Neutrophils Mediate Pulmonary Artery Thrombosis In Situ
Abstract
:1. Introduction
2. Results
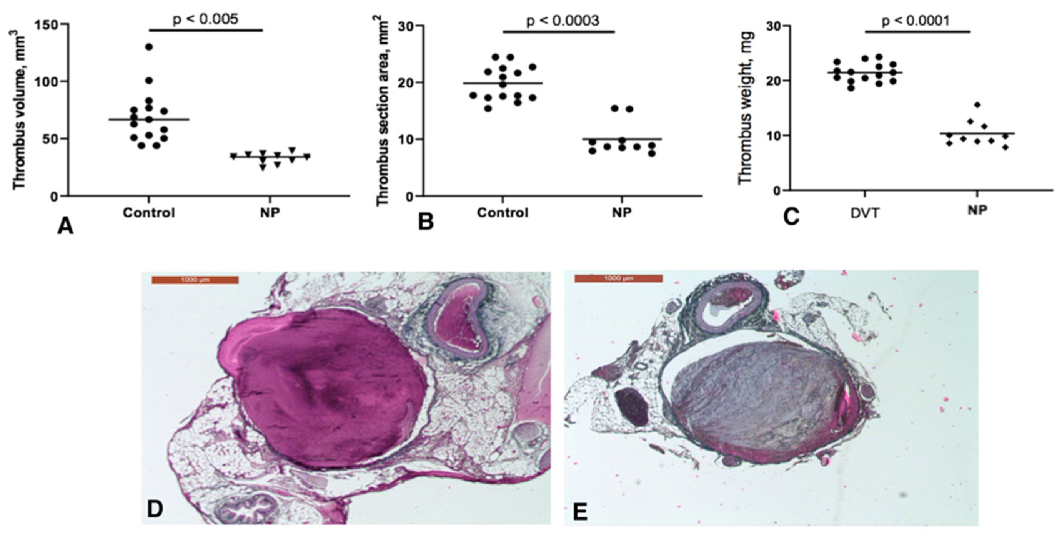
2.1. Neutropenia Induces Formation of Smaller IVC Thrombi
2.2. Neutrophil Depletion Accelerates Fibrin Organization in the IVC Thrombus
2.3. Neutrophil Depletion Prevents Pulmonary Thrombosis
3. Discussion
4. Materials and Methods
4.1. DVT Surgery
4.2. Induction of Neutropenia
4.3. Histology
4.4. Statistics
Supplementary Materials
Author Contributions
Funding
Institutional Review Board Statement
Informed Consent Statement
Data Availability Statement
Acknowledgments
Conflicts of Interest
References
- Tadlock, M.; Chouliaras, K.; Kennedy, M.; Talving, P.; Okoye, O.; Aksoy, H.; Karamanos, E.; Zheng, L.; Grabo, D.J.; Rogers, K.; et al. The origin of fatal pulmonary emboli: A postmortem analysis of 500 deaths from pulmonary embolism in trauma, surgical, and medical patients. Am. J. Surg. 2015, 209, 959–968. [Google Scholar] [CrossRef]
- Chernysh, I.; Nagaswami, C.; Kosolapova, S.; Peshkova, A.; Cuker, A.; Cines, D.; Carolyn, L.C.; Litvinov, R.I.; Weisel, J.W. The distinctive structure and composition of arterial and venous thrombi and pulmonary emboli. Sci. Rep. 2020, 10, 5112. [Google Scholar] [CrossRef] [Green Version]
- Porembskaya, O.; Toropova, Y.; Tomson, V.; Lobastov, K.; Laberko, L.; Kravchuk, V.; Saiganov, S.A.; Brill, A. Pulmonary Artery Thrombosis: A Diagnosis That Strives for Its Independence. Int. J. Mol. Sci. 2020, 21, 5086. [Google Scholar] [CrossRef]
- Brill, A.; Fuchs, T.; Chauhan, A.; Yang, J.; De Meyer, S.; Köllnberger, M.; Wakefield, T.W.; Lammle, D.; Massberg, S.; Wagner, D.D. von Willebrand factor–mediated platelet adhesion is critical for deep vein thrombosis in mouse models. Blood 2011, 117, 1400–1407. [Google Scholar] [CrossRef] [Green Version]
- Von Brühl, M.; Stark, K.; Steinhart, A.; Chandraratne, S.; Konrad, I.; Lorenz, M.; Khandoga, A.; Tirniceriu, A.; Coletti, R.; Köllnberger, M.; et al. Monocytes, neutrophils, and platelets cooperate to initiate and propagate venous thrombosis in mice in vivo. J. Exp. Med. 2012, 209, 819–835. [Google Scholar] [CrossRef]
- Wygrecka, M.; Kosanovic, D.; Wujak, L.; Reppe, K.; Henneke, I.; Frey, H.; Didasova, M.; Kwapiszewska, L.; Marsh, L.; Baal, H.; et al. Antihistone Properties of C1 Esterase Inhibitor Protect against Lung Injury. Am. J. Respir. Crit. Care Med. 2017, 196, 186–199. [Google Scholar] [CrossRef]
- Vogel, S.; Bodenstein, R.; Chen, Q.; Feil, S.; Feil, R.; Rheinlaender, J.; Schäffer, T.E.; Bohn, E.; Frick, J.-S.; Borst, O.; et al. Platelet-derived HMGB1 is a critical mediator of thrombosis. J. Clin. Investig. 2015, 125, 4638–4654. [Google Scholar] [CrossRef] [Green Version]
- Stark, K.; Philippi, V.; Stockhausen, S.; Busse, J.; Antonelli, A.; Miller, M.; Schubert, I.; Hoseinpour, P.; Chandraratne, V.; von Brühl, M.; et al. Disulfide HMGB1 derived from platelets coordinates venous thrombosis in mice. Blood 2016, 128, 2435–2449. [Google Scholar] [CrossRef]
- Fiuza, C.; Bustin, M.; Talwar, S.; Tropea, M.; Gerstenberger, E.; Shelhamer, J.; Suffredini, A. Inflammation-promoting activity of HMGB1 on human microvascular endothelial cells. Blood 2003, 101, 2652–2660. [Google Scholar] [CrossRef]
- Xu, J.; Zhang, X.; Pelayo, R.; Monestier, M.; Ammollo, C.; Semeraro, F.; Taylor, F.B.; Esmon, N.L.; Lupu, F.; Esmon, C.T. Extracellular histones are major mediators of death in sepsis. Nat. Med. 2009, 15, 1318–1321. [Google Scholar] [CrossRef] [Green Version]
- Wang, M.; Hao, H.; Leeper, N.; Zhu, L.; Early Career Committee. Thrombotic Regulation from the Endothelial Cell Perspectives. Arterioscler. Thromb. Vasc. Biol. 2018, 38, e90–e95. [Google Scholar] [CrossRef] [PubMed] [Green Version]
- Pottier, P.; Planchon, B.; Truchaud, F.; Leftheriotis, G.; Herbert, J.; Bressolette, L.; Trewick, D.; Passuti, N. Development of an experimental model of pre-thrombosis in rats based on Wessler’s principle using a calibrated venous stasis. Blood Coagul. Fibrinolysis 2003, 14, 3–9. [Google Scholar] [CrossRef] [PubMed]
- Diaz, J.; Saha, P.; Cooley, B.; Palmer, O.; Grover, S.; Mackman, N.; Wakefield, T.W.; Henke, P.K.; Smith, A.; Lal, B.K. Choosing a Mouse Model of Venous Thrombosis. Arterioscler. Thromb. Vasc. Biol. 2019, 39, 311–318. [Google Scholar] [CrossRef] [PubMed]
- Palmer, O.; Braybrooks, G.; Cao, A.; Diaz, J.; Greve, J. Collateral vein dynamics in mouse models of venous thrombosis: Pathways consistent with humans. Thromb. Res. 2019, 182, 116–123. [Google Scholar] [CrossRef]
- Konstantinides, S.; Schäfer, K.; Neels, J.; Dellas, C.; Loskutoff, D. Inhibition of Endogenous Leptin Protects Mice from Arterial and Venous Thrombosis. Arterioscler. Thromb. Vasc. Biol. 2004, 24, 2196–2201. [Google Scholar] [CrossRef] [Green Version]
- Huang, J.; Wang, S.; Luo, X.; Xie, Y.; Shi, X. Cinnamaldehyde reduction of platelet aggregation and thrombosis in rodents. Thromb. Res. 2007, 119, 337–342. [Google Scholar] [CrossRef]
- Cao, Y.; Geng, C.; Li, Y.; Zhang, Y. In situ Pulmonary Artery Thrombosis: A Previously Overlooked Disease. Front. Pharmacol. 2021, 12, 671589. [Google Scholar] [CrossRef]
- Dole, V.; Bergmeier, W.; Mitchell, H.; Eichenberger, S.; Wagner, D. Activated platelets induce Weibel-Palade–body secretion and leukocyte rolling in vivo: Role of P-selectin. Blood 2005, 106, 2334–2339. [Google Scholar] [CrossRef] [Green Version]
- Weiss, E.; Hamilton, J.; Lease, K.; Coughlin, S. Protection against thrombosis in mice lacking PAR3. Blood 2002, 100, 3240–3244. [Google Scholar] [CrossRef] [Green Version]
- Dyer, M.; Chen, Q.; Haldeman, S.; Yazdani, H.; Hoffman, R.; Loughran, P.; Tsung, A.; Zuckerbraun, B.S.; Simmons, R.L.; Neal, M.D. Deep vein thrombosis in mice is regulated by platelet HMGB1 through release of neutrophil-extracellular traps and DNA. Sci. Rep. 2018, 8, 2068. [Google Scholar] [CrossRef] [Green Version]
- Baptista de Barros Ribeiro Dourado, L.; Santos, M.; Moreira-Gonçalves, D. Nets, pulmonary arterial hypertension, and thrombo-inflammation. J. Mol. Med. 2022, 100, 713–722. [Google Scholar] [CrossRef] [PubMed]
- Nicolai, L.; Leunig, A.; Brambs, S.; Kaiser, R.; Weinberger, T.; Weigand, M.; Muenchhoff, M.; Hellmuth, J.C.; Ledderose, S.; Schulz, H.; et al. Immunothrombotic Dysregulation in COVID-19 Pneumonia Is Associated with Respiratory Failure and Coagulopathy. Circulation 2020, 142, 1176–1189. [Google Scholar] [CrossRef] [PubMed]
- Savchenko, A.; Martinod, K.; Seidman, M.; Wong, S.; Borissoff, J.; Piazza, G.; Libby, P.; Goldhaber, S.Z.; Mitchell, R.N.; Wagner, D.D. Neutrophil extracellular traps form predominantly during the organizing stage of human venous thromboembolism development. J. Thromb. Haemost. 2014, 12, 860–870. [Google Scholar] [CrossRef] [PubMed] [Green Version]
- Abrams, S.; Zhang, N.; Manson, J.; Liu, T.; Dart, C.; Baluwa, F.; Wang, S.S.; Brohi, K.; Kipar, A.; Yu, W.; et al. Circulating Histones Are Mediators of Trauma-associated Lung Injury. Am. J. Respir. Crit. Care Med. 2013, 187, 160–169. [Google Scholar] [CrossRef] [PubMed] [Green Version]
- Sharma, S.; Hofbauer, T.; Ondracek, A.; Chausheva, S.; Alimohammadi, A.; Artner, T.; Panzenboeck, A.; Rinderer, J.; Shafran, I.; Mangold, A.; et al. Neutrophil extracellular traps promote fibrous vascular occlusions in chronic thrombosis. Blood 2021, 137, 1104–1116. [Google Scholar] [CrossRef] [PubMed]
- Goel, M.; Diamond, S. Neutrophil Enhancement of Fibrin Deposition Under Flow Through Platelet-Dependent and -Independent Mechanisms. Arterioscler. Thromb. Vasc. Biol. 2001, 21, 2093–2098. [Google Scholar] [CrossRef] [PubMed] [Green Version]
- Abu-Fanne, R.; Stepanova, V.; Litvinov, R.; Abdeen, S.; Bdeir, K.; Higazi, M.; Maraga, E.; Nagaswami, C.; Mukhitov, A.R.; Weisel, J.W. Neutrophil α-defensins promote thrombosis in vivo by altering fibrin formation, structure, and stability. Blood 2011, 133, 481–493. [Google Scholar] [CrossRef] [Green Version]
- Silva, L.; Doyle, A.; Greenwell-Wild, T.; Dutzan, N.; Tran, C.; Juang, L.J.; Leung, J.; Chun, E.M.; Lum, A.G.; Abusleme, L.; et al. Fibrin is a critical regulator of neutrophil effector function at the oral mucosal barrier. Science 2021, 374, eabl5450. [Google Scholar] [CrossRef]
- Campos, J.; Ponomaryov, T.; De Prendergast, A.; Whitworth, K.; Smith, C.; Khan, A.; Kavanagh, D.; Brill, A. Neutrophil extracellular traps and inflammasomes cooperatively promote venous thrombosis in mice. Blood Adv. 2021, 5, 2319–2324. [Google Scholar] [CrossRef]
- Bagoly, Z.; Katona, É.; Muszbek, L. Factor XIII and inflammatory cells. Thromb. Res. 2012, 129, S77–S81. [Google Scholar] [CrossRef] [Green Version]
- Aleman, M.; Byrnes, J.; Wang, J.; Tran, R.; Lam, W.; Di Paola, J.; Mackman, N.; Degen, J.L.; Flick, M.J.; Wolberg, F.A. Factor XIII activity mediates red blood cell retention in venous thrombi. J. Clin. Investig. 2014, 124, 3590–3600. [Google Scholar] [CrossRef] [PubMed] [Green Version]
- Kattula, S.; Sang, Y.; Ridder, G.; Silver, A.; Bouck, E.; Cooley, B.; Wolberg, A. Novel venous thromboembolism mouse model to evaluate the role of complete and partial factor XIII deficiency in pulmonary embolism risk. J. Thromb. Haemost. 2021, 19, 2997–3007. [Google Scholar] [CrossRef] [PubMed]
- Kattula, S.; Byrnes, J.; Martin, S.; Holle, L.; Cooley, B.; Flick, M.; Wolberg, A. Factor XIII in plasma, but not in platelets, mediates red blood cell retention in clots and venous thrombus size in mice. Blood Adv. 2018, 2, 25–35. [Google Scholar] [CrossRef] [PubMed] [Green Version]
- Gemmati, D.; Zeri, G.; Orioli, E.; Mari, R.; Moratelli, S.; Vigliano, M.; Marchesini, J.; Grossi, M.E.; Pecoraro, A.; Cuneo, A.; et al. Factor XIII-A dynamics in acute myocardial infarction: A novel prognostic biomarker? Thromb. Haemost. 2015, 114, 123–132. [Google Scholar] [CrossRef] [Green Version]
- Varma, M.; Varga, A.; Knipp, B.; Sukheepod, P.; Upchurch, G.; Kunkel, S.; Wakefield, T.W.; Henke, P.K. Neutropenia impairs venous thrombosis resolution in the rat. J. Vasc. Surg. 2003, 38, 1090–1098. [Google Scholar] [CrossRef] [Green Version]
- Moir, E.; Booth, N.; Bennett, B.; Robbie, L. Polymorphonuclear leucocytes mediate endogenous thrombus lysis via a u-PA-dependent mechanism. Br. J. Haematol. 2001, 113, 72–80. [Google Scholar] [CrossRef]
- Zamboni, P.; De Mattei, M.; Ongaro, A.; Fogato, L.; Carandina, S.; De Palma, M.; Tognazzo, S.; Scapoli, G.L.; Serino, M.L.; Caruso, A.; et al. Factor XIII Contrasts the Effects of Metalloproteinases in Human Dermal Fibroblast Cultured Cells. Vasc. Endovasc. Surg. 2004, 38, 431–438. [Google Scholar] [CrossRef]
- Regal, J.; Lillegard, K.; Bauer, A.; Elmquist, B.; Loeks-Johnson, A.; Gilbert, J. Neutrophil Depletion Attenuates Placental Ischemia-Induced Hypertension in the Rat. PLoS ONE 2015, 10, e0132063. [Google Scholar] [CrossRef] [Green Version]
- Schneider, C.; Rasband, W.; Eliceiri, K. NIH Image to ImageJ: 25 years of image analysis. Nat. Methods 2012, 9, 671–675. [Google Scholar] [CrossRef]



Publisher’s Note: MDPI stays neutral with regard to jurisdictional claims in published maps and institutional affiliations. |
© 2022 by the authors. Licensee MDPI, Basel, Switzerland. This article is an open access article distributed under the terms and conditions of the Creative Commons Attribution (CC BY) license (https://creativecommons.org/licenses/by/4.0/).
Share and Cite
Porembskaya, O.; Zinserling, V.; Tomson, V.; Toropova, Y.; Starikova, E.A.; Maslei, V.V.; Bulavinova, N.I.; Kirik, O.V.; Syrtsova, M.A.; Laberko, L.; et al. Neutrophils Mediate Pulmonary Artery Thrombosis In Situ. Int. J. Mol. Sci. 2022, 23, 5829. https://doi.org/10.3390/ijms23105829
Porembskaya O, Zinserling V, Tomson V, Toropova Y, Starikova EA, Maslei VV, Bulavinova NI, Kirik OV, Syrtsova MA, Laberko L, et al. Neutrophils Mediate Pulmonary Artery Thrombosis In Situ. International Journal of Molecular Sciences. 2022; 23(10):5829. https://doi.org/10.3390/ijms23105829
Chicago/Turabian StylePorembskaya, Olga, Vsevolod Zinserling, Vladimir Tomson, Yana Toropova, Eleonora A. Starikova, Vitaliy V. Maslei, Nika I. Bulavinova, Olga V. Kirik, Marina A. Syrtsova, Leonid Laberko, and et al. 2022. "Neutrophils Mediate Pulmonary Artery Thrombosis In Situ" International Journal of Molecular Sciences 23, no. 10: 5829. https://doi.org/10.3390/ijms23105829
APA StylePorembskaya, O., Zinserling, V., Tomson, V., Toropova, Y., Starikova, E. A., Maslei, V. V., Bulavinova, N. I., Kirik, O. V., Syrtsova, M. A., Laberko, L., Galchenko, M. I., Kravchuk, V., Saiganov, S., & Brill, A. (2022). Neutrophils Mediate Pulmonary Artery Thrombosis In Situ. International Journal of Molecular Sciences, 23(10), 5829. https://doi.org/10.3390/ijms23105829

