Refinement and Neutralization Evaluation of the F(ab’)2 Type of Antivenom against the Deadly Jellyfish Nemopilema nomurai Toxins
Abstract
:1. Introduction
2. Results
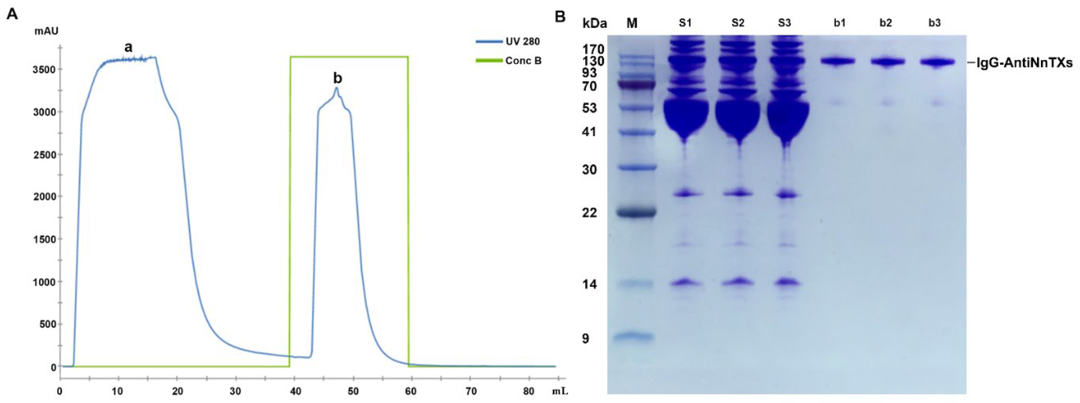
2.1. Preparation and Isolation of IgG-AntiNnTXs
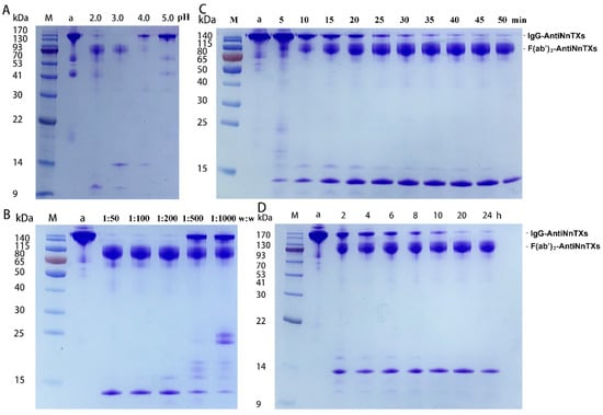
2.2. Refinement of F(ab’)2 Fragments of IgG-AntiNnTXs
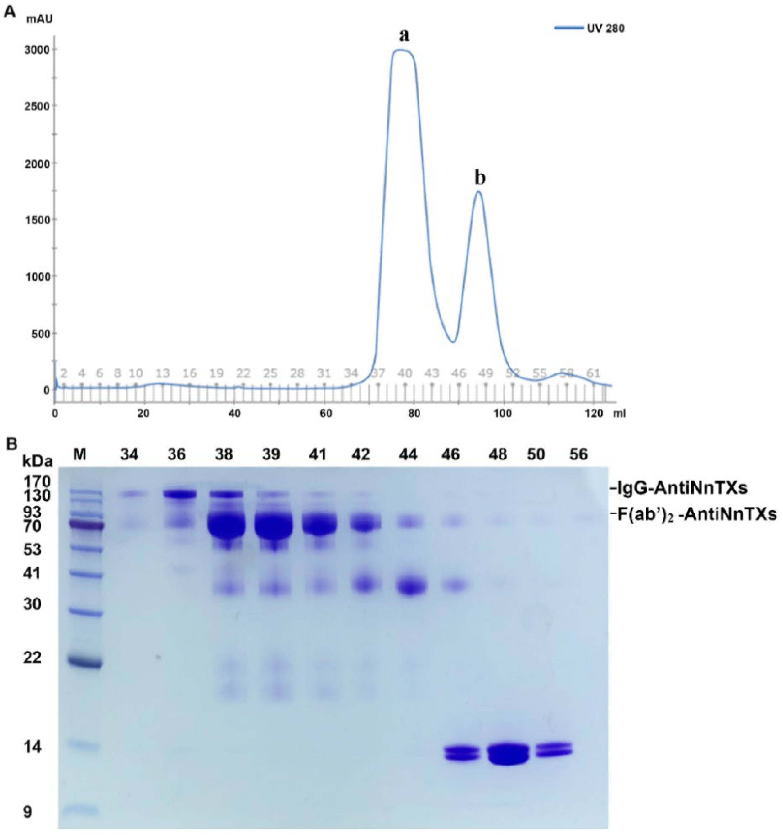
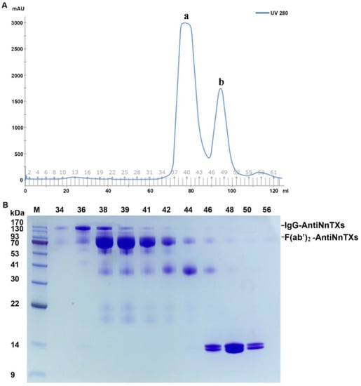
2.3. Purification of F(ab’)2-AntiNnTXs by Size-Exclusion Chromatography
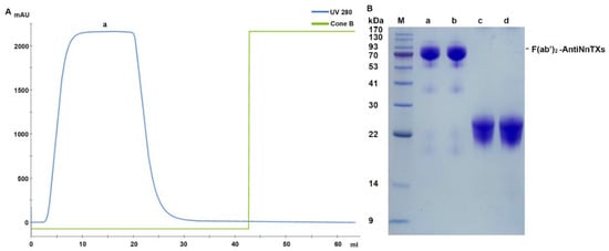
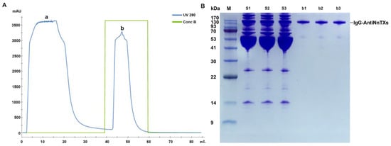
2.4. Purification of F(ab’)2-AntiNnTXs by Protein A
2.5. In Vitro Neutralization Assay of Metalloproteinase Activity
2.6. In Vitro Neutralization Assay of Hemolytic Activity
2.7. In Vitro Neutralization Assay of PLA2 Activity
2.8. In Vivo Neutralization Assay
2.9. LC-MS/MS and Bioinformatics Analysis
3. Discussion
4. Materials and Methods
4.1. Preparation and Inactivation of Jellyfish N. nomurai Toxins (NnTXs)
4.2. Animal Immunization and Antiserum Preparation
4.3. Isolation of NnTXs Antibody from Antiserum
4.4. Refinement of F(ab’)2 Fragments of IgG-AntiNnTXs
4.5. Purification of F(ab’)2-AntiNnTXs
4.6. Neutralization Assay of the Antivenoms
4.6.1. In Vitro Neutralization Assay of Metalloproteinase Activity
4.6.2. In Vitro Neutralization Assay of Hemolysis Activity
4.6.3. In Vitro Neutralization Assay of Phospholipase A2 (PLA2) Activity
4.6.4. In Vivo Neutralization Assay of the Antivenom
4.7. LC-MS/MS and Bioinformatics Analysis of Antivenom
4.8. Statistical Analysis
5. Conclusions
Author Contributions
Funding
Institutional Review Board Statement
Informed Consent Statement
Conflicts of Interest
References
- Williamson, J.A.; Fenner, P.J.; Burnett, J.W.; Rifkin, J.F.; Williamson, J.A.; Fenner, P.J.; Burnett, J.W.; Rifkin, J.F. Venomous and Poisonous Marine Animals: A Medical and Biological Handbook; University of New South Wales Press: Sydney, Australia, 1996; pp. 1–504. [Google Scholar]
- Lippmann, J.M.; Fenner, P.J.; Winkel, K.; Gershwin, L.A. Fatal and Severe Box Jellyfish Stings, Including Irukandji Stings, in Malaysia, 2000–2010. J. Travel Med. 2011, 18, 275–281. [Google Scholar] [CrossRef] [PubMed] [Green Version]
- Tibballs, J. Australian venomous jellyfish, envenomation syndromes, toxins and therapy. Toxicon 2006, 48, 830–859. [Google Scholar] [CrossRef] [PubMed]
- Law, Y.H. Stopping the sting. Science 2018, 362, 631–635. [Google Scholar] [CrossRef] [PubMed]
- Dong, Z.; Liu, D.; Keesing, J.K. Jellyfish blooms in China: Dominant species, causes and consequences. Mar. Pollut. Bull. 2010, 60, 954–963. [Google Scholar] [CrossRef]
- Uye, S.i. Blooms of the giant jellyfish Nemopilema Nomurai: A threat to the fisheries sustainability of the East Asian Marginal Seas. Plankton Benthos Res. 2008, 3, 125–131. [Google Scholar] [CrossRef] [Green Version]
- Zhang, M.; Qin, S.; Li, M.; Chen, G. Investigation of coelenterare stings in north China sea. Acta Acad. Med. Qingdao 1993, 29, 263–268. (In Chinese) [Google Scholar]
- Li, R.; Yu, H.; Yue, Y.; Liu, S.; Xing, R.; Chen, X.; Wang, X.; Li, P. In depth analysis of the in vivo toxicity of venom from the jellyfish Stomolophus meleagris. Toxicon 2014, 92, 60–65. [Google Scholar] [CrossRef]
- Kim, J.H.; Han, S.B.; Durey, A. Fatal Pulmonary Edema in a Child After Jellyfish Stings in Korea. Wilderness Environ. Med. 2018, 29, 527–530. [Google Scholar] [CrossRef] [Green Version]
- Jiang, Z.; Liu, W.; Yue, X. 3 death cases caused by jellyfish sting. Chin. J. Dermatol. 2008, 41, 707. (In Chinese) [Google Scholar]
- Li, R.; Yu, H.; Xue, W.; Yue, Y.; Liu, S.; Xing, R.; Li, P. Jellyfish venomics and venom gland transcriptomics analysis of Stomolophus meleagris to reveal the toxins associated with sting. J. Proteom. 2014, 106, 17–29. [Google Scholar] [CrossRef]
- Li, R.; Yu, H.; Yue, Y.; Liu, S.; Xing, R.; Chen, X.; Li, P. Combined proteomics and transcriptomics identifies sting-related toxins of jellyfish Cyanea nozakii. J. Proteom. 2016, 148, 57–64. [Google Scholar] [CrossRef] [PubMed]
- Brinkman, D.L.; Jia, X.; Potriquet, J.; Kumar, D.; Dash, D.; Kvaskoff, D.; Mulvenna, J. Transcriptome and venom proteome of the box jellyfish Chironex fleckeri. BMC Genom. 2015, 16, 407. [Google Scholar] [CrossRef] [PubMed] [Green Version]
- Choudhary, I.; Lee, H.; Pyo, M.J.; Heo, Y.; Bae, S.K.; Kwon, Y.C.; Yoon, W.D.; Kang, C.; Kim, E. Proteomics approach to examine the cardiotoxic effects of Nemopilema nomurai Jellyfish venom. J. Proteom. 2015, 128, 123–131. [Google Scholar] [CrossRef] [PubMed]
- Leung, T.C.N.; Qu, Z.; Nong, W.; Hui, J.H.L.; Ngai, S.M. Proteomic Analysis of the Venom of Jellyfishes Rhopilema esculentum and Sanderia malayensis. Mar. Drugs 2020, 18, 655. [Google Scholar] [CrossRef]
- Ponce, D.; Brinkman, D.; Potriquet, J.; Mulvenna, J. Tentacle Transcriptome and Venom Proteome of the Pacific Sea Nettle, Chrysaora fuscescens (Cnidaria: Scyphozoa). Toxins 2016, 8, 102. [Google Scholar] [CrossRef] [Green Version]
- Wang, C.; Wang, B.L.; Wang, B.; Wang, Q.Q.; Liu, G.Y.; Wang, T.; He, Q.; Zhang, L.M. Unique Diversity of Sting-Related Toxins Based on Transcriptomic and Proteomic Analysis of the Jellyfish Cyanea capillata and Nemopilema nomurai (Cnidaria: Scyphozoa). J. Proteome Res. 2019, 18, 436–448. [Google Scholar] [CrossRef]
- Takahashi, T.; Takeda, N. Insight into the Molecular and Functional Diversity of Cnidarian Neuropeptides. Int. J. Mol. Sci. 2015, 16, 2610–2625. [Google Scholar] [CrossRef] [Green Version]
- World Health Organization. WHO Model Formulary 2008; World Health Organization: Geneva, Switzerland, 2009; pp. 396–397. [Google Scholar]
- Huber, R.; Deisenhofer, J.; Colman, P.M.; Matsushima, M.; Palm, W. Crystallographic structure studies of an IgG molecule and an Fc fragment. Nature 1976, 264, 415–420. [Google Scholar] [CrossRef]
- Miller, M.K.; Whyte, I.M.; Dawson, A.H. Serum sickness from funnelweb spider antivenom. Med. J. Aust. 1999, 171, 54. [Google Scholar] [CrossRef]
- Li, R.; Yu, H.; Li, A.; Yu, C.; Li, P. Preparation and Neutralization Efficacy of Novel Jellyfish Antivenoms against Cyanea nozakii Toxins. Toxins 2021, 13, 165. [Google Scholar] [CrossRef]
- Kurtovic, T.; Balija, M.L.; Brgles, M.; Sviben, D.; Tunjic, M.; Cajner, H.; Marchetti-Deschmann, M.; Allmaier, G.; Halassy, B. Refinement strategy for antivenom preparation of high yield and quality. PLoS Neglect. Trop. Dis. 2019, 13, 23. [Google Scholar] [CrossRef] [PubMed]
- Cegolon, L.; Heymann, W.C.; Lange, J.H.; Mastrangelo, G. Jellyfish Stings and Their Management: A Review. Mar. Drugs 2013, 11, 523–550. [Google Scholar] [CrossRef] [PubMed] [Green Version]
- Yanagihara, A.A.; Wilcox, C.L. Cubozoan Sting-Site Seawater Rinse, Scraping, and Ice Can Increase Venom Load: Upending Current First Aid Recommendations. Toxins 2017, 9, 105. [Google Scholar] [CrossRef] [PubMed] [Green Version]
- Li, R.; Yu, H.; Yue, Y.; Li, P. Combined Proteome and Toxicology Approach Reveals the Lethality of Venom Toxins from Jellyfish Cyanea nozakii. J. Proteome Res. 2018, 17, 3904–3913. [Google Scholar] [CrossRef] [PubMed]
- El Amrani, M.; Donners, A.A.M.; Hack, C.E.; Huitema, A.D.R.; van Maarseveen, E.M. Six-step workflow for the quantification of therapeutic monoclonal antibodies in biological matrices with liquid chromatography mass spectrometry—A tutorial. Anal. Chim. Acta 2019, 1080, 22–34. [Google Scholar] [CrossRef]
- Taherian, A.; Fazilati, M.; Moghadam, A.T.; Tebyanian, H. Optimization of purification procedure for horse F(ab)2 antivenom against Androctonus crassicauda (Scorpion) venom. Trop. J. Pharm. Res. 2018, 17, 409–414. [Google Scholar] [CrossRef] [Green Version]
- Li, R.; Yu, H.; Li, T.; Li, P. Comprehensive Proteome Reveals the Key Lethal Toxins in the Venom of Jellyfish Nemopilema nomurai. J. Proteome Res. 2020, 19, 2491–2500. [Google Scholar] [CrossRef]
- Kang, C.; Han, D.Y.; Park, K.I.; Pyo, M.J.; Heo, Y.; Lee, H.; Kim, G.S.; Kim, E. Characterization and neutralization of Nemopilema nomurai (Scyphozoa: Rhizostomeae) jellyfish venom using polyclonal antibody. Toxicon 2014, 86, 116–125. [Google Scholar] [CrossRef]
- Carrette, T.; Seymour, J. A rapid and repeatable method for venom extraction from Cubozoan nematocysts. Toxicon 2004, 44, 135–139. [Google Scholar] [CrossRef]
- Chung, J.J.; Ratnapala, L.A.; Cooke, I.M.; Yanagihara, A.A. Partial purification and characterization of a hemolysin (CAH1) from Hawaiian box jellyfish (Carybdea alata) venom. Toxicon 2001, 39, 981–990. [Google Scholar] [CrossRef]
- Yue, Y.; Yu, H.; Li, R.; Xing, R.; Liu, S.; Li, K.; Wang, X.; Chen, X.; Li, P. Biochemical and kinetic evaluation of enzymatic toxins from two stinging scyphozoans Nemopilema nomurai and Cyanea nozakii. Toxicon 2016, 125, 1–12. [Google Scholar] [CrossRef] [PubMed]
- Li, R.; Yu, H.; Feng, J.; Xing, R.; Liu, S.; Wang, L.; Qin, Y.; Li, K.; Li, P. Two-step purification and in vitro characterization of a hemolysin from the venom of jellyfish Cyanea nozakii Kishinouye. Int. J. Biol. Macromol. 2011, 49, 14–19. [Google Scholar] [CrossRef] [PubMed]
- Feng, J.; Yu, H.; Xing, R.; Liu, S.; Wang, L.; Cai, S.; Li, P. Partial characterization of the hemolytic activity of the nematocyst venom from the jellyfish Cyanea nozakii Kishinouye. Toxicol. In Vitro 2010, 24, 1750–1756. [Google Scholar] [CrossRef] [PubMed]







| No. | Year | Gender | Age | Location | Death Reasons |
|---|---|---|---|---|---|
| 1 | 2015 | Female | 4 | Dalian, China | Unknown |
| 2 | 2014 | Male | 20 | Qingdao, China | Expiratory dyspnea |
| 3 | 2014 | Male | 31 | Dalian, China | Acute pulmonary edema |
| 4 | 2013 | Male | 8 | Qinhuangdao, China | Acute pulmonary edema |
| 5 | 2012 | Female | 47 | Qinhuangdao, China | Acute pulmonary edema, allergy |
| 6 | 2012 | Female | 8 | Incheon, Korea | Acute pulmonary edema [9] |
| 7 | 2007 | Male | 50 | Weihai, China | Acute pulmonary edema [10] |
| 8 | 2007 | Female | 47 | Weihai, China | Acute pulmonary edema [10] |
| 9 | 2007 | Female | 22 | Weihai, China | Acute pulmonary edema [10] |
| 10 | 2006 | Female | 9 | Yingkou, China | Unknown |
| 11 | 2006 | Female | 35 | Yingkou, China | Multiple-organ failure |
Publisher’s Note: MDPI stays neutral with regard to jurisdictional claims in published maps and institutional affiliations. |
© 2021 by the authors. Licensee MDPI, Basel, Switzerland. This article is an open access article distributed under the terms and conditions of the Creative Commons Attribution (CC BY) license (https://creativecommons.org/licenses/by/4.0/).
Share and Cite
Li, R.; Yu, H.; Li, A.; Yu, C.; Li, P. Refinement and Neutralization Evaluation of the F(ab’)2 Type of Antivenom against the Deadly Jellyfish Nemopilema nomurai Toxins. Int. J. Mol. Sci. 2021, 22, 12672. https://doi.org/10.3390/ijms222312672
Li R, Yu H, Li A, Yu C, Li P. Refinement and Neutralization Evaluation of the F(ab’)2 Type of Antivenom against the Deadly Jellyfish Nemopilema nomurai Toxins. International Journal of Molecular Sciences. 2021; 22(23):12672. https://doi.org/10.3390/ijms222312672
Chicago/Turabian StyleLi, Rongfeng, Huahua Yu, Aoyu Li, Chunlin Yu, and Pengcheng Li. 2021. "Refinement and Neutralization Evaluation of the F(ab’)2 Type of Antivenom against the Deadly Jellyfish Nemopilema nomurai Toxins" International Journal of Molecular Sciences 22, no. 23: 12672. https://doi.org/10.3390/ijms222312672
APA StyleLi, R., Yu, H., Li, A., Yu, C., & Li, P. (2021). Refinement and Neutralization Evaluation of the F(ab’)2 Type of Antivenom against the Deadly Jellyfish Nemopilema nomurai Toxins. International Journal of Molecular Sciences, 22(23), 12672. https://doi.org/10.3390/ijms222312672

