Development of a Mucus Gland Bioreactor in Loach Paramisgurnus dabryanus
Abstract
1. Introduction
2. Results
2.1. Construction of a Transgenic Vector
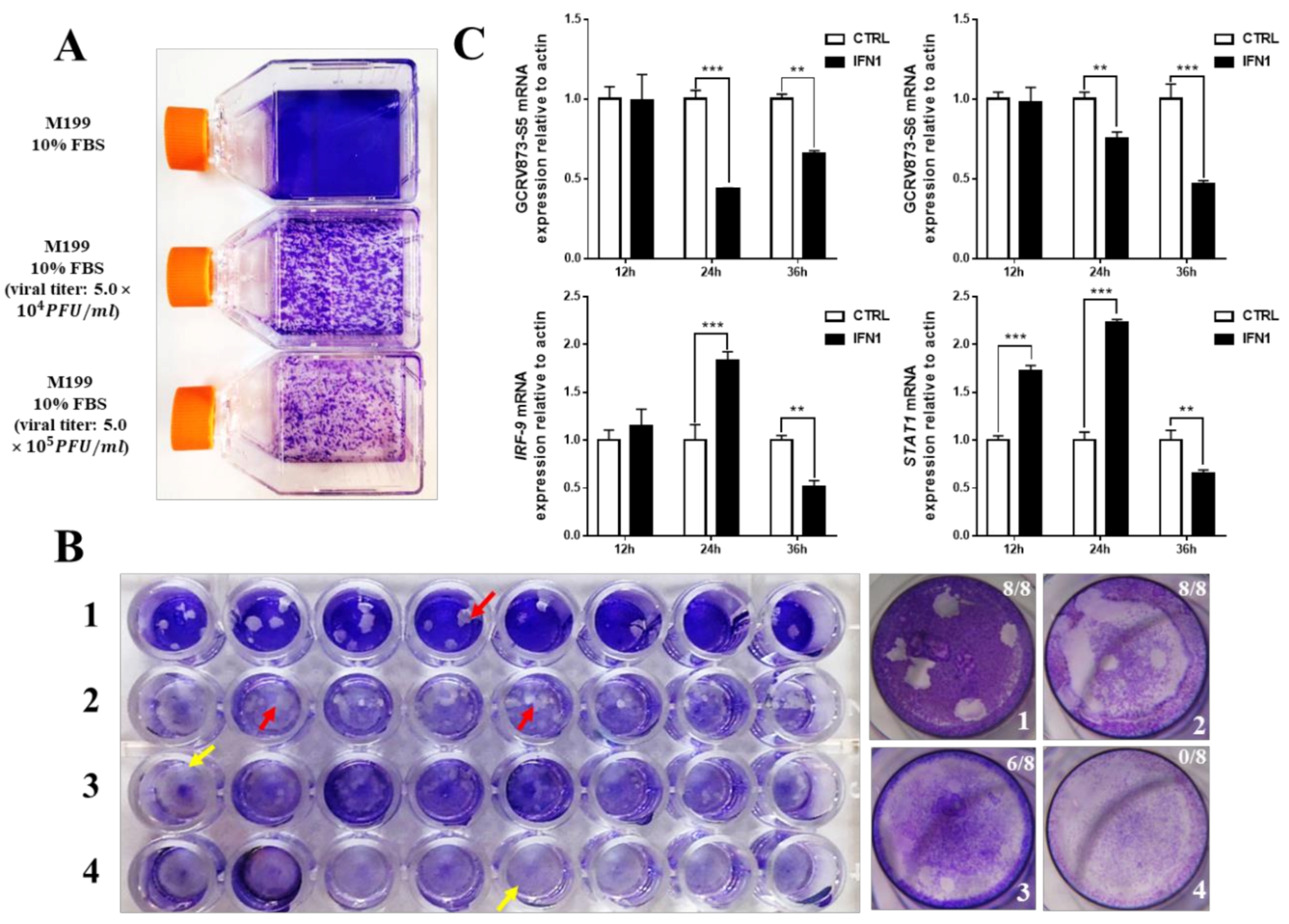
2.2. Antiviral Activity of Grass Carp IFN1
2.3. Generation of Transgenic Loaches
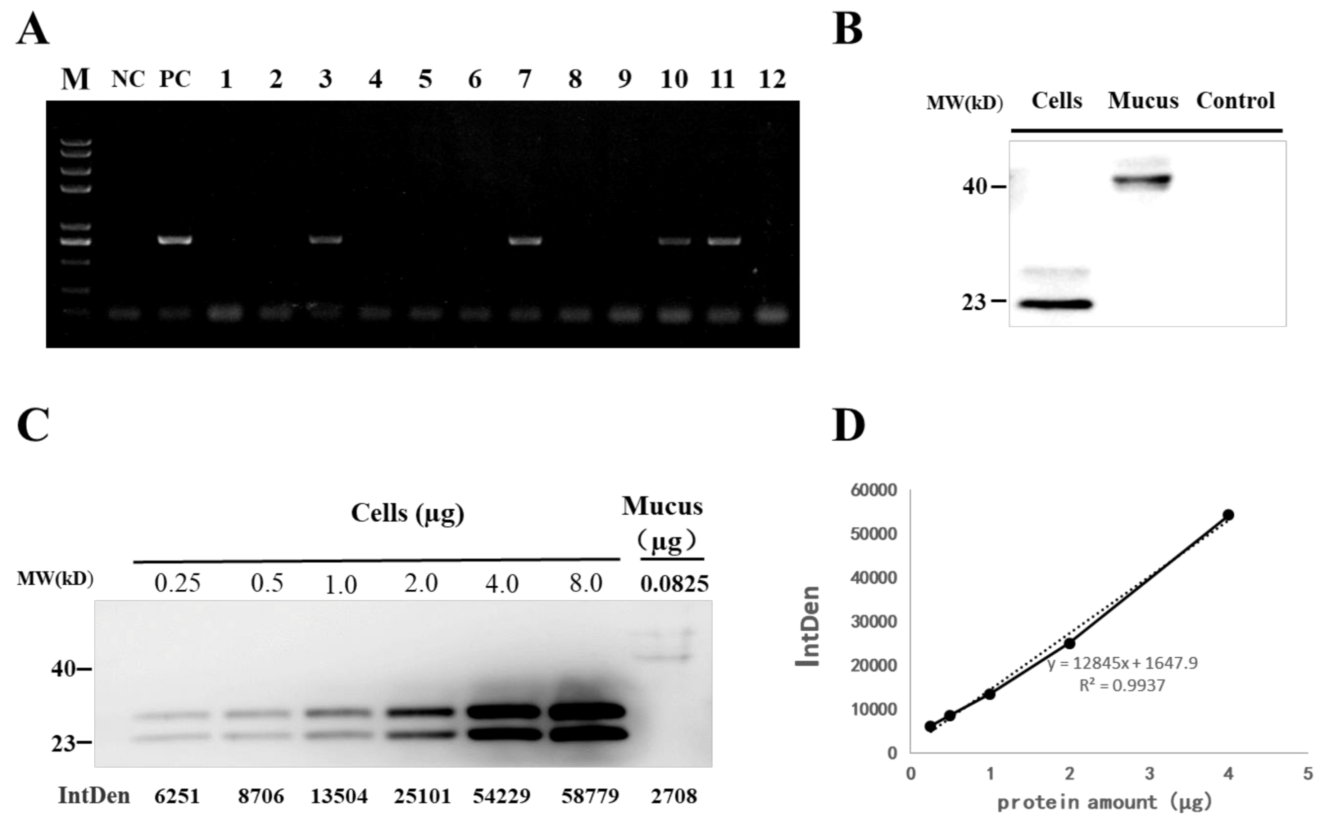
2.4. Expression of Grass Carp IFN1 in Transgenic Loaches
2.5. IFN1 in Mucus of Transgenic Loaches Protects CIK Cells from Viral Infection
2.6. Insertion Site of IFN1 cDNA in Transgenic Loaches
3. Discussion
4. Materials and Methods
4.1. Maintenance of Loaches
4.2. Generation of Transgenic Loaches
4.3. Cell Culture, Transfection and IFN1 Purification
4.4. Antiviral Assays
4.5. RT-PCR
4.6. Western Blotting
4.7. Deglycosylation of Purified Protein
4.8. Southern Blotting
4.9. Genome Walking Assays
4.10. Statistical Analysis
5. Patents
Supplementary Materials
Author Contributions
Funding
Institutional Review Board Statement
Informed Consent Statement
Data Availability Statement
Acknowledgments
Conflicts of Interest
Abbreviations
| MDPI | Multidisciplinary Digital Publishing Institute |
| DOAJ | Directory of open access journals |
| PCR | Polymerase chain reaction |
| RT-PCR | Reverse transcription PCR |
| gcIFN1 | Grass carp type I interferon |
| GCRV | Grass carp reovirus |
| CIK | Kidney tissue cell lines of grass carp |
| 293T | Human embryonic kidney 293 cells |
| GFP | Green flourescent protein |
| PFU | Plaque forming unit |
| FBS | Fetal bovine serum |
References
- Turner, K.B.; Dean, S.N.; Walper, S.A. Bacterial bioreactors: Outer membrane vesicles for enzyme encapsulation. Methods Enzymol. 2019, 617, 187–216. [Google Scholar]
- Daly, R.; Hearn, M.T. Expression of heterologous proteins in Pichia pastoris: A useful experimental tool in protein engineering and production. J. Mol. Recognit. 2005, 18, 119–138. [Google Scholar] [CrossRef] [PubMed]
- Ma, S.; Jevnikar, A.M. Transgenic rice for allergy immunotherapy. Proc. Natl. Acad. Sci. USA 2005, 102, 17255–17256. [Google Scholar] [CrossRef] [PubMed]
- Bertolini, L.R.; Meade, H.; Lazzarotto, C.R.; Martins, L.T.; Tavares, K.C.; Bertolini, M.; Murray, J.D. The transgenic animal platform for biopharmaceutical production. Transgenic Res. 2016, 25, 329–343. [Google Scholar] [CrossRef] [PubMed]
- Gomord, V.; Chamberlain, P.; Jefferis, R.; Faye, L. Biopharmaceutical production in plants: Problems, solutions and opportunities. Trends Biotechnol. 2005, 23, 559–565. [Google Scholar] [CrossRef]
- Van Berkel, P.H.; Welling, M.M.; Geerts, M.v.V.H.A.; Ravensbergen, B.; Salaheddine, M.; Pauwels, E.K.; Pieper, F.; Nuijens, J.H.; Nibbering, P.H. Large scale production of recombinant human lactoferrin in the milk of transgenic cows. Nat. Biotechnol. 2002, 20, 484–487. [Google Scholar] [CrossRef]
- Zbikowska, H.M. Fish can be first-advances in fish transgenesis for commercial applications. Transgenic Res. 2003, 12, 379–389. [Google Scholar] [CrossRef]
- Zhu, Z.; He, L.; Chen, S. Novel gene transfer into the fertilized eggs of gold fish (Carassius auratus L. 1758). J. Appl. Ichthyol. 1985, 1, 31–34. [Google Scholar] [CrossRef]
- Hu, S.Y.; Liao, C.H.; Lin, Y.P.; Li, Y.H.; Gong, H.Y.; Lin, G.H.; Kawakami, K.; Yang, T.H.; Wu, J.L. Zebrafish eggs used as bioreactors for the production of bioactive tilapia insulin-like growth factors. Transgenic Res. 2011, 20, 73–83. [Google Scholar] [CrossRef]
- Tsai, H.J.; Wang, S.H.; Inoue, K.; Takagi, S.; Kimura, M.; Wakamatsu, Y.; Ozato, K. Initiation of the transgenic lacZ gene expression in medaka (Oryzias latipes) embryos. Mol. Mar. Biol. Biotechnol. 1995, 4, 1–9. [Google Scholar]
- Hwang, G.; Muller, F.; Rahman, M.A.; Williams, D.W.; Murdock, P.J.; Pasi, K.J.; Goldspink, G.; Farahmand, H.; Maclean, N. Fish as bioreactors: Transgene expression of human coagulation factor VII in fish embryos. Mar. Biotechnol. 2004, 6, 485–492. [Google Scholar] [CrossRef] [PubMed]
- Morita, T.; Yoshizaki, G.; Kobayashi, M.; Watabe, S.; Takeuchi, T. Fish eggs as bioreactors the production of bioactive luteinizing hormone in transgenic trout embryos. Transgenic Res. 2004, 13, 551–557. [Google Scholar] [CrossRef] [PubMed]
- Harris, J.E.; Hunt, S. The fine structure of the epidermis of two species of salmonid fish, the Atlantic salmon (Salmo salar L.) and the brown trout (Salmo trutta L.). I. General organization and filament-containing cells. Cell Tissue Res. 1975, 157, 553–565. [Google Scholar] [CrossRef] [PubMed]
- Wang, H.; Tang, W.; Zhang, R.; Ding, S. Analysis of enzyme activity, antibacterial activity, antiparasitic activity and physico-chemical stability of skin mucus derived from Amphiprion clarkii. Fish Shellfish Immunol. 2019, 86, 653–661. [Google Scholar] [CrossRef]
- Valero, Y.; Cortes, J.; Mercado, L. NK-lysin from skin-secreted mucus of Atlantic salmon and its potential role in bacteriostatic activity. Fish Shellfish Immunol 2019, 87, 410–413. [Google Scholar] [CrossRef]
- Brinchmann, M.F. Immune relevant molecules identified in the skin mucus of fish using -omics technologies. Mol. Biosyst. 2016, 12, 2056–2063. [Google Scholar] [CrossRef]
- Van De Winkel, J.G.; Van Kuppevelt, T.H.; Janssen, H.M.; Lock, R.A. Glycosaminoglycans in the skin mucus of rainbow trout (Salmo gairdneri). Comp. Biochem. Physiol. Part B Comp. Biochem. 1986, 85, 473–475. [Google Scholar] [CrossRef]
- Bullock, A.M.; Marks, R.; Roberts, R.J. The cell kinetics of teleost fish epidermis: Epidermalmitotic activity in relation to wound healing at varying temperatures in plaice (Pleuronectes platessa). J. Zool. 1978, 185, 197–204. [Google Scholar] [CrossRef]
- Shephard, K.L. Functions for fish mucus. Rev. Fish Biol. Fish. 1994, 4, 401–429. [Google Scholar] [CrossRef]
- Wright, P.; Heming, T.; Randall, D. Downstream pH Changes in Water Flowing Over the Gills of Rainbow Trout. J. Exp. Biol. 1986, 126, 499–512. [Google Scholar]
- Huang, Z.-H.; Ma, A.-J.; Lei, J.-L. Progress in study on the skin mucus lectin in fish. Zool. Res. 2014, 34, 674–679. [Google Scholar]
- Cameron, A.; Endean, R. Epidermal secretions and the evolution of venom glands in fishes. Toxicon 1973, 11, 401–410. [Google Scholar] [CrossRef]
- Flik, G.; Rijs, J.; Bonga, S. Evidence for the presence of calmodulin in fish mucus. FEBS J. 1984, 138, 651–654. [Google Scholar] [CrossRef] [PubMed]
- Hara, T.J. Role of Olfaction in Fish Behaviour. In The Behaviour of Teleost Fishes; Pitcher, T.J., Ed.; Springer: Boston, MA, USA, 1986; pp. 152–176. [Google Scholar]
- Hjelmeland, K.; Christie, M.; Raa, J. Skin mucus protease from rainbow trout, Salmo gairdneri Richardson, and its biological significance. J. Fish Biol. 1983, 23, 13–22. [Google Scholar] [CrossRef]
- Verdugo, P.; Deyrupolsen, I.; Altken, M.; Villalon, M.; Johnson, D. Molecular mechanism of mucin secretion I. The role of intragranular charge shielding. J. Dent. Res. 1987, 66, 506–508. [Google Scholar] [CrossRef]
- Imboden, M.; Goblet, C.; Korn, H.; Vriz, S. Cytokeratin 8 is a suitable epidermal marker during zebrafish development. Comptes Rendus de l’Académie des Sciences Series III Sciences de la Vie 1997, 320, 689–700. [Google Scholar] [CrossRef]
- Chua, K.; Lim, T. Type I and type II cytokeratin cDNAs from the zebrafish (Danio rerio) and expression patterns during early development. Differentiation 2000, 66, 31–41. [Google Scholar] [CrossRef]
- Gong, Z.; Ju, B.; Wang, X.; He, J.; Wan, H.; Sudha, P.M.; Yan, T. Green fluorescent protein expression in germ-line transmitted transgenic zebrafish under a stratified epithelial promoter from keratin8. Dev. Dyn. 2002, 223, 204–215. [Google Scholar] [CrossRef]
- Zeng, Z.; Liu, X.; Seebah, S.; Gong, Z. Faithful expression of living color reporter genes in transgenic medaka under two tissue-specific zebrafish promoters. Dev. Dyn. 2005, 234, 387–392. [Google Scholar] [CrossRef]
- Tian, Y.; Ye, X.; Zhang, L.; Deng, G.; Bai, Y. Development of a novel candidate subunit vaccine against Grass carp reovirus Guangdong strain (GCRV-GD108). Fish Shellfish Immunol. 2013, 35, 351–356. [Google Scholar] [CrossRef]
- Fan, C.; Shao, L.; Fang, Q. Characterization of the nonstructural protein NS80 of grass carp reovirus. Arch. Virol. 2010, 155, 1755–1763. [Google Scholar] [CrossRef] [PubMed]
- Wang, Q.; Zeng, W.; Liu, C.; Zhang, C.; Wang, Y.; Shi, C.; Wu, S. Complete genome sequence of a reovirus isolated from grass carp, indicating different genotypes of GCRV in China. J. Virol. 2012, 86, 12466. [Google Scholar] [CrossRef] [PubMed]
- Qu, S.; Zhang, X.; Zheng, C.; Hu, G.; Ai, T.; Ding, G.; Yu, Y.; Liu, Y. A poptosis of the cell line from grass carp (CIK) induced by fish reovirus. Acta Hydrobiol. Sin. 2000, 24, 616–620. [Google Scholar]
- He, L.; Zhang, A.; Pei, Y.; Chu, P.; Li, Y.; Huang, R.; Liao, L.; Zhu, Z.; Wang, Y. Differences in responses of grass carp to different types of grass carp reovirus (GCRV) and the mechanism of hemorrhage revealed by transcriptome sequencing. BMC Genom. 2017, 18, 452. [Google Scholar] [CrossRef]
- Qingquan, D.; lanfen, Y.; Lihua, K.; Yiyuan, C. Study on infecting other fishes with grass carp hemorrhage virus. Virol. Sin. 1991, 6, 371. [Google Scholar]
- Loignon, M.; Perret, S.; Kelly, J.; Boulais, D.; Cass, B.; Bisson, L.; Afkhamizarreh, F.; Durocher, Y. Stable high volumetric production of glycosylated human recombinant IFNalpha2b in HEK293 cells. BMC Biotechnol. 2008, 8, 65. [Google Scholar] [CrossRef]
- Sadler, A.J.; Williams, B.R. Interferon-inducible antiviral effectors. Nat. Rev. Immunol. 2008, 8, 559–568. [Google Scholar] [CrossRef]
- Demain, A.L.; Vaishnav, P. Production of recombinant proteins by microbes and higher organisms. Biotechnol. Adv. 2009, 27, 297–306. [Google Scholar] [CrossRef]
- Chen, W.; Wang, F.; Tian, C.; Wang, Y.; Xu, S.; Wang, R.; Hou, K.; Zhao, P.; Yu, L.; Lu, Z.; et al. Transgenic Silkworm-Based Silk Gland Bioreactor for Large Scale Production of Bioactive Human Platelet-Derived Growth Factor (PDGF-BB) in Silk Cocoons. Int. J. Mol. Sci. 2018, 19, 2533. [Google Scholar] [CrossRef]
- Strohl, W.R. Current progress in innovative engineered antibodies. Protein Cell 2018, 9, 86–120. [Google Scholar] [CrossRef]
- Makrides, S.C. Strategies for achieving high-level expression of genes in Escherichia coli. Microbiol. Rev. 1996, 60, 512–538. [Google Scholar] [CrossRef] [PubMed]
- Hamilton, S.R.; Bobrowicz, P.; Bobrowicz, B.; Davidson, R.C.; Li, H.; Mitchell, T.; Nett, J.H.; Rausch, S.; Stadheim, T.A.; Wischnewski, H.; et al. Production of complex human glycoproteins in yeast. Science 2003, 301, 1244–1246. [Google Scholar] [CrossRef] [PubMed]
- Houdebine, L.M. Production of pharmaceutical proteins by transgenic animals. Comp. Immunol. Microbiol. Infect. Dis. 2009, 32, 107–121. [Google Scholar] [CrossRef] [PubMed]
- Houdebine, L.M. Antibody manufacture in transgenic animals and comparisons with other systems. Curr. Opin. Biotechnol. 2002, 13, 625–629. [Google Scholar] [CrossRef]
- Zeng, F.; Li, Z.; Zhu, Q.; Dong, R.; Zhao, C.; Li, G.; Li, G.; Gao, W.; Jiang, G.; Zheng, E.; et al. Production of functional human nerve growth factor from the saliva of transgenic mice by using salivary glands as bioreactors. Sci. Rep. 2017, 7, 41270. [Google Scholar] [CrossRef]
- Lubon, H. Transgenic animal bioreactors in biotechnology and production of blood proteins. Biotechnol. Annu. Rev. 1998, 4, 1–54. [Google Scholar]
- Dyck, M.K.; Lacroix, D.; Pothier, F.; Sirard, M.-A. Making recombinant proteins in animals—Different systems, different applications. Trends Biotechnol. 2003, 21, 394–399. [Google Scholar] [CrossRef]
- Jia, F.J.; Wang, T.H.; Zhang, Y.B. Preliminary Study on Prevention and Treatment to Grass Carp Hemorrhagia with Interferon. Fish. Sci. 2000, 19, 1–4. [Google Scholar]
- Kos, S.; Tesic, N.; Kamensek, U.; Blagus, T.; Cemazar, M.; Kranjc, S.; Lavrencak, J.; Sersa, G. Improved Specificity of Gene Electrotransfer to Skin Using pDNA Under the Control of Collagen Tissue-Specific Promoter. J. Membr. Biol. 2015, 248, 919–928. [Google Scholar] [CrossRef]
- Ivics, Z.; Hackett, P.B.; Plasterk, R.H.; Izsvak, Z. Molecular reconstruction of Sleeping Beauty, a Tc1-like transposon from fish, and its transposition in human cells. Cell 1997, 91, 501–510. [Google Scholar] [CrossRef]
- Kawakami, K. Tol2: A versatile gene transfer vector in vertebrates. Genome Biol. 2007, 8 (Suppl. 1), S7. [Google Scholar] [CrossRef] [PubMed]
- Long, Y.; Li, Q.; Zhou, B.; Song, G.; Li, T.; Cui, Z. De novo assembly of mud loach (Misgurnus anguillicaudatus) skin transcriptome to identify putative genes involved in immunity and epidermal mucus secretion. PLoS ONE 2013, 8, e56998. [Google Scholar] [CrossRef] [PubMed]
- Jiahong, Z.; Guangming, H.; Jianhua, B.; Guiliang, W.; Hejun, T.; Xiangming, K.; Shouhong, W.; Rong, X.; Lingyu, Z. The natural reproductive characteristics and artificial propagation technologies of the loach, Misgurnus anguillicaudatus. J. Yangzhou Univ. 2017, 38, 52–56. [Google Scholar]
- Chen, K.; Li, X.; Song, G.; Zhou, T.; Long, Y.; Li, Q.; Zhong, S.; Cui, Z. Tmbim3a/Grinaa initiates cold-induced ER stress and cell death by activating an intrinsic apoptotic pathway in zebrafish. J. Biol. Chem. 2019, 294, 11445–11457. [Google Scholar] [CrossRef] [PubMed]
- Campos, M.J.; Quesada, A. Strategies to Improve Efficiency and Specificity of Degenerate Primers in PCR. Methods Mol. Biol. 2017, 1620, 75–85. [Google Scholar] [PubMed]
- Yan, H.; Xiong, Y.; da Silva, J.A.T.; Pang, J.; Zhang, T.; Yu, X.; Zhang, X.; Niu, M.; Ma, G. Molecular Cloning and Functional Characterization of Bisabolene Synthetase (SaBS) Promoter from Santalum album. Forests 2020, 11, 85. [Google Scholar] [CrossRef]






| Primer | Sequence (5′-3′) |
|---|---|
| gcIFN1-F | CTCGAGATGAAAACTCAAATGTGGACG |
| gcIFN1-R | CCTAGGAGCAGACAACCGTTACGAAC |
| Krt8-F1 | CAGAGGGACTTTGACTCTCCTTTG |
| HIS tag-R1 | ATGATGATGATGATGATGGTCG |
| Krt8- F2 | GAATGCCTGTCCTCAAGTCTCAAG |
| IFN1-R5 | CGTCCTGGAAATGACACCTTGG |
| IFN1-F2 | CGATACAGGATGATAAGCAACGAG |
| IR-F1 | CTGTATCACAATTCCAGTGGGTC |
| krt8-R5 | GGCATTTAATAGCATTACGCAATCG |
| krt8-F | CCTTCCCTTCTAAGTCTGACG |
| krt8-R | GATGCCTGTGTCTTTGAGTTG |
| GCRV873-S5-F | GTGGCACGGCTCTGCAAGTT |
| GCRV873-S5-R | CAACCGAGGCACCATCAACCAT |
| GCRV873-S6-F | TGCGACAACGGCTGCTTTGAT |
| GCRV873-S6-R | TTGCGGACAACCAACGGATGG |
| STAT1-F | AGACCAGCAAGACGAATACGA |
| STAT1-R | TGTTGACGGCACCTCCATT |
| IRF-9-F | GCTGGACATCTCAGAACCTTAC |
| IRF-9-R | CTCCTCCTGCTGCTCCTTAC |
| IFN1-F2 | CGATACAGGATGATAAGCAACGAG |
| krt8-R5 | GGCATTTAATAGCATTACGCAATCG |
| AD1 | TGWGNAGWANCASAGA |
| AD5 | STAGNATSGNGTNCAA |
| R1 | ATGTAAACTTCTGACCCACTGGGAATG |
| R2 | TGGTGATCCTAACTGACCTAAGACAG |
| R3 | CGACTTCAACTGAGTCGACCTCG |
| L1 | TCAGACTTAGAAGGGAAGGAAGC |
| L2 | AGTAGATGTCCTAACTGACTTGCC |
| L3 | ATAGTGAGTCGTATTACGCGCGCT |
| IR-F1 | CTGTATCACAATTCCAGTGGGTC |
| Actin-F | CGAGCAGGAGATGGGAACC |
| Actin-R | CAACGGAAACGCTCATTGC |
| Generation | Total No. Detected | Positive No. | Positive Rates (%) |
|---|---|---|---|
| P0 | 260 | 9 | 3.46 |
| F1 | 528 | 35 | 6.62 |
| F2 | 95 | 23 | 24.2 |
Publisher’s Note: MDPI stays neutral with regard to jurisdictional claims in published maps and institutional affiliations. |
© 2021 by the authors. Licensee MDPI, Basel, Switzerland. This article is an open access article distributed under the terms and conditions of the Creative Commons Attribution (CC BY) license (http://creativecommons.org/licenses/by/4.0/).
Share and Cite
Zhou, T.; Zhou, B.; Zhao, Y.; Li, Q.; Song, G.; Zhu, Z.; Long, Y.; Cui, Z. Development of a Mucus Gland Bioreactor in Loach Paramisgurnus dabryanus. Int. J. Mol. Sci. 2021, 22, 687. https://doi.org/10.3390/ijms22020687
Zhou T, Zhou B, Zhao Y, Li Q, Song G, Zhu Z, Long Y, Cui Z. Development of a Mucus Gland Bioreactor in Loach Paramisgurnus dabryanus. International Journal of Molecular Sciences. 2021; 22(2):687. https://doi.org/10.3390/ijms22020687
Chicago/Turabian StyleZhou, Tong, Bolan Zhou, Yasong Zhao, Qing Li, Guili Song, Zuoyan Zhu, Yong Long, and Zongbin Cui. 2021. "Development of a Mucus Gland Bioreactor in Loach Paramisgurnus dabryanus" International Journal of Molecular Sciences 22, no. 2: 687. https://doi.org/10.3390/ijms22020687
APA StyleZhou, T., Zhou, B., Zhao, Y., Li, Q., Song, G., Zhu, Z., Long, Y., & Cui, Z. (2021). Development of a Mucus Gland Bioreactor in Loach Paramisgurnus dabryanus. International Journal of Molecular Sciences, 22(2), 687. https://doi.org/10.3390/ijms22020687

