Expression of Musashi-1 Increases in Bone Healing
Abstract
1. Introduction
2. Results
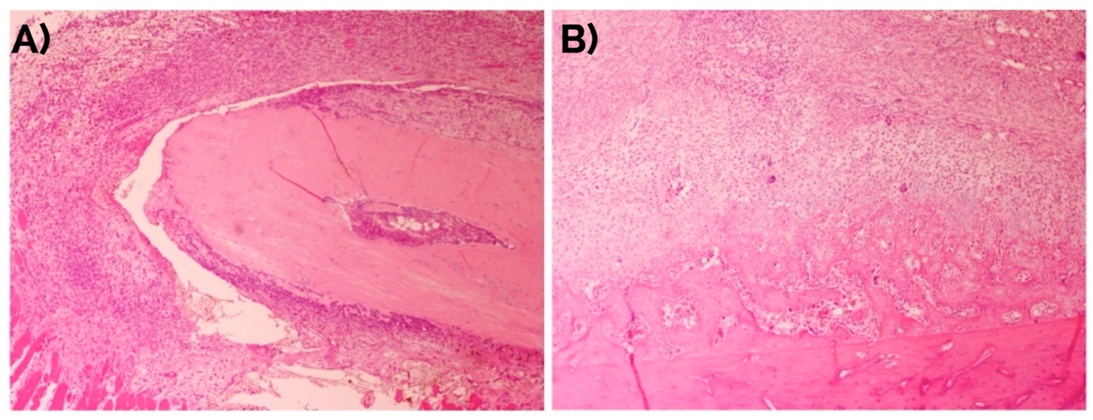
2.1. Histomorphometric Study
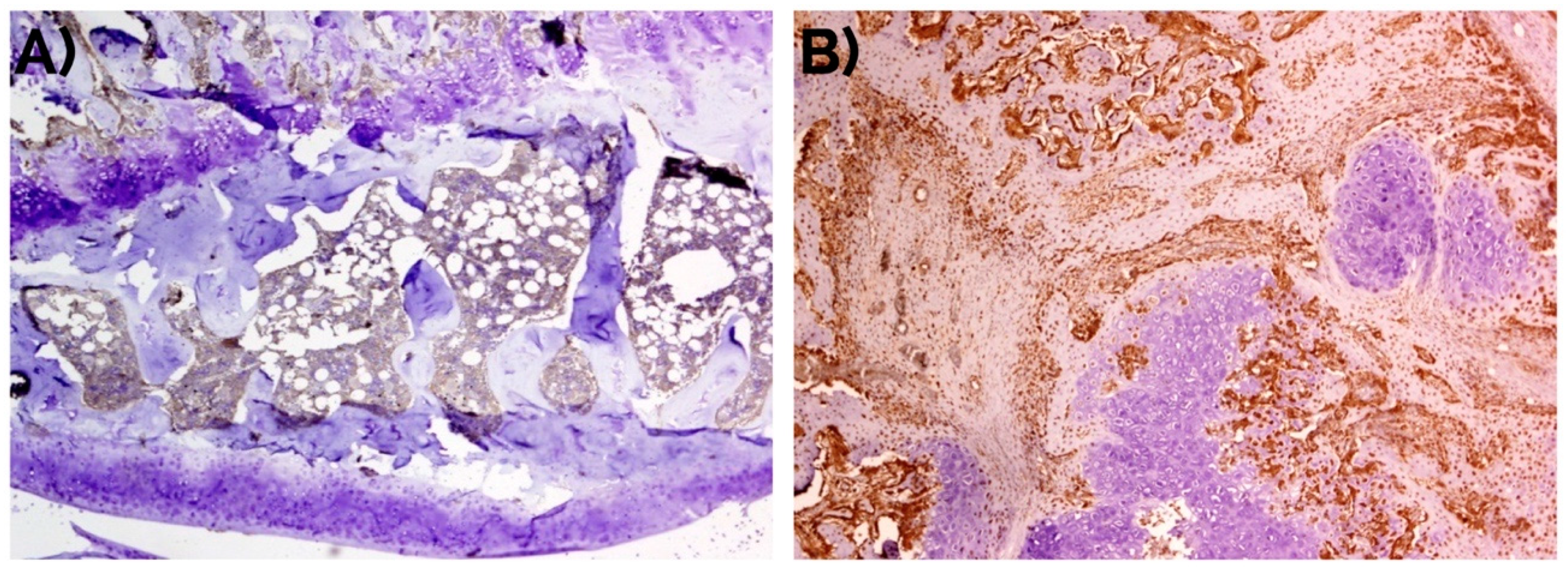
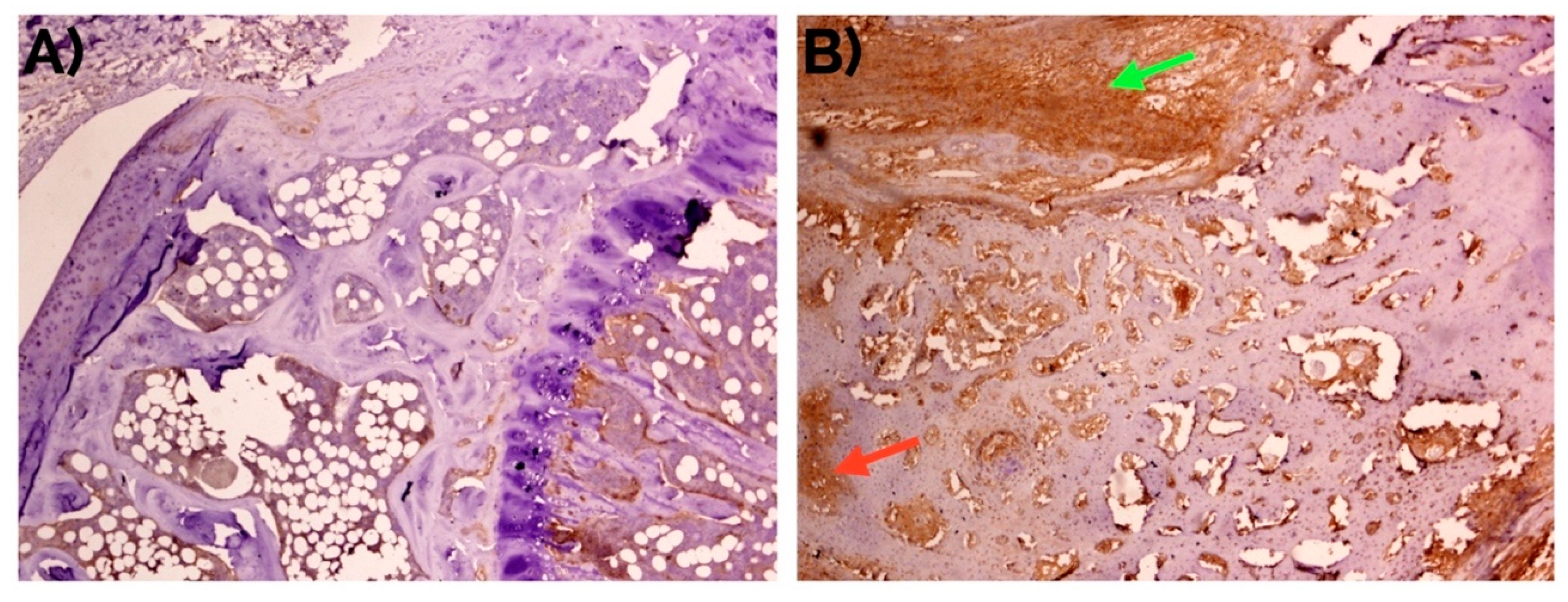
2.2. Immunohistochemical Analyses
2.2.1. Musashi-1
2.2.2. RUNX2
2.2.3. Periostin
2.3. mRNA Evaluation
3. Discussion
4. Materials and Methods
4.1. Preclinical Model
4.2. Surgical Procedure
4.3. Histomorphometric Study
4.4. Immunohistochemical Analyses
4.5. mRNA Evaluation
4.6. Statistical Analysis
5. Conclusions
Author Contributions
Funding
Institutional Review Board Statement
Informed Consent Statement
Data Availability Statement
Acknowledgments
Conflicts of Interest
References
- Rodríguez-Merchán, E.C. A review of recent developments in the molecular mechanisms of bone healing. Int. J. Mol. Sci. 2021, 22, 767. [Google Scholar] [CrossRef] [PubMed]
- Ohyama, T.; Nagata, T.; Tsuda, K.; Kobayashi, N.; Imai, T.; Okano, H.; Yamazaki, T.; Katahira, M. Structure of Musashi1 in a complex with target RNA: The role of aromatic stacking interactions. Nucleic Acids Res. 2012, 40, 3218–3231. [Google Scholar] [CrossRef]
- Plateroti, M.; de Araujo, P.R.; da Silva, A.E.; Penalva, L.O.F. The RNA-Binding Protein Musashi1: A Major Player in Intestinal Epithelium Renewal and Colon Cancer Development. Curr. Colorectal Cancer Rep. 2012, 8, 290–297. [Google Scholar] [CrossRef][Green Version]
- Battelli, C.; Nikopoulos, G.N.; Mitchell, J.G.; Verdi, J.M. The RNA-binding protein Musashi-1 regulates neural development through the translational repression of p21WAF-1. Mol. Cell. Neurosci. 2006, 31, 85–96. [Google Scholar] [CrossRef] [PubMed]
- Venkatesh, K.; Reddy, L.V.K.; Abbas, S.; Mullick, M.; Moghal, E.T.B.; Balakrishna, J.P.; Sen, D. NOTCH Signaling Is Essential for Maturation, Self-Renewal, and Tri-Differentiation of In Vitro Derived Human Neural Stem Cells. Cell. Reprogram. 2017, 19, 372–383. [Google Scholar] [CrossRef] [PubMed]
- Okano, H.; Kawahara, H.; Toriya, M.; Nakao, K.; Shibata, S.; Imai, T. Function of RNA-binding protein Musashi-1 in stem cells. Exp. Cell Res. 2005, 306, 349–356. [Google Scholar] [CrossRef] [PubMed]
- O’Valle, F.; Peregrina, M.; Crespo-Lora, V.; Galindo-Moreno, P.; Roman, M.; Padial-Molina, M.; Mesa, F.; Aneiros-Fernandez, J.; Aguilar, D.; Gonzalez-Rey, E.; et al. Osteoarticular expression of Musashi-1 in an experimental model of arthritis. BioMed Res. Int. 2015, 2015, 681456. [Google Scholar] [CrossRef]
- Lin, G.L.; Hankenson, K.D. Integration of BMP, Wnt, and Notch signaling pathways in osteoblast differentiation. J. Cell. Biochem. 2011, 112, 3491–3501. [Google Scholar] [CrossRef]
- Zhang, Y.; Xie, R.-L.; Croce, C.M.; Stein, J.L.; Lian, J.B.; van Wijnen, A.J.; Stein, G.S. A program of microRNAs controls osteogenic lineage progression by targeting transcription factor Runx2. Proc. Natl. Acad. Sci. USA 2011, 108, 9863–9868. [Google Scholar] [CrossRef]
- Knight, M.N.; Hankenson, K.D. Mesenchymal Stem Cells in Bone Regeneration. Adv. Wound Care 2013, 2, 306–316. [Google Scholar] [CrossRef]
- Watabe, T.; Miyazono, K. Roles of TGF-β family signaling in stem cell renewal and differentiation. Cell Res. 2009, 19, 103. [Google Scholar] [CrossRef] [PubMed]
- Wiesen, R.M.; Padial-Molina, M.; Volk, S.L.; McDonald, N.; Chiego, D.; Botero, T.; Rios, H.F. The expression of periostin in dental pulp cells. Arch. Oral Biol. 2015, 60, 760–767. [Google Scholar] [CrossRef] [PubMed]
- Padial-Molina, M.; Volk, S.L.; Rios, H.F. Preliminary insight into the periostin leverage during periodontal tissue healing. J. Clin. Periodontol. 2015, 42, 764–772. [Google Scholar] [CrossRef]
- Padial-Molina, M.; Volk, S.L.; Taut, A.D.; Giannobile, W.V.; Rios, H.F. Periostin is down-regulated during periodontal inflammation. J. Dent. Res. 2012, 91, 1078–1084. [Google Scholar] [CrossRef] [PubMed]
- Conway, S.J.; Izuhara, K.; Kudo, Y.; Litvin, J.; Markwald, R.; Ouyang, G.; Arron, J.R.; Holweg, C.T.J.; Kudo, A. The role of periostin in tissue remodeling across health and disease. Cell. Mol. Life Sci. 2014, 71, 1279–1288. [Google Scholar] [CrossRef]
- Padial-Molina, M.; Volk, S.L.; Rodriguez, J.C.; Marchesan, J.T.; Galindo-Moreno, P.; Rios, H.F. Tumor necrosis factor-α and Porphyromonas gingivalis lipopolysaccharides decrease periostin in human periodontal ligament fibroblasts. J. Periodontol. 2013, 84, 694–703. [Google Scholar] [CrossRef] [PubMed]
- Rosselli-Murai, L.K.; Almeida, L.O.; Zagni, C.; Galindo-Moreno, P.; Padial-Molina, M.; Volk, S.L.; Murai, M.J.; Rios, H.F.; Squarize, C.H.; Castilho, R.M. Periostin responds to mechanical stress and tension by activating the MTOR signaling pathway. PLoS ONE 2013, 8, e83580. [Google Scholar] [CrossRef]
- Padial-Molina, M.; Volk, S.L.; Rios, H.F. Periostin increases migration and proliferation of human periodontal ligament fibroblasts challenged by tumor necrosis factor-a and Porphyromonas gingivalis lipopolysaccharides. J. Periodontal Res. 2014, 49, 405–414. [Google Scholar] [CrossRef] [PubMed]
- Tang, Y.; Liu, L.; Wang, P.; Chen, D.; Wu, Z.; Tang, C. Periostin promotes migration and osteogenic differentiation of human periodontal ligament mesenchymal stem cells via the Jun amino-terminal kinases (JNK) pathway under inflammatory conditions. Cell Prolif. 2017, 50, e12369. [Google Scholar] [CrossRef]
- Norris, R.A.; Damon, B.; Mironov, V.; Kasyanov, V.; Ramamurthi, A.; Moreno-Rodriguez, R.; Trusk, T.; Potts, J.D.; Goodwin, R.L.; Davis, J.; et al. Periostin regulates collagen fibrillogenesis and the biomechanical properties of connective tissues. J. Cell Biochem. 2007, 101, 695–711. [Google Scholar] [CrossRef]
- Bonnet, N.; Gineyts, E.; Ammann, P.; Conway, S.J.; Garnero, P.; Ferrari, S. Periostin Deficiency Increases Bone Damage and Impairs Injury Response to Fatigue Loading in Adult Mice. PLoS ONE 2013, 8, e78347. [Google Scholar] [CrossRef] [PubMed]
- Bonnet, N.; Garnero, P.; Ferrari, S. Periostin action in bone. Mol. Cell. Endocrinol. 2016, 432, 75–82. [Google Scholar] [CrossRef] [PubMed]
- Mifuji, K.; Ishikawa, M.; Kamei, N.; Tanaka, R.; Arita, K.; Mizuno, H.; Asahara, T.; Adachi, N.; Ochi, M. Angiogenic conditioning of peripheral blood mononuclear cells promotes fracture healing. Bone Jt. Res. 2017, 6, 489–498. [Google Scholar] [CrossRef] [PubMed]
- Padial-Molina, M.; de Buitrago, J.G.; Sainz-Urruela, R.; Abril-Garcia, D.; Anderson, P.; O’Valle, F.; Galindo-Moreno, P.; O’Valle, F.; Galindo-Moreno, P. Expression of Musashi-1 During Osteogenic Differentiation of Oral MSC: An In Vitro Study. Int. J. Mol. Sci. 2019, 20, 2171. [Google Scholar] [CrossRef]
- O’Valle, F.; de Buitrago, J.G.; Hernández-Cortés, P.; Padial-Molina, M.; Crespo-Lora, V.; Cobo, M.; Aguilar, D.; Galindo-Moreno, P. Increased expression of Musashi-1 evidences mesenchymal repair in maxillary sinus floor elevation. Sci. Rep. 2018, 8, 12243. [Google Scholar] [CrossRef] [PubMed]
- Flichy-Fernández, A.J.; Blaya-Tárraga, J.A.; O’Valle, F.; Padial-Molina, M.; Peñarrocha-Diago, M.; Galindo-Moreno, P. Sinus floor elevation using particulate PLGA-coated biphasic calcium phosphate bone graft substitutes: A prospective histological and radiological study. Clin. Implant Dent. Relat. Res. 2019, 21, 895–902. [Google Scholar] [CrossRef]
- Olaechea, A.; Mendoza-Azpur, G.; O’Valle, F.; Padial-Molina, M.; Martin-Morales, N.; Galindo-Moreno, P. Biphasic hydroxyapatite and ß-tricalcium phosphate biomaterial behavior in a case series of maxillary sinus augmentation in humans. Clin. Oral Implant Res. 2019, 30, 336–343. [Google Scholar] [CrossRef] [PubMed]
- Mendoza-Azpur, G.; Olaechea, A.; Padial-Molina, M.; Gutiérrez-Garrido, L.; O’Valle, F.; Mesa, F.; Galindo-Moreno, P. Composite Alloplastic Biomaterial vs. Autologous Platelet-Rich Fibrin in Ridge Preservation. J. Clin. Med. 2019, 8, 223. [Google Scholar] [CrossRef]
- Galindo-Moreno, P.; de Buitrago, J.G.; Padial-Molina, M.; Fernández-Barbero, J.E.; Ata-Ali, J.; O′Valle, F.; O’Valle, F.; O Valle, F. Histopathological comparison of healing after maxillary sinus augmentation using xenograft mixed with autogenous bone versus allograft mixed with autogenous bone. Clin. Oral Implant Res. 2018, 29, 192–201. [Google Scholar] [CrossRef]
- Niu, J.; Zhao, X.; Liu, Q.; Yang, J. Knockdown of MSI1 inhibited the cell proliferation of human osteosarcoma cells by targeting p21 and p27. Oncol. Lett. 2017, 14, 5271–5278. [Google Scholar] [CrossRef]
- Nickerson, P.E.B.; Myers, T.; Clarke, D.B.; Chow, R.L. Changes in Musashi-1 subcellular localization correlate with cell cycle exit during postnatal retinal development. Exp. Eye Res. 2011, 92, 344–352. [Google Scholar] [CrossRef] [PubMed]
- Wang, X.-Y.; Yin, Y.; Yuan, H.; Sakamaki, T.; Okano, H.; Glazer, R.I. Musashi1 Modulates Mammary Progenitor Cell Expansion through Proliferin-Mediated Activation of the Wnt and Notch Pathways. Mol. Cell. Biol. 2008, 28, 3589–3599. [Google Scholar] [CrossRef]
- Glazer, R.I.; Wang, X.-Y.; Yuan, H.; Yin, Y. Musashi1: A stem cell marker no longer in search of a function. Cell Cycle 2008, 7, 2635–2639. [Google Scholar] [CrossRef] [PubMed]
- Liu, J.; Li, X.; Zhang, H.; Gu, R.; Wang, Z.; Gao, Z.; Xing, L. Ubiquitin E3 ligase Itch negatively regulates osteoblast function by promoting proteasome degradation of osteogenic proteins. Bone Jt. Res. 2017, 6, 154–161. [Google Scholar] [CrossRef] [PubMed]
- Dong, Y.-F.; Soung, D.Y.; Schwarz, E.M.; O’Keefe, R.J.; Drissi, H. Wnt induction of chondrocyte hypertrophy through the Runx2 transcription factor. J. Cell. Physiol. 2006, 208, 77–86. [Google Scholar] [CrossRef]
- Gaur, T.; Lengner, C.J.; Hovhannisyan, H.; Bhat, R.A.; Bodine, P.V.N.; Komm, B.S.; Javed, A.; van Wijnen, A.J.; Stein, J.L.; Stein, G.S.; et al. Canonical WNT signaling promotes osteogenesis by directly stimulating Runx2 gene expression. J. Biol. Chem. 2005, 280, 33132–33140. [Google Scholar] [CrossRef] [PubMed]
- Sinha, K.M.; Zhou, X. Genetic and molecular control of osterix in skeletal formation. J. Cell. Biochem. 2013, 114, 975–984. [Google Scholar] [CrossRef]
- Bonnet, N.; Standley, K.N.; Bianchi, E.N.; Stadelmann, V.; Foti, M.; Conway, S.J.; Ferrari, S.L. The matricellular protein periostin is required for sost inhibition and the anabolic response to mechanical loading and physical activity. J. Biol. Chem. 2009, 284, 35939–35950. [Google Scholar] [CrossRef] [PubMed]
- Stock, M.; Schäfer, H.; Fliegauf, M.; Otto, F. Identification of novel genes of the bone-specific transcription factor Runx2. J. Bone Miner. Res. Off. J. Am. Soc. Bone Miner. Res. 2004, 19, 959–972. [Google Scholar] [CrossRef]
- Nakazawa, T.; Nakajima, A.; Seki, N.; Okawa, A.; Kato, M.; Moriya, H.; Amizuka, N.; Einhorn, T.A.; Yamazaki, M. Gene expression of periostin in the early stage of fracture healing detected by cDNA microarray analysis. J. Orthop. Res. 2004, 22, 520–525. [Google Scholar] [CrossRef] [PubMed]
- Zhu, S.; Barbe, M.F.; Liu, C.; Hadjiargyrou, M.; Popoff, S.N.; Rani, S.; Safadi, F.F.; Litvin, J. Periostin-like-factor in osteogenesis. J. Cell Physiol. 2009, 218, 584–592. [Google Scholar] [CrossRef] [PubMed]
- Bonnarens, F.; Einhorn, T.A. Production of a standard closed fracture in laboratory animal bone. J. Orthop. Res. Off. Publ. Orthop. Res. Soc. 1984, 2, 97–101. [Google Scholar] [CrossRef] [PubMed]












| Expression of Musashi-1 (Positive Cells/mm2) | Unfractured Control | Bone Fracture Callus | Mann–Whitney U Test (p-Values) |
|---|---|---|---|
| Osteoblasts (4, 7, and 14 days) | 32.0 (8.8) | 87.2 (37.2) | 0.024 |
| 35.2 (7.4) | 270.8 (126.4) | 0.008 | |
| 48.3 (53.4) | 512.9 (131.7) | 0.001 | |
| Osteocytes (4, 7, and 14 days) | 6.0 (2.9) | 0.0 (0.0) | 0.007 |
| 8.4 (5.0) | 177.4 (30.3) | 0.012 | |
| 8.0 (5.7) | 373.8 (77.4) | 0.001 | |
| Immature chondrocytes (4, 7, and 14 days) | 0.0 (0.0) | 0.0 (0.0) | >0.999 |
| 0.0 (0.0) | 164.6 (75.0) | 0.008 | |
| 0.0 (0.0) | 544.3 (158.3) | 0.001 | |
| Mesenchymal cells (4, 7, and 14 days) | 0.0 (0.0) | 150.6 (39.8) | 0.008 |
| 0.0 (0.0) | 351.6 (66.8) | 0.007 | |
| 0.0 (0.0) | 383.0 (173.5) | 0.001 |
| Marker | Osteogenic Cells | Mesenchymal Cells | Rho (p < 0.01, Spearman) | ||
|---|---|---|---|---|---|
| Musashi-1 | X | X | X | 0.841 | |
| RUNX2 | X | X | X | 0.204 | |
| Periostin | X | X | |||
| Rho (p < 0.01, Spearman) | 0.852 | 0.881 | 0.933 | ||
| Expression of RUNX2 (Positive Cells/mm2) | Unfractured Control | Bone Fracture Callus | Mann–Whitney U Test (p-Values) |
|---|---|---|---|
| Osteoblasts (4, 7, and 14 days) | 96.1 (19.0) | 245.2 (95.9) | 0.008 |
| 111.4 (41.3) | 200.6 (51.3) | 0.016 | |
| 80.6 (29.6) | 393.3 (146.1) | 0.002 | |
| Osteocytes (4, 7, and 14 days) | 0.0 (0.0) | 129.2 (111.3) | 0.008 |
| 0.0 (0.0) | 187.0 (258.2) | 0.007 | |
| 0.0 (0.0) | 249.1 (95.9) | 0.001 | |
| Immature chondrocytes (4, 7, and 14 days) | 0.0 (0.0) | 129.0 (37.5) | 0.007 |
| 0.0 (0.0) | 109.8 (13.4) | 0.007 | |
| 0.0 (0.0) | 610.2 (182.1) | 0.001 | |
| Mesenchymal cells (4, 7, and 14 days) | 69.0 (35.0) | 83.4 (44.7) | 0.548 |
| 99.8 (30.7) | 217.0 (40.0) | 0.008 | |
| 212.9 (80.7) | 270.6 (105.9) | 0.190 |
| mRNA | Unfractured Control | Bone Fracture Callus | Adjusted Sidak Test * |
|---|---|---|---|
| Msi1 (4, 7, and 14 days) | 1.00 (0.38) | 304.16 (29.77) | <0.001 |
| 4.75 (0.47) | 116.09 (22.61) | 0.086 | |
| 15.24 (7.19) | 596.62 (87.96) | <0.001 | |
| Postn (4, 7, and 14 days) | 1.00 (0.24) | 793.40 (77.65) | 0.004 |
| 0.81 (0.20) | 593.63 (279.84) | 0.016 | |
| 4.85 (0.24) | 1179.38 (181.43) | <0.001 | |
| Runx2 (4, 7, and 14 days) | 1.00 (0.19) | 115.98 (28.14) | 0.117 |
| 0.52 (0.13) | 22.99 (5.06) | 0.929 | |
| 4.12 (0.60) | 274.22 (104.48) | 0.003 |
| Gene | Forward | Reverse |
|---|---|---|
| Gapdh | 5-GTGAAGCTCATTTCCTGGTATGAC-3 | 5-GCCTCTCTCTTGCTCTCAGTATC-3 |
| Msi1 | 5-ACGTTCGAGAGTGAGGACATC-3 | 5-CCTCCTTTGGCTGAGCTTTC-3 |
| Postn | 5-AACCCGGAGTCACCAACATC-3 | 5-GCGTCTCATTGACTCCTTTCAC-3 |
| Runx2 | 5-AGTGATTTAGGGCGCATTCC-3 | 5-TCTGCCTGGGATCTGTAATCTG-3 |
Publisher’s Note: MDPI stays neutral with regard to jurisdictional claims in published maps and institutional affiliations. |
© 2021 by the authors. Licensee MDPI, Basel, Switzerland. This article is an open access article distributed under the terms and conditions of the Creative Commons Attribution (CC BY) license (http://creativecommons.org/licenses/by/4.0/).
Share and Cite
Padial-Molina, M.; Crespo-Lora, V.; Candido-Corral, C.; Martin-Morales, N.; Abril-Garcia, D.; Galindo-Moreno, P.; Hernandez-Cortes, P.; O’Valle, F. Expression of Musashi-1 Increases in Bone Healing. Int. J. Mol. Sci. 2021, 22, 3395. https://doi.org/10.3390/ijms22073395
Padial-Molina M, Crespo-Lora V, Candido-Corral C, Martin-Morales N, Abril-Garcia D, Galindo-Moreno P, Hernandez-Cortes P, O’Valle F. Expression of Musashi-1 Increases in Bone Healing. International Journal of Molecular Sciences. 2021; 22(7):3395. https://doi.org/10.3390/ijms22073395
Chicago/Turabian StylePadial-Molina, Miguel, Vicente Crespo-Lora, Clara Candido-Corral, Nati Martin-Morales, Dario Abril-Garcia, Pablo Galindo-Moreno, Pedro Hernandez-Cortes, and Francisco O’Valle. 2021. "Expression of Musashi-1 Increases in Bone Healing" International Journal of Molecular Sciences 22, no. 7: 3395. https://doi.org/10.3390/ijms22073395
APA StylePadial-Molina, M., Crespo-Lora, V., Candido-Corral, C., Martin-Morales, N., Abril-Garcia, D., Galindo-Moreno, P., Hernandez-Cortes, P., & O’Valle, F. (2021). Expression of Musashi-1 Increases in Bone Healing. International Journal of Molecular Sciences, 22(7), 3395. https://doi.org/10.3390/ijms22073395

