Gender-Related Differences in BMP Expression and Adult Hippocampal Neurogenesis within Joint-Hippocampal Axis in a Rat Model of Rheumatoid Arthritis
Abstract
:1. Introduction
2. Materials and Methods
2.1. Experimental Animals
2.2. Arthritis Induction and Disease Course Evaluation
2.3. Experimental Design
2.4. Tissue Preparation for Paraffin Slices
2.4.1. The Rat Brain
2.4.2. Hind Paws
2.5. Histological, Immunohistochemical and Immunofluorescence Staining
2.5.1. Histochemistry
2.5.2. Immunohistochemistry
2.5.3. Immunofluorescence
2.6. Immunohistochemical/Fluorescence Staining Quantification, Cell Counting, and Histopathological Evaluation of Joint Inflammation
2.6.1. Quantification
2.6.2. Cell Counting
2.6.3. Histopathological Evaluation of Synovitis
2.7. Determination of Serum Concentrations of IL-17A and TNF-α
2.8. Statistical Analysis
3. Results
3.1. Clinical Course
3.2. Adult Hippocampal Neurogenesis

| Variable | Gender | Average Grey Value BMP4 | Average Grey Value BMP7 | Average Grey Value Noggin | Average Grey Value Gremlin | TNF-α | IL-17A |
|---|---|---|---|---|---|---|---|
| DCX+ cells | Males | 0.01 | −0.22 | 0.83 *** | 0.10 | −0.13 | −0.31 |
| Females | 0.82 *** | 0.47 | 0.62 * | 0.02 | 0.54 * | −0.59 * | |
| Ki67+ cells | Males | 0.37 | −0.45 | 0.31 | 0.69 ** | −0.01 | 0.44 |
| Females | 0.82 *** | 0.45 | 0.57 * | −0.22 | 0.51 * | −0.57 * | |
| DCX/Ki67 | Males | −0.27 | 0.22 | 0.56 * | −0.45 | −0.19 | −0.63 * |
| Females | 0.35 | 0.18 | 0.33 | 0.52 * | 0.23 | −0.23 | |
| TNF-α | Males | −0.42 | 0.44 | −0.11 | −0.13 | / | / |
| Females | 0.15 | 0.96 *** | −0.19 | −0.11 | / | / | |
| IL-17A | Males | 0.54 * | −0.28 | −0.65 * | 0.85 *** | / | / |
| Females | −0.79 *** | 0.0002 | −0.82 *** | 0.05 | / | / |


3.3. Male Rats Express a Higher Level of Hippocampal/Dentate Gyrus BMP-4 Than Female Rats
3.4. Male Rats Express a Higher Level of Hippocampal/Dentate Gyrus BMP-7 Than Female Rats during PIA
3.5. TNF-α and IL-17A Levels in Serum
3.6. Correlations of ADULT hippocampal Neurogenesis with Hippocampal BMPs, Noggin, Gremlin, and IL-17A and TNF-α in Serum


3.7. Female Rats Show Higher Synovial Inflammation than Male Rats
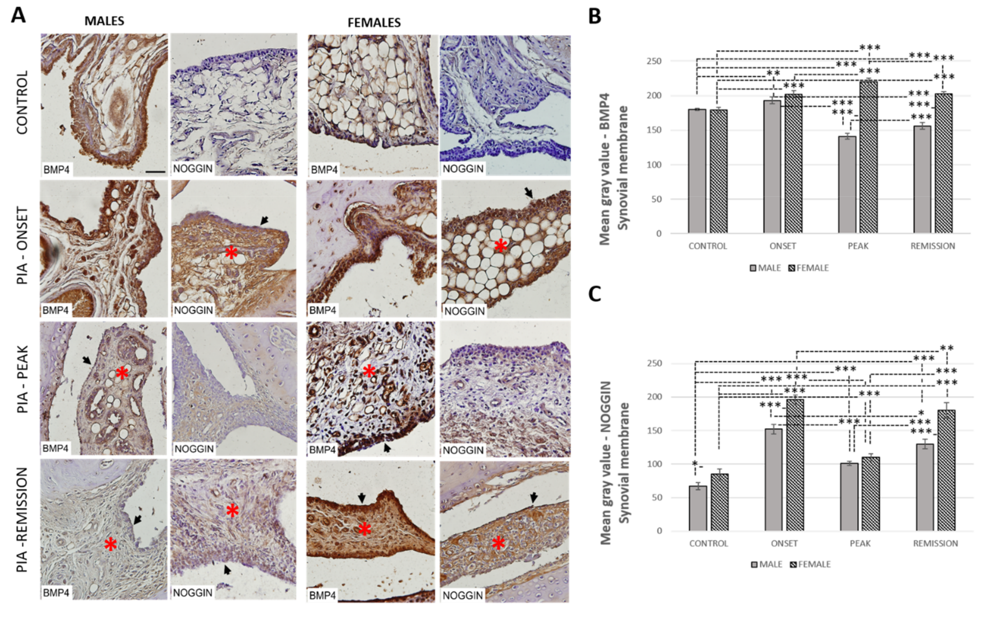
3.8. Female Rats Express a Higher Level of Synovial BMP-4 Than Male Rats during PIA
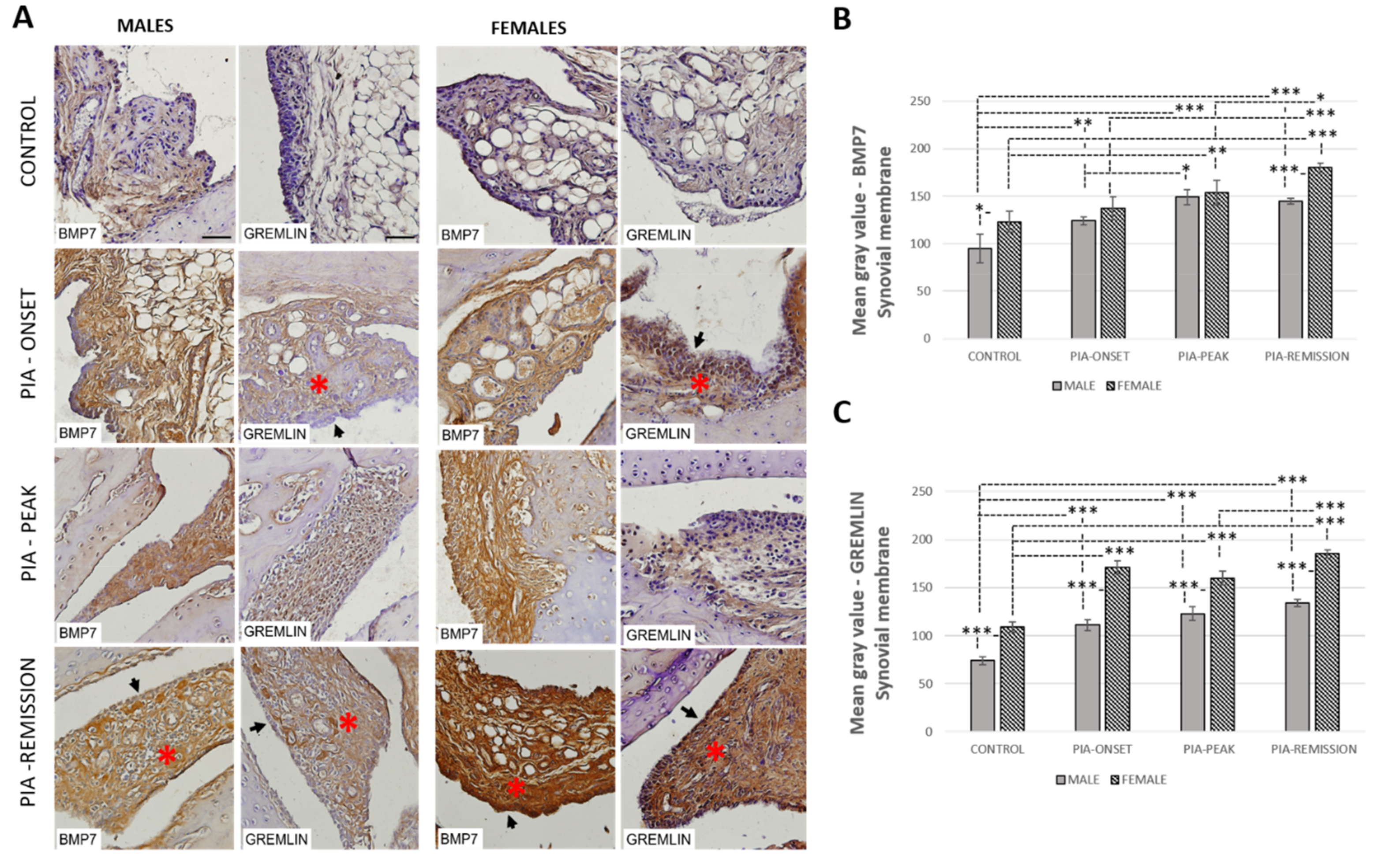
3.9. Female Rats Express a Higher Level of Synovial BMP-7 Than Male Rats during PIA
3.10. Correlation of IL-17A and TNF-α in Serum with Synovial Inflammation and Synovial BMPs, Noggin, and Gremlin
4. Discussion
4.1. Clinical Course, Symptoms, and IL-17a and TNF-α Levels in Serum
4.2. BMPs in Synovium
4.3. BMPs in Hippocampus/Dentate Gyrus
5. Conclusions
Supplementary Materials
Author Contributions
Funding
Institutional Review Board Statement
Informed Consent Statement
Conflicts of Interest
References
- Süß, P.; Rothe, T.; Hoffmann, A.; Schlachetzki, J.; Winkler, J. The Joint-Brain Axis: Insights from Rheumatoid Arthritis on the Crosstalk between Chronic Peripheral Inflammation and the Brain. Front. Immunol. 2020, 11, 612104. [Google Scholar] [CrossRef]
- Chaurasia, N.; Singh, A.; Singh, I.; Singh, T.; Tiwari, T. Cognitive dysfunction in patients of rheumatoid arthritis. J. Fam. Med. Prim. Care 2020, 9, 2219. [Google Scholar] [CrossRef]
- Rezaei, F.; Doost, H.; Molavi, H. Depression and pain in patients with rheumatoid arthritis: Mediating role of illness perception. Egypt Rheumatol. 2014, 36, 57–64. [Google Scholar] [CrossRef] [Green Version]
- Kezele, G.T.; Medjimurec, S.; Bukarica, M.; Čorapović, A.; Fužinac-Smojver, A. Quality of life and level of physical activity in primary school children with juvenile idiopathic arthritis in Primorje-Gorski Kotar County. Paediatr. Croat. 2019, 63, 145–151. [Google Scholar] [CrossRef]
- Korte, S.; Straub, R. Fatigue in inflammatory rheumatic disorders: Pathophysiological mechanisms. Rheumatology 2019, 58, v35–v50. [Google Scholar] [CrossRef]
- Covic, T.; Cumming, S.R.; Pallant, J.F.; Manolios, N.; Emery, P.; Conaghan, P.G.; Tennant, A. Depression and anxiety in patients with rheumatoid arthritis: Prevalence rates based on a comparison of the Depression, Anxiety and Stress Scale (DASS) and the hospital, Anxiety and Depression Scale (HADS). BMC Psychiatry. 2012, 12, 6. [Google Scholar] [CrossRef] [PubMed] [Green Version]
- Morris, A.; Yelin, E.; Panopalis, P.; Julian, L.; Katz, P. Long-term patterns of depression and associations with health and function in a panel study of rheumatoid arthritis. J. Health Psychol. 2011, 16, 667–677. [Google Scholar] [CrossRef] [Green Version]
- Andersson, K.; Wasén, C.; Juzokaite, L.; Leifsdottir, L.; Erlandsson, M.; Silfverswärd, S.; Stokowska, A.; Pekna, M.; Pekny, M.; Olmarker, K.; et al. Inflammation in the hippocampus affects IGF1 receptor signaling and contributes to neurological sequelae in rheumatoid arthritis. Proc. Natl. Acad. Sci. USA 2018, 115, E12063–E12072. [Google Scholar] [CrossRef] [Green Version]
- Kezele, G.T.; Fužinac-Smojver, A.; Ćurko-Cofek, B.; Jakovac, H.; Turković, K. Adult neurogenesis—Accent on subgranular and subventricular zone in mammals. Med. Flum. 2017, 53, 136–146. [Google Scholar] [CrossRef] [Green Version]
- Ramos-Remus, C.; Duran-Barragan, S.; Castillo-Ortiz, J.D. Beyond the joints: Neurological involvement in rheumatoid arthritis. Clin. Rheumatol. 2012, 31, 1–12. [Google Scholar] [CrossRef] [PubMed]
- Mokhtari, T.; Tu, Y.; Hu, L. Involvement of the hippocampus in chronic pain and depression. Brain Sci. Adv. 2019, 5, 288–298. [Google Scholar] [CrossRef]
- Ekdahl, C.; Claasen, J.; Bonde, S.; Kokaia, Z.; Lindvall, O. Inflammation is detrimental for neurogenesis in adult brain. Proc. Natl. Acad. Sci. USA 2003, 100, 13632–13637. [Google Scholar] [CrossRef] [Green Version]
- Fuggle, N.; Howe, F.; Allen, R.; Sofat, N. New insights into the impact of neuro-inflammation in rheumatoid arthritis. Front. Neurosci. 2014, 8, 357. [Google Scholar] [CrossRef] [PubMed] [Green Version]
- Liu, Q.; Xin, W.; He, P.; Turner, D.; Yin, J.; Gan, Y.; Shi, F.; Wu, J. Interleukin-17 inhibits Adult Hippocampal Neurogenesis. Sci. Rep. 2014, 4, 7554. [Google Scholar] [CrossRef] [PubMed] [Green Version]
- Bramlage, C.P.; Häupl, T.; Kaps, C.; Ungethüm, U.; Krenn, V.; Pruss, A.; Müller, G.A.; Strutz, F.; Burmester, G.R. Decrease in expression of bone morphogenetic proteins 4 and 5 in synovial tissue of patients with osteoarthritis and rheumatoid arthritis. Arthritis Res. Ther. 2006, 8, R58. [Google Scholar] [CrossRef] [PubMed] [Green Version]
- Varga, A.; Wrana, J. The disparate role of BMP in stem cell biology. Oncogene 2005, 24, 5713–5721. [Google Scholar] [CrossRef] [Green Version]
- Morrison, S.; Spradling, A. Stem Cells and Niches: Mechanisms That Promote Stem Cell Maintenance throughout Life. Cell 2008, 132, 598–611. [Google Scholar] [CrossRef] [Green Version]
- Lim, D.A.; Tramontin, A.D.; Trevejo, J.M.; Herrera, D.G.; Garcia-Verdugo, J.M.; Alvarez-Buylla, A. Noggin antagonizes BMP signaling to create a niche for adult neurogenesis. Neuron 2000, 28, 713–726. [Google Scholar] [CrossRef] [Green Version]
- Coskun, V.; Venkatraman, G.; Yang, H.; Rao, M.S.; Luskin, M.B. Retroviral manipulation of the expression of bone morphogenetic protein receptor Ia by SVZa progenitor cells leads to changes in their p19(INK4d) expression but not in their neuronal commitment. Int. J. Dev. Neurosci. 2001, 19, 219–227. [Google Scholar] [CrossRef] [Green Version]
- Colak, D.; Mori, T.; Brill, M.S.; Pfeifer, A.; Falk, S.; Deng, C.; Monteiro, R.; Mummery, C.; Sommer, L.; Götz, M. Adult neurogenesis requires Smad4-mediated bone morphogenic protein signaling in stem cells. J. Neurosci. 2008, 28, 434–446. [Google Scholar] [CrossRef]
- Bonaguidi, M.A.; Peng, C.Y.; McGuire, T.; Falciglia, G.; Gobeske, K.T.; Czeisler, C.; Kessler, J.A. Noggin expands neural stem cells in the adult hippocampus. J. Neurosci. 2008, 28, 9194–9204. [Google Scholar] [CrossRef]
- Bond, A.; Peng, C.; Meyers, E.; McGuire, T.; Ewaleifoh, O.; Kessler, J. BMP Signaling Regulates the Tempo of Adult Hippocampal Progenitor Maturation at Multiple Stages of the Lineage. Stem Cells 2014, 32, 2201–2214. [Google Scholar] [CrossRef]
- Lories, R.; Derese, I.; Ceuppens, J.; Luyten, F. Bone morphogenetic proteins 2 and 6, expressed in arthritic synovium, are regulated by proinflammatory cytokines and differentially modulate fibroblast-like synoviocyte apoptosis. Arthritis Rheum. 2003, 48, 2807–2818. [Google Scholar] [CrossRef] [PubMed]
- Hoffmann, M.H.; Tuncel, J.; Skriner, K.; Tohidast-Akrad, M.; Türk, B.; Pinol-Roma, S.; Serre, G.; Schett, G.; Smolen, J.S.; Holmdahl, R.; et al. The rheumatoid arthritis-associated autoantigen hnRNP-A2 (RA33) is a major stimulator of autoimmunity in rats with pristane-induced arthritis. J. Immunol. 2007, 179, 7568–7576. [Google Scholar] [CrossRef] [PubMed] [Green Version]
- Van Vollenhoven, R.F. Sex differences in rheumatoid arthritis: More than meets the eye. BMC Med. 2009, 7, 12. [Google Scholar] [CrossRef] [PubMed] [Green Version]
- Cutolo, M.; Sulli, A.; Capellino, S.; Villaggio, B.; Montagna, P.; Seriolo, B.; Straub, R.H. Sex hormones influence on the immune system: Basic and clinical aspects in autoimmunity. Lupus 2004, 13, 635–638. [Google Scholar] [CrossRef] [PubMed]
- Tuncel, J.; Haag, S.; Hoffmann, M.H.; Yau, A.C.; Hultqvist, M.; Olofsson, P.; Bäcklund, J.; Nandakumar, K.S.; Weidner, D.; Fischer, A.; et al. Animal Models of Rheumatoid Arthritis (I): Pristane-Induced Arthritis in the Rat. PLoS ONE 2016, 11, e0155936. [Google Scholar] [CrossRef]
- Giacometti, J.; Kezele, G.T. Olive Leaf Polyphenols Attenuate the Clinical Course of Experimental Autoimmune Encephalomyelitis and Provide Neuroprotection by Reducing Oxidative Stress, Regulating Microglia and SIRT1, and Preserving Myelin Integrity. Oxid. Med. Cell. Longev. 2020, 2020, 6125638. [Google Scholar] [CrossRef] [PubMed]
- Ćurko-Cofek, B.; Kezele, G.T.; Marinić, J.; Tota, M.; Čizmarević, S.N.; Milin, Č.; Ristić, S.; Radošević-Stašić, B.; Barac-Latas, V. Chronic iron overload induces gender-dependent changes in iron homeostasis, lipid peroxidation and clinical course of experimental autoimmune encephalomyelitis. Neurotoxicology 2016, 57, 1–12. [Google Scholar] [CrossRef]
- Jakovac, H.; Kezele, G.T.; Radošević-Stašić, B. Expression Profiles of Metallothionein I/II and Megalin in Cuprizone Model of De- and Remyelination. Neuroscience 2018, 388, 69–86. [Google Scholar] [CrossRef] [PubMed]
- Kezele, G.T.; Zagorac, B.G.; Jakovac, H.; Domitrović, R.; Radošević-Stašić, B. Hippocampal expressions of metallothionein I/II and glycoprotein 96 in EAE-prone and EAE-resistant strains of rats. Histol. Histopathol. 2017, 32, 137–151. [Google Scholar] [CrossRef]
- Krenn, V.; Morawietz, L.; Burmester, G.; Kinne, R.; Mueller-Ladner, U.; Muller, B.; Haupl, T. Synovitis score: Discrimination between chronic low-grade and high-grade synovitis. Histopathology 2006, 49, 358–364. [Google Scholar] [CrossRef]
- Popa, C.; Netea, M.G.; van Riel, P.L.; van der Meer, J.W.; Stalenhoef, A.F. The role of TNF-alpha in chronic inflammatory conditions, intermediary metabolism, and cardiovascular risk. J. Lipid Res. 2007, 48, 751–762. [Google Scholar] [CrossRef] [PubMed] [Green Version]
- Visvanathan, S.; Rahman, M.U.; Keystone, E.; Genovese, M.; Klareskog, L.; Hsia, E.; Mack, M.; Buchanan, J.; Elashoff, M.; Wagner, C. Association of serum markers with improvement in clinical response measures after treatment with golimumab in patients with active rheumatoid arthritis despite receiving methotrexate: Results from the GO-FORWARD study. Arthritis Res. Ther. 2010, 12, R211. [Google Scholar] [CrossRef] [Green Version]
- Kugyelka, R.; Kohl, Z.; Olasz, K.; Mikecz, K.; Rauch, T.A.; Glant, T.T.; Boldizsar, F. Enigma of IL-17 and Th17 Cells in Rheumatoid Arthritis and in Autoimmune Animal Models of Arthritis. Mediators Inflamm. 2016, 2016, 6145810. [Google Scholar] [CrossRef] [PubMed] [Green Version]
- Gaffen, S.L. The role of interleukin-17 in the pathogenesis of rheumatoid arthritis. Curr. Rheumatol. Rep. 2009, 11, 365–370. [Google Scholar] [CrossRef]
- Chabaud, M.; Fossiez, F.; Taupin, J.L.; Miossec, P. Enhancing effect of IL-17 on IL-1-induced IL-6 and leukemia inhibitory factor production by rheumatoid arthritis synoviocytes and its regulation by Th2 cytokines. J. Immunol. 1998, 161, 409–414. [Google Scholar]
- Beringer, A.; Thiam, N.; Molle, J.; Bartosch, B.; Miossec, P. Synergistic effect of interleukin-17 and tumour necrosis factor-alpha on inflammatory response in hepatocytes through interleukin-6-dependent and independent pathways. Clin. Exp. Immunol. 2018, 193, 221–233. [Google Scholar] [CrossRef] [Green Version]
- Zrioual, S.; Ecochard, R.; Tournadre, A.; Lenief, V.; Cazalis, M.A.; Miossec, P. Genome-wide comparison between IL-17A- and IL-17F-induced effects in human rheumatoid arthritis synoviocytes. J Immunol. 2009, 182, 3112–3120. [Google Scholar] [CrossRef] [PubMed]
- Dakin, S.G.; Coles, M.; Sherlock, J.P.; Powrie, F.; Carr, A.J.; Buckley, C.D. Pathogenic stromal cells as therapeutic targets in joint inflammation. Nat. Rev. Rheumatol. 2018, 14, 714–726. [Google Scholar] [CrossRef] [Green Version]
- Miossec, P. Local and systemic effects of IL-17 in joint inflammation: A historical perspective from discovery to targeting. Cell Mol. Immunol. 2021, 18, 860–865. [Google Scholar] [CrossRef]
- Xing, D.; Oparil, S.; Yu, H.; Gong, K.; Feng, W.; Black, J.; Chen, Y.; Nozell, S. Estrogen Modulates NFκB Signaling by Enhancing IκBα Levels and Blocking p65 Binding at the Promoters of Inflammatory Genes via Estrogen Receptor-β. PLoS ONE 2012, 7, e36890. [Google Scholar] [CrossRef]
- Romo-Garcia, M.F.; Zapata-Zuñiga, M.; Enciso-Moreno, J.A.; Castañeda-Delgado, J.E. The Role of Estrogens in Rheumatoid Arthritis Physiopathology. In Rheumatoid Arthritis—Other Perspectives towards a Better Practice; IntechOpen: London, UK, 2020. [Google Scholar] [CrossRef]
- Cutolo, M.; Sulli, A.; Capellino, S.; Villaggio, B.; Montagna, P.; Pizzorni, C.; Paolino, S.; Seriolo, B.; Felli, L.; Straub, R.H. Anti-TNF and sex hormones. Ann. N. Y. Acad. Sci. 2006, 1069, 391–400. [Google Scholar] [CrossRef] [PubMed]
- Traish, A.; Bolanos, J.; Nair, S.; Saad, F.; Morgentaler, A. Do Androgens Modulate the Pathophysiological Pathways of Inflammation? Appraising the Contemporary Evidence. J. Clin. Med. 2018, 7, 549. [Google Scholar] [CrossRef] [Green Version]
- Kezele, G.T.; Ćurko-Cofek, B. Age-Related Changes and Sex-Related Differences in Brain Iron Metabolism. Nutrients 2020, 12, 2601. [Google Scholar] [CrossRef] [PubMed]
- Andersson, A.; Stubelius, A.; Karlsson, M.N.; Engdahl, C.; Erlandsson, M.; Grahnemo, L.; Lagerquist, M.K.; Islander, U. Estrogen regulates T helper 17 phenotype and localization in experimental autoimmune arthritis. Arthritis Res. Ther. 2015, 17, 32. [Google Scholar] [CrossRef] [Green Version]
- Varas, A.; Valencia, J.; Lavocat, F.; Martínez, V.G.; Thiam, N.N.; Hidalgo, L.; Fernández-Sevilla, L.M.; Sacedón, R.; Vicente, A.; Miossec, P. Blockade of bone morphogenetic protein signaling potentiates the proinflammatory phenotype induced by interleukin-17 and tumor necrosis factor-α combination in rheumatoid synoviocytes. Arthritis Res. Ther. 2015, 17, 192. [Google Scholar] [CrossRef] [Green Version]
- Lories, R.J.; Luyten, F.P. Bone morphogenetic proteins in destructive and remodeling arthritis. Arthritis Res. Ther. 2007, 9, 207. [Google Scholar] [CrossRef] [PubMed] [Green Version]
- Steenvoorden, M.M.; Tolboom, T.C.; van der Pluijm, G.; Löwik, C.; Visser, C.P.; DeGroot, J.; Gittenberger-DeGroot, A.C.; DeRuiter, M.C.; Wisse, B.J.; Huizinga, T.W.; et al. Transition of healthy to diseased synovial tissue in rheumatoid arthritis is associated with gain of mesenchymal/fibrotic characteristics. Arthritis Res. Ther. 2006, 8, R165. [Google Scholar] [CrossRef] [PubMed] [Green Version]
- Brennan, F.M.; McInnes, I.B. Evidence that cytokines play a role in rheumatoid arthritis. J. Clin. Investig. 2008, 118, 3537–3545. [Google Scholar] [CrossRef] [Green Version]
- Csiszar, A.; Ahmad, M.; Smith, K.E.; Labinskyy, N.; Gao, Q.; Kaley, G.; Edwards, J.G.; Wolin, M.S.; Ungvari, Z. Bone morphogenetic protein-2 induces proinflammatory endothelial phenotype. Am. J. Pathol. 2006, 168, 629–638. [Google Scholar] [CrossRef] [Green Version]
- Csiszar, A.; Labinskyy, N.; Jo, H.; Ballabh, P.; Ungvari, Z. Differential proinflammatory and prooxidant effects of bone morphogenetic protein-4 in coronary and pulmonary arterial endothelial cells. Am. J. Physiol. Heart Circ. Physiol. 2008, 295, H569–H577. [Google Scholar] [CrossRef] [Green Version]
- Cunningham, N.S.; Paralkar, V.; Reddi, A.H. Osteogenin and recombinant bone morphogenetic protein 2B are chemotactic for human monocytes and stimulate transforming growth factor beta 1 mRNA expression. Proc. Natl. Acad. Sci. USA 1992, 89, 11740–11744. [Google Scholar] [CrossRef] [Green Version]
- Perron, J.C.; Dodd, J. ActRIIA and BMPRII Type II BMP receptor subunits selectively required for Smad4-independent BMP7-evoked chemotaxis. PLoS ONE 2009, 4, e8198. [Google Scholar] [CrossRef] [PubMed]
- Hong, J.H.; Lee, G.T.; Lee, J.H.; Kwon, S.J.; Park, S.H.; Kim, S.J.; Kim, I.Y. Effect of bone morphogenetic protein-6 on macrophages. Immunology 2009, 128, e442–e450. [Google Scholar] [CrossRef] [PubMed]
- Lee, G.T.; Jung, Y.S.; Lee, J.H.; Kim, W.J.; Kim, I.Y. Bone morphogenetic protein 6-induced interleukin-1β expression in macrophages requires PU.1/Smad1 interaction. Mol. Immunol. 2011, 48, 1540–1547. [Google Scholar] [CrossRef] [PubMed]
- Martínez, V.G.; Hernández-López, C.; Valencia, J.; Hidalgo, L.; Entrena, A.; Zapata, A.G.; Vicente, A.; Sacedón, R.; Varas, A. The canonical BMP signaling pathway is involved in human monocyte-derived dendritic cell maturation. Immunol. Cell Biol. 2011, 89, 610–618. [Google Scholar] [CrossRef]
- Varas, A.; Martínez, V.; Hernández-López, C.; Hidalgo, L.; Entrena, A.; Valencia, J.; Zapata, A.; Sacedón, R.; Vicente, A. Role of BMP signalling in peripheral CD4+ T cell proliferation. Inmunología 2009, 28, 125–130. [Google Scholar] [CrossRef]
- Yoshioka, Y.; Ono, M.; Osaki, M.; Konishi, I.; Sakaguchi, S. Differential effects of inhibition of bone morphogenic protein (BMP) signalling on T-cell activation and differentiation. Eur. J. Immunol. 2012, 42, 749–759. [Google Scholar] [CrossRef]
- Fiedler, J.; Röderer, G.; Günther, K.P.; Brenner, R.E. BMP-2, BMP-4, and PDGF-bb stimulate chemotactic migration of primary human mesenchymal progenitor cells. J. Cell Biochem. 2002, 87, 305–312. [Google Scholar] [CrossRef]
- Lee, D.H.; Park, B.J.; Lee, M.S.; Lee, J.W.; Kim, J.K.; Yang, H.C.; Park, J.C. Chemotactic migration of human mesenchymal stem cells and MC3T3-E1 osteoblast-like cells induced by COS-7 cell line expressing rhBMP-7. Tissue Eng. 2006, 12, 1577–1586. [Google Scholar] [CrossRef]
- Postlethwaite, A.E.; Raghow, R.; Stricklin, G.; Ballou, L.; Sampath, T.K. Osteogenic protein-1, a bone morphogenic protein member of the TGF-beta superfamily, shares chemotactic but not fibrogenic properties with TGF-beta. J. Cell Physiol. 1994, 161, 562–570. [Google Scholar] [CrossRef] [PubMed]
- Jensen, E.D.; Pham, L.; Billington, C.J., Jr.; Espe, K.; Carlson, A.E.; Westendorf, J.J.; Petryk, A.; Gopalakrishnan, R.; Mansky, K. Bone morphogenic protein 2 directly enhances differentiation of murine osteoclast precursors. J. Cell. Biochem. 2010, 109, 672–682. [Google Scholar] [CrossRef] [PubMed] [Green Version]
- Urshansky, N.; Mausner-Fainberg, K.; Auriel, E.; Regev, K.; Bornstein, N.M.; Karni, A. Reduced production of noggin by immune cells of patients with relapsing-remitting multiple sclerosis. J. Neuroimmunol. 2011, 232, 171–178. [Google Scholar] [CrossRef]
- Iosif, R.E.; Ekdahl, C.T.; Ahlenius, H.; Pronk, C.J.; Bonde, S.; Kokaia, Z.; Jacobsen, S.E.; Lindvall, O. Tumor necrosis factor receptor 1 is a negative regulator of progenitor proliferation in adult hippocampal neurogenesis. J. Neurosci. 2006, 26, 9703–9712. [Google Scholar] [CrossRef] [PubMed] [Green Version]
- Kim, M.; Jung, K.; Kim, I.S.; Lee, I.S.; Ko, Y.; Shin, J.E.; Park, K.I. TNF-α induces human neural progenitor cell survival after oxygen-glucose deprivation by activating the NF-κB pathway. Exp. Mol. Med. 2018, 50, 1–14. [Google Scholar] [CrossRef] [Green Version]
- Jang, D.I.; Lee, A.H.; Shin, H.Y.; Song, H.R.; Park, J.H.; Kang, T.B.; Lee, S.R.; Yang, S.H. The Role of Tumor Necrosis Factor Alpha (TNF-α) in Autoimmune Disease and Current TNF-α Inhibitors in Therapeutics. Int. J. Mol. Sci. 2021, 22, 2719. [Google Scholar] [CrossRef]
- Wang, X.; Xu, J.M.; Wang, Y.P.; Yang, L.; Li, Z.J. Protective effects of BMP-7 against tumor necrosis factor α-induced oligodendrocyte apoptosis. Int. J. Dev. Neurosci. 2016, 53, 10–17. [Google Scholar] [CrossRef]



| Variable | Gender | Average Grey Value BMP4 | Average Grey Value BMP7 | Average Grey Value Noggin | Average Grey Value Gremlin |
|---|---|---|---|---|---|
| TNF-α | Males | −0.06 | 0.22 | 0.04 | 0.29 |
| Females | 0.03 | 0.76 ** | 0.38 | 0.46 | |
| IL-17A | Males | 0.45 | 0.34 | 0.93 *** | 0.35 |
| Females | 0.53 * | 0.31 | 0.83 *** | 0.78 *** | |
| Krenn | Males | −0.45 | 0.69 ** | 0.30 | 0.64 * |
| Females | 0.87 *** | 0.71 ** | 0.23 | 0.63 * |
| Variable | Gender | |||||
|---|---|---|---|---|---|---|
| Males | Females | |||||
| PIA-Onset | PIA-Peak | PIA-Remission | PIA-Onset | PIA-Peak | PIA-Remission | |
| DCX+ cells | ↓ | ↓ | ↓ | ↓ | ↓ | ↔ |
| Ki67+ cells | ↔ | ↓ | ↓ | ↓ | ↓ | ↔ |
| DCX/Ki67 | ↓ | ↓ | ↓ | ↔ | ↓ | ↑ |
| TNF-α | ↔ | ↔ | ↔ | ↔ | ↔ | ↑↑ |
| IL-17A | ↑↑ | ↑ | ↑ | ↑ | ↑ | ↔ |
| Hippocampal BMP4 | ↓ | ↑ | ↓ | ↓ | ↓ | ↓ |
| Hippocampal BMP7 | ↓ | ↓ | ↑ | ↔ | ↔ | ↑ |
| Hippocampal Noggin | ↓ | ↓ | ↓ | ↓ | ↓ | ↓ |
| Hippocampal Gremlin | ↑↑ | ↔ | ↔ | ↔ | ↔ | ↔ |
| Synovial BMP4 | ↑ | ↓ | ↓ | ↑ | ↑↑ | ↑↑ |
| Synovial BMP7 | ↑ | ↑ | ↑ | ↑ | ↑ | ↑↑ |
| Synovial Noggin | ↑ | ↑ | ↑ | ↑↑ | ↑ | ↑↑ |
| Synovial Gremlin | ↑ | ↑ | ↑ | ↑↑ | ↑↑ | ↑↑ |
| Krenn synovitis score | ↑ | ↑ | ↑ | ↑ | ↑ | ↑↑ |
Publisher’s Note: MDPI stays neutral with regard to jurisdictional claims in published maps and institutional affiliations. |
© 2021 by the authors. Licensee MDPI, Basel, Switzerland. This article is an open access article distributed under the terms and conditions of the Creative Commons Attribution (CC BY) license (https://creativecommons.org/licenses/by/4.0/).
Share and Cite
Omrčen, H.; Zoričić Cvek, S.; Batičić, L.; Šućurović, S.; Grubić Kezele, T. Gender-Related Differences in BMP Expression and Adult Hippocampal Neurogenesis within Joint-Hippocampal Axis in a Rat Model of Rheumatoid Arthritis. Int. J. Mol. Sci. 2021, 22, 12163. https://doi.org/10.3390/ijms222212163
Omrčen H, Zoričić Cvek S, Batičić L, Šućurović S, Grubić Kezele T. Gender-Related Differences in BMP Expression and Adult Hippocampal Neurogenesis within Joint-Hippocampal Axis in a Rat Model of Rheumatoid Arthritis. International Journal of Molecular Sciences. 2021; 22(22):12163. https://doi.org/10.3390/ijms222212163
Chicago/Turabian StyleOmrčen, Hrvoje, Sanja Zoričić Cvek, Lara Batičić, Sandra Šućurović, and Tanja Grubić Kezele. 2021. "Gender-Related Differences in BMP Expression and Adult Hippocampal Neurogenesis within Joint-Hippocampal Axis in a Rat Model of Rheumatoid Arthritis" International Journal of Molecular Sciences 22, no. 22: 12163. https://doi.org/10.3390/ijms222212163
APA StyleOmrčen, H., Zoričić Cvek, S., Batičić, L., Šućurović, S., & Grubić Kezele, T. (2021). Gender-Related Differences in BMP Expression and Adult Hippocampal Neurogenesis within Joint-Hippocampal Axis in a Rat Model of Rheumatoid Arthritis. International Journal of Molecular Sciences, 22(22), 12163. https://doi.org/10.3390/ijms222212163

