Reversal of Right Ventricular Hypertrophy and Dysfunction by Prostacyclin in a Rat Model of Severe Pulmonary Arterial Hypertension
Abstract
1. Introduction
2. Results
2.1. Treprostinil Ameliorates Pulmonary Arterial and Right Ventricular Dysfunction Mediated by Sugen-Chronic Hypoxia
2.2. Beneficial Effect of Treprostinil on the Right Ventricle May Be Independent of Mitochondrial Functional Changes in SuCH Rats
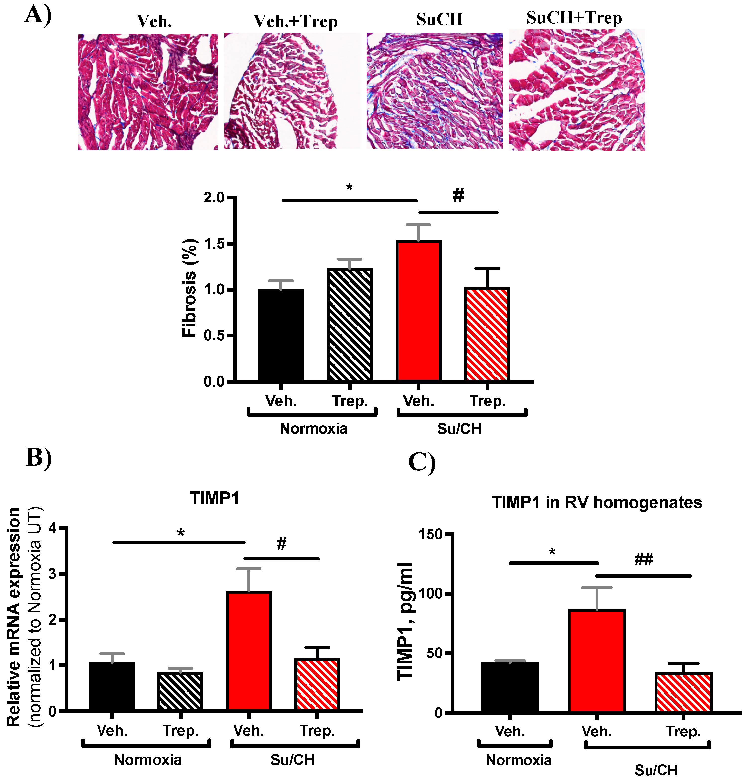
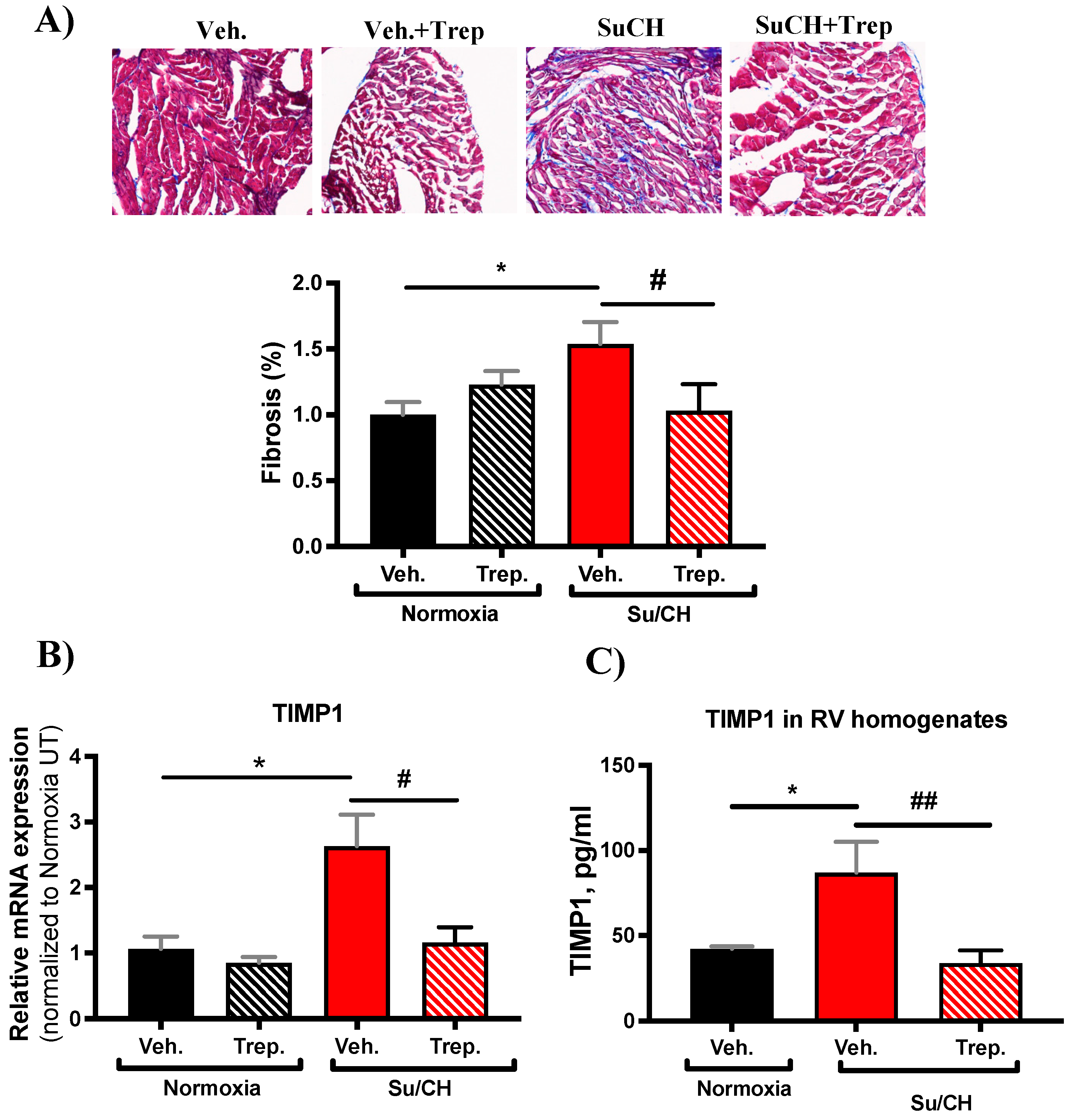
2.3. SuCH-Activated Fibrotic Pathways in the Right Ventricle Are Attenuated by Treprostinil
3. Discussion
4. Materials and Methods
4.1. Animals
4.2. Tissue
4.3. Mitochondria Isolation and Function
4.4. ELISA Protein Analysis
4.5. mRNA Analysis
4.6. RNA Array
4.7. qPCR
4.8. Histological Analysis
4.9. Statistics
Supplementary Materials
Author Contributions
Funding
Institutional Review Board Statement
Informed Consent Statement
Data Availability Statement
Acknowledgments
Conflicts of Interest
References
- Tonelli, A.; Arelli, V.; Minai, O.A.; Newman, J.; Bair, N.; Heresi, G.A.; Dweik, R.A. Causes and Circumstances of Death in Pulmonary Arterial Hypertension. Am. J. Respir. Crit. Care Med. 2013, 188, 365–369. [Google Scholar] [CrossRef] [PubMed]
- Olschewski, H.; Hoeper, M.; Behr, J.; Ewert, R.; Meyer, A.; Borst, M.M.; Winkler, J.; Pfeifer, M.; Wilkens, H.; Ghofrani, A.; et al. Long-term therapy with inhaled iloprost in patients with pulmonary hypertension. Respir. Med. 2010, 104, 731–740. [Google Scholar] [CrossRef] [PubMed]
- Pogoriler, J.E.; Rich, S.; Archer, S.L.; Husain, A.N. Persistence of complex vascular lesions despite prolonged prostacyclin therapy of pulmonary arterial hypertension. Histopathology 2012, 61, 597–609. [Google Scholar] [CrossRef] [PubMed]
- Rex, S.; Missant, C.; Claus, P.; Buhre, W.; Wouters, P.F. Effects of inhaled iloprost on right ventricular contractility, right ventriculo-vascular coupling and ventricular interdependence: A randomized placebo-controlled trial in an experimental model of acute pulmonary hypertension. Crit. Care 2008, 12, R113. [Google Scholar] [CrossRef]
- Montalescot, G.; Drobinski, G.; Meurin, P.; Maclouf, J.; Sotirov, I.; Philippe, F.; Choussat, R.; Morin, E.; Thomas, D. Effects of prostacyclin on the pulmonary vascular tone and cardiac contractility of patients with pulmonary hypertension secondary to end-stage heart failure. Am. J. Cardiol. 1998, 82, 749–755. [Google Scholar] [CrossRef]
- Kisch-Wedel, H.; Kemming, G.; Meisner, F.; Flondor, M.; Kuebler, W.M.; Bruhn, S.; Koehler, C.; Zwissler, B. The prostaglandins epoprostenol and iloprost increase left ventricular contractility in vivo. Intensive Care Med. 2003, 29, 1574–1583. [Google Scholar] [CrossRef]
- Vanderpool, R.R.; Desai, A.A.; Knapp, S.M.; Simon, M.A.; Abidov, A.; Yuan, J.X.-J.; Garcia, J.G.; Hansen, L.M.; Knoper, S.R.; Naeije, R.; et al. How prostacyclin therapy improves right ventricular function in pulmonary arterial hypertension. Eur. Respir. J. 2017, 50, 1700764. [Google Scholar] [CrossRef]
- Zeineh, N.S.; Bachman, T.N.; El-Haddad, H.; Champion, H.C. Effects of Acute Intravenous Iloprost on Right Ventricular Hemodynamics in Rats with Chronic Pulmonary Hypertension. Pulm. Circ. 2014, 4, 612–618. [Google Scholar] [CrossRef]
- Bogaard, H.J.; Natarajan, R.; Henderson, S.; Long, C.; Kraskauskas, D.; Smithson, L.; Ockaili, R.; Mccord, J.M.; Voelkel, N.F. Chronic Pulmonary Artery Pressure Elevation Is Insufficient to Explain Right Heart Failure. Circulation 2009, 120, 1951–1960. [Google Scholar] [CrossRef]
- Faber, M.J.; Dalinghaus, M.; Lankhuizen, I.M.; Steendijk, P.; Hop, W.C.; Schoemaker, R.G.; Duncker, D.J.; Lamers, J.M.J.; Helbing, W.A. Right and left ventricular function after chronic pulmonary artery banding in rats assessed with biventricular pressure-volume loops. Am. J. Physiol. Circ. Physiol. 2006, 291, H1580–H1586. [Google Scholar] [CrossRef]
- Taraseviciene-Stewart, L.; Kasahara, Y.; Alger, L.; Hirth, P.; MC Mahon, G.; Waltenberger, J.; Voelkel, N.F.; Tuder, R.M. Inhibition of the VEGF receptor 2 combined with chronic hypoxia causes cell death-dependent pulmonary endothelial cell proliferation and severe pulmonary hypertension. FASEB J. 2001, 15, 427–438. [Google Scholar] [CrossRef] [PubMed]
- Balestra, G.M.; Mik, E.G.; Eerbeek, O.; Specht, P.A.C.; van der Laarse, W.J.; Zuurbier, C.J. Increased in vivo mitochondrial oxygenation with right ventricular failure induced by pulmonary arterial hypertension: Mitochondrial inhibition as driver of cardiac failure? Respir. Res. 2015, 16, 6. [Google Scholar] [CrossRef] [PubMed][Green Version]
- Piao, L.; Fang, Y.-H.; Parikh, K.; Ryan, J.J.; Toth, P.T.; Archer, S.L. Cardiac glutaminolysis: A maladaptive cancer metabolism pathway in the right ventricle in pulmonary hypertension. J. Mol. Med. 2013, 91, 1185–1197. [Google Scholar] [CrossRef] [PubMed]
- Liang, S.; Yegambaram, M.; Wang, T.; Wang, J.; Black, S.M.; Tang, H. Mitochondrial Metabolism, Redox, and Calcium Homeostasis in Pulmonary Arterial Hypertension. Biomedicines 2022, 10, 341. [Google Scholar] [CrossRef]
- Shinmura, K.; Tamaki, K.; Sato, T.; Ishida, H.; Bolli, R. Prostacyclin attenuates oxidative damage of myocytes by opening mitochondrial ATP-sensitive K+ channels via the EP3 receptor. Am. J. Physiol. Circ. Physiol. 2005, 288, H2093–H2101. [Google Scholar] [CrossRef]
- Andersen, S.; Nielsen-Kudsk, J.E.; Noordegraaf, A.V.; De Man, F.S. Right Ventricular Fibrosis. Circulation 2019, 139, 269–285. [Google Scholar] [CrossRef]
- Gomez-Arroyo, J.; Sakagami, M.; Syed, A.A.; Farkas, L.; Van Tassell, B.; Kraskauskas, D.; Mizuno, S.; Abbate, A.; Bogaard, H.J.; Byron, P.R.; et al. Iloprost reverses established fibrosis in experimental right ventricular failure. Eur. Respir. J. 2015, 45, 449–462. [Google Scholar] [CrossRef]
- Shen, T.; Aneas, I.; Sakabe, N.; Dirschinger, R.J.; Wang, G.; Smemo, S.; Westlund, J.M.; Cheng, H.; Dalton, N.; Gu, Y.; et al. Tbx20 regulates a genetic program essential to adult mouse cardiomyocyte function. J. Clin. Investig. 2011, 121, 4640–4654. [Google Scholar] [CrossRef]
- Janicki, J.S.; Brower, G.L.; Gardner, J.D.; Chancey, A.L.; Stewart, J.J.A. The Dynamic Interaction Between Matrix Metalloproteinase Activity and Adverse Myocardial Remodeling. Heart Fail. Rev. 2004, 9, 33–42. [Google Scholar] [CrossRef]
- Takawale, A.; Zhang, P.; Patel, V.B.; Wang, X.; Oudit, G.; Kassiri, Z. Tissue Inhibitor of Matrix Metalloproteinase-1 Promotes Myocardial Fibrosis by Mediating CD63-Integrin β1 Interaction. Hypertension 2017, 69, 1092–1103. [Google Scholar] [CrossRef]
- Safdar, Z.; Tamez, E.; Chan, W.; Arya, B.; Ge, Y.; Deswal, A.; Bozkurt, B.; Frost, A.; Entman, M. Circulating Collagen Biomarkers as Indicators of Disease Severity in Pulmonary Arterial Hypertension. JACC Heart Fail. 2014, 2, 412–421. [Google Scholar] [CrossRef] [PubMed]
- Williams, S.; Cooke, G.; Wright, D.; Parsons, W.; Riley, R.; Marshall, P.; Tan, L.-B. Peak exercise cardiac power output; a direct indicator of cardiac function strongly predictive of prognosis in chronic heart failure. Eur. Heart J. 2001, 22, 1496–1503. [Google Scholar] [CrossRef] [PubMed]
- Yildiz, O.; Yenigun, C.D. Prognostic Value of Right Ventricular Cardiac Power Output at Rest in Patients with Advanced Heart Failure. Acta Cardiol. Sin. 2021, 37, 404–411. [Google Scholar] [CrossRef] [PubMed]
- Rex, S.; Missant, C.; Segers, P.; Rossaint, R.; Wouters, P.F. Epoprostenol treatment of acute pulmonary hypertension is associated with a paradoxical decrease in right ventricular contractility. Intensive Care Med. 2008, 34, 179–189. [Google Scholar] [CrossRef]
- Kerbaul, F.; Brimioulle, S.; Rondelet, B.; Dewachter, C.; Hubloue, I.; Naeije, R. How Prostacyclin Improves Cardiac Output in Right Heart Failure in Conjunction with Pulmonary Hypertension. Am. J. Respir. Crit. Care Med. 2007, 175, 846–850. [Google Scholar] [CrossRef]
- Gudausky, T.M.; Beekman, R.H., 3rd. Current options, and long-term results for interventional treatment of pulmonary valvar stenosis. Cardiol. Young 2006, 16, 418–427. [Google Scholar] [CrossRef]
- Morioka-Fujimoto, K.; Marumoto, R.; Fukuda, T. Modified enterotoxin signal sequences increase secretion level of the recombinant human epidermal growth factor in Escherichia coli. J. Biol. Chem. 1991, 266, 1728–1732. [Google Scholar] [CrossRef]
- Gomez-Arroyo, J.; Mizuno, S.; Szczepanek, K.; Van Tassell, B.; Natarajan, R.; dos Remedios, C.G.; Drake, J.I.; Farkas, L.; Kraskauskas, D.; Wijesinghe, D.S.; et al. Metabolic Gene Remodeling and Mitochondrial Dysfunction in Failing Right Ventricular Hypertrophy Secondary to Pulmonary Arterial Hypertension. Circ. Heart Fail. 2013, 6, 136–144. [Google Scholar] [CrossRef]
- Chakraborty, S.; Sengupta, A.; Yutzey, K.E. Tbx20 promotes cardiomyocyte proliferation and persistence of fetal characteristics in adult mouse hearts. J. Mol. Cell. Cardiol. 2013, 62, 203–213. [Google Scholar] [CrossRef]
- Kirk, E.P.; Sunde, M.; Costa, M.; Rankin, S.A.; Wolstein, O.; Castro, M.L.; Butler, T.L.; Hyun, C.; Guo, G.; Otway, R.; et al. Mutations in Cardiac T-Box Factor Gene TBX20 Are Associated with Diverse Cardiac Pathologies, Including Defects of Septation and Valvulogenesis and Cardiomyopathy. Am. J. Hum. Genet. 2007, 81, 280–291. [Google Scholar] [CrossRef]
- Liu, P.; Sun, Y.; Qiu, G.; Jiang, H.; Qiu, G. Silencing of TBX20 gene expression in rat myocardial and human embryonic kidney cells leads to cell cycle arrest in G2 phase. Mol. Med. Rep. 2016, 14, 2904–2914. [Google Scholar] [CrossRef] [PubMed]
- Furtado, M.B.; Costa, M.; Pranoto, E.A.; Salimova, E.; Pinto, A.R.; Lam, N.; Park, A.; Snider, P.; Chandran, A.; Harvey, R.; et al. Cardiogenic Genes Expressed in Cardiac Fibroblasts Contribute to Heart Development and Repair. Circ. Res. 2014, 114, 1422–1434. [Google Scholar] [CrossRef] [PubMed]
- Baicu, C.F.; Stroud, J.D.; Livesay, V.A.; Hapke, E.; Holder, J.; Spinale, F.G.; Zile, M. Changes in extracellular collagen matrix alter myocardial systolic performance. Am. J. Physiol. Circ. Physiol. 2003, 284, H122–H132. [Google Scholar] [CrossRef] [PubMed]
- Kusakari, Y.; Urashima, T.; Shimura, D.; Amemiya, E.; Miyasaka, G.; Yokota, S.; Fujimoto, Y.; Akaike, T.; Inoue, T.; Minamisawa, S. Impairment of Excitation-Contraction Coupling in Right Ventricular Hypertrophied Muscle with Fibrosis Induced by Pulmonary Artery Banding. PLoS ONE 2017, 12, e0169564. [Google Scholar] [CrossRef]
- Conrad, C.H.; Brooks, W.W.; Hayes, J.A.; Sen, S.; Robinson, K.G.; Bing, O.H.L. Myocardial Fibrosis and Stiffness With Hypertrophy and Heart Failure in the Spontaneously Hypertensive Rat. Circulation 1995, 91, 161–170. [Google Scholar] [CrossRef] [PubMed]
- Andersen, S.; Birkmose Axelsen, J.; Ringgaard, S.; Randel Nyengaard, J.; Holm Nielsen, S.; Genovese, F.; Asser Karsdal, M.; Adler Hyldebrandt, J.; Brandt Sørensen, C.; de Man, F.S.; et al. Pressure overload induced right ventricular remodeling is not attenuated by the anti-fibrotic agent pirfenidone. Pulm. Circ. 2019, 9, 2045894019848659. [Google Scholar] [CrossRef]
- Boehm, M.; Arnold, N.; Braithwaite, A.; Pickworth, J.; Lu, C.; Novoyatleva, T.; Kiely, D.G.; Grimminger, F.; Ghofrani, H.A.; Weissmann, N.; et al. Eplerenone attenuates pathological pulmonary vascular rather than right ventricular remodeling in pulmonary arterial hypertension. BMC Pulm. Med. 2018, 18, 41. [Google Scholar] [CrossRef]
- López, B.; Gonzalez, A.; Querejeta, R.; Larman, M.; Díez, J. Alterations in the Pattern of Collagen Deposition May Contribute to the Deterioration of Systolic Function in Hypertensive Patients With Heart Failure. J. Am. Coll. Cardiol. 2006, 48, 89–96. [Google Scholar] [CrossRef]
- Sharifi-Sanjani, M.; Shoushtari, A.H.; Quiroz, M.; Baust, J.; Sestito, S.F.; Mosher, M.; Ross, M.; McTiernan, C.F.; St Croix, C.M.; Bilonick, R.A.; et al. Cardiac CD47 drives left ventricular heart failure through Ca2+-CaMKII-regulated induction of HDAC3. J. Am. Heart Assoc. 2014, 3, e000670. [Google Scholar] [CrossRef]
- Rose, J.J.; Bocian, K.A.; Xu, Q.; Wang, L.; DeMartino, A.W.; Chen, X.; Corey, C.G.; Guimarães, D.A.; Azarov, I.; Huang, X.N.; et al. A neuroglobin-based high-affinity ligand trap reverses carbon monoxide–induced mitochondrial poisoning. J. Biol. Chem. 2020, 295, 6357–6371. [Google Scholar] [CrossRef]
- Sharifi-Sanjani, M.; Oyster, N.M.; Tichy, E.D.; Bedi, K.C., Jr.; Harel, O.; Margulies, K.B.; Mourkioti, F. Cardiomyocyte-Specific Telomere Shortening is a Distinct Signature of Heart Failure in Humans. J. Am. Heart Assoc. 2017, 6, e005086. [Google Scholar] [CrossRef] [PubMed]







| Gene | Signaling and Function |
|---|---|
| Aqp4 | Ion channel/hypertrophy |
| Ctnnb1 | Transcription factor |
| Bcl2l1 | Apoptosis |
| Casp6 | Apoptosis |
| Eif4ebp1 | Translation repressor |
| Zeb1 | Transcription factor |
| Col1a1 | Fibrosis |
| Col1a2 | Fibrosis |
| Col3a1 | Fibrosis |
| Esr1 | Sex hormone receptor |
| Akt1 | Fibrosis |
| IL13ra2 | Inflammation |
| IL4 | Inflammation |
| Rhoa | Signal transduction |
| Tbx20 | Transcription factor/Fibrosis |
| Tgfb1 | Fibrosis |
| Tgfb2 | Fibrosis |
| Tgfbr2 | Fibrosis |
| Colg4a1 | Fibrosis |
| Tle4 | Transcription repressor |
| Txn1 | Redox/Transcription |
| Ywhaz | Yap signaling |
Publisher’s Note: MDPI stays neutral with regard to jurisdictional claims in published maps and institutional affiliations. |
© 2022 by the authors. Licensee MDPI, Basel, Switzerland. This article is an open access article distributed under the terms and conditions of the Creative Commons Attribution (CC BY) license (https://creativecommons.org/licenses/by/4.0/).
Share and Cite
Vanderpool, R.R.; Gorelova, A.; Ma, Y.; Alhamaydeh, M.; Baust, J.; Shiva, S.; Tofovic, S.P.; Hu, J.; Nouraie, S.M.; Gladwin, M.T.; et al. Reversal of Right Ventricular Hypertrophy and Dysfunction by Prostacyclin in a Rat Model of Severe Pulmonary Arterial Hypertension. Int. J. Mol. Sci. 2022, 23, 5426. https://doi.org/10.3390/ijms23105426
Vanderpool RR, Gorelova A, Ma Y, Alhamaydeh M, Baust J, Shiva S, Tofovic SP, Hu J, Nouraie SM, Gladwin MT, et al. Reversal of Right Ventricular Hypertrophy and Dysfunction by Prostacyclin in a Rat Model of Severe Pulmonary Arterial Hypertension. International Journal of Molecular Sciences. 2022; 23(10):5426. https://doi.org/10.3390/ijms23105426
Chicago/Turabian StyleVanderpool, Rebecca R., Anastasia Gorelova, Yiran Ma, Mohammad Alhamaydeh, Jeffrey Baust, Sruti Shiva, Stevan P. Tofovic, Jian Hu, Seyed Mehdi Nouraie, Mark T. Gladwin, and et al. 2022. "Reversal of Right Ventricular Hypertrophy and Dysfunction by Prostacyclin in a Rat Model of Severe Pulmonary Arterial Hypertension" International Journal of Molecular Sciences 23, no. 10: 5426. https://doi.org/10.3390/ijms23105426
APA StyleVanderpool, R. R., Gorelova, A., Ma, Y., Alhamaydeh, M., Baust, J., Shiva, S., Tofovic, S. P., Hu, J., Nouraie, S. M., Gladwin, M. T., Sharifi-Sanjani, M., & Al Ghouleh, I. (2022). Reversal of Right Ventricular Hypertrophy and Dysfunction by Prostacyclin in a Rat Model of Severe Pulmonary Arterial Hypertension. International Journal of Molecular Sciences, 23(10), 5426. https://doi.org/10.3390/ijms23105426

