Renal Injuries after Cardiac Arrest: A Morphological Ultrastructural Study
Abstract
1. Introduction
2. Results
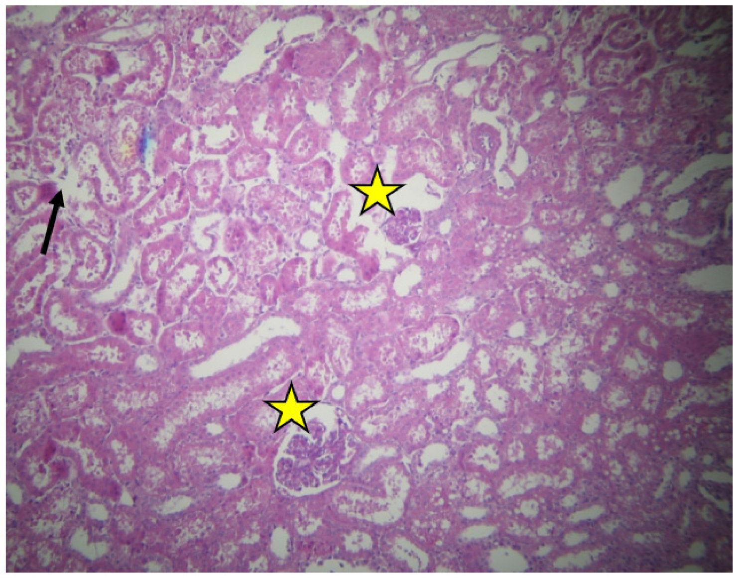
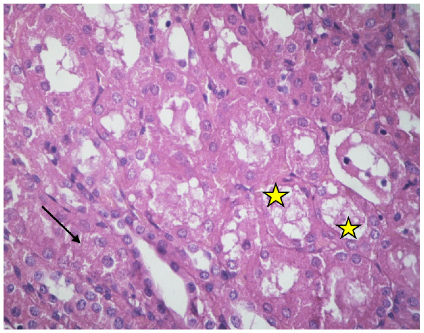
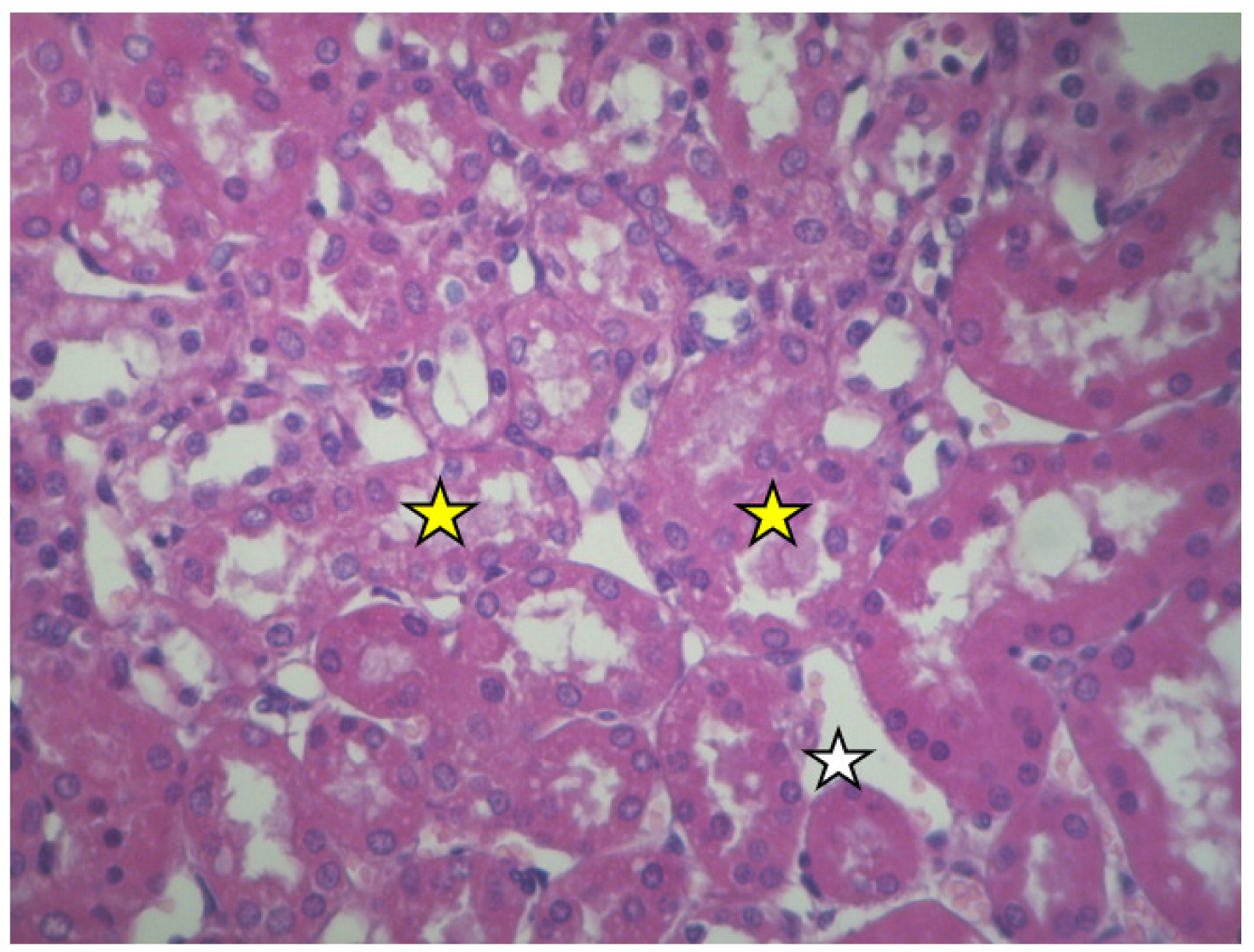
2.1. Light Microscopic Evaluation
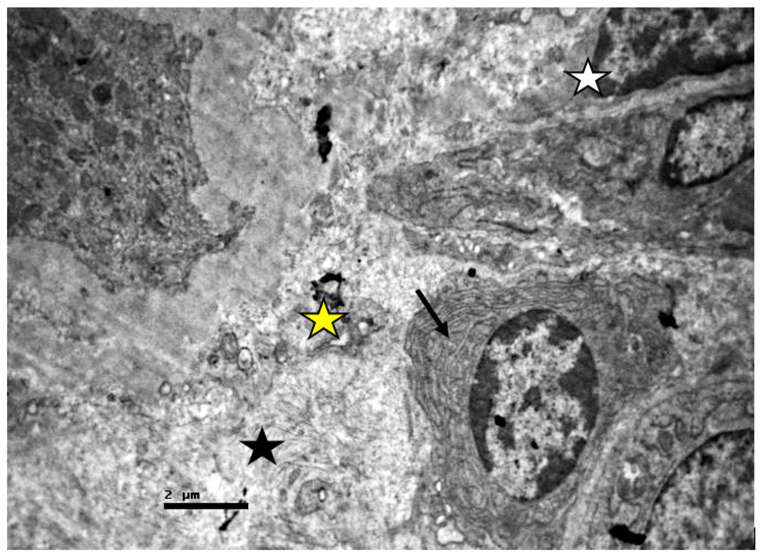
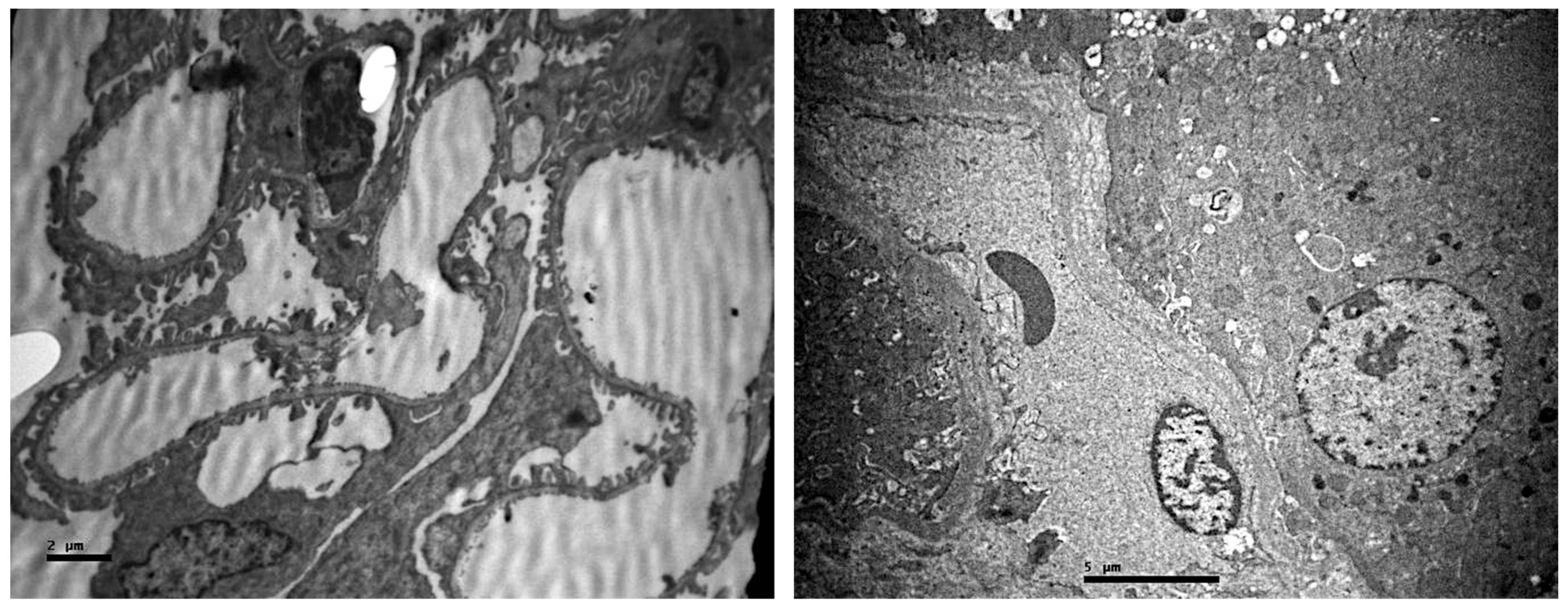
2.2. Electron Microscopic Evaluation
3. Discussion
4. Materials and Methods
4.1. Transmission Light Microscopy
4.2. Transmission Electron Microscopy (TEM)
5. Conclusions
Author Contributions
Funding
Institutional Review Board Statement
Informed Consent Statement
Conflicts of Interest
References
- Sandroni, C.; Cariou, A.; Cavallaro, F.; Cronberg, T.; Friberg, H.; Hoedemaekers, C.; Horn, J.; Nolan, J.P.; Rossetti, A.O.; Soar, J. Prognostication in comatose survivors of cardiac arrest: An advisory statement from the european resuscitation council and the european society of intensive care medicine. Resuscitation 2014, 85, 1779–1789. [Google Scholar] [CrossRef]
- Roman-Pognuz, E.; Elmer, J.; Rittenberger, J.C.; Guyette, F.X.; Berlot, G.; De Rosa, S.; Peratoner, A.; de Arroyabe, B.M.L.; Lucangelo, U.; Callaway, C.W. Markers of cardiogenic shock predict persistent acute kidney injury after out of hospital cardiac arrest. Heart Lung 2019, 48, 126–130. [Google Scholar] [CrossRef]
- Tsivilika, M.; Doumaki, E.; Stavrou, G.; Sioga, A.; Grosomanidis, V.; Meditskou, S.; Maranginos, A.; Tsivilika, D.; Stafylarakis, D.; Kotzampassi, K.; et al. The adaptive immune response in cardiac arrest resuscitation induced ischemia reperfusion renal injury. J. Biol. Res. 2020, 27, 15. [Google Scholar] [CrossRef]
- Mattana, J.; Singhal, P.C. Prevalence and Determinants of Acute Renal Failure Following Cardiopulmonary Resuscitation. Arch. Intern. Med. 1993, 153, 235–239. [Google Scholar] [CrossRef]
- Geri, G.; Guillemet, L.; Dumas, F.; Charpentier, J.; Antona, M.; Lemiale, V.; Bougouin, W.; Lamhaut, L.; Mira, J.-P.; Vinsonneau, C.; et al. Acute kidney injury after out-of-hospital cardiac arrest: Risk factors and prognosis in a large cohort. Intensive Care Med. 2015, 41, 1273–1280. [Google Scholar] [CrossRef]
- Chua, H.R.; Glassford, N.; Bellomo, R. Acute kidney injury after cardiac arrest. Resuscitation 2012, 83, 721–727. [Google Scholar] [CrossRef]
- Zhang, Q.; Li, G.; Xu, L.; Li, Q.; Wang, Q.; Zhang, Y.; Zhang, Q.; Sun, P. Toll-like receptor 4 contributes to acute kidney injury after cardiopulmonary resuscitation in mice. Mol. Med. Rep. 2016, 14, 2983–2990. [Google Scholar] [CrossRef][Green Version]
- Adrie, C.; Laurent, I.; Monchi, M.; Cariou, A.; Dhainaou, J.F.; Spaulding, C. Postresuscitation disease after cardiac arrest: A sepsis-like syndrome? Curr. Opin. Crit. Care 2004, 10, 208–212. [Google Scholar] [CrossRef]
- Pichler, R.H.; De Boer, I.H. Dual renin-angiotensin-aldosterone system blockade for diabetic kidney disease. Curr. Diab. Rep. 2010, 10, 297–305. [Google Scholar] [CrossRef]
- Kyriakopoulos, G.; Tsaroucha, A.K.; Valsami, G.; Lambropoulou, M.; Kostomitsopoulos, N.; Christodoulou, E.; Kakazanis, Z.; Anagnostopoulos, C.; Tsalikidis, C.; Simopoulos, C.E. Silibinin Improves TNF-α and M30 Expression and Histological Parameters in Rat Kidneys After Hepatic Ischemia/Reperfusion. J. Investig. Surg. 2018, 31, 201–209. [Google Scholar] [CrossRef]
- Wollborn, J.; Schlueter, B.; Steiger, C.; Hermann, C.; Wunder, C.; Schmidt, J.; Diel, P.; Meinel, L.; Buerkle, H.; Goebel, U.; et al. Extracorporeal resuscitation with carbon monoxide improves renal function by targeting inflammatory pathways in cardiac arrest in pigs. Am. J. Physiol.-Ren. Physiol. 2019, 317, F1572–F1581. [Google Scholar] [CrossRef] [PubMed]
- Le Dorze, M.; Legrand, M.; Payen, D.; Ince, C. The role of the microcirculation in acute kidney injury. Curr. Opin. Crit. Care 2009, 15, 503–508. [Google Scholar] [CrossRef] [PubMed]
- Friedewald, J.J.; Rabb, H. Inflammatory cells in ischemic acute renal failure. In Kidney International; Blackwell Publishing Inc.: Malden, MA, USA, 2004; Volume 66, pp. 486–491. [Google Scholar] [CrossRef]
- Bonventre, J.V.; Zuk, A. Ischemic acute renal failure: An inflammatory disease? In Kidney International; Blackwell Publishing Inc.: Malden, MA, USA, 2004; Volume 66, pp. 480–485. [Google Scholar] [CrossRef]
- Fu, Z.Y.; Wu, Z.J.; Zheng, J.H.; Qin, T.; Yang, Y.G.; Chen, M.H. The incidence of acute kidney injury following cardiac arrest and cardiopulmonary resuscitation in a rat model. Ren. Fail. 2019, 41, 278–283. [Google Scholar] [CrossRef] [PubMed]
- Bonavia, A.; Singbartl, K. A review of the role of immune cells in acute kidney injury. Pediatr. Nephrol. 2018, 33, 1629–1639. [Google Scholar] [CrossRef] [PubMed]
- Li, L.; Okusa, M.D. Macrophages, dendritic cells, and kidney ischemia-reperfusion injury. Semin. Nephrol. 2010, 30, 268–277. [Google Scholar] [CrossRef]
- Jang, H.R.; Rabb, H. The innate immune response in ischemic acute kidney injury. Clin. Immunol. 2009, 130, 41–50. [Google Scholar] [CrossRef]
- Nemoto, T.; Burne, M.J.; Daniels, F.; O’Donnell, M.P.; Crosson, J.; Berens, K.; Issekutz, A.; Kasiske, B.L.; Keane, W.F.; Rabb, H. Small molecule selectin ligand inhibition improves outcome in ischemic acute renal failure. Kidney Int. 2001, 60, 2205–2214. [Google Scholar] [CrossRef]
- Kelly, K.J.; Williams, W.W.; Colvin, R.B.; Meehan, S.M.; Springer, T.A.; Gutierrez-Ramos, J.C.; Bonventre, J.V. Intercellular adhesion molecule-1-deficient mice are protected against ischemic renal injury. J. Clin. Investig. 1996, 97, 1056–1063. [Google Scholar] [CrossRef]
- Burne-Taney, M.J.; Kofler, J.; Yokota, N.; Weisfeldt, M.; Traystman, R.J.; Rabb, H. Acute renal failure after whole body ischemia is characterized by inflammation and T cell-mediated injury. Am. J. Physiol. Physiol. 2003, 285, F87–F94. [Google Scholar] [CrossRef]
- Burne, M.J.; Daniels, F.; El Ghandour, A.; Mauiyyedi, S.; Colvin, R.B.; O’Donnell, M.P.; Rabb, H. Identification of the CD4+ T cell as a major pathogenic factor in ischemic acute renal failure. J. Clin. Investig. 2001, 108, 1283–1290. [Google Scholar] [CrossRef]
- De Greef, K.E.; Ysebaert, D.K.; Dauwe, S.; Persy, V.; Vercauteren, S.R.; Mey, D.; De Broe, M.E. Anti-B7-1 blocks mononuclear cell adherence in vasa recta after ischemia. Kidney Int. 2001, 60, 1415–1427. [Google Scholar] [CrossRef] [PubMed]
- Rabb, H.; Daniels, F.; O’Donnell, M.; Haq, M.; Saba, S.R.; Keane, W.; Tang, W.W. Pathophysiological role of T lymphocytes in renal ischemia-reperfusion injury in mice. Am. J. Physiol.-Ren. Physiol. 2000, 279, F525–F531. [Google Scholar] [CrossRef] [PubMed]
- Yokota, N.; Daniels, F.; Crosson, J.; Rabb, H. Protective effect of T cell depletion in murine renal ischemia-reperfusion injury. Transplantation 2002, 74, 759–763. [Google Scholar] [CrossRef] [PubMed]
- Bolignano, D.; Coppolino, G.; Romeo, A.; Lacquaniti, A.; Buemi, M. Neutrophil gelatinase-associated lipocalin levels in chronic haemodialysis patients. Nephrology 2010, 15, 23–26. [Google Scholar] [CrossRef] [PubMed]
- Coca, S.G.; Yusuf, B.; Shlipak, M.G.; Garg, A.X.; Parikh, C.R. Long-term Risk of Mortality and Other Adverse Outcomes After Acute Kidney Injury: A Systematic Review and Meta-analysis. Am. J. Kidney Dis. 2009, 53, 961–973. [Google Scholar] [CrossRef]
- Iwano, M.; Plieth, D.; Danoff, T.M.; Xue, C.; Okada, H.; Neilson, E.G. Evidence that fibroblasts derive from epithelium during tissue fibrosis. J. Clin. Investig. 2002, 110, 341–350. [Google Scholar] [CrossRef]
- Bechtel, W.; McGoohan, S.; Zeisberg, E.M.; Müller, G.A.; Kalbacher, H.; Salant, D.J.; Müller, C.A.; Kalluri, R.; Zeisberg, M. Methylation determines fibroblast activation and fibrogenesis in the kidney. Nat. Med. 2010, 16, 544–550. [Google Scholar] [CrossRef]
- Sandroni, C.; Dell’anna, A.M.; Tujjar, O.; Geri, G.; Cariou, A.; Taccone, F.S. Acute kidney injury after cardiac arrest: A systematic review and meta-analysis of clinical studies. Minerva Anestesiol. 2016, 82, 989–999. [Google Scholar]
- Jha, A.K.; Gairola, S.; Kundu, S.; Doye, P.; Syed, A.M.; Ram, C.; Murty, U.S.; Naidu, V.G.M.; Sahu, B.D. Toll-like receptor 4: An attractive therapeutic target for acute kidney injury. Life Sci. 2021, 271, 119155. [Google Scholar] [CrossRef]
- Zhao, L.; Tian, L.; Wang, S.; Yang, W.; Lu, X.; Zhu, C. Levosimendan in rats decreases acute kidney injury after cardiopulmonary resuscitation by improving mitochondrial dysfunction. Transl. Androl. Urol. 2021, 10, 3010–3020. [Google Scholar] [CrossRef]
- Kazamias, P.; Kotzampassi, K.; Koufogiannis, D.; Eleftheriadis, E. Influence of enteral nutrition-induced splanchnic hyperemia on the septic origin of splanchnic ischemia. World J. Surg. 1998, 22, 6–11. [Google Scholar] [CrossRef] [PubMed]
- Stavrou, G.; Arvanitidis, K.; Filidou, E.; Fotiadis, K.; Grosomanidis, V.; Ioannidis, A.; Tsaousi, G.; Michalopoulos, A.; Kolios, G.; Kotzampassi, K. Combined enteral and parenteral glutamine supplementation in endotoxemic swine: Effects on portal and systemic circulation levels. Med. Princ. Pract. 2019, 27, 570–578. [Google Scholar] [CrossRef] [PubMed]
- Soar, J.; Nolan, J.P.; Böttiger, B.W.; Perkins, G.D.; Lott, C.; Carli, P.; Pellis, T.; Sandroni, C.; Skrifvars, M.B.; Smith, G.B.; et al. European Resuscitation Council Guidelines for Resuscitation 2015: Section 3. Adult advanced life support. Resuscitation 2015, 95, 100–147. [Google Scholar] [CrossRef] [PubMed]
- Truhlář, A.; Deakin, C.D.; Soar, J.; Khalifa, G.E.A.; Alfonzo, A.; Bierens, J.J.; Brattebø, G.; Brugger, H.; Dunning, J.; Hunyadi-Antičević, S.; et al. European Resuscitation Council Guidelines for Resuscitation 2015: Section 4. Cardiac arrest in special circumstances. Resuscitation 2015, 95, 148–201. [Google Scholar] [CrossRef]
- Locatelli, F.; Zoccali, C.; SIR SIN Study Investigators. Clinical policies on the management of chronic kidney disease patients in Italy. Nephrol. Dial. Transplant. 2008, 23, 621–626. [Google Scholar] [CrossRef][Green Version]

















| Extent of Damage | ROSC% 1 (n = 10) | No ROSC% 1 (n = 14) |
|---|---|---|
| No damage detected | 20% (2) | 14% (2) |
| Mild damage detected | 50% (5) | 29% (4) |
| Moderate damage detected | 30% (3) | 36% (5) |
| Extensive damage | 0% (0) | 21% (3) |
Publisher’s Note: MDPI stays neutral with regard to jurisdictional claims in published maps and institutional affiliations. |
© 2022 by the authors. Licensee MDPI, Basel, Switzerland. This article is an open access article distributed under the terms and conditions of the Creative Commons Attribution (CC BY) license (https://creativecommons.org/licenses/by/4.0/).
Share and Cite
Tsivilika, M.; Kavvadas, D.; Karachrysafi, S.; Kotzampassi, K.; Grosomanidis, V.; Doumaki, E.; Meditskou, S.; Sioga, A.; Papamitsou, T. Renal Injuries after Cardiac Arrest: A Morphological Ultrastructural Study. Int. J. Mol. Sci. 2022, 23, 6147. https://doi.org/10.3390/ijms23116147
Tsivilika M, Kavvadas D, Karachrysafi S, Kotzampassi K, Grosomanidis V, Doumaki E, Meditskou S, Sioga A, Papamitsou T. Renal Injuries after Cardiac Arrest: A Morphological Ultrastructural Study. International Journal of Molecular Sciences. 2022; 23(11):6147. https://doi.org/10.3390/ijms23116147
Chicago/Turabian StyleTsivilika, Maria, Dimitrios Kavvadas, Sofia Karachrysafi, Katerina Kotzampassi, Vasilis Grosomanidis, Eleni Doumaki, Soultana Meditskou, Antonia Sioga, and Theodora Papamitsou. 2022. "Renal Injuries after Cardiac Arrest: A Morphological Ultrastructural Study" International Journal of Molecular Sciences 23, no. 11: 6147. https://doi.org/10.3390/ijms23116147
APA StyleTsivilika, M., Kavvadas, D., Karachrysafi, S., Kotzampassi, K., Grosomanidis, V., Doumaki, E., Meditskou, S., Sioga, A., & Papamitsou, T. (2022). Renal Injuries after Cardiac Arrest: A Morphological Ultrastructural Study. International Journal of Molecular Sciences, 23(11), 6147. https://doi.org/10.3390/ijms23116147

