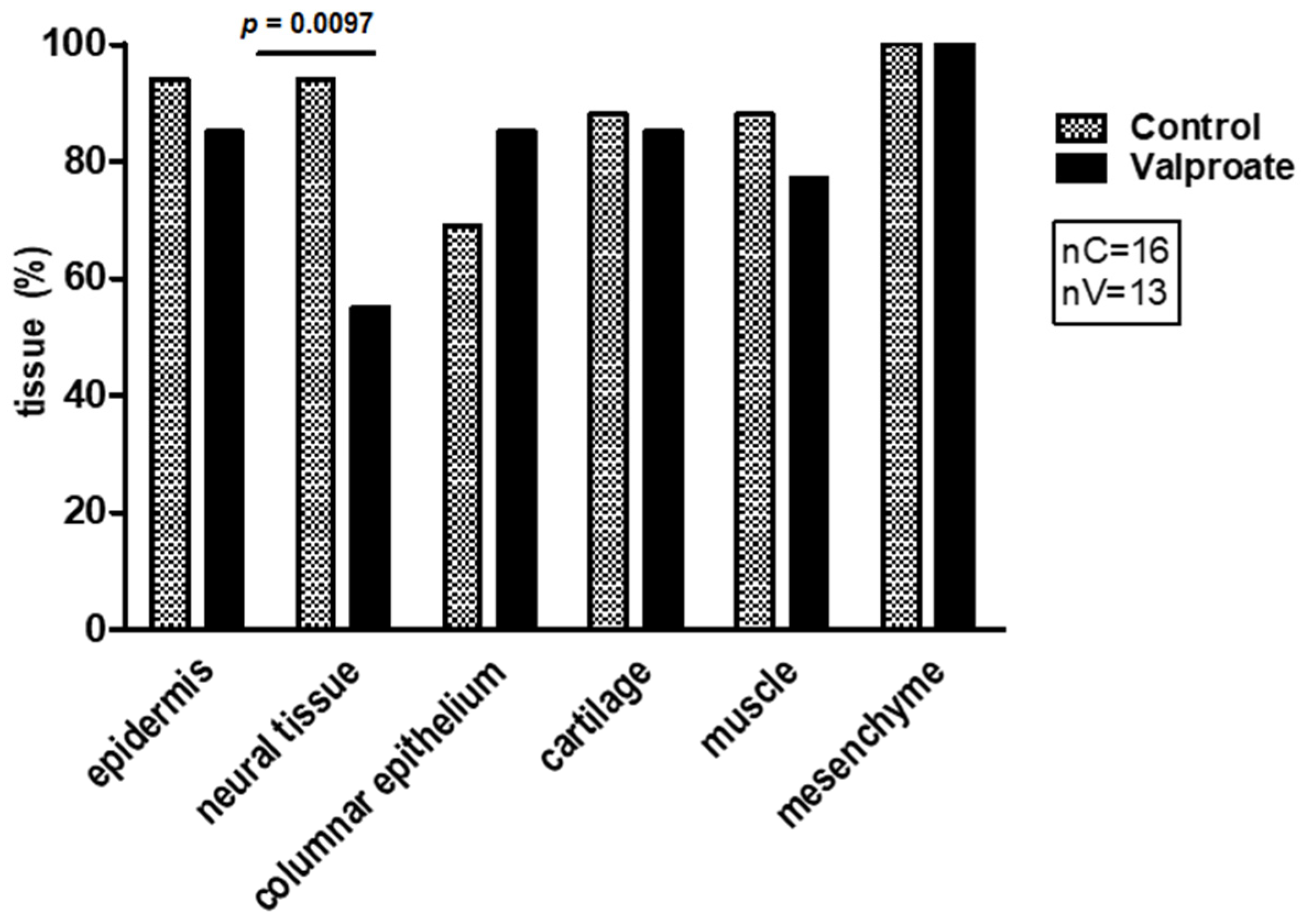
2.1. Survival, Overall Growth, and Differentiation in Embryos Proper Cultivated with Valproate
2.2. Overall Growth, and Differentiation in Embryos Proper Cultivated with Trichostatin A
2.3. Cell Proliferation and Apoptosis in Embryos Proper Cultivated with VPA
2.4. Histone Acetylation, DNA Methylation, and Retinoblastoma Protein Expression
2.5. Transplants of Embryos Proper Pre-Cultivated In Vitro
2.6. Ectoplacental Cones Grown In Vitro/In Vivo
3. Discussion
4. Materials and Methods
4.1. Ethical Statement
4.2. Animals
4.3. In Vitro Culture
4.4. Survival
4.5. Overall Growth
4.6. Transplants In Vivo
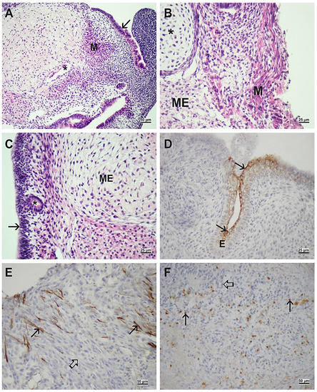
4.7. Histology and Immunohistochemistry
4.8. Stereology
4.9. Proliferation Index
4.10. Tissue Homogenization
4.11. SDS Electrophoresis
4.12. Western Blot
4.13. DNA Isolation
4.14. Bisulfite Conversion and Polymerase Chain Reaction
4.15. Global Methylation Analysis by Pyrosequencing
4.16. Statistical Analysis
Author Contributions
Funding
Institutional Review Board Statement
Informed Consent Statement
Acknowledgments
Conflicts of Interest
References
- Clayton-Smith, J.; Bromley, R.; Dean, J.; Journel, H.; Odent, S.; Wood, A.; Williams, J.; Cuthbert, V.; Hackett, L.; Aslam, N.; et al. Diagnosis and management of individuals with Fetal Valproate Spectrum Disorder; a consensus statement from the European Reference Network for Congenital Malformations and Intellectual Disability. Orphanet J. Rare Dis. 2019, 14, 180. [Google Scholar] [CrossRef] [PubMed]
- Bromley, R.; Pulman, J.; Adab, N.; Greenhalgh, J.; Dickson, R.C.; McKay, A.J.; Smith, C.T.; Marson, A.G. Treatment for epilepsy in pregnancy: Neurodevelopmental outcomes in the child. Cochrane Database Syst. Rev. 2014, 2014, Cd010236. [Google Scholar]
- Agency, E.M. New Measures to Avoid Valproate Exposure in Pregnancy Endorsed. 2018. Available online: https://www.ema.europa.eu/en/documents/referral/valproate-article-31-referral-new-measures-avoid-valproate-exposure-pregnancy-endorsed_en.pdf (accessed on 25 May 2022).
- Chateauvieux, S.; Morceau, F.; Dicato, M.; Diederich, M. Molecular and therapeutic potential and toxicity of valproic acid. J. Biomed. Biotechnol. 2010, 2010, 479364. [Google Scholar] [CrossRef] [PubMed]
- Singh, D.; Gupta, S.; Verma, I.; Morsy, M.A.; Nair, A.B.; Ahmed, A.-S.F. Hidden pharmacological activities of valproic acid: A new insight. Biomed. Pharmacother. 2021, 142, 112021. [Google Scholar] [CrossRef] [PubMed]
- Parodi, C.; Di Fede, E.; Peron, A.; Viganò, I.; Grazioli, P.; Castiglioni, S.; Finnell, R.H.; Gervasini, C.; Vignoli, A.; Massa, V. Chromatin Imbalance as the Vertex Between Fetal Valproate Syndrome and Chromatinopathies. Front. Cell Dev. Biol. 2021, 9, 654467. [Google Scholar] [CrossRef]
- Krasic, J.; Skara, L.; Ulamec, M.; Bojanac, A.K.; Dabelic, S.; Bulic-Jakus, F.; Jezek, D.; Sincic, N. Teratoma Growth Retardation by HDACi Treatment of the Tumor Embryonal Source. Cancers 2020, 12, 3416. [Google Scholar] [CrossRef]
- Ma, X.-J.; Wang, Y.-S.; Gu, W.-P.; Zhao, X. The role and possible molecular mechanism of valproic acid in the growth of MCF-7 breast cancer cells. Croat. Med. J. 2017, 58, 349–357. [Google Scholar] [CrossRef]
- Sanaei, M.; Kavoosi, F. Effect of 5-Aza-2′-Deoxycytidine in Comparison to Valproic Acid and Trichostatin A on Histone Deacetylase 1, DNA Methyltransferase 1, and CIP/KIP Family (p21, p27, and p57) Genes Expression, Cell Growth Inhibition, and Apoptosis Induction in Colon Cancer SW480 Cell Line. Adv. Biomed. Res. 2019, 8, 52. [Google Scholar]
- Sanaei, M.; Kavoosi, F. Effect of Valproic Acid on the Class I Histone Deacetylase 1, 2 and 3, Tumor Suppressor Genes p21WAF1/CIP1 and p53, and Intrinsic Mitochondrial Apoptotic Pathway, Pro- (Bax, Bak, and Bim) and anti- (Bcl-2, Bcl-xL, and Mcl-1) Apoptotic Genes Expression, Cell Viability, and Apoptosis Induction in Hepatocellular Carcinoma HepG2 Cell Line. Asian Pac. J. Cancer Prev. 2021, 22, 89–95. [Google Scholar]
- Błaszczyk, B.; Miziak, B.; Pluta, R.; Czuczwar, S.J. Epilepsy in Pregnancy-Management Principles and Focus on Valproate. Int. J. Mol. Sci. 2022, 23, 1369. [Google Scholar] [CrossRef]
- Chaliha, D.; Albrecht, M.; Vaccarezza, M.; Takechi, R.; Lam, V.; Al-Salami, H.; Mamo, J. A Systematic Review of the Valproic-Acid-Induced Rodent Model of Autism. Dev. Neurosci. 2020, 42, 12–48. [Google Scholar] [CrossRef] [PubMed]
- Kim, K.C.; Kim, P.; Go, H.S.; Choi, C.S.; Yang, S.-I.; Cheong, J.H.; Shin, C.Y.; Ko, K.H. The critical period of valproate exposure to induce autistic symptoms in Sprague-Dawley rats. Toxicol. Lett. 2011, 201, 137–142. [Google Scholar] [CrossRef] [PubMed]
- Tam, P.P.; Behringer, R.R. Mouse gastrulation: The formation of a mammalian body plan. Mech. Dev. 1997, 68, 3–25. [Google Scholar] [CrossRef]
- Moore, K.; Persaud, T.V.N.; Torchia, M. The Developing Human Clinically Oriented Embryology, 11th ed.; Elsevier: Amsterdam, The Netherlands, 2018. [Google Scholar]
- Coticchio, G.; Barrie, A.; Lagalla, C.; Borini, A.; Fishel, S.; Griffin, D.; Campbell, A. Plasticity of the human preimplantation embryo: Developmental dogmas, variations on themes and self-correction. Hum. Reprod. Update 2021, 27, 848–865. [Google Scholar] [CrossRef]
- Handyside, A.H.; Lesko, J.G.; Tarín, J.J.; Winston, R.M.; Hughes, M.R. Birth of a normal girl after in vitro fertilization and preimplantation diagnostic testing for cystic fibrosis. N. Engl. J. Med. 1992, 327, 905–909. [Google Scholar] [CrossRef] [PubMed]
- Skreb, N. Why the mammalian embryo? An interview with Professor Nikola Skreb. Interview by Drasko Serman. Int. J. Dev. Biol. 1991, 35, 149–154. [Google Scholar]
- van den Brink, S.C.; van Oudenaarden, A. 3D gastruloids: A novel frontier in stem cell-based in vitro modeling of mammalian gastrulation. Trends Cell Biol. 2021, 31, 747–759. [Google Scholar] [CrossRef]
- Skreb, N.; Bulic-Jakus, F.; Crnek, V.; Stepic, J.; Vlahovic, M. Differentiation and growth of rat egg-cylinders cultured in vitro in a serum-free and protein-free medium. Int. J. Dev. Biol. 1993, 37, 151–154. [Google Scholar]
- Bulic-Jakus, F.; Bojanac, A.K.; Juric-Lekic, G.; Vlahovic, M.; Sincic, N. Teratoma: From spontaneous tumors to the pluripotency/malignancy assay. Wiley Interdiscip. Rev. Dev. Biol. 2016, 5, 186–209. [Google Scholar] [CrossRef]
- Consolidated Text: Directive 2010/63/EU of the European Parliament and of the Council of 22 September 2010 on the Protection of Animals Used for Scientific Purposes (Text with EEA Relevance)Text with EEA Relevance. Available online: http://data.europa.eu/eli/dir/2010/63/2019-06-26. (accessed on 10 June 2022).
- Li, A.S.; Marikawa, Y. Adverse effect of valproic acid on an in vitro gastrulation model entails activation of retinoic acid signaling. Reprod. Toxicol. 2016, 66, 68–83. [Google Scholar] [CrossRef]
- Rubinchik-Stern, M.; Shmuel, M.; Eyal, S. Antiepileptic drugs alter the expression of placental carriers: An in vitro study in a human placental cell line. Epilepsia 2015, 56, 1023–1032. [Google Scholar] [CrossRef] [PubMed]
- Meir, M.; Bishara, A.; Mann, A.; Udi, S.; Portnoy, E.; Shmuel, M.; Eyal, S. Effects of valproic acid on the placental barrier in the pregnant mouse: Optical imaging and transporter expression studies. Epilepsia 2016, 57, e108–e112. [Google Scholar] [CrossRef] [PubMed]
- Rubinchik-Stern, M.; Shmuel, M.; Bar, J.; Kovo, M.; Eyal, S. Adverse placental effects of valproic acid: Studies in perfused human placentas. Epilepsia 2018, 59, 993–1003. [Google Scholar] [CrossRef] [PubMed]
- Plazibat, M.; Bojanac, A.K.; Perić, M.H.; Gamulin, O.; Rašić, M.; Radonić, V.; Škrabić, M.; Krajačić, M.; Krasić, J.; Sinčić, N.; et al. Embryo-derived teratoma in vitro biological system reveals antitumor and embryotoxic activity of valproate. FEBS J. 2020, 287, 4783–4800. [Google Scholar] [CrossRef]
- Ramaiah, M.J.; Tangutur, A.D.; Manyam, R.R. Epigenetic modulation and understanding of HDAC inhibitors in cancer therapy. Life Sci. 2021, 277, 119504. [Google Scholar] [CrossRef]
- Jiang, Z.; Li, W.; Hu, X.; Zhang, Q.; Sun, T.; Cui, S.; Wang, S.; Ouyang, Q.; Yin, Y.; Geng, C.; et al. Tucidinostat plus exemestane for postmenopausal patients with advanced, hormone receptor-positive breast cancer (ACE): A randomised, double-blind, placebo-controlled, phase 3 trial. Lancet Oncol. 2019, 20, 806–815. [Google Scholar] [CrossRef]
- Tomson, T.; Battino, D.; Bonizzoni, E.; Craig, J.; Lindhout, D.; Perucca, E.; Sabers, A.; Thomas, S.V.; Vajda, F.; EURAP Study Group. Dose-dependent teratogenicity of valproate in mono- and polytherapy: An observational study. Neurology 2015, 85, 866–872. [Google Scholar] [CrossRef]
- Tartaglione, A.M.; Schiavi, S.; Calamandrei, G.; Trezza, V. Prenatal valproate in rodents as a tool to understand the neural underpinnings of social dysfunctions in autism spectrum disorder. Neuropharmacology 2019, 159, 107477. [Google Scholar] [CrossRef]
- Duan, F.-M.; Fu, L.-J.; Wang, Y.-H.; Adu-Gyamfi, E.A.; Ruan, L.L.; Xu, Z.-W.; Xiao, S.-Q.; Chen, X.-M.; Wang, Y.-X.; Liu, T.-H.; et al. THBS1 regulates trophoblast fusion through a CD36-dependent inhibition of cAMP, and its upregulation participates in preeclampsia. Genes Dis. 2021, 8, 353–363. [Google Scholar] [CrossRef]
- Vorhees, C.V. Teratogenicity and developmental toxicity of valproic acid in rats. Teratology 1987, 35, 195–202. [Google Scholar] [CrossRef]
- Baker, G.A.; Bromley, R.L.; Briggs, M.; Cheyne, C.P.; Cohen, M.J.; García-Fiñana, M.; Gummery, A.; Kneen, R.; Loring, D.W.; Mawer, G.; et al. IQ at 6 years after in utero exposure to antiepileptic drugs: A controlled cohort study. Neurology 2015, 84, 382–390. [Google Scholar] [CrossRef] [PubMed]
- Fujimura, K.; Mitsuhashi, T.; Takahashi, T. Adverse effects of prenatal and early postnatal exposure to antiepileptic drugs: Validation from clinical and basic researches. Brain Dev. 2017, 39, 635–643. [Google Scholar] [CrossRef] [PubMed]
- Diav-Citrin, O.; Shechtman, S.; Bar-Oz, B.; Cantrell, D.; Arnon, J.; Ornoy, A. Pregnancy outcome after in utero exposure to valproate: Evidence of dose relationship in teratogenic effect. CNS Drugs 2008, 22, 325–334. [Google Scholar] [CrossRef] [PubMed]
- Cozzolino, F.; Iacobucci, I.; Monaco, V.; Angrisano, T.; Monti, M. Lysines Acetylome and Methylome Profiling of H3 and H4 Histones in Trichostatin A—Treated Stem Cells. Int. J. Mol. Sci. 2021, 22, 2063. [Google Scholar] [CrossRef]
- ClinicalTrialsGov. Tolerability Study of Trichostatin A in Subjects with Relapsed or Refractory Hematologic Malignancies. Available online: https://clinicaltrials.gov/ct2/results?cond=&term=Trichostatin+A&cntry=&state=&city=&dist= (accessed on 10 June 2022).
- Rubin, S.M.; Sage, J.; Skotheim, J.M. Integrating Old and New Paradigms of G1/S Control. Mol. Cell 2020, 80, 183–192. [Google Scholar] [CrossRef]
- Szekely, L.; Jiang, W.Q.; Bulic-Jakus, F.; Rosén, A.; Ringertz, N.; Klein, G.; Wiman, K.G. Cell type and differentiation dependent heterogeneity in retinoblastoma protein expression in SCID mouse fetuses. Cell Growth Differ. 1992, 3, 149–156. [Google Scholar]
- Cordon-Cardo, C.; Richon, V.M. Expression of the retinoblastoma protein is regulated in normal human tissues. Am. J. Pathol. 1994, 144, 500–510. [Google Scholar]
- Burkhart, D.L.; Ngai, L.K.; Roake, C.M.; Viatour, P.; Thangavel, C.; Ho, V.M.; Knudsen, E.S.; Sage, J. Regulation of RB transcription in vivo by RB family members. Mol. Cell Biol. 2010, 30, 1729–1745. [Google Scholar] [CrossRef]
- Sage, J. The retinoblastoma tumor suppressor and stem cell biology. Genes Dev. 2012, 26, 1409–1420. [Google Scholar] [CrossRef]
- Sambucetti, L.C.; Fischer, D.D.; Zabludoff, S.; Kwon, P.O.; Chamberlin, H.; Trogani, N.; Xu, H.; Cohen, D. Histone deacetylase inhibition selectively alters the activity and expression of cell cycle proteins leading to specific chromatin acetylation and antiproliferative effects. J. Biol. Chem. 1999, 274, 34940–34947. [Google Scholar] [CrossRef]
- Yazici, H.; Wu, H.; Tigli, H.; Yilmaz, E.Z.; Kebudi, R.; Santella, R.M. High levels of global genome methylation in patients with retinoblastoma. Oncol. Lett. 2020, 20, 715–723. [Google Scholar] [CrossRef] [PubMed]
- Cervoni, N.; Szyf, M. Demethylase activity is directed by histone acetylation. J. Biol. Chem. 2001, 276, 40778–40787. [Google Scholar] [CrossRef] [PubMed]
- Tortelli, F.; Cancedda, R. Three-dimensional cultures of osteogenic and chondrogenic cells: A tissue engineering approach to mimic bone and cartilage in vitro. Eur. Cell Mater. 2009, 17, 1–14. [Google Scholar] [CrossRef] [PubMed]
- Nürnberger, S.; Meyer, C.; Ponomarev, I.; Barnewitz, D.; Resinger, C.; Klepal, W.; Albrecht, C.; Marlovits, S. Equine articular chondrocytes on MACT scaffolds for cartilage defect treatment. Anat. Histol. Embryol. 2013, 42, 332–343. [Google Scholar] [CrossRef]
- Serman, A.; Serman, L. Development of placenta in a rodent--model for human placentation. Front. Biosci. (Elite Ed.) 2011, 3, 233–239. [Google Scholar] [CrossRef][Green Version]
- Serman, L.; Vlahović, M.; Šijan, M.; Bulić-Jakuš, F.; Šerman, A.; Sinčić, N.; Matijević, R.; Jurić-Lekić, G.; Katušić, A. The impact of 5-azacytidine on placental weight, glycoprotein pattern and proliferating cell nuclear antigen expression in rat placenta. Placenta 2007, 28, 803–811. [Google Scholar] [CrossRef]
- Sobočan, N.; Himelreich-Perić, M.; Katušić-Bojanac, A.; Krasić, J.; Sinčić, N.; Majić, J.; Jurić-Lekić, G.; Šerman, L.; Marić, A.; Ježek, D.; et al. Extended Prophylactic Effect of N-tert-Butyl-α-phenylnitron against Oxidative/Nitrosative Damage Caused by the DNA-Hypomethylating Drug 5-Azacytidine in the Rat Placenta. Int. J. Mol. Sci. 2022, 23, 603. [Google Scholar] [CrossRef]
- Homberg, J.R.; Wöhr, M.; Alenina, N. Comeback of the Rat in Biomedical Research. ACS Chem. Neurosci. 2017, 8, 900–903. [Google Scholar] [CrossRef]
- Katusic Bojanac, A.; Rogosic, S.; Sincic, N.; Juric-Lekic, G.; Vlahovic, M.; Serman, L.; Jezek, D.; Bulic-Jakus, F. Influence of hyperthermal regimes on experimental teratoma development in vitro. Int. J. Exp. Pathol. 2018, 99, 131–144. [Google Scholar] [CrossRef]
- Kemp, C.; Alberti, V.N.; Lima, G.R.D.; Carvalho, F.M.D. How should PCNA be assessed? Total of stained cells or only the most intensely stained ones? Sao Paulo Med. J. 1998, 116, 1667–1674. [Google Scholar] [CrossRef][Green Version]
- Kim, H.-H.; Park, J.-H.; Jeong, K.-S.; Lee, S. Determining the global DNA methylation status of rat according to the identifier repetitive elements. Electrophoresis 2007, 28, 3854–3861. [Google Scholar] [CrossRef] [PubMed]











| MEM + Serum (Control) | MEM + Serum + VPA | |||
|---|---|---|---|---|
| N | % | N | % | |
| Explanted embryos | 57 | 100 | 30 | 100 |
| Teratomas developed in vitro | 50 | 87.7 | 30 | 100 |
| MEM + Serum (Control) | MEM + Serum + VPA | |||
|---|---|---|---|---|
| N | % | N | % | |
| Transplanted explants | 9 | 100 | 8 | 100 |
| Teratomas developed in vivo | 9 | 100 | 4 | 50 * |
Publisher’s Note: MDPI stays neutral with regard to jurisdictional claims in published maps and institutional affiliations. |
© 2022 by the authors. Licensee MDPI, Basel, Switzerland. This article is an open access article distributed under the terms and conditions of the Creative Commons Attribution (CC BY) license (https://creativecommons.org/licenses/by/4.0/).
Share and Cite
Katušić-Bojanac, A.; Plazibat, M.; Himelreich-Perić, M.; Eck-Raković, K.; Krasić, J.; Sinčić, N.; Jurić-Lekić, G.; Ježek, D.; Bulić-Jakuš, F. Valproate Targets Mammalian Gastrulation Impairing Neural Tissue Differentiation and Development of the Placental Source In Vitro. Int. J. Mol. Sci. 2022, 23, 8861. https://doi.org/10.3390/ijms23168861
Katušić-Bojanac A, Plazibat M, Himelreich-Perić M, Eck-Raković K, Krasić J, Sinčić N, Jurić-Lekić G, Ježek D, Bulić-Jakuš F. Valproate Targets Mammalian Gastrulation Impairing Neural Tissue Differentiation and Development of the Placental Source In Vitro. International Journal of Molecular Sciences. 2022; 23(16):8861. https://doi.org/10.3390/ijms23168861
Chicago/Turabian StyleKatušić-Bojanac, Ana, Milvija Plazibat, Marta Himelreich-Perić, Katarina Eck-Raković, Jure Krasić, Nino Sinčić, Gordana Jurić-Lekić, Davor Ježek, and Floriana Bulić-Jakuš. 2022. "Valproate Targets Mammalian Gastrulation Impairing Neural Tissue Differentiation and Development of the Placental Source In Vitro" International Journal of Molecular Sciences 23, no. 16: 8861. https://doi.org/10.3390/ijms23168861
APA StyleKatušić-Bojanac, A., Plazibat, M., Himelreich-Perić, M., Eck-Raković, K., Krasić, J., Sinčić, N., Jurić-Lekić, G., Ježek, D., & Bulić-Jakuš, F. (2022). Valproate Targets Mammalian Gastrulation Impairing Neural Tissue Differentiation and Development of the Placental Source In Vitro. International Journal of Molecular Sciences, 23(16), 8861. https://doi.org/10.3390/ijms23168861

